Dr. Sergio Velásquez.
Residentes primer semestre
Post-grado de ortodoncia y ortopedia maxilar
ESTABLECIENDO UN DIAGNOSTICO GLOBAL
INICIAL
Preguntas
al paciente
Exploración
clínica
Ayudas
diagnosticas
capitulo 6 proffit,capitulo 6 y 7 canut, capitulo 1,2,3 gregroret
EXPLORACION BASICA
ALTERACIONES FUNCIONALES
ALTERACIONES ESTETICAS
capitulo 6 proffit,capitulo 6 y 7 canut, capitulo 1,2,3 gregroret
ESTABLECER POSIBLES CAUSAS
INDAGAR:
• TRATAMIENTOS
FARMACOLOGICOS
• TRAUMATISMOS
• CRECIMIENTO Y
DESARROLLO
• VALORACION
SOCIAL
capitulo 6 proffit,capitulo 6 y 7 canut, capitulo 1,2,3 gregroret
EXPLORACION CLINICA
SALUD ORAL
FUNCIONES
MANDIBULARES
PROPORCIONES
FACIALES
CARACTERISTICAS
DE LA SONRISA
capitulo 6 proffit,capitulo 6 y 7 canut, capitulo 1,2,3 gregroret
MÉTODOS DIRECTOS
• ANAMNESIS
• EXPLORACIÓN VISUAL Y PALPACIÓN MANUAL E INSTRUMENTAL
MÉTODOS INDIRECTOS
• FOTOGRAFÍAS
• RADIOGRAFÍAS
• MODELOS DE ESTUDIO
• MODELOS MONTADOS EN ARTICULADOR
ESTUDIO CLÍNICO DEL PACIENTE
SIGNOS Y
SINTOMAS
CUADRO
CLÍNICO
ENFERMEDAD
capitulo 6 proffit,capitulo 6 y 7 canut, capitulo 1,2,3 gregroret
ANAMNESIS
• MOTIVACIÓN CONSULTA
• CLÍNICO GENERAL –
ESPECIALISTA
• ETIOPATOGENIA
o GENÉTICAS, FACTORES
LOCALES, ETC.
ESTUDIO CLÍNICO DEL PACIENTE
Recoger
información
mediante la
historia
clínica
Examen
físico
Hipótesis
diagnósticas
capitulo 6 proffit,capitulo 6 y 7 canut, capitulo 1,2,3 gregroret
EXPLORACIÓN VISUAL Y PALPACIÓN
FACIAL
• ESTÉTICA
• MÍMICA
• EXPRESIÓN
• RELACIÓN – ANOMALÍA
DENTOESQUELETAL – ESTÉTICA Y/O
FUNCIÓN
ESTUDIO CLÍNICO DEL PACIENTE
capitulo 6 proffit,capitulo 6 y 7 canut, capitulo 1,2,3 gregroret
BUCODENTAL
• TEJIDOS BLANDOS
• DENTICIÓN
• DIFERENTES FUNCIONES
• HÁBITOS
• PERIODONTAL
ESTUDIO CLÍNICO DEL PACIENTE
capitulo 6 proffit,capitulo 6 y 7 canut, capitulo 1,2,3 gregroret
EXAMEN FACIAL
ESTUDIO DEL PERFIL
SAGITAL: AVANCE O RETROCESO
• GLABELA Y PUENTE DE LA NARIZ.
• PUNTA DE LA NARIZ.
• ANGULO NASOLABIAL.
• LABIO SUPERIOR.
• LABIO INFERIOR.
• SURCO LABIO MENTONIANO.
• TEJIDOS BLANDOS DEL MENTÓN.
• TEJIDOS BLANDOS SUBMANDIBULARES.
capitulo 6 proffit,capitulo 6 y 7 canut, capitulo 1,2,3 gregroret
ESTUDIO DEL PERFIL
VERTICAL
MÉTODO TRADICIONAL
• SUPERIOR: TRICHION – GLABELA
• MEDIO: GLABELA – SUBNASAL
• INFERIOR: SUBNASAL – MENTONIANO
capitulo 6 proffit,capitulo 6 y 7 canut, capitulo 1,2,3 gregroret
ESTUDIO DEL PERFIL
capitulo 6 proffit,capitulo 6 y 7 canut, capitulo 1,2,3 gregroret
ESTUDIO DEL PERFIL
ESTUDIO DE LOS DOS TERCIOS INFERIORES
• NASION – SUBNASAL
• SUBNASAL – MENTONIANO
SUBNASAL – STOMION SUPERIOR – UN TERCIO
STOMION INFERIOR – MENTONIANO – DOS TERCIOS
 ABERTURA INTERLABIAL
 RELACIÓN INCISIVOS SUPERIORES
 CON EL LABIO SUPERIOR
capitulo 6 proffit,capitulo 6 y 7 canut, capitulo 1,2,3 gregroret
ESTUDIO DEL PERFIL
capitulo 6 proffit,capitulo 6 y 7 canut, capitulo 1,2,3 gregroret
ESTUDIO FRONTAL
capitulo 6 proffit,capitulo 6 y 7 canut, capitulo 1,2,3 gregroret
ESTUDIO FRONTAL
capitulo 6 proffit,capitulo 6 y 7 canut, capitulo 1,2,3 gregroret
ASIMETRÍA MANDIBULAR
FUNCIONAL
• NO PRESENTA ASIMETRÍA ESTRUCTURAL
• MALPOSICION
• DESPLAZAMIENTO LATERAL
 OCLUSAL
 ARTICULAR
 MUSCULAR
capitulo 6 proffit,capitulo 6 y 7 canut, capitulo 1,2,3 gregroret
capitulo 6 proffit,capitulo 6 y 7 canut, capitulo 1,2,3 gregroret
ESQUELETAL
• CRECIMIENTO CONDILAR DESIGUAL
• LONGITUD DE LAS RAMAS
• LÍNEA MEDIA DESVIADA HACIA EL LADO DE MENOR DESARROLLO
capitulo 6 proffit,capitulo 6 y 7 canut, capitulo 1,2,3 gregroret
capitulo 6 proffit,capitulo 6 y 7 canut, capitulo 1,2,3 gregroret
capitulo 6 proffit,capitulo 6 y 7 canut, capitulo 1,2,3 gregroret
LÍNEAS MEDIAS DENTARIAS
• LÍNEA MEDIA DENTARÍA SUPERIOR CON RESPECTO A
LA LÍNEA MEDIA FACIAL.
• EXTRACCIONES O AGENESIAS UNILATERALES,
IATROGENIA (EXTRACCIONES UNILATERALES DE
DIENTES TEMPORALES), SECUENCIA DE ERUPCIÓN,
ETC.
• HIPO DESARROLLO VERTICAL UNILATERAL DEL MAXILAR
SUPERIOR.
capitulo 6 proffit,capitulo 6 y 7 canut, capitulo 1,2,3 gregroret
• LÍNEA MEDIA DENTARÍA INFERIOR
CON RESPECTO A LA LÍNEA MEDIA
MANDIBULAR Y LÍNEA MEDIA FACIAL.
• DENTARIO (FRENILLOS LABIAL Y
LINGUAL)
• MANDIBULAR (FUNCIONAL O
ESQUELETAL)
• TEJIDOS BLANDOS, ESPESOR,
TONO MUSCULAR, RELAJACIÓN,
LONGITUD, ETC.
capitulo 6 proffit,capitulo 6 y 7 canut, capitulo 1,2,3 gregroret
EXAMEN BUCODENTAL
1. EXAMEN CLÍNICO
2. EXÁMENES
COMPLEMENTARIOS
EXAMEN CLÍNICO
1. TEJIDOS BLANDOS
LABIOS
capitulo 6 proffit,capitulo 6 y 7 canut, capitulo 1,2,3 gregroret
TEJIDOS BLANCOS
MUCOSA BUCAL
TEJIDOS BLANDOS
FRENILLOS
TEJIDOS BLANDOS
ENCÍAS
EXAMEN PERIODONTAL
1. EXAMEN CLÍNICO
2. EXAMEN RADIOGRÁFICO
3. EXAMEN LABORATORIO
TEJIDOS BLANDOS
ENCÍAS
EXAMEN PERIODONTAL
1. EXAMEN CLÍNICO
2. EXAMEN RADIOGRÁFICO
3. EXAMEN LABORATORIO
capitulo 6 proffit,capitulo 6 y 7 canut, capitulo 1,2,3 gregroret
EXAMEN CLÍNICO
• EVALUACIÓN DE HIGIENE ORAL
capitulo 6 proffit,capitulo 6 y 7 canut, capitulo 1,2,3 gregroret
EXAMEN CLÍNICO
• NIVEL DE INSERCIÓN
• PROFUNDIDAD DEL SONDAJE
• EVALUACIÓN DEL SANGRADO Y
EXUDADO.
capitulo 6 proffit,capitulo 6 y 7 canut, capitulo 1,2,3 gregroret
EXAMEN CLÍNICO
• EVALUACIÓN DE LA MOVILIDAD DENTARIA
GRADO 0: MOVILIDAD FISIOLÓGICA
GRADO 1: SENTIDO VESTIBULO-LINGUAL
GRADO 2: SENTIDO V-L Y MESIODISTAL
GRADO 3: TODAS LAS ANTERIORES
capitulo 6 proffit,capitulo 6 y 7 canut, capitulo 1,2,3 gregroret
EXAMEN RADIOGRÁFICO PERIODONTAL
1. RADIOGRAFÍA PERIAPICAL
EXAMEN RADIOGRÁFICO PERIODONTAL
2. BITEWING (ALETA DE MORDIDA)
EXAMENES COMPLEMTARIOS
RADIOGRAFÍAS
1. PANORÁMICA
RADIOGRAFÍA
2. PERIAPICALES
3. OCLUSALES
ASPECTOS DENTALES: MICROESTETICA
Anchura
relacionada
entre si
Anterosuperio
al sonreir y M-
D real
62 %
proporción
aurea
Anchura de los
dientes 80% de su alto
Proporciones alto –
ancho
capitulo 6 proffit,capitulo 6 y 7 canut, capitulo 1,2,3 gregroret
ALTO
Altura
gingival
proporcional
IC y
canino
elevado
IL 1.5 mm
abajo
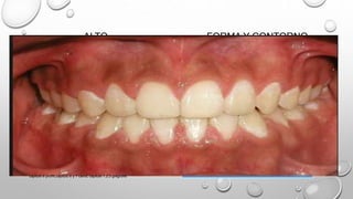
FORMA Y CONTORNO
Curvatura de la encía
en el margen de los
dientes
IL ovalada, punto cenit
eje axial del diente
IC canino elíptica,
punto cenit distal al eje
del diente
capitulo 6 proffit,capitulo 6 y 7 canut, capitulo 1,2,3 gregroret
CONECTORES
• ZONA DE APARENTE CONTACTO
INTERDENTAL
• SE EXTIENDE APICAL U OCLUSAL DEL
PUNTO DE CONTACTO REAL
TRONERAS
• TRIÁNGULOS NEGROS
• PERDIDA PAPILA INTERDENTAL
• SE DETECTA DE 3 MM EN ADELANTE
capitulo 6 proffit,capitulo 6 y 7 canut, capitulo 1,2,3 gregroret
REGISTROS DIAGNOSTICOS
DOCUMENTAR
CONDICIONES
PREVIAS AL TTO
COMPLEMENTAR
INFORMACION
OBTENIDA EN LA
EXPLORACION
CLINICA
FUNCIONES
capitulo 6 proffit,capitulo 6 y 7 canut, capitulo 1,2,3 gregroret
REGISTROS DX EN ORTODONCIA
SE CLASIFICAN EN
TRES:
REGISTROS
PARA VALORAR
DIENTES Y
ESTRUCTURAS
BUCALES
REGISTROS
PARA VALORAR
LA OCLUSION
- REGISTROS
PROPORCIONES
FACIALES Y
MAXILARES
capitulo 6 proffit,capitulo 6 y 7 canut, capitulo 1,2,3 gregroret
SALUD DE LOS DIENTES Y ESTRUCTURAS
BUCALES
RX INTRABUCALES:
(RUTINA TTO
ORTODONTICOS
COMPLEJO)
RX PANORAMICA
RX PERIAPICAL Y
ALETA DE MORDIDA
TOMOGRAFIA
COMPUTARIZADA
HAZ CONICO 3D
(localización caninos)
Rx de la articulacion
TM
capitulo 6 proffit,capitulo 6 y 7 canut, capitulo 1,2,3 gregroret
ALINEAMIENTO DENTAL Y OCLUSION
• IMPRESIONES
• MODELOS
• REGISTROS DE MORDIDA
• MONTAJE
capitulo 6 proffit,capitulo 6 y 7 canut, capitulo 1,2,3 gregroret
REGISTRO MINIM0S
MODELOS
RX PANORAMICA,
PERIAPICAL SI LO
REQUIERE
DATOS ANALISIS
MORFOLOGIA
FACIAL
RX
CEFALOMETRICA
LATERAL
FOTOS INTRA Y
EXTRAORALES
capitulo 6 proffit,capitulo 6 y 7 canut, capitulo 1,2,3 gregroret
OCLUSION NORMAL Y
MALOCLUSION
Normooclusión : patrón de referencia ó situación óptima en las relaciones
oclusales.
Oclusión: Relación que se establecen al poner los arcos dentarios en contacto.
FUNCIÓN MASTICATORIA + INTEGRIDAD DENTAL + ARMONIA EN
LAS ESTRUCTURAS
DIAGNOSTICO
OCLUSIÓN NORMAL
• RELACIONES OCLUSALES (CARABELLI 1842):
1. MORDEX NORMALIS
2. MORDEX RECTUS
3. MORDEX APERTUS
4. MORDES RETRUSUS
5. MORDEX TORTOUSUS
• SIGLO IXX: DIENTES (CÚSPIDES - FOSAS ANTAGONISTAS)
DIENTES + BASES OSEAS
MAXILARES ENTRES SÍ
capitulo 6 proffit,capitulo 6 y 7 canut, capitulo 1,2,3 gregroret
Valoración del Paciente
MALOCLUSION
DIAGNOSTICO
Edwar Angle: “Patrón
dental de la
naturaleza” relación
normal de planos
inclinados dentales
con arcadas dentarias
en intimo contacto.
Hoy = Oclusión ideal +
fibras periodontales +
estructuras óseas
alveolar + cto
armónico de maxilares
+ función + sistema
neuromuscular.
Oclusión según
Strang:
capitulo 6 proffit,capitulo 6 y 7 canut, capitulo 1,2,3 gregroret
Oclusión según Strang:
1. Estructuras
(dientes,
membrana
periodontal, hueso
alveolar, hueso
basal y músculos)
+ Rx + Pruebas
Funcionales
+Inspección de
dientes y tejido
blandos.
2. Planos
Inclinados.
3. Dientes en
equilibrio de bases
óseas y
estructuras
craneofaciales
(céfalometrias).
4. Rel. proximal de
cada diente e
inclinicación axial.
