Benemérita Universidad Autónoma de
Puebla
Facultad de Medicina
Asignatura: Nosología y Clínica del
aparato Musculoesqueltico
Dr. Rubén Garcilazo Osorio
Equipo numero 6
Tema : Osteosarcoma
Primavera 2014
OSTEOSARCOMA
Definición
 Tumor maligno caracterizado por la formación
directa de tejido óseo u osteoide por las células
tumorales (OMS).
 Neoplasia maligna de células metafisiarias primitivas
de un hueso largo.
 Se denomina como sarcoma osteogénico por
originarse de series osteoblásticas de células
mesenquimatosas primitivas.
 Osteocleróticos – osteolíticos.
Epidemiología
 Grupos de edad: 15 a 19 años.
 Osteosarcoma primario de alto grado: segunda
década.
 Osteosarcoma parostal: entre la tercera y cuarta
década, es más frecuente en las mujeres.
 Osteosarcomas secundarios: en ancianos.
 Género: Masculino 1-2 : 1 Femenino.
 Segunda neoplasia maligna primaria del hueso más
frecuente.
 20% de neoplasias primarias de hueso.
 Incidencia: 2-3/millón/año y en adolescentes 8-
11/millón/año.
Localización
 Más frecuentemente en la
metáfisis de huesos
largos.
 Fémur distal
 Tibia proximal
 Húmero proximal
 10% se desarrolla en el
esqueleto axial, más
frecuentemente la pelvis.
 10% son diafisiarios.
 Menos del 1% son
epifisiarios.
Fisiopatología
• Mesenquimatoso maligno
• Las células cancerosas producen
hueso
Tumor
maligno
• Anomalías congénitas adquiridas
• Presencia de mutaciones muy
frecuentes , que interfieren en la
función de dos genes
Patogenia
• RB (retinoblastoma) regulador del ciclo
celular
• P53 regula la reparación del ADN y
algunos aspectos del metabolismo
celular
Gen
• Que codifica para p16 (un
regulador del ciclo celular) y
p14 (que ayuda y secunda la
función de p53)
Anomalías en
INK4a
• Por la propensión de los
osteoblastos a adquirir
mutaciones
• Provocar una transformación
Predilección
por regiones
del
crecimiento
óseo.
Anatomía patológica
Macroscópicamente
 Tumor color blanco grisáceo arenoso con
hemorragia y quistes.
 Destruyen la cortical y producen masa en partes
blandas.
 Infiltran el canal medular reemplazando a la médula
ósea.
 Lesión agresiva de la metáfisis que se extiende
hacia la diáfisis por el canal medular
 Bordes mal definidos permeación del tejido óseo.
 Es muy poco frecuente la invasión del cartílago
metafisiario.
 La reaccion periostica puede tomar aspecto de
triangulo de Codman o de rayos de sol ( hueso
neoplásico se irradia de la cortical al periostio a lo
largo de los vasos).
Microscópicamente
 Producción de hueso mineralizado o
desmineralizado (osteoide) por parte de las células
malignas fusiformes atípicas con abundantes,
mitosis y marcado pleomorfismo nuclear.
 Según el grado de calcificación del osteoide
neoformado, se describen formas líticas ó blásticas
(zonas de producción y destrucción ósea).
 También puede haber cartílago y tejido fibroso
atípico en cantidades variables.
CLASIFICACION
 PRIMARIOS:
- Convencional
- Intramedular de bajo grado
- Telangiectásico
- De células pequeñas
- Paraostal
- Periostal
- Superficial de alto grado
 SECUNDARIOS
 Osteosarcoma genuino. Tumor sarcomatoso con
producción de substancia osteoide.
 OSTEOBLÁSTICO
 CONDROBLÁSTICO
 FIBROBLÁSTICO
Osteosarcoma paraostal o yuxtacortical
 En pacientes mayores de 30 años
 En relación con la cara posterior de la metáfisis
inferior del fémur (hueco poplíteo)
 Lento crecimiento, bien diferenciado.
 Envuelve al hueso y después de algún tiempo
invade la corteza y médula.
 Es de relativo buen pronóstico mientras no haya
compromiso del canal medular.
 Células fusiformes ligeramente atípicas con
trabéculas óseas casi normales.
OSTEOSARCOMA PERIOSTAL
 Se localiza en la superficie del hueso.
 Grado intermedio de malignidad.
 Diáfisis de fémur y tibia.
 Células fusiformes productoras de osteoide entre
lóbulos de cartílago.
Osteosarcoma intramedular de bajo grado
 Sólo produce lesiones corticales de forma muy
tardía.
 Células fusiformes con atipias ligeras que producen
escasa trabeculación ósea irregular.
Osteosarcoma de superficie de alto grado
 El osteosarcoma menos frecuente.
