Fracturas de Tobillo

Manzano García Sofía Mahalet
                Dr. Balderas
             Primavera 2012
TOBILLO
   Conocida como ―Articulación
    tibioastragalina‖
   Articulación sinovial
        Tipo bisagra (trocleartrosis)
       La sindesmosis  articulación fibrosa 
        une huesos separados por una amplia
        distancia con una lámina de tejido fibroso
         LIGAMENTOS
Anatomía
   La articulación esta constituida por:
        Extremidad distal de la tibia  maléolo medial
        Extremidad proximal del peroné  maléolo externo
        Parte superior del astrágalo




                                                      El peroné y la tibia
                                                      permiten el mov.
                                                      hacia delante y
                                                      hacia atrás. Y el
                                                      astrágalo soporta la
                                                      transmisión de
                                                      fuerzas del peso
                                                      corporal.
   Las extremidades distales de la tibia y del peroné crean
    una ―mortaja‖
       Encaja la tróclea del astrágalo




                                          La mortaja tibio-astragalina




         Vista posterior
   Los movimientos principales:
       Dorsiflexión—20°
       Flexión plantar—50°




   Inversión
       Flexión plantar
       Supinación
       Rotación interna del pie
   Eversión                       Escasa
                                   amplitud
       Flexión dorsal
       Pronación
       Rotación externa del pie
   Cinemática de la articulación
   Articulación inestable
 Ligamentos
colaterales
laterales
Músculos
   MÚSCULOS EXTRÍNSECOS
       Consiguen los movimientos de flexión dorsal, flexión
        plantar, inversión y eversión del pie.



   MÚSCULOS INTRÍNSECOS
       Consiguen movimiento de los dedos
        flexión, extensión, abducción y aducción.
Músculos
Arterias
Nervios
   La inervación del pie está dada por 5 nervios
    terminales y 4 de ellos son ramas del nervio ciático
       N. tibial anterior o peroneo profundo
       N. musculocutáneo o peroneo superficial
       N. safeno externo o sural
       N. tibial posterior
       Safeno interno (rama terminal)
Definición “Fractura de Tobillo”
Fractura que involucra uno, dos o incluso los 3 huesos
  que conforman la articulación del tobillo.



  Medial                                    Lateral



            ‗MORTAJA TIBIO-PERONÉA‘
Mecanismo de lesión

   DIRECTO

   INDIRECTOS: rotación

       Supinación
       Pronación
Etiología
   Su etiología es casi siempre un traumatismo indirecto de
    baja energía.
        Ocasionado con frecuencia durante la práctica deportiva o en
         caídas en terreno irregular
        Accidentes automovilísticos
        Lesiones por arma de fuego
        CAIDA CON TRAUMA DE COMPRESION Y ROTACION
   Zapatillas

   Obesidad

   Todas las edades pero principalmente
    3ª edad

   Deportistas
Epidemiología

   Unimaleolares 66%

   Bimaleolares 25%

   Trimaleolares 7%

   Abiertas 2%
   Pueden ser:
          Unimaleolares  maléolo medial o del peroneo
          Bimaleolares  ambos maléolos
          Trimaleorales  maléolo posterior (reborde posterior de la tibia)
Clasificaciones en Adultos
 Weber
          Nivel de la fractura en peroné


 Lauge   – Hansen
          Mecanismo del trauma
Clasificación de Lauge-Hansen
 Mecanismo de producción de la fractura
 4 tipos principales:
        1)Supinación-Aducción
        2)Pronación-Abducción
        3)Pronación-Rotación externa
        4)Supinación-Rotación externa

       NOTA:
   La primera palabra (supinación o pronación) es la posición del
    pie en el momento del accidente
   La segunda palabra es la dirección o sentido de la fuerza
    traumática (deformante)
1)Supinación-Aducción




    ESTADIO 1
    Ruptura del
     ligamento externo
    Avulsión del maléolo
    externo
    Fractura horizontal
    Infra-ligamentaria                    ESTADIO 2
                               Fractura del maléolo interno
2)Pronación-Aducción




    Estadio 1            Estadio 2
                                                Estadio 3
                    
                         Ruptura de los     
   Fractura         
                         ligamentos
    horizontal del       peroneo-tibiales      Fractura
    maléolo
    interno)
                        Ruptura de la
                         membrana ínter-
                                                del peroné
                         ósea
3)Pronación-Rotación externa
(supraligamentarias)




   Estadio   1: Fractura del maléolo interno
   Estadio   2: Ruptura del ligamento peroneo-tibial anterior
   Estadio   3: Fractura del peroné, oblicua de abajo hacia posterior
    (alta o                baja)
   Estadio   4: Ruptura del ligamento peroneo-tibial post, membrana
    inter-                 ósea
4)Supinación-Rotación externa
(transligamentarias)
                              Estadio 1
                              Ruptura del ligamento
                               peroneo-tibial anterior
                               Avulsión de su inserción

                              Estadio 2
                              Fractura espiroidea del
                               maléolo externo
                              Ruptura del ligamento
                               peroneo-tibial posterior

                              Estadio 3
                              Fractura del maléolo
                               interno
Clasificación de
Danis-Weber
   Fundamento
    anatómico del trazo
    fracturario:
       Suprasindesmótica-- C
       Transindesmótica--B
       Infrasindesmótica--A

   El 50 % de las
    transindesmóticas son
    quirúrgicas

   Todas las
    infrasindesmóticas son
   Infrasindesmotica o tipo A
        Fractura transversa del peroné por debajo de la sindesmosis
        El maléolo medial puede estar intacto
        Mecanismo de producción es por inversión
        Son fracturas generalmente transversas.


                                              Todas son
                                               quirúrgica
                                                 s para
                                               evitar que
                                               se abra la
                                                mortaja
                                               Tornillo
   Transindesmotica o tipo B
       El peroné tiene fractura oblicua ascendente
       Se puede acompañar de fractura transversa del maléolo medial
       El mecanismo es por eversión
       El trazo de fractura inicia a nivel del plafón tibial extendiéndose
        proximalmente de manera oblicua o espiroidéa
       El 50% de éstas son quirúrgicas
       Clavos
   Suprasindesmotica o tipo C
      El peroné se encuentra fracturado por arriba de la sindesmosis
     El maléolo medial presenta fractura transversa
     Mecanismo es por abducción-rotación
     Si compromete sindesmosis y membrana interósea compromete
       la estabilidad del tobillo
     Si no compromete la estabilidad
    o la mortaja, puede realizarse un
    tratamiento conservador
     Yeso corto
Cuadro clínico
   Dolor intenso
   Paciente no puede apoyar
    el tobillo afectado
   Cojera antálgica: Cojera
    adoptada para evitar el
    dolor sobre las partes del
    cuerpo consistente en un
    paso corto y otro largo
    para disminuir el tiempo
    de carga sobre el lado en
    que en la articulación o
    segmento está afectado.
   Tumefacción variable
   Deformidad
   Inflamación
Exploración
   Pulsos pedio
   Tibial posterior
   Llenado capilar
   Temperatura de la extremidad
   Sensibilidad distal.


Descartar lesión vascular y
Nerviosa  RARA
   Diagnóstico
        Historia clínica
        Radiografías AP, lateral y oblicuas
        Rx comparativas *
Valoración radiográfica
   SUPERPOSICIÓN TIBIOPERONÉA(la situación
    posterior del peroné con relación a la tibia determina que
    al tomar los Rx AP se observe sobreposición de los dos
    huesos)

       > 10 mm
           < Lesión de la SINDESMOSIS (permite que se abra la mortaja
            tibio-peronéa)


   CLARO TIBIO-PERONÉO (Espacio existente entre el
    borde medial del peroné al nivel de la
    sindesmosis, a 1 cm por arriba del maleolo de la
    Tibia)
       < de 5 mm - 6 mm
   Angulo talo-crural – es el ángulo existente entre
    una línea paralela a la superficie articular del
    ―plafón‖ tibial y otra línea que una los puntos más
    distales de los dos maléolos. Este ángulo refleja la
    diferencia de longitudes del maléolo externo y
    medial y su valor oscila entre los 8 y los 15 grados.
    Cuando el valor es menor se debe sospechar
    acortamiento del peroné por fractura en el mismo.
Tipos de Fractura
Tipos               de          fracturas

 Aisladas de       Maléolo
                                   Pilón tibial
maléolo externo    posterior




 Aisladas de
maléolo externo
                  Lesión de la
 + ruptura del                     Astrágalo
                  sindesmosis
  ligamento
   deltoideo
Maisonne
              uve




