COR PULMONALE
SESION SEMANAL DE MEDICINA INTERNA.
HGZ No. 6 CD. VALLES, SLP
DR. ULISES ALEJANDRO MAYOR REYES
MIP 98256851
OCTUBRE 2018
COR PULMONALE
Definición
• El cor pulmonale se refiere a la
alteración estructural (hipertrofia o
dilatación) y al deterioro funcional del
ventrículo derecho, resultado del
aumento de presiones pulmonares
asociado con enfermedades del
parénquima pulmonar o de su
vasculatura.
• El cor pulmonale suele ser una
patología crónica y lentamente
progresiva, pero puede presentarse de
forma aguda.
Cor pulmonale P. Hernández Simón M. Lázaro Salvador, Medicine2017;12(35):2116-26
COR PULMONALE
Definición
• HIPEERTENSION ARTERIAL
PULMONAR:
• Se define, desde el punto de vista
hemodinámico, como una presión en
la arteria pulmonar media (PAPm) >25
mm Hg con presión capilar
• HAP LEVE :25-45 mmHg
• HAP MODERADA :45-65 mmHg
• HAP SEVERA: >65 mmHg
•
VALLERIE MCLAUGHLIN HIPERTENSION PULMONAR ,TRATADO DE MEDICINA INTERNA GOLDMAN25 EDICION
(PAG,397-401) 2017. Elsevier Espana, S.L.U. 2017
COR PULMONALE
Epidemiologia
• Es la tercera causa más frecuente de
disfunción cardíaca, tras la enfermedad
coronaria y la cardiopatía hipertensiva en
pacientes mayores de 50 años.
• La mortalidad llega al 45-50% si requieren
tratamiento o ingreso en una Unidad de
Cuidados Intensivos.
• A nivel mundial es la cuarta causa de
muerte.
Cor pulmonale P. Hernández Simón M. Lázaro Salvador, Medicine2017;12(35):2116-26
COR PULMONALE
Epidemiologia
• En Estados Unidos se estima que 100
mil pacientes por año mueren por
EPOC y en un estudio de necropsias de
sujetos con esta enfermedad se
encontró evidencia de CP en el 40%.
• La Organización Mundial de la Salud
clasifica a los pacientes
con HP en 5 grupos basados en su
etiología:
Cor pulmonale P. Hernández Simón M. Lázaro Salvador, Medicine2017;12(35):2116-26
CLASIFICACIÓN CLÍNICA ACTUALIZADA DE LA HIPERTENSIÓN PULMONAR
GRUPO 1
Hipertension arterial pulmonar
1. Hipertension arterial pulmonar idiopatica
2. Hipertension arterial pulmonar hereditaria
3. Hipertension pulmonar inducida por farmacos y toxinas
4. Asociada a
1. Conectivopatias
2. Infeccion por el VIH
3. Hipertension portal
4. Cardiopatias congenitas
GRUPO 2
Hipertensión pulmonar debida a cardiopatía
izquierda
1. Disfuncion sistolica
2. Disfuncion diastolica
3. Valvulopatia
GRUPO 3
Hipertensión pulmonar debida a neumopatías o
hipoxia
1. Enfermedad pulmonar obstructiva cronica
2. Neumopatia intersticial
3. Otras neumopatias con patrones mixtos de restriccion y obstruccion
4. Respiracion que se altera con el sueño
5. Trastornos por hipoventilacion alveolar
GRUPO 4
Hipertensión pulmonar tromboembólica crónica
GRUPO 5
Hipertensión pulmonar con mecanismos
multifactoriales no aclarados
Trastornos hematológicos: trastornos mieloproliferativos, esplenectomía
Trastornos sistémicos: sarcoidosis, histiocitosis pulmonar con células de
Langerhans, neurofibromatosis, vasculitis
Simonneau G, Gatzoulis MA, Adatia I, et al. Updated clinical classification of pulmonary hypertension. J Am Coll Cardiol. 2013;62:D3
Cor pulmonale
EPOC
Se estima que hasta el 20-30% de los
pacientes con EPOC tienen cor
pulmonale
• La gravedad se correlaciona con
hipoxemia, hipercapnia y
obstrucción en la vía aérea.
