CÁNCER GÁSTRICO
GENERALIDADES, ABORDAJE DIAGNÓSTICO Y TRATAMIENTO
Luis Fabián López Galdámez.
GENERALIDADES
ANATOMÍA
 Tiene 4 porciones:1
 Cardias.
 Fundus.
 Cuerpo.
 Porción Pilórica.
 Antro pilórico,
 Píloro
 Posee 2 curvaturas:2
 Mayor.
 Borde cóncavo y más corto del estómago.
 Menor.
 Borde convexo y más largo del estómago.
GENERALIDADES
ANATOMÍA
 Dentro del estómago se forman los Pliegues Gástricos.3
 Relieves longitudinales,
 Producidos por la contracción de la mucosa gástrica.
 Disminuyen y desaparecen en el estómago distendido.
 Histológicamente posee 4 capas:4
 Mucosa,
 Glándulas, Criptas, Pliegues.
 Submucosa,
 Contiene vasos sanguíneos, linfáticos y terminaciones nerviosas.
 Muscular,
 Interna u oblicua,
 Externa o longitudinal,
 Circular o media.
 Serosa.
1 https://www.flickr.com/photos/28546148@N06/4094620254/in/photostream/
2 http://www.canstockphoto.es/imagenes-fotos/estómago.html
3 http://www.canstockphoto.es/imagenes-fotos/estómago.html#file_view.php?id=13749470
EPIDEMIOLOGÍA
 Presenta importantes variantes geográficas.8
 En el mundo (2013):9
 Cuarto lugar en incidencia de cánceres.
 Segundo lugar en mortalidad.
 Incidencia de 7.6/100,00 (Según SEER).
 La edad media de aparición es a los 70 años.10
 En México (2008 y 2013):11
 3.3% del total de casos de malignidad registrados.
 Incidencia de 3.3 por 100,000 habitantes.
 8.6% de las muertes por cáncer.
EPIDEMIOLOGÍA
 Cuarta causa de muerte oncológica en Hombres (INCan 2009).12
 Quinta causa de muerte oncológica en Mujeres (INCan 2009).13
 El RHNM en 2003 reportó una incidencia de 3,464 casos.14
 GLOBOCAN 2008 reportó una incidencia de 7,859 casos.15
 34% presentan enfermedad metastásica al diagnóstico
 Estados con mayor mortalidad por CG en México (INEGI 2010): 16
 Distrito Federal,
 Oaxaca,
 Chiapas,
 Campeche.
FACTORES DE RIESGO
FACTORES
DEMOGRÁFICOS/AMBIENTALES17,18
 Edad avanzada,
 Género masculino,
 Clase social baja,
 Falta de agua potable,
 Tabaquismo.
 Alcoholismo.
 Ocupacional (Carbonero, Hulero)
FACTORES
BIOLÓGICOS/MÉDICOS19,20,24
 Infección por H. pylori y EBV.
 Gastritis.
 Gastritis atrófica crónica,
 Metaplasia intestinal,
 Displasia.
 Anemia perniciosa,
 Pólipos adenomatosos gástricos.
 Cirugía gástrica previa.
FACTORES DE RIESGO
FACTORES
DIETÉTICOS/NUTRICIONALES 20,21
 Alimentos ahumados,
 Comida no refrigerada,
 Bajo consumo de proteínas y
grasa.
 Comida salada.
 Consumo alto de nitratos.
 Dieta baja en vitamina A y C.
FACTORES
HEREDITARIOS 22,23,24
 Antecedente familiar de CG.
 Enfermedad de Ménétrier,
 Poliposis adenomatosa
familiar,
 Mutación CDH1, BRCA1,
BRCA2 y TP53.
 Personas con sangre tipo A.
ANATOMÍA PATOLÓGICA
 Los tipos de cáncer de estómago son:24,25
 Adenocarcinoma gástrico.
 90-95% de las neoplasias gástricas malignas.
 Linfoma gástrico.
