ENFERMEDAD
 CORONARIA


      Dr. Patricio Maragaño L.
Epidemiología

   La enfermedad isquémica es la primera
    causa de muerte en Chile. En el año 2001
    fue responsable de casi 1 de cada 10
    muertes (7.812 defunciones) y de ellas
    5.651 fueron por Infarto Agudo del
    miocardio (IAM), manifestación clínica
    más trascendente de esta patología.
Definiciones
Isquemia   Miocárdica :          Infarto   Miocárdico :

Disminución de la oxigenación     Ocurre cuando hay una brusca
del miocardio debida a            disminución en el flujo coronario
inadecuada perfusión, lo cual     como consecuencia de una
produce un desbalance entre el    oclusión trombótica de una
aporte y la demanda de            arteria llevando a necrosis del
oxígeno: Lleva al desarrollo de   tejido miocárdico, después de
circulación colateral.            isquemia miocárdica
                                  prolongada.
   Arteria coronaria
    derecha

   lesión crítica en su
    tercio medio con
    imagen de trombo
    en su interior
Ateroesclerosis

   Respuesta inflamatoria de la pared
    vascular a diferentes formas de lesión.
   Subyace en la mayoria de los episodios de
    enfermedad cardiovascular.
   Su caracter crónico conduce a la formación
    de placas que pueden ocluir los vasos,
    directamente o mediante complicación
    trombótica.
Ateroesclerosis

   Enfermedad Inflamatoria, compleja y
    multifactorial, vinculada a los llamados
    “factores de Riesgo”; de éstos, 4 son
    considerados “Mayores”: Hipertensión,
    Diabetes, Hipercolesterolemia y Tabaco.
FACTORES DE RIESGO
CORONARIO
   Diabetes Mellitus
   Hipercolesterolemia
   Tabaco
   Hipertensión Arterial
   Edad: Hombre > 45, mujer > 55 a o postmenopáusica
    sin E2
   Sexo masculino
   Antecedentes familiares
   Eventos cardiovasculares previos
   Otros: Hiperhomocisteinemia, etc.
FACTORES DE RIESGO
CORONARIO(con’t)

   Hipertrofia ventricular izquierda
   Cocaina
   Obesidad
   Vida Sedentaria
   Anticonceptivos Orales
   Hiper Homocisteinemia
   Fibrinogeno, proteina C-reactiva, Lp (a)
PREVALENCIA DE FACTORES DE RIESGO EN EL
                            IAM(GEMI)




              60
% PACIENTES




              50
              40
              30                                   Columnas 3D
                                                   1
              20
              10
               0    HTA   DISLIP   DM    ANT.FAM    TABACO
Atherosclerosis: the Pathologic Process




Atherosclerotic    Plaque     Thrombus          Thrombus      Embolism
   Plaque         Fissure/    Formation       Incorporated
                  Cracking/                  into Atheroma
                  Rupture




                                Stabilized
                                                              Occlusion
                                 Plaque
           Chronic Ischemia                                  Acute Event
Enfermedad Coronaria
Formas de presentación:

   Asintomática
   Angina crónica
   Sindrome Coronario agudo:
       Angina inestable
       IAM no Q
       IAM Q
       Muerte súbita
Angina Estable
   Dolor precordial que recurre bajo circunstancias
    similares con frecuencia similar en el tiempo.

   Síntomas usualmente comienzan con baja
    intensidad, se incrementan en 2 – 3 minutos
    hasta un total de < de 15 minutos(episodios de
    > de 30 minutos sugieren IAM)
Estudio Angina Estable

         Cuadro clínico
                                                             .
                                                    Test de Esfuerzo


ECG                           Test de Provocación
                                                       Eco Stress



                        (+)
                                                     Cintigrama Mioc

      Coronariografía
ANGINA INESTABLE
 Reducción del flujo sanguíneo miocárdico
 causado la mayoría de las veces por un trombo
 generado en un accidente de placa.

