Ángel Cruz Salgado
R3CG
Centro Médico Nacional
Manuel Ávila Camacho
Puebla
Julio 2012
Hepatocarcinoma
1.Región del mundo (continente)
con mayor tasa de incidencia de
hepatocarcinoma
2. Mencione un Marcador tumoral
relacionado al hepatocarcinoma
3. Tres factores de riesgo para
hepatocarcinoma
4. De las PFH mencione las dos
más útiles para determinar la
síntesis hepática (reserva
funcional hepática)
5. Mencione 3 clasificaciones
utilizadas en la estadificación o
pronóstico de hepatocarcinoma
Contenido
 Epidemiología
 Factores de riesgo
 Marcadores
 Diagnóstico
 Estadificación
 Okuda
 BCLC
 CLIP
 CUPI
 GRETCH
 JIS
Introducción
 El carcinoma hepatocelular es un tumor maligno
derivado de los hepatocitos y es el tumor primario
del hígado más frecuente.
 Produce 1 millón de casos nuevos cada año
 Representa el 4.1 % de las neoplasias malignas
 Se relaciona con mortalidad elevada
Manual de Oncología Médica 4ª ed. 2010. Cáncer hepatocelular capítulo
47 pp 626-635
Introducción
 Existe una amplia variación geográfica: la mayor
concentración se observa en países asiáticos y
algunos africanos (Taiwan y Mozambique) con
incidencia de hasta l50 casos por 100 000
habitantes, lo que representa hasta el 50%de los
cánceres en esa área.
 En occidente tasa es de 2 a 3 casos por 100 mil
habitantes
Manual de Oncología Médica 4ª ed. 2010. Cáncer hepatocelular capítulo
47 pp 626-635
Tratado de Cirugía General Asociación Mexicana de Cirugía 2003.
Capítulo 114
Introducción
 Aunque no es el cáncer del aparato digestivo
más común en este medio ni en occidente, el
cáncer de hígado representa, a nivel mundial, la
neoplasia digestiva más frecuente.
Manual de Oncología Médica 4ª ed. 2010. Cáncer hepatocelular capítulo
47 pp 626-635
Introducción
 El tumor maligno de hígado es una de las
neoplasias más frecuentes en el mundo y la
primera que puede prevenirse mediante
vacunación contra un virus, el de la hepatitis B, y
la detección sistemática del virus de la hepatitis C
en la sangre y sus derivados.
Perfil epidemiológico de los tumores malignos en México. Junio 2011. Secretaria de
salud. Subsecretaría de prevención y promoción de la salud. Dirección general de
Epidemiología
Perfil epidemiológico de los tumores malignos en México. Junio 2011. Secretaria de
salud. Subsecretaría de prevención y promoción de la salud. Dirección general de
El carcinoma
hepatocelular es la
neoplasia primaria de
hígado más
frecuente. Su
prevalencia es mayor
en países en vías de
desarrollo, su
incidencia esta
aumentando en
estos
En México, en los últimos años, se ha notado una
considerable tendencia a la alza de la década de los 80
a la actualidad, en donde en promedio representa el
1.6% de las muertes por los tumores malignos.
Perfil epidemiológico de los tumores malignos en México. Junio 2011. Secretaria de
salud. Subsecretaría de prevención y promoción de la salud. Dirección general de
Perfil epidemiológico de los tumores malignos en México. Junio 2011. Secretaria de
salud. Subsecretaría de prevención y promoción de la salud. Dirección general de
Perfil epidemiológico de los tumores malignos en México. Junio 2011. Secretaria de
salud. Subsecretaría de prevención y promoción de la salud. Dirección general de
razón mujer-hombre 1.01
a 1Perfil epidemiológico de los tumores malignos en México. Junio 2011. Secretaria de
salud. Subsecretaría de prevención y promoción de la salud. Dirección general de
Perfil epidemiológico de los tumores malignos en México. Junio 2011. Secretaria de
salud. Subsecretaría de prevención y promoción de la salud. Dirección general de
Perfil epidemiológico de los tumores malignos en México. Junio 2011. Secretaria de
salud. Subsecretaría de prevención y promoción de la salud. Dirección general de
Perfil epidemiológico de los tumores malignos en México. Junio 2011. Secretaria de
salud. Subsecretaría de prevención y promoción de la salud. Dirección general de
México
DF
Veracruz
Puebla
Perfil epidemiológico de los tumores malignos en México. Junio 2011. Secretaria de
salud. Subsecretaría de prevención y promoción de la salud. Dirección general de
Factores de riesgo
Factores de riesgo
 Edad
 Historia familiar
 Consumo de alcohol
 Tabaquismo
 Virus Hepatitis B y C
 Ingesta de aflatoxinas
Perfil epidemiológico de los tumores malignos en México. Junio 2011. Secretaria de
salud. Subsecretaría de prevención y promoción de la salud. Dirección general de
Factores de riesgo
 Depende de la localización geográfica
 Asia subsahariana, Asia y Alaska es endémico y su
causa más común es el VHB
 Países con incidencia baja las causas más
comunes son infección viral crónica o consumo
elevado de alcohol
 70 a 90% de los CH se desarrolla en hígados
cirróticos.
Manual de Oncología Médica 4ª ed. 2010. Cáncer hepatocelular capítulo
47 pp 626-635
Factores de riesgo
 La infección crónica con VHC es un factor de riesgo
importante para el desarrollo de CH ya que hasta
75% presentan Ac positivos.
 El riesgo es mayor en presencia del genotipo 1b de
la hepatitis C
 Particularmente en pacientes de antigenemia
continua y en aquellos que tienen hepatitis crónica
activa
Manual de Oncología Médica 4ª ed. 2010. Cáncer hepatocelular capítulo
47 pp 626-635
http://cancer.gov/espanol/pdq/tratamiento/primario-de-higado-
adultos/HealthProfessional/
Cirrosis
Tratado de Cirugía General Asociación Mexicana de Cirugía 2003.
Capítulo 114
 El CH está relacionado con cirrosis en 50 a 80%
de los pacientes
 5% de los pacientes cirróticos eventualmente
desarrollan cáncer hepatocelular, que a menudo
es multifocal.