 5% de las neoplasias gástricas.
 Tumores del Estroma Gastrointestinal (GIST).
 2-3% de las neoplasias gástricas.
 Otros tipos de Cáncer Gástrico (1% de la neoplasias
gástricas):
 Tumor carcinoide gástrico.
 Carcinoma de células escamosas,
 Carcinoma de células pequeñas,
 Leiomiosarcoma gástrico.
ANATOMÍA PATOLÓGICA
 Según la OMS, la Tipificación Histológica del CG es:
 Adenocarcinoma.
 Adenocarcinoma papilar.
 Adenocarcinoma tubular.
 Adenocarcinoma mucinoso.
 Carcinoma de células en anillo de sello.
 Carcinoma Adenoescamoso.
 Carcinoma de células escamosas.
 Carcinoma de Células Pequeñas.
 Carcinoma sin diferenciar.
 Otros.
ADENOCARCINOMA GÁSTRICO
 Puede ser de tipo Intestinal o Difuso.
 El tipo intestinal es el más frecuente.
 Suele ser una sinonimia CG y Adenocarcinoma Gástrico.
 Se origina en la mucosa gástrica.
 La displasia gástrica es la lesión precursora universal.
 4 formas macroscópicas:
 Polipoide.
 Vegetante.
 Ulcerativo.
 Escirroso.
1 http://1.bp.blogspot.com/-GbgJ2ffrfAA/UD_8nsk3U7I/AAAAAAAAAEY/5kmiGHp1kHk/s1600/gl11-713+(2).JPG
2 http://scielo.isciii.es/img/revistas/diges/v104n6/es_notaclinica_fig3.jpg
1,2,3,4 http://i.ytimg.com/vi/LaMqvr9OHUE/hqdefault.jpg; Dr. Murra.
ADENOCARCINOMA GÁSTRICO
 Morfológicamente, se describe conforme a la
clasificación de Bormann:25
 Tipo 1: Cánceres polipoides o fungosos.
 Tipo 2: Lesiones ulceradas de bordes elevados.
 Tipo 3: Lesiones ulceradas que infiltran la pared gástrica.
 Tipo 4: Lesiones infiltrantes difusas.
 Tipo 5: Lesiones o neoplasias no clasificables.
 Esta clasificación tiene implicación en el pronóstico.
HISTORIA NATURAL
 La diseminación es:26
 Vía linfática.
 Contigüidad.
 Omento, Bazo, Diafragma, Hígado, Páncreas, Colon.
 Los sitios más frecuentes de metástasis a distancia son:27
 Hígado: 54%
 Pulmón: 22%
 Páncreas: 19%
 Suprarrenal: 15%
 Hueso: 11%
 La distribución anatómica del CG es:28
 Fundus y UGE: 35%
 Antro: 40%
 Cuerpo: 25%
MANIFESTACIONES CLÍNICAS
 Enfermedad ácido-péptica.
 Tratamiento prolongado,
 Sin mejoría relevante.
 Sin corroboración endoscópica.
 Disfagia:
 Tumor en cardias o UGE.
 Vómito
 Sensación de plenitud.
 Neoplasia Antral.
 STDA
 Anemia Perniciosa.
 Ascitis/Distención abdominal
 Anorexia,
 Fatiga,
 Pérdida de peso,
 Malestar epigástrico,
 Ganglio de Virchow
 Nódulo Periumbilical,
 Ganglio de Irish,
 Tumor de Krukenberg.
 Síndrome Paraneoplásicos.
 Afección avanzada e
incurable.
DIAGNÓSTICO
 Historia clínica completa.
 El estandar de oro para el diagnóstico es la Endoscopia con
toma de biopsia.
 Los exámenes que recomienda la NCCN:
 Exámenes de rutina.
 Endoscopia.
 TC de Tórax y Abdomen con doble contraste.
 Valorar metástasis.
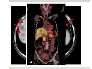
 Se solicita PET en caso de evidencia de metástasis.
