Luis Fernando Juárez
Vitamina D 
 Es realmente una hormona. 
 Habitualmente no se requiere en la 
dieta. 
 Se puede obtener a través de la leche, 
aceites de pescado, yemas de huevo e 
hígado. 
 Precursor 7-Dehidrocolesterol que se 
sintetiza en el hígado y se encuentra en 
la piel.
1-alfa hidroxilasa 
 Regulada AL ALZA por la PTH y la 
HIPOFOSFATEMIA 
 Convierte el 25-hidroxicolecarciferol en 
1,25Dihidroxi Colecalciferol 
 LA HIPERFOSFATEMIA y LA 1-25,D la 
INHIBEN
Funciones Vitamina D (1,25D) 
 Aumento de la absorción de calcio en el 
intestino. 
 Aumenta la calcemia y aumenta la 
reabsorcion del calcio en el hueso. 
 La 1,25D suprime de forma directa la 
secreción de la PTH.
 El Aumento de la calcemia Suprime la 
HPT , esto inhibe la propia sintesis de 
1,25D y aumenta la concentracion de 
25D
Hormona Paratiroidea 
 Potente mecanismo para el control de 
las concentraciones extracelulares de 
calcio y fosfato porque regula la 
absorción intestinal, la excreción renal y 
el intercambio de estos iones entre el 
liquido extracelular y el hueso.
Hormona Paratiroidea 
 La PTH favorece la resorción de calcio y 
de fosfato en el hueso. 
 Fase rápida: Activa la bomba 
osteocitica de osteoclastos y 
osteoblastos lo que produce osteolisis. 
 Fase lenta: Activación de osteoclastos 
puede durar meses o años, lo que 
puede debilitar la estructura ósea.
Hormona Paratiroidea 
 Reduce la excreción renal de calcio. 
 Aumenta la excreción renal de fosfato. 
 Si no fuera por el efecto de la PTH en 
los riñones, la eliminación continua de 
calcio conllevaría a la desaparición 
completa del calcio óseo y el del liquido 
extracelular.
Raquitismo 
 Enfermedad del hueso en crecimiento 
que se debe a la falta de mineralización 
de la matriz en las placas de 
crecimiento y se produce 
exclusivamente en niños antes de la 
fusión de las epífisis.
Epidemiologia 
 El raquitismo se debe principalmente a 
una deficiencia de vitamina D. (era muy 
frecuente en el norte de Europa y 
EEUU) 
 El raquitismo sigue siendo un problema 
importante en los países en vías de 
desarrollo por casos secundarios a 
deficiencia de vitamina D en la dieta.
Etiología
Manifestaciones Clinicas
Manifestaciones Clínicas 
 1er semestre: En el cráneo 
 2ndo semestre: Tórax 
 3er semestre: Miembros inferiores y 
dentición.
Manifestaciones Clínicas 
 Craneotabes: Ablandamiento de los 
huesos del cráneo (Occipucio y 
parietales). Sensación parecida a 
apretar una pelota de pingpong. 
 Normal en muchos recién nacidos 
desaparece de forma típica a los pocos 
meses de parto.
 Rosario Raquítico 
 Ensanchamiento de las placas del 
crecimiento (hipertrofia de los tobillos y 
muñecas) 
 Hendidura De Harrison (El diafragma 
tira de las costillas ablandadas durante 
la inspiración)
Manifestaciones Clínicas 
 El síntoma principal de los niños con 
raquitismo es bastante variable. 
 Muchos consultan por deformidades 
esqueléticas. 
 Mientras otros desarrollan dificultades 
para deambular por la deformidad y 
debilidad. 
 Otros mas por retraso del crecimiento 
o hipocalemia sintomática.
Diagnostico
Radiología 
 Los cambios raquíticos se visualizan 
con mayor facilidad en los Rayos X 
posteroanteriores de muñeca. 
 Disminución de la opacidad de las 
metafisis. (imagen de doble contorno) 
con una cortical que apenas destaca. 
 (Nelson) metafisis de aspecto 
deshilachado
Radiología 
 En la radiografía del carpo, aumento 
del espacio entre los extremos distales 
del cubito y radio con los 
metacarpianos. 
 Retraso en la aparición de los puntos 
de osificación
Radiología 
 Deformidades , en forma de 
incurvaciones o arqueamientos, en 
especial en extremidades inferiores. 
 Fracturas en tallo verde
Deficiencia de vitamina D 
 Causa mas frecuente de raquitismo de 
forma global. 
 La mayor parte de los pacientes en 
países en desarrollo tiene una 
combinación de factores de riesgo 
que culminan en la deficiencia de la 
vitamina.