 Él hígado humano no cirrótico tiene una gran
capacidad para regenerarse después de una
hepatectomía parcial, puede tolerar 70 a 80% de
la resección con restitución con restitución
posterior en tamaño y función; sin embargo, el
hígado cirrótico no se comporta igual.http://cancer.gov/espanol/pdq/tratamiento/primario-de-higado-
adultos/HealthProfessional/
Efecto aditivo
 Existen pruebas de que los pacientes con
infección de ambos tipos de hepatitis B y C, que
consumen más de 80 gramos de alcohol por día,
tienen un riesgo más alto de desarrollar cáncer
(cociente de posibilidades [CP] = 7,3) cuando se
les compara con pacientes que se abstienen de
tomar alcohol
 Además, tener un pariente cercano con hepatitis
B más carcinoma hepatocelular, se relaciona con
un aumento del riesgo (CP = 2,41) en aquellos
familiares portadores de hepatitis B.
Chiaramonte M, Stroffolini T, Vian A, et al.: Rate of incidence of hepatocellular
carcinoma in patients with compensated viral cirrhosis. Cancer 85 (10): 2132-7, 1999.
Tagger A, Donato F, Ribero ML, et al.: Case-control study on hepatitis C virus (HCV) as
a risk factor for hepatocellular carcinoma: the role of HCV genotypes and the synergism
with hepatitis B virus and alcohol. Brescia HCC Study. Int J Cancer 81 (5): 695-9, 1999.
Factores de riesgo: Aflatoxinas
 Se ha visto implicada la aflatoxina como factor
importante en la etiología del cáncer primario del
hígado en aquellas partes del mundo donde esta
micotoxina se encuentra en grandes cantidades en
los alimentos ingeridos
 La ingesta de aflatoxinas (Aspergillus flavus y
parasiticus) altera el DNA del hepatocito, lo que
reduce la apoptosis y desencadena el desarrollo
del CH.
Manual de Oncología Médica 4ª ed. 2010. Cáncer hepatocelular capítulo
47 pp 626-635
http://cancer.gov/espanol/pdq/tratamiento/primario-de-higado-
adultos/HealthProfessional/
Factores de riesgo
 Anomalías adquiridas y heredadas
 Enfermedad por almacenamiento de glucógeno
 Enfermedad Wilson
 Hemocromatosis hereditaria
 Cirrosis criptogénica
 Hipoplasia de conductos biliares intrahepáticos
 Uso de anticonceptivos orales y esteroides anabólicos
andrógenos
 Diabetes mellitus
Manual de Oncología Médica 4ª ed. 2010. Cáncer hepatocelular capítulo
47 pp 626-635
Marcadores
MT: Alfafetoproteína
 Componente proteínico muy importante del
plasma fetal
 Al inicio del desarrollo fetal se sintetiza en el
endodermo visceral del saco vitelino y después
en el hígado
 Disminuyen después del nacimiento hasta
hacerse casi indetectables
 La expresión o aumento en las cifras de AFP es
notable en pacientes con CH
 Niveles mayores de 500 ng/ml son casi
diagnósticos
Manual de Oncología Médica 4ª ed. 2010. Cáncer hepatocelular capítulo
47 pp 626-635
Alfafetoproteína
 50 a 70% con CH tienen concentraciones
elevadas de AFP.
 Otras malignidades (carcinoma de células
germinales y, rara vez, carcinoma pancreático y
gástrico) también presentan concentraciones
séricas elevadas de esta proteína.
 Se ha mostrado que las concentraciones de AFP
en estudios como el RTOG-8301 tienen
importancia pronóstica, siendo la supervivencia
media de los pacientes negativos para AFP
significativamente mayor que la de pacientes
positivos a la AFP
Stillwagon GB, Order SE, Guse C, et al.: Prognostic factors in unresectable
hepatocellular cancer: Radiation Therapy Oncology Group Study 83-01. Int J Radiat
Oncol Biol Phys 20 (1): 65-71, 1991
Izumi R, Shimizu K, Kiriyama M, et al.: Alpha-fetoprotein production by hepatocellular
Diagnóstico
Clínica
 Diagnóstico temprano es difícil
 Frecuentemente son evidentes solo cuando existe
diseminación
 Malestar general
 Pérdida de peso
 Ascitis refractaria
 Hepatomegalia
 Progresión de la insuficiencia hepática
 Dolo abdominal CSD
 Pérdida de peso
 Masa palpable
Manual de Oncología Médica 4ª ed. 2010. Cáncer hepatocelular capítulo
47 pp 626-635
Clínica
 En pacientes hepatópatas la aparición súbita y
sin causa aparente de dolor abdominal, pérdida
de peso, fiebre, hepatomegalia o ascitis debe
hacer sospechar CH
Manual de Oncología Médica 4ª ed. 2010. Cáncer hepatocelular capítulo
47 pp 626-635
Clínica
 Síndromes paraneoplasicos
 Hipoglicemia
 Eritrocitosis
 Hipercalcemia
 Diarrea acuosa grave
 Manifestaciones cutáneas
 Dermatomiositis
 Pénfigo foláceo
 Porfira cutánea tarda
Manual de Oncología Médica 4ª ed. 2010. Cáncer hepatocelular capítulo
47 pp 626-635
Clínica
 Metástasis
 Pulmones
 Ganglios linfáticos regionales
 Sistema musculoesquelético
Manual de Oncología Médica 4ª ed. 2010. Cáncer hepatocelular capítulo
47 pp 626-635
Auxiliares diagnósticos: laboratorios
Tratado de Cirugía General Asociación Mexicana de Cirugía 2003.