ESTADIFICACIÓN (TNM)
 TUMOR PRIMARIO.
 T1a. Invasión Lamina propia ó
muscular de la mucosa.
 T1b. Invasión de Submucosa.
 T2. Invasión de Muscular.
 T3. Invasión Tejido subseroso.
 T4a. Invasión de peritoneo visceral.
 T4b. Invasión de órganos vecinos.
 GANGLIOS REGIONALES.
 N0. Sin metástasis
ganglionares.
 N1. N+ 1–2.
 N2. N+ 3–6.
 N3a. N+ 7–15.
 N3b. N+ >16.
 METÁSTASIS:
 M0
 M1
American Cancer Society: http://www.cancer.org/acs/groups/cid/documents/webcontent/002322-pdf.pdf
TRATAMIENTO
 La cirugía radical es el pilar terapéutico.
 La gastrectomía subtotal con fines curativos se practica
en tumores limitados al antro. (Gastroyeyunostomía)
 La gastrectomía subtotal proximal es posible cuando no se
afecta la unión gastroesofágica ni existe linitis plástica.
 En las neoformaciones restantes el tratamiento de
elección es gastrectomía total radical con
reconstrucción esofagoyeyunal en “Y” de Roux.
TRATAMIENTO
 La disección ganglionar se basa en la técnica japonesa:
 Disección D1:
 Ganglios perigástricos. Estaciones 1-6.
 Disección D2:
 D1 más ganglios celiacos y la serosa de la transcavidad
de los epiplones
https://www.youtube.com/watch?v=RQNd1gluRUc
ALTERNATIVAS DE TX QUIRÚRGICO
 Ablación endoscópica del
tumor.
 Colocación de
Endoprótesis (Stent)
QUIMIOTERAPIA
 TERAPIA NEOADYUVANTE.
 Antes de la cirugía.
 Se procura reducir el tamaño del tumor y facilitar al cirugía.
A menudo se indica nuevamente quimioterapia posterior a la
cirugía.
 TERAPIA ADYUVANTE.
 Posterior a la cirugía.
 Destruir las células cancerosas que hayan quedado.
A menudo se indica en combinación con radiación.
QUIMIOTERAPIA
 5-FU (fluorouracilo).
 Capecitabina.
 Carboplatino.
 Cisplatino.
 Docetaxel.
 Epirrubicina.
 Irinotecán.
 Oxaliplatino.
 Paclitaxel.
QUIMIOTERAPIA DIRIGIDA PARA
Ca GÁSTRICO
 TRASTUZUMAB.
 Efectivo en Ca Gástrico
positivo a Her2/neu.
 Se administra una vez cada
2-3 semanas con
quimioterapia convencional.
 RAMUCIRUMAB.
 Se une al VEFG.
 Mayor utilidad en cáncer
avanzado.
 Se administra cada 2
semanas con quimioterapia
convencional.
PREVENCIÓN DEL CÁNCER GÁSTRICO
 Evitar en medida de lo posible, los factores de riesgo.
 Consumo de Antioxidantes.
 Vitamina C y E.
 Betacaroteno.
 Destruyen/inhiben los radicales libres.
 Antibióticos.
 Erradicar H. Pylori.
 IBP + Claritromicina + Amoxicilina.
 AINES.
 Aspirina e Ibuprofeno.
BIBLIOGRAFÍA
 1,2,3,4 Moore K. y A. Dalley, “Anatomía con Orientación
Clínica”, (2010), 5ta. Edición, Ed. Panamericana.
 8,9,19,11,17,19,21,23,25,26,27,28 Herrera A. y M. Granados, “Manual de
Oncología-Procedimientos médico quirúrgicos”, (2012), 5ta.
Edición, Ed. Mc Graw Hill.