• Presentan hipertrofia del VD el 40%
de los pacientes con flujo espiratorio
máximo en el primer segundo (FEV1)
menor de 1 litro y el 70% con FEV1<
de 0,6 litros
Cor pulmonale P. Hernández Simón M. Lázaro Salvador, Medicine2017;12(35):2116-26
CORPULMONALE
ENFERMEDADES INTERSTICIALES
Fibrosis y destrucción del parénquima
pulmonar y obliteración del lecho
vascular pulmonar, provocando HP y
cor pul-monale
• Hasta el 40% de los pacientes con
fibrosis pulmonar tienen evidencia
ecocardiográfica de HP.
Cor pulmonale P. Hernández Simón M. Lázaro Salvador, Medicine2017;12(35):2116-26
Corpulmonale
Tromboembolismo pulmonar
• La embolia de pulmón es la causa
más frecuente de cor pulmonale
agudo.
• Menos del 5% de los pacientes
con tromboembolismo pulmonar
agudo acaban desarrollando HP
tromboembólica crónica
Cor pulmonale P. Hernández Simón M. Lázaro Salvador, Medicine2017;12(35):2116-26
Corpulmonale
Síndrome de apnea del sueño
• Síndrome de apnea/hipopnea del
sueño se asocia con HP y cor
pulmonale en aproximadamente
el 20% de los pacientes.
• La HP acompañante es
habitualmente moderada y no se
relaciona completamente con la
magnitud de los eventos
respiratorios nocturnos.
Cor pulmonale P. Hernández Simón M. Lázaro Salvador, Medicine2017;12(35):2116-26
Neumopatía primaria
Aguda Crónica
Aumento resistencia al flujo
sanguíneo alteraciones
vasculares
Hipertensión pulmonar arterial
Crecimiento el ventrículo derecho
Por dilatación Por hipertrofia
Cor pumonale agudo
Cor pulmonale
crónico
Cor pulmonale P. Hernández Simón M. Lázaro Salvador, Medicine2017;12(35):2116-26
Corpulmonale agudo
Aumento brusco de
resistencia vasculares
Hipertensión arterial
pulmonar
Aumento en la poscarga
Incapacidad de vaciamiento de
VD
Aumento del volumen
residual /retorno venoso
Aumento de la precarga Mayor volumen sanguíneo
Crecimiento ventricular por
dilatacion
Neumopatía
primaria
Cor pulmonale P. Hernández Simón M. Lázaro Salvador, Medicine2017;12(35):2116-26
Neumopatía crónica
Alteraciones funcionales Alteraciones anatómicas
vasculares >R flujo
Hipoxemia
Acidosis
Hipercapnia
Vasoconstricción
Hipertensión
arterial pulmonar
Aumento de
precarga
Aumento del trabajo
ventrículo derecho
Hipertrofia el
ventrículo derecho
Cor pulmonale
cronico
Cor pulmonale P. Hernández Simón M. Lázaro Salvador, Medicine2017;12(35):2116-26
Raúl J. Bevacqua et al Antagonistas de los receptores de la endotelina para la hipertensión arterial pulmonar Insuf. card. vol.8
no.2 jun. 2013
Manifestaciones clínica
• Son habitualmente crónicas y lentamente progresivas, aunque
pueden ser agudas los síntomas suelen ser inespecíficos, muchos
pueden ser también ocasionados por la enfermedad de base
Síntomas Signos
Astenia Impulso VD palpable
Fatiga Incremento en la intensidad del componente
pulmonar del segundo ruido.
síncope de esfuerzo Soplo holosistólico tricuspídeo.