Capítulo 114
 El tiempo de protrombina persistentemente
prolongado por más de tres segundos después
de la administración parenteral de vitamina K
significa una alteración en la coagulación así
como daño hepatocelular grave
 De todas las pruebas de funcionamiento hepático
disponibles, las de mayor importancia como
pruebas únicas en la determinación de la reserva
funcional hepática son el TP y la albúmina sérica
dado que son pruebas que reflejan la actividad
de síntesis del hígado
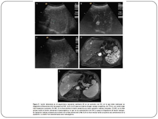
Auxiliares de diagnóstico
 USG
 Imágenes hipoecoicas, encapsuladas y con sombra
acústica, aunque en ocasiones aparecen como
alteraciones inespecíficas de la ecogenicidad, por
lo que resulta difícil diferenciarlas del daño
hepatocelular crónico.
 Sensibilidad (60-80%), Especificidad (45-96%)
 La sensibilidad en el CH alcanza 86%, pero en
lesiones menores de 2 cm es baja.
 Cada 6 meses en pacientes hepatópatas
Manual de Oncología Médica 4ª ed. 2010. Cáncer hepatocelular capítulo
47 pp 626-635
Auxiliares de diagnóstico
 RM
 No utiliza contraste intravenoso
 Es más eficaz que la TC para diferenciar el CH de
nódulos de regeneración
Manual de Oncología Médica 4ª ed. 2010. Cáncer hepatocelular capítulo
47 pp 626-635
Auxiliares de diagnóstico
 TAC
 Sensibilidad del 68% con especificidad de 93%, se
utiliza para precisar las alteraciones vistas en el
usg.
Manual de Oncología Médica 4ª ed. 2010. Cáncer hepatocelular capítulo
47 pp 626-635
Angiografía por resonancia
magnética
 Información sobre la anatomía arterial es útil para
excluir a algunos pacientes de ser tomados en
cuenta para la resección.
 La presencia de un tumor trombi en las venas
hepáticas, vena cava inferior o la vena portal,
pude alterar de forma significativa el enfoque de
tratamiento.
 Las exploraciones dinámicas de TC y de IRM
pueden documentar la relación del tumor con las
venas portales y hepáticas (y, en ocasiones, la
complicación de estas estructuras), delineando
los tumores para los cuales las posibilidades de
curación quirúrgica son remotas.
Karl RC, Morse SS, Halpert RD, et al.: Preoperative evaluation of patients for liver
resection. Appropriate CT imaging. Ann Surg 217 (3): 226-32, 1993
Laparoscopia diagnóstica
 Enfermedad metastásica
 Enfermedad bilobar
 Remanentes hepáticos inadecuados
Lo CM, Lai EC, Liu CL, et al.: Laparoscopy and laparoscopic ultrasonography avoid
exploratory laparotomy in patients with hepatocellular carcinoma. Ann Surg 227 (4): 527-
Auxiliares diagnósticos: laboratorios
Tratado de Cirugía General Asociación Mexicana de Cirugía 2003.
Capítulo 114
 Enfermos con cirrosis postnecrótica, con
determinaciones periódicas de α fetoproteína y
USG, es posible identificar a enfermos con
lesiones menores de 5 cm en forma oportuna,
posteriormente se completará el estudio con
TAC, IRM y en ocasiones con arteriografía
hepática.
Estadificación
Okuda
BCLC
CLIP
CUPI
GRETCH
JIS
Clasificación celular del cáncer
primario del hígado en adultos
 Carcinoma hepatocelular (carcinoma de células
hepáticas).
 Carcinoma hepatocelular (variante
fibrolamelar). [Una gran proporción de estos
pacientes pueden curarse si el tumor puede ser
operado. Se observa con mayor frecuencia en
mujeres jóvenes. En general este exhibe un curso
clínico más lento]
 Colangiocarcinoma (carcinoma de los conductos
biliares intrahepáticos).
 Colangiocarcinoma hepatocelular mixto.
 Indiferenciado.
 El hepatoblastoma rara vez se presenta en adultos.http://cancer.gov/espanol/pdq/tratamiento/primario-de-higado-
adultos/HealthProfessional/
TNM TUMOR PRIMARIO
TX no puede evaluarse tumor primario
T0 no hay prueba de tumor primario
T1 tumor solitario sin invasión vascular
T2 tumor solitario con invasión vascular o tumores
múltiples que individualmente no pasen de 5 cm
T3 tumores múltiples de más de 5 cm o tumor que
implica una rama mayor de la(s) vena(s) portal(es)
o hepática(s)
T4 tumor(es) con infiltración directa a órganos
adyacentes además de la vesícula biliar o con
perforación del peritoneo visceral
NCCN 2011
TNM GANGLIOS LINFATICOS REGIONALES
NX No pueden evaluarse los ganglios linfáticos
regionales
N0 No hay metástasis a ganglios linfáticos
regionales
N1 Metástasis a ganglios linfáticos regionales
NCCN 2011
TNM METÁSTASIS A DISTANCIA
MX: no puede evaluarse la presencia de metástasis a
distancia
M0 no hay metástasis a distancia
M1 metástasis a distancia
TNM
 Presencia o ausencia de infiltración vascular
(según se evalúa radiográfica o patológicamente)
 Número de nódulos tumorales (mono contra poli)
 Tamaño del tumor mayor (≤5 cm vs. <5 cm)
 Para la clasificación patológica, la infiltración
vascular incluye la macro y micro infiltración de
los vasos.
NCCN 2011
TNM
 La infiltración vascular mayor (T3) se define como
la infiltración de las ramas de la vena portal
mayor (vena portal derecha o izquierda; esto no
incluye las ramas segmentos o sectores) o como
infiltración de una o más de las tres venas
hepáticas (izquierda, derecha o central).
 Los tumores múltiples incluyen satelitosis,
tumores multifocales y metástasis intrahepática.
 Cuando hay infiltración de órganos adyacentes
además de la vesícula biliar o con perforación del
peritoneo visceral, se considera T4.
