ESTENOSIS
MITRAL
Cardiología
Válvula Mitral
AREA
VALVULAR
Keith L. Moore Anatomia con orientación clínica 7ma edición Netter Atlas de anatomía Humana 5ta Ed.
¿Estenosis Mitral?
• Es la disminución del área valvular
mitral debido a la difícil apertura de la
misma
AREA VALVULAR NORMAL: 4-6
cm²
• Dificulta el paso de sangre de la AI
al VI
• La sangre que llega al ventrículo es
menor de lo normal
Guadalajara, J. F. (2012). Cardiología. CDMX: Mendez Editores.
ÁREA VALVULAR
Área
Normal 4 a 6 cm²
Estenosis Ligera 1.5 a 2 cm²
Estenosis Moderada 1.1 a 1.5 cm²
Estenosis Grave <1 cm²
Guadalajara, J. F. (2012). Cardiología. CDMX: Mendez Editores.
Etiología
Fiebre Reumática + Común
Hay cambios reumáticos en el 99% de las
Valvulas mirales estenosadas
Calcificación Valvular
(En Adultos Mayores)
Endocarditis
Enfermedad de Fabry
Enfermedad de Whipple Mucopolisacaridosis
LES
Origen Congénito
Guadalajara, J. F. (2012). Cardiología. CDMX: Mendez Editores.
¿QUE
SUCEDE?
CAMBIOS
ESTRUCTURALES
INFLAMACIÓN CICATRIZACIÓ
N OBLITERACIÓN
DE LA VALVA
POR FIBROSISFIBROSI
S
ENGROSAMIENTO DE LOS BORDES
VALVA
FUSIÓN DE LAS
COMISURAS
Man L. D. Braunwald Tratado de Cardiologia 10ma Edicion ELSEVIER
Fisiopatología
Obstrucción AI a VI:
Presión AI
Miocardio
Auricularmayor
TrabajoHAI
Presión hacia las
venas y capilares
pulmonares ↓ INT
O2
Edema Pulmonar
Intersticial (trasudado
capilar)Edema
alveolar
HT venocapilar
Crónica ↑ presión
Art. Pulmonar
Sobrecarga Sistólica
VD Hipertrofia
Dilatación VD,
Insuficiencia mecánica
Insuficiencia
tricuspidea funcional
↑ Presión Venosa
Sistémica
Guadalajara, J. F. (2012). Cardiología. CDMX: Mendez Editores.
CAMBIOS EN AURICULA
IZQUIERDA
• DILATACIÓN AI
• FIBROSIS AI
• DESORGANIZACIÓN DE
LOA HACES
MUSCULARES
Man L. D. Braunwald Tratado de Cardiologia 10ma Edicion ELSEVIER
Cuadro Clínico
• Producidos por HT Venocapilar
• Disnea de Esfuerzo (CF III NYHA)
• Ortopnea
• Disnea Paroxística nocturna
• Tos
• Hemoptisis
• Dolor Toracico (15%-- HVD Grave)
• Tardíamente puedes presentar
insuficiencia cardiaca derecha:
• Edema
• Plétora Yugular
• Hepatomegalia Congestiva
• Oliguria
• Síntomas por compresión (Dilatación AI):
• Nervio laríngeo Recurrente: Disfonía (signo de
ortner)
• Esófago: Disfagia
• Bronquio izquierdo: Colapso pulmonar izquierdo
Guadalajara, J. F. (2012). Cardiología. CDMX: Mendez Editores.
Estratificación del Paciente
Nishimura A. 2014 AHA/ACC Guideline for the Management of Patients
Man L. D. Braunwald Tratado de Cardiologia 10ma Edicion ELSEVIER
Exploración Física
Facies de Covisart (Cara Mitral):
Pálido, con rubicundez y cianosis
en labios y mejillas
• Área Precordial:
• Ápex en sitio normal, difícilmente palpable.
• Frémito Diastólico (estrechez importante)
• Borde Paraesternal Izquierdo:
• Levantamiento sistólico
sostenido
• 2EII:
• Choque de Cierre pulmonar
palpable (HT Pulmonar)
COMPLEJO DE
CHAVEZHIPERTENSIÓN PULMONAR
Pulso IrregularFibrilación
Auricular
• EM Grave
Crónica
• GC Bajo
• Vasoconstricción
sistemica
Guadalajara, J. F. (2012). Cardiología. CDMX: Mendez Editores.
AUSCULTACIÓN: Ritmo de
Duroziez
S1 Acentuado Valvulas
Flexibles
Chasquido de Apertura
Retumbo mesodiastólico
Soplo de Tono grave que se
ausculta mejor en el ápex que
puede irradiarse a la zona axilar
izquierda o zona esternal izquierda
inferior . Comienza despues del
chasquido.