Tillaux-
Chaput     Variantes    Bordillo




            LeForte-
            Wagstaffe
   AISLADAS DE MALEOLO EXTERNO

       Las más comunes
       No hay lesión de maleolo medial o ligamento Deltoideo
           TRATAMIENTO. Conservador
               Yeso de 6 – 8 semanas
   AISLADAS DE MALEOLO EXTERNO + LESIÓN
    DE LIGAMENTO DELTOIDEO

       Fractura BIMALEOLAR
       Rotura completa: Sensibilidad medial, desplazamiento
        lateral de astrágalo

       Tratamiento. Si compromete al peroné:
           Estabilización quirúrgica + inmovilización por 3 semanas en dorsiflexión.
   FRACTURA DEL MALEOLO POSTERIOR
       Por rotación externa o abducción
       Mecanismo
            Avulsión de ligamentos posterolaterales de Tibia
           Impacto de astrágalo en rotación externa contra el borde posterior
            de la Tibia

           Tratamiento: Con o sin fijación interna
   LESIÓN DE LA SINDESMOSIS
       Mecanismo: Abducción o rotación
        externa del astrágalo sobre la mortaja


       Estabilidad del tobillo:
           Complejo medial (el maléolo interno y el
            ligamento deltoideo)
           Complejo lateral (el maléolo externo y el
            complejo ligamentario externo)
           Complejo sindesmótico.              TRATAMIENTO:

               INESTABILIDAD                       Inestable: Fijación
                                                     transindesmal + Reducción de
                                                     fractura maleolar + Yeso 6 – 8
                                                     semanas
   FRACTURA DEL PILÓN TIBIAL
   Una fractura del pilón afecta a la superficie articular de la
    tibia.

       Tipo I. Fractura no desplazada, en forma de T de la parte distal
        de la tibia que se extiende a la articulación

       Tipo II . I + desplazamiento de los componentes
        intraarticulares

       Tipo III. Fractura compleja, intraarticular, multifragmentaria.

       Tipo V. Extensión Diafisiaria

       Tipo IV. Extensión metafisiaria
   Tratamiento. Reducción quirúrgica y estabilización del
    peroné + Yeso + Movilización temprana
   FRACTURA DE ASTRÁGALO

       `Fracturas del aviador‘
       Mecanismo: Hiperflexión dorsal

       Desplazadas: Reducción abierta y
        osteosíntesis
       No desplazadas: Conservador
Variantes
   Maisonneuve. Fractura del peroné proximal asociado a una
    ruptura de la sindesmosis con subluxación lateral del astrágalo.


   Bordillo. Avulsión posterior tibia

   LeForte-Wagstaffe. Avulsión de tuberosidad
    peronea anterior

   Tillaux-Chaput. Avulsión de borde tibial anterior
Lesiones asociadas

               Fractura abierta


       Lesión vásculo nerviosa (RARA)


      Rotura tendinosa (tibial posterior y
                   anterior)


          Síndrome compartimental
Tratamiento
Quirúrgico


Conservador

              • Webber A-B-C
 Específico   • Uni, bi, tri
                maleolares
Tratamiento conservador
   Fracturas estables
   No desplazadas
   Con sindesmosis intacta

   Yeso con el pie en 90° durante 6-8
    semanas

   Fracturas inestables con reducción
    anatómica estable

   Fracturas de peroné más lesión
    interna con astrágalo centrado

   Radiografías semanales durante 4
    semanas
   Yeso largo Incluye todo el miembro
    inferior, que abarca por arriba desde el
    pliegue inguinal, región troncantereana
    y, por detrás a nivel del pliegue glúteo.
    Termina en su extremo distal incluyendo
    todo el pie; su límite inferior, en la cara
    dorsal del pie, llega hasta la raíz de los
    dedos y por cara plantar hasta 1 a 2 cm
    más allá de la punta de los dedos
   Rodilla en discreta flexión, muy bien
    modelado por sobre los cóndilos
    femorales, en torno a la rótula, bajo los
    macizos de los platillos
    tibiales, tuberosidad anterior de la
    tibia, maleolos peroneo y tibial, marcando
    cuidadosamente los surcos pre, retro e
    inframaleolares. Igual cuidado debe
    tenerse en el moldeado del arco plantar.
   Técnica
   El enfermo colocado en la mesa traumatológica, queda con todo el
    miembro inferior en el aire, sostenido en el soporta-pelvis y por un
    ayudante a nivel del pie.
   En ciertos casos, se sostiene la angulación de la rodilla, pasando un
    vendaje impregnado en vaselina sólida que mantiene a modo de
    hamaca el hueco poplíteo. El vendaje se retira apenas el yeso inicia
    el fragüe.
   Zonas que deben ser almohadilladas:
   Trocánter mayor, rodilla (rótula), tobillos (maléolos) y talón.
   Las vendas circulares se ponen con rapidez, y el modelaje debe
    iniciarse de inmediato.
   Es una técnica que requiere destreza y práctica. Hay que cuidar
    simultáneamente el ángulo de la rodilla, modelado de los cóndilos
    femorales, rótula, tuberosidad de la tibia, maleolos, talón y cuidar de
    la posición correcta del pie, y todo ello antes que el yeso inicie el
    fragüe.
   Ya endurecido el yeso, se le coloca taco de marcha, si ello es
    necesario.
   Yeso corto
   Abarca desde la base de macizos de
    los platillos tibiales, tuberosidad anterior
    de la tibia y por detrás a unos tres a
    cuatro veces de dedo bajo el pliegue de
    flexión de la rodilla. Por debajo incluye
    todo el pie hasta la base de los ortejos y
    se prolonga por plantar hasta bajo los
    dedos, que tienen así una plataforma
    donde apoyarse
   El modelado debe ser cuidadoso a nivel
    de los platillos tibiales, surcos pre, retro
    e inframaleolares y arco plantar del pie.
   Almohadillado en torno a la base de los
    platillos tibiales, tobillo y talón.
   Técnica
   El enfermo se dispone en decúbito dorsal, rodilla
    semiflectada. Un ayudante sostiene el pie en
    posición correcta. Apenas colocado el yeso, el
    médico inicia el modelado y vigila la posición
    correcta del pie cuidando que no quede en talo o
    equino, ni en varo o valgo. Se requiere rapidez y
    destreza.
   Fraguado el yeso, se coloca taco de marcha si es
    que el tratamiento lo requiere.
   La deambulación se inicia 24 a 48 horas después.
Tratamiento quirúrgico
   Indicaciones quirúrgicas:
         Fracaso de la reducción cerrada
         Fracturas desplazadas
         Fracturas inestables


   Diastasis* tibioperoneal

   Fracturas maleolares internas desplazadas

   Fracturas abiertas
                                       Separación permanente de dos
                                        superficies articulares pertenecientes
                                        a dos huesos
   Cuando las lesiones son graves, como
    fracturas abiertas con destrucción de
    vasos, nervios y tejidos blandos, es
    imprescindible operar rápidamente, en
    el plazo de unas pocas horas.

   Si la inflamación del tobillo ha
    avanzado demasiado, debe esperarse
    para intervenir hasta que se
    deshinche, porque el riesgo de
    infección es elevado. Cuando el tobillo
    está hinchado se aplica a la pierna una
    férula o un vendaje de yeso fenestrado
    para inmovilizarla. Mientras tanto la
    pierna debe mantenerse en alto y se le
    va aplicando frío.
   Para evitar una atrofia muscular y una
    trombosis, debe empezar a trabajarse
    la musculatura mientras se lleva el
    yeso puesto.

   Además, hasta que se pueda apoyar
    por completo, debe aplicarse una
    tromboprofilaxis. Consiste en hacer
    gimnasia y administrar a diario una
    inyección indolora de un derivado de
    heparina en el tejido adiposo del
    abdomen o del muslo. Una vez
    retirado el yeso, debe hacerse una
    fisioterapia intensiva para restablecer
    la movilidad del tobillo.
Tratamiento específico

    Las lesiones tipo C por lo general se indica
    tratamiento con yeso bota corta por 8 semanas en la
    mayoría de los casos.
   En las lesiones tipo B en las que la sindemosis se
    encuentra sin disrupción, pueden ser manejadas con
    yeso el cuál permanecerá entre 10 y 12 semanas
    aproximadamente. Las lesiones tipo B en las cuales
    la sindesmosis se encuentra lesionada deberán ser
    tratadas mediante procedimiento quirúrgico.
   Todas las lesiones tipo A deberán ser manejadas
    quirúrgicamente. El tratamiento quirúrgico
    comprende la osteosíntesis estable con placas de
    tercio de caña más tornillos de cortical de 3.5 y
    esponjosa 4.0 en diferentes longitudes, de acuerdo
    a medidas preoperatorios.
   Fracturas unimaleolares
       Este tipo de lesiones en las cuales no hay compromiso
        de las estructuras mediales (maléolo y ligamento
        deltoidéo) pueden ser manejadas de manera
        conservadora utilizando un yeso por 6 a 8 semanas.
   Fracturas bimaleolares

