Tejidos animales
Definición y funciones de los tejidos
conjuntivos
 Los tejidos conjuntivos constituyen una familia de
tejidos que se caracterizan porque sus células están
inmersas en un abundante material intercelular,
llamado: matriz extracelular.
 Existen 2 variedades de células conjuntivas:
- células estables, las que se originan en el mismo
tejido y que sintetizan los diversos componentes de
la matriz extracelular que las rodea
- población de células migratorias, originadas en otros
territorios del organismo, las que llegan a habitar
transitoriamente el tejido conjuntivo.
Existen varios tipos de tejidos conjuntivos
localizados en diversos sitios del organismo,
adaptados a funciones específicas tales
como:
 mantener unidos entre sí a los otros tejidos
del individuo, formando el estroma de
diversos órganos. Es el subtipo llamado
TEJIDO CONJUNTIVO LAXO.
 almacenar grasas, para su uso posterior
como fuente de energía: TEJIDOS
ADIPOSOS.
 formar láminas con una gran resistencia a la
tracción, tal como ocurre en la dermis de la piel, y
en los tendones y ligamentos: TEJIDOS
CONJUNTIVOS FIBROSOS DENSOS
 formar placas o láminas relativamente sólidas,
caracterizadas por una gran resistencia a la
compresión: TEJIDOS CARTILAGINOSOS
 formar el principal tejido de soporte del organismo,
caracterizado por su gran resistencia tanto a la
tracción como a la compresión: TEJIDOS ÓSEOS.
La matriz extracelular es una red organizada, formada por el
ensamblaje de una variedad de polisacáridos y de proteínas
secretadas por las células estables, que determina las propiedades
físicas de cada una de las variedades de tejido conjuntivo
Imágenes de fibroblastos
¿ Qué características se
describen en el material?
Síntesis de colágeno
 El colágeno y la elastina son proteínas estructurales de la
matriz extracelular.
Colágeno
Es la proteína más abundante de la matriz extracelular.
Formado por 3 cadenas α.
Se organiza para formar fibras.
Resiste tensiones mecánicas sin deformarse.
Elastina
Forma parte de las fibras elásticas.
Las fibras elásticas permiten que los tejidos recuperen su forma
orginal tras una distensión mecánica.
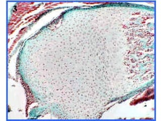
Tejido óseo y cartilaginoso en un hueso
Tejido cartilaginoso
Crecimiento del cartílago
Tejido óseo
Células del tejido óseo
Acción de los osteoclastos
Osteoporosis
Núcleos de osificación
Ordena el proceso de osificación
endocondral o intracartilaginosa o indirecta
 1- generación de matriz ósea debida a los osteoblastos
 2- destrucción de matriz calcificada
 3- hipertrofia y seriación del cartílago
 4- crecimiento del modelo de cartílago
 5- calcificación de la matriz ósea
 6- invasión de vasos sanguíneos con osteoclastos
 7- formación de nuevos sistemas de havers u osteonas
¿Qué factores inciden en la formación de
los huesos?
Parecido no es lo mismo
 Osteogénesis
 Osificación

Fibroblastos

  • 1.
  • 4.
    Definición y funcionesde los tejidos conjuntivos  Los tejidos conjuntivos constituyen una familia de tejidos que se caracterizan porque sus células están inmersas en un abundante material intercelular, llamado: matriz extracelular.  Existen 2 variedades de células conjuntivas: - células estables, las que se originan en el mismo tejido y que sintetizan los diversos componentes de la matriz extracelular que las rodea - población de células migratorias, originadas en otros territorios del organismo, las que llegan a habitar transitoriamente el tejido conjuntivo.
  • 5.
    Existen varios tiposde tejidos conjuntivos localizados en diversos sitios del organismo, adaptados a funciones específicas tales como:  mantener unidos entre sí a los otros tejidos del individuo, formando el estroma de diversos órganos. Es el subtipo llamado TEJIDO CONJUNTIVO LAXO.
  • 7.
     almacenar grasas,para su uso posterior como fuente de energía: TEJIDOS ADIPOSOS.
  • 8.
     formar láminascon una gran resistencia a la tracción, tal como ocurre en la dermis de la piel, y en los tendones y ligamentos: TEJIDOS CONJUNTIVOS FIBROSOS DENSOS
  • 9.
     formar placaso láminas relativamente sólidas, caracterizadas por una gran resistencia a la compresión: TEJIDOS CARTILAGINOSOS
  • 10.
     formar elprincipal tejido de soporte del organismo, caracterizado por su gran resistencia tanto a la tracción como a la compresión: TEJIDOS ÓSEOS.
  • 11.
    La matriz extracelulares una red organizada, formada por el ensamblaje de una variedad de polisacáridos y de proteínas secretadas por las células estables, que determina las propiedades físicas de cada una de las variedades de tejido conjuntivo
  • 12.
    Imágenes de fibroblastos ¿Qué características se describen en el material?
  • 13.
  • 14.
     El colágenoy la elastina son proteínas estructurales de la matriz extracelular. Colágeno Es la proteína más abundante de la matriz extracelular. Formado por 3 cadenas α. Se organiza para formar fibras. Resiste tensiones mecánicas sin deformarse. Elastina Forma parte de las fibras elásticas. Las fibras elásticas permiten que los tejidos recuperen su forma orginal tras una distensión mecánica.
  • 15.
    Tejido óseo ycartilaginoso en un hueso
  • 16.
  • 18.
  • 19.
  • 22.
  • 23.
    Acción de lososteoclastos
  • 24.
  • 26.
  • 30.
    Ordena el procesode osificación endocondral o intracartilaginosa o indirecta  1- generación de matriz ósea debida a los osteoblastos  2- destrucción de matriz calcificada  3- hipertrofia y seriación del cartílago  4- crecimiento del modelo de cartílago  5- calcificación de la matriz ósea  6- invasión de vasos sanguíneos con osteoclastos  7- formación de nuevos sistemas de havers u osteonas
  • 31.
    ¿Qué factores incidenen la formación de los huesos?
  • 32.
    Parecido no eslo mismo  Osteogénesis  Osificación