Imagen Diagnóstica MEDICINA  DE  AVANZADA E S C R O T O Ecografía normal Dr.:  CALIRI,  Néstor 10  de  febrero  de  2009
A N A T O M I A T E S T I C U L O Medidas Diámetro longitudinal - 3 a 5 cm. Diámetro transverso - 2 a 4 cm. Diámetro anteroposterior - 3 a 4 cm. Volumen - 12 a 30 cc 3
Estructura interna Túnica albugínea - Capsula fibrosa blanca. - Múltiples septos finos convergentes. -  Mediastino testicular  (sector posterior). -  Lóbulos  (entre 250 y 400). Túbulos seminíferos  (840 por testículo). Túbulos rectos  (20 a 30 por testículo).  Rete testis  (a nivel del mediastino). Conductos eferentes  (10 a 15 por testículo).
 
E P I D I D I M O Características Estructura curvada situada en posición posterolateral al testículo. Formado a partir de túbulos eferentes. Mide entre 6 y 7 cm de longitud. Compuesto por cabeza, cuerpo y cola. Cabeza (globus major), porción mas grande. (10mm) Hidátide epididimaria y testicular, por debajo de la cabeza.
C O N D U C T O  D E F E R E N T E Características  Nace desde la cola del epidídimo. Recorrido a través de:  - Escroto.  - Trayecto inguinal.  - Pelvis. Fusión con vesículas seminales. Formación del conducto eyaculador a nivel de la próstata.
 
C O R D O N  E S P E R M A T I C O Elemento constitutivo del trayecto inguinal. Compuesto por: Conducto deferente. Arterias cremastérica, deferencial y testicular. Plexo venoso pampiniforme. Linfáticos testiculares. Nervios testiculares.
C U B I E R T A  E X T E R N A  Escroto. Túnica muscular  fina (dartos). Fascia espermática externa. Músculo cremaster externo. Fascia espermática interna. Túnica vaginal.
 
V A S C U L A R I Z A C I O N Testículo Arteria testicular. Plexo venoso pampiniforme. Epidídimo Arteria cremastérica. Arteria deferente. Plexo venoso cremastérico. Escroto Ramos arteriales pudendos internos y externos. Plexo venoso cremastérico.
 
 
 
 
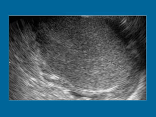
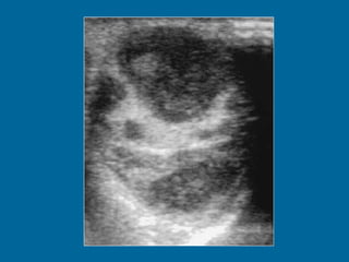
Transverse US scan of the testis shows a normal transmediastinal artery (arrow) as a linear hypoechoic band. Color Doppler flow US (not shown) revealed flow through the vessel.
Imagen Diagnóstica MEDICINA  DE  AVANZADA E S C R O T O Ecografía patológica Dr.:  CALIRI,  Néstor 10  de  febrero  de  2009
N E O P L A S I A S  M A L I G N A S
G E N E R A L I D A D E S Suponen el 1 a 2% de las neoplasias malignas en los varones. 5ta causa de muerte mas frecuente entre los 15 y 35 años de edad. 90% a modo de masas unilaterales, indoloras o agrandamiento difuso. 10% se manifiestan con síntomas de enfermedad metastásica. 90% derivados de células germinales.
F A C T O R E S  D E  R I E S G O Desarrollo testicular anormal. Antecedentes de criptorquidia. Antecedentes de cáncer testicular.  Sindrome de Klinefelter. Exposición a químicos. Infección por HIV. Antecedentes familiares.
C L A S I F I C A C I O N Tumores de células germinales Seminoma Carcinoma de células embrionarias Teratoma Coriocarcinoma Mixtos Tumores del estroma gonadal Tumores de células de Leydig Tumores de células de Sertoli Tumores del estroma gonadal primitivo Mixtos
S E M I N O M A Generalidades Supone el 50 % de las neoplasias malignas de testículo. Pico de incidencia entre la cuarta y quinta década. 10% tiene antecedente de criptorquidia. Menor agresividad que otros subtipos histológicos. Quimio y radiosensible. Dentro de la túnica albugínea en el momento del diagnóstico.
Ecografía Masa o nódulo Redondeado u ovoide. Tamaño variable. Ecoestructura homogénea. Hipoecogenicidad. Márgenes parcialmente o mal definidos. Menos frecuentemente con calcificaciones o quistes.
 