 Lesión invasiva de bordes mal definidos en la
cortical. El compromiso medular es frecuente.
 Hipercelularidad, mitosis abundantes y marcado
pleomorfismo nuclear.
Osteosarcoma telangiectásico
 Lesión lítica pura.
 Parece un quiste lleno de sangre con una pequeña
porción sólida.
 Microscópicamente: quiste óseo con espacios llenos
de sangre separados por tabiques delgados de
células malignas.
Osteosarcoma de células pequeñas
 Lesión de alto grado
 Pequeñas células azules que simulan otras
neoplasias como el sarcoma de Ewing.
 Muy agresivo, apenas forma osteoide.
Osteosarcomas secundarios
 Se producen en el lugar de otra afección ósea.
 Pacientes mayores de 50 años.
 Factores asociados:
- Enfermedad de Paget: pelvis
- Radiación.
Osteosarcomas posradiación
 Aparecen después de 3 años de la radioterapia, con
dosis de 3.000 rads o más.
 Cráneo, columna, costillas y clavícula
 Son clínicamente muy agresivos
Sistema de estadificación Enneking
Este sistema esta basado en :
 El grado del tumor ( I = bajo grado ; II = alto grado)
 La extensión del tumor (A = única participación
intraósea, B = extensión intra y extraósea );
 La presencia de metástasis a distancia (III )
Cuadro clínico
 El dolor local, inicialmente leve e intermitente y se
vuelve progresivamente más intenso y constante.
Puede irradiar a la articulación proximal.
 Dolor nocturno en 25% pacientes.
 Masa palpable
 Hinchazón localizada.
 Limitación de la articulación.
 Fractura en terreno patológico (tumor osteolítico)
Diagnóstico
DIAGNÓSTCO
 Radiografía simple: lesión esclerótica por la
formación de osteoide (nube pequeña), lítica ó mixta
en la zona afectada, de bordes mal definidos,
permeable.
 Una sombra triangular en la radiografía entre la
corteza y el periostio elevado (triángulo de Codman)
se encuentra a menudo pero no siempre es
patognomónico de los osteosarcomas.
 Resonancia magnética: medidas del tumor en el
hueso y partes blandas para definir su relación con
estructuras anatómicas vecinas.
 TAC: para descartar metástasis pulmonares
 Gammagrafía ósea: buscar metástasis esqueléticas.
TAC se aprecia infiltración de partes blandas en brazo
izquierdo, sin evidencia de lesión pulmonar.
Diagnóstico diferencial
 Sarcoma de Ewing
 Osteomielitis
 Osteoblastoma
Tratamiento
 El objetivo del tratamiento de los tumores óseos
malignos es la escisión completa , con el objeto de
minimizar el riesgo de recidiva , evitando al mismo
tiempo la lesión de los tejidos adyacentes.
 No obstante, la escisión de algunas lesiones
generan un gran defecto anatómico que debe ser
rellenado con injerto óseo.
Tratamiento
En las ultimas décadas …
• Neoadyuvante
(preoperatoria)
• Adyuvante (postoperatoria)Quimioterapia
• Metotrexano
• Adriamicina
• Doxorubicina
• Cisplatino
• Ifosfamida
Agentes
Quimioterapicos
Mas técnicas quirúrgicas , han mejorado la
sobrevida del paciente hasta en un 70% ,
logrando una supervivencia de hasta 5 años.
En la actualidad deben preferirse las técnicas conservadoras de
extremidades , sobre las técnicas de resección radical
(amputación o desarticulación)
Pronóstico
 Supervivencia a largo plazo del 60 al 70%
 Extensión de la enfermedad:
Metástasis pulmonar  supervivencia <20%
Metástasis no pulmonar  <10%
 Grado de malignidad
 50% osteosarcomas de alto grado tiene alguna
recaída después del tratamiento inicial
 El 10% tiene recidivas locales después de la
resección o amputación ampliada.
 Factores de mal pronóstico:
 Rápidas recidivas después de terminado el tratamiento.
 Múltiples nódulos pulmonares (Más de 8)
 Nódulos pulmonares grandes (>3cm)
 Nódulos pulmonares irresecables
Bibliografía
 Bruce Salter R. Trastornos y lesiones del sistema
musculoesquelético. tercera ed. España: ElSevier;
2000.
 Terry Canale S. Cirugía ortopédica. Décima ed.
España: ElSevier; 2004.
 Silberman F, Varaona O. Ortopedia y Traumatología.
Tercera ed.: Panamericana; 2010.
 Ritter J, Bielack S. Osteosarcoma. Annals of
Oncology. 2010 Octubre; 21(7).
 Kumar V. Patología estructural y funcional. 8th ed.
España: Elsevier; 2010.

osteosarcoma

  • 1.
