UNIVERSIDAD VERACRUZANA
FACULTAD DE MEDICINA
CAMPUS POZA RICA
FOTODERMATITIS
JUAN PABLO GARCÉS AMARO
ALERGOLOGIA-501
CASO 1
PACIENTE MASCULINO DE 45 AÑOS CON LESIONES SIMILARES A QUEMADURA
SOLAR. REFIERE QUE PREVIO A ESTO SE APLICO DICLOFENACO TOPICO EN EL
ANTEBRAZO, POR DOLOR, TENIA APROXIMADAMENTE 10 MINUTOS QUE SE
EXPUSO AL SOL Y COMENZO LA SINTOMATOLOGIA.
AHF Y APP SIN IMPORTANCIA
EF:CONCIENTE,ORIENTADO, CARDIORESPIRATORIO Y ABDOMEN NORMALES. CARA
POSTERIOR DE EXTREMIDAD SUPERIOR DERECHA CON LESION MONOMORFA,
ERITEMA INTENSO CON VESICULACION Y LIGERO EDEMA
QUE EXAMENES DE LABORATORIO
COMPLEMENTARIOS PEDIRIAS?
A. Biometría Hemática
B. Biopsia
C. Ninguno, solo signos y síntomas
QUE EXAMENES DE LABORATORIO
COMPLEMENTARIOS PEDIRIAS?
A. Biometría Hemática
B. Biopsia
C. Ninguno, solo signos y síntomas
Probable diagnostico…
a) Dermatitis fotoalérgica
b) Erupción polimórfica lumínica
c) Dermatitis fototoxica
d) Urticaria solar
Probable diagnostico…
a) Dermatitis fotoalérgica
b) Erupción polimórfica lumínica
c) Dermatitis fototoxica
d) Urticaria solar
Que tratamiento le darías al paciente
a) Hidratación IV
b) V.S.O
c) Hidratantes + esteroides tópicos
d) Analgesicos + Antinflamatorios
Que tratamiento le darías al paciente
a) Hidratación IV
b) V.S.O
c) Hidratantes + esteroides tópicos
d) Analgesicos + Antinflamatorios
CASO 2
• PACIENTE FEMENINA DE 65 AÑOS QUE ACUDE A CONSULTA POR
PRESENTAR IRRITACION Y PICAZON EN EL CUELLO DESPUES DE LA
APLICACIÓN DE UN COSMETICO, PUES ACUDIA A UNA BODA EN LA
PLAYA. REFIERE NO LE HABIA SUCEDIDO ANTES CON ESTE
COSMETICO Y QUE LA IRRITACION COMENZO EN EL AREA CENTRAL
DEL CUELO Y SE EXTENDIO A SUS LATERALES, TAMBIEN REFIERE QUE
LA IRRITACION SE VIO UN DIA DESPUES DE QUE SE APLICO EL
COSMETICO.
• AHF: RINITIS ALERGICA EN MADRE Y PADRE
• APP: RINITIS ALERGICA + HTA
• EF: PACIENTE CONCIENTE, ORIENTADA, CARDIORESPIRATORIO SIN
COMPROMISO, ABDOMEN BLANDO DEPRESIBLE NO DOLOROSO A LA
PALPACION, SIGNOS VITALES ESTABLES.