NCCN 2011
Agrupación por estadios del
AJCC
 Estadio I
 T1, N0, M0
 Estadio II
 T2, N0, M0
 Estadio IIIA
 T3, N0, M0
 Estadio IIIB
 T4, N0, M0
 Estadio IIIC
 Cualquier T, N1, M0
 Estadio IV
 Cualquier T, cualquier
N, M1
Barcelona Clinic Liver Cancer (1999)
Estadio Estado
general
Tamaño tumoral Okuda Función hepática
A: temprano
A1 0 Único < 3cm I Sin hipertensión
portal y bilirrubinas
normales
A2 0 Único < 3cm I Con hipertensión
portal y bilirrubinas
normales
A3 0 Único < 3cm I Hipertensión portal y
bilirrubinas altas
B:
intermedio
0 Tres tumores < 3cm o
tumor grande único
multinodulado
I-II Child-Pugh A-B
C: avanzado 1-2 Invasion vascular o
metástasis
extrahepática
I-II Child-Pugh A-B
D: terminal 3-4 Cualquiera III Child-Pugh C
Manual de Oncología Médica 4ª ed. 2010. Cáncer hepatocelular capítulo
47 pp 626-635
Estadiaje de Okuda
 Factores pronósticos negativos
 Presencia de ascitis
 Tumor mayor 50% (en forma bidimensional) del
hígado
 Albúmina sérica menor de 3.0 mg/dl
 Bilirrubina sérica mayor de 3 mg/dl
Estadio Número de
Factores
presentes
Supervivencia media
en meses
I 0 8.3
II 1-2 2
III 3-4 0.7
Manual de Oncología Médica 4ª ed. 2010. Cáncer hepatocelular capítulo
47 pp 626-635
Child-Pugh
Child – Pugh
Ascitis
Tiempo de protrombina
Hiperbilirrubinemia
Hipoalbuminemia
Child-Turcotte 1964
Ascitis
Desnutrición
Hiperbilirrubinemia
Hipoalbuminemia
Tratado de Cirugía General Asociación Mexicana de Cirugía 2003.
Capítulo 114
Child-Pugh
Puntos 1 2 3
Bilirrubinas
(mg/dl)
<2 2-3 >3
Albúmina (g/dl) >3.5 2.85-3.5 <2.8
TP (dif en
segundos)
1-3 4-6 >6
Ascitis Ausente Moderada Difícil control
Encefalopatía Ausente 1-2 3-4
Tratado de Cirugía General Asociación Mexicana de Cirugía 2003.
Capítulo 114
Puntos Mortalidad
Child A 5-6 1% (0-10%)
Child B 7-9 3-10% (11-30%)
Child C 10-15 50% (>40%)
Grados de encefalopatía
hepática
Conciencia, Intelectual, Neurológico, EEG
Grado Características
1 Falta de atención, cambio de personalidad, inversión del día y la
noche
Atención escasa
Incoordinación, asterixis leve
Desaceleración (5-6 cps) trifásica
2 Letárgico, conducta inapropiada
Desorientado
Asterixis, reflejos anormales
Desaceleración trifásica
3 Dormido, despertable
Pérdida de comunicación con significado
Asterixis, reflejos anormales
Desaceleración trifásica
4 Despertable
Ausente
Deserebrado
Muy lenta (2-3 cps) presencia de ondas lentas
PST: Performance status test
Grad
o
Característic
a
ECOG ( Eastern Cooperative Oncology Group)
0 Asintomático El paciente se encuentra totalmente asintomático y es capaz de
realizar un trabajo y actividades normales de la vida diaria.
I Incapacidad
activa mínima
El paciente presenta síntomas que le impiden realizar trabajos
arduos, aunque se desempeña normalmente en sus
actividades cotidianas y en trabajos ligeros. El paciente sólo
permanece en la cama durante las horas de sueño nocturno.
II Incapacidad
moderada
El paciente no es capaz de desempeñar ningún trabajo, se
encuentra con síntomas que le obligan a permanecer en la
cama durante varias horas al día, además de las de la noche,
pero que no superan el 50% del día. El individuo satisface la
mayoría de sus necesidades personales solo.
III Incapacidad
severa
El paciente necesita estar encamado más de la mitad del día
por la presencia de síntomas. Necesita ayuda para la mayoría
de las actividades de la vida diaria como por ejemplo el
vestirse.
IV Invalidez El paciente permanece encamado el 100% del día y necesita
ayuda para todas las actividades de la vida diaria, como por
ejemplo la higiene corporal, la movilización en la cama e
incluso la alimentación.
Revista Hospital Clínico Universidad de Chile Vol. 12 Nº2 año 2001
CLIP (Cancer of Liver Italian
Program)
Puntos 0 1 2
Child-Pugh A B C
Morfología del
tumor
Uninodular y
extensión menor
del 50%
Multinodular y
extensión menor
del 50%
Masivo o extensión
mayor del 50%
AFP Menor de 400 Mayor de 400
Trombosis portal No Si
Se usa para predecir la supervivencia, Sumatoria de todos los puntos
Puntos Supervivencia en meses
0 36
1 22
2 9
3 7
4-6 3
Estado actual del hepatocarcinoma y perspectivas futuras
I. Bilbao Aguirre, J.L. Lázaro Fernández, L. Castells Fuste y R. Charco Torras
julio-agosto 2010 | www.jano.es
CUPI: Índice pronóstico de la
Universidad de China
Parámetro -4 -3 -1 0 2 3 4
Bilirrubinas
(mg/dl)
Menor
1.9
1.9-2.8 2.9 y
mas
Ascitis Presente
Fosfatasa
alcalina
≥200
IU/L
TNM I y II III IV
AFP Mayor
500
Síntomas Ningun
o
Table 6Chinese University Prognostic Index (CUPI) risk groups in HCC.
Leung T,et al:Cancer 94:1760-1769,2002
Puntaje Riesgo
Menor o igual 1 Bajo
2-7 Intermedio
8 o mas Alto
GRETCH
JIS: sistema Integrado Japones
Table 3. Definitions of the JIS Score
Variable
Score
0 1 2 3
Child-
Turcotte-
Pugh stage
A B C —
TNM stage
by LCSGJ
I II III IV
JIS: sistema Integrado Japonés
JIS
1.Región del mundo (continente)
con mayor tasa de incidencia de
hepatocarcinoma
2. Mencione un Marcador tumoral
relacionado al hepatocarcinoma
3. Tres factores de riesgo para
hepatocarcinoma
4. De las PFH mencione las dos
más útiles para determinar la
síntesis hepática (reserva
funcional hepática)
5. Mencione 3 clasificaciones
utilizadas en la estadificación o
pronóstico de hepatocarcinoma
Hepatocarcinoma

Hepatocarcinoma

  • 1.