 
 
 
 
“ Tumor Fundido” fenómeno de "autoquemadura" supone la regresión de un foco de tumor testicular tras la producción de metástasis a distancia, sin conocerse su causa. A pesar de esto, podemos identificar lesiones histológicas características, como son la presencia de una lesión compuesta de tejido colágeno, con células neoplásicas dispersas en su interior. El diagnóstico se realiza mediante el estudio anatomopatológico de la pieza de orquiectomía, debiendo llevarse a cabo ésta en pacientes con tumor germinal extragonadal que presentan alteraciones en la exploración física o en la ecografía.
C A R C I N O M A  D E  C E L U L A S  E M B R I O N A R I A S Generalidades  Segunda neoplasia germinal más frecuente. Pico de incidencia entre la segunda y tercera década de vida. A menudo mixto. Mayor agresividad que el seminoma. Poco quimio y radiosensibles con altos niveles de AFP. Forma infantil, tumor del seno endodérmico o saco vitelino.
Ecografía Masa o nódulo Pequeño. Ecoestructura heterogénea. Hipoecogénico. Márgenes mal delimitados. Degeneración quística. Focos ecogénicos con o sin sombra acústica.
 
Tumor del seno endodermico mass.  (a)  Longitudinal US scan of the left hemiscrotum shows a solid tumor  (T)  replacing the entire testis. The cystic areas (arrowheads) represent tumor necrosis.
T E R A T O M A Generalidades 10% de las neoplasias testiculares primarias. Clasificación - Maduro. - Inmaduro. - Con degeneración maligna. Tasa de supervivencia a los 5 años del 70%. Picos de incidencia en lactancia y  tercera década de vida. En niños tienden a ser benignos.
Ecografía Masa o nódulo Márgenes bien delimitados. Ecoestructura heterogénea. Áreas de degeneración quística. Muy común focos ecogénicos groseros. - Calcificación focal. - Cartílago. - Hueso inmaduro. - Fibrosis.
cystic mass  (M) with echogenic borders and peripheral solid components (arrows). A rim of normal testis  (T) is also seen
Mature teratoma in a 22-year-old man.  (a) Longitudinal US image of the right testis shows a multilocular cystic mass. The cysts vary in appearance from anechoic to echogenic.
C O R I O C A R C I N O M A Generalidades 1 a 3% de los tumores testiculares primitivos malignos. Pocas veces se produce en forma pura. Pico de incidencia entre la segunda y tercera década de vida. Metastizan precozmente por vía linfohemática.  Altos niveles de HGC. Ecografía Masa o nódulo de ecogenicidad mixta. Áreas de hemorragia, necrosis, calcificación.
 
 
T U M O R E S  M I X T O S Generalidades Segundo tumor testicular primitivo después del seminoma. Pico de incidencia entre la tercera y cuarta década. Teratoma y carcinoma embrionario variante mas frecuente. Ecografía Masa o nódulo. Márgenes bien delimitados. Ecoestructura heterogénea. Áreas de degeneración quística.
a)  Longitudinal US image of the left testis shows a heterogeneous, predominantly hypoechoic mass, with scattered areas of hypoechogenicity (arrowheads). Normal testicular parenchyma is compressed peripherally by the tumor and contains diffuse microlithiasis (arrow).  (b)  Doppler US image shows normal peripheral vascularity with absence of central flow.
Longitudinal US image of the left testis shows a heterogeneous, predominantly hypoechoic mass, with scattered areas of hypoechogenicity (arrowheads). Normal testicular parenchyma is compressed peripherally by the tumor and contains diffuse microlithiasis (arrow).  (b)  Doppler US image shows normal peripheral vascularity with absence of central flow.
T U M O R E S  E S T R O M A L E S Suponen el 3% de todas las neoplasias testiculares. 20% de estos tumores se producen en niños. Asociados a células germinales se los denomina “ gonadoblastomas ”. Tumor de células de Leydig es el más frecuente. - Pico entre 20 y 30 años. - Tamaño variable. - Sólidos e hipo / hiperecogénicos. - Degeneración hemorrágica y necrosis.
 