 12,13,14,15,16,18,20,22,25 Acuña, M. Hospital General de México,
2013, “Cáncer Gástrico”, Oncología Guías Diagnósticas
2013, (Electrónico), 1.2013, México, D.F., DISPONIBLE EN:
http://www.hgm.salud.gob.mx/descargas/pdf/area_medic
a/onco/guias/cancer_Estomago.pdf (20 de Marzo de 2015).
 24 American Cancer Society. Cancer Facts & Figures 2015.
Atlanta, Ga: American Cancer Society; 2015.

Cáncer gástrico

  • 1.
    CÁNCER GÁSTRICO GENERALIDADES, ABORDAJEDIAGNÓSTICO Y TRATAMIENTO Luis Fabián López Galdámez.
  • 2.
    GENERALIDADES ANATOMÍA  Tiene 4porciones:1  Cardias.  Fundus.  Cuerpo.  Porción Pilórica.  Antro pilórico,  Píloro  Posee 2 curvaturas:2  Mayor.  Borde cóncavo y más corto del estómago.  Menor.  Borde convexo y más largo del estómago.
  • 3.
    GENERALIDADES ANATOMÍA  Dentro delestómago se forman los Pliegues Gástricos.3  Relieves longitudinales,  Producidos por la contracción de la mucosa gástrica.  Disminuyen y desaparecen en el estómago distendido.  Histológicamente posee 4 capas:4  Mucosa,  Glándulas, Criptas, Pliegues.  Submucosa,  Contiene vasos sanguíneos, linfáticos y terminaciones nerviosas.  Muscular,  Interna u oblicua,  Externa o longitudinal,  Circular o media.  Serosa.
  • 4.
  • 5.
    EPIDEMIOLOGÍA  Presenta importantesvariantes geográficas.8  En el mundo (2013):9  Cuarto lugar en incidencia de cánceres.  Segundo lugar en mortalidad.  Incidencia de 7.6/100,00 (Según SEER).  La edad media de aparición es a los 70 años.10  En México (2008 y 2013):11  3.3% del total de casos de malignidad registrados.  Incidencia de 3.3 por 100,000 habitantes.  8.6% de las muertes por cáncer.
  • 6.
    EPIDEMIOLOGÍA  Cuarta causade muerte oncológica en Hombres (INCan 2009).12  Quinta causa de muerte oncológica en Mujeres (INCan 2009).13  El RHNM en 2003 reportó una incidencia de 3,464 casos.14  GLOBOCAN 2008 reportó una incidencia de 7,859 casos.15  34% presentan enfermedad metastásica al diagnóstico  Estados con mayor mortalidad por CG en México (INEGI 2010): 16  Distrito Federal,  Oaxaca,  Chiapas,  Campeche.
  • 7.
    FACTORES DE RIESGO FACTORES DEMOGRÁFICOS/AMBIENTALES17,18 Edad avanzada,  Género masculino,  Clase social baja,  Falta de agua potable,  Tabaquismo.  Alcoholismo.  Ocupacional (Carbonero, Hulero) FACTORES BIOLÓGICOS/MÉDICOS19,20,24  Infección por H. pylori y EBV.  Gastritis.  Gastritis atrófica crónica,  Metaplasia intestinal,  Displasia.  Anemia perniciosa,  Pólipos adenomatosos gástricos.  Cirugía gástrica previa.
  • 8.
    FACTORES DE RIESGO FACTORES DIETÉTICOS/NUTRICIONALES20,21  Alimentos ahumados,  Comida no refrigerada,  Bajo consumo de proteínas y grasa.  Comida salada.  Consumo alto de nitratos.  Dieta baja en vitamina A y C. FACTORES HEREDITARIOS 22,23,24  Antecedente familiar de CG.  Enfermedad de Ménétrier,  Poliposis adenomatosa familiar,  Mutación CDH1, BRCA1, BRCA2 y TP53.  Personas con sangre tipo A.
  • 9.