       Estas fracturas son para manejo quirúrgico. Se debe realizar reducción abierta y
        fijación interna al maléolo externo al igual que al medial cuando existe fractura del
        mismo.
       El desplazamiento de los fragmentos generalmente se da hacia el maléolo externo
        con una inclinación en valgo del talo.
       Durante la inmovilización inicial se intentar reducir el talo a la mortaja tibioperonéa
        corrigiendo el desplazamiento lateral y la inclinación en valgo del mismo. La férula
        debe mantener esta posición lo cual puede lograrse llevando el tobillo a una
        posición de varo (o inversión. De esta manera debe remitirse al paciente a un
        centro en el cual se le pueda dar un manejo quirúrgico al paciente.
   Fracturas trimaleolares

       Se manejan igual que las bimaleolares.
       Generalmente el maléolo posterior reduce adecuadamente al reducir la fractura del
        maléolo externo. Solo ameritan una fijación los fragmentos que comprometan más
        del 25% de la articulación en los Rx laterales. Las fracturas que comprometen más
        del 25% de la articulación pueden producir una subluxación posterior del talo
        llevando a una artrosis de la articulación por incongruencia de la misma.
       La dorsiflexión del pie durante la inmovilización de la fractura ayudan a mantener la
        reducción del fragmento posterior al tensionar la cápsula posterior.
       La inmovilización debe realizarse de la misma manera que para las fracturas
        bimaleolares.
Complicaciones
   Infección (postquirúrgica)
   Artrosis
   Varo o exceso de valgo en peroné por mala
    reducción
   Fijación inadecuada del maléolo posterior
   Formación de callo vicioso
   Necrosis de piel

   Infección superficial y profunda

   Pérdida de fijación

   Retardo de la consolidación

   Pseudoatrosis

   Inclinación en valgo o varo
   Artrodesis
Otras clasificaciones

  Tipo        Dupuytren            Danis             Lauge-Hansen        Weber        Duparc


 I (5%)                      Subligamentaria o     Supinación-Aduccion    A          Aduccion
                             Infrasindesmotica

II (20%)    Dupuytren alta   Supraligamentaria o   Pronación-Abducción    C         Abducción
                             suprasindesmotica

III (20%)   Dupuytren alta   Supraligamentaria     Pronación-Rotación     B      Rotación externa
            Maisonnneauve                               externa                  supratuberositaria

IV (50%)    Dupuytren baja   Interligamentaria o   Supinación-Rotación    B      Rotación externa
                              transindesmotica           externa                 intertuberositaria
Dias-Tachdjian
   Por mecanismo de lesión
Fracturas de tobillo
     en el niño
   Mecanismos de producción similares a los del
                      adulto.

Presencia de cartílago de crecimiento  Punto de
                     debilidad:
  - Ligamentos más resistentes que el esqueleto
         - Lesiones en sindesmosis raras
- Deformidades pueden ocurrir tardíamente con el
                     crecimiento
          - Afectación de placa epifisiaria
   Clasificación de Salter y Harris


                     Tipo I
                    Tipo II
                    Tipo III
                    Tipo IV
                    Tipo V
   Clasificación de Salter y Harris
       Tipo I (6%)  Decolamiento epifisiario   *Despegar
   En una lesión de la placa epifisaria tipo existe una separación
    completa de la epífisis con respecto a la metáfisis sin fractura
    ósea.
   Las células en crecimiento de la placa epifisaria permanecen en
    la epífisis.
   Este tipo de lesión, causada por una fuerza cizallante o por
    avulsión, es más frecuente en el momento del parto y durante la
    primera infancia, cuando la placa epifisaria es relativamente
    gruesa.
   También se observa en desprendimientos patológicos
    asociados con raquitismo, escorbuto, osteomielitis y trastornos
    endocrinos.
   Es raro observar amplios desplazamientos, porque las
    inserciones periósticas permanecen intactas.
   La reducción no es difícil, y el pronóstico con respecto al
    crecimiento futuro es excelente, a menos que la epífisis
   Clasificación de Salter y Harris
       Tipo II (75%)  Decolamiento epifisiario + fractura
        metafisiaria
   En una lesión de la placa epifisaria tipo que es el tipo más
    común, el trazo de fractura se extiende a lo largo de la placa
    epifisaria, para luego discurrir hacia la metáfisis, originando el
    familiar fragmento metafisario triangular, a veces referido
    como signo de Thurston Holland.
   Este tipo de lesión ocurre en niños por encima de los 10 años
    y es el resultado de una lesión cizallante
   o por avulsión.
   El periostio es arrancado en el lado convexo de la
    angulación, pero permanece integro en el lado cóncavo, es
    decir, en el lado donde se encuentra el fragmento metafisario.
   La reducción es relativamente fácil de obtener y de
    mantener, ya que el periostio intacto y el fragmento
    metafisario actúan de bisagra, impidiendo la hipercorrección.
   Las células en crecimiento de la placa epifisaria permanecen
    con la epífisis y, por tanto, el pronóstico es, casi
    siempre, excelente con respecto al crecimiento y sin afectar el
   Clasificación de Salter y Harris
       Tipo III (8%)  Decolamiento epifisiario PARCIAL +
        continuación del hacia el pilón tibial
   En una lesión tipo 3 la fractura, que es intra-
    articular, discurre desde la superficie articular a la
    zona lesionada de la placa epifisaria, para luego
    avanzar a lo largo de la placa hasta la periferia.
   Este tipo de lesión es infrecuente, pero cuando
    ocurre, sucede generalmente, en las epífisis
    proximal y distal de la tibia y suele estar ocasionada
    por una fuerza cizallante intra-articular.
   Es esencial obtener una adecuada reducción, tanto
    por la lesión de la placa epifisaria, como por la
    restauración de la
   superficie articular; pudiendo requerir la reducción
    abierta.
    Como en los tipos 1 y 2, el pronóstico es bueno y el
    aporte vascular a la porción separada de la epífisis
   Clasificación de Salter y Harris
       Tipo IV (10%)  FRACTURA DE MAC FARLAND  el
        trazo es oblicuo abajo arriba y de afuera adentro
        atravesando epífisis, cartílago de crecimiento y
        metáfisis
   En las lesiones epifisarias tipo 4 la fractura, que también es intra-
    articular, se extiende desde la superficie articular a través de la
    epífisis, cruza todo el espesor de la placa epifisaria y una porción
    metafisaria, quedando la epífisis dividida por completo.
   La reducción de una lesión tipo 4 de la lesión fisaria es
    fundamental, no solamente por motivo de la lesión fisaria, sino
    también por la restauración de la superficie articular.
   A menos que la fractura no esté desplazada, la reducción abierta
    siempre es necesaria.
   La placa epifisaria debe estar adecuadamente realineada para
    prevenir la aparición de
   puentes óseos que crucen la placa con el consiguiente cierre
    precoz localizado del
   crecimiento.
   Si es necesario material de osteosíntesis para estabilizar los
    fragmentos, es preferible a nivel de la metáfisis, aunque agujas de
    Kirschner delgadas y lisas que atraviesen la placa durante pocas
    semanas habitualmente no interfieren el crecimiento
   Clasificación de Salter y Harris
       Tipo V (1%)  por compresión, con lesión inaparente
        del cartílago de crecimiento  Epifisiodesis
                                       - Contusión del
                                       cartílago de
                                       crecimiento
                                       - No visible en Rx
                                       - Riesgo de
                                       epifisiodesis (fusión
                                       epifisiaria)
   La lesión fisaria tipo 5 es un tipo de lesión
    relativamente infrecuente, consecuencia de una
    fuerza de aplastamiento
   El pronóstico de esta lesión es decididamente malo.
Tratamiento
     Fracturas de tipo I y II  no lesiona zona
 germinativa del cartílago de crecimiento ni superficie
                        articular.

