ECOGRAFÍA DE CUELLO
DRA. NADIA ROJAS
RESIDENTE DE RADIOLOGÍA
• GLÁNDULA PARATIROIDES
• GLÁNDULA SUBMANDIBULAR
• GLÁNDULA PARÓTIDA.
• LINFONODOS.
• MASAS DEL CUELLO.
HIPERPARATIROIDISMO PRIMARIO
• > FR.
• > sexo femenino. 3:1
• > 50 a
• Clínica: Ca elevado, hipofosfemia,
hipercalciuria, PTH elevada.
• CAUSAS:
– Adenoma simple : 80-90%
– Enfermedad poli-glandular: 10-20%
– Carcinoma < 1%
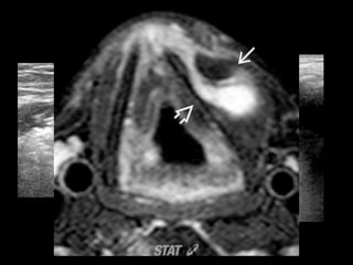
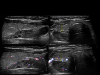
ADENOMA PARATIROIDEO
• TU benigno de la glándula paratiroidea que produce un exceso de PTH.Y
• Ovalados
• HIPOECOGÉNICOS respecto a la glándula tiroides.
• Tamaño: 0.8-1.5 cm
• Cápsula ecogénica.
• Degeneración quística.
• Calcificación rara. (ca – hiperparatiroidismo)
• Adenomas paratiroideos intratiroideos 2-5%
• Doppler: hipervasculares, vaso central y arco vascular.
ENFERMEDAD POLIGLANDULAR
• Hiperplasia difusa o a múltiples adenomas,
• Mismo aspecto ecográfico que otros
adenomas paratiroideos.
• Las glándulas pueden tener hipertrofia
asimétrica  adenoma solitario?
LOCALIZACION DEL ADENOMA
• ADENOMA PARATIROIDEO SUPERIOR:
– Adyacente a dyacente a la cara
posterior de la porción media de la
tiroides
• ADENOMA PARATIROIDEO INFERIOR:
– Próximo al polo inferior de la tiroides
– Pegados a la cara posterior del polo
interior tiroideo
• ADENOMAS ECTOPICOS:
– RETROTRAQUEAL:
(SUPERIOR)posterior a la tráquea o
esófago.
– MEDIASTINICO (INFERIOR)
– INTRATIROIDEO
– DE LA VAINA CAROTIDEA
CARCINOMA PARATIROIDEO
• Mayores que los adenomas.
• > 2 cms.
• A menudo indistinguble de un ADENOMA.
• Nódulo hipoecoico posterior a la glándula tiroides.
• Contorno lobulado.
• Heterogéneo.
• Componentes quísticos interiores.
• Relación profunidad/anchura > 1
• Cápsula gruesa
• Borde infiltrativo y calcificaciones.
• Invasión de estructuras adyacentes.
CARCINOMA PARATIROIDEO
GLÁNDULA SUBMANDIBULAR
• SIALADENITIS AGUDA:
– Litiásica
– Infecciosa
• SIALADENITIS CRÓNICA
• TUMOR DE KUTTNER
• SINDROME DE SJOGREN.
• ENFERMEDAD DE KIMURA.
• METÁSTASIS
• LINFOMA
SIALADENITIS AGUDA
• Inflamación de la GSM por
estenosis del conducto o
cálculos.
• St Aurus.
• Glándula submanibular
unilateral heterogénea,
aumentada de tamaño,
heterogénea.
• Dilatación del conducto intra y
extraglandular y cálculo.
• Diagnostico de absceso.
SIALADENITIS CRÓNICA
• Inflamación crónica de
la GSM.
• Asociado con
condiciones que
disminuyen el flujo
saliva. Cálculos y
ectasia.
• Atrofia glandular
unilateral, hipoecoica,
heterogénea,
hipovascular, dilatacion
ductal y cálculo.
TUMOR DE KUTTNER
• Sialadenitis
esclerosante
crónica:
– Glándula
hipoecogénica,
nódulosheterogén
eoas de apariencia
cirrótica bilateral.
– Condición similar a
un tumor de las
GSM > Parotidas.
SD SJOGREN
• Glándulas difusamente
hipoecogénicas, Parénquima
heterogéneo, reticulado difuso
con septos hipoecoicos. “ Piel
de Leopardo”
• Etapa temprana:
– Apariencia normal.
• Etapa intermedia: “patrón
miliar”:
– Múltiples microquistes.