 Raravez puede ser causado por espasmos
 coronarios o por enfermedades que elevan las
 demandas de O2 (Hipertiroidismo, fiebre,
 anemia, feocromocitoma etc.)
Estudio Sindrome Coronario Agudo

                         Cuadro clínico

          ECG                             Enzimas Cardiacas

                                          (-)         (+)

 Normal     SD ST     ID ST

                                  Angina Inestable   Infarto Miocárdico



            IAM Q   IAM NO Q              Test de Provocación




 Coronariografía
Manejo General de Pacientes Coronarios


 Dejar de Fumar
   Manejo de dislipidemia
   Objetivo primario: LDL < 100 mg/dl
   Actividad Física: 30 minutos 3-4 veces por semana
   Manejo de Peso
   Antiplaqutarios: Aspirina 80 to 325 mg/day (o clopidogrel 75m/day)
   inhibidores ECA (post-IAM para IC)
   Beta bloquadores
   Control de Presión Arterial: Objetivo < 130/85 mm Hg



                                 Adaptado de Smith, Circulation 1995;92:3
TRATAMIENTO ENFERMEDAD
CORONARIA

   Tratamiento Médico

   Tratamiento Percutáneo

   Tratamiento Quirúrgico
TRATAMIENTO MEDICO


                                               Risk Reduction
          Aspirina                               20-30%
          Beta Bloqueadores                      20-35%
          Inhibidores ECA                        22-25%
          Estatinas                              25-42%



Todo paciente con enfermedad coronaria debería recibir las cuatro terapias,
                        salvo contraindicaciones

             Adapted from the UCLA CHAMP Guidelines 1994
TRATAMIENTO DE SCA EN
            HOSPITAL
   Morfina, Oxygeno, Nitroglicerina, Aspirin
   Beta-bloqueadores
   Heparina EV no fraccionada o Heparina de
     bajo peso molecular.
   inhibitors GP IIb IIIa
   Trombolíticos
   Angioplastía Percutánea
   Cirugía de Revascularización Coronaria
Infarto Agudo al Miocardio
   La primera causa de
    muerte en Chile
   Principal causa de Muerte
    Súbita
   Mortalidad hospitalaria 12%
    de los que ingresan a UCI
   Mortalidad de 5 -10 % en el
    1° año post -IAM
   Una de las principales
    causa de Insuficiencia
    Cardíaca
   Costo económico alto
   En parte prevenible
Introduccion
   Mayor problema de salud publica.
   Causa de muerte del 8% de población adulta.
   Aproximadamente 30% muere antes de recibir atención
    medica, la mayoría secundaria a FV.
   Durante la hospitalización muere entre un 10% -15%
    secundaria a falla ventricular.
   Luego del alta, muere entre un 4% - 10%.
   secundario a IAM, I. Cardiaca, Arritmias.
Enfrentamiento de los SCA
   Durante las ultimas décadas se ha asistido a
    una disminución de la mortalidad 30% -8%
   Fase de observación clínica 1960
   Fase de manejo en U . Coronarias
   Fase de aplicación tecnológica
   Fase moderna “era de reperfusión”
   Fase actual “manejo basado en evidencias”
SCA con supra desnivel ST
OBJETIVO
 Reducir la morbimortalidad del Infarto Agudo del
 Miocardio (IAM), mediante la reperfusión
 coronaria precoz con Trombolisis en los casos
 que tienen indicación de ella y previniendo
 nuevos eventos coronarios en los pacientes
 sobrevivientes a un IAM y en aquellos sometidos
 a intervenciones terapéuticas para evitarlo
 (cirugía, angioplastía), incorporándolos a
 Programa de prevención secundaria.
SCA con supra desnivel ST
   Supra desnivel de segmento ST de 1 mm, en al
    menos dos derivaciones contiguas

   Demuestra    oclusión   trombótica     de   arteria
    epicardica

   Tiempo de evolución desde inicio de los
    síntomas menos de 12 hrs.

   Indicación de terapia de reperfusión
Factores en el manejo oportuno
   Tiempo de demora del paciente en reconocer
    síntomas y darles el valor necesario para
    consultar.

   Evaluación prehospitalaria, tratamiento inicial y
    transporte.

   tiempo de diagnostico e inicio de tratamiento ( t’
    de aguja o t’ de balón) tiempo de inicio de
    terapia de reperfusión.
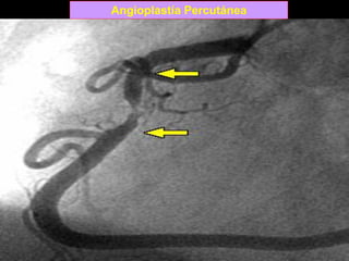
Angioplastía Percutánea
MANEJO DE LOS SINDROMES
CORONARIOS AGUDOS NUESTRA
        REALIDAD
PACIENTES CON IAM.
                 UTI HOSPITAL REGIONAL TALCA
                 Mayo 1997 – Diciembre 1998