5. Cto y Dllo (óseo
– facial) en
armonía con
estructuras
craneales
capitulo 6 proffit,capitulo 6 y 7 canut, capitulo 1,2,3 gregroret
ANATOMIA DE LA NORMOOCLUSIÓN
 32 dientes
Arco Dental
Diseño Biológico (Músculos)
 RELACIÓN INCISAL DISTAL
 CURVAS OCLUSALES
 RELACIONES INTERPROXIMALES
capitulo 6 proffit,capitulo 6 y 7 canut, capitulo 1,2,3 gregroret
ANATOMIA DE LA NORMOCLUSIÓN
RELACIÓN ANTEROPOSTERIORES
OCLUSIÓN DE LOS MOLARES
OCLUSIÓN DE LOS CANINOS
capitulo 6 proffit,capitulo 6 y 7 canut, capitulo 1,2,3 gregroret
MALOCLUSION (CLASIFICACIÓN)
CLASES DE ANGLE
CLASE I
capitulo 6 proffit,capitulo 6 y 7 canut, capitulo 1,2,3 gregroret
CLASE II
CLASE II DIVISIÓN 1 CLASE II DIVISIÓN 2
CLASE II INCOMPLETA Y COMPLETA
capitulo 6 proffit,capitulo 6 y 7 canut, capitulo 1,2,3 gregroret
CLASE III
capitulo 6 proffit,capitulo 6 y 7 canut, capitulo 1,2,3 gregroret
TERMINOLOGIA ORTODONTICA
ANOMALIAS DENTOFACIALES
ANOMALÍAS DEL TAMAÑO DE LOS MAXILARES: - MACROGNATISMO
- MICROGNATISMO
ANOMALÍAS MAXILARES – BASE CRANEAL: + PROGNATISMO
+ RETROGNATISMO
+ ANTERORROTACIÓN
+ POSTERORRATACIÓN
ANOMALIAS EN LA RELACIÓN ARCADA DENTARIAS
- DISTOCLUSÍON - MESIOCLUSION
- RESALTE HORIZONTAL EXCESIVO - SOBREMORDIDA PROFUNDA
- MORDIDA ABIERTA - MORDIDA CRUZADA
capitulo 6 proffit,capitulo 6 y 7 canut, capitulo 1,2,3 gregroret
TERMINOLOGIA ORTODONTICA
ANOMALIAS EN LA POSICION DE DIENTES AISLADOS
- APIÑAMIENTO
- DESPLAZAMIENTO DENTAL: MESIOVERSIÓN
DISTOVERSIÓN
LABIOVERSIÓN
LINGUOVERSIÓN
- ROTACIÓN DENTAL (GIROVERSIÓN)
- SEPARACIÓN DE DIENTES (DIASTEMAS)
- POSICIÓN DENTAL VESTIBULAR MESIAL
LINGUAL DISTAL
INTRUSIÓN EXTRUSIÓN
capitulo 6 proffit,capitulo 6 y 7 canut, capitulo 1,2,3 gregroret
ANALISIS DE REGISTROS DX
ANALISIS DE MODELOS SIMETRIA Y ESPACIO
SIMETRIA
- FORMA DE ARCO, LONGITUD Y PERÍMETRO
- POSICIÓN DE DIENTES: PROTRUSIÓN, RETRUSIÓN MESO O DISTALIZACIÓN
capitulo 6 proffit,capitulo 6 y 7 canut, capitulo 1,2,3 gregroret
ESTUDIO DE LOS MODELOS
permite hacer análisis estático y dinámico de las arcadas
para planificar el tratamiento cada uno considera cada
arcada independiente y su relación se realiza en los
modelos montados en articulador en relación céntrica de
debe realizar en 3 planos del espacio.
• A. ANÁLISIS TRANSVERSAL
• B. ANÁLISIS ANTEROPOSTERIOR O SAGITAL.
• C. ANÁLISIS VERTICAL
capitulo 6 proffit,capitulo 6 y 7 canut, capitulo 1,2,3 gregroret
ANALISIS TRANSVERSAL DE LAS ARCADAS
• 1. coincidencia de la línea media dental maxilar y mandibular
• maxilar: la línea ½ está representada por el rafe palatino ya
que no esta influenciado por desviaciones.
• 2. Mandíbula: se ubica la inserción del frenillo lingual y la parte
posterior corresponde a la proyección vertical del rafe.
• 2.las líneas medias de los maxilares son referencias para
medir asimetrías transversales en casos con mordidas uni o
bilaterales.
• 3. la relación transversal se establece asi:
a. 1. normal
b. 2. mordida cruzada
c. 3. mordida en tijera
capitulo 6 proffit,capitulo 6 y 7 canut, capitulo 1,2,3 gregroret
ANALISIS SAGITAL DE LAS ARCADAS
• la referencia es el plano transversal y describe la
relación anteroposterior de las arcadas para ello usa la
clasificación de angle y el overbite.
• a. relacion molar
• clase l: la cuspide mv del 6 superior ocluye en el surco
mv del 6 inferior
• clase ll: el surco mv del 6 inferior esta distal de la
cúspide mv del 6 superior, hay 2 variedades:
• div 1: incisivos sup con protrusión y overjet aumentado
• div 2: centrales retroinclinado y laterales proinclinados,
overjet disminuido y mordida profunda
capitulo 6 proffit,capitulo 6 y 7 canut, capitulo 1,2,3 gregroret
• si la clase ll molar se encuentra unilateral según
la anomalía se clasifica en:
• clase ll completa: cuando la cúspide mv del 6
superior ocluye interproximal del 6 inferior y el
diente que le antecede.
• clase ll incompleta: cuando existe una relación
cúspide a cúspide en sentido sagital, ósea caras
mesiales de 1ros molares están en un solo plano,
común por rotaciones del 6 sup.
• clase lll : el surco mv del 6 inferior esta mesial e la
cúspide mv del 6 superior si e unilateral se
denomina subdivisIÓN.
•
ANALISIS SAGITAL DE LAS ARCADAS
capitulo 6 proffit,capitulo 6 y 7 canut, capitulo 1,2,3 gregroret
• RELACION CANINA
• clase l: cúspide del canino superior por
detrás del inferior por 3 mm
• clase ll: canino sup por delante del infe
por menos de 3mm.
• clase lll: cúspide del canino superior por
detrás del inferior por mas de 3 mm
•
ANALISIS SAGITAL DE LAS ARCADAS
capitulo 6 proffit,capitulo 6 y 7 canut, capitulo 1,2,3 gregroret
OVERJET O RESALTE INCISIVO: distancia de la cara
V del incisivo central inferior y el borde incisal del
incisivo central superior. la norma es de +2 y se
observa análisis cefalometrico, modelos, exámenes
clínicos.
POSITIVO: central sup por delante del inf.
Cero: caras V de ambos dientes están en un mismo
plano.
NEGATIVO: Mordidas invertidas anteriores.
ANALISIS SAGITAL DE LAS ARCADAS
capitulo 6 proffit,capitulo 6 y 7 canut, capitulo 1,2,3 gregroret
• el overjet o resalte incisivo se puede alterar por varios
factores:
• relacion molar: clase ll o lll con dientes total/ alineados
y armónicos producen un overjet – o + .
• presencia de apiñamientos o diastemas: así sea
clase l con apiñamiento infe y diastemas sup aumentan
el overjet, y al contrario favorecen un resalte negativo.
• tamaño dental: la macrodoncia en incisivos produce
aumento del overjet.
• rotación de dientes en el sector lateral: estas
rotaciones ocupan mayor espacio y provocan un
desplazamiento de incisivos en sentido anterior.
ANALISIS SAGITAL DE LAS ARCADAS
capitulo 6 proffit,capitulo 6 y 7 canut, capitulo 1,2,3 gregroret
ANÁLISIS VERTICAL DE LAS ARCADAS
DENTARIAS
• el plano de referencia es el horizontal o plano
oclusal.
• overbite o sobremordida
• distancia en sentido vertical entre los bordes
incisales de incisivos centrales sup e inferiores, se
proyecta el borde incisal del sup sobre la cara v
del inf y se mide. la norma es de +2.5 a 3 mm.
presenta variación por la inclinación cuspidea de
posteriores y guía condilar.
capitulo 6 proffit,capitulo 6 y 7 canut, capitulo 1,2,3 gregroret
positivo: si el borde incisal sup está por debajo del inf
negativo: en casos de mordida abierta.
en caso normal permite la desoclusion de posteriores
esta relacionado directamente con la curva de spee
asi:
curva spee plana: overbite normal
curva spee profunda: supra erupción incisiva y
entrecruzamiento excesivo
curva spee invertida: se da en mordidas abiertas.
ANÁLISIS VERTICAL DE LAS ARCADAS
DENTARIAS
capitulo 6 proffit,capitulo 6 y 7 canut, capitulo 1,2,3 gregroret
ASIMETRIA ARCO DENTAL
Asimetría arco dental con
asimetria en la forma del
arco
Desplazamient
o lateral de los
incisivos o
deriva
unilateral
dientes
posteriores
Asimetría
arco dental
con arco de
forma
simétrica
capitulo 6 proffit,capitulo 6 y 7 canut, capitulo 1,2,3 gregroret
ANALISIS DE LONGITUD DE ARCADA
• es el análisis de la relación entre el espacio
disponible y requerido para el correcto
posicionamiento de las arcadas conocido como la
discrepancia dentaria este estudio se realiza en
dentición permanente o mixta. cuando realizamos
un análisis intramaxilar hay 3 situaciones
diferentes:
• 1. dientes perfectamente alineados con puntos de
contacto correctamente establecidos:
• 2.se observa diastemas
• 3.existen apiñamientos:
capitulo 6 proffit,capitulo 6 y 7 canut, capitulo 1,2,3 gregroret
• LONGITUD REAL DE LA ARCADA: VA DE LA CARA M DEL 6 A 6 PASANDO POR PUNTOS DE
CONTACTO DE PREMOLARES Y CANINOS Y LOS BORDES INCISALES.
• ESPACIO REQUERIDO: ES LA SUMA DE LOS ANCHOS M-D DE LOS DIENTES MESIALES A
LOS PRIMEROS MOLARES.
• 1.METODO VISUAL:
• 2.MEDICIONES REALIZADAS CON COMPAS DE BALUSTRIN.
capitulo 6 proffit,capitulo 6 y 7 canut, capitulo 1,2,3 gregroret
ALINEACION (APIÑAMIENTO): ANALISIS DE
ESPACIO
Cantidad de
espacio
disponible
para
alineación
Espacio
necesario
para alinear
• PRINCIPIOS DEL
ANALISIS DEL
ESPACIO
• Malalineación y el
apiñamiento suelen
ser el resultado de
una falta de
espacio
capitulo 6 proffit,capitulo 6 y 7 canut, capitulo 1,2,3 gregroret
COMO SE PUEDE EFECTUAR
• DIRECTAMENTE SOBRE MODELOS • mediante algoritmos por
ordenador
capitulo 6 proffit,capitulo 6 y 7 canut, capitulo 1,2,3 gregroret
Se mide perímetro desde
mesial de 1ros molares,
pasando por punto de
contacto dientes post y
bordes incisales ant
Primer paso calculo de
espacio disponible
Anchura MD cada diente entre
sus 2 puntos de contacto
estimando tamaño diente
permanente no erupcionado,
se suma todos los dientes
Segundo paso calcular
espacio necesario para
alineación dental
capitulo 6 proffit,capitulo 6 y 7 canut, capitulo 1,2,3 gregroret
CALCULO APROX DEL TAMAÑO DE LOS
DIENTES PERMANENTES
1 Medición de los
dientes en Rx
Rx
periapical
Referencia
1er molar
primario
• Anchura real del molar primario
Anchura aparente del molar primario
• Anchura real del molar sin erupcionar
Anchura aparente del molar sin erupcionar
capitulo 6 proffit,capitulo 6 y 7 canut, capitulo 1,2,3 gregroret
CALCULOS TABLAS PROPORCIONAL
MOYERS
TANAKA Y JOHNSTON
STALEY-KERBER
capitulo 6 proffit,capitulo 6 y 7 canut, capitulo 1,2,3 gregroret
• ARCADA EN DENTICION MIXTA
• usa la longitud de arco igual que la dentición permanente, se puede usar 2 metodos:
1. PREDICCCION MATEMÁTICA MEDIANTE LAS TABLAS DE MOYERS:
• se mide el diámetro md de los 4 incisivos inferiores, con compas de puntas finas.
• se detrmina el espacio necesario para el correcto alineamiento de estos dientes.
• con este método también podríamos predecir si habrá ubicación correcta de permanentes
en caso de no existir apiñamiento debido al espacio de nance que es la diferencia del
diámetro md del 2do molar deciduo con el 2do premolar permanente que es aprox de 1.7 a
2mm.
• el uso de rx periapicales permite comparar el tamaño md de deciduos y permanentes y dar
mayor exactitud de un 85% a 95%.
capitulo 6 proffit,capitulo 6 y 7 canut, capitulo 1,2,3 gregroret
capitulo 6 proffit,capitulo 6 y 7 canut, capitulo 1,2,3 gregroret
2. MÉTODO DE RADIOGRÁFICO DE
G.W.HUCKABA
• ancho md de estos en rx periapicales tomados con cono largo y consiste en:
• tomar el ancho md del diente temporal en la rx (y) y del sucesor permanente (x)
• por regla de tres simple se calcula el ancho del diente permanente no erupcionado
• no es de gran a utilidad porque los gérmenes de premolares se presentan rotados
capitulo 6 proffit,capitulo 6 y 7 canut, capitulo 1,2,3 gregroret
COMBINACION DE METODOS DE LA RX Y
TABLAS DE PREDICTORES
Tablas de
predictores
Población
blanco (origen
escandinavo,
raza blanca)
Mejor método
Otro tipo de
población mejor
Rx
capitulo 6 proffit,capitulo 6 y 7 canut, capitulo 1,2,3 gregroret
ANALISIS TAMAÑO DE DIENTES
Buena oclusión
tamaño proporcional
5 % de la población
grado de discrepancia
tamaño dental
Incisivos laterales sup
y premolares mas
frecuentes
capitulo 6 proffit,capitulo 6 y 7 canut, capitulo 1,2,3 gregroret
MÉTODOS PARA DETERMINAR
DISCREPANCIA EN DENTICION MIXTA
1. CORRELACIÓN DE MOORRES:
MEDIR EL TAMAÑO DE INCISIVOS PERMANENTES SEGÚN TABLA Y PREDECIR EL
TAMAÑO DE BICUSPIDEOS Y CANINOS.
2. CRITERIO DE NANCE:
MEDIR EL TAMAÑO DE LOS DIENTES TEMPORALES CON AYUDA DE RX INTRAORAL.
3. CRITERIO DE HIXON :
COMBINAR LA MEDICIÓN DE LOS INCISIVOS CON LA SILUETA RADIOGRÁFICA DE LAS
CUSPIDES DE LOS CANINOS QUE NO HAN ERUPCIONADO.