Figure 7. Sertoli cell tumour. Large smooth curvilinear calcification (curved arrow) at the periphery of a heterogeneous mass (open arrows).
M E T A S T A S I S  Linfoma Leucemia Pulmón Próstata Riñon Estómago Colon Páncreas
LINFOMA MALIGNO 1 a 8 % de los tumores testiculares. Pico de incidencia entre los 50 y 60 años de edad. Tumor testicular bilateral más común, sincrónico o metacrónico. 10% localizado al momento del diagnóstico (muy mal pronóstico). Ecografía Ecoestructura homogénea o heterogénea. Hipoecogenicidad. Degeneración hemorrágica y necrosis (raro). Afectación difusa con agrandamiento testicular. Nódulo o masa.
Transverse US image of the left testis shows multiple hypoechoic lesions.
 
P A T O L O G I A B E N I G N A  I N T R A T E S T I C U L A R
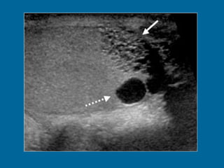
Q U I S T E S  Hallazgo incidental en el 10% de la población. Tipos   Quiste de la túnica albugínea Quistes intratesticulares Ecografía Tamaño entre 2 y 15 mm. Bordes bien delimitados. Solitarios o múltiples. Uniloculares o multiloculares.
Tunica albuginea cyst in a 36-year-old man.  (a) US image shows a small, peripherally located testicular lesion (arrow) with internal echoes.  (b) On a coronal T2- weighted image, the lesion (arrow) is isointense relative to fluid. The lesion was isointense to fluid with all pulse sequences, a finding that confirmed its cystic nature. The presence of this pathognomonic finding obviated any further intervention.
Intratesticular cyst in a 50-year-old man.  (a) US image shows a right-sided 17- mm-diameter intratesticular cyst.  (b) T2-weighted image shows that the lesion (arrow) has the characteristic high signal intensity of fluid. The surrounding thin rim of testicular parenchyma enables diagnosis of an intratesticular cyst. However, note that there is some overlap in imaging appearances of an intratesticular cyst and a tunica albuginea cyst. No further intervention was performed.
 
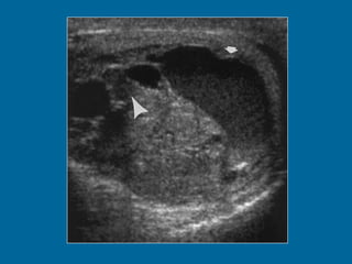
E C T A S I A  D E  L A R E T E  T E S T I S Entidad que puede simular una neoplasia testicular. Asociada a obstrucción epididimaria secundaria  a trauma o inflamación. Lesiones de tamaño variable en la región del mediastino testicular. Tendencia a la bilateralidad. Asociada a espermatocele ipsilateral.
Dilated rete testis in a 44-year-old man.  (a) Sonogram shows multiple small, cystic or tubular, anechoic structures that replace and enlarge the testicular mediastinum. (b) On a T2-weighted image, the lesion has high signal intensity.
 
 
P A T O L O G I A B E N I G N A  E X T R A T E S T I C U L A R
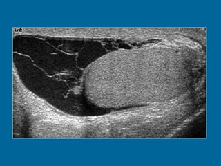
H I D R O C E L E  El escroto normal contiene pocos ml de líquido seroso  ente las capas de la túnica vaginal dentro de límites normales. Concepto Acumulación anormal de líquido seroso a nivel de la túnica vaginal. Tipos Congénito Cierre incompleto del proceso vaginal. Adquirido Traumatismo. Inflamación. Neoplasia.
 