                   Reducción cerrada




       Fracturas de tipo III y IV  trazo epifisiario

               Reducción cerrada / abierta
En las lesiones tipos 1, 2 y                       El momento ideal para reducir una
Reducción suave




                                                  ¿Cuándo hacerla?
                                                                     lesión de la placa epifisaria es el mismo
                  3 de la placa epifisaria, a                        día en el que ha sucedido el
                  diferencia de lo que sucede                        traumatismo, ya que a medida que
                                                                     vayan transcurriendo los días la
                  en las fracturas                                   reducción será más dificultosa.
                  convencionales, una de las                         Incluso, transcurridos 10 días es difícil
                  superficies fracturarias está                      la
                  compuesta por un                                   manipulación de los fragmentos sin
                                                                     usar
                  vulnerable y delicado
                                                                     una fuerza excesiva, especialmente en
                  cartílago fisario.                                 las
                  Por tanto, evitaremos                              lesiones tipos 1 y 2.
                  manipulaciones                                     En estas circunstancias, una
                                                                     manipulación forzada puede lesionar la
                  intempestivas para no                              placa cartilaginosa y debe ser evitada;
                  lesionar la placa.                                 en estas situaciones es probablemente
                                                                     más prudente aceptar una reducción
                  Este principio se debe                             imperfecta que arriesgarse a una
                                                                     manipulación forzada o a una reducción
                  aplicar igualmente cuando                          a cielo abierto.
                  reducimos quirúrgicamente                          Si fuera necesario podría realizarse una
                  desplazamientos                                    osteotomía correctora más adelante.
                  epifisarios.                                       En las lesiones tipos 3 y 4, sin
                                                                     embargo, una reducción tardía, aunque
                  Ningún instrumento se                              no es deseable, si es preferible con el
                                                                     objeto de reducir adecuadamente el
                  debe emplear para                                  fragmento desplazado y restaurar la
                  apalancar y reducir la                             superficie articular.
                  epífisis desplazada.
Método
• La gran mayoría de las lesiones de la placa epifisaria de los tipos 1 y 2 son reducidas
  adecuadamente de forma cerrada, manteniéndose la reducción fácilmente.
• Lesiones tipo 3 pueden requerir reducción abierta para conseguir una reducción perfecta de
  la superficie articular, hecho casi siempre necesario en las lesiones tipo 4 desplazadas
• Cuando la fijación interna es considerada necesaria es preferible colocarla a nivel metafisario
  que
• epifisario.
• Nunca se deben insertar tornillos o agujas roscadas que crucen la placa epifisaria; en estas
  situaciones pueden usarse con cierta garantía agujas de Kirschner lisas y finas que crucen la
  placa lo más perpendicular posible, aunque se deben retirar una vez curada la lesión.
• Se debe tener gran cuida-do en evitar lesionar el aporte vascular a la epífisis.
• En las lesiones tipos 1 y 2 se pueden obtener, generalmente, una reducción perfecta de la
  placa epifisaria.
• Aunque si queda un moderado desplazamiento residual (anterior, posterior, medial o lateral) o
  una leve angulación, una segunda manipulación no suele ser precisa, debido a los
  fenómenos de remodelación.
• Los criterios para una reducción aceptable son menos rígidos en la región de una articulación
  con movimiento multiplanar, como sucede en el hombro, que en una localización próxima a
  una articulación con un solo plano de movimiento, como sucede en la rodilla.
• Las lesiones tipos 3 y 4 deben ser reducidas a la perfección, es decir, anatómicamente.
Las lesiones                                                       La necesidad de un




                                                Pronóstico




                                                                                Seguimiento
Tiempo de inmovilización
                                                                                              seguimiento regular de
                           tipos 1, 2 y 3                                                     estos pacientes parece
                           unen en                           Una parte de la                  obvia, y no siempre está
                           aproximadament                    responsabilidad                  claro hasta cuándo se
                                                                                              deben seguir a estos
                           e la mitad de                     del cirujano en                  niños.
                           tiempo que                        el tratamiento                   Los trastornos del
                           requiere una                      de estas                         crecimiento pueden
                                                                                              retrasarse hasta un
                           fractura                          lesiones, es el                  año, al menos en sus
                           metafisaria del                   informar a los                   manifestaciones, es al
                           mismo hueso y a                                                    menos este tiempo el
                                                             padres acerca                    período mínimo de
                           la misma                          del pronóstico                   seguimiento.
                           edad, por                         de la lesión sin                 Es conveniente realizar
                           tanto, el tiempo                                                   un control radiológico a
                           de inmovilización                 generar                          los 6 meses después de
                           se puede reducir.                 ansiedades no                    la lesión incluyendo el
                                                                                              lado contralateral sano.
                                                             necesarias.                      Si durante este período
                           Las lesiones tipo                                                  de tiempo el crecimiento
                           4, debido a su                    Se debe                          observado es
                           localización, requ                remarcar la                      mínimo, será necesario
                                                                                              realizar un nuevo
                           ieren el mismo                    importancia que                  control 6 meses más
                           tiempo para la                    tiene el                         tarde para poder emitir
                           unión que las                     seguimiento                      un pronóstico definitivo.
                           fracturas                         clínico de estos
Fallo en
                    el dx
         Cierre    precoz
        prema-                Consoli-
        turo del
         creci-               dación
        miento y              viciosa
           tx


Necrosi
    s
avascul
   ar       Complicaciones           Pseudo
                                     -artrosis
epifisia-
  ria

        Compli-
        cacione
                              Osteo-
            s
                              mielitis
         vascu-    Compli-
          lares    cacione
                      s
                   neuroló-
                    gicas
Falla en el diagnóstico precoz
   El fallo diagnóstico de las lesiones de tipo 1 es difícil de
    evitar en los niños que aún no tienen las epífisis
   El error en diagnosticar una lesión de la placa epifisaria
    significa que el tratamiento adecuado se demora.
   Esto puede ser especialmente importante en las fracturas
    inestables tipo 4 del cóndilo externo del húmero, el cual
    sino se trata puede evolucionar hacia la pseudoartrosis.
   Un fallo en el reconocimiento de una lesión tipo 4 en
    rodilla o tobillo puede ocasionar una mala consolidación
    que origine un puente óseo fisario, por tanto, un cese
    prematuro del crecimiento de la placa epifisaria afecta.
Consolidación viciosa
   Cuando una lesión de los tipos 1 ó 2 han consolidado en una
    posición defectuosa, puede suceder una corrección espontánea
    de la deformidad si, como es habitual, la placa epifisaria continúa
    creciendo, el niño es joven y la deformidad está en el plano de
    movimiento de la articulación vecina, como sucede en una
    angulación posterior o anterior del fémur después de un
    desplazamiento epifisario del fémur distal.
   Si la deformidad espontáneamente no se corrige o es difícil que lo
    consiga, puede precisar una osteotomía correctora.
   Una consolidación viciosa de una lesión tipo 3 en el tobillo puede
    conducir a una artrosis, a menos que la incongruencia articular
    sea corregida quirúrgicamente.
   Una mala consolidación de una lesión tipo 4 de la tibia distal, por
    ejemplo, indefectiblemente tiende al cese prematuro del
    crecimiento.
Pseudoartrosis
   La localización más frecuente de una
    pseudoartrosis tras una lesión de la placa epifisaria
    es la fractura del cóndilo externo del húmero, una
    complicación que origina complicaciones
    adicionales, como es la inestabilidad lateral del
    codo y eventualmente la parálisis tardía del nervio
    cubital.
   La fractura desplazada del cóndilo externo humeral
    representa una indicación absoluta para la
    reducción abierta y fijación interna para prevenir la
    consolidación viciosa o la pseudoartrosis.
Osteomielitis
   Una lesión de la placa epifisaria abierta conlleva el
    mismo riesgo de osteomielitis que cualquier otra
    fractura abierta.
   La osteomielitis en la región de la placa epifisaria, sin
    embargo, especialmente si está producida por
    Staphylococcus Aureus, puede ocasionar condrolisis de
    la placa cartilaginosa y tiende al cese prematuro del
    crecimiento.
   Por lo tanto, el tratamiento de estas lesiones debe
    consistir en un desbridamiento meticuloso y
    administración profiláctica de antibióticos, dejando la
    herida abierta inicialmente para luego hacer un cierre
    cutáneo diferido
Complicaciones neurológicas
   Una lesión tipo 2 no reducida de la epífisis distal radial con
    angulación dorsal residual puede ocasionar una compresión
    del nervio mediano, manifestándose como un síndrome del
    túnel del carpo.
   Lesiones por hiper-extensión en la región de la rodilla
    (lesiones tipos 1 ó 2 tanto de fémur distal, como de tibia
    proximal) están asociadas con riesgo de una importante
    lesión del ciático poplíteo interno, generalmente por tracción.
   Un examen neurológico cuidadoso y documentar la lesión
    son esenciales antes de instaurar el tratamiento para
    distinguir la lesión ocasionada por el traumatismo de la
    causada por el tratamiento.
Complicaciones vasculares
   Las lesiones vasculares raramente se asocian con
    los desplazamientos epifisarios, excepto en la
    región de la rodilla, donde la arteria poplítea, junto
    con el nervio ciático poplíteo interno se encuentran
    en una localización de riesgo en estas lesiones por
    hiperextensión, como se explicó más arriba.
   Además, un arrancamiento de la íntima que pasa
    desapercibido o una ruptura de la arteria poplítea
    secundaria a la hiperextensión puede llegar a
    producir gangrena precisando amputación.
Necrosis avascualres perifericas
   Los desplazamientos epifisarios tipo 1 del fémur proximal y
    radio proximal presentan un elevado riesgo de necrosis
    avascular de la epífisis, siendo esta complicación más
    importante que incluso la relacionada con la placa epifisaria.
   Cuando una placa epifisaria pierde el aporte vascular, los
    condrocitos de la placa mueren y son sustituidos por
    fibrocitos con el resultante cese del crecimiento de la placa
    epifisaria.
   La necrosis avascular de la epífisis de la cabeza femoral, a
    tan temprana edad, asocia además fallo en el crecimiento
    longitudinal del cuello, al seguir creciendo el trocánter mayor
    provoca una coxa vara funcional, pudiendo necesitar un
    descenso y lateralización del trocánter mayor para corregir
    la cojera de Trendelenburg.
Pronóstico
                     Dependerá