Angina de esfuerzo Soplo de regurgitación tricúspide e insuficiencia
pulmonar
Anorexia y molestias en hipocondrio derecho y
abdominales
Hepatomegalia.
*Tos, producción de esputo o sibilancias. Edema
Acitis
Cor pulmonale P. Hernández Simón M. Lázaro Salvador, Medicine2017;12(35):2116-26
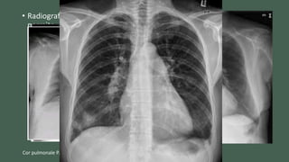
Diagnostico sindromático
Radiografía AP y LATERAL ECG ECOCARDIOGRAMA
CATETERISMO
DEREHO
Cor pulmonale P. Hernández Simón M. Lázaro Salvador, Medicine2017;12(35):2116-26
Diagnóstico. Pruebas complementarias
• La sensibilidad del electrocardiograma para el diagnóstico de CP es
del 20 al 40%, mientras que la especificidad de signos de hipertrofia
del ventrículo derecho es mayor.
Cor pulmonale P. Hernández Simón M. Lázaro Salvador, Medicine2017;12(35):2116-26
• Radiografía en proyección postero-anterior y lateral dado que
permite observar datos sugestivos de enfermedad pulmonar
como origen de la hipertensión pulmonar y evaluar
crecimiento ventricular derecho.
Cor pulmonale P. Hernández Simón M. Lázaro Salvador, Medicine2017;12(35):2116-26
Ecocardiograma
• Aumento el grosor parietal del VD
• Movimiento paradójico del septo hacia ventrículo izquierdo
• Crecimiento el VD
• Detectar la etiología
Cor pulmonale P. Hernández Simón M. Lázaro Salvador, Medicine2017;12(35):2116-26
CATETERISMO
DERECHO
Si la evaluación no invasiva
nos hace sospechar de la
presencia de hipertensión
arterial pulmonar
Medir la presión en la auricula
y el ventrículo derechos, las
presiones en la arteria
pulmonar.
VALLERIE MCLAUGHLIN HIPERTENSION PULMONAR ,TRATADO DE MEDICINA INTERNA GOLDMAN25 EDICION
(PAG,397-401) 2017. Elsevier España, S.L.U. 2017
Sus indicaciones principales son:
1. Síntomas y signos de cor pulmonale con pruebas
diagnósticas
no invasivas normales o no diagnósticas.
2. Confirmación de los hallazgos no invasivos que sugieren
HP y cor pulmonale.
3. Descartar enfermedad del corazón izquierdo como
causa de la HP y disfunción del VD
4. Inicio de tratamiento con guía directa de las medidas
hemodinámicas, en algunos casos fundamentalmente de
HAP idiopática.
Diagnostico etiológico
TAC GAMMAGRAFIA PRUEBA
RESPIRATORIAS
-Diametro
arterias
pulmonares
-Trombosis
Tromboembolismo
pulmonar
-Espirometria
-Diagnostico de
enfermedad pulmonar
VEF 1<30 % o <50%
Cor pulmonale P. Hernández Simón M. Lázaro Salvador, Medicine2017;12(35):2116-26
Tratamiento
• Medidas generales
• Actividad física.
• Rehabilitación física y pulmonar supervisada.
• Consejería reproductiva.
• Terapia psicológica.
VALLERIE MCLAUGHLIN HIPERTENSION PULMONAR ,TRATADO DE MEDICINA INTERNA GOLDMAN25 EDICION
(PAG,397-401) 2017. Elsevier Espana, S.L.U. 2017
GUIA DE PRACTICA CLINICA 2017 DIAGNOSTICO Y TRATAMIENTO DE COR PULMONALE EN EL SEGUNDO Y TERCER
NIVEL DE ATENCION
Tratamiento
Anticoagulantes
DIGOXINA Oral. Adultos: Carga: 0.4 a 0.6 mg. Subsecuente 1er día:
0.1 a 0.3mg cada 8 horas.