    Ángel Cruz Salgado R3CG CentroMédico Nacional Manuel Ávila Camacho Puebla Julio 2012 Hepatocarcinoma
  • 2.
    1.Región del mundo(continente) con mayor tasa de incidencia de hepatocarcinoma
  • 3.
    2. Mencione unMarcador tumoral relacionado al hepatocarcinoma
  • 4.
    3. Tres factoresde riesgo para hepatocarcinoma
  • 5.
    4. De lasPFH mencione las dos más útiles para determinar la síntesis hepática (reserva funcional hepática)
  • 6.
    5. Mencione 3clasificaciones utilizadas en la estadificación o pronóstico de hepatocarcinoma
  • 7.
    Contenido  Epidemiología  Factoresde riesgo  Marcadores  Diagnóstico  Estadificación  Okuda  BCLC  CLIP  CUPI  GRETCH  JIS
  • 8.
    Introducción  El carcinomahepatocelular es un tumor maligno derivado de los hepatocitos y es el tumor primario del hígado más frecuente.  Produce 1 millón de casos nuevos cada año  Representa el 4.1 % de las neoplasias malignas  Se relaciona con mortalidad elevada Manual de Oncología Médica 4ª ed. 2010. Cáncer hepatocelular capítulo 47 pp 626-635
  • 9.
    Introducción  Existe unaamplia variación geográfica: la mayor concentración se observa en países asiáticos y algunos africanos (Taiwan y Mozambique) con incidencia de hasta l50 casos por 100 000 habitantes, lo que representa hasta el 50%de los cánceres en esa área.  En occidente tasa es de 2 a 3 casos por 100 mil habitantes Manual de Oncología Médica 4ª ed. 2010. Cáncer hepatocelular capítulo 47 pp 626-635 Tratado de Cirugía General Asociación Mexicana de Cirugía 2003. Capítulo 114
  • 10.
    Introducción  Aunque noes el cáncer del aparato digestivo más común en este medio ni en occidente, el cáncer de hígado representa, a nivel mundial, la neoplasia digestiva más frecuente. Manual de Oncología Médica 4ª ed. 2010. Cáncer hepatocelular capítulo 47 pp 626-635
  • 11.
    Introducción  El tumormaligno de hígado es una de las neoplasias más frecuentes en el mundo y la primera que puede prevenirse mediante vacunación contra un virus, el de la hepatitis B, y la detección sistemática del virus de la hepatitis C en la sangre y sus derivados. Perfil epidemiológico de los tumores malignos en México. Junio 2011. Secretaria de salud. Subsecretaría de prevención y promoción de la salud. Dirección general de
  • 12.
  • 13.
    Perfil epidemiológico delos tumores malignos en México. Junio 2011. Secretaria de salud. Subsecretaría de prevención y promoción de la salud. Dirección general de El carcinoma hepatocelular es la neoplasia primaria de hígado más frecuente. Su prevalencia es mayor en países en vías de desarrollo, su incidencia esta aumentando en estos
  • 14.
    En México, enlos últimos años, se ha notado una considerable tendencia a la alza de la década de los 80 a la actualidad, en donde en promedio representa el 1.6% de las muertes por los tumores malignos. Perfil epidemiológico de los tumores malignos en México. Junio 2011. Secretaria de salud. Subsecretaría de prevención y promoción de la salud. Dirección general de
  • 15.
    Perfil epidemiológico delos tumores malignos en México. Junio 2011. Secretaria de salud. Subsecretaría de prevención y promoción de la salud. Dirección general de
  • 16.
    Perfil epidemiológico delos tumores malignos en México. Junio 2011. Secretaria de salud. Subsecretaría de prevención y promoción de la salud. Dirección general de
  • 17.
    razón mujer-hombre 1.01 a1Perfil epidemiológico de los tumores malignos en México. Junio 2011. Secretaria de salud. Subsecretaría de prevención y promoción de la salud. Dirección general de
  • 18.
    Perfil epidemiológico delos tumores malignos en México. Junio 2011. Secretaria de salud. Subsecretaría de prevención y promoción de la salud. Dirección general de
  • 19.
    Perfil epidemiológico delos tumores malignos en México. Junio 2011. Secretaria de salud. Subsecretaría de prevención y promoción de la salud. Dirección general de
  • 20.
    Perfil epidemiológico delos tumores malignos en México. Junio 2011. Secretaria de salud. Subsecretaría de prevención y promoción de la salud. Dirección general de
  • 21.
    México DF Veracruz Puebla Perfil epidemiológico delos tumores malignos en México. Junio 2011. Secretaria de salud. Subsecretaría de prevención y promoción de la salud. Dirección general de
  • 22.
  • 23.
    Factores de riesgo Edad  Historia familiar  Consumo de alcohol  Tabaquismo  Virus Hepatitis B y C  Ingesta de aflatoxinas Perfil epidemiológico de los tumores malignos en México. Junio 2011. Secretaria de salud. Subsecretaría de prevención y promoción de la salud. Dirección general de
  • 24.
    Factores de riesgo Depende de la localización geográfica  Asia subsahariana, Asia y Alaska es endémico y su causa más común es el VHB  Países con incidencia baja las causas más comunes son infección viral crónica o consumo elevado de alcohol  70 a 90% de los CH se desarrolla en hígados cirróticos. Manual de Oncología Médica 4ª ed. 2010. Cáncer hepatocelular capítulo 47 pp 626-635
  • 25.
    Factores de riesgo La infección crónica con VHC es un factor de riesgo importante para el desarrollo de CH ya que hasta 75% presentan Ac positivos.  El riesgo es mayor en presencia del genotipo 1b de la hepatitis C  Particularmente en pacientes de antigenemia continua y en aquellos que tienen hepatitis crónica activa Manual de Oncología Médica 4ª ed. 2010. Cáncer hepatocelular capítulo 47 pp 626-635 http://cancer.gov/espanol/pdq/tratamiento/primario-de-higado- adultos/HealthProfessional/
  • 26.