TAB 7.3
capitulo 6 proffit,capitulo 6 y 7 canut, capitulo 1,2,3 gregroret
ÍNDICE BOLTON
• SUMATORIA DE DIENTES INFERIORES DIVIDIDO ENTRE LA SUMATORIA DE LOS 12
DIENTES SUPERIORES MULTIPLICADO POR 100.
• OTRA FORMA DE MEDICIÓN SE REALIZA CON UN COMPAZ MIDIENDO EL DIÁMETRO
MESODISTAL (SUP) EN LOS MODELOS DE ESTUDIO.
SE TOMA LA MEDIDA DEL INCISIVO SUPERIOR DER E IZQ , SE MIDE LA LONGITUD DEL
TOTAL SUP E INF Y SE COMPARA EN LA TABLA DE VALORES.
capitulo 6 proffit,capitulo 6 y 7 canut, capitulo 1,2,3 gregroret
BOLTON
Excluye 2 y 3 molares
Tabla estándar compara anchura de la suma de
dientes maxilares, respecto a los mandibulares y
la anchura total de todos los dientes sup e inf
Ancho M-D cada diente permanente
capitulo 6 proffit,capitulo 6 y 7 canut, capitulo 1,2,3 gregroret
ANALISIS CEFALOMETRICO
• OBJETIVO
DETERMINA RELACIONES ESQUELÉTICAS Y
DENTALES QUE TIENE UN PACIENTE Y
CONTRIBUYE A SU MALOCLUSIÓN
COMPONENTE
FUNCIONAL
DE LA CARA
BASE DEL
CRANEO
MAXILARES
SUP E INF
DIENTEScapitulo 6 proffit,capitulo 6 y 7 canut, capitulo 1,2,3 gregroret
DESARROLLO ANALISIS CEFALOMETRICO
• Puntos cefalométricos
capitulo 6 proffit,capitulo 6 y 7 canut, capitulo 1,2,3 gregroret
• Trazos
PRINCIPIO ANALISIS CEFALOMETRICO
Es el mismo
2 guerra
mundial
Análisis de
down
Basado en las
proporciones
esqueléticas y
dentales
Grupo de
referencia 25
adolescentes
blancos
No sometidos
a tto
Seleccionados
por tener
buena oclusión
capitulo 6 proffit,capitulo 6 y 7 canut, capitulo 1,2,3 gregroret
ANALISIS DE MEDICIONES
• LÍNEA DE REFERENCIA HORIZONTAL :
PLANO DE FRANKFORT :
2 PROBLEMAS
ACTUALIDAD – LÍNEA HORIZONTAL VERDADERA
Difícil ubicación puntos
Posición de la cabeza
capitulo 6 proffit,capitulo 6 y 7 canut, capitulo 1,2,3 gregroret
ANALISIS DE STEINER
• RELACIONA MEDICIONES INDIVIDUALES Y ENTRE ELLAS.
• MEDICIONES
Angulo SNA
Angulo SNB
Angulo ANB
Inc. Sup – Linea NA
Inc. Inf – Linea NB
Línea horizontal
verdadera.
Altura vertical cara y
posición N
Conciente holdaway
• Basado en procesos alveolares No mira
discrepancias esqueléticas
capitulo 6 proffit,capitulo 6 y 7 canut, capitulo 1,2,3 gregroret
ANALISIS DE SASSOUNI
• RELACIONA PROPORCIONES VERTICALES Y HORIZONTALES.
• REFLEJA PROPORCIO-
NALIDAD VERTICAL –
CARA.
• PROBLEMA
Aumento de la desproporción de una cara
capitulo 6 proffit,capitulo 6 y 7 canut, capitulo 1,2,3 gregroret
ANALISIS HARVOLD – WITS - RICKETTS
• DESCRIBEN – GRADO DE FALTA DE ARMONÍA MAXILAR
HARVOLD
la posicion dental
no influye en los
valores estandares
de la longitud
maxilar.
WITS
NO diferencia
discrepancias
esqueleticas
producida por
desplazamiento
dental.
RICKETTS
Datos recogidos
basados en muestras
inespecificas
capitulo 6 proffit,capitulo 6 y 7 canut, capitulo 1,2,3 gregroret
ANALISIS DE MCNAMARA
• VALORA – POSICION ANTPOST DEL MAX. EN RELACION CON LA PERPENDICULAR
DEL NASION.
Problema:
una dimensión
determinada se afecta por
otras de la misma cara.
capitulo 6 proffit,capitulo 6 y 7 canut, capitulo 1,2,3 gregroret
ANALISIS DE CONTRAPARTIDAS
- ENLOW Y COLS :
equilibrio facial global – determinado
por :
dimensiones y alineación de
componentes craneofaciales.
- Análisis aplicado a clinica – plantilla
normal o puntos flotantes ( valores
obtenidos del tipo facial del paciente,
relacionados entre si).
capitulo 6 proffit,capitulo 6 y 7 canut, capitulo 1,2,3 gregroret
ANALISIS POR PLANTILLAS
• PLANTILLA: REPRESENTACIÓN GRAFICA DE DATOS CEFALOMETRICOS.
• ELECCION PLANTILLA- COMPARAR PARTE ANT. BASE CRANEO Y MIRAR EDAD DE
DESARROLLO.
• BASADA EN SUPERPOSICIONES
1. BASE DEL CRÁNEO
2. CONTORNO MÁXIMO DEL MAXILAR
3. BORDE INFERIOR DE LA SÍNFISIS MANDIBULAR
esquemáticas
Anatomicamente
completas
capitulo 6 proffit,capitulo 6 y 7 canut, capitulo 1,2,3 gregroret
CLASIFICACION ORTODONTICA
• CLASIFICACIÓN: REDUCCIÓN ORDENADA DE DATOS DISPONIBLES.
CLASIFICACIÓN ÚTIL
Maloclusion de ANGLE
Problema: no incluia
caracteristicas importantes del
paciente
Adiciones informales
Martin Dewey Ackerman y Proffit
•Clasificacion maloclusion
•Relaciones molares y max.
•Patron de crecimiento
•Proporciones max. esqueleticas
•Relaciones dentales y max – aspecto
cara.
•Apiñamiento – protrusion
•Plano antpost-transversal-vertical
capitulo 6 proffit,capitulo 6 y 7 canut, capitulo 1,2,3 gregroret
• ACTUALMENTE MAS ADICIONES
Linea estetica de la denticion : Linea media de angle
Descripcion sistematica:
•CABECEO – inclinacion excesiva
de dientes con respecto a
labios y mejillas
•ALABEO – inclinacion de un lado
sobre otro.
•GUIÑADA – discrepancia de linea
•media por rotacion de maxilares
capitulo 6 proffit,capitulo 6 y 7 canut, capitulo 1,2,3 gregroret
CLASIFICACION EN FUNCION DE LAS
CARACTERÍSTICAS DE LA MALOCLUSION:
Valorar relaciones esqueléticas y dentales en plano vertical
Valorar relaciones esqueléticas t dentales en plano anteroposterior
Valorar relaciones esqueléticas y dentales en plano transversal
Valorar alineación y asimetria arcos dentales
Exploración clínica inicial
capitulo 6 proffit,capitulo 6 y 7 canut, capitulo 1,2,3 gregroret
LAWRENCE ANDREWS
(SEIS LLAVES DE LA
OCLUSION)
LAWRENCE ANDREWS
• EL DR. LAWRENCE ANDREWS. INVENTOR DEL SISTEMA DE
APARATOLOGÍA STRAIGHT-WIRE (ARCO RECTO).
• DESCUBRIDOR DE LAS ‘SEIS CLAVES DE LA OCLUSIÓN NORMAL
(ÓPTIMA)’ Y LOS ‘SEIS ELEMENTOS DE LA ARMONÍA
OROFACIAL’.
• EN 1989, PUBLICÓ EL LIBRO DE TEXTO FUNDAMENTAL
‘APARATOLOGÍA DEL ARCO RECTO’.
• EL DR. ANDREWS COMPLETÓ SU FORMACIÓN EN ORTODONCIA
EN LA UNIV. ESTATAL DE OHIO EN 1958.
• DICTA CURSOS EN TODO EL MUNDO SOBRE LA FILOSOFÍA DE
LOS 6 ELEMENTOS EN ORTODONCIA.
URIBE RESTREPO G. A., ORTODONCIA Teoría y clínica, Editorial La CIB, Capitulo 16, Paginas 304 y 305.
capitulo 6 proffit,capitulo 6 y 7 canut, capitulo 1,2,3 gregroret
Inclinaciones mesiodistales
Bucolinguales
Rotaciones
Espacios interdentales
Las relaciones molares
Nivel del plano oclusal
SEIS LLAVES DE LA OCLUSION.
FASES DEL ESTUDIO
1960 Y 1964 120 MODELOS. OCLUSIÓN NORMAL.
URIBE RESTREPO G. A., ORTODONCIA Teoría y clínica, Editorial La CIB, Capitulo 16, Paginas 304 y 305.
capitulo 6 proffit,capitulo 6 y 7 canut, capitulo 1,2,3 gregroret
1965 Y 1971 1150 CASOS CON ORTODONCIA
120 MODELOS IDEALES DE LA FASE INICIAL
IDENTIFICARON LAS DIFERENCIAS Y SE MEJORARON LOS
TRATAMIENTOS.
Secuencias de arcos de alambres de diferentes calibres. Sin
necesidad de hacer dobleces de primer, segundo y tercer orden.
Para obtener resultados similares a la técnica estándar.
URIBE RESTREPO G. A., ORTODONCIA Teoría y clínica, Editorial La CIB, Capitulo 16, Paginas 304 y 305.
capitulo 6 proffit,capitulo 6 y 7 canut, capitulo 1,2,3 gregroret
• INTRODUJO SU PRESCRIPCIÓN DE ARCO RECTO,
BASADA EN LAS SEIS LLAVES DE LA OCLUSIÓN
NORMAL.
• DIVIDIÓ LOS BRACKETS COMO PROGRAMADOS,
PARCIALMENTE PROGRAMADOS Y TOTALMENTE
PROGRAMADOS.
• INFORMACIÓN DE TORQUE EN LA BASE O SLOT.
• TRATA DE UNA PRESCRIPCIÓN DE BRACKETS Y
TUBOS QUE TIENEN EN SU ESTRUCTURA UNA
INFORMACIÓN TRIDIMENSIONAL DESTINADA A
COLOCAR LAS PIEZAS DENTARIAS EN UNA
POSICIÓN OPTIMA EN LOS TRES SENTIDOS DEL
ESPACIO, Y QUE CUANDO SE INSTALE UN ARCO Y
CUMPLA EL OBJETIVO DE PROVOCAR LA
EXPRESIÓN TOTAL DE ESA INFORMACIÓN.
URIBE RESTREPO G. A., ORTODONCIA Teoría y clínica, Editorial La CIB, Capitulo 16, Paginas 304 y 305.
capitulo 6 proffit,capitulo 6 y 7 canut, capitulo 1,2,3 gregroret
ANDREWS UTILIZO EL CENTRO DE LA CORONA DE CADA DIENTE
PARA LA COLOCACIÓN DE BRACKETS Y TUBOS.
ES DIFÍCIL DETERMINAR EL CENTRO DE LA CORONA CLÍNICA
IRREGULARIDADES DE LOS BORDES GINGIVALES.
URIBE RESTREPO G. A., ORTODONCIA Teoría y clínica, Editorial La CIB, Capitulo 16, Paginas 304 y 305.
capitulo 6 proffit,capitulo 6 y 7 canut, capitulo 1,2,3 gregroret
ANDREWS
• EM: PUNTO MEDIO DEL EJE MAYOR DE LA CORONA
CLÍNICA.
• EMCC: EJE MAYOR DE LA CORONA CLÍNICA.
URIBE RESTREPO G. A., ORTODONCIA Teoría y clínica, Editorial La CIB, Capitulo 16, Paginas 304 y 305.
capitulo 6 proffit,capitulo 6 y 7 canut, capitulo 1,2,3 gregroret
INCISIVO CENTRAL Y LATERAL ----- 3.5 MM
CANINO ------ 4.5 MM
URIBE RESTREPO G. A., ORTODONCIA Teoría y clínica, Editorial La CIB, Capitulo 16, Paginas 304 y 305.
capitulo 6 proffit,capitulo 6 y 7 canut, capitulo 1,2,3 gregroret
Ante la presencia de un incisivo
lateral pequeño, la referencia del
centro de la corona clínica para
la ubicación del bracket
provocara una falta de
nivelamiento de los bordes
incisales.
Una diferente ubicación de los
brackets se buscara nivelar los
bordes incisales.
URIBE RESTREPO G. A., ORTODONCIA Teoría y clínica, Editorial La CIB, Capitulo 16, Paginas 304 y 305.
capitulo 6 proffit,capitulo 6 y 7 canut, capitulo 1,2,3 gregroret
BRACKETS PREAJUSTADOS
LA RANURA DE LOS BRACKETS DE ARCO RECTO SE PRESENTARON CON
RANURAS DE 0.022 X 0.028 Y DE 0.018 X 0.025.
LOS BRACKETS VIENEN DE DOS CLASES:
• LOS SOLDADOS A LA BASE
• TROQUELADOS COMO UNA UNIDAD SIN SOLDADURA.
URIBE RESTREPO G. A., ORTODONCIA Teoría y clínica, Editorial La CIB, Capitulo 16, Paginas 304 y 305.
capitulo 6 proffit,capitulo 6 y 7 canut, capitulo 1,2,3 gregroret
LA SELECCIÓN DEL BRACKET DEPENDE DE:
• EL TAMAÑO DE LAS RANURAS
• TAMAÑO Y MORFOLOGÍA DEL DIENTE
• FACILIDAD PARA LA HIGIENE
• LA CANTIDAD DE TORQUE DE LOS BRACKETS
• LA CANTIDAD DE INCLINACIÓN DE LOS BRACKETS
URIBE RESTREPO G. A., ORTODONCIA Teoría y clínica, Editorial La CIB, Capitulo 16, Paginas 304 y 305.
capitulo 6 proffit,capitulo 6 y 7 canut, capitulo 1,2,3 gregroret
SERIES DE BRACKETS
• SIN EXTRACCIONES. VIENEN CON LA FORMULA ESTÁNDAR DE TORQUE,
INCLINACIONES IN-SET Y OUTS-SET
URIBE RESTREPO G. A., ORTODONCIA Teoría y clínica, Editorial La CIB, Capitulo 16, Paginas 304 y 305.
capitulo 6 proffit,capitulo 6 y 7 canut, capitulo 1,2,3 gregroret
CON EXTRACCIONES.
DESVENTAJAS
• SE AUMENTA LOS VECTORES DE FUERZA EN ETAPAS DE
ALINEACIÓN Y NIVELACIÓN EN CANINOS.
• UTILIZANDO ALAMBRES DELGADOS Y POCO RÍGIDOS
NO FUNCIONA EL SISTEMA PREAJUSTADO, YA QUE NO
HAY UNA LECTURA DE LA INFORMACIÓN DEL BRACKET.