• ETAPA TARDÍA:
– Grandes quistes y masas
sólidas en parótidas y GSM.
SD DE SJOGREN
• Exocrinopatía crónicas
autoinmina sistémica y crónica
que causa destrucción de las
glándulas salivares y lagrimales.
– PRIMARIA
– SECUNDARIA: asociada a otra
patología.
• ECOGRAFÍA: aumento de
tamaño de las GP y GSM,
lesiones mixtas y calcificaciones
intraglandulares.
• Vascularidad aumentada.
ENFERMEDAD DE KIMURA
• Triada adenopatía cervical
unilateral dolorosa, nodulo
subcutaneo y lesión de la
glándula salivar.
• Eosinofilia sanguínea. IgE
elevada.
• Glándula hipoecoica, con
patrón heterogéneo.
• Ganglios linfaticos y lesiones
de masas subcutáneas
ipsilaterales.
PARÓTIDA
• PAROTIDITIS AGUDA.
• TUMOR DE WARTHIN.
• LIPOMA PAROTIDEO.
PAROTIDITIS AGUDA
• Inflamación aguda de la parótida.
– Bacteriano (absceso)
– Viral
– Inducido por cálculo
– AI: enfermedad crónica.
• Ecografía: glándula difusamente
aumentada de tamaño .
Herogénea e hipoecoica,
aumento de la vascularidad de la
glándula. Focos hiperecogénicos
intraglandulares. Ganglios
linfáticos intraparotideos. Ducto
dilatado con cálculos.
TUMOR DE WARTHIN
• Tumor de parótida benigna con
apariencia característica
histopatológica compuesta de
estructuras papilares, infiltrado
linfocitario madura, y cambios
quísticos.
• Masa bien definida , hipoecoica, no
calcificada.
• Heterogeneo con componentes
quísticos y sólidos
• Multiseptado con septos gruesosy
realce posterior.
LIPOMA PAROTIDEO
• 15% de todos los lipomas se producen en la
cabeza y el cuello.
• Lesión bien definidoa lobulada,
• Compresible con transductor
Homogéneamente hipoecoica en relación
con el parénquima parotideo
• Hiperecoico en comparación con el músculo
• Estrías hiperecoicas lineales paralelas al
transductor
• Sin refuerzo acústico posterior o vigilancia
• Sin calcificación, nódulos, o necrosis
• Sin vascularización significativa en /
alrededor de la masa
LINFONODOS
• REACTIVOS
• METASTÁSICOS
• LINFOMA
• TUBERCULOSIS
LINFONODOS REACTIVOS.
• Forma: elíptica
• Limites: bien definidos
• Ecogenicidad: iso-
hipercogenico.
• Arquitectura interna:
presencia de hilio graso.
• Vascularidad: hiliar.
• Ausencia de necrosis. Sin
calcificaciones.
• > 1 cm
LINFONODOS METASTÁSICOS
• ADENOPATÍA DE VIRSHOW:
supraclavicular izquierdo:
primario abdomino-pélvico.
• Adenopatía sólida,
hipoecogénica, bien definida,
redondeado, pérdida del hilio
graso.
• Necrosis quística.
• Áreas hiperecoicas
intranodales.
• Vascularidad periférica.
• Unilateral
• Infrahioideo.
• > 1,5 cms
LINFOMA NO HODKING
• Cáncer que se origina del sistema
linfo-reticular.
• Múltiples nodos bilaterales, no
necróticos aumentados de tamaño
en cadenas linfáticas inusuales.
• Localización: II-III-IV.
• Bordes irregulares—> enfermedad
agresiva.
• Nódulo sólido con hilio graso
ausente.
• Calcificación rara : postradiación.
• Doppler: Hilio prominente,
vascularización periférica.
ADENOPATÍA TUBERCULOSA
• Adenitis cervical debido a
micobacterium tuberculosis.
• Linfonodos cervicales es el sitio
más común de tuberculosis
adenopática.
• Múltiples nodulos redondeados,
hipoecoicos en triángulo
posterior y fosa supraclavicular.
Uni o bilateral.
• Necrosis caseosa intranodal
• Edema blando adyacente
• Calficación nodal enfermedad
recurrente o curada.
• Vascularización hiliar / necrosis.
MASAS DE LA LINEA MEDIA
• LINFONODOS
• MASA TIROIDEA
• LOBULO PIRAMIDAL
• QUISTE DEL CONDUCTO TIROGLOSO.
