Jorge Agustin Andrade Coronado
7.A
Cirugía Teórica
INTRODUCCION
El cáncer de estómago es el
crecimiento de una neoplasia
maligna derivada de la mucosa del
estómago.
Las tres neoplasias gástricas
malignas primarias más comunes
son adenocarcinoma (95%), linfoma
gástrico (4%) y tumor maligno del
estroma gastrointestinal (1%)
95%
4%
1%
Tipos de Cancer Gastrico
Adenocarcinoma gastrico Linfoma Gastrico
Tumor maligno del estroma intestinal
EPIDEMIOLOGIA
El Cáncer gástrico a nivel Mundial: Ocupa
el 2do lugar de tipo de Cáncer más
común,superado por el cáncer de pulmón.
El Ca gástrico en México: Ocupa el 4to
Lugar de tipo de Ca más Común.
La incidencia más alta del mundo es en
Asia:Japon,Corea,China e Iran y Centro
américa:Chile,Costa Rica.
Predomina en el Hombre sobre las
Mujer 2:1
Predomina en raza negra sobre
Caucasicos 2:1
Mayor Frecuencia 50-70 años
ETIOLOGIA
Genéticos: Grupo
sanguíneo A
,Antecedentes familiares
con Ca gástrico.
Factores
Demograficos:Edad
Avanzada, Sexo
masculino, Raza negra.
Dietético-Ambientales:
Dieta rica en alimentos
salados ,ahumados ,con
conservadores, nitratos,
Tabaquismo, nivel
socioeconómico bajo.
Anomalías
Precancerosas:
Anemia Perniciosa,
Gastritis
atrofica,metaplasia
intestinal.
Infecciosas: Presencia
de Helycobacter Pylori
:40 a 50% de los cá
gástricos
CARCINOGENESIS GASTRICA
LOCALIZACIÓN NEOPLASICA
ANATOMÍA PATOLÓGICA
Existen Dos tipos
de
Adenocarcinomas:
Tipo Difuso
Tipo Intestinal
Tipo Difuso: Produce infiltración de toda la
pared gástrica.
Afecta la totalidad del estómago,
provocando disminución de su
distensibilidad (Linitis plástica o en bota de
cuero) con mal pronóstico.
Es frecuente la diseminación peritoneal.
Tipo Intestinal: Es el más frecuente.
Suele afectar antro y curvatura menor, está
precedido de un largo proceso
precanceroso. Tiene mejor pronóstico que el
tipo difuso.
Cáncer
gástrico
precoz es un
tumor con
mejor
pronóstico.
Se define
como aquél
que no
sobrepasa la
submucosa,
pudiendo tener
metástasis o
no.
Curable con
cirugía
(supervivencia
a los 5 años
del 95%).
CLASIFICACIÓN DE BORRMANN
Polipoide
Ulcerado
Ulcerado
Infiltrante
Infiltrante
Difuso Linitis Plástica
CLASIFICACIÓN TNM
CUADRO CLINICO
La sintomatología
en la etapa
temprana es
inespecífica.
La sintomatología
se presenta en
periodos mayores
de 4-6 semanas.
Perdida ponderal
y anorexia son
los síntomas
mas frecuentes.
Plenitud
postprandial
inmediata.
Dolor abdominal Fatiga
Nausea Vomito
Sintomas
Inespecificos:
Disfagia
Anemia
Ferropenica,Sangre
oculta en heces,
Hematemesis,Melena.
Síndromes para neoplásicos en el cáncer
gástrico
Síndrome de Trousseau
(Tromboflebitis migrans)
Acantosis nigricans
Queratosis seborreicas
(signo de Leser-Trélat),
Signos de Metástasis en adenocarcinoma
gástrico
Nódulo umbilical (Nódulo
de la hermana María José)
Ganglio supraclavicular
izquierdo (de Virchow)
Metastasis del ovario
(Tumor de Krukenmber)
Los sitos más
frecuentes de
metástasis a
distancia son:
Hígado 54%,Pulmón
22%,Páncreas 19%,
Glándula suprarrenal
15% y Hueso 11%.