              - Gravedad de la lesión
                       - Edad
             - Localización de la lesión
              - Método de reducción

Fractura de tobillo

  • 1.
    Fracturas de Tobillo ManzanoGarcía Sofía Mahalet Dr. Balderas Primavera 2012
  • 2.
    TOBILLO  Conocida como ―Articulación tibioastragalina‖  Articulación sinovial  Tipo bisagra (trocleartrosis)  La sindesmosis  articulación fibrosa  une huesos separados por una amplia distancia con una lámina de tejido fibroso  LIGAMENTOS
  • 3.
    Anatomía  La articulación esta constituida por:  Extremidad distal de la tibia  maléolo medial  Extremidad proximal del peroné  maléolo externo  Parte superior del astrágalo El peroné y la tibia permiten el mov. hacia delante y hacia atrás. Y el astrágalo soporta la transmisión de fuerzas del peso corporal.
  • 4.
    Las extremidades distales de la tibia y del peroné crean una ―mortaja‖  Encaja la tróclea del astrágalo La mortaja tibio-astragalina Vista posterior
  • 5.
    Los movimientos principales:  Dorsiflexión—20°  Flexión plantar—50°  Inversión  Flexión plantar  Supinación  Rotación interna del pie  Eversión Escasa amplitud  Flexión dorsal  Pronación  Rotación externa del pie
  • 6.
    Cinemática de la articulación
  • 7.
    Articulación inestable
  • 8.
  • 10.
    Músculos  MÚSCULOS EXTRÍNSECOS  Consiguen los movimientos de flexión dorsal, flexión plantar, inversión y eversión del pie.  MÚSCULOS INTRÍNSECOS  Consiguen movimiento de los dedos flexión, extensión, abducción y aducción.
  • 11.
  • 12.
  • 13.
    Nervios  La inervación del pie está dada por 5 nervios terminales y 4 de ellos son ramas del nervio ciático  N. tibial anterior o peroneo profundo  N. musculocutáneo o peroneo superficial  N. safeno externo o sural  N. tibial posterior  Safeno interno (rama terminal)
  • 14.
    Definición “Fractura deTobillo” Fractura que involucra uno, dos o incluso los 3 huesos que conforman la articulación del tobillo. Medial Lateral ‗MORTAJA TIBIO-PERONÉA‘
  • 15.
    Mecanismo de lesión  DIRECTO  INDIRECTOS: rotación  Supinación  Pronación
  • 16.
    Etiología  Su etiología es casi siempre un traumatismo indirecto de baja energía.  Ocasionado con frecuencia durante la práctica deportiva o en caídas en terreno irregular  Accidentes automovilísticos  Lesiones por arma de fuego  CAIDA CON TRAUMA DE COMPRESION Y ROTACION
  • 17.
    Zapatillas  Obesidad  Todas las edades pero principalmente 3ª edad  Deportistas
  • 18.
    Epidemiología  Unimaleolares 66%  Bimaleolares 25%  Trimaleolares 7%  Abiertas 2%
  • 19.
    Pueden ser:  Unimaleolares  maléolo medial o del peroneo  Bimaleolares  ambos maléolos  Trimaleorales  maléolo posterior (reborde posterior de la tibia)
  • 20.
    Clasificaciones en Adultos Weber Nivel de la fractura en peroné  Lauge – Hansen Mecanismo del trauma
  • 21.
    Clasificación de Lauge-Hansen Mecanismo de producción de la fractura  4 tipos principales:  1)Supinación-Aducción  2)Pronación-Abducción  3)Pronación-Rotación externa  4)Supinación-Rotación externa  NOTA:  La primera palabra (supinación o pronación) es la posición del pie en el momento del accidente  La segunda palabra es la dirección o sentido de la fuerza traumática (deformante)
  • 22.
    1)Supinación-Aducción  ESTADIO 1  Ruptura del ligamento externo  Avulsión del maléolo externo  Fractura horizontal Infra-ligamentaria  ESTADIO 2  Fractura del maléolo interno
  • 23.
    2)Pronación-Aducción Estadio 1 Estadio 2 Estadio 3   Ruptura de los   Fractura  ligamentos horizontal del peroneo-tibiales  Fractura maléolo interno)  Ruptura de la membrana ínter- del peroné ósea
  • 24.
    3)Pronación-Rotación externa (supraligamentarias)  Estadio 1: Fractura del maléolo interno  Estadio 2: Ruptura del ligamento peroneo-tibial anterior  Estadio 3: Fractura del peroné, oblicua de abajo hacia posterior (alta o baja)  Estadio 4: Ruptura del ligamento peroneo-tibial post, membrana inter- ósea
  • 25.
    4)Supinación-Rotación externa (transligamentarias)  Estadio 1  Ruptura del ligamento peroneo-tibial anterior  Avulsión de su inserción  Estadio 2  Fractura espiroidea del maléolo externo  Ruptura del ligamento peroneo-tibial posterior  Estadio 3  Fractura del maléolo interno
  • 26.
    Clasificación de Danis-Weber  Fundamento anatómico del trazo fracturario:  Suprasindesmótica-- C  Transindesmótica--B  Infrasindesmótica--A  El 50 % de las transindesmóticas son quirúrgicas  Todas las infrasindesmóticas son
  • 27.
    Infrasindesmotica o tipo A  Fractura transversa del peroné por debajo de la sindesmosis  El maléolo medial puede estar intacto  Mecanismo de producción es por inversión  Son fracturas generalmente transversas.  Todas son quirúrgica s para evitar que se abra la mortaja  Tornillo
  • 30.
    Transindesmotica o tipo B  El peroné tiene fractura oblicua ascendente  Se puede acompañar de fractura transversa del maléolo medial  El mecanismo es por eversión  El trazo de fractura inicia a nivel del plafón tibial extendiéndose proximalmente de manera oblicua o espiroidéa  El 50% de éstas son quirúrgicas  Clavos
  • 33.
    Suprasindesmotica o tipo C  El peroné se encuentra fracturado por arriba de la sindesmosis  El maléolo medial presenta fractura transversa  Mecanismo es por abducción-rotación  Si compromete sindesmosis y membrana interósea compromete la estabilidad del tobillo  Si no compromete la estabilidad o la mortaja, puede realizarse un tratamiento conservador  Yeso corto
  • 36.
    Cuadro clínico  Dolor intenso  Paciente no puede apoyar el tobillo afectado  Cojera antálgica: Cojera adoptada para evitar el dolor sobre las partes del cuerpo consistente en un paso corto y otro largo para disminuir el tiempo de carga sobre el lado en que en la articulación o segmento está afectado.  Tumefacción variable  Deformidad  Inflamación
  • 37.
    Exploración  Pulsos pedio  Tibial posterior  Llenado capilar  Temperatura de la extremidad  Sensibilidad distal. Descartar lesión vascular y Nerviosa  RARA
  • 38.
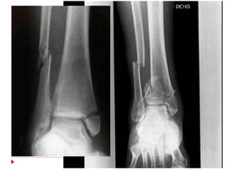
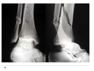
    Diagnóstico  Historia clínica  Radiografías AP, lateral y oblicuas  Rx comparativas *
  • 39.
    Valoración radiográfica  SUPERPOSICIÓN TIBIOPERONÉA(la situación posterior del peroné con relación a la tibia determina que al tomar los Rx AP se observe sobreposición de los dos huesos)  > 10 mm  < Lesión de la SINDESMOSIS (permite que se abra la mortaja tibio-peronéa)  CLARO TIBIO-PERONÉO (Espacio existente entre el borde medial del peroné al nivel de la sindesmosis, a 1 cm por arriba del maleolo de la Tibia)  < de 5 mm - 6 mm
  • 40.
    Angulo talo-crural – es el ángulo existente entre una línea paralela a la superficie articular del ―plafón‖ tibial y otra línea que una los puntos más distales de los dos maléolos. Este ángulo refleja la diferencia de longitudes del maléolo externo y medial y su valor oscila entre los 8 y los 15 grados. Cuando el valor es menor se debe sospechar acortamiento del peroné por fractura en el mismo.
  • 41.
  • 42.
    Tipos de fracturas Aisladas de Maléolo Pilón tibial maléolo externo posterior Aisladas de maléolo externo Lesión de la + ruptura del Astrágalo sindesmosis ligamento deltoideo
  • 43.
    Maisonne uve Tillaux- Chaput Variantes Bordillo LeForte- Wagstaffe
  • 44.
    AISLADAS DE MALEOLO EXTERNO  Las más comunes  No hay lesión de maleolo medial o ligamento Deltoideo  TRATAMIENTO. Conservador  Yeso de 6 – 8 semanas
  • 45.
    AISLADAS DE MALEOLO EXTERNO + LESIÓN DE LIGAMENTO DELTOIDEO  Fractura BIMALEOLAR  Rotura completa: Sensibilidad medial, desplazamiento lateral de astrágalo  Tratamiento. Si compromete al peroné:  Estabilización quirúrgica + inmovilización por 3 semanas en dorsiflexión.
  • 46.