• RANULA
• DERMOIDE/EPIDERMOIDE
LOBULO PIRAMIDAL
QUISTE DEL CONDUCTO
TIROGLOSO
• Remanente del conducto tirogloso
que se encuentra entre el foramen
ciego de la base de la lengua y la
tiroides en la base del cuello.
• Relación del quiste con el hueso
hioides.
• No hemorragico.
• Quiste unilocular, bien definido,
anecoico, con refuerzo acústico
posterior y detritus interior.
• No hay evidencia de nodulos murales
o calcificaciones.
• Apariencia pseudosólida: Quiste
uniforme bien definido y homogéneo,
con ecos internos debido al contenido
proteico secretado.
• Doppler: avascular.
RANULA
• Quiste de retención
resultante de un tmt o
inflamación de las GSM en
el espacio sublingual.
• Quiste anecoico, bien
definido, unilocular, con
refuerzo acustico
posterior.
• Anterior o posterior a la
GSM.
• Avascular.
DERMOIDE/EPIDERMOIDE
• Lesión quística resultante de
inclusión epitelial congénita
– Dermoide: elementos epiteliales
más subestructura dérmica
incluyendo apéndices dérmicos
– Epidermoide: solo elementos
epiteliales.
• Superficiales.
• Dermoides: ecos mixtos internos de
grasa, focos ecogénicos. Elementos
óseo-dentales.
• Epidermoide: bien definido, quiste
anecoico, bien definido, paredes
delgadas y refuerzo acustico
posterior.
• Avascular.
QUISTES LATERALES
• LARINGOCELE
• QUISTE DEL II ARCO BRANQUIAL
• HIGROMA QUISTICO.
LARINGOCELE
• Evaginación de la mucosa
normal laringea que se
proyecta superiormente desde
ventrículo laríngeo.
• Contiene numerosas glándulas
mucosas
• laringocele interno:
– Aire dilatada o laríngea sáculo
lleno de líquido
– Situado en el espacio paraglótico
de supraglotis
LARINGOCELE
QUISTE DEL 2º ARCO BRANQUIAL
• Remanente quísticO relacionada con
alteraciones en el desarrollo del
segundo arco branquial
• fístula del seno- o quiste.
• Ubicación típica de quiste :
relacionado con la con vaina
carotídea, la glándula
submandibular, y el ECM
• Unilocular, anecoica con paredes
delgadas y refuerzo posterior, ecos
internos debiles.
• No vascularizado.
LINFANGIOMA
• Tumor benigno quístico del
sistema linfático.
• No asociado a alteraciones
genéticas.
• Masa quística grande y
compleja, no nucal, Rara
vez unilocular.
• Localización:
– 70% axilares.
• GRACIAS

Ecografia de cuello en ecografia.

  • 1.
    ECOGRAFÍA DE CUELLO DRA.NADIA ROJAS RESIDENTE DE RADIOLOGÍA
  • 2.
    • GLÁNDULA PARATIROIDES •GLÁNDULA SUBMANDIBULAR • GLÁNDULA PARÓTIDA. • LINFONODOS. • MASAS DEL CUELLO.
  • 3.
    HIPERPARATIROIDISMO PRIMARIO • >FR. • > sexo femenino. 3:1 • > 50 a • Clínica: Ca elevado, hipofosfemia, hipercalciuria, PTH elevada. • CAUSAS: – Adenoma simple : 80-90% – Enfermedad poli-glandular: 10-20% – Carcinoma < 1%
  • 4.
    ADENOMA PARATIROIDEO • TUbenigno de la glándula paratiroidea que produce un exceso de PTH.Y • Ovalados • HIPOECOGÉNICOS respecto a la glándula tiroides. • Tamaño: 0.8-1.5 cm • Cápsula ecogénica. • Degeneración quística. • Calcificación rara. (ca – hiperparatiroidismo) • Adenomas paratiroideos intratiroideos 2-5% • Doppler: hipervasculares, vaso central y arco vascular.
  • 5.
    ENFERMEDAD POLIGLANDULAR • Hiperplasiadifusa o a múltiples adenomas, • Mismo aspecto ecográfico que otros adenomas paratiroideos. • Las glándulas pueden tener hipertrofia asimétrica  adenoma solitario?
  • 7.
    LOCALIZACION DEL ADENOMA •ADENOMA PARATIROIDEO SUPERIOR: – Adyacente a dyacente a la cara posterior de la porción media de la tiroides • ADENOMA PARATIROIDEO INFERIOR: – Próximo al polo inferior de la tiroides – Pegados a la cara posterior del polo interior tiroideo • ADENOMAS ECTOPICOS: – RETROTRAQUEAL: (SUPERIOR)posterior a la tráquea o esófago. – MEDIASTINICO (INFERIOR) – INTRATIROIDEO – DE LA VAINA CAROTIDEA
  • 8.