    Benemérita Universidad Autónomade Puebla Facultad de Medicina Asignatura: Nosología y Clínica del aparato Musculoesqueltico Dr. Rubén Garcilazo Osorio Equipo numero 6 Tema : Osteosarcoma Primavera 2014
  • 2.
  • 3.
    Definición  Tumor malignocaracterizado por la formación directa de tejido óseo u osteoide por las células tumorales (OMS).  Neoplasia maligna de células metafisiarias primitivas de un hueso largo.  Se denomina como sarcoma osteogénico por originarse de series osteoblásticas de células mesenquimatosas primitivas.  Osteocleróticos – osteolíticos.
  • 4.
    Epidemiología  Grupos deedad: 15 a 19 años.  Osteosarcoma primario de alto grado: segunda década.  Osteosarcoma parostal: entre la tercera y cuarta década, es más frecuente en las mujeres.  Osteosarcomas secundarios: en ancianos.
  • 5.
     Género: Masculino1-2 : 1 Femenino.  Segunda neoplasia maligna primaria del hueso más frecuente.  20% de neoplasias primarias de hueso.  Incidencia: 2-3/millón/año y en adolescentes 8- 11/millón/año.
  • 6.
    Localización  Más frecuentementeen la metáfisis de huesos largos.  Fémur distal  Tibia proximal  Húmero proximal  10% se desarrolla en el esqueleto axial, más frecuentemente la pelvis.  10% son diafisiarios.  Menos del 1% son epifisiarios.
  • 7.
    Fisiopatología • Mesenquimatoso maligno •Las células cancerosas producen hueso Tumor maligno • Anomalías congénitas adquiridas • Presencia de mutaciones muy frecuentes , que interfieren en la función de dos genes Patogenia • RB (retinoblastoma) regulador del ciclo celular • P53 regula la reparación del ADN y algunos aspectos del metabolismo celular Gen
  • 8.
    • Que codificapara p16 (un regulador del ciclo celular) y p14 (que ayuda y secunda la función de p53) Anomalías en INK4a • Por la propensión de los osteoblastos a adquirir mutaciones • Provocar una transformación Predilección por regiones del crecimiento óseo.
  • 9.
  • 10.
    Macroscópicamente  Tumor colorblanco grisáceo arenoso con hemorragia y quistes.  Destruyen la cortical y producen masa en partes blandas.  Infiltran el canal medular reemplazando a la médula ósea.
  • 11.
     Lesión agresivade la metáfisis que se extiende hacia la diáfisis por el canal medular  Bordes mal definidos permeación del tejido óseo.  Es muy poco frecuente la invasión del cartílago metafisiario.  La reaccion periostica puede tomar aspecto de triangulo de Codman o de rayos de sol ( hueso neoplásico se irradia de la cortical al periostio a lo largo de los vasos).
  • 14.
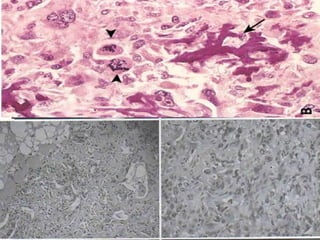
    Microscópicamente  Producción dehueso mineralizado o desmineralizado (osteoide) por parte de las células malignas fusiformes atípicas con abundantes, mitosis y marcado pleomorfismo nuclear.  Según el grado de calcificación del osteoide neoformado, se describen formas líticas ó blásticas (zonas de producción y destrucción ósea).  También puede haber cartílago y tejido fibroso atípico en cantidades variables.
  • 15.
    CLASIFICACION  PRIMARIOS: - Convencional -Intramedular de bajo grado - Telangiectásico - De células pequeñas - Paraostal - Periostal - Superficial de alto grado  SECUNDARIOS
  • 17.
     Osteosarcoma genuino.Tumor sarcomatoso con producción de substancia osteoide.
  • 22.
  • 23.
    Osteosarcoma paraostal oyuxtacortical  En pacientes mayores de 30 años  En relación con la cara posterior de la metáfisis inferior del fémur (hueco poplíteo)  Lento crecimiento, bien diferenciado.  Envuelve al hueso y después de algún tiempo invade la corteza y médula.  Es de relativo buen pronóstico mientras no haya compromiso del canal medular.  Células fusiformes ligeramente atípicas con trabéculas óseas casi normales.
  • 26.
    OSTEOSARCOMA PERIOSTAL  Selocaliza en la superficie del hueso.  Grado intermedio de malignidad.  Diáfisis de fémur y tibia.  Células fusiformes productoras de osteoide entre lóbulos de cartílago.
  • 29.
    Osteosarcoma intramedular debajo grado  Sólo produce lesiones corticales de forma muy tardía.  Células fusiformes con atipias ligeras que producen escasa trabeculación ósea irregular.
  • 30.