• CUELLO CON LESIONES ECCEMATOSAS POLIMORFAS Y ERITEMA
QUE LABORATORIOS PEDIRIAS…
a) IgE SERICA
b) BIOPSIA
c) PRUEBAS DE PARCHE
d) BIOMETRIA HEMATICA
QUE LABORATORIOS PEDIRIAS…
a) IgE SERICA
b) BIOPSIA
c) PRUEBAS DE PARCHE
d) BIOMETRIA HEMATICA
PROBABLE DIAGNOSTICO…
a) DERMATITIS FOTOTOXICA
b) ERUPCION POLIMORFICA LUMINICA
c) URTICARIA SOLAR
d) DERMATITIS FOTOALERGICA
PROBABLE DIAGNOSTICO…
a) DERMATITIS FOTOTOXICA
b) ERUPCION POLIMORFICA LUMINICA
c) URTICARIA SOLAR
d) DERMATITIS FOTOALERGICA
QUE TRATAMIENTO LE DARIAS
a) ANTIHISTAMINICOS + ANALGESICOS
b) ESTEROIDES TOPICOS
c) SOLAMENTE HIDRATACION
d) ANTIBIOTICOTERAPIA
QUE TRATAMIENTO LE DARIAS
a) ANTIHISTAMINICOS + ANALGESICOS
b) ESTEROIDES TOPICOS
c) SOLAMENTE HIDRATACION
d) ANTIBIOTICOTERAPIA
TIPOS DE FOTODERMATITIS
Dermatosis fotoagravadas
Lupus eritematoso
Dermatomiositis
Rosácea
Psoriasis
Dermatitis seborreica
Dermatitis atópica
Penfigoide ampolloso
Pénfigo foliáceo
Enfermedad de Darier
Idiopáticas (o
inmunológicamente
mediadas)
Erupción polimorfa lumínica
Hidroa vacciniforme
Urticaria solar
Dermatitis crónica actínica
Prurigo actínico
Fotodermatosis inducida
por agentes químicos
-Exógenas
Fototoxicidad
Fotoalergia
-Endógenas
Porfirias cutáneas
Defectos en la reparación del DNA
Xeroderma pigmentoso
Síndrome de Cokayne
Síndrome de Bloom
Síndrome de Rothmund-Thompson
Síndrome de Kindler
Tricotiodistrofia
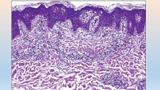
DERMATITIS FOTOTOXICA
• PREVALENCIA ALTA,MAS EN ANCIANOS
• REACCION A LA PRIMERA EXPOSICION
• LATENCIA DE MINUTOS A HORAS
• DOSIS REQUERIDA GRANDE
• ESPECTRO DE ACCION ESTRECHO (UVA1)
• NO HAY TENDENCIA A EXTENDERSE
• DAÑO CELULAR DIRECTO
• QUERATINOCITOS NECROTICOS
DIAGNOSTICO
• Antecedente
• síntomas y signos
• se confirma con la mejoría de las
lesiones al evitar al irritante que
probablemente sea el responsable
TRATAMIENTO
• Hidratantes tópicos ricos en lípidos.
• Una piel seca y con prurito: emoliente
• Para una piel seca o ligeramente
eccematosa: crema
• Para una piel moderada a severamente
seca: ungüento
• Utilizar esteroides tópicos.
CARIOLISIS, CARIOREXIS
PICNIOSIS
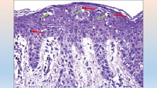
DERMATITIS FOTOALERGICA
• PREVALENCIA BAJA
• NO REACCION EN 1ERA EXPOSICION
• 24-48 HRS
• DOSIS PEQUEÑA
• ESPECTRO DE ACCION ALTO , INCLUYE UVA
• LESIONES ECCEMATOSAS
• PICOR
• TENDENSIA A EXTENDERSE
• HIPERSENSIBILIDAD RETARDADA (TIPO IV)
• DERMATITIS ESPONGIOTICA
DIAGNOSTICO
Las pruebas del parche
La topografía más adecuada es la parte superior de la
espalda.
No deberá tener quemadura solar en esta área ni aplicarse
corticoesteroides tópicos una semana previa
Deben evitarse los corticoesteroides sistémicos durante un
mes
TRATAMIENTO
Esteroides tópicos de mediana y alta potencia.
La potencia del esteroide se basara en la topografía
Esteroide de baja potencia en cara, orejas, párpados, genitales
y pliegues.
Esteroide de mediana (intermedia) potencia: tronco,
extremidades y piel cabelluda.