    Cirrosis Tratado de CirugíaGeneral Asociación Mexicana de Cirugía 2003. Capítulo 114  El CH está relacionado con cirrosis en 50 a 80% de los pacientes  5% de los pacientes cirróticos eventualmente desarrollan cáncer hepatocelular, que a menudo es multifocal.  Él hígado humano no cirrótico tiene una gran capacidad para regenerarse después de una hepatectomía parcial, puede tolerar 70 a 80% de la resección con restitución con restitución posterior en tamaño y función; sin embargo, el hígado cirrótico no se comporta igual.http://cancer.gov/espanol/pdq/tratamiento/primario-de-higado- adultos/HealthProfessional/
  • 27.
    Efecto aditivo  Existenpruebas de que los pacientes con infección de ambos tipos de hepatitis B y C, que consumen más de 80 gramos de alcohol por día, tienen un riesgo más alto de desarrollar cáncer (cociente de posibilidades [CP] = 7,3) cuando se les compara con pacientes que se abstienen de tomar alcohol  Además, tener un pariente cercano con hepatitis B más carcinoma hepatocelular, se relaciona con un aumento del riesgo (CP = 2,41) en aquellos familiares portadores de hepatitis B. Chiaramonte M, Stroffolini T, Vian A, et al.: Rate of incidence of hepatocellular carcinoma in patients with compensated viral cirrhosis. Cancer 85 (10): 2132-7, 1999. Tagger A, Donato F, Ribero ML, et al.: Case-control study on hepatitis C virus (HCV) as a risk factor for hepatocellular carcinoma: the role of HCV genotypes and the synergism with hepatitis B virus and alcohol. Brescia HCC Study. Int J Cancer 81 (5): 695-9, 1999.
  • 28.
    Factores de riesgo:Aflatoxinas  Se ha visto implicada la aflatoxina como factor importante en la etiología del cáncer primario del hígado en aquellas partes del mundo donde esta micotoxina se encuentra en grandes cantidades en los alimentos ingeridos  La ingesta de aflatoxinas (Aspergillus flavus y parasiticus) altera el DNA del hepatocito, lo que reduce la apoptosis y desencadena el desarrollo del CH. Manual de Oncología Médica 4ª ed. 2010. Cáncer hepatocelular capítulo 47 pp 626-635 http://cancer.gov/espanol/pdq/tratamiento/primario-de-higado- adultos/HealthProfessional/
  • 29.
    Factores de riesgo Anomalías adquiridas y heredadas  Enfermedad por almacenamiento de glucógeno  Enfermedad Wilson  Hemocromatosis hereditaria  Cirrosis criptogénica  Hipoplasia de conductos biliares intrahepáticos  Uso de anticonceptivos orales y esteroides anabólicos andrógenos  Diabetes mellitus Manual de Oncología Médica 4ª ed. 2010. Cáncer hepatocelular capítulo 47 pp 626-635
  • 30.
  • 31.
    MT: Alfafetoproteína  Componenteproteínico muy importante del plasma fetal  Al inicio del desarrollo fetal se sintetiza en el endodermo visceral del saco vitelino y después en el hígado  Disminuyen después del nacimiento hasta hacerse casi indetectables  La expresión o aumento en las cifras de AFP es notable en pacientes con CH  Niveles mayores de 500 ng/ml son casi diagnósticos Manual de Oncología Médica 4ª ed. 2010. Cáncer hepatocelular capítulo 47 pp 626-635
  • 32.
    Alfafetoproteína  50 a70% con CH tienen concentraciones elevadas de AFP.  Otras malignidades (carcinoma de células germinales y, rara vez, carcinoma pancreático y gástrico) también presentan concentraciones séricas elevadas de esta proteína.  Se ha mostrado que las concentraciones de AFP en estudios como el RTOG-8301 tienen importancia pronóstica, siendo la supervivencia media de los pacientes negativos para AFP significativamente mayor que la de pacientes positivos a la AFP Stillwagon GB, Order SE, Guse C, et al.: Prognostic factors in unresectable hepatocellular cancer: Radiation Therapy Oncology Group Study 83-01. Int J Radiat Oncol Biol Phys 20 (1): 65-71, 1991 Izumi R, Shimizu K, Kiriyama M, et al.: Alpha-fetoprotein production by hepatocellular
  • 33.
  • 34.
    Clínica  Diagnóstico tempranoes difícil  Frecuentemente son evidentes solo cuando existe diseminación  Malestar general  Pérdida de peso  Ascitis refractaria  Hepatomegalia  Progresión de la insuficiencia hepática  Dolo abdominal CSD  Pérdida de peso  Masa palpable Manual de Oncología Médica 4ª ed. 2010. Cáncer hepatocelular capítulo 47 pp 626-635
  • 35.
    Clínica  En pacienteshepatópatas la aparición súbita y sin causa aparente de dolor abdominal, pérdida de peso, fiebre, hepatomegalia o ascitis debe hacer sospechar CH Manual de Oncología Médica 4ª ed. 2010. Cáncer hepatocelular capítulo 47 pp 626-635
  • 36.
    Clínica  Síndromes paraneoplasicos Hipoglicemia  Eritrocitosis  Hipercalcemia  Diarrea acuosa grave  Manifestaciones cutáneas  Dermatomiositis  Pénfigo foláceo  Porfira cutánea tarda Manual de Oncología Médica 4ª ed. 2010. Cáncer hepatocelular capítulo 47 pp 626-635
  • 37.
    Clínica  Metástasis  Pulmones Ganglios linfáticos regionales  Sistema musculoesquelético Manual de Oncología Médica 4ª ed. 2010. Cáncer hepatocelular capítulo 47 pp 626-635
  • 38.