Diuréticos
FUROSEMIDE Oral. Adultos: 20 a 80 mg cada 24
horas. IV O IM .
Adultos: 100 a 200 mg.
Antagonitas de los canales de calcio
NIFEDIPINO Oral. Adultos: 30 mg cada 24 horas,dosis máxima
60mg/día.
INOTROPICO
Digoxina. Oral. Adultos: Carga: 0.4 a 0.6
mg. Subsecuente 1er día: 0.1 a 0.3
mg cada 8 horas
Prostanoides
El treprostinil Oral
(comenzando con 0,25 mg dos veces al día con
las comidas, y aumentando hasta
12 mg dos veces al día con las comidas, si se
toleran)
Antagonistas de endotelina
BONSENTAN 125mg dos veces al día, se produce una
elevación hasta 8 veces
de la ALT entre un 3 y un 7% de los
pacientes
Inhibidores de la Fosfodiesterasa 5
SILDENAFIL Oral.
Adultos: 50 a
100 mg.
VALLERIE MCLAUGHLIN HIPERTENSION PULMONAR ,TRATADO DE MEDICINA INTERNA GOLDMAN25 EDICION
(PAG,397-401) 2017. Elsevier Espana, S.L.U. 2017
• El transplante pulmonar en
estadios avanzados de la
enfermedad (EPOC, fibrosis
pulmonar idiopática y fibrosis
quiística) puede revertir la
afección del ventrículo derecho.
GUIA DE PRACTICA CLINICA 2017 DIAGNOSTICO Y TRATAMIENTO DE COR PULMONALE EN EL SEGUNDO Y TERCER NIVEL DE
ATENCION

Cor pulmonale

  • 1.
    COR PULMONALE SESION SEMANALDE MEDICINA INTERNA. HGZ No. 6 CD. VALLES, SLP DR. ULISES ALEJANDRO MAYOR REYES MIP 98256851 OCTUBRE 2018
  • 2.
    COR PULMONALE Definición • Elcor pulmonale se refiere a la alteración estructural (hipertrofia o dilatación) y al deterioro funcional del ventrículo derecho, resultado del aumento de presiones pulmonares asociado con enfermedades del parénquima pulmonar o de su vasculatura. • El cor pulmonale suele ser una patología crónica y lentamente progresiva, pero puede presentarse de forma aguda. Cor pulmonale P. Hernández Simón M. Lázaro Salvador, Medicine2017;12(35):2116-26
  • 3.
    COR PULMONALE Definición • HIPEERTENSIONARTERIAL PULMONAR: • Se define, desde el punto de vista hemodinámico, como una presión en la arteria pulmonar media (PAPm) >25 mm Hg con presión capilar • HAP LEVE :25-45 mmHg • HAP MODERADA :45-65 mmHg • HAP SEVERA: >65 mmHg • VALLERIE MCLAUGHLIN HIPERTENSION PULMONAR ,TRATADO DE MEDICINA INTERNA GOLDMAN25 EDICION (PAG,397-401) 2017. Elsevier Espana, S.L.U. 2017
  • 4.
    COR PULMONALE Epidemiologia • Esla tercera causa más frecuente de disfunción cardíaca, tras la enfermedad coronaria y la cardiopatía hipertensiva en pacientes mayores de 50 años. • La mortalidad llega al 45-50% si requieren tratamiento o ingreso en una Unidad de Cuidados Intensivos. • A nivel mundial es la cuarta causa de muerte. Cor pulmonale P. Hernández Simón M. Lázaro Salvador, Medicine2017;12(35):2116-26
  • 5.