 
 
V A R I C O C E L E Dilatación venosa del plexo pampiniforme mayor a 2 mm, detrás del testículo, acompañando al epidídimo. Varicocele idiopático Incompetencia valvular a nivel de la vena espermática interna. Flujo retrógrado a través del plexo pampiniforme. Causa más frecuente de infertilidad masculina. 95% de los casos se produce en el lado izquierdo. Pico de incidencia entre los 25 y 35 años.
Varicocele secundario Consecuencia de aumento de presión sobre la vena espermática. Causas Hidronefrosis marcada. Hepatomegalia. Neoplasias abdominales. Compresión venosa por masa retroperitoneal. Su aspecto no varia a diferencia del primario, con la posición del paciente
Ecografía Múltiples estructuras serpinginosas anecogénicas. Diámetro mayor a 2 mm. Compresibles fácilmente con el transductor. Localizadas adyacentes al polo superior del testículo. En ocasiones puede simular un espermatocele tabicado. Doppler de alta frecuencia ayuda al diagnóstico diferencial.
 
 
 
Intratesticular varicocele in a 38-year-old man.  (a) Transverse oblique US scan of left testis reveals multiple intratesticular anechoic cystic areas (arrowhead).  (b) Duplex Doppler US scan shows that venous flow in these cystic areas increases during a Valsalva maneuver (arrowhead).
E S C R O T O  A G U D O
T O R S I O N TESTICULAR Torsión intravaginal Pico de incidencia en la pubertad. Suspensión anómala por un tallo largo de cordón espermático. Inversión testicular y epididimaria por la túnica vaginal. “ Deformidad en campana y badajo”. Torsión extravaginal Se produce en recién nacidos. Torsión del testículo y su túnica a nivel del anillo externo. No se produce la típica deformidad en campana y badajo.
Ecografía Fase aguda (seis primeras horas) Aumento de tamaño testicular. Ecoestructura heterogénea e hipoecogénica. Epidídimo agrandado, hipoecogénico con focos hiperecogénicos. Fase subaguda (primer al décimo día) Hasta el quinto día aumenta el tamaño y la hipoecogenicidad. Disminución a partir del sexto día. La realización de  DOP PLER   diferenciará torsión testicular  de otras entidades, valorando ausencia de flujo.
 
 
 
 
 
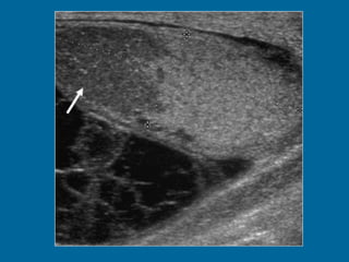
E P I D I D I M I T I S Generalidades Causa mas común de escroto agudo en varones pospuberales. Consecuencia de infección urinaria baja. Menos frecuente por diseminación hematógena, trauma o vía sexual. 20% diseminación hacia el testículo. Ecografía Engrosamiento y alargamiento del epidídimo. Ecogenicidad baja y ecoestructura heterogénea. Doppler, aumento del flujo sanguíneo.
 
 
Image 1 (Ultrasound): Swelling of the right epididymis with associated mild right orchitis. Doppler images (not shown here) demonstrated increased vascularity.
O R Q U I T I S Generalidades Responde a las mismas causas que la epididimitis. Mayor frecuencia en combinación con afección del epidídimo. Focal o difusa. Ecografía Agrandamiento testicular. Ecoestructura heterogénea e hipoecogénica. Aumento de la vasculatura con efecto doppler. Si la interrupción vascular es severa da lugar a un  infarto testicular completo.
 