    FRACTURA DEL MALEOLO POSTERIOR  Por rotación externa o abducción  Mecanismo  Avulsión de ligamentos posterolaterales de Tibia  Impacto de astrágalo en rotación externa contra el borde posterior de la Tibia  Tratamiento: Con o sin fijación interna
  • 47.
    LESIÓN DE LA SINDESMOSIS  Mecanismo: Abducción o rotación externa del astrágalo sobre la mortaja  Estabilidad del tobillo:  Complejo medial (el maléolo interno y el ligamento deltoideo)  Complejo lateral (el maléolo externo y el complejo ligamentario externo)  Complejo sindesmótico.  TRATAMIENTO:  INESTABILIDAD  Inestable: Fijación transindesmal + Reducción de fractura maleolar + Yeso 6 – 8 semanas
  • 48.
    FRACTURA DEL PILÓN TIBIAL  Una fractura del pilón afecta a la superficie articular de la tibia.  Tipo I. Fractura no desplazada, en forma de T de la parte distal de la tibia que se extiende a la articulación  Tipo II . I + desplazamiento de los componentes intraarticulares  Tipo III. Fractura compleja, intraarticular, multifragmentaria.  Tipo V. Extensión Diafisiaria  Tipo IV. Extensión metafisiaria
  • 49.
    Tratamiento. Reducción quirúrgica y estabilización del peroné + Yeso + Movilización temprana
  • 50.
    FRACTURA DE ASTRÁGALO  `Fracturas del aviador‘  Mecanismo: Hiperflexión dorsal  Desplazadas: Reducción abierta y osteosíntesis  No desplazadas: Conservador
  • 51.
    Variantes  Maisonneuve. Fractura del peroné proximal asociado a una ruptura de la sindesmosis con subluxación lateral del astrágalo.  Bordillo. Avulsión posterior tibia  LeForte-Wagstaffe. Avulsión de tuberosidad peronea anterior  Tillaux-Chaput. Avulsión de borde tibial anterior
  • 52.
    Lesiones asociadas Fractura abierta Lesión vásculo nerviosa (RARA) Rotura tendinosa (tibial posterior y anterior) Síndrome compartimental
  • 53.
  • 54.
    Quirúrgico Conservador • Webber A-B-C Específico • Uni, bi, tri maleolares
  • 55.
    Tratamiento conservador  Fracturas estables  No desplazadas  Con sindesmosis intacta  Yeso con el pie en 90° durante 6-8 semanas  Fracturas inestables con reducción anatómica estable  Fracturas de peroné más lesión interna con astrágalo centrado  Radiografías semanales durante 4 semanas
  • 56.
    Yeso largo Incluye todo el miembro inferior, que abarca por arriba desde el pliegue inguinal, región troncantereana y, por detrás a nivel del pliegue glúteo. Termina en su extremo distal incluyendo todo el pie; su límite inferior, en la cara dorsal del pie, llega hasta la raíz de los dedos y por cara plantar hasta 1 a 2 cm más allá de la punta de los dedos  Rodilla en discreta flexión, muy bien modelado por sobre los cóndilos femorales, en torno a la rótula, bajo los macizos de los platillos tibiales, tuberosidad anterior de la tibia, maleolos peroneo y tibial, marcando cuidadosamente los surcos pre, retro e inframaleolares. Igual cuidado debe tenerse en el moldeado del arco plantar.
  • 57.
    Técnica  El enfermo colocado en la mesa traumatológica, queda con todo el miembro inferior en el aire, sostenido en el soporta-pelvis y por un ayudante a nivel del pie.  En ciertos casos, se sostiene la angulación de la rodilla, pasando un vendaje impregnado en vaselina sólida que mantiene a modo de hamaca el hueco poplíteo. El vendaje se retira apenas el yeso inicia el fragüe.  Zonas que deben ser almohadilladas:  Trocánter mayor, rodilla (rótula), tobillos (maléolos) y talón.  Las vendas circulares se ponen con rapidez, y el modelaje debe iniciarse de inmediato.  Es una técnica que requiere destreza y práctica. Hay que cuidar simultáneamente el ángulo de la rodilla, modelado de los cóndilos femorales, rótula, tuberosidad de la tibia, maleolos, talón y cuidar de la posición correcta del pie, y todo ello antes que el yeso inicie el fragüe.  Ya endurecido el yeso, se le coloca taco de marcha, si ello es necesario.
  • 58.
    Yeso corto  Abarca desde la base de macizos de los platillos tibiales, tuberosidad anterior de la tibia y por detrás a unos tres a cuatro veces de dedo bajo el pliegue de flexión de la rodilla. Por debajo incluye todo el pie hasta la base de los ortejos y se prolonga por plantar hasta bajo los dedos, que tienen así una plataforma donde apoyarse  El modelado debe ser cuidadoso a nivel de los platillos tibiales, surcos pre, retro e inframaleolares y arco plantar del pie.  Almohadillado en torno a la base de los platillos tibiales, tobillo y talón.
  • 59.
    Técnica  El enfermo se dispone en decúbito dorsal, rodilla semiflectada. Un ayudante sostiene el pie en posición correcta. Apenas colocado el yeso, el médico inicia el modelado y vigila la posición correcta del pie cuidando que no quede en talo o equino, ni en varo o valgo. Se requiere rapidez y destreza.  Fraguado el yeso, se coloca taco de marcha si es que el tratamiento lo requiere.  La deambulación se inicia 24 a 48 horas después.
  • 60.
    Tratamiento quirúrgico  Indicaciones quirúrgicas:  Fracaso de la reducción cerrada  Fracturas desplazadas  Fracturas inestables  Diastasis* tibioperoneal  Fracturas maleolares internas desplazadas  Fracturas abiertas  Separación permanente de dos superficies articulares pertenecientes a dos huesos
  • 61.
    Cuando las lesiones son graves, como fracturas abiertas con destrucción de vasos, nervios y tejidos blandos, es imprescindible operar rápidamente, en el plazo de unas pocas horas.  Si la inflamación del tobillo ha avanzado demasiado, debe esperarse para intervenir hasta que se deshinche, porque el riesgo de infección es elevado. Cuando el tobillo está hinchado se aplica a la pierna una férula o un vendaje de yeso fenestrado para inmovilizarla. Mientras tanto la pierna debe mantenerse en alto y se le va aplicando frío.
  • 62.
    Para evitar una atrofia muscular y una trombosis, debe empezar a trabajarse la musculatura mientras se lleva el yeso puesto.  Además, hasta que se pueda apoyar por completo, debe aplicarse una tromboprofilaxis. Consiste en hacer gimnasia y administrar a diario una inyección indolora de un derivado de heparina en el tejido adiposo del abdomen o del muslo. Una vez retirado el yeso, debe hacerse una fisioterapia intensiva para restablecer la movilidad del tobillo.
  • 63.
    Tratamiento específico  Las lesiones tipo C por lo general se indica tratamiento con yeso bota corta por 8 semanas en la mayoría de los casos.  En las lesiones tipo B en las que la sindemosis se encuentra sin disrupción, pueden ser manejadas con yeso el cuál permanecerá entre 10 y 12 semanas aproximadamente. Las lesiones tipo B en las cuales la sindesmosis se encuentra lesionada deberán ser tratadas mediante procedimiento quirúrgico.
  • 64.
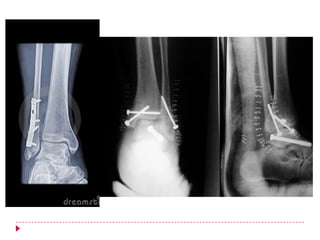
    Todas las lesiones tipo A deberán ser manejadas quirúrgicamente. El tratamiento quirúrgico comprende la osteosíntesis estable con placas de tercio de caña más tornillos de cortical de 3.5 y esponjosa 4.0 en diferentes longitudes, de acuerdo a medidas preoperatorios.
  • 65.
    Fracturas unimaleolares  Este tipo de lesiones en las cuales no hay compromiso de las estructuras mediales (maléolo y ligamento deltoidéo) pueden ser manejadas de manera conservadora utilizando un yeso por 6 a 8 semanas.
  • 66.
    Fracturas bimaleolares  Estas fracturas son para manejo quirúrgico. Se debe realizar reducción abierta y fijación interna al maléolo externo al igual que al medial cuando existe fractura del mismo.  El desplazamiento de los fragmentos generalmente se da hacia el maléolo externo con una inclinación en valgo del talo.  Durante la inmovilización inicial se intentar reducir el talo a la mortaja tibioperonéa corrigiendo el desplazamiento lateral y la inclinación en valgo del mismo. La férula debe mantener esta posición lo cual puede lograrse llevando el tobillo a una posición de varo (o inversión. De esta manera debe remitirse al paciente a un centro en el cual se le pueda dar un manejo quirúrgico al paciente.
  • 67.