    COR PULMONALE Epidemiologia • EnEstados Unidos se estima que 100 mil pacientes por año mueren por EPOC y en un estudio de necropsias de sujetos con esta enfermedad se encontró evidencia de CP en el 40%. • La Organización Mundial de la Salud clasifica a los pacientes con HP en 5 grupos basados en su etiología: Cor pulmonale P. Hernández Simón M. Lázaro Salvador, Medicine2017;12(35):2116-26
  • 6.
    CLASIFICACIÓN CLÍNICA ACTUALIZADADE LA HIPERTENSIÓN PULMONAR GRUPO 1 Hipertension arterial pulmonar 1. Hipertension arterial pulmonar idiopatica 2. Hipertension arterial pulmonar hereditaria 3. Hipertension pulmonar inducida por farmacos y toxinas 4. Asociada a 1. Conectivopatias 2. Infeccion por el VIH 3. Hipertension portal 4. Cardiopatias congenitas GRUPO 2 Hipertensión pulmonar debida a cardiopatía izquierda 1. Disfuncion sistolica 2. Disfuncion diastolica 3. Valvulopatia GRUPO 3 Hipertensión pulmonar debida a neumopatías o hipoxia 1. Enfermedad pulmonar obstructiva cronica 2. Neumopatia intersticial 3. Otras neumopatias con patrones mixtos de restriccion y obstruccion 4. Respiracion que se altera con el sueño 5. Trastornos por hipoventilacion alveolar GRUPO 4 Hipertensión pulmonar tromboembólica crónica GRUPO 5 Hipertensión pulmonar con mecanismos multifactoriales no aclarados Trastornos hematológicos: trastornos mieloproliferativos, esplenectomía Trastornos sistémicos: sarcoidosis, histiocitosis pulmonar con células de Langerhans, neurofibromatosis, vasculitis Simonneau G, Gatzoulis MA, Adatia I, et al. Updated clinical classification of pulmonary hypertension. J Am Coll Cardiol. 2013;62:D3
  • 7.
    Cor pulmonale EPOC Se estimaque hasta el 20-30% de los pacientes con EPOC tienen cor pulmonale • La gravedad se correlaciona con hipoxemia, hipercapnia y obstrucción en la vía aérea. • Presentan hipertrofia del VD el 40% de los pacientes con flujo espiratorio máximo en el primer segundo (FEV1) menor de 1 litro y el 70% con FEV1< de 0,6 litros Cor pulmonale P. Hernández Simón M. Lázaro Salvador, Medicine2017;12(35):2116-26
  • 8.
    CORPULMONALE ENFERMEDADES INTERSTICIALES Fibrosis ydestrucción del parénquima pulmonar y obliteración del lecho vascular pulmonar, provocando HP y cor pul-monale • Hasta el 40% de los pacientes con fibrosis pulmonar tienen evidencia ecocardiográfica de HP. Cor pulmonale P. Hernández Simón M. Lázaro Salvador, Medicine2017;12(35):2116-26
  • 9.
    Corpulmonale Tromboembolismo pulmonar • Laembolia de pulmón es la causa más frecuente de cor pulmonale agudo. • Menos del 5% de los pacientes con tromboembolismo pulmonar agudo acaban desarrollando HP tromboembólica crónica Cor pulmonale P. Hernández Simón M. Lázaro Salvador, Medicine2017;12(35):2116-26
  • 10.
    Corpulmonale Síndrome de apneadel sueño • Síndrome de apnea/hipopnea del sueño se asocia con HP y cor pulmonale en aproximadamente el 20% de los pacientes. • La HP acompañante es habitualmente moderada y no se relaciona completamente con la magnitud de los eventos respiratorios nocturnos. Cor pulmonale P. Hernández Simón M. Lázaro Salvador, Medicine2017;12(35):2116-26
  • 11.
    Neumopatía primaria Aguda Crónica Aumentoresistencia al flujo sanguíneo alteraciones vasculares Hipertensión pulmonar arterial Crecimiento el ventrículo derecho Por dilatación Por hipertrofia Cor pumonale agudo Cor pulmonale crónico Cor pulmonale P. Hernández Simón M. Lázaro Salvador, Medicine2017;12(35):2116-26
  • 12.