URIBE RESTREPO G. A., ORTODONCIA Teoría y clínica, Editorial La CIB, Capitulo 16, Paginas 304 y 305.
capitulo 6 proffit,capitulo 6 y 7 canut, capitulo 1,2,3 gregroret
SEIS LLAVES DE LA OCLUSIÓN DE ANDREWS
I. RELACIÓN ENTRE MOLARES.
II. ANGULACIÓN MESIODISTAL DE LA CORONA.
III. INCLINACIÓN VESTIBULOLINGUAL DE LA CORONA.
IV. ROTACIONES.
V. DIASTEMAS.
VI. PLANOS OCLUSALES (CURVA DE SPEE).
URIBE RESTREPO G. A., ORTODONCIA Teoría y clínica, Editorial La CIB, Capitulo 16, Paginas 304 y 305.
capitulo 6 proffit,capitulo 6 y 7 canut, capitulo 1,2,3 gregroret
I. PRIMERA LLAVE DE LA OCLUSIÓN
RELACIÓN ENTRE MOLARES
LA CÚSPIDE MESIOVESTIBULAR DEL PRIMER MOLAR
SUPERIOR OCLUYE EN EL SURCO MESIOVESTIBULAR DEL
PRIMER MOLAR INFERIOR ENTRE LAS CÚSPIDES
MESIOVESTIBULAR Y DISTOVESTIBULAR INFERIORES.
GREGORET J., TUBER E., ESCOBAR H., EL TRATAMIENTO ORTODONTICO CON ARCO RECTO, NM Ediciones, Año 2003,
Paginas 16 a 23.
capitulo 6 proffit,capitulo 6 y 7 canut, capitulo 1,2,3 gregroret
LAS CÚSPIDES
MESIOLINGUALES DEL PRIMER
MOLAR SUPERIOR OCLUYEN
EN LAS FOSAS
TRANSVERSALES DEL PRIMER
MOLAR INFERIOR.
capitulo 6 proffit,capitulo 6 y 7 canut, capitulo 1,2,3 gregroret
LA CORONA DEL PRIMER MOLAR SUPERIOR DEBE
ANGULARSE, DE MANERA QUE EL BORDE DISTAL DEL
REBORDE MARGINAL OCLUYA CON LA SUPERFICIE MESIAL
DEL SEGUNDO MOLAR INFERIOR
GREGORET J., TUBER E., ESCOBAR H., EL TRATAMIENTO ORTODONTICO CON ARCO RECTO, NM Ediciones, Año 2003,
Paginas 16 a 23.
capitulo 6 proffit,capitulo 6 y 7 canut, capitulo 1,2,3 gregroret
II. SEGUNDA LLAVE DE OCLUSIÓN
ANGULACIÓN MESIODISTAL DE LA CORONA.
LA PORCIÓN GINGIVAL DEL EJE LONGITUDINAL DE LA
CORONA DEBERÁ ESTAR UBICADA LIGERAMENTE
DISTAL A LA PORCIÓN OCLUSAL DEL EJE LONGITUDINAL
DE LA CORONA PARA QUE EXISTA UNA OCLUSIÓN
NORMAL
GREGORET J., TUBER E., ESCOBAR H., EL TRATAMIENTO ORTODONTICO CON ARCO RECTO, NM Ediciones, Año 2003,
Paginas 16 a 23.
capitulo 6 proffit,capitulo 6 y 7 canut, capitulo 1,2,3 gregroret
Angulaciones positivas:
Cuando la porción gingival del diente está
situada distal a la incisal.
ANGULACIÓN CORRECTA
Angulaciones negativas:
Cuando la porción gingival está situada mesial a la
incisal.
• Para obtener el eje longitudinal de la corona se marca el
punto LA (Centro del eje longitudinal clínico de la corona).
• Luego se traza una perpendicular al plano horizontal, la cual
recibe el nombre de plano de referencia vertical. La
angulación mesodistal de la corona se mide a partir de este
plano.
III. TERCERA LLAVE DE OCLUSIÓN
INCLINACIÓN VESTIBULOLINGUAL DE LA CORONA.
LA CONSTITUYE EL ÁNGULO FORMADO ENTRE LAS TANGENTES QUE TOCAN LA SUPERFICIE
MÁS VESTIBULARES DEL CENTRO DE LAS CORONAS DE LOS DIENTES Y LAS
PERPENDICULARES AL PLANO OCLUSAL. CUANDO LA CORONA ESTA INCLINADA EN SENTIDO
LINGUAL A NIVEL GINGIVAL EL VALOR SERÁ POSITIVO, EN TODOS LOS DEMÁS CASOS SERÁ
NEGATIVO.
GREGORET J., TUBER E., ESCOBAR H., EL TRATAMIENTO ORTODONTICO CON ARCO RECTO, NM Ediciones, Año 2003,
Paginas 16 a 23.
capitulo 6 proffit,capitulo 6 y 7 canut, capitulo 1,2,3 gregroret
Torque normal.
Ante la falta de torque se puede
producir diastemas
La falta de torque origina una
relación de clase II.
capitulo 6 proffit,capitulo 6 y 7 canut, capitulo 1,2,3 gregroret
IV. ROTACIONES.
EN OCLUSIÓN NORMAL NO DEBE EXISTIR
ROTACIONES DENTARIAS.
PROBLEMAS ESTÉTICOS (ANTERIOR)
FUNCIONALES
Molares y premolares rotados
Ocupan mas espacio en la arcada.
GREGORET J., TUBER E., ESCOBAR H., EL TRATAMIENTO ORTODONTICO CON ARCO RECTO, NM Ediciones, Año 2003,
capitulo 6 proffit,capitulo 6 y 7 canut, capitulo 1,2,3 gregroret
capitulo 6 proffit,capitulo 6 y 7 canut, capitulo 1,2,3 gregroret
V. ESPACIOS O DIASTEMAS
LOS DIENTES ESTÁN UBICADOS CON SUS
PUNTOS DE CONTACTO PERFECTAMENTE
RELACIONADOS. SIN ESPACIOS ENTRE SI.
ESTO REQUIERE QUE NO EXISTAN
MALFORMACIONES DENTARIAS NI
DISCREPANCIAS EN EL ANCHO MESODISTAL DE
LOS DIENTES DE AMBOS MAXILARES, ES DECIR
QUE NO ESTE ALTERADO EL ÍNDICE DE BOLTON.
SI ESTO NO OCURRE SEGURAMENTE SE ALTERA
LA RELACIÓN INTEROCLUSAL.
GREGORET J., TUBER E., ESCOBAR H., EL TRATAMIENTO ORTODONTICO CON ARCO RECTO, NM Ediciones, Año 2003,
Paginas 16 a 23.
capitulo 6 proffit,capitulo 6 y 7 canut, capitulo 1,2,3 gregroret
VI. CURVA DE SPEE
DEBE PRESENTARSE PLANA O LEVEMENTE
CÓNCAVA
Desde el incisivo central hasta el último molar
Puede ser diferente en la arcada derecha o la
izquierda
No deberá exceder de una profundidad de 1,5 mm
CURVATURA DEL PLANO
OCLUSAL
(Vista en forma sagital)
• UNA CURVA DE SPEE PROFUNDA, PRODUCE UN
CONFINAMIENTO DE LAS RAÍCES DE LOS DIENTES DEL
MAXILAR SUPERIOR.
URIBE RESTREPO G. A., ORTODONCIA Teoría y clínica, Editorial La CIB, Capitulo 16, Paginas 304 y 305.
capitulo 6 proffit,capitulo 6 y 7 canut, capitulo 1,2,3 gregroret
• LA CURVA DE SPEE INVERTIDA DETERMINA UN EXCESO DE
ESPACIO EN LOS DIENTES DEL MAXILAR SUPERIOR
PROVOCANDO ALTERACIONES Y FALTA DE GUÍA INCISIVA.
URIBE RESTREPO G. A., ORTODONCIA Teoría y clínica, Editorial La CIB, Capitulo 16, Paginas 304 y 305.
capitulo 6 proffit,capitulo 6 y 7 canut, capitulo 1,2,3 gregroret
EXAMEN FUNCIONAL
COMPRENDE 4 ASPECTOS:
• RESPIRACION
• DEGLUSION
• FONACION
• HABITOS
RESPIRACIÓN
• RESPIRACIÓN NORMAL:
LA LENGUA ESTA CONTRA EL PALADAR Y GENERA PRESION NEGATIVA, LO
CUAL ES POSITIVO PARA EL DESARROLLO
capitulo 6 proffit,capitulo 6 y 7 canut, capitulo 1,2,3 gregroret
RESPIRACION
• RESPIRACIÓN ANORMAL:
LENGUA EN POSICIÓN DESCENDIDA CREA DOS
CONSECUENCIAS:
capitulo 6 proffit,capitulo 6 y 7 canut, capitulo 1,2,3 gregroret
RESPIRACIÓN
1. AFECTA EL CRECIMIENTO TRANSVERSAL DE LA MAXILA
SUPERIOR
2. GENERA UNA ROTACIÓN POSTERIOR DE LA MANDIBULA
capitulo 6 proffit,capitulo 6 y 7 canut, capitulo 1,2,3 gregroret
RESPIRACIÓN
CAUSAS:
• HIPERTROFIA DE ADENOIDES
• HIPERTROFIA DE AMÍGDALAS
• RINITIS ALÉRGICA
• DESVIACIÓN DEL TABIQUE NASAL
• CAVIDAD NASAL ESTRECHA CON
HIPERTROFIA DE CORNETES
capitulo 6 proffit,capitulo 6 y 7 canut, capitulo 1,2,3 gregroret
EXAMEN RESPIRATORIO
EL EXAMEN RESPIRATORIO DEBE HACERSE EN 6 ÁREAS:
1. HISTORIA CLÍNICA
2. EVALUACIÓN DE LA RESPIRACIÓN
3. ESTRUCTURA FACIAL:
• LABIO SUPERIOR E INFERIOR HIPOTÓNICOS E
INCOMPETENTES
• LABIO SUPERIOR CORTO (DEJA EXPUESTO LOS
INCISIVOS)
• LABIO INFERIOR GRUESO Y EVERTIDO
• DEBILITAMIENTO DE OS MÚSCULOS FACIALES
• AUMENTO DEL TERCIO INFERIOR
• RETRUCIÓN DEL MENTÓN
capitulo 6 proffit,capitulo 6 y 7 canut, capitulo 1,2,3 gregroret
EXAMEN RESPIRATORIO
4. EXAMEN BUCAL:
CARACTERÍSTICAS DE PACIENTE CON
RESPIRACIÓN BUCAL:
• MORDIDA CRUZADA LATERAL
• INCISIVOS PROTRUIDOS Y/O
APIÑADOS
• TENDENCIA A MORDIDA ABIERTA
• ARCADA SUPERIOR EN FORMA
TRIANGULAR.
capitulo 6 proffit,capitulo 6 y 7 canut, capitulo 1,2,3 gregroret
EXAMEN RESPIRATORIO
5. ESTUDIO POSTURAL
6. ESTUDIOS RADIOGRÁFICOS Y
CEFALÓMETROS:
EN RADIOGRAFÍA LATERAL
PARA PODER OBSERVAR EL GRADO
DE OBSTRUCCIÓN
capitulo 6 proffit,capitulo 6 y 7 canut, capitulo 1,2,3 gregroret
TRATAMIENTOS
EL TRATAMIENTO ES MULTIDISCIPLINARIO:
• EXTIRPACIÓN DE AMÍGDALAS
• MEDICACIÓN
• FONOAUDIOLOGÍA
• TRATAMIENTO ORTOPEDICO-ORTODONTICO
capitulo 6 proffit,capitulo 6 y 7 canut, capitulo 1,2,3 gregroret
DEGLUCIÓN
DEFINICIÓN:
ES EL TRANSITO QUE HACE EL BOLO
ALIMENTICIO O SALIVA DESDE LA BOCA
HASTA EL ESTOMAGO Y TIENE DOS
FASES:
a) FASE ORAL O VOLUNTARIA
b) FASE FARÍNGEA, INVOLUNTARIA O
REFLEJA
capitulo 6 proffit,capitulo 6 y 7 canut, capitulo 1,2,3 gregroret
DEGLUCIÓN
ATÍPICA
LA LENGUA SE APOYA EN LOS
INCISIVOS SUPERIORES E
INFERIORES PARA CREAR UN
SELLE
capitulo 6 proffit,capitulo 6 y 7 canut, capitulo 1,2,3 gregroret
FONACIÓN
• INTERVIENEN VARIOS ÓRGANOS:
LARINGE (ÓRGANO EMISOR), TÓRAX,
TRÁQUEA, FARINGE, VELO DEL PALADAR,
PALADAR DURO, Y MANDÍBULA
• MODIFICADORES DE SONIDO:
LENGUA, LABIOS, CARRILLOS, ARCADAS
DENTARIAS Y SOBRE TODO DIENTES
ANTERIORES
capitulo 6 proffit,capitulo 6 y 7 canut, capitulo 1,2,3 gregroret
EXAMEN DE FONACIÓN
HAY QUE PODER DIFERENCIAR EN EL
EXAMEN DE FONACIÓN SI ES POR:
• RETARDO EN EL LENGUAJE
• PROBLEMAS MOTOR
• PROBLEMAS ESTRUCTURALES
EN EL EXAMEN SE LE PIDE AL PACIENTE
QUE PRONUNCIE LA “S” (DENTO DENTAL)
Y LA “F” (LABIO DENTAL)
capitulo 6 proffit,capitulo 6 y 7 canut, capitulo 1,2,3 gregroret
HÁBITOS
• PUEDEN GENERAR PROBLEMAS
ORTOPÉDICOS Y ORTODONTICOS
• PUEDEN INTERFERIR CON EL DESARROLLO
DE LOS PROCESOS ALVEOLARES.
TALES COMO LA SUCCIÓN QUE SE PRESENTA
EN VARIOS TIPOS:
• DIGITAL
• LABIAL
• DE CARRILLOS
• PERSISTENCIA DEL CHUPO
capitulo 6 proffit,capitulo 6 y 7 canut, capitulo 1,2,3 gregroret
HÁBITOS
SUCCIÓN DIGITAL:
SE ASOCIA CON ALTERACIÓN EMOCIONAL,
ESTA LIGADO AL PLACER DEL NIÑO,
GENERA:
• MORDIDA ABIERTA (ANTERIOR Y
POSTERIOR)
• PROTRUSIÓN INCISIVA SUPERIOR
• RETRUSION INCISIVA INFERIOR
capitulo 6 proffit,capitulo 6 y 7 canut, capitulo 1,2,3 gregroret
HÁBITOS
SUCCIÓN LABIAL:
APARECE EN CASOS DE OVERJET MARCADO
EL LABIO INFERIOR SE POSICIONA POR PALATINO
DE LOS INCISIVOS SUPERIORES
SUCCIÓN DE CARRILLOS:
LOS CARRILLOS SE ALOJAN EN LAS CARAS
OCLUSALES DE LOS DIENTES EN ZONAS
LATERALES
PERSISTENCIA CON EL CHUPO:
EL HABITO HASTA LOS DOS AÑOS ES NORMAL,
POSTERIORMENTE PRODUCE LAS MISMAS
ALTERACIONES DE LA SUCCIÓN DIGITAL
capitulo 6 proffit,capitulo 6 y 7 canut, capitulo 1,2,3 gregroret
capitulo 6 proffit,capitulo 6 y 7 canut, capitulo 1,2,3 gregroret
capitulo 6 proffit,capitulo 6 y 7 canut, capitulo 1,2,3 gregroret
capitulo 6 proffit,capitulo 6 y 7 canut, capitulo 1,2,3 gregroret

Diagnostico en ortodoncia

  • 1.