    Auxiliares diagnósticos: laboratorios Tratadode Cirugía General Asociación Mexicana de Cirugía 2003. Capítulo 114  El tiempo de protrombina persistentemente prolongado por más de tres segundos después de la administración parenteral de vitamina K significa una alteración en la coagulación así como daño hepatocelular grave  De todas las pruebas de funcionamiento hepático disponibles, las de mayor importancia como pruebas únicas en la determinación de la reserva funcional hepática son el TP y la albúmina sérica dado que son pruebas que reflejan la actividad de síntesis del hígado
  • 39.
    Auxiliares de diagnóstico USG  Imágenes hipoecoicas, encapsuladas y con sombra acústica, aunque en ocasiones aparecen como alteraciones inespecíficas de la ecogenicidad, por lo que resulta difícil diferenciarlas del daño hepatocelular crónico.  Sensibilidad (60-80%), Especificidad (45-96%)  La sensibilidad en el CH alcanza 86%, pero en lesiones menores de 2 cm es baja.  Cada 6 meses en pacientes hepatópatas Manual de Oncología Médica 4ª ed. 2010. Cáncer hepatocelular capítulo 47 pp 626-635
  • 43.
    Auxiliares de diagnóstico RM  No utiliza contraste intravenoso  Es más eficaz que la TC para diferenciar el CH de nódulos de regeneración Manual de Oncología Médica 4ª ed. 2010. Cáncer hepatocelular capítulo 47 pp 626-635
  • 50.
    Auxiliares de diagnóstico TAC  Sensibilidad del 68% con especificidad de 93%, se utiliza para precisar las alteraciones vistas en el usg. Manual de Oncología Médica 4ª ed. 2010. Cáncer hepatocelular capítulo 47 pp 626-635
  • 51.
    Angiografía por resonancia magnética Información sobre la anatomía arterial es útil para excluir a algunos pacientes de ser tomados en cuenta para la resección.  La presencia de un tumor trombi en las venas hepáticas, vena cava inferior o la vena portal, pude alterar de forma significativa el enfoque de tratamiento.  Las exploraciones dinámicas de TC y de IRM pueden documentar la relación del tumor con las venas portales y hepáticas (y, en ocasiones, la complicación de estas estructuras), delineando los tumores para los cuales las posibilidades de curación quirúrgica son remotas. Karl RC, Morse SS, Halpert RD, et al.: Preoperative evaluation of patients for liver resection. Appropriate CT imaging. Ann Surg 217 (3): 226-32, 1993
  • 52.
    Laparoscopia diagnóstica  Enfermedadmetastásica  Enfermedad bilobar  Remanentes hepáticos inadecuados Lo CM, Lai EC, Liu CL, et al.: Laparoscopy and laparoscopic ultrasonography avoid exploratory laparotomy in patients with hepatocellular carcinoma. Ann Surg 227 (4): 527-
  • 53.
    Auxiliares diagnósticos: laboratorios Tratadode Cirugía General Asociación Mexicana de Cirugía 2003. Capítulo 114  Enfermos con cirrosis postnecrótica, con determinaciones periódicas de α fetoproteína y USG, es posible identificar a enfermos con lesiones menores de 5 cm en forma oportuna, posteriormente se completará el estudio con TAC, IRM y en ocasiones con arteriografía hepática.
  • 54.
  • 57.
    Clasificación celular delcáncer primario del hígado en adultos  Carcinoma hepatocelular (carcinoma de células hepáticas).  Carcinoma hepatocelular (variante fibrolamelar). [Una gran proporción de estos pacientes pueden curarse si el tumor puede ser operado. Se observa con mayor frecuencia en mujeres jóvenes. En general este exhibe un curso clínico más lento]  Colangiocarcinoma (carcinoma de los conductos biliares intrahepáticos).  Colangiocarcinoma hepatocelular mixto.  Indiferenciado.  El hepatoblastoma rara vez se presenta en adultos.http://cancer.gov/espanol/pdq/tratamiento/primario-de-higado- adultos/HealthProfessional/
  • 58.
    TNM TUMOR PRIMARIO TXno puede evaluarse tumor primario T0 no hay prueba de tumor primario T1 tumor solitario sin invasión vascular T2 tumor solitario con invasión vascular o tumores múltiples que individualmente no pasen de 5 cm T3 tumores múltiples de más de 5 cm o tumor que implica una rama mayor de la(s) vena(s) portal(es) o hepática(s) T4 tumor(es) con infiltración directa a órganos adyacentes además de la vesícula biliar o con perforación del peritoneo visceral NCCN 2011
  • 59.
    TNM GANGLIOS LINFATICOSREGIONALES NX No pueden evaluarse los ganglios linfáticos regionales N0 No hay metástasis a ganglios linfáticos regionales N1 Metástasis a ganglios linfáticos regionales NCCN 2011
  • 61.
    TNM METÁSTASIS ADISTANCIA MX: no puede evaluarse la presencia de metástasis a distancia M0 no hay metástasis a distancia M1 metástasis a distancia
  • 62.
    TNM  Presencia oausencia de infiltración vascular (según se evalúa radiográfica o patológicamente)  Número de nódulos tumorales (mono contra poli)  Tamaño del tumor mayor (≤5 cm vs. <5 cm)  Para la clasificación patológica, la infiltración vascular incluye la macro y micro infiltración de los vasos. NCCN 2011
  • 63.
    TNM  La infiltraciónvascular mayor (T3) se define como la infiltración de las ramas de la vena portal mayor (vena portal derecha o izquierda; esto no incluye las ramas segmentos o sectores) o como infiltración de una o más de las tres venas hepáticas (izquierda, derecha o central).  Los tumores múltiples incluyen satelitosis, tumores multifocales y metástasis intrahepática.  Cuando hay infiltración de órganos adyacentes además de la vesícula biliar o con perforación del peritoneo visceral, se considera T4. NCCN 2011
  • 64.
    Agrupación por estadiosdel AJCC  Estadio I  T1, N0, M0  Estadio II  T2, N0, M0  Estadio IIIA  T3, N0, M0  Estadio IIIB  T4, N0, M0  Estadio IIIC  Cualquier T, N1, M0  Estadio IV  Cualquier T, cualquier N, M1
  • 65.