Man L. D. Braunwald Tratado de Cardiologia 10ma Edicion ELSEVIER
COMPLICACIONE
S
FIBRILACIÓN
AURICULAR
17% de los que tenían 21 a 30 años
45% de los que tenían 31 a 40 años
60% de los que tenían 41 a 50 años
80% de los que tenían más de 51 años.
En los pacientes con FA y EM, la supervivencia
a los 5 años es solo del 64% comparada con el 85%
en los pacientes con FA sin EM.
EMBOLIA SISTEMICA
ENDOCARDITIS (1% de los casos)
Man L. D. Braunwald Tratado de Cardiologia 10ma Edicion ELSEVIER
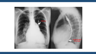
Radiografía de
Tórax
• Corazón generalmente de tamaño normal
• Perfil izquierdo con 4 arcos
• Aorta
• Pulmonar abombada
• Orejuela Izquierda prominente
• Ventrículo Izquierdo Normal
• En posiciones oblicuas
hay crecimiento de la AI
• Signos radiológicos de
hipertensión venocapilar
Moteado difuso
Hilios Pulmonares
Esfumados
Lineas A de Kerley
Lineas B de Kerley
Derrame Laminar
Infiltrados algodonosos
Guadalajara, J. F. (2012). Cardiología. CDMX: Mendez Editores.
Electrocardiograma
• Crecimiento de la AI (P Mitral)
• Eje Desviado a la derecha
• Signos de crecimiento ventricular derecho
• Fibrilación Auricular
Guadalajara, J. F. (2012). Cardiología. CDMX: Mendez Editores.
Ecocardiograma
• Permite el Dx de Estenosis Mitral
• Evalúa la severidad (Gradientes, Orificio valvular, Presión en arteria
pulmonar).
• Ayuda al Dx de lesiones Valvulares acompañantes.
• Valora el Tamaño, condiciones y función del VD (Afectado por aumento
de presiones pulmonares).
Guadalajara, J. F. (2012). Cardiología. CDMX: Mendez Editores.
a) 1
b) 2
c) Ambos
1 2
a) 1
b) 2
c) Ambos
1 2
a) 1
b) 2
c) Ambos
1 2
Eje Corto
El área de la válvula mitral se mide
mediante planimetría directa de eje corto.
Baumgartner H. Guía ESC/EACTS 2017 sobre el tratamiento de las valvulopatías
Baumgartner H. Guía ESC/EACTS 2017 sobre el tratamiento de las valvulopatías
Baumgartner H. Guía ESC/EACTS 2017 sobre el tratamiento de las valvulopatías
Man L. D. Braunwald Tratado de Cardiologia 10ma Edicion ELSEVIER
¿Qué nos mencionan las guías acerca del
tratamiento?
Diagnóstico
• La ecocardiografía es el método
preferido para el diagnóstico de
estenosis mitral.
• Evalúa la gravedad y
sus consecuencias
hemodinámicas
• Calcular el área valvular nos da
referencia de la gravedad.
• La medición de las presiones
pulmonares reflejan las
consecuencias
Guadalajara, J. F. (2012). Cardiología. CDMX: Mendez Editores.
TRATAMIENTO
MÉDICO
• DIURÉTICOS
• BETA BLOQUEADORES
• DIGITALICOS
• ANTAGONISTA CANALES Ca
• ANTICOAGULACIÓN (FA nueva aparición o
paroxística)
MEJORA LOS SINTOMAS
CLINICOS TEMPORALMENTE
• Prevención de la fiebre reumática
• Prevención de la complicaciones
• Vigilancia dela progresión de la
enfermedad
Guadalajara, J. F. (2012). Cardiología. CDMX: Mendez Editores.
Tratamiento
• EL TRATAMIENTO DEBE DECIDIRSE
BASANDO EN
• Características clínicas
• Anatomía de la válvula
La indicación de intervención se debe limitar
a los pacientes con estenosis clínicamente
significativa.
COMISUROTOMIA
MITRAL PERCUTÁNEA
(CMP)
CIRUGI
A
REPARACIÓN O
SUSTITUCIÓN
Guadalajara, J. F. (2012). Cardiología. CDMX: Mendez Editores.
Man L. D. Braunwald Tratado de Cardiologia 10ma Edicion ELSEVIER
Man L. D. Braunwald Tratado de Cardiologia 10ma Edicion ELSEVIER
Baumgartner H. Guía ESC/EACTS 2017 sobre el tratamiento de las valvulopatías
Baumgartner H. Guía ESC/EACTS 2017 sobre el tratamiento de las valvulopatías
CONTRAINDICACIONES
CMP
Baumgartner H. Guía ESC/EACTS 2017 sobre el tratamiento de las valvulopatías
Man L. D. Braunwald Tratado de Cardiologia 10ma Edicion ELSEVIER

Estenosis mitral

  • 1.