    Corpulmonale agudo Aumento bruscode resistencia vasculares Hipertensión arterial pulmonar Aumento en la poscarga Incapacidad de vaciamiento de VD Aumento del volumen residual /retorno venoso Aumento de la precarga Mayor volumen sanguíneo Crecimiento ventricular por dilatacion Neumopatía primaria Cor pulmonale P. Hernández Simón M. Lázaro Salvador, Medicine2017;12(35):2116-26
  • 13.
    Neumopatía crónica Alteraciones funcionalesAlteraciones anatómicas vasculares >R flujo Hipoxemia Acidosis Hipercapnia Vasoconstricción Hipertensión arterial pulmonar Aumento de precarga Aumento del trabajo ventrículo derecho Hipertrofia el ventrículo derecho Cor pulmonale cronico Cor pulmonale P. Hernández Simón M. Lázaro Salvador, Medicine2017;12(35):2116-26
  • 14.
    Raúl J. Bevacquaet al Antagonistas de los receptores de la endotelina para la hipertensión arterial pulmonar Insuf. card. vol.8 no.2 jun. 2013
  • 15.
    Manifestaciones clínica • Sonhabitualmente crónicas y lentamente progresivas, aunque pueden ser agudas los síntomas suelen ser inespecíficos, muchos pueden ser también ocasionados por la enfermedad de base Síntomas Signos Astenia Impulso VD palpable Fatiga Incremento en la intensidad del componente pulmonar del segundo ruido. síncope de esfuerzo Soplo holosistólico tricuspídeo. Angina de esfuerzo Soplo de regurgitación tricúspide e insuficiencia pulmonar Anorexia y molestias en hipocondrio derecho y abdominales Hepatomegalia. *Tos, producción de esputo o sibilancias. Edema Acitis Cor pulmonale P. Hernández Simón M. Lázaro Salvador, Medicine2017;12(35):2116-26
  • 16.
    Diagnostico sindromático Radiografía APy LATERAL ECG ECOCARDIOGRAMA CATETERISMO DEREHO Cor pulmonale P. Hernández Simón M. Lázaro Salvador, Medicine2017;12(35):2116-26
  • 17.
    Diagnóstico. Pruebas complementarias •La sensibilidad del electrocardiograma para el diagnóstico de CP es del 20 al 40%, mientras que la especificidad de signos de hipertrofia del ventrículo derecho es mayor. Cor pulmonale P. Hernández Simón M. Lázaro Salvador, Medicine2017;12(35):2116-26
  • 18.
    • Radiografía enproyección postero-anterior y lateral dado que permite observar datos sugestivos de enfermedad pulmonar como origen de la hipertensión pulmonar y evaluar crecimiento ventricular derecho. Cor pulmonale P. Hernández Simón M. Lázaro Salvador, Medicine2017;12(35):2116-26
  • 19.
    Ecocardiograma • Aumento elgrosor parietal del VD • Movimiento paradójico del septo hacia ventrículo izquierdo • Crecimiento el VD • Detectar la etiología Cor pulmonale P. Hernández Simón M. Lázaro Salvador, Medicine2017;12(35):2116-26
  • 21.
    CATETERISMO DERECHO Si la evaluaciónno invasiva nos hace sospechar de la presencia de hipertensión arterial pulmonar Medir la presión en la auricula y el ventrículo derechos, las presiones en la arteria pulmonar. VALLERIE MCLAUGHLIN HIPERTENSION PULMONAR ,TRATADO DE MEDICINA INTERNA GOLDMAN25 EDICION (PAG,397-401) 2017. Elsevier España, S.L.U. 2017 Sus indicaciones principales son: 1. Síntomas y signos de cor pulmonale con pruebas diagnósticas no invasivas normales o no diagnósticas. 2. Confirmación de los hallazgos no invasivos que sugieren HP y cor pulmonale. 3. Descartar enfermedad del corazón izquierdo como causa de la HP y disfunción del VD 4. Inicio de tratamiento con guía directa de las medidas hemodinámicas, en algunos casos fundamentalmente de HAP idiopática.