    ANATOMÍA PATOLÓGICA  Lostipos de cáncer de estómago son:24,25  Adenocarcinoma gástrico.  90-95% de las neoplasias gástricas malignas.  Linfoma gástrico.  5% de las neoplasias gástricas.  Tumores del Estroma Gastrointestinal (GIST).  2-3% de las neoplasias gástricas.  Otros tipos de Cáncer Gástrico (1% de la neoplasias gástricas):  Tumor carcinoide gástrico.  Carcinoma de células escamosas,  Carcinoma de células pequeñas,  Leiomiosarcoma gástrico.
  • 10.
    ANATOMÍA PATOLÓGICA  Segúnla OMS, la Tipificación Histológica del CG es:  Adenocarcinoma.  Adenocarcinoma papilar.  Adenocarcinoma tubular.  Adenocarcinoma mucinoso.  Carcinoma de células en anillo de sello.  Carcinoma Adenoescamoso.  Carcinoma de células escamosas.  Carcinoma de Células Pequeñas.  Carcinoma sin diferenciar.  Otros.
  • 11.
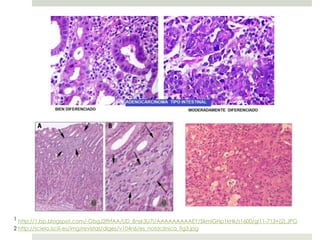
    ADENOCARCINOMA GÁSTRICO  Puedeser de tipo Intestinal o Difuso.  El tipo intestinal es el más frecuente.  Suele ser una sinonimia CG y Adenocarcinoma Gástrico.  Se origina en la mucosa gástrica.  La displasia gástrica es la lesión precursora universal.  4 formas macroscópicas:  Polipoide.  Vegetante.  Ulcerativo.  Escirroso.
  • 12.
  • 13.
  • 14.
    ADENOCARCINOMA GÁSTRICO  Morfológicamente,se describe conforme a la clasificación de Bormann:25  Tipo 1: Cánceres polipoides o fungosos.  Tipo 2: Lesiones ulceradas de bordes elevados.  Tipo 3: Lesiones ulceradas que infiltran la pared gástrica.  Tipo 4: Lesiones infiltrantes difusas.  Tipo 5: Lesiones o neoplasias no clasificables.  Esta clasificación tiene implicación en el pronóstico.
  • 16.
    HISTORIA NATURAL  Ladiseminación es:26  Vía linfática.  Contigüidad.  Omento, Bazo, Diafragma, Hígado, Páncreas, Colon.  Los sitios más frecuentes de metástasis a distancia son:27  Hígado: 54%  Pulmón: 22%  Páncreas: 19%  Suprarrenal: 15%  Hueso: 11%  La distribución anatómica del CG es:28  Fundus y UGE: 35%  Antro: 40%  Cuerpo: 25%
  • 17.
    MANIFESTACIONES CLÍNICAS  Enfermedadácido-péptica.  Tratamiento prolongado,  Sin mejoría relevante.  Sin corroboración endoscópica.  Disfagia:  Tumor en cardias o UGE.  Vómito  Sensación de plenitud.  Neoplasia Antral.  STDA  Anemia Perniciosa.  Ascitis/Distención abdominal  Anorexia,  Fatiga,  Pérdida de peso,  Malestar epigástrico,  Ganglio de Virchow  Nódulo Periumbilical,  Ganglio de Irish,  Tumor de Krukenberg.  Síndrome Paraneoplásicos.  Afección avanzada e incurable.
  • 18.
    DIAGNÓSTICO  Historia clínicacompleta.  El estandar de oro para el diagnóstico es la Endoscopia con toma de biopsia.  Los exámenes que recomienda la NCCN:  Exámenes de rutina.  Endoscopia.  TC de Tórax y Abdomen con doble contraste.  Valorar metástasis.  Se solicita PET en caso de evidencia de metástasis.
  • 20.