                                  Motivo de no uso de Trombolitico


                 50

                 40
% de pacientes




                 30        45,5

                 20

                 10                                                          16,7            22,7
                                             13,6
                                                               1,5
                  0
                      Ingreso Tardio   Contraindicación   No Fármaco   Evolución no UCI   Otra Causa
PACIENTES CON IAM.
UTI HOSPITAL REGIONAL TALCA
Mayo 1997 – Diciembre 1998


                            Procedimientos de Reperfusión



                       70
                       60
      % de Pacientes




                       50                            66
                       40
                       30
                                    34
                       20
                       10
                       0
                            Trombolitico         Ninguno
T r o mb o lisis en IA M SD ST


                             57%




43%




            SI          NO
T i e m p o p r o m e d i o d e i n g r e so a U C I d e sd e i n i c i o
           d e sí n t o m a s se g ú n p r o c e d e n c i a



                40
              30                   34.8                  38.9
    H o r a s 20
                                                  20.5
                10          14.1
                 0
                             Rural                Urbano

                                P r oc e de nc i a
     SDST        NoSDST
C a us a s de no t ro m bo lis is

                                                      5 0 %
     1 9 %




             1 9 %
                                     1 2 %




Fal t a i ndi caci ón   Cont r ai ndi caci on   I ngr eso t ar di o   Ot r os
Distribución pacientes con IAM según
             compromiso miocárdico año 2003
           79%
                                              IAM Q
                                              IAM NO Q


                                 21%
TOTAL: 84 pacientes
                           Distribución de pacientes con IAM según
                                         sexo año 2003
                              79.76%



                                                                Masculino
                                                                Femenino


                                                  20.24%


                        TOTAL: 10 pacientes
Pacientes sometidos a procedimientos
                                     invasivos año 2003


                                                       39%
                      46%
                                                               Embolizados
                                                               Coronariografía
                                                               Sin procedimiento
                                          15%
TOTAL: 84 pacientes

                                        Ditribución según sexo de pacientes IAM
                                                   fallecidos año 2003
                                          80%


                                                                                   Masculino
                                                                                   Femenino


                                                              20%
                            TOTAL: 10/84 pacientes
C o m plic a c io ne s de t ro m bo lis is

                                                           62%




   1 7%

                 4%
                                      1 7%


Hi pot ensi on        Hemor r agi a      A naf i l axi a    Si n compl i caci on
TRATAMIENTO AL EGRESO
              100     93

              90
% PACIENTES




              80
              70                                           63

              60              51

              50
              40                                   34

              30
              20                       14                           12

              10
                0
                    ASA    Bbloq   Antag.Ca   Nitratos   IECA   Antiarr