    Dr. Sergio Velásquez. Residentesprimer semestre Post-grado de ortodoncia y ortopedia maxilar
  • 2.
    ESTABLECIENDO UN DIAGNOSTICOGLOBAL INICIAL Preguntas al paciente Exploración clínica Ayudas diagnosticas capitulo 6 proffit,capitulo 6 y 7 canut, capitulo 1,2,3 gregroret
  • 3.
    EXPLORACION BASICA ALTERACIONES FUNCIONALES ALTERACIONESESTETICAS capitulo 6 proffit,capitulo 6 y 7 canut, capitulo 1,2,3 gregroret
  • 4.
    ESTABLECER POSIBLES CAUSAS INDAGAR: •TRATAMIENTOS FARMACOLOGICOS • TRAUMATISMOS • CRECIMIENTO Y DESARROLLO • VALORACION SOCIAL capitulo 6 proffit,capitulo 6 y 7 canut, capitulo 1,2,3 gregroret
  • 5.
    EXPLORACION CLINICA SALUD ORAL FUNCIONES MANDIBULARES PROPORCIONES FACIALES CARACTERISTICAS DELA SONRISA capitulo 6 proffit,capitulo 6 y 7 canut, capitulo 1,2,3 gregroret
  • 6.
    MÉTODOS DIRECTOS • ANAMNESIS •EXPLORACIÓN VISUAL Y PALPACIÓN MANUAL E INSTRUMENTAL MÉTODOS INDIRECTOS • FOTOGRAFÍAS • RADIOGRAFÍAS • MODELOS DE ESTUDIO • MODELOS MONTADOS EN ARTICULADOR ESTUDIO CLÍNICO DEL PACIENTE SIGNOS Y SINTOMAS CUADRO CLÍNICO ENFERMEDAD capitulo 6 proffit,capitulo 6 y 7 canut, capitulo 1,2,3 gregroret
  • 7.
    ANAMNESIS • MOTIVACIÓN CONSULTA •CLÍNICO GENERAL – ESPECIALISTA • ETIOPATOGENIA o GENÉTICAS, FACTORES LOCALES, ETC. ESTUDIO CLÍNICO DEL PACIENTE Recoger información mediante la historia clínica Examen físico Hipótesis diagnósticas capitulo 6 proffit,capitulo 6 y 7 canut, capitulo 1,2,3 gregroret
  • 8.
    EXPLORACIÓN VISUAL YPALPACIÓN FACIAL • ESTÉTICA • MÍMICA • EXPRESIÓN • RELACIÓN – ANOMALÍA DENTOESQUELETAL – ESTÉTICA Y/O FUNCIÓN ESTUDIO CLÍNICO DEL PACIENTE capitulo 6 proffit,capitulo 6 y 7 canut, capitulo 1,2,3 gregroret
  • 9.
    BUCODENTAL • TEJIDOS BLANDOS •DENTICIÓN • DIFERENTES FUNCIONES • HÁBITOS • PERIODONTAL ESTUDIO CLÍNICO DEL PACIENTE capitulo 6 proffit,capitulo 6 y 7 canut, capitulo 1,2,3 gregroret
  • 10.
  • 11.
    ESTUDIO DEL PERFIL SAGITAL:AVANCE O RETROCESO • GLABELA Y PUENTE DE LA NARIZ. • PUNTA DE LA NARIZ. • ANGULO NASOLABIAL. • LABIO SUPERIOR. • LABIO INFERIOR. • SURCO LABIO MENTONIANO. • TEJIDOS BLANDOS DEL MENTÓN. • TEJIDOS BLANDOS SUBMANDIBULARES. capitulo 6 proffit,capitulo 6 y 7 canut, capitulo 1,2,3 gregroret
  • 12.
    ESTUDIO DEL PERFIL VERTICAL MÉTODOTRADICIONAL • SUPERIOR: TRICHION – GLABELA • MEDIO: GLABELA – SUBNASAL • INFERIOR: SUBNASAL – MENTONIANO capitulo 6 proffit,capitulo 6 y 7 canut, capitulo 1,2,3 gregroret
  • 13.
    ESTUDIO DEL PERFIL capitulo6 proffit,capitulo 6 y 7 canut, capitulo 1,2,3 gregroret
  • 14.
    ESTUDIO DEL PERFIL ESTUDIODE LOS DOS TERCIOS INFERIORES • NASION – SUBNASAL • SUBNASAL – MENTONIANO SUBNASAL – STOMION SUPERIOR – UN TERCIO STOMION INFERIOR – MENTONIANO – DOS TERCIOS  ABERTURA INTERLABIAL  RELACIÓN INCISIVOS SUPERIORES  CON EL LABIO SUPERIOR capitulo 6 proffit,capitulo 6 y 7 canut, capitulo 1,2,3 gregroret
  • 15.
    ESTUDIO DEL PERFIL capitulo6 proffit,capitulo 6 y 7 canut, capitulo 1,2,3 gregroret
  • 16.
    ESTUDIO FRONTAL capitulo 6proffit,capitulo 6 y 7 canut, capitulo 1,2,3 gregroret
  • 17.
    ESTUDIO FRONTAL capitulo 6proffit,capitulo 6 y 7 canut, capitulo 1,2,3 gregroret
  • 18.
    ASIMETRÍA MANDIBULAR FUNCIONAL • NOPRESENTA ASIMETRÍA ESTRUCTURAL • MALPOSICION • DESPLAZAMIENTO LATERAL  OCLUSAL  ARTICULAR  MUSCULAR capitulo 6 proffit,capitulo 6 y 7 canut, capitulo 1,2,3 gregroret
  • 19.
    capitulo 6 proffit,capitulo6 y 7 canut, capitulo 1,2,3 gregroret
  • 20.
    ESQUELETAL • CRECIMIENTO CONDILARDESIGUAL • LONGITUD DE LAS RAMAS • LÍNEA MEDIA DESVIADA HACIA EL LADO DE MENOR DESARROLLO capitulo 6 proffit,capitulo 6 y 7 canut, capitulo 1,2,3 gregroret
  • 21.
    capitulo 6 proffit,capitulo6 y 7 canut, capitulo 1,2,3 gregroret
  • 22.
    capitulo 6 proffit,capitulo6 y 7 canut, capitulo 1,2,3 gregroret
  • 23.
    LÍNEAS MEDIAS DENTARIAS •LÍNEA MEDIA DENTARÍA SUPERIOR CON RESPECTO A LA LÍNEA MEDIA FACIAL. • EXTRACCIONES O AGENESIAS UNILATERALES, IATROGENIA (EXTRACCIONES UNILATERALES DE DIENTES TEMPORALES), SECUENCIA DE ERUPCIÓN, ETC. • HIPO DESARROLLO VERTICAL UNILATERAL DEL MAXILAR SUPERIOR. capitulo 6 proffit,capitulo 6 y 7 canut, capitulo 1,2,3 gregroret
  • 24.
    • LÍNEA MEDIADENTARÍA INFERIOR CON RESPECTO A LA LÍNEA MEDIA MANDIBULAR Y LÍNEA MEDIA FACIAL. • DENTARIO (FRENILLOS LABIAL Y LINGUAL) • MANDIBULAR (FUNCIONAL O ESQUELETAL) • TEJIDOS BLANDOS, ESPESOR, TONO MUSCULAR, RELAJACIÓN, LONGITUD, ETC. capitulo 6 proffit,capitulo 6 y 7 canut, capitulo 1,2,3 gregroret
  • 25.
    EXAMEN BUCODENTAL 1. EXAMENCLÍNICO 2. EXÁMENES COMPLEMENTARIOS
  • 26.
    EXAMEN CLÍNICO 1. TEJIDOSBLANDOS LABIOS capitulo 6 proffit,capitulo 6 y 7 canut, capitulo 1,2,3 gregroret
  • 27.
  • 28.
  • 29.
    TEJIDOS BLANDOS ENCÍAS EXAMEN PERIODONTAL 1.EXAMEN CLÍNICO 2. EXAMEN RADIOGRÁFICO 3. EXAMEN LABORATORIO
  • 30.
    TEJIDOS BLANDOS ENCÍAS EXAMEN PERIODONTAL 1.EXAMEN CLÍNICO 2. EXAMEN RADIOGRÁFICO 3. EXAMEN LABORATORIO capitulo 6 proffit,capitulo 6 y 7 canut, capitulo 1,2,3 gregroret
  • 31.
    EXAMEN CLÍNICO • EVALUACIÓNDE HIGIENE ORAL capitulo 6 proffit,capitulo 6 y 7 canut, capitulo 1,2,3 gregroret
  • 32.
    EXAMEN CLÍNICO • NIVELDE INSERCIÓN • PROFUNDIDAD DEL SONDAJE • EVALUACIÓN DEL SANGRADO Y EXUDADO. capitulo 6 proffit,capitulo 6 y 7 canut, capitulo 1,2,3 gregroret
  • 33.
    EXAMEN CLÍNICO • EVALUACIÓNDE LA MOVILIDAD DENTARIA GRADO 0: MOVILIDAD FISIOLÓGICA GRADO 1: SENTIDO VESTIBULO-LINGUAL GRADO 2: SENTIDO V-L Y MESIODISTAL GRADO 3: TODAS LAS ANTERIORES capitulo 6 proffit,capitulo 6 y 7 canut, capitulo 1,2,3 gregroret
  • 34.
    EXAMEN RADIOGRÁFICO PERIODONTAL 1.RADIOGRAFÍA PERIAPICAL
  • 35.
    EXAMEN RADIOGRÁFICO PERIODONTAL 2.BITEWING (ALETA DE MORDIDA)
  • 36.
  • 37.
  • 38.
    ASPECTOS DENTALES: MICROESTETICA Anchura relacionada entresi Anterosuperio al sonreir y M- D real 62 % proporción aurea Anchura de los dientes 80% de su alto Proporciones alto – ancho capitulo 6 proffit,capitulo 6 y 7 canut, capitulo 1,2,3 gregroret
  • 39.
    ALTO Altura gingival proporcional IC y canino elevado IL 1.5mm abajo FORMA Y CONTORNO Curvatura de la encía en el margen de los dientes IL ovalada, punto cenit eje axial del diente IC canino elíptica, punto cenit distal al eje del diente capitulo 6 proffit,capitulo 6 y 7 canut, capitulo 1,2,3 gregroret
  • 40.
    CONECTORES • ZONA DEAPARENTE CONTACTO INTERDENTAL • SE EXTIENDE APICAL U OCLUSAL DEL PUNTO DE CONTACTO REAL TRONERAS • TRIÁNGULOS NEGROS • PERDIDA PAPILA INTERDENTAL • SE DETECTA DE 3 MM EN ADELANTE capitulo 6 proffit,capitulo 6 y 7 canut, capitulo 1,2,3 gregroret
  • 41.
    REGISTROS DIAGNOSTICOS DOCUMENTAR CONDICIONES PREVIAS ALTTO COMPLEMENTAR INFORMACION OBTENIDA EN LA EXPLORACION CLINICA FUNCIONES capitulo 6 proffit,capitulo 6 y 7 canut, capitulo 1,2,3 gregroret
  • 42.
    REGISTROS DX ENORTODONCIA SE CLASIFICAN EN TRES: REGISTROS PARA VALORAR DIENTES Y ESTRUCTURAS BUCALES REGISTROS PARA VALORAR LA OCLUSION - REGISTROS PROPORCIONES FACIALES Y MAXILARES capitulo 6 proffit,capitulo 6 y 7 canut, capitulo 1,2,3 gregroret
  • 43.
    SALUD DE LOSDIENTES Y ESTRUCTURAS BUCALES RX INTRABUCALES: (RUTINA TTO ORTODONTICOS COMPLEJO) RX PANORAMICA RX PERIAPICAL Y ALETA DE MORDIDA TOMOGRAFIA COMPUTARIZADA HAZ CONICO 3D (localización caninos) Rx de la articulacion TM capitulo 6 proffit,capitulo 6 y 7 canut, capitulo 1,2,3 gregroret
  • 44.
    ALINEAMIENTO DENTAL YOCLUSION • IMPRESIONES • MODELOS • REGISTROS DE MORDIDA • MONTAJE capitulo 6 proffit,capitulo 6 y 7 canut, capitulo 1,2,3 gregroret
  • 45.
    REGISTRO MINIM0S MODELOS RX PANORAMICA, PERIAPICALSI LO REQUIERE DATOS ANALISIS MORFOLOGIA FACIAL RX CEFALOMETRICA LATERAL FOTOS INTRA Y EXTRAORALES capitulo 6 proffit,capitulo 6 y 7 canut, capitulo 1,2,3 gregroret
  • 46.
    OCLUSION NORMAL Y MALOCLUSION Normooclusión: patrón de referencia ó situación óptima en las relaciones oclusales. Oclusión: Relación que se establecen al poner los arcos dentarios en contacto. FUNCIÓN MASTICATORIA + INTEGRIDAD DENTAL + ARMONIA EN LAS ESTRUCTURAS
  • 47.
    DIAGNOSTICO OCLUSIÓN NORMAL • RELACIONESOCLUSALES (CARABELLI 1842): 1. MORDEX NORMALIS 2. MORDEX RECTUS 3. MORDEX APERTUS 4. MORDES RETRUSUS 5. MORDEX TORTOUSUS • SIGLO IXX: DIENTES (CÚSPIDES - FOSAS ANTAGONISTAS) DIENTES + BASES OSEAS MAXILARES ENTRES SÍ capitulo 6 proffit,capitulo 6 y 7 canut, capitulo 1,2,3 gregroret Valoración del Paciente MALOCLUSION
  • 48.
    DIAGNOSTICO Edwar Angle: “Patrón dentalde la naturaleza” relación normal de planos inclinados dentales con arcadas dentarias en intimo contacto. Hoy = Oclusión ideal + fibras periodontales + estructuras óseas alveolar + cto armónico de maxilares + función + sistema neuromuscular. Oclusión según Strang: capitulo 6 proffit,capitulo 6 y 7 canut, capitulo 1,2,3 gregroret
  • 49.
    Oclusión según Strang: 1.Estructuras (dientes, membrana periodontal, hueso alveolar, hueso basal y músculos) + Rx + Pruebas Funcionales +Inspección de dientes y tejido blandos. 2. Planos Inclinados. 3. Dientes en equilibrio de bases óseas y estructuras craneofaciales (céfalometrias). 4. Rel. proximal de cada diente e inclinicación axial. 5. Cto y Dllo (óseo – facial) en armonía con estructuras craneales capitulo 6 proffit,capitulo 6 y 7 canut, capitulo 1,2,3 gregroret
  • 50.