    Osteosarcoma de superficiede alto grado  El osteosarcoma menos frecuente.  Lesión invasiva de bordes mal definidos en la cortical. El compromiso medular es frecuente.  Hipercelularidad, mitosis abundantes y marcado pleomorfismo nuclear.
  • 31.
    Osteosarcoma telangiectásico  Lesiónlítica pura.  Parece un quiste lleno de sangre con una pequeña porción sólida.  Microscópicamente: quiste óseo con espacios llenos de sangre separados por tabiques delgados de células malignas.
  • 34.
    Osteosarcoma de célulaspequeñas  Lesión de alto grado  Pequeñas células azules que simulan otras neoplasias como el sarcoma de Ewing.  Muy agresivo, apenas forma osteoide.
  • 35.
    Osteosarcomas secundarios  Seproducen en el lugar de otra afección ósea.  Pacientes mayores de 50 años.  Factores asociados: - Enfermedad de Paget: pelvis - Radiación.
  • 36.
    Osteosarcomas posradiación  Aparecendespués de 3 años de la radioterapia, con dosis de 3.000 rads o más.  Cráneo, columna, costillas y clavícula  Son clínicamente muy agresivos
  • 37.
  • 38.
    Este sistema estabasado en :  El grado del tumor ( I = bajo grado ; II = alto grado)  La extensión del tumor (A = única participación intraósea, B = extensión intra y extraósea );  La presencia de metástasis a distancia (III )
  • 39.
    Cuadro clínico  Eldolor local, inicialmente leve e intermitente y se vuelve progresivamente más intenso y constante. Puede irradiar a la articulación proximal.  Dolor nocturno en 25% pacientes.  Masa palpable  Hinchazón localizada.  Limitación de la articulación.  Fractura en terreno patológico (tumor osteolítico)
  • 42.
  • 43.
    DIAGNÓSTCO  Radiografía simple:lesión esclerótica por la formación de osteoide (nube pequeña), lítica ó mixta en la zona afectada, de bordes mal definidos, permeable.  Una sombra triangular en la radiografía entre la corteza y el periostio elevado (triángulo de Codman) se encuentra a menudo pero no siempre es patognomónico de los osteosarcomas.
  • 47.
     Resonancia magnética:medidas del tumor en el hueso y partes blandas para definir su relación con estructuras anatómicas vecinas.  TAC: para descartar metástasis pulmonares  Gammagrafía ósea: buscar metástasis esqueléticas.
  • 49.
    TAC se apreciainfiltración de partes blandas en brazo izquierdo, sin evidencia de lesión pulmonar.
  • 51.
    Diagnóstico diferencial  Sarcomade Ewing  Osteomielitis  Osteoblastoma
  • 52.
    Tratamiento  El objetivodel tratamiento de los tumores óseos malignos es la escisión completa , con el objeto de minimizar el riesgo de recidiva , evitando al mismo tiempo la lesión de los tejidos adyacentes.  No obstante, la escisión de algunas lesiones generan un gran defecto anatómico que debe ser rellenado con injerto óseo.
  • 53.
    Tratamiento En las ultimasdécadas … • Neoadyuvante (preoperatoria) • Adyuvante (postoperatoria)Quimioterapia • Metotrexano • Adriamicina • Doxorubicina • Cisplatino • Ifosfamida Agentes Quimioterapicos
  • 54.
    Mas técnicas quirúrgicas, han mejorado la sobrevida del paciente hasta en un 70% , logrando una supervivencia de hasta 5 años. En la actualidad deben preferirse las técnicas conservadoras de extremidades , sobre las técnicas de resección radical (amputación o desarticulación)
  • 55.
    Pronóstico  Supervivencia alargo plazo del 60 al 70%  Extensión de la enfermedad: Metástasis pulmonar  supervivencia <20% Metástasis no pulmonar  <10%  Grado de malignidad  50% osteosarcomas de alto grado tiene alguna recaída después del tratamiento inicial  El 10% tiene recidivas locales después de la resección o amputación ampliada.
  • 56.
     Factores demal pronóstico:  Rápidas recidivas después de terminado el tratamiento.  Múltiples nódulos pulmonares (Más de 8)  Nódulos pulmonares grandes (>3cm)  Nódulos pulmonares irresecables
  • 57.
    Bibliografía  Bruce SalterR. Trastornos y lesiones del sistema musculoesquelético. tercera ed. España: ElSevier; 2000.  Terry Canale S. Cirugía ortopédica. Décima ed. España: ElSevier; 2004.  Silberman F, Varaona O. Ortopedia y Traumatología. Tercera ed.: Panamericana; 2010.  Ritter J, Bielack S. Osteosarcoma. Annals of Oncology. 2010 Octubre; 21(7).  Kumar V. Patología estructural y funcional. 8th ed. España: Elsevier; 2010.