Enfermedad coronaria

  • 1.
    ENFERMEDAD CORONARIA Dr. Patricio Maragaño L.
  • 2.
    Epidemiología  La enfermedad isquémica es la primera causa de muerte en Chile. En el año 2001 fue responsable de casi 1 de cada 10 muertes (7.812 defunciones) y de ellas 5.651 fueron por Infarto Agudo del miocardio (IAM), manifestación clínica más trascendente de esta patología.
  • 3.
    Definiciones Isquemia Miocárdica : Infarto Miocárdico : Disminución de la oxigenación Ocurre cuando hay una brusca del miocardio debida a disminución en el flujo coronario inadecuada perfusión, lo cual como consecuencia de una produce un desbalance entre el oclusión trombótica de una aporte y la demanda de arteria llevando a necrosis del oxígeno: Lleva al desarrollo de tejido miocárdico, después de circulación colateral. isquemia miocárdica prolongada.
  • 5.
    Arteria coronaria derecha  lesión crítica en su tercio medio con imagen de trombo en su interior
  • 6.
    Ateroesclerosis  Respuesta inflamatoria de la pared vascular a diferentes formas de lesión.  Subyace en la mayoria de los episodios de enfermedad cardiovascular.  Su caracter crónico conduce a la formación de placas que pueden ocluir los vasos, directamente o mediante complicación trombótica.
  • 7.
    Ateroesclerosis  Enfermedad Inflamatoria, compleja y multifactorial, vinculada a los llamados “factores de Riesgo”; de éstos, 4 son considerados “Mayores”: Hipertensión, Diabetes, Hipercolesterolemia y Tabaco.
  • 8.
    FACTORES DE RIESGO CORONARIO  Diabetes Mellitus  Hipercolesterolemia  Tabaco  Hipertensión Arterial  Edad: Hombre > 45, mujer > 55 a o postmenopáusica sin E2  Sexo masculino  Antecedentes familiares  Eventos cardiovasculares previos  Otros: Hiperhomocisteinemia, etc.
  • 9.
    FACTORES DE RIESGO CORONARIO(con’t)  Hipertrofia ventricular izquierda  Cocaina  Obesidad  Vida Sedentaria  Anticonceptivos Orales  Hiper Homocisteinemia  Fibrinogeno, proteina C-reactiva, Lp (a)
  • 10.
    PREVALENCIA DE FACTORESDE RIESGO EN EL IAM(GEMI) 60 % PACIENTES 50 40 30 Columnas 3D 1 20 10 0 HTA DISLIP DM ANT.FAM TABACO
  • 19.
    Atherosclerosis: the PathologicProcess Atherosclerotic Plaque Thrombus Thrombus Embolism Plaque Fissure/ Formation Incorporated Cracking/ into Atheroma Rupture Stabilized Occlusion Plaque Chronic Ischemia Acute Event
  • 20.
    Enfermedad Coronaria Formas depresentación:  Asintomática  Angina crónica  Sindrome Coronario agudo:  Angina inestable  IAM no Q  IAM Q  Muerte súbita
  • 21.
    Angina Estable  Dolor precordial que recurre bajo circunstancias similares con frecuencia similar en el tiempo.  Síntomas usualmente comienzan con baja intensidad, se incrementan en 2 – 3 minutos hasta un total de < de 15 minutos(episodios de > de 30 minutos sugieren IAM)
  • 22.
    Estudio Angina Estable Cuadro clínico . Test de Esfuerzo ECG Test de Provocación Eco Stress (+) Cintigrama Mioc Coronariografía
  • 23.
    ANGINA INESTABLE  Reduccióndel flujo sanguíneo miocárdico causado la mayoría de las veces por un trombo generado en un accidente de placa.  Raravez puede ser causado por espasmos coronarios o por enfermedades que elevan las demandas de O2 (Hipertiroidismo, fiebre, anemia, feocromocitoma etc.)
  • 24.
    Estudio Sindrome CoronarioAgudo Cuadro clínico ECG Enzimas Cardiacas (-) (+) Normal SD ST ID ST Angina Inestable Infarto Miocárdico IAM Q IAM NO Q Test de Provocación Coronariografía
  • 25.
    Manejo General dePacientes Coronarios  Dejar de Fumar  Manejo de dislipidemia  Objetivo primario: LDL < 100 mg/dl  Actividad Física: 30 minutos 3-4 veces por semana  Manejo de Peso  Antiplaqutarios: Aspirina 80 to 325 mg/day (o clopidogrel 75m/day)  inhibidores ECA (post-IAM para IC)  Beta bloquadores  Control de Presión Arterial: Objetivo < 130/85 mm Hg Adaptado de Smith, Circulation 1995;92:3
  • 26.
    TRATAMIENTO ENFERMEDAD CORONARIA  Tratamiento Médico  Tratamiento Percutáneo  Tratamiento Quirúrgico
  • 27.
    TRATAMIENTO MEDICO Risk Reduction  Aspirina 20-30%  Beta Bloqueadores 20-35%  Inhibidores ECA 22-25%  Estatinas 25-42% Todo paciente con enfermedad coronaria debería recibir las cuatro terapias, salvo contraindicaciones Adapted from the UCLA CHAMP Guidelines 1994