    ANATOMIA DE LANORMOOCLUSIÓN  32 dientes Arco Dental Diseño Biológico (Músculos)  RELACIÓN INCISAL DISTAL  CURVAS OCLUSALES  RELACIONES INTERPROXIMALES capitulo 6 proffit,capitulo 6 y 7 canut, capitulo 1,2,3 gregroret
  • 51.
    ANATOMIA DE LANORMOCLUSIÓN RELACIÓN ANTEROPOSTERIORES OCLUSIÓN DE LOS MOLARES OCLUSIÓN DE LOS CANINOS capitulo 6 proffit,capitulo 6 y 7 canut, capitulo 1,2,3 gregroret
  • 52.
    MALOCLUSION (CLASIFICACIÓN) CLASES DEANGLE CLASE I capitulo 6 proffit,capitulo 6 y 7 canut, capitulo 1,2,3 gregroret
  • 53.
    CLASE II CLASE IIDIVISIÓN 1 CLASE II DIVISIÓN 2 CLASE II INCOMPLETA Y COMPLETA capitulo 6 proffit,capitulo 6 y 7 canut, capitulo 1,2,3 gregroret
  • 54.
    CLASE III capitulo 6proffit,capitulo 6 y 7 canut, capitulo 1,2,3 gregroret
  • 55.
    TERMINOLOGIA ORTODONTICA ANOMALIAS DENTOFACIALES ANOMALÍASDEL TAMAÑO DE LOS MAXILARES: - MACROGNATISMO - MICROGNATISMO ANOMALÍAS MAXILARES – BASE CRANEAL: + PROGNATISMO + RETROGNATISMO + ANTERORROTACIÓN + POSTERORRATACIÓN ANOMALIAS EN LA RELACIÓN ARCADA DENTARIAS - DISTOCLUSÍON - MESIOCLUSION - RESALTE HORIZONTAL EXCESIVO - SOBREMORDIDA PROFUNDA - MORDIDA ABIERTA - MORDIDA CRUZADA capitulo 6 proffit,capitulo 6 y 7 canut, capitulo 1,2,3 gregroret
  • 56.
    TERMINOLOGIA ORTODONTICA ANOMALIAS ENLA POSICION DE DIENTES AISLADOS - APIÑAMIENTO - DESPLAZAMIENTO DENTAL: MESIOVERSIÓN DISTOVERSIÓN LABIOVERSIÓN LINGUOVERSIÓN - ROTACIÓN DENTAL (GIROVERSIÓN) - SEPARACIÓN DE DIENTES (DIASTEMAS) - POSICIÓN DENTAL VESTIBULAR MESIAL LINGUAL DISTAL INTRUSIÓN EXTRUSIÓN capitulo 6 proffit,capitulo 6 y 7 canut, capitulo 1,2,3 gregroret
  • 57.
    ANALISIS DE REGISTROSDX ANALISIS DE MODELOS SIMETRIA Y ESPACIO SIMETRIA - FORMA DE ARCO, LONGITUD Y PERÍMETRO - POSICIÓN DE DIENTES: PROTRUSIÓN, RETRUSIÓN MESO O DISTALIZACIÓN capitulo 6 proffit,capitulo 6 y 7 canut, capitulo 1,2,3 gregroret
  • 58.
    ESTUDIO DE LOSMODELOS permite hacer análisis estático y dinámico de las arcadas para planificar el tratamiento cada uno considera cada arcada independiente y su relación se realiza en los modelos montados en articulador en relación céntrica de debe realizar en 3 planos del espacio. • A. ANÁLISIS TRANSVERSAL • B. ANÁLISIS ANTEROPOSTERIOR O SAGITAL. • C. ANÁLISIS VERTICAL capitulo 6 proffit,capitulo 6 y 7 canut, capitulo 1,2,3 gregroret
  • 59.
    ANALISIS TRANSVERSAL DELAS ARCADAS • 1. coincidencia de la línea media dental maxilar y mandibular • maxilar: la línea ½ está representada por el rafe palatino ya que no esta influenciado por desviaciones. • 2. Mandíbula: se ubica la inserción del frenillo lingual y la parte posterior corresponde a la proyección vertical del rafe. • 2.las líneas medias de los maxilares son referencias para medir asimetrías transversales en casos con mordidas uni o bilaterales. • 3. la relación transversal se establece asi: a. 1. normal b. 2. mordida cruzada c. 3. mordida en tijera capitulo 6 proffit,capitulo 6 y 7 canut, capitulo 1,2,3 gregroret
  • 60.
    ANALISIS SAGITAL DELAS ARCADAS • la referencia es el plano transversal y describe la relación anteroposterior de las arcadas para ello usa la clasificación de angle y el overbite. • a. relacion molar • clase l: la cuspide mv del 6 superior ocluye en el surco mv del 6 inferior • clase ll: el surco mv del 6 inferior esta distal de la cúspide mv del 6 superior, hay 2 variedades: • div 1: incisivos sup con protrusión y overjet aumentado • div 2: centrales retroinclinado y laterales proinclinados, overjet disminuido y mordida profunda capitulo 6 proffit,capitulo 6 y 7 canut, capitulo 1,2,3 gregroret
  • 61.
    • si laclase ll molar se encuentra unilateral según la anomalía se clasifica en: • clase ll completa: cuando la cúspide mv del 6 superior ocluye interproximal del 6 inferior y el diente que le antecede. • clase ll incompleta: cuando existe una relación cúspide a cúspide en sentido sagital, ósea caras mesiales de 1ros molares están en un solo plano, común por rotaciones del 6 sup. • clase lll : el surco mv del 6 inferior esta mesial e la cúspide mv del 6 superior si e unilateral se denomina subdivisIÓN. • ANALISIS SAGITAL DE LAS ARCADAS capitulo 6 proffit,capitulo 6 y 7 canut, capitulo 1,2,3 gregroret
  • 62.
    • RELACION CANINA •clase l: cúspide del canino superior por detrás del inferior por 3 mm • clase ll: canino sup por delante del infe por menos de 3mm. • clase lll: cúspide del canino superior por detrás del inferior por mas de 3 mm • ANALISIS SAGITAL DE LAS ARCADAS capitulo 6 proffit,capitulo 6 y 7 canut, capitulo 1,2,3 gregroret
  • 63.
    OVERJET O RESALTEINCISIVO: distancia de la cara V del incisivo central inferior y el borde incisal del incisivo central superior. la norma es de +2 y se observa análisis cefalometrico, modelos, exámenes clínicos. POSITIVO: central sup por delante del inf. Cero: caras V de ambos dientes están en un mismo plano. NEGATIVO: Mordidas invertidas anteriores. ANALISIS SAGITAL DE LAS ARCADAS capitulo 6 proffit,capitulo 6 y 7 canut, capitulo 1,2,3 gregroret
  • 64.
    • el overjeto resalte incisivo se puede alterar por varios factores: • relacion molar: clase ll o lll con dientes total/ alineados y armónicos producen un overjet – o + . • presencia de apiñamientos o diastemas: así sea clase l con apiñamiento infe y diastemas sup aumentan el overjet, y al contrario favorecen un resalte negativo. • tamaño dental: la macrodoncia en incisivos produce aumento del overjet. • rotación de dientes en el sector lateral: estas rotaciones ocupan mayor espacio y provocan un desplazamiento de incisivos en sentido anterior. ANALISIS SAGITAL DE LAS ARCADAS capitulo 6 proffit,capitulo 6 y 7 canut, capitulo 1,2,3 gregroret
  • 65.
    ANÁLISIS VERTICAL DELAS ARCADAS DENTARIAS • el plano de referencia es el horizontal o plano oclusal. • overbite o sobremordida • distancia en sentido vertical entre los bordes incisales de incisivos centrales sup e inferiores, se proyecta el borde incisal del sup sobre la cara v del inf y se mide. la norma es de +2.5 a 3 mm. presenta variación por la inclinación cuspidea de posteriores y guía condilar. capitulo 6 proffit,capitulo 6 y 7 canut, capitulo 1,2,3 gregroret
  • 66.
    positivo: si elborde incisal sup está por debajo del inf negativo: en casos de mordida abierta. en caso normal permite la desoclusion de posteriores esta relacionado directamente con la curva de spee asi: curva spee plana: overbite normal curva spee profunda: supra erupción incisiva y entrecruzamiento excesivo curva spee invertida: se da en mordidas abiertas. ANÁLISIS VERTICAL DE LAS ARCADAS DENTARIAS capitulo 6 proffit,capitulo 6 y 7 canut, capitulo 1,2,3 gregroret
  • 67.
    ASIMETRIA ARCO DENTAL Asimetríaarco dental con asimetria en la forma del arco Desplazamient o lateral de los incisivos o deriva unilateral dientes posteriores Asimetría arco dental con arco de forma simétrica capitulo 6 proffit,capitulo 6 y 7 canut, capitulo 1,2,3 gregroret
  • 68.
    ANALISIS DE LONGITUDDE ARCADA • es el análisis de la relación entre el espacio disponible y requerido para el correcto posicionamiento de las arcadas conocido como la discrepancia dentaria este estudio se realiza en dentición permanente o mixta. cuando realizamos un análisis intramaxilar hay 3 situaciones diferentes: • 1. dientes perfectamente alineados con puntos de contacto correctamente establecidos: • 2.se observa diastemas • 3.existen apiñamientos: capitulo 6 proffit,capitulo 6 y 7 canut, capitulo 1,2,3 gregroret
  • 69.
    • LONGITUD REALDE LA ARCADA: VA DE LA CARA M DEL 6 A 6 PASANDO POR PUNTOS DE CONTACTO DE PREMOLARES Y CANINOS Y LOS BORDES INCISALES. • ESPACIO REQUERIDO: ES LA SUMA DE LOS ANCHOS M-D DE LOS DIENTES MESIALES A LOS PRIMEROS MOLARES. • 1.METODO VISUAL: • 2.MEDICIONES REALIZADAS CON COMPAS DE BALUSTRIN. capitulo 6 proffit,capitulo 6 y 7 canut, capitulo 1,2,3 gregroret
  • 70.
    ALINEACION (APIÑAMIENTO): ANALISISDE ESPACIO Cantidad de espacio disponible para alineación Espacio necesario para alinear • PRINCIPIOS DEL ANALISIS DEL ESPACIO • Malalineación y el apiñamiento suelen ser el resultado de una falta de espacio capitulo 6 proffit,capitulo 6 y 7 canut, capitulo 1,2,3 gregroret
  • 71.
    COMO SE PUEDEEFECTUAR • DIRECTAMENTE SOBRE MODELOS • mediante algoritmos por ordenador capitulo 6 proffit,capitulo 6 y 7 canut, capitulo 1,2,3 gregroret
  • 72.
    Se mide perímetrodesde mesial de 1ros molares, pasando por punto de contacto dientes post y bordes incisales ant Primer paso calculo de espacio disponible Anchura MD cada diente entre sus 2 puntos de contacto estimando tamaño diente permanente no erupcionado, se suma todos los dientes Segundo paso calcular espacio necesario para alineación dental capitulo 6 proffit,capitulo 6 y 7 canut, capitulo 1,2,3 gregroret
  • 73.
    CALCULO APROX DELTAMAÑO DE LOS DIENTES PERMANENTES 1 Medición de los dientes en Rx Rx periapical Referencia 1er molar primario • Anchura real del molar primario Anchura aparente del molar primario • Anchura real del molar sin erupcionar Anchura aparente del molar sin erupcionar capitulo 6 proffit,capitulo 6 y 7 canut, capitulo 1,2,3 gregroret
  • 74.
    CALCULOS TABLAS PROPORCIONAL MOYERS TANAKAY JOHNSTON STALEY-KERBER capitulo 6 proffit,capitulo 6 y 7 canut, capitulo 1,2,3 gregroret
  • 75.
    • ARCADA ENDENTICION MIXTA • usa la longitud de arco igual que la dentición permanente, se puede usar 2 metodos: 1. PREDICCCION MATEMÁTICA MEDIANTE LAS TABLAS DE MOYERS: • se mide el diámetro md de los 4 incisivos inferiores, con compas de puntas finas. • se detrmina el espacio necesario para el correcto alineamiento de estos dientes. • con este método también podríamos predecir si habrá ubicación correcta de permanentes en caso de no existir apiñamiento debido al espacio de nance que es la diferencia del diámetro md del 2do molar deciduo con el 2do premolar permanente que es aprox de 1.7 a 2mm. • el uso de rx periapicales permite comparar el tamaño md de deciduos y permanentes y dar mayor exactitud de un 85% a 95%. capitulo 6 proffit,capitulo 6 y 7 canut, capitulo 1,2,3 gregroret
  • 76.
    capitulo 6 proffit,capitulo6 y 7 canut, capitulo 1,2,3 gregroret
  • 77.
    2. MÉTODO DERADIOGRÁFICO DE G.W.HUCKABA • ancho md de estos en rx periapicales tomados con cono largo y consiste en: • tomar el ancho md del diente temporal en la rx (y) y del sucesor permanente (x) • por regla de tres simple se calcula el ancho del diente permanente no erupcionado • no es de gran a utilidad porque los gérmenes de premolares se presentan rotados capitulo 6 proffit,capitulo 6 y 7 canut, capitulo 1,2,3 gregroret
  • 78.
    COMBINACION DE METODOSDE LA RX Y TABLAS DE PREDICTORES Tablas de predictores Población blanco (origen escandinavo, raza blanca) Mejor método Otro tipo de población mejor Rx capitulo 6 proffit,capitulo 6 y 7 canut, capitulo 1,2,3 gregroret
  • 79.
    ANALISIS TAMAÑO DEDIENTES Buena oclusión tamaño proporcional 5 % de la población grado de discrepancia tamaño dental Incisivos laterales sup y premolares mas frecuentes capitulo 6 proffit,capitulo 6 y 7 canut, capitulo 1,2,3 gregroret
  • 80.
    MÉTODOS PARA DETERMINAR DISCREPANCIAEN DENTICION MIXTA 1. CORRELACIÓN DE MOORRES: MEDIR EL TAMAÑO DE INCISIVOS PERMANENTES SEGÚN TABLA Y PREDECIR EL TAMAÑO DE BICUSPIDEOS Y CANINOS. 2. CRITERIO DE NANCE: MEDIR EL TAMAÑO DE LOS DIENTES TEMPORALES CON AYUDA DE RX INTRAORAL. 3. CRITERIO DE HIXON : COMBINAR LA MEDICIÓN DE LOS INCISIVOS CON LA SILUETA RADIOGRÁFICA DE LAS CUSPIDES DE LOS CANINOS QUE NO HAN ERUPCIONADO. TAB 7.3 capitulo 6 proffit,capitulo 6 y 7 canut, capitulo 1,2,3 gregroret
  • 81.