    Fracturas trimaleolares  Se manejan igual que las bimaleolares.  Generalmente el maléolo posterior reduce adecuadamente al reducir la fractura del maléolo externo. Solo ameritan una fijación los fragmentos que comprometan más del 25% de la articulación en los Rx laterales. Las fracturas que comprometen más del 25% de la articulación pueden producir una subluxación posterior del talo llevando a una artrosis de la articulación por incongruencia de la misma.  La dorsiflexión del pie durante la inmovilización de la fractura ayudan a mantener la reducción del fragmento posterior al tensionar la cápsula posterior.  La inmovilización debe realizarse de la misma manera que para las fracturas bimaleolares.
  • 69.
    Complicaciones  Infección (postquirúrgica)  Artrosis  Varo o exceso de valgo en peroné por mala reducción  Fijación inadecuada del maléolo posterior  Formación de callo vicioso
  • 70.
    Necrosis de piel  Infección superficial y profunda  Pérdida de fijación  Retardo de la consolidación  Pseudoatrosis  Inclinación en valgo o varo
  • 71.
    Artrodesis
  • 72.
    Otras clasificaciones Tipo Dupuytren Danis Lauge-Hansen Weber Duparc I (5%) Subligamentaria o Supinación-Aduccion A Aduccion Infrasindesmotica II (20%) Dupuytren alta Supraligamentaria o Pronación-Abducción C Abducción suprasindesmotica III (20%) Dupuytren alta Supraligamentaria Pronación-Rotación B Rotación externa Maisonnneauve externa supratuberositaria IV (50%) Dupuytren baja Interligamentaria o Supinación-Rotación B Rotación externa transindesmotica externa intertuberositaria
  • 73.
    Dias-Tachdjian  Por mecanismo de lesión
  • 74.
  • 75.
    Mecanismos de producción similares a los del adulto. Presencia de cartílago de crecimiento  Punto de debilidad: - Ligamentos más resistentes que el esqueleto - Lesiones en sindesmosis raras - Deformidades pueden ocurrir tardíamente con el crecimiento - Afectación de placa epifisiaria
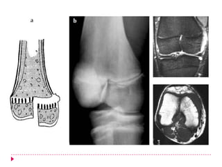
  • 77.
    Clasificación de Salter y Harris  Tipo I  Tipo II  Tipo III  Tipo IV  Tipo V
  • 78.
    Clasificación de Salter y Harris  Tipo I (6%)  Decolamiento epifisiario *Despegar
  • 79.
    En una lesión de la placa epifisaria tipo existe una separación completa de la epífisis con respecto a la metáfisis sin fractura ósea.  Las células en crecimiento de la placa epifisaria permanecen en la epífisis.  Este tipo de lesión, causada por una fuerza cizallante o por avulsión, es más frecuente en el momento del parto y durante la primera infancia, cuando la placa epifisaria es relativamente gruesa.  También se observa en desprendimientos patológicos asociados con raquitismo, escorbuto, osteomielitis y trastornos endocrinos.  Es raro observar amplios desplazamientos, porque las inserciones periósticas permanecen intactas.  La reducción no es difícil, y el pronóstico con respecto al crecimiento futuro es excelente, a menos que la epífisis
  • 81.
    Clasificación de Salter y Harris  Tipo II (75%)  Decolamiento epifisiario + fractura metafisiaria
  • 82.
    En una lesión de la placa epifisaria tipo que es el tipo más común, el trazo de fractura se extiende a lo largo de la placa epifisaria, para luego discurrir hacia la metáfisis, originando el familiar fragmento metafisario triangular, a veces referido como signo de Thurston Holland.  Este tipo de lesión ocurre en niños por encima de los 10 años y es el resultado de una lesión cizallante  o por avulsión.  El periostio es arrancado en el lado convexo de la angulación, pero permanece integro en el lado cóncavo, es decir, en el lado donde se encuentra el fragmento metafisario.  La reducción es relativamente fácil de obtener y de mantener, ya que el periostio intacto y el fragmento metafisario actúan de bisagra, impidiendo la hipercorrección.  Las células en crecimiento de la placa epifisaria permanecen con la epífisis y, por tanto, el pronóstico es, casi siempre, excelente con respecto al crecimiento y sin afectar el
  • 84.
    Clasificación de Salter y Harris  Tipo III (8%)  Decolamiento epifisiario PARCIAL + continuación del hacia el pilón tibial
  • 85.
    En una lesión tipo 3 la fractura, que es intra- articular, discurre desde la superficie articular a la zona lesionada de la placa epifisaria, para luego avanzar a lo largo de la placa hasta la periferia.  Este tipo de lesión es infrecuente, pero cuando ocurre, sucede generalmente, en las epífisis proximal y distal de la tibia y suele estar ocasionada por una fuerza cizallante intra-articular.  Es esencial obtener una adecuada reducción, tanto por la lesión de la placa epifisaria, como por la restauración de la  superficie articular; pudiendo requerir la reducción abierta.  Como en los tipos 1 y 2, el pronóstico es bueno y el aporte vascular a la porción separada de la epífisis
  • 87.
    Clasificación de Salter y Harris  Tipo IV (10%)  FRACTURA DE MAC FARLAND  el trazo es oblicuo abajo arriba y de afuera adentro atravesando epífisis, cartílago de crecimiento y metáfisis
  • 88.
    En las lesiones epifisarias tipo 4 la fractura, que también es intra- articular, se extiende desde la superficie articular a través de la epífisis, cruza todo el espesor de la placa epifisaria y una porción metafisaria, quedando la epífisis dividida por completo.  La reducción de una lesión tipo 4 de la lesión fisaria es fundamental, no solamente por motivo de la lesión fisaria, sino también por la restauración de la superficie articular.  A menos que la fractura no esté desplazada, la reducción abierta siempre es necesaria.  La placa epifisaria debe estar adecuadamente realineada para prevenir la aparición de  puentes óseos que crucen la placa con el consiguiente cierre precoz localizado del  crecimiento.  Si es necesario material de osteosíntesis para estabilizar los fragmentos, es preferible a nivel de la metáfisis, aunque agujas de Kirschner delgadas y lisas que atraviesen la placa durante pocas semanas habitualmente no interfieren el crecimiento
  • 90.
    Clasificación de Salter y Harris  Tipo V (1%)  por compresión, con lesión inaparente del cartílago de crecimiento  Epifisiodesis - Contusión del cartílago de crecimiento - No visible en Rx - Riesgo de epifisiodesis (fusión epifisiaria)
  • 91.
    La lesión fisaria tipo 5 es un tipo de lesión relativamente infrecuente, consecuencia de una fuerza de aplastamiento  El pronóstico de esta lesión es decididamente malo.
  • 92.
    Tratamiento  Fracturas de tipo I y II  no lesiona zona germinativa del cartílago de crecimiento ni superficie articular. Reducción cerrada  Fracturas de tipo III y IV  trazo epifisiario Reducción cerrada / abierta
  • 95.
    En las lesionestipos 1, 2 y El momento ideal para reducir una Reducción suave ¿Cuándo hacerla? lesión de la placa epifisaria es el mismo 3 de la placa epifisaria, a día en el que ha sucedido el diferencia de lo que sucede traumatismo, ya que a medida que vayan transcurriendo los días la en las fracturas reducción será más dificultosa. convencionales, una de las Incluso, transcurridos 10 días es difícil superficies fracturarias está la compuesta por un manipulación de los fragmentos sin usar vulnerable y delicado una fuerza excesiva, especialmente en cartílago fisario. las Por tanto, evitaremos lesiones tipos 1 y 2. manipulaciones En estas circunstancias, una manipulación forzada puede lesionar la intempestivas para no placa cartilaginosa y debe ser evitada; lesionar la placa. en estas situaciones es probablemente más prudente aceptar una reducción Este principio se debe imperfecta que arriesgarse a una manipulación forzada o a una reducción aplicar igualmente cuando a cielo abierto. reducimos quirúrgicamente Si fuera necesario podría realizarse una desplazamientos osteotomía correctora más adelante. epifisarios. En las lesiones tipos 3 y 4, sin embargo, una reducción tardía, aunque Ningún instrumento se no es deseable, si es preferible con el objeto de reducir adecuadamente el debe emplear para fragmento desplazado y restaurar la apalancar y reducir la superficie articular. epífisis desplazada.