 
 
F I N

Escroto ID

  • 1.
    Imagen Diagnóstica MEDICINA DE AVANZADA E S C R O T O Ecografía normal Dr.: CALIRI, Néstor 10 de febrero de 2009
  • 2.
    A N AT O M I A T E S T I C U L O Medidas Diámetro longitudinal - 3 a 5 cm. Diámetro transverso - 2 a 4 cm. Diámetro anteroposterior - 3 a 4 cm. Volumen - 12 a 30 cc 3
  • 3.
    Estructura interna Túnicaalbugínea - Capsula fibrosa blanca. - Múltiples septos finos convergentes. - Mediastino testicular (sector posterior). - Lóbulos (entre 250 y 400). Túbulos seminíferos (840 por testículo). Túbulos rectos (20 a 30 por testículo). Rete testis (a nivel del mediastino). Conductos eferentes (10 a 15 por testículo).
  • 4.
  • 5.
    E P ID I D I M O Características Estructura curvada situada en posición posterolateral al testículo. Formado a partir de túbulos eferentes. Mide entre 6 y 7 cm de longitud. Compuesto por cabeza, cuerpo y cola. Cabeza (globus major), porción mas grande. (10mm) Hidátide epididimaria y testicular, por debajo de la cabeza.
  • 6.
    C O ND U C T O D E F E R E N T E Características Nace desde la cola del epidídimo. Recorrido a través de: - Escroto. - Trayecto inguinal. - Pelvis. Fusión con vesículas seminales. Formación del conducto eyaculador a nivel de la próstata.
  • 7.
  • 8.
    C O RD O N E S P E R M A T I C O Elemento constitutivo del trayecto inguinal. Compuesto por: Conducto deferente. Arterias cremastérica, deferencial y testicular. Plexo venoso pampiniforme. Linfáticos testiculares. Nervios testiculares.
  • 9.
    C U BI E R T A E X T E R N A Escroto. Túnica muscular fina (dartos). Fascia espermática externa. Músculo cremaster externo. Fascia espermática interna. Túnica vaginal.
  • 10.
  • 11.
    V A SC U L A R I Z A C I O N Testículo Arteria testicular. Plexo venoso pampiniforme. Epidídimo Arteria cremastérica. Arteria deferente. Plexo venoso cremastérico. Escroto Ramos arteriales pudendos internos y externos. Plexo venoso cremastérico.
  • 12.
  • 13.
  • 14.
  • 15.
  • 16.
    Transverse US scanof the testis shows a normal transmediastinal artery (arrow) as a linear hypoechoic band. Color Doppler flow US (not shown) revealed flow through the vessel.
  • 17.
    Imagen Diagnóstica MEDICINA DE AVANZADA E S C R O T O Ecografía patológica Dr.: CALIRI, Néstor 10 de febrero de 2009
  • 18.
    N E OP L A S I A S M A L I G N A S
  • 19.
    G E NE R A L I D A D E S Suponen el 1 a 2% de las neoplasias malignas en los varones. 5ta causa de muerte mas frecuente entre los 15 y 35 años de edad. 90% a modo de masas unilaterales, indoloras o agrandamiento difuso. 10% se manifiestan con síntomas de enfermedad metastásica. 90% derivados de células germinales.
  • 20.
    F A CT O R E S D E R I E S G O Desarrollo testicular anormal. Antecedentes de criptorquidia. Antecedentes de cáncer testicular. Sindrome de Klinefelter. Exposición a químicos. Infección por HIV. Antecedentes familiares.
  • 21.
    C L AS I F I C A C I O N Tumores de células germinales Seminoma Carcinoma de células embrionarias Teratoma Coriocarcinoma Mixtos Tumores del estroma gonadal Tumores de células de Leydig Tumores de células de Sertoli Tumores del estroma gonadal primitivo Mixtos
  • 22.
    S E MI N O M A Generalidades Supone el 50 % de las neoplasias malignas de testículo. Pico de incidencia entre la cuarta y quinta década. 10% tiene antecedente de criptorquidia. Menor agresividad que otros subtipos histológicos. Quimio y radiosensible. Dentro de la túnica albugínea en el momento del diagnóstico.
  • 23.