Etiologia 
 Aparece principalmente en la lactancia. 
 Por combinación de síntesis cutánea e 
ingesta inadecuadas. 
 El transporte transplacentario de 25-D 
aporta lo suficiente para los primeros 
dos meses de vida.
Etiología 
 Los lactantes que reciben pecho son 
dependientes de la síntesis cutánea de 
vitamina D ya que la leche materna 
tiene bajo contenido de esta vitamina. 
 Factores de riesgo: 
 Pigmentación 
 Invierno 
 Costumbres 
 Temor a cáncer 
 Dietas Veganas
Etiología 
 Los mismos factores de riesgo pueden 
aparecer en la madre, así disminuyendo 
el aporte en el transporte 
transplacentario de vitamina D.
Hallazgos de Laboratorio 
Puede haber acidosis metabólica ya que la PTH induce la 
excreción de bicarbonato a nivel renal
Tratamiento 
 Dos estrategias: 
 300,000-600,000 UI de vit D orales o IM en 
forma de 2-4 dosis en 1 dia. (pauta de 
choque). 
 2,000-5,000 U/dia en 4-6 semanas. 
 Seguimiento 400UI/dia (menores 1 año) 
600UI/dia (mayores de 1 año)
Tratamiento 
 Aporte adecuado de calcio y fosforo en 
la dieta, mediante leche, formula u otros 
productos lácteos.
Fisiopatología 
 Se desarrolla cuando los niños son 
destestados de la formula o leche materna. 
 Menos de 200mg/dia 
 La dieta que se basa en cereales y hojas 
verdes es rica en fitato, oxalato y fosfato, 
que reducen la absorción de calcio en la 
dieta.
Fisiopatología 
 Se observa una mal absorción de calcio 
en la enfermedad celiaca, 
abetalipoproteinemia intestinal y tras la 
resección del intestino delgado. 
 Mal absorción simultanea de vitamina. D
Laboratorios 
 Ca Sérico: Normal o disminuido. 
 Forofo orgánico: Disminuido 
 PTH: Aumentada 
 FA: Aumentada 
 Ca Orina: Disminuido 
 25-D: Normal 
 1-25-D: Aumentada
Tratamiento 
 Calcio Elemental 
 700 mg/dia (1-3 años) 
 1000 mg/dia (4-8 años) 
 1300 mg/dia (9-18 años) 
 Suplementos de vitamina D.

Fisiología vitamina d y Raquitismo

  • 1.
  • 3.
    Vitamina D Es realmente una hormona.  Habitualmente no se requiere en la dieta.  Se puede obtener a través de la leche, aceites de pescado, yemas de huevo e hígado.  Precursor 7-Dehidrocolesterol que se sintetiza en el hígado y se encuentra en la piel.
  • 6.
    1-alfa hidroxilasa Regulada AL ALZA por la PTH y la HIPOFOSFATEMIA  Convierte el 25-hidroxicolecarciferol en 1,25Dihidroxi Colecalciferol  LA HIPERFOSFATEMIA y LA 1-25,D la INHIBEN
  • 8.
    Funciones Vitamina D(1,25D)  Aumento de la absorción de calcio en el intestino.  Aumenta la calcemia y aumenta la reabsorcion del calcio en el hueso.  La 1,25D suprime de forma directa la secreción de la PTH.
  • 9.
     El Aumentode la calcemia Suprime la HPT , esto inhibe la propia sintesis de 1,25D y aumenta la concentracion de 25D
  • 12.
    Hormona Paratiroidea Potente mecanismo para el control de las concentraciones extracelulares de calcio y fosfato porque regula la absorción intestinal, la excreción renal y el intercambio de estos iones entre el liquido extracelular y el hueso.
  • 14.
    Hormona Paratiroidea La PTH favorece la resorción de calcio y de fosfato en el hueso.  Fase rápida: Activa la bomba osteocitica de osteoclastos y osteoblastos lo que produce osteolisis.  Fase lenta: Activación de osteoclastos puede durar meses o años, lo que puede debilitar la estructura ósea.
  • 16.
    Hormona Paratiroidea Reduce la excreción renal de calcio.  Aumenta la excreción renal de fosfato.  Si no fuera por el efecto de la PTH en los riñones, la eliminación continua de calcio conllevaría a la desaparición completa del calcio óseo y el del liquido extracelular.
  • 21.
    Raquitismo  Enfermedaddel hueso en crecimiento que se debe a la falta de mineralización de la matriz en las placas de crecimiento y se produce exclusivamente en niños antes de la fusión de las epífisis.