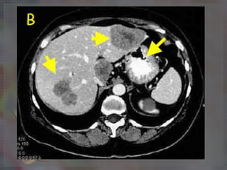
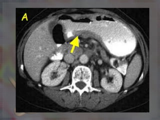
DIAGNOSTICO
La endoscopia con toma de
biopsia, Tiene una eficacia
del 95%. Es el estándar de
oro para el diagnóstico de la
enfermedad gástrica
maligna.
TAC Toracoabdominal
Tomografía por Emisión de
Positrones (PET)
Ultrasonido
transendoscopico.
La laparoscopia
diagnóstica: se emplea
para evaluar posibles
metástasis abdominales
Marcadores tumorales:
CEA:Se encuentra
elevado en el 40-50% de
los casos pueden ser
útiles para el seguimiento
posoperatorio
TRATAMIENTO
Tratamiento
Sistémico
Tratamiento
Quirúrgico
Tratamiento Sistémico (Neo adyuvante y
Coadyuvante)
Radioterapia
(45 a 50 Gy)
Quimioterapia con 5-
fluorouracilo y
leucovorina:Es
efectivo en Px con
metástasis.
TRATAMIENTO QUIRURGICO
La resección quirúrgica es el único tratamiento curativo
para el cáncer gástrico.
Puede ser por Laparoscopia o por Laparotomía
La Gastrectomía puede ser Radical, Total o Parcial.
Los tumores localizados en el tercio proximal y medio se
tratan con gastrectomía total.
Los localizados en el tercio distal se tratan con
gastrectomía parcial.
En la gastrectomía parcial las técnicas de
reconstrucción más usadas son la
gastroduodenoanastomosis (Billroth I) y La
gastroyeyunoanastomosis Laterolateral
(Billroth II)
La gastroyeyunoanastomosis en Y de Roux,se
realiza se realiza gastrectomía total y linitis
plastica
Pronostico a 5 años
• Cáncer Incipiente 88%
• Cáncer Intermedio 74%
• Cáncer Avanzado 47%
BIBLIOGRAFÍA
Schwartz- Manual de Cirugía 8a edición-Mc Graw Hill.
Schwartz Principios de Cirugía 9a edición-Mc Graw Hill.
Gastroenterología de Villalobos 6ª Edición -Méndez Editores-
2012.
Gastroenterología de Pérez Torres-Mc Graw Hill-2012.

cáncer gástrico

  • 1.
    Jorge Agustin AndradeCoronado 7.A Cirugía Teórica
  • 2.
    INTRODUCCION El cáncer deestómago es el crecimiento de una neoplasia maligna derivada de la mucosa del estómago. Las tres neoplasias gástricas malignas primarias más comunes son adenocarcinoma (95%), linfoma gástrico (4%) y tumor maligno del estroma gastrointestinal (1%)
  • 3.
    95% 4% 1% Tipos de CancerGastrico Adenocarcinoma gastrico Linfoma Gastrico Tumor maligno del estroma intestinal
  • 4.
    EPIDEMIOLOGIA El Cáncer gástricoa nivel Mundial: Ocupa el 2do lugar de tipo de Cáncer más común,superado por el cáncer de pulmón. El Ca gástrico en México: Ocupa el 4to Lugar de tipo de Ca más Común. La incidencia más alta del mundo es en Asia:Japon,Corea,China e Iran y Centro américa:Chile,Costa Rica.
  • 5.
    Predomina en elHombre sobre las Mujer 2:1 Predomina en raza negra sobre Caucasicos 2:1 Mayor Frecuencia 50-70 años
  • 6.
    ETIOLOGIA Genéticos: Grupo sanguíneo A ,Antecedentesfamiliares con Ca gástrico. Factores Demograficos:Edad Avanzada, Sexo masculino, Raza negra. Dietético-Ambientales: Dieta rica en alimentos salados ,ahumados ,con conservadores, nitratos, Tabaquismo, nivel socioeconómico bajo. Anomalías Precancerosas: Anemia Perniciosa, Gastritis atrofica,metaplasia intestinal. Infecciosas: Presencia de Helycobacter Pylori :40 a 50% de los cá gástricos
  • 7.