    Ecografía Masa onódulo Redondeado u ovoide. Tamaño variable. Ecoestructura homogénea. Hipoecogenicidad. Márgenes parcialmente o mal definidos. Menos frecuentemente con calcificaciones o quistes.
  • 24.
  • 25.
  • 26.
  • 27.
  • 28.
  • 29.
    “ Tumor Fundido”fenómeno de "autoquemadura" supone la regresión de un foco de tumor testicular tras la producción de metástasis a distancia, sin conocerse su causa. A pesar de esto, podemos identificar lesiones histológicas características, como son la presencia de una lesión compuesta de tejido colágeno, con células neoplásicas dispersas en su interior. El diagnóstico se realiza mediante el estudio anatomopatológico de la pieza de orquiectomía, debiendo llevarse a cabo ésta en pacientes con tumor germinal extragonadal que presentan alteraciones en la exploración física o en la ecografía.
  • 30.
    C A RC I N O M A D E C E L U L A S E M B R I O N A R I A S Generalidades Segunda neoplasia germinal más frecuente. Pico de incidencia entre la segunda y tercera década de vida. A menudo mixto. Mayor agresividad que el seminoma. Poco quimio y radiosensibles con altos niveles de AFP. Forma infantil, tumor del seno endodérmico o saco vitelino.
  • 31.
    Ecografía Masa onódulo Pequeño. Ecoestructura heterogénea. Hipoecogénico. Márgenes mal delimitados. Degeneración quística. Focos ecogénicos con o sin sombra acústica.
  • 32.
  • 33.
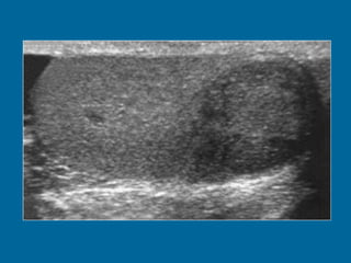
    Tumor del senoendodermico mass. (a) Longitudinal US scan of the left hemiscrotum shows a solid tumor (T) replacing the entire testis. The cystic areas (arrowheads) represent tumor necrosis.
  • 34.
    T E RA T O M A Generalidades 10% de las neoplasias testiculares primarias. Clasificación - Maduro. - Inmaduro. - Con degeneración maligna. Tasa de supervivencia a los 5 años del 70%. Picos de incidencia en lactancia y tercera década de vida. En niños tienden a ser benignos.
  • 35.
    Ecografía Masa onódulo Márgenes bien delimitados. Ecoestructura heterogénea. Áreas de degeneración quística. Muy común focos ecogénicos groseros. - Calcificación focal. - Cartílago. - Hueso inmaduro. - Fibrosis.
  • 36.
    cystic mass (M) with echogenic borders and peripheral solid components (arrows). A rim of normal testis (T) is also seen
  • 37.
    Mature teratoma ina 22-year-old man. (a) Longitudinal US image of the right testis shows a multilocular cystic mass. The cysts vary in appearance from anechoic to echogenic.
  • 38.
    C O RI O C A R C I N O M A Generalidades 1 a 3% de los tumores testiculares primitivos malignos. Pocas veces se produce en forma pura. Pico de incidencia entre la segunda y tercera década de vida. Metastizan precozmente por vía linfohemática. Altos niveles de HGC. Ecografía Masa o nódulo de ecogenicidad mixta. Áreas de hemorragia, necrosis, calcificación.
  • 39.
  • 40.
  • 41.
    T U MO R E S M I X T O S Generalidades Segundo tumor testicular primitivo después del seminoma. Pico de incidencia entre la tercera y cuarta década. Teratoma y carcinoma embrionario variante mas frecuente. Ecografía Masa o nódulo. Márgenes bien delimitados. Ecoestructura heterogénea. Áreas de degeneración quística.
  • 42.
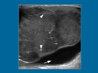
    a) LongitudinalUS image of the left testis shows a heterogeneous, predominantly hypoechoic mass, with scattered areas of hypoechogenicity (arrowheads). Normal testicular parenchyma is compressed peripherally by the tumor and contains diffuse microlithiasis (arrow). (b) Doppler US image shows normal peripheral vascularity with absence of central flow.