  • 28.
    TRATAMIENTO DE SCAEN HOSPITAL  Morfina, Oxygeno, Nitroglicerina, Aspirin  Beta-bloqueadores  Heparina EV no fraccionada o Heparina de bajo peso molecular.  inhibitors GP IIb IIIa  Trombolíticos  Angioplastía Percutánea  Cirugía de Revascularización Coronaria
  • 29.
    Infarto Agudo alMiocardio  La primera causa de muerte en Chile  Principal causa de Muerte Súbita  Mortalidad hospitalaria 12% de los que ingresan a UCI  Mortalidad de 5 -10 % en el 1° año post -IAM  Una de las principales causa de Insuficiencia Cardíaca  Costo económico alto  En parte prevenible
  • 30.
    Introduccion  Mayor problema de salud publica.  Causa de muerte del 8% de población adulta.  Aproximadamente 30% muere antes de recibir atención medica, la mayoría secundaria a FV.  Durante la hospitalización muere entre un 10% -15% secundaria a falla ventricular.  Luego del alta, muere entre un 4% - 10%.  secundario a IAM, I. Cardiaca, Arritmias.
  • 31.
    Enfrentamiento de losSCA  Durante las ultimas décadas se ha asistido a una disminución de la mortalidad 30% -8%  Fase de observación clínica 1960  Fase de manejo en U . Coronarias  Fase de aplicación tecnológica  Fase moderna “era de reperfusión”  Fase actual “manejo basado en evidencias”
  • 33.
    SCA con supradesnivel ST OBJETIVO Reducir la morbimortalidad del Infarto Agudo del Miocardio (IAM), mediante la reperfusión coronaria precoz con Trombolisis en los casos que tienen indicación de ella y previniendo nuevos eventos coronarios en los pacientes sobrevivientes a un IAM y en aquellos sometidos a intervenciones terapéuticas para evitarlo (cirugía, angioplastía), incorporándolos a Programa de prevención secundaria.
  • 34.
    SCA con supradesnivel ST  Supra desnivel de segmento ST de 1 mm, en al menos dos derivaciones contiguas  Demuestra oclusión trombótica de arteria epicardica  Tiempo de evolución desde inicio de los síntomas menos de 12 hrs.  Indicación de terapia de reperfusión
  • 35.
    Factores en elmanejo oportuno  Tiempo de demora del paciente en reconocer síntomas y darles el valor necesario para consultar.  Evaluación prehospitalaria, tratamiento inicial y transporte.  tiempo de diagnostico e inicio de tratamiento ( t’ de aguja o t’ de balón) tiempo de inicio de terapia de reperfusión.
  • 38.
  • 42.
    MANEJO DE LOSSINDROMES CORONARIOS AGUDOS NUESTRA REALIDAD
  • 43.
    PACIENTES CON IAM. UTI HOSPITAL REGIONAL TALCA Mayo 1997 – Diciembre 1998 Motivo de no uso de Trombolitico 50 40 % de pacientes 30 45,5 20 10 16,7 22,7 13,6 1,5 0 Ingreso Tardio Contraindicación No Fármaco Evolución no UCI Otra Causa
  • 44.
    PACIENTES CON IAM. UTIHOSPITAL REGIONAL TALCA Mayo 1997 – Diciembre 1998 Procedimientos de Reperfusión 70 60 % de Pacientes 50 66 40 30 34 20 10 0 Trombolitico Ninguno
  • 45.
    T r omb o lisis en IA M SD ST 57% 43% SI NO
  • 46.
    T i em p o p r o m e d i o d e i n g r e so a U C I d e sd e i n i c i o d e sí n t o m a s se g ú n p r o c e d e n c i a 40 30 34.8 38.9 H o r a s 20 20.5 10 14.1 0 Rural Urbano P r oc e de nc i a SDST NoSDST
  • 47.
    C a usa s de no t ro m bo lis is 5 0 % 1 9 % 1 9 % 1 2 % Fal t a i ndi caci ón Cont r ai ndi caci on I ngr eso t ar di o Ot r os
  • 48.
    Distribución pacientes conIAM según compromiso miocárdico año 2003 79% IAM Q IAM NO Q 21% TOTAL: 84 pacientes Distribución de pacientes con IAM según sexo año 2003 79.76% Masculino Femenino 20.24% TOTAL: 10 pacientes
  • 49.
    Pacientes sometidos aprocedimientos invasivos año 2003 39% 46% Embolizados Coronariografía Sin procedimiento 15% TOTAL: 84 pacientes Ditribución según sexo de pacientes IAM fallecidos año 2003 80% Masculino Femenino 20% TOTAL: 10/84 pacientes
  • 50.
    C o mplic a c io ne s de t ro m bo lis is 62% 1 7% 4% 1 7% Hi pot ensi on Hemor r agi a A naf i l axi a Si n compl i caci on
  • 51.
    TRATAMIENTO AL EGRESO 100 93 90 % PACIENTES 80 70 63 60 51 50 40 34 30 20 14 12 10 0 ASA Bbloq Antag.Ca Nitratos IECA Antiarr