  • 96.
    Método • La granmayoría de las lesiones de la placa epifisaria de los tipos 1 y 2 son reducidas adecuadamente de forma cerrada, manteniéndose la reducción fácilmente. • Lesiones tipo 3 pueden requerir reducción abierta para conseguir una reducción perfecta de la superficie articular, hecho casi siempre necesario en las lesiones tipo 4 desplazadas • Cuando la fijación interna es considerada necesaria es preferible colocarla a nivel metafisario que • epifisario. • Nunca se deben insertar tornillos o agujas roscadas que crucen la placa epifisaria; en estas situaciones pueden usarse con cierta garantía agujas de Kirschner lisas y finas que crucen la placa lo más perpendicular posible, aunque se deben retirar una vez curada la lesión. • Se debe tener gran cuida-do en evitar lesionar el aporte vascular a la epífisis. • En las lesiones tipos 1 y 2 se pueden obtener, generalmente, una reducción perfecta de la placa epifisaria. • Aunque si queda un moderado desplazamiento residual (anterior, posterior, medial o lateral) o una leve angulación, una segunda manipulación no suele ser precisa, debido a los fenómenos de remodelación. • Los criterios para una reducción aceptable son menos rígidos en la región de una articulación con movimiento multiplanar, como sucede en el hombro, que en una localización próxima a una articulación con un solo plano de movimiento, como sucede en la rodilla. • Las lesiones tipos 3 y 4 deben ser reducidas a la perfección, es decir, anatómicamente.
  • 97.
    Las lesiones La necesidad de un Pronóstico Seguimiento Tiempo de inmovilización seguimiento regular de tipos 1, 2 y 3 estos pacientes parece unen en Una parte de la obvia, y no siempre está aproximadament responsabilidad claro hasta cuándo se deben seguir a estos e la mitad de del cirujano en niños. tiempo que el tratamiento Los trastornos del requiere una de estas crecimiento pueden retrasarse hasta un fractura lesiones, es el año, al menos en sus metafisaria del informar a los manifestaciones, es al mismo hueso y a menos este tiempo el padres acerca período mínimo de la misma del pronóstico seguimiento. edad, por de la lesión sin Es conveniente realizar tanto, el tiempo un control radiológico a de inmovilización generar los 6 meses después de se puede reducir. ansiedades no la lesión incluyendo el lado contralateral sano. necesarias. Si durante este período Las lesiones tipo de tiempo el crecimiento 4, debido a su Se debe observado es localización, requ remarcar la mínimo, será necesario realizar un nuevo ieren el mismo importancia que control 6 meses más tiempo para la tiene el tarde para poder emitir unión que las seguimiento un pronóstico definitivo. fracturas clínico de estos
  • 98.
    Fallo en el dx Cierre precoz prema- Consoli- turo del creci- dación miento y viciosa tx Necrosi s avascul ar Complicaciones Pseudo -artrosis epifisia- ria Compli- cacione Osteo- s mielitis vascu- Compli- lares cacione s neuroló- gicas
  • 99.
    Falla en eldiagnóstico precoz  El fallo diagnóstico de las lesiones de tipo 1 es difícil de evitar en los niños que aún no tienen las epífisis  El error en diagnosticar una lesión de la placa epifisaria significa que el tratamiento adecuado se demora.  Esto puede ser especialmente importante en las fracturas inestables tipo 4 del cóndilo externo del húmero, el cual sino se trata puede evolucionar hacia la pseudoartrosis.  Un fallo en el reconocimiento de una lesión tipo 4 en rodilla o tobillo puede ocasionar una mala consolidación que origine un puente óseo fisario, por tanto, un cese prematuro del crecimiento de la placa epifisaria afecta.
  • 100.
    Consolidación viciosa  Cuando una lesión de los tipos 1 ó 2 han consolidado en una posición defectuosa, puede suceder una corrección espontánea de la deformidad si, como es habitual, la placa epifisaria continúa creciendo, el niño es joven y la deformidad está en el plano de movimiento de la articulación vecina, como sucede en una angulación posterior o anterior del fémur después de un desplazamiento epifisario del fémur distal.  Si la deformidad espontáneamente no se corrige o es difícil que lo consiga, puede precisar una osteotomía correctora.  Una consolidación viciosa de una lesión tipo 3 en el tobillo puede conducir a una artrosis, a menos que la incongruencia articular sea corregida quirúrgicamente.  Una mala consolidación de una lesión tipo 4 de la tibia distal, por ejemplo, indefectiblemente tiende al cese prematuro del crecimiento.
  • 101.
    Pseudoartrosis  La localización más frecuente de una pseudoartrosis tras una lesión de la placa epifisaria es la fractura del cóndilo externo del húmero, una complicación que origina complicaciones adicionales, como es la inestabilidad lateral del codo y eventualmente la parálisis tardía del nervio cubital.  La fractura desplazada del cóndilo externo humeral representa una indicación absoluta para la reducción abierta y fijación interna para prevenir la consolidación viciosa o la pseudoartrosis.
  • 102.
    Osteomielitis  Una lesión de la placa epifisaria abierta conlleva el mismo riesgo de osteomielitis que cualquier otra fractura abierta.  La osteomielitis en la región de la placa epifisaria, sin embargo, especialmente si está producida por Staphylococcus Aureus, puede ocasionar condrolisis de la placa cartilaginosa y tiende al cese prematuro del crecimiento.  Por lo tanto, el tratamiento de estas lesiones debe consistir en un desbridamiento meticuloso y administración profiláctica de antibióticos, dejando la herida abierta inicialmente para luego hacer un cierre cutáneo diferido
  • 103.
    Complicaciones neurológicas  Una lesión tipo 2 no reducida de la epífisis distal radial con angulación dorsal residual puede ocasionar una compresión del nervio mediano, manifestándose como un síndrome del túnel del carpo.  Lesiones por hiper-extensión en la región de la rodilla (lesiones tipos 1 ó 2 tanto de fémur distal, como de tibia proximal) están asociadas con riesgo de una importante lesión del ciático poplíteo interno, generalmente por tracción.  Un examen neurológico cuidadoso y documentar la lesión son esenciales antes de instaurar el tratamiento para distinguir la lesión ocasionada por el traumatismo de la causada por el tratamiento.
  • 104.
    Complicaciones vasculares  Las lesiones vasculares raramente se asocian con los desplazamientos epifisarios, excepto en la región de la rodilla, donde la arteria poplítea, junto con el nervio ciático poplíteo interno se encuentran en una localización de riesgo en estas lesiones por hiperextensión, como se explicó más arriba.  Además, un arrancamiento de la íntima que pasa desapercibido o una ruptura de la arteria poplítea secundaria a la hiperextensión puede llegar a producir gangrena precisando amputación.
  • 105.
    Necrosis avascualres perifericas  Los desplazamientos epifisarios tipo 1 del fémur proximal y radio proximal presentan un elevado riesgo de necrosis avascular de la epífisis, siendo esta complicación más importante que incluso la relacionada con la placa epifisaria.  Cuando una placa epifisaria pierde el aporte vascular, los condrocitos de la placa mueren y son sustituidos por fibrocitos con el resultante cese del crecimiento de la placa epifisaria.  La necrosis avascular de la epífisis de la cabeza femoral, a tan temprana edad, asocia además fallo en el crecimiento longitudinal del cuello, al seguir creciendo el trocánter mayor provoca una coxa vara funcional, pudiendo necesitar un descenso y lateralización del trocánter mayor para corregir la cojera de Trendelenburg.
  • 107.
    Pronóstico  Dependerá - Gravedad de la lesión - Edad - Localización de la lesión - Método de reducción