    CARCINOMA PARATIROIDEO • Mayoresque los adenomas. • > 2 cms. • A menudo indistinguble de un ADENOMA. • Nódulo hipoecoico posterior a la glándula tiroides. • Contorno lobulado. • Heterogéneo. • Componentes quísticos interiores. • Relación profunidad/anchura > 1 • Cápsula gruesa • Borde infiltrativo y calcificaciones. • Invasión de estructuras adyacentes.
  • 9.
  • 10.
    GLÁNDULA SUBMANDIBULAR • SIALADENITISAGUDA: – Litiásica – Infecciosa • SIALADENITIS CRÓNICA • TUMOR DE KUTTNER • SINDROME DE SJOGREN. • ENFERMEDAD DE KIMURA. • METÁSTASIS • LINFOMA
  • 11.
    SIALADENITIS AGUDA • Inflamaciónde la GSM por estenosis del conducto o cálculos. • St Aurus. • Glándula submanibular unilateral heterogénea, aumentada de tamaño, heterogénea. • Dilatación del conducto intra y extraglandular y cálculo. • Diagnostico de absceso.
  • 12.
    SIALADENITIS CRÓNICA • Inflamacióncrónica de la GSM. • Asociado con condiciones que disminuyen el flujo saliva. Cálculos y ectasia. • Atrofia glandular unilateral, hipoecoica, heterogénea, hipovascular, dilatacion ductal y cálculo.
  • 13.
    TUMOR DE KUTTNER •Sialadenitis esclerosante crónica: – Glándula hipoecogénica, nódulosheterogén eoas de apariencia cirrótica bilateral. – Condición similar a un tumor de las GSM > Parotidas.
  • 14.
    SD SJOGREN • Glándulasdifusamente hipoecogénicas, Parénquima heterogéneo, reticulado difuso con septos hipoecoicos. “ Piel de Leopardo” • Etapa temprana: – Apariencia normal. • Etapa intermedia: “patrón miliar”: – Múltiples microquistes. • ETAPA TARDÍA: – Grandes quistes y masas sólidas en parótidas y GSM.
  • 15.
    SD DE SJOGREN •Exocrinopatía crónicas autoinmina sistémica y crónica que causa destrucción de las glándulas salivares y lagrimales. – PRIMARIA – SECUNDARIA: asociada a otra patología. • ECOGRAFÍA: aumento de tamaño de las GP y GSM, lesiones mixtas y calcificaciones intraglandulares. • Vascularidad aumentada.
  • 16.
    ENFERMEDAD DE KIMURA •Triada adenopatía cervical unilateral dolorosa, nodulo subcutaneo y lesión de la glándula salivar. • Eosinofilia sanguínea. IgE elevada. • Glándula hipoecoica, con patrón heterogéneo. • Ganglios linfaticos y lesiones de masas subcutáneas ipsilaterales.
  • 17.
    PARÓTIDA • PAROTIDITIS AGUDA. •TUMOR DE WARTHIN. • LIPOMA PAROTIDEO.
  • 18.
    PAROTIDITIS AGUDA • Inflamaciónaguda de la parótida. – Bacteriano (absceso) – Viral – Inducido por cálculo – AI: enfermedad crónica. • Ecografía: glándula difusamente aumentada de tamaño . Herogénea e hipoecoica, aumento de la vascularidad de la glándula. Focos hiperecogénicos intraglandulares. Ganglios linfáticos intraparotideos. Ducto dilatado con cálculos.
  • 19.
    TUMOR DE WARTHIN •Tumor de parótida benigna con apariencia característica histopatológica compuesta de estructuras papilares, infiltrado linfocitario madura, y cambios quísticos. • Masa bien definida , hipoecoica, no calcificada. • Heterogeneo con componentes quísticos y sólidos • Multiseptado con septos gruesosy realce posterior.
  • 20.
    LIPOMA PAROTIDEO • 15%de todos los lipomas se producen en la cabeza y el cuello. • Lesión bien definidoa lobulada, • Compresible con transductor Homogéneamente hipoecoica en relación con el parénquima parotideo • Hiperecoico en comparación con el músculo • Estrías hiperecoicas lineales paralelas al transductor • Sin refuerzo acústico posterior o vigilancia • Sin calcificación, nódulos, o necrosis • Sin vascularización significativa en / alrededor de la masa
  • 21.