  • 2.
    Válvula Mitral AREA VALVULAR Keith L.Moore Anatomia con orientación clínica 7ma edición Netter Atlas de anatomía Humana 5ta Ed.
  • 3.
    ¿Estenosis Mitral? • Esla disminución del área valvular mitral debido a la difícil apertura de la misma AREA VALVULAR NORMAL: 4-6 cm² • Dificulta el paso de sangre de la AI al VI • La sangre que llega al ventrículo es menor de lo normal Guadalajara, J. F. (2012). Cardiología. CDMX: Mendez Editores.
  • 4.
    ÁREA VALVULAR Área Normal 4a 6 cm² Estenosis Ligera 1.5 a 2 cm² Estenosis Moderada 1.1 a 1.5 cm² Estenosis Grave <1 cm² Guadalajara, J. F. (2012). Cardiología. CDMX: Mendez Editores.
  • 5.
    Etiología Fiebre Reumática +Común Hay cambios reumáticos en el 99% de las Valvulas mirales estenosadas Calcificación Valvular (En Adultos Mayores) Endocarditis Enfermedad de Fabry Enfermedad de Whipple Mucopolisacaridosis LES Origen Congénito Guadalajara, J. F. (2012). Cardiología. CDMX: Mendez Editores.
  • 6.
    ¿QUE SUCEDE? CAMBIOS ESTRUCTURALES INFLAMACIÓN CICATRIZACIÓ N OBLITERACIÓN DELA VALVA POR FIBROSISFIBROSI S ENGROSAMIENTO DE LOS BORDES VALVA FUSIÓN DE LAS COMISURAS Man L. D. Braunwald Tratado de Cardiologia 10ma Edicion ELSEVIER
  • 7.
    Fisiopatología Obstrucción AI aVI: Presión AI Miocardio Auricularmayor TrabajoHAI Presión hacia las venas y capilares pulmonares ↓ INT O2 Edema Pulmonar Intersticial (trasudado capilar)Edema alveolar HT venocapilar Crónica ↑ presión Art. Pulmonar Sobrecarga Sistólica VD Hipertrofia Dilatación VD, Insuficiencia mecánica Insuficiencia tricuspidea funcional ↑ Presión Venosa Sistémica Guadalajara, J. F. (2012). Cardiología. CDMX: Mendez Editores.
  • 8.
    CAMBIOS EN AURICULA IZQUIERDA •DILATACIÓN AI • FIBROSIS AI • DESORGANIZACIÓN DE LOA HACES MUSCULARES Man L. D. Braunwald Tratado de Cardiologia 10ma Edicion ELSEVIER
  • 9.
    Cuadro Clínico • Producidospor HT Venocapilar • Disnea de Esfuerzo (CF III NYHA) • Ortopnea • Disnea Paroxística nocturna • Tos • Hemoptisis • Dolor Toracico (15%-- HVD Grave) • Tardíamente puedes presentar insuficiencia cardiaca derecha: • Edema • Plétora Yugular • Hepatomegalia Congestiva • Oliguria • Síntomas por compresión (Dilatación AI): • Nervio laríngeo Recurrente: Disfonía (signo de ortner) • Esófago: Disfagia • Bronquio izquierdo: Colapso pulmonar izquierdo Guadalajara, J. F. (2012). Cardiología. CDMX: Mendez Editores.
  • 10.
    Estratificación del Paciente NishimuraA. 2014 AHA/ACC Guideline for the Management of Patients
  • 11.
    Man L. D.Braunwald Tratado de Cardiologia 10ma Edicion ELSEVIER
  • 12.
    Exploración Física Facies deCovisart (Cara Mitral): Pálido, con rubicundez y cianosis en labios y mejillas • Área Precordial: • Ápex en sitio normal, difícilmente palpable. • Frémito Diastólico (estrechez importante) • Borde Paraesternal Izquierdo: • Levantamiento sistólico sostenido • 2EII: • Choque de Cierre pulmonar palpable (HT Pulmonar) COMPLEJO DE CHAVEZHIPERTENSIÓN PULMONAR Pulso IrregularFibrilación Auricular • EM Grave Crónica • GC Bajo • Vasoconstricción sistemica Guadalajara, J. F. (2012). Cardiología. CDMX: Mendez Editores.
  • 13.
    AUSCULTACIÓN: Ritmo de Duroziez S1Acentuado Valvulas Flexibles Chasquido de Apertura Retumbo mesodiastólico Soplo de Tono grave que se ausculta mejor en el ápex que puede irradiarse a la zona axilar izquierda o zona esternal izquierda inferior . Comienza despues del chasquido. Man L. D. Braunwald Tratado de Cardiologia 10ma Edicion ELSEVIER
  • 14.