  • 8.
  • 9.
    ANATOMÍA PATOLÓGICA Existen Dostipos de Adenocarcinomas: Tipo Difuso Tipo Intestinal
  • 10.
    Tipo Difuso: Produceinfiltración de toda la pared gástrica. Afecta la totalidad del estómago, provocando disminución de su distensibilidad (Linitis plástica o en bota de cuero) con mal pronóstico. Es frecuente la diseminación peritoneal. Tipo Intestinal: Es el más frecuente. Suele afectar antro y curvatura menor, está precedido de un largo proceso precanceroso. Tiene mejor pronóstico que el tipo difuso.
  • 11.
    Cáncer gástrico precoz es un tumorcon mejor pronóstico. Se define como aquél que no sobrepasa la submucosa, pudiendo tener metástasis o no. Curable con cirugía (supervivencia a los 5 años del 95%).
  • 12.
  • 13.
  • 15.
    CUADRO CLINICO La sintomatología enla etapa temprana es inespecífica. La sintomatología se presenta en periodos mayores de 4-6 semanas. Perdida ponderal y anorexia son los síntomas mas frecuentes. Plenitud postprandial inmediata. Dolor abdominal Fatiga Nausea Vomito
  • 16.
  • 17.
    Síndromes para neoplásicosen el cáncer gástrico Síndrome de Trousseau (Tromboflebitis migrans) Acantosis nigricans Queratosis seborreicas (signo de Leser-Trélat),
  • 18.
    Signos de Metástasisen adenocarcinoma gástrico Nódulo umbilical (Nódulo de la hermana María José) Ganglio supraclavicular izquierdo (de Virchow) Metastasis del ovario (Tumor de Krukenmber)
  • 19.
    Los sitos más frecuentesde metástasis a distancia son: Hígado 54%,Pulmón 22%,Páncreas 19%, Glándula suprarrenal 15% y Hueso 11%.
  • 20.
    DIAGNOSTICO La endoscopia contoma de biopsia, Tiene una eficacia del 95%. Es el estándar de oro para el diagnóstico de la enfermedad gástrica maligna. TAC Toracoabdominal Tomografía por Emisión de Positrones (PET) Ultrasonido transendoscopico.
  • 21.
    La laparoscopia diagnóstica: seemplea para evaluar posibles metástasis abdominales Marcadores tumorales: CEA:Se encuentra elevado en el 40-50% de los casos pueden ser útiles para el seguimiento posoperatorio
  • 25.
  • 26.
    Tratamiento Sistémico (Neoadyuvante y Coadyuvante) Radioterapia (45 a 50 Gy) Quimioterapia con 5- fluorouracilo y leucovorina:Es efectivo en Px con metástasis.
  • 27.
    TRATAMIENTO QUIRURGICO La resecciónquirúrgica es el único tratamiento curativo para el cáncer gástrico. Puede ser por Laparoscopia o por Laparotomía La Gastrectomía puede ser Radical, Total o Parcial. Los tumores localizados en el tercio proximal y medio se tratan con gastrectomía total. Los localizados en el tercio distal se tratan con gastrectomía parcial.
  • 28.
    En la gastrectomíaparcial las técnicas de reconstrucción más usadas son la gastroduodenoanastomosis (Billroth I) y La gastroyeyunoanastomosis Laterolateral (Billroth II) La gastroyeyunoanastomosis en Y de Roux,se realiza se realiza gastrectomía total y linitis plastica
  • 31.
    Pronostico a 5años • Cáncer Incipiente 88% • Cáncer Intermedio 74% • Cáncer Avanzado 47%
  • 32.
    BIBLIOGRAFÍA Schwartz- Manual deCirugía 8a edición-Mc Graw Hill. Schwartz Principios de Cirugía 9a edición-Mc Graw Hill. Gastroenterología de Villalobos 6ª Edición -Méndez Editores- 2012. Gastroenterología de Pérez Torres-Mc Graw Hill-2012.