Esteroide de alta potencia: palmas, plantas y uñas.
CROMOFOROS

Fotodermatitis

  • 1.
    UNIVERSIDAD VERACRUZANA FACULTAD DEMEDICINA CAMPUS POZA RICA FOTODERMATITIS JUAN PABLO GARCÉS AMARO ALERGOLOGIA-501
  • 2.
    CASO 1 PACIENTE MASCULINODE 45 AÑOS CON LESIONES SIMILARES A QUEMADURA SOLAR. REFIERE QUE PREVIO A ESTO SE APLICO DICLOFENACO TOPICO EN EL ANTEBRAZO, POR DOLOR, TENIA APROXIMADAMENTE 10 MINUTOS QUE SE EXPUSO AL SOL Y COMENZO LA SINTOMATOLOGIA. AHF Y APP SIN IMPORTANCIA EF:CONCIENTE,ORIENTADO, CARDIORESPIRATORIO Y ABDOMEN NORMALES. CARA POSTERIOR DE EXTREMIDAD SUPERIOR DERECHA CON LESION MONOMORFA, ERITEMA INTENSO CON VESICULACION Y LIGERO EDEMA
  • 3.
    QUE EXAMENES DELABORATORIO COMPLEMENTARIOS PEDIRIAS? A. Biometría Hemática B. Biopsia C. Ninguno, solo signos y síntomas
  • 4.
    QUE EXAMENES DELABORATORIO COMPLEMENTARIOS PEDIRIAS? A. Biometría Hemática B. Biopsia C. Ninguno, solo signos y síntomas
  • 6.
    Probable diagnostico… a) Dermatitisfotoalérgica b) Erupción polimórfica lumínica c) Dermatitis fototoxica d) Urticaria solar
  • 7.
    Probable diagnostico… a) Dermatitisfotoalérgica b) Erupción polimórfica lumínica c) Dermatitis fototoxica d) Urticaria solar
  • 8.
    Que tratamiento ledarías al paciente a) Hidratación IV b) V.S.O c) Hidratantes + esteroides tópicos d) Analgesicos + Antinflamatorios
  • 9.
    Que tratamiento ledarías al paciente a) Hidratación IV b) V.S.O c) Hidratantes + esteroides tópicos d) Analgesicos + Antinflamatorios
  • 10.
    CASO 2 • PACIENTEFEMENINA DE 65 AÑOS QUE ACUDE A CONSULTA POR PRESENTAR IRRITACION Y PICAZON EN EL CUELLO DESPUES DE LA APLICACIÓN DE UN COSMETICO, PUES ACUDIA A UNA BODA EN LA PLAYA. REFIERE NO LE HABIA SUCEDIDO ANTES CON ESTE COSMETICO Y QUE LA IRRITACION COMENZO EN EL AREA CENTRAL DEL CUELO Y SE EXTENDIO A SUS LATERALES, TAMBIEN REFIERE QUE LA IRRITACION SE VIO UN DIA DESPUES DE QUE SE APLICO EL COSMETICO. • AHF: RINITIS ALERGICA EN MADRE Y PADRE • APP: RINITIS ALERGICA + HTA • EF: PACIENTE CONCIENTE, ORIENTADA, CARDIORESPIRATORIO SIN COMPROMISO, ABDOMEN BLANDO DEPRESIBLE NO DOLOROSO A LA PALPACION, SIGNOS VITALES ESTABLES. • CUELLO CON LESIONES ECCEMATOSAS POLIMORFAS Y ERITEMA
  • 11.
    QUE LABORATORIOS PEDIRIAS… a)IgE SERICA b) BIOPSIA c) PRUEBAS DE PARCHE d) BIOMETRIA HEMATICA
  • 12.
    QUE LABORATORIOS PEDIRIAS… a)IgE SERICA b) BIOPSIA c) PRUEBAS DE PARCHE d) BIOMETRIA HEMATICA
  • 14.