  • 22.
    Epidemiologia  Elraquitismo se debe principalmente a una deficiencia de vitamina D. (era muy frecuente en el norte de Europa y EEUU)  El raquitismo sigue siendo un problema importante en los países en vías de desarrollo por casos secundarios a deficiencia de vitamina D en la dieta.
  • 23.
  • 25.
  • 27.
    Manifestaciones Clínicas 1er semestre: En el cráneo  2ndo semestre: Tórax  3er semestre: Miembros inferiores y dentición.
  • 28.
    Manifestaciones Clínicas Craneotabes: Ablandamiento de los huesos del cráneo (Occipucio y parietales). Sensación parecida a apretar una pelota de pingpong.  Normal en muchos recién nacidos desaparece de forma típica a los pocos meses de parto.
  • 29.
     Rosario Raquítico  Ensanchamiento de las placas del crecimiento (hipertrofia de los tobillos y muñecas)  Hendidura De Harrison (El diafragma tira de las costillas ablandadas durante la inspiración)
  • 32.
    Manifestaciones Clínicas El síntoma principal de los niños con raquitismo es bastante variable.  Muchos consultan por deformidades esqueléticas.  Mientras otros desarrollan dificultades para deambular por la deformidad y debilidad.  Otros mas por retraso del crecimiento o hipocalemia sintomática.
  • 33.
  • 34.
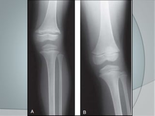
    Radiología  Loscambios raquíticos se visualizan con mayor facilidad en los Rayos X posteroanteriores de muñeca.  Disminución de la opacidad de las metafisis. (imagen de doble contorno) con una cortical que apenas destaca.  (Nelson) metafisis de aspecto deshilachado
  • 35.
    Radiología  Enla radiografía del carpo, aumento del espacio entre los extremos distales del cubito y radio con los metacarpianos.  Retraso en la aparición de los puntos de osificación
  • 36.
    Radiología  Deformidades, en forma de incurvaciones o arqueamientos, en especial en extremidades inferiores.  Fracturas en tallo verde
  • 43.
    Deficiencia de vitaminaD  Causa mas frecuente de raquitismo de forma global.  La mayor parte de los pacientes en países en desarrollo tiene una combinación de factores de riesgo que culminan en la deficiencia de la vitamina.
  • 44.
    Etiologia  Apareceprincipalmente en la lactancia.  Por combinación de síntesis cutánea e ingesta inadecuadas.  El transporte transplacentario de 25-D aporta lo suficiente para los primeros dos meses de vida.
  • 45.
    Etiología  Loslactantes que reciben pecho son dependientes de la síntesis cutánea de vitamina D ya que la leche materna tiene bajo contenido de esta vitamina.  Factores de riesgo:  Pigmentación  Invierno  Costumbres  Temor a cáncer  Dietas Veganas
  • 46.
    Etiología  Losmismos factores de riesgo pueden aparecer en la madre, así disminuyendo el aporte en el transporte transplacentario de vitamina D.
  • 47.
    Hallazgos de Laboratorio Puede haber acidosis metabólica ya que la PTH induce la excreción de bicarbonato a nivel renal
  • 48.
    Tratamiento  Dosestrategias:  300,000-600,000 UI de vit D orales o IM en forma de 2-4 dosis en 1 dia. (pauta de choque).  2,000-5,000 U/dia en 4-6 semanas.  Seguimiento 400UI/dia (menores 1 año) 600UI/dia (mayores de 1 año)
  • 49.
    Tratamiento  Aporteadecuado de calcio y fosforo en la dieta, mediante leche, formula u otros productos lácteos.
  • 51.
    Fisiopatología  Sedesarrolla cuando los niños son destestados de la formula o leche materna.  Menos de 200mg/dia  La dieta que se basa en cereales y hojas verdes es rica en fitato, oxalato y fosfato, que reducen la absorción de calcio en la dieta.
  • 52.
    Fisiopatología  Seobserva una mal absorción de calcio en la enfermedad celiaca, abetalipoproteinemia intestinal y tras la resección del intestino delgado.  Mal absorción simultanea de vitamina. D
  • 53.
    Laboratorios  CaSérico: Normal o disminuido.  Forofo orgánico: Disminuido  PTH: Aumentada  FA: Aumentada  Ca Orina: Disminuido  25-D: Normal  1-25-D: Aumentada
  • 54.
    Tratamiento  CalcioElemental  700 mg/dia (1-3 años)  1000 mg/dia (4-8 años)  1300 mg/dia (9-18 años)  Suplementos de vitamina D.