  • 22.
    Diagnostico etiológico TAC GAMMAGRAFIAPRUEBA RESPIRATORIAS -Diametro arterias pulmonares -Trombosis Tromboembolismo pulmonar -Espirometria -Diagnostico de enfermedad pulmonar VEF 1<30 % o <50% Cor pulmonale P. Hernández Simón M. Lázaro Salvador, Medicine2017;12(35):2116-26
  • 23.
    Tratamiento • Medidas generales •Actividad física. • Rehabilitación física y pulmonar supervisada. • Consejería reproductiva. • Terapia psicológica. VALLERIE MCLAUGHLIN HIPERTENSION PULMONAR ,TRATADO DE MEDICINA INTERNA GOLDMAN25 EDICION (PAG,397-401) 2017. Elsevier Espana, S.L.U. 2017
  • 24.
    GUIA DE PRACTICACLINICA 2017 DIAGNOSTICO Y TRATAMIENTO DE COR PULMONALE EN EL SEGUNDO Y TERCER NIVEL DE ATENCION Tratamiento Anticoagulantes DIGOXINA Oral. Adultos: Carga: 0.4 a 0.6 mg. Subsecuente 1er día: 0.1 a 0.3mg cada 8 horas. Diuréticos FUROSEMIDE Oral. Adultos: 20 a 80 mg cada 24 horas. IV O IM . Adultos: 100 a 200 mg. Antagonitas de los canales de calcio NIFEDIPINO Oral. Adultos: 30 mg cada 24 horas,dosis máxima 60mg/día. INOTROPICO Digoxina. Oral. Adultos: Carga: 0.4 a 0.6 mg. Subsecuente 1er día: 0.1 a 0.3 mg cada 8 horas
  • 26.
    Prostanoides El treprostinil Oral (comenzandocon 0,25 mg dos veces al día con las comidas, y aumentando hasta 12 mg dos veces al día con las comidas, si se toleran) Antagonistas de endotelina BONSENTAN 125mg dos veces al día, se produce una elevación hasta 8 veces de la ALT entre un 3 y un 7% de los pacientes Inhibidores de la Fosfodiesterasa 5 SILDENAFIL Oral. Adultos: 50 a 100 mg. VALLERIE MCLAUGHLIN HIPERTENSION PULMONAR ,TRATADO DE MEDICINA INTERNA GOLDMAN25 EDICION (PAG,397-401) 2017. Elsevier Espana, S.L.U. 2017
  • 27.
    • El transplantepulmonar en estadios avanzados de la enfermedad (EPOC, fibrosis pulmonar idiopática y fibrosis quiística) puede revertir la afección del ventrículo derecho. GUIA DE PRACTICA CLINICA 2017 DIAGNOSTICO Y TRATAMIENTO DE COR PULMONALE EN EL SEGUNDO Y TERCER NIVEL DE ATENCION

Notas del editor

  • #15 MAS FISIOPATOLOGIA , ESQUEMAS
  • #18 El electrocardiograma de sujetos con CP puede tener uno o más de los siguientes signos: a) Eje de P > 90 º o “P” pulmonar. b) Patrón S1, S2, S3 (Onda S en DI, DII, DIII). c) Patrón S1, Q3 (Onda S en DI, onda Q en DIII). d) Bloqueo de rama derecha. e) Hipertrofia ventricular derecha (R prominente en V1-V2, rS en V5-V6, RS en V1 o rS en todas las precordiales). f) QRS bajo voltaje
  • #27 RIOSIGUAT INVESTIGAR