    ESTADIFICACIÓN (TNM)  TUMORPRIMARIO.  T1a. Invasión Lamina propia ó muscular de la mucosa.  T1b. Invasión de Submucosa.  T2. Invasión de Muscular.  T3. Invasión Tejido subseroso.  T4a. Invasión de peritoneo visceral.  T4b. Invasión de órganos vecinos.  GANGLIOS REGIONALES.  N0. Sin metástasis ganglionares.  N1. N+ 1–2.  N2. N+ 3–6.  N3a. N+ 7–15.  N3b. N+ >16.  METÁSTASIS:  M0  M1
  • 22.
    American Cancer Society:http://www.cancer.org/acs/groups/cid/documents/webcontent/002322-pdf.pdf
  • 23.
    TRATAMIENTO  La cirugíaradical es el pilar terapéutico.  La gastrectomía subtotal con fines curativos se practica en tumores limitados al antro. (Gastroyeyunostomía)  La gastrectomía subtotal proximal es posible cuando no se afecta la unión gastroesofágica ni existe linitis plástica.  En las neoformaciones restantes el tratamiento de elección es gastrectomía total radical con reconstrucción esofagoyeyunal en “Y” de Roux.
  • 24.
    TRATAMIENTO  La disecciónganglionar se basa en la técnica japonesa:  Disección D1:  Ganglios perigástricos. Estaciones 1-6.  Disección D2:  D1 más ganglios celiacos y la serosa de la transcavidad de los epiplones
  • 25.
  • 26.
    ALTERNATIVAS DE TXQUIRÚRGICO  Ablación endoscópica del tumor.  Colocación de Endoprótesis (Stent)
  • 27.
    QUIMIOTERAPIA  TERAPIA NEOADYUVANTE. Antes de la cirugía.  Se procura reducir el tamaño del tumor y facilitar al cirugía. A menudo se indica nuevamente quimioterapia posterior a la cirugía.  TERAPIA ADYUVANTE.  Posterior a la cirugía.  Destruir las células cancerosas que hayan quedado. A menudo se indica en combinación con radiación.
  • 28.
    QUIMIOTERAPIA  5-FU (fluorouracilo). Capecitabina.  Carboplatino.  Cisplatino.  Docetaxel.  Epirrubicina.  Irinotecán.  Oxaliplatino.  Paclitaxel.
  • 29.
    QUIMIOTERAPIA DIRIGIDA PARA CaGÁSTRICO  TRASTUZUMAB.  Efectivo en Ca Gástrico positivo a Her2/neu.  Se administra una vez cada 2-3 semanas con quimioterapia convencional.  RAMUCIRUMAB.  Se une al VEFG.  Mayor utilidad en cáncer avanzado.  Se administra cada 2 semanas con quimioterapia convencional.
  • 30.
    PREVENCIÓN DEL CÁNCERGÁSTRICO  Evitar en medida de lo posible, los factores de riesgo.  Consumo de Antioxidantes.  Vitamina C y E.  Betacaroteno.  Destruyen/inhiben los radicales libres.  Antibióticos.  Erradicar H. Pylori.  IBP + Claritromicina + Amoxicilina.  AINES.  Aspirina e Ibuprofeno.
  • 31.
    BIBLIOGRAFÍA  1,2,3,4 MooreK. y A. Dalley, “Anatomía con Orientación Clínica”, (2010), 5ta. Edición, Ed. Panamericana.  8,9,19,11,17,19,21,23,25,26,27,28 Herrera A. y M. Granados, “Manual de Oncología-Procedimientos médico quirúrgicos”, (2012), 5ta. Edición, Ed. Mc Graw Hill.  12,13,14,15,16,18,20,22,25 Acuña, M. Hospital General de México, 2013, “Cáncer Gástrico”, Oncología Guías Diagnósticas 2013, (Electrónico), 1.2013, México, D.F., DISPONIBLE EN: http://www.hgm.salud.gob.mx/descargas/pdf/area_medic a/onco/guias/cancer_Estomago.pdf (20 de Marzo de 2015).  24 American Cancer Society. Cancer Facts & Figures 2015. Atlanta, Ga: American Cancer Society; 2015.