  • 43.
    Longitudinal US imageof the left testis shows a heterogeneous, predominantly hypoechoic mass, with scattered areas of hypoechogenicity (arrowheads). Normal testicular parenchyma is compressed peripherally by the tumor and contains diffuse microlithiasis (arrow). (b) Doppler US image shows normal peripheral vascularity with absence of central flow.
  • 44.
    T U MO R E S E S T R O M A L E S Suponen el 3% de todas las neoplasias testiculares. 20% de estos tumores se producen en niños. Asociados a células germinales se los denomina “ gonadoblastomas ”. Tumor de células de Leydig es el más frecuente. - Pico entre 20 y 30 años. - Tamaño variable. - Sólidos e hipo / hiperecogénicos. - Degeneración hemorrágica y necrosis.
  • 45.
  • 46.
    Figure 7. Sertolicell tumour. Large smooth curvilinear calcification (curved arrow) at the periphery of a heterogeneous mass (open arrows).
  • 47.
    M E TA S T A S I S Linfoma Leucemia Pulmón Próstata Riñon Estómago Colon Páncreas
  • 48.
    LINFOMA MALIGNO 1a 8 % de los tumores testiculares. Pico de incidencia entre los 50 y 60 años de edad. Tumor testicular bilateral más común, sincrónico o metacrónico. 10% localizado al momento del diagnóstico (muy mal pronóstico). Ecografía Ecoestructura homogénea o heterogénea. Hipoecogenicidad. Degeneración hemorrágica y necrosis (raro). Afectación difusa con agrandamiento testicular. Nódulo o masa.
  • 49.
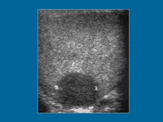
    Transverse US imageof the left testis shows multiple hypoechoic lesions.
  • 50.
  • 51.
    P A TO L O G I A B E N I G N A I N T R A T E S T I C U L A R
  • 52.
    Q U IS T E S Hallazgo incidental en el 10% de la población. Tipos Quiste de la túnica albugínea Quistes intratesticulares Ecografía Tamaño entre 2 y 15 mm. Bordes bien delimitados. Solitarios o múltiples. Uniloculares o multiloculares.
  • 53.
    Tunica albuginea cystin a 36-year-old man. (a) US image shows a small, peripherally located testicular lesion (arrow) with internal echoes. (b) On a coronal T2- weighted image, the lesion (arrow) is isointense relative to fluid. The lesion was isointense to fluid with all pulse sequences, a finding that confirmed its cystic nature. The presence of this pathognomonic finding obviated any further intervention.
  • 54.
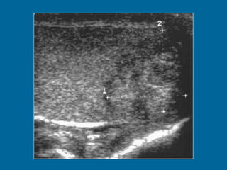
    Intratesticular cyst ina 50-year-old man. (a) US image shows a right-sided 17- mm-diameter intratesticular cyst. (b) T2-weighted image shows that the lesion (arrow) has the characteristic high signal intensity of fluid. The surrounding thin rim of testicular parenchyma enables diagnosis of an intratesticular cyst. However, note that there is some overlap in imaging appearances of an intratesticular cyst and a tunica albuginea cyst. No further intervention was performed.
  • 55.
  • 56.
    E C TA S I A D E L A R E T E T E S T I S Entidad que puede simular una neoplasia testicular. Asociada a obstrucción epididimaria secundaria a trauma o inflamación. Lesiones de tamaño variable en la región del mediastino testicular. Tendencia a la bilateralidad. Asociada a espermatocele ipsilateral.
  • 57.
    Dilated rete testisin a 44-year-old man. (a) Sonogram shows multiple small, cystic or tubular, anechoic structures that replace and enlarge the testicular mediastinum. (b) On a T2-weighted image, the lesion has high signal intensity.
  • 58.
  • 59.
  • 60.
    P A TO L O G I A B E N I G N A E X T R A T E S T I C U L A R
  • 61.