    ÍNDICE BOLTON • SUMATORIADE DIENTES INFERIORES DIVIDIDO ENTRE LA SUMATORIA DE LOS 12 DIENTES SUPERIORES MULTIPLICADO POR 100. • OTRA FORMA DE MEDICIÓN SE REALIZA CON UN COMPAZ MIDIENDO EL DIÁMETRO MESODISTAL (SUP) EN LOS MODELOS DE ESTUDIO. SE TOMA LA MEDIDA DEL INCISIVO SUPERIOR DER E IZQ , SE MIDE LA LONGITUD DEL TOTAL SUP E INF Y SE COMPARA EN LA TABLA DE VALORES. capitulo 6 proffit,capitulo 6 y 7 canut, capitulo 1,2,3 gregroret
  • 82.
    BOLTON Excluye 2 y3 molares Tabla estándar compara anchura de la suma de dientes maxilares, respecto a los mandibulares y la anchura total de todos los dientes sup e inf Ancho M-D cada diente permanente capitulo 6 proffit,capitulo 6 y 7 canut, capitulo 1,2,3 gregroret
  • 83.
    ANALISIS CEFALOMETRICO • OBJETIVO DETERMINARELACIONES ESQUELÉTICAS Y DENTALES QUE TIENE UN PACIENTE Y CONTRIBUYE A SU MALOCLUSIÓN COMPONENTE FUNCIONAL DE LA CARA BASE DEL CRANEO MAXILARES SUP E INF DIENTEScapitulo 6 proffit,capitulo 6 y 7 canut, capitulo 1,2,3 gregroret
  • 84.
    DESARROLLO ANALISIS CEFALOMETRICO •Puntos cefalométricos capitulo 6 proffit,capitulo 6 y 7 canut, capitulo 1,2,3 gregroret • Trazos
  • 85.
    PRINCIPIO ANALISIS CEFALOMETRICO Esel mismo 2 guerra mundial Análisis de down Basado en las proporciones esqueléticas y dentales Grupo de referencia 25 adolescentes blancos No sometidos a tto Seleccionados por tener buena oclusión capitulo 6 proffit,capitulo 6 y 7 canut, capitulo 1,2,3 gregroret
  • 86.
    ANALISIS DE MEDICIONES •LÍNEA DE REFERENCIA HORIZONTAL : PLANO DE FRANKFORT : 2 PROBLEMAS ACTUALIDAD – LÍNEA HORIZONTAL VERDADERA Difícil ubicación puntos Posición de la cabeza capitulo 6 proffit,capitulo 6 y 7 canut, capitulo 1,2,3 gregroret
  • 87.
    ANALISIS DE STEINER •RELACIONA MEDICIONES INDIVIDUALES Y ENTRE ELLAS. • MEDICIONES Angulo SNA Angulo SNB Angulo ANB Inc. Sup – Linea NA Inc. Inf – Linea NB Línea horizontal verdadera. Altura vertical cara y posición N Conciente holdaway • Basado en procesos alveolares No mira discrepancias esqueléticas capitulo 6 proffit,capitulo 6 y 7 canut, capitulo 1,2,3 gregroret
  • 88.
    ANALISIS DE SASSOUNI •RELACIONA PROPORCIONES VERTICALES Y HORIZONTALES. • REFLEJA PROPORCIO- NALIDAD VERTICAL – CARA. • PROBLEMA Aumento de la desproporción de una cara capitulo 6 proffit,capitulo 6 y 7 canut, capitulo 1,2,3 gregroret
  • 89.
    ANALISIS HARVOLD –WITS - RICKETTS • DESCRIBEN – GRADO DE FALTA DE ARMONÍA MAXILAR HARVOLD la posicion dental no influye en los valores estandares de la longitud maxilar. WITS NO diferencia discrepancias esqueleticas producida por desplazamiento dental. RICKETTS Datos recogidos basados en muestras inespecificas capitulo 6 proffit,capitulo 6 y 7 canut, capitulo 1,2,3 gregroret
  • 90.
    ANALISIS DE MCNAMARA •VALORA – POSICION ANTPOST DEL MAX. EN RELACION CON LA PERPENDICULAR DEL NASION. Problema: una dimensión determinada se afecta por otras de la misma cara. capitulo 6 proffit,capitulo 6 y 7 canut, capitulo 1,2,3 gregroret
  • 91.
    ANALISIS DE CONTRAPARTIDAS -ENLOW Y COLS : equilibrio facial global – determinado por : dimensiones y alineación de componentes craneofaciales. - Análisis aplicado a clinica – plantilla normal o puntos flotantes ( valores obtenidos del tipo facial del paciente, relacionados entre si). capitulo 6 proffit,capitulo 6 y 7 canut, capitulo 1,2,3 gregroret
  • 92.
    ANALISIS POR PLANTILLAS •PLANTILLA: REPRESENTACIÓN GRAFICA DE DATOS CEFALOMETRICOS. • ELECCION PLANTILLA- COMPARAR PARTE ANT. BASE CRANEO Y MIRAR EDAD DE DESARROLLO. • BASADA EN SUPERPOSICIONES 1. BASE DEL CRÁNEO 2. CONTORNO MÁXIMO DEL MAXILAR 3. BORDE INFERIOR DE LA SÍNFISIS MANDIBULAR esquemáticas Anatomicamente completas capitulo 6 proffit,capitulo 6 y 7 canut, capitulo 1,2,3 gregroret
  • 93.
    CLASIFICACION ORTODONTICA • CLASIFICACIÓN:REDUCCIÓN ORDENADA DE DATOS DISPONIBLES. CLASIFICACIÓN ÚTIL Maloclusion de ANGLE Problema: no incluia caracteristicas importantes del paciente Adiciones informales Martin Dewey Ackerman y Proffit •Clasificacion maloclusion •Relaciones molares y max. •Patron de crecimiento •Proporciones max. esqueleticas •Relaciones dentales y max – aspecto cara. •Apiñamiento – protrusion •Plano antpost-transversal-vertical capitulo 6 proffit,capitulo 6 y 7 canut, capitulo 1,2,3 gregroret
  • 94.
    • ACTUALMENTE MASADICIONES Linea estetica de la denticion : Linea media de angle Descripcion sistematica: •CABECEO – inclinacion excesiva de dientes con respecto a labios y mejillas •ALABEO – inclinacion de un lado sobre otro. •GUIÑADA – discrepancia de linea •media por rotacion de maxilares capitulo 6 proffit,capitulo 6 y 7 canut, capitulo 1,2,3 gregroret
  • 95.
    CLASIFICACION EN FUNCIONDE LAS CARACTERÍSTICAS DE LA MALOCLUSION: Valorar relaciones esqueléticas y dentales en plano vertical Valorar relaciones esqueléticas t dentales en plano anteroposterior Valorar relaciones esqueléticas y dentales en plano transversal Valorar alineación y asimetria arcos dentales Exploración clínica inicial capitulo 6 proffit,capitulo 6 y 7 canut, capitulo 1,2,3 gregroret
  • 96.
  • 97.
    LAWRENCE ANDREWS • ELDR. LAWRENCE ANDREWS. INVENTOR DEL SISTEMA DE APARATOLOGÍA STRAIGHT-WIRE (ARCO RECTO). • DESCUBRIDOR DE LAS ‘SEIS CLAVES DE LA OCLUSIÓN NORMAL (ÓPTIMA)’ Y LOS ‘SEIS ELEMENTOS DE LA ARMONÍA OROFACIAL’. • EN 1989, PUBLICÓ EL LIBRO DE TEXTO FUNDAMENTAL ‘APARATOLOGÍA DEL ARCO RECTO’. • EL DR. ANDREWS COMPLETÓ SU FORMACIÓN EN ORTODONCIA EN LA UNIV. ESTATAL DE OHIO EN 1958. • DICTA CURSOS EN TODO EL MUNDO SOBRE LA FILOSOFÍA DE LOS 6 ELEMENTOS EN ORTODONCIA. URIBE RESTREPO G. A., ORTODONCIA Teoría y clínica, Editorial La CIB, Capitulo 16, Paginas 304 y 305. capitulo 6 proffit,capitulo 6 y 7 canut, capitulo 1,2,3 gregroret
  • 98.
    Inclinaciones mesiodistales Bucolinguales Rotaciones Espacios interdentales Lasrelaciones molares Nivel del plano oclusal SEIS LLAVES DE LA OCLUSION. FASES DEL ESTUDIO 1960 Y 1964 120 MODELOS. OCLUSIÓN NORMAL. URIBE RESTREPO G. A., ORTODONCIA Teoría y clínica, Editorial La CIB, Capitulo 16, Paginas 304 y 305. capitulo 6 proffit,capitulo 6 y 7 canut, capitulo 1,2,3 gregroret
  • 99.
    1965 Y 19711150 CASOS CON ORTODONCIA 120 MODELOS IDEALES DE LA FASE INICIAL IDENTIFICARON LAS DIFERENCIAS Y SE MEJORARON LOS TRATAMIENTOS. Secuencias de arcos de alambres de diferentes calibres. Sin necesidad de hacer dobleces de primer, segundo y tercer orden. Para obtener resultados similares a la técnica estándar. URIBE RESTREPO G. A., ORTODONCIA Teoría y clínica, Editorial La CIB, Capitulo 16, Paginas 304 y 305. capitulo 6 proffit,capitulo 6 y 7 canut, capitulo 1,2,3 gregroret
  • 100.
    • INTRODUJO SUPRESCRIPCIÓN DE ARCO RECTO, BASADA EN LAS SEIS LLAVES DE LA OCLUSIÓN NORMAL. • DIVIDIÓ LOS BRACKETS COMO PROGRAMADOS, PARCIALMENTE PROGRAMADOS Y TOTALMENTE PROGRAMADOS. • INFORMACIÓN DE TORQUE EN LA BASE O SLOT. • TRATA DE UNA PRESCRIPCIÓN DE BRACKETS Y TUBOS QUE TIENEN EN SU ESTRUCTURA UNA INFORMACIÓN TRIDIMENSIONAL DESTINADA A COLOCAR LAS PIEZAS DENTARIAS EN UNA POSICIÓN OPTIMA EN LOS TRES SENTIDOS DEL ESPACIO, Y QUE CUANDO SE INSTALE UN ARCO Y CUMPLA EL OBJETIVO DE PROVOCAR LA EXPRESIÓN TOTAL DE ESA INFORMACIÓN. URIBE RESTREPO G. A., ORTODONCIA Teoría y clínica, Editorial La CIB, Capitulo 16, Paginas 304 y 305. capitulo 6 proffit,capitulo 6 y 7 canut, capitulo 1,2,3 gregroret
  • 101.
    ANDREWS UTILIZO ELCENTRO DE LA CORONA DE CADA DIENTE PARA LA COLOCACIÓN DE BRACKETS Y TUBOS. ES DIFÍCIL DETERMINAR EL CENTRO DE LA CORONA CLÍNICA IRREGULARIDADES DE LOS BORDES GINGIVALES. URIBE RESTREPO G. A., ORTODONCIA Teoría y clínica, Editorial La CIB, Capitulo 16, Paginas 304 y 305. capitulo 6 proffit,capitulo 6 y 7 canut, capitulo 1,2,3 gregroret
  • 102.
    ANDREWS • EM: PUNTOMEDIO DEL EJE MAYOR DE LA CORONA CLÍNICA. • EMCC: EJE MAYOR DE LA CORONA CLÍNICA. URIBE RESTREPO G. A., ORTODONCIA Teoría y clínica, Editorial La CIB, Capitulo 16, Paginas 304 y 305. capitulo 6 proffit,capitulo 6 y 7 canut, capitulo 1,2,3 gregroret
  • 103.
    INCISIVO CENTRAL YLATERAL ----- 3.5 MM CANINO ------ 4.5 MM URIBE RESTREPO G. A., ORTODONCIA Teoría y clínica, Editorial La CIB, Capitulo 16, Paginas 304 y 305. capitulo 6 proffit,capitulo 6 y 7 canut, capitulo 1,2,3 gregroret
  • 104.
    Ante la presenciade un incisivo lateral pequeño, la referencia del centro de la corona clínica para la ubicación del bracket provocara una falta de nivelamiento de los bordes incisales. Una diferente ubicación de los brackets se buscara nivelar los bordes incisales. URIBE RESTREPO G. A., ORTODONCIA Teoría y clínica, Editorial La CIB, Capitulo 16, Paginas 304 y 305. capitulo 6 proffit,capitulo 6 y 7 canut, capitulo 1,2,3 gregroret
  • 105.
    BRACKETS PREAJUSTADOS LA RANURADE LOS BRACKETS DE ARCO RECTO SE PRESENTARON CON RANURAS DE 0.022 X 0.028 Y DE 0.018 X 0.025. LOS BRACKETS VIENEN DE DOS CLASES: • LOS SOLDADOS A LA BASE • TROQUELADOS COMO UNA UNIDAD SIN SOLDADURA. URIBE RESTREPO G. A., ORTODONCIA Teoría y clínica, Editorial La CIB, Capitulo 16, Paginas 304 y 305. capitulo 6 proffit,capitulo 6 y 7 canut, capitulo 1,2,3 gregroret
  • 106.
    LA SELECCIÓN DELBRACKET DEPENDE DE: • EL TAMAÑO DE LAS RANURAS • TAMAÑO Y MORFOLOGÍA DEL DIENTE • FACILIDAD PARA LA HIGIENE • LA CANTIDAD DE TORQUE DE LOS BRACKETS • LA CANTIDAD DE INCLINACIÓN DE LOS BRACKETS URIBE RESTREPO G. A., ORTODONCIA Teoría y clínica, Editorial La CIB, Capitulo 16, Paginas 304 y 305. capitulo 6 proffit,capitulo 6 y 7 canut, capitulo 1,2,3 gregroret
  • 107.
    SERIES DE BRACKETS •SIN EXTRACCIONES. VIENEN CON LA FORMULA ESTÁNDAR DE TORQUE, INCLINACIONES IN-SET Y OUTS-SET URIBE RESTREPO G. A., ORTODONCIA Teoría y clínica, Editorial La CIB, Capitulo 16, Paginas 304 y 305. capitulo 6 proffit,capitulo 6 y 7 canut, capitulo 1,2,3 gregroret
  • 108.
    CON EXTRACCIONES. DESVENTAJAS • SEAUMENTA LOS VECTORES DE FUERZA EN ETAPAS DE ALINEACIÓN Y NIVELACIÓN EN CANINOS. • UTILIZANDO ALAMBRES DELGADOS Y POCO RÍGIDOS NO FUNCIONA EL SISTEMA PREAJUSTADO, YA QUE NO HAY UNA LECTURA DE LA INFORMACIÓN DEL BRACKET. URIBE RESTREPO G. A., ORTODONCIA Teoría y clínica, Editorial La CIB, Capitulo 16, Paginas 304 y 305. capitulo 6 proffit,capitulo 6 y 7 canut, capitulo 1,2,3 gregroret
  • 109.
    SEIS LLAVES DELA OCLUSIÓN DE ANDREWS I. RELACIÓN ENTRE MOLARES. II. ANGULACIÓN MESIODISTAL DE LA CORONA. III. INCLINACIÓN VESTIBULOLINGUAL DE LA CORONA. IV. ROTACIONES. V. DIASTEMAS. VI. PLANOS OCLUSALES (CURVA DE SPEE). URIBE RESTREPO G. A., ORTODONCIA Teoría y clínica, Editorial La CIB, Capitulo 16, Paginas 304 y 305. capitulo 6 proffit,capitulo 6 y 7 canut, capitulo 1,2,3 gregroret
  • 110.