    PROBABLE DIAGNOSTICO… a) DERMATITISFOTOTOXICA b) ERUPCION POLIMORFICA LUMINICA c) URTICARIA SOLAR d) DERMATITIS FOTOALERGICA
  • 15.
    PROBABLE DIAGNOSTICO… a) DERMATITISFOTOTOXICA b) ERUPCION POLIMORFICA LUMINICA c) URTICARIA SOLAR d) DERMATITIS FOTOALERGICA
  • 16.
    QUE TRATAMIENTO LEDARIAS a) ANTIHISTAMINICOS + ANALGESICOS b) ESTEROIDES TOPICOS c) SOLAMENTE HIDRATACION d) ANTIBIOTICOTERAPIA
  • 17.
    QUE TRATAMIENTO LEDARIAS a) ANTIHISTAMINICOS + ANALGESICOS b) ESTEROIDES TOPICOS c) SOLAMENTE HIDRATACION d) ANTIBIOTICOTERAPIA
  • 18.
    TIPOS DE FOTODERMATITIS Dermatosisfotoagravadas Lupus eritematoso Dermatomiositis Rosácea Psoriasis Dermatitis seborreica Dermatitis atópica Penfigoide ampolloso Pénfigo foliáceo Enfermedad de Darier Idiopáticas (o inmunológicamente mediadas) Erupción polimorfa lumínica Hidroa vacciniforme Urticaria solar Dermatitis crónica actínica Prurigo actínico Fotodermatosis inducida por agentes químicos -Exógenas Fototoxicidad Fotoalergia -Endógenas Porfirias cutáneas Defectos en la reparación del DNA Xeroderma pigmentoso Síndrome de Cokayne Síndrome de Bloom Síndrome de Rothmund-Thompson Síndrome de Kindler Tricotiodistrofia
  • 22.
    DERMATITIS FOTOTOXICA • PREVALENCIAALTA,MAS EN ANCIANOS • REACCION A LA PRIMERA EXPOSICION • LATENCIA DE MINUTOS A HORAS • DOSIS REQUERIDA GRANDE • ESPECTRO DE ACCION ESTRECHO (UVA1) • NO HAY TENDENCIA A EXTENDERSE • DAÑO CELULAR DIRECTO • QUERATINOCITOS NECROTICOS DIAGNOSTICO • Antecedente • síntomas y signos • se confirma con la mejoría de las lesiones al evitar al irritante que probablemente sea el responsable TRATAMIENTO • Hidratantes tópicos ricos en lípidos. • Una piel seca y con prurito: emoliente • Para una piel seca o ligeramente eccematosa: crema • Para una piel moderada a severamente seca: ungüento • Utilizar esteroides tópicos.
  • 25.
  • 27.
    DERMATITIS FOTOALERGICA • PREVALENCIABAJA • NO REACCION EN 1ERA EXPOSICION • 24-48 HRS • DOSIS PEQUEÑA • ESPECTRO DE ACCION ALTO , INCLUYE UVA • LESIONES ECCEMATOSAS • PICOR • TENDENSIA A EXTENDERSE • HIPERSENSIBILIDAD RETARDADA (TIPO IV) • DERMATITIS ESPONGIOTICA DIAGNOSTICO Las pruebas del parche La topografía más adecuada es la parte superior de la espalda. No deberá tener quemadura solar en esta área ni aplicarse corticoesteroides tópicos una semana previa Deben evitarse los corticoesteroides sistémicos durante un mes TRATAMIENTO Esteroides tópicos de mediana y alta potencia. La potencia del esteroide se basara en la topografía Esteroide de baja potencia en cara, orejas, párpados, genitales y pliegues. Esteroide de mediana (intermedia) potencia: tronco, extremidades y piel cabelluda. Esteroide de alta potencia: palmas, plantas y uñas.
  • 34.