    H I DR O C E L E El escroto normal contiene pocos ml de líquido seroso ente las capas de la túnica vaginal dentro de límites normales. Concepto Acumulación anormal de líquido seroso a nivel de la túnica vaginal. Tipos Congénito Cierre incompleto del proceso vaginal. Adquirido Traumatismo. Inflamación. Neoplasia.
  • 62.
  • 63.
  • 64.
  • 65.
    V A RI C O C E L E Dilatación venosa del plexo pampiniforme mayor a 2 mm, detrás del testículo, acompañando al epidídimo. Varicocele idiopático Incompetencia valvular a nivel de la vena espermática interna. Flujo retrógrado a través del plexo pampiniforme. Causa más frecuente de infertilidad masculina. 95% de los casos se produce en el lado izquierdo. Pico de incidencia entre los 25 y 35 años.
  • 66.
    Varicocele secundario Consecuenciade aumento de presión sobre la vena espermática. Causas Hidronefrosis marcada. Hepatomegalia. Neoplasias abdominales. Compresión venosa por masa retroperitoneal. Su aspecto no varia a diferencia del primario, con la posición del paciente
  • 67.
    Ecografía Múltiples estructurasserpinginosas anecogénicas. Diámetro mayor a 2 mm. Compresibles fácilmente con el transductor. Localizadas adyacentes al polo superior del testículo. En ocasiones puede simular un espermatocele tabicado. Doppler de alta frecuencia ayuda al diagnóstico diferencial.
  • 68.
  • 69.
  • 70.
  • 71.
    Intratesticular varicocele ina 38-year-old man. (a) Transverse oblique US scan of left testis reveals multiple intratesticular anechoic cystic areas (arrowhead). (b) Duplex Doppler US scan shows that venous flow in these cystic areas increases during a Valsalva maneuver (arrowhead).
  • 72.
    E S CR O T O A G U D O
  • 73.
    T O RS I O N TESTICULAR Torsión intravaginal Pico de incidencia en la pubertad. Suspensión anómala por un tallo largo de cordón espermático. Inversión testicular y epididimaria por la túnica vaginal. “ Deformidad en campana y badajo”. Torsión extravaginal Se produce en recién nacidos. Torsión del testículo y su túnica a nivel del anillo externo. No se produce la típica deformidad en campana y badajo.
  • 74.
    Ecografía Fase aguda(seis primeras horas) Aumento de tamaño testicular. Ecoestructura heterogénea e hipoecogénica. Epidídimo agrandado, hipoecogénico con focos hiperecogénicos. Fase subaguda (primer al décimo día) Hasta el quinto día aumenta el tamaño y la hipoecogenicidad. Disminución a partir del sexto día. La realización de DOP PLER diferenciará torsión testicular de otras entidades, valorando ausencia de flujo.
  • 75.
  • 76.
  • 77.
  • 78.
  • 79.
  • 80.
    E P ID I D I M I T I S Generalidades Causa mas común de escroto agudo en varones pospuberales. Consecuencia de infección urinaria baja. Menos frecuente por diseminación hematógena, trauma o vía sexual. 20% diseminación hacia el testículo. Ecografía Engrosamiento y alargamiento del epidídimo. Ecogenicidad baja y ecoestructura heterogénea. Doppler, aumento del flujo sanguíneo.
  • 81.
  • 82.
  • 83.
    Image 1 (Ultrasound):Swelling of the right epididymis with associated mild right orchitis. Doppler images (not shown here) demonstrated increased vascularity.
  • 84.
    O R QU I T I S Generalidades Responde a las mismas causas que la epididimitis. Mayor frecuencia en combinación con afección del epidídimo. Focal o difusa. Ecografía Agrandamiento testicular. Ecoestructura heterogénea e hipoecogénica. Aumento de la vasculatura con efecto doppler. Si la interrupción vascular es severa da lugar a un infarto testicular completo.
  • 85.
  • 86.
  • 87.
  • 88.