    Barcelona Clinic LiverCancer (1999) Estadio Estado general Tamaño tumoral Okuda Función hepática A: temprano A1 0 Único < 3cm I Sin hipertensión portal y bilirrubinas normales A2 0 Único < 3cm I Con hipertensión portal y bilirrubinas normales A3 0 Único < 3cm I Hipertensión portal y bilirrubinas altas B: intermedio 0 Tres tumores < 3cm o tumor grande único multinodulado I-II Child-Pugh A-B C: avanzado 1-2 Invasion vascular o metástasis extrahepática I-II Child-Pugh A-B D: terminal 3-4 Cualquiera III Child-Pugh C Manual de Oncología Médica 4ª ed. 2010. Cáncer hepatocelular capítulo 47 pp 626-635
  • 66.
    Estadiaje de Okuda Factores pronósticos negativos  Presencia de ascitis  Tumor mayor 50% (en forma bidimensional) del hígado  Albúmina sérica menor de 3.0 mg/dl  Bilirrubina sérica mayor de 3 mg/dl Estadio Número de Factores presentes Supervivencia media en meses I 0 8.3 II 1-2 2 III 3-4 0.7 Manual de Oncología Médica 4ª ed. 2010. Cáncer hepatocelular capítulo 47 pp 626-635
  • 67.
    Child-Pugh Child – Pugh Ascitis Tiempode protrombina Hiperbilirrubinemia Hipoalbuminemia Child-Turcotte 1964 Ascitis Desnutrición Hiperbilirrubinemia Hipoalbuminemia Tratado de Cirugía General Asociación Mexicana de Cirugía 2003. Capítulo 114
  • 68.
    Child-Pugh Puntos 1 23 Bilirrubinas (mg/dl) <2 2-3 >3 Albúmina (g/dl) >3.5 2.85-3.5 <2.8 TP (dif en segundos) 1-3 4-6 >6 Ascitis Ausente Moderada Difícil control Encefalopatía Ausente 1-2 3-4 Tratado de Cirugía General Asociación Mexicana de Cirugía 2003. Capítulo 114 Puntos Mortalidad Child A 5-6 1% (0-10%) Child B 7-9 3-10% (11-30%) Child C 10-15 50% (>40%)
  • 69.
    Grados de encefalopatía hepática Conciencia,Intelectual, Neurológico, EEG Grado Características 1 Falta de atención, cambio de personalidad, inversión del día y la noche Atención escasa Incoordinación, asterixis leve Desaceleración (5-6 cps) trifásica 2 Letárgico, conducta inapropiada Desorientado Asterixis, reflejos anormales Desaceleración trifásica 3 Dormido, despertable Pérdida de comunicación con significado Asterixis, reflejos anormales Desaceleración trifásica 4 Despertable Ausente Deserebrado Muy lenta (2-3 cps) presencia de ondas lentas
  • 70.
    PST: Performance statustest Grad o Característic a ECOG ( Eastern Cooperative Oncology Group) 0 Asintomático El paciente se encuentra totalmente asintomático y es capaz de realizar un trabajo y actividades normales de la vida diaria. I Incapacidad activa mínima El paciente presenta síntomas que le impiden realizar trabajos arduos, aunque se desempeña normalmente en sus actividades cotidianas y en trabajos ligeros. El paciente sólo permanece en la cama durante las horas de sueño nocturno. II Incapacidad moderada El paciente no es capaz de desempeñar ningún trabajo, se encuentra con síntomas que le obligan a permanecer en la cama durante varias horas al día, además de las de la noche, pero que no superan el 50% del día. El individuo satisface la mayoría de sus necesidades personales solo. III Incapacidad severa El paciente necesita estar encamado más de la mitad del día por la presencia de síntomas. Necesita ayuda para la mayoría de las actividades de la vida diaria como por ejemplo el vestirse. IV Invalidez El paciente permanece encamado el 100% del día y necesita ayuda para todas las actividades de la vida diaria, como por ejemplo la higiene corporal, la movilización en la cama e incluso la alimentación. Revista Hospital Clínico Universidad de Chile Vol. 12 Nº2 año 2001
  • 71.
    CLIP (Cancer ofLiver Italian Program) Puntos 0 1 2 Child-Pugh A B C Morfología del tumor Uninodular y extensión menor del 50% Multinodular y extensión menor del 50% Masivo o extensión mayor del 50% AFP Menor de 400 Mayor de 400 Trombosis portal No Si Se usa para predecir la supervivencia, Sumatoria de todos los puntos Puntos Supervivencia en meses 0 36 1 22 2 9 3 7 4-6 3 Estado actual del hepatocarcinoma y perspectivas futuras I. Bilbao Aguirre, J.L. Lázaro Fernández, L. Castells Fuste y R. Charco Torras julio-agosto 2010 | www.jano.es
  • 72.
    CUPI: Índice pronósticode la Universidad de China Parámetro -4 -3 -1 0 2 3 4 Bilirrubinas (mg/dl) Menor 1.9 1.9-2.8 2.9 y mas Ascitis Presente Fosfatasa alcalina ≥200 IU/L TNM I y II III IV AFP Mayor 500 Síntomas Ningun o Table 6Chinese University Prognostic Index (CUPI) risk groups in HCC. Leung T,et al:Cancer 94:1760-1769,2002 Puntaje Riesgo Menor o igual 1 Bajo 2-7 Intermedio 8 o mas Alto
  • 73.
  • 74.
    JIS: sistema IntegradoJapones Table 3. Definitions of the JIS Score Variable Score 0 1 2 3 Child- Turcotte- Pugh stage A B C — TNM stage by LCSGJ I II III IV
  • 75.
  • 76.
  • 77.
    1.Región del mundo(continente) con mayor tasa de incidencia de hepatocarcinoma
  • 78.
    2. Mencione unMarcador tumoral relacionado al hepatocarcinoma
  • 79.
    3. Tres factoresde riesgo para hepatocarcinoma
  • 80.
    4. De lasPFH mencione las dos más útiles para determinar la síntesis hepática (reserva funcional hepática)
  • 81.
    5. Mencione 3clasificaciones utilizadas en la estadificación o pronóstico de hepatocarcinoma