    COMPLICACIONE S FIBRILACIÓN AURICULAR 17% de losque tenían 21 a 30 años 45% de los que tenían 31 a 40 años 60% de los que tenían 41 a 50 años 80% de los que tenían más de 51 años. En los pacientes con FA y EM, la supervivencia a los 5 años es solo del 64% comparada con el 85% en los pacientes con FA sin EM. EMBOLIA SISTEMICA ENDOCARDITIS (1% de los casos) Man L. D. Braunwald Tratado de Cardiologia 10ma Edicion ELSEVIER
  • 15.
    Radiografía de Tórax • Corazóngeneralmente de tamaño normal • Perfil izquierdo con 4 arcos • Aorta • Pulmonar abombada • Orejuela Izquierda prominente • Ventrículo Izquierdo Normal • En posiciones oblicuas hay crecimiento de la AI • Signos radiológicos de hipertensión venocapilar Moteado difuso Hilios Pulmonares Esfumados Lineas A de Kerley Lineas B de Kerley Derrame Laminar Infiltrados algodonosos Guadalajara, J. F. (2012). Cardiología. CDMX: Mendez Editores.
  • 21.
    Electrocardiograma • Crecimiento dela AI (P Mitral) • Eje Desviado a la derecha • Signos de crecimiento ventricular derecho • Fibrilación Auricular Guadalajara, J. F. (2012). Cardiología. CDMX: Mendez Editores.
  • 24.
    Ecocardiograma • Permite elDx de Estenosis Mitral • Evalúa la severidad (Gradientes, Orificio valvular, Presión en arteria pulmonar). • Ayuda al Dx de lesiones Valvulares acompañantes. • Valora el Tamaño, condiciones y función del VD (Afectado por aumento de presiones pulmonares). Guadalajara, J. F. (2012). Cardiología. CDMX: Mendez Editores.
  • 25.
    a) 1 b) 2 c)Ambos 1 2
  • 26.
    a) 1 b) 2 c)Ambos 1 2
  • 27.
    a) 1 b) 2 c)Ambos 1 2
  • 28.
    Eje Corto El áreade la válvula mitral se mide mediante planimetría directa de eje corto.
  • 29.
    Baumgartner H. GuíaESC/EACTS 2017 sobre el tratamiento de las valvulopatías
  • 30.
    Baumgartner H. GuíaESC/EACTS 2017 sobre el tratamiento de las valvulopatías
  • 31.
    Baumgartner H. GuíaESC/EACTS 2017 sobre el tratamiento de las valvulopatías
  • 32.
    Man L. D.Braunwald Tratado de Cardiologia 10ma Edicion ELSEVIER
  • 33.
    ¿Qué nos mencionanlas guías acerca del tratamiento?
  • 34.
    Diagnóstico • La ecocardiografíaes el método preferido para el diagnóstico de estenosis mitral. • Evalúa la gravedad y sus consecuencias hemodinámicas • Calcular el área valvular nos da referencia de la gravedad. • La medición de las presiones pulmonares reflejan las consecuencias Guadalajara, J. F. (2012). Cardiología. CDMX: Mendez Editores.
  • 35.
    TRATAMIENTO MÉDICO • DIURÉTICOS • BETABLOQUEADORES • DIGITALICOS • ANTAGONISTA CANALES Ca • ANTICOAGULACIÓN (FA nueva aparición o paroxística) MEJORA LOS SINTOMAS CLINICOS TEMPORALMENTE • Prevención de la fiebre reumática • Prevención de la complicaciones • Vigilancia dela progresión de la enfermedad Guadalajara, J. F. (2012). Cardiología. CDMX: Mendez Editores.
  • 36.
    Tratamiento • EL TRATAMIENTODEBE DECIDIRSE BASANDO EN • Características clínicas • Anatomía de la válvula La indicación de intervención se debe limitar a los pacientes con estenosis clínicamente significativa. COMISUROTOMIA MITRAL PERCUTÁNEA (CMP) CIRUGI A REPARACIÓN O SUSTITUCIÓN Guadalajara, J. F. (2012). Cardiología. CDMX: Mendez Editores.
  • 37.
    Man L. D.Braunwald Tratado de Cardiologia 10ma Edicion ELSEVIER
  • 38.
    Man L. D.Braunwald Tratado de Cardiologia 10ma Edicion ELSEVIER
  • 39.
    Baumgartner H. GuíaESC/EACTS 2017 sobre el tratamiento de las valvulopatías
  • 40.
    Baumgartner H. GuíaESC/EACTS 2017 sobre el tratamiento de las valvulopatías
  • 41.
    CONTRAINDICACIONES CMP Baumgartner H. GuíaESC/EACTS 2017 sobre el tratamiento de las valvulopatías
  • 42.
    Man L. D.Braunwald Tratado de Cardiologia 10ma Edicion ELSEVIER