    I. PRIMERA LLAVEDE LA OCLUSIÓN RELACIÓN ENTRE MOLARES LA CÚSPIDE MESIOVESTIBULAR DEL PRIMER MOLAR SUPERIOR OCLUYE EN EL SURCO MESIOVESTIBULAR DEL PRIMER MOLAR INFERIOR ENTRE LAS CÚSPIDES MESIOVESTIBULAR Y DISTOVESTIBULAR INFERIORES. GREGORET J., TUBER E., ESCOBAR H., EL TRATAMIENTO ORTODONTICO CON ARCO RECTO, NM Ediciones, Año 2003, Paginas 16 a 23. capitulo 6 proffit,capitulo 6 y 7 canut, capitulo 1,2,3 gregroret
  • 111.
    LAS CÚSPIDES MESIOLINGUALES DELPRIMER MOLAR SUPERIOR OCLUYEN EN LAS FOSAS TRANSVERSALES DEL PRIMER MOLAR INFERIOR. capitulo 6 proffit,capitulo 6 y 7 canut, capitulo 1,2,3 gregroret
  • 112.
    LA CORONA DELPRIMER MOLAR SUPERIOR DEBE ANGULARSE, DE MANERA QUE EL BORDE DISTAL DEL REBORDE MARGINAL OCLUYA CON LA SUPERFICIE MESIAL DEL SEGUNDO MOLAR INFERIOR GREGORET J., TUBER E., ESCOBAR H., EL TRATAMIENTO ORTODONTICO CON ARCO RECTO, NM Ediciones, Año 2003, Paginas 16 a 23. capitulo 6 proffit,capitulo 6 y 7 canut, capitulo 1,2,3 gregroret
  • 113.
    II. SEGUNDA LLAVEDE OCLUSIÓN ANGULACIÓN MESIODISTAL DE LA CORONA. LA PORCIÓN GINGIVAL DEL EJE LONGITUDINAL DE LA CORONA DEBERÁ ESTAR UBICADA LIGERAMENTE DISTAL A LA PORCIÓN OCLUSAL DEL EJE LONGITUDINAL DE LA CORONA PARA QUE EXISTA UNA OCLUSIÓN NORMAL GREGORET J., TUBER E., ESCOBAR H., EL TRATAMIENTO ORTODONTICO CON ARCO RECTO, NM Ediciones, Año 2003, Paginas 16 a 23. capitulo 6 proffit,capitulo 6 y 7 canut, capitulo 1,2,3 gregroret
  • 114.
    Angulaciones positivas: Cuando laporción gingival del diente está situada distal a la incisal. ANGULACIÓN CORRECTA Angulaciones negativas: Cuando la porción gingival está situada mesial a la incisal. • Para obtener el eje longitudinal de la corona se marca el punto LA (Centro del eje longitudinal clínico de la corona). • Luego se traza una perpendicular al plano horizontal, la cual recibe el nombre de plano de referencia vertical. La angulación mesodistal de la corona se mide a partir de este plano.
  • 115.
    III. TERCERA LLAVEDE OCLUSIÓN INCLINACIÓN VESTIBULOLINGUAL DE LA CORONA. LA CONSTITUYE EL ÁNGULO FORMADO ENTRE LAS TANGENTES QUE TOCAN LA SUPERFICIE MÁS VESTIBULARES DEL CENTRO DE LAS CORONAS DE LOS DIENTES Y LAS PERPENDICULARES AL PLANO OCLUSAL. CUANDO LA CORONA ESTA INCLINADA EN SENTIDO LINGUAL A NIVEL GINGIVAL EL VALOR SERÁ POSITIVO, EN TODOS LOS DEMÁS CASOS SERÁ NEGATIVO. GREGORET J., TUBER E., ESCOBAR H., EL TRATAMIENTO ORTODONTICO CON ARCO RECTO, NM Ediciones, Año 2003, Paginas 16 a 23. capitulo 6 proffit,capitulo 6 y 7 canut, capitulo 1,2,3 gregroret
  • 116.
    Torque normal. Ante lafalta de torque se puede producir diastemas La falta de torque origina una relación de clase II. capitulo 6 proffit,capitulo 6 y 7 canut, capitulo 1,2,3 gregroret
  • 117.
    IV. ROTACIONES. EN OCLUSIÓNNORMAL NO DEBE EXISTIR ROTACIONES DENTARIAS. PROBLEMAS ESTÉTICOS (ANTERIOR) FUNCIONALES Molares y premolares rotados Ocupan mas espacio en la arcada. GREGORET J., TUBER E., ESCOBAR H., EL TRATAMIENTO ORTODONTICO CON ARCO RECTO, NM Ediciones, Año 2003, capitulo 6 proffit,capitulo 6 y 7 canut, capitulo 1,2,3 gregroret
  • 118.
    capitulo 6 proffit,capitulo6 y 7 canut, capitulo 1,2,3 gregroret
  • 119.
    V. ESPACIOS ODIASTEMAS LOS DIENTES ESTÁN UBICADOS CON SUS PUNTOS DE CONTACTO PERFECTAMENTE RELACIONADOS. SIN ESPACIOS ENTRE SI. ESTO REQUIERE QUE NO EXISTAN MALFORMACIONES DENTARIAS NI DISCREPANCIAS EN EL ANCHO MESODISTAL DE LOS DIENTES DE AMBOS MAXILARES, ES DECIR QUE NO ESTE ALTERADO EL ÍNDICE DE BOLTON. SI ESTO NO OCURRE SEGURAMENTE SE ALTERA LA RELACIÓN INTEROCLUSAL. GREGORET J., TUBER E., ESCOBAR H., EL TRATAMIENTO ORTODONTICO CON ARCO RECTO, NM Ediciones, Año 2003, Paginas 16 a 23. capitulo 6 proffit,capitulo 6 y 7 canut, capitulo 1,2,3 gregroret
  • 120.
    VI. CURVA DESPEE DEBE PRESENTARSE PLANA O LEVEMENTE CÓNCAVA Desde el incisivo central hasta el último molar Puede ser diferente en la arcada derecha o la izquierda No deberá exceder de una profundidad de 1,5 mm CURVATURA DEL PLANO OCLUSAL (Vista en forma sagital)
  • 121.
    • UNA CURVADE SPEE PROFUNDA, PRODUCE UN CONFINAMIENTO DE LAS RAÍCES DE LOS DIENTES DEL MAXILAR SUPERIOR. URIBE RESTREPO G. A., ORTODONCIA Teoría y clínica, Editorial La CIB, Capitulo 16, Paginas 304 y 305. capitulo 6 proffit,capitulo 6 y 7 canut, capitulo 1,2,3 gregroret
  • 122.
    • LA CURVADE SPEE INVERTIDA DETERMINA UN EXCESO DE ESPACIO EN LOS DIENTES DEL MAXILAR SUPERIOR PROVOCANDO ALTERACIONES Y FALTA DE GUÍA INCISIVA. URIBE RESTREPO G. A., ORTODONCIA Teoría y clínica, Editorial La CIB, Capitulo 16, Paginas 304 y 305. capitulo 6 proffit,capitulo 6 y 7 canut, capitulo 1,2,3 gregroret
  • 123.
    EXAMEN FUNCIONAL COMPRENDE 4ASPECTOS: • RESPIRACION • DEGLUSION • FONACION • HABITOS
  • 124.
    RESPIRACIÓN • RESPIRACIÓN NORMAL: LALENGUA ESTA CONTRA EL PALADAR Y GENERA PRESION NEGATIVA, LO CUAL ES POSITIVO PARA EL DESARROLLO capitulo 6 proffit,capitulo 6 y 7 canut, capitulo 1,2,3 gregroret
  • 125.
    RESPIRACION • RESPIRACIÓN ANORMAL: LENGUAEN POSICIÓN DESCENDIDA CREA DOS CONSECUENCIAS: capitulo 6 proffit,capitulo 6 y 7 canut, capitulo 1,2,3 gregroret
  • 126.
    RESPIRACIÓN 1. AFECTA ELCRECIMIENTO TRANSVERSAL DE LA MAXILA SUPERIOR 2. GENERA UNA ROTACIÓN POSTERIOR DE LA MANDIBULA capitulo 6 proffit,capitulo 6 y 7 canut, capitulo 1,2,3 gregroret
  • 127.
    RESPIRACIÓN CAUSAS: • HIPERTROFIA DEADENOIDES • HIPERTROFIA DE AMÍGDALAS • RINITIS ALÉRGICA • DESVIACIÓN DEL TABIQUE NASAL • CAVIDAD NASAL ESTRECHA CON HIPERTROFIA DE CORNETES capitulo 6 proffit,capitulo 6 y 7 canut, capitulo 1,2,3 gregroret
  • 128.
    EXAMEN RESPIRATORIO EL EXAMENRESPIRATORIO DEBE HACERSE EN 6 ÁREAS: 1. HISTORIA CLÍNICA 2. EVALUACIÓN DE LA RESPIRACIÓN 3. ESTRUCTURA FACIAL: • LABIO SUPERIOR E INFERIOR HIPOTÓNICOS E INCOMPETENTES • LABIO SUPERIOR CORTO (DEJA EXPUESTO LOS INCISIVOS) • LABIO INFERIOR GRUESO Y EVERTIDO • DEBILITAMIENTO DE OS MÚSCULOS FACIALES • AUMENTO DEL TERCIO INFERIOR • RETRUCIÓN DEL MENTÓN capitulo 6 proffit,capitulo 6 y 7 canut, capitulo 1,2,3 gregroret
  • 129.
    EXAMEN RESPIRATORIO 4. EXAMENBUCAL: CARACTERÍSTICAS DE PACIENTE CON RESPIRACIÓN BUCAL: • MORDIDA CRUZADA LATERAL • INCISIVOS PROTRUIDOS Y/O APIÑADOS • TENDENCIA A MORDIDA ABIERTA • ARCADA SUPERIOR EN FORMA TRIANGULAR. capitulo 6 proffit,capitulo 6 y 7 canut, capitulo 1,2,3 gregroret
  • 130.
    EXAMEN RESPIRATORIO 5. ESTUDIOPOSTURAL 6. ESTUDIOS RADIOGRÁFICOS Y CEFALÓMETROS: EN RADIOGRAFÍA LATERAL PARA PODER OBSERVAR EL GRADO DE OBSTRUCCIÓN capitulo 6 proffit,capitulo 6 y 7 canut, capitulo 1,2,3 gregroret
  • 131.
    TRATAMIENTOS EL TRATAMIENTO ESMULTIDISCIPLINARIO: • EXTIRPACIÓN DE AMÍGDALAS • MEDICACIÓN • FONOAUDIOLOGÍA • TRATAMIENTO ORTOPEDICO-ORTODONTICO capitulo 6 proffit,capitulo 6 y 7 canut, capitulo 1,2,3 gregroret
  • 132.
    DEGLUCIÓN DEFINICIÓN: ES EL TRANSITOQUE HACE EL BOLO ALIMENTICIO O SALIVA DESDE LA BOCA HASTA EL ESTOMAGO Y TIENE DOS FASES: a) FASE ORAL O VOLUNTARIA b) FASE FARÍNGEA, INVOLUNTARIA O REFLEJA capitulo 6 proffit,capitulo 6 y 7 canut, capitulo 1,2,3 gregroret
  • 133.
    DEGLUCIÓN ATÍPICA LA LENGUA SEAPOYA EN LOS INCISIVOS SUPERIORES E INFERIORES PARA CREAR UN SELLE capitulo 6 proffit,capitulo 6 y 7 canut, capitulo 1,2,3 gregroret
  • 134.
    FONACIÓN • INTERVIENEN VARIOSÓRGANOS: LARINGE (ÓRGANO EMISOR), TÓRAX, TRÁQUEA, FARINGE, VELO DEL PALADAR, PALADAR DURO, Y MANDÍBULA • MODIFICADORES DE SONIDO: LENGUA, LABIOS, CARRILLOS, ARCADAS DENTARIAS Y SOBRE TODO DIENTES ANTERIORES capitulo 6 proffit,capitulo 6 y 7 canut, capitulo 1,2,3 gregroret
  • 135.
    EXAMEN DE FONACIÓN HAYQUE PODER DIFERENCIAR EN EL EXAMEN DE FONACIÓN SI ES POR: • RETARDO EN EL LENGUAJE • PROBLEMAS MOTOR • PROBLEMAS ESTRUCTURALES EN EL EXAMEN SE LE PIDE AL PACIENTE QUE PRONUNCIE LA “S” (DENTO DENTAL) Y LA “F” (LABIO DENTAL) capitulo 6 proffit,capitulo 6 y 7 canut, capitulo 1,2,3 gregroret
  • 136.
    HÁBITOS • PUEDEN GENERARPROBLEMAS ORTOPÉDICOS Y ORTODONTICOS • PUEDEN INTERFERIR CON EL DESARROLLO DE LOS PROCESOS ALVEOLARES. TALES COMO LA SUCCIÓN QUE SE PRESENTA EN VARIOS TIPOS: • DIGITAL • LABIAL • DE CARRILLOS • PERSISTENCIA DEL CHUPO capitulo 6 proffit,capitulo 6 y 7 canut, capitulo 1,2,3 gregroret
  • 137.
    HÁBITOS SUCCIÓN DIGITAL: SE ASOCIACON ALTERACIÓN EMOCIONAL, ESTA LIGADO AL PLACER DEL NIÑO, GENERA: • MORDIDA ABIERTA (ANTERIOR Y POSTERIOR) • PROTRUSIÓN INCISIVA SUPERIOR • RETRUSION INCISIVA INFERIOR capitulo 6 proffit,capitulo 6 y 7 canut, capitulo 1,2,3 gregroret
  • 138.
    HÁBITOS SUCCIÓN LABIAL: APARECE ENCASOS DE OVERJET MARCADO EL LABIO INFERIOR SE POSICIONA POR PALATINO DE LOS INCISIVOS SUPERIORES SUCCIÓN DE CARRILLOS: LOS CARRILLOS SE ALOJAN EN LAS CARAS OCLUSALES DE LOS DIENTES EN ZONAS LATERALES PERSISTENCIA CON EL CHUPO: EL HABITO HASTA LOS DOS AÑOS ES NORMAL, POSTERIORMENTE PRODUCE LAS MISMAS ALTERACIONES DE LA SUCCIÓN DIGITAL capitulo 6 proffit,capitulo 6 y 7 canut, capitulo 1,2,3 gregroret
  • 139.
    capitulo 6 proffit,capitulo6 y 7 canut, capitulo 1,2,3 gregroret
  • 140.
    capitulo 6 proffit,capitulo6 y 7 canut, capitulo 1,2,3 gregroret
  • 141.
    capitulo 6 proffit,capitulo6 y 7 canut, capitulo 1,2,3 gregroret