  • 22.
    LINFONODOS REACTIVOS. • Forma:elíptica • Limites: bien definidos • Ecogenicidad: iso- hipercogenico. • Arquitectura interna: presencia de hilio graso. • Vascularidad: hiliar. • Ausencia de necrosis. Sin calcificaciones. • > 1 cm
  • 23.
    LINFONODOS METASTÁSICOS • ADENOPATÍADE VIRSHOW: supraclavicular izquierdo: primario abdomino-pélvico. • Adenopatía sólida, hipoecogénica, bien definida, redondeado, pérdida del hilio graso. • Necrosis quística. • Áreas hiperecoicas intranodales. • Vascularidad periférica. • Unilateral • Infrahioideo. • > 1,5 cms
  • 24.
    LINFOMA NO HODKING •Cáncer que se origina del sistema linfo-reticular. • Múltiples nodos bilaterales, no necróticos aumentados de tamaño en cadenas linfáticas inusuales. • Localización: II-III-IV. • Bordes irregulares—> enfermedad agresiva. • Nódulo sólido con hilio graso ausente. • Calcificación rara : postradiación. • Doppler: Hilio prominente, vascularización periférica.
  • 25.
    ADENOPATÍA TUBERCULOSA • Adenitiscervical debido a micobacterium tuberculosis. • Linfonodos cervicales es el sitio más común de tuberculosis adenopática. • Múltiples nodulos redondeados, hipoecoicos en triángulo posterior y fosa supraclavicular. Uni o bilateral. • Necrosis caseosa intranodal • Edema blando adyacente • Calficación nodal enfermedad recurrente o curada. • Vascularización hiliar / necrosis.
  • 26.
    MASAS DE LALINEA MEDIA • LINFONODOS • MASA TIROIDEA • LOBULO PIRAMIDAL • QUISTE DEL CONDUCTO TIROGLOSO. • RANULA • DERMOIDE/EPIDERMOIDE
  • 27.
  • 28.
    QUISTE DEL CONDUCTO TIROGLOSO •Remanente del conducto tirogloso que se encuentra entre el foramen ciego de la base de la lengua y la tiroides en la base del cuello. • Relación del quiste con el hueso hioides. • No hemorragico. • Quiste unilocular, bien definido, anecoico, con refuerzo acústico posterior y detritus interior. • No hay evidencia de nodulos murales o calcificaciones. • Apariencia pseudosólida: Quiste uniforme bien definido y homogéneo, con ecos internos debido al contenido proteico secretado. • Doppler: avascular.
  • 30.
    RANULA • Quiste deretención resultante de un tmt o inflamación de las GSM en el espacio sublingual. • Quiste anecoico, bien definido, unilocular, con refuerzo acustico posterior. • Anterior o posterior a la GSM. • Avascular.
  • 31.
    DERMOIDE/EPIDERMOIDE • Lesión quísticaresultante de inclusión epitelial congénita – Dermoide: elementos epiteliales más subestructura dérmica incluyendo apéndices dérmicos – Epidermoide: solo elementos epiteliales. • Superficiales. • Dermoides: ecos mixtos internos de grasa, focos ecogénicos. Elementos óseo-dentales. • Epidermoide: bien definido, quiste anecoico, bien definido, paredes delgadas y refuerzo acustico posterior. • Avascular.
  • 32.
    QUISTES LATERALES • LARINGOCELE •QUISTE DEL II ARCO BRANQUIAL • HIGROMA QUISTICO.
  • 33.
    LARINGOCELE • Evaginación dela mucosa normal laringea que se proyecta superiormente desde ventrículo laríngeo. • Contiene numerosas glándulas mucosas • laringocele interno: – Aire dilatada o laríngea sáculo lleno de líquido – Situado en el espacio paraglótico de supraglotis
  • 34.
  • 35.
    QUISTE DEL 2ºARCO BRANQUIAL • Remanente quísticO relacionada con alteraciones en el desarrollo del segundo arco branquial • fístula del seno- o quiste. • Ubicación típica de quiste : relacionado con la con vaina carotídea, la glándula submandibular, y el ECM • Unilocular, anecoica con paredes delgadas y refuerzo posterior, ecos internos debiles. • No vascularizado.
  • 36.
    LINFANGIOMA • Tumor benignoquístico del sistema linfático. • No asociado a alteraciones genéticas. • Masa quística grande y compleja, no nucal, Rara vez unilocular. • Localización: – 70% axilares.
  • 37.