MIOCARDIOPATÍA DILATADA
LUIS RAÚL QUIÑIÑIR SALVATICI
RESIDENTE MEDICINA INTERNA - HHHA- UFRO - 2012
CASO CLINICO 1
CASO CLÍNICO






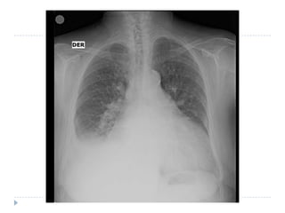
ILE, Sexo Femenino
Edad:
73 años
Domicilio:
Nueva Imperial
Ocupación:
Dueña de Casa
Antecedentes






HTA desde 1985
Diabetes Mellitus tipo 2 Dg 2002
ICC CF IIHA

MOTIVO CONSULTA



Cuadro de 3 días evolución
Disnea progresiva, edema de EEII, Disnea paroxística
nocturna, disminución de diuresis, fiebre (-) tos(-)
Examen físico






Sat 95% PA 158/66
Tax 36 C
Polipneica
SEGMENTARIO






Ingurgitación yugular +++
Cardiaco RR2T soplo holosistólico foco mitral irradiado a
axila
Pulmonar MP simétrico, abolido en base derecha,
crépitos base, sin sibilancias
Abdomen BDI RHA (+) no se palpa hígado
EEII Edema +++, Pulsos periféricos firmes simétricos
CASO CLINICO 2






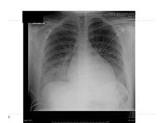
GNM
15 años
De Temuco
Antecedentes:




En control con neurología infantil
RM leve / TEA global
Usuario Metilfenidato 20 mg/día


De Junio a Diciembre 2011
Motivo de Consulta



El día de la consulta en la mañana comienza con
dificultad respiratoria y palpitaciones rápidas
persistentes.
Angor (-) Síncope (-) Sensación Febril (-)



Examen:








FC 146x
PA 95/52 Tax 36,4 Sat 95%
Yugulares Planas
RR2T sin soplos
MP (+) Simétrico sin ruidos agregados
Ecocardiograma
MIOCARDIOPATIA DILATADA
LUIS RAÚL QUIÑIÑIR SALVATICI
RESIDENTE MEDICINA INTERNA - HHHA- UFRO
Temario




Generalidades
Diagnostico
MCD idiopatica





MCD específicas









Genética
Miocarditis
Peri-parto
Alcohol
MCD por taquiarritmias
VIH

Tratamiento
Pronóstico
Introducción - Miocardiopatías


Grupo heterogéneo de enfermedades
caracterizadas por la afectación directa del
miocardio



Anormalidad en tamaño, grosor paredes o función
contráctil
Ausencia de:





Enfermedad Coronaria
HTA
Valvulopatía
Cardiopatía Congénita
Miocardiopatía dilatada

Dilatación

Disfunción
contráctil
Introducción / Miocardiopatía Dilatada



Afecta cualquier edad, sexo, raza
Más común en hombres



Prevalencia 1 en 2500 adultos
Incidencia 7 por 100.000 habitantes/año



Causa mas frecuente transplante cardiaco



Tipo familiar en 20-48% de los casos



Guías de práctica clínica de la Sociedad Española de Cardiología en miocardiopatías y miocarditis Rev Esp
Cardiol 2000; 53: 360-393
Diagnóstico / Clínica


Síntomas de ICC







Disnea
Ortopnea
Disnea paroxística nocturna
Edema periférico

Examen físico
 Cardiomegalia y signos de insuficiencia cardíaca.
 Ritmo de galope ventricular
 Soplo sistólico


Insuficiencia mitral, menos frecuentemente tricuspídea.

Guías de práctica clínica de la Sociedad Española de Cardiología en miocardiopatías y miocarditis Rev Esp
Cardiol 2000; 53: 360-393
Estudio básico


En el electrocardiograma,










Bloqueo AV de primer
grado
Bloqueo completo de rama
izquierda
Hemibloqueo anterior
Alteraciones inespecíficas
de conducción
intraventricular.
Fibrilación auricular.

La radiografía de tórax

Cardiomegalia
 Redistribución venosa por
Guías deinsuficiencia cardíaca.
práctica clínica de la Sociedad Española de Cardiología en miocardiopatías y miocarditis Rev Esp


Cardiol 2000; 53: 360-393
Estudio básico


Ecocardiografía
bidimensional y
Doppler






Útil para evaluar el
grado de dilatación y
disfunción ventricular
Excluir una patología
valvular o pericárdica
asociada
Severidad de la
regurgitación mitral y
tricúspide.

Guías de práctica clínica de la Sociedad Española de Cardiología en miocardiopatías y miocarditis Rev Esp
Cardiol 2000; 53: 360-393
Estudio Invasivo


Coronariografía





Biopsia Endomiocardica







Recomendación IIB
Miocardio hibernado

Consenso en que no debe utilizarse de rutina
Recomendación clase III
Sólo si se sospecha enfermedad sistémica que pueda afectar
al miocardio

Otros:



Estudio Viral (Enterovirus, Parvovirus B19, VHS6, VIH)
Autoinmunidad (Panel Reumatológico)

Guías de práctica clínica de la Sociedad Española de Cardiología en miocardiopatías y miocarditis Rev Esp
Cardiol 2000; 53: 360-393
CAUSAS
Causas
Idiopática
Miocarditis
Enfermedad isquémica del corazón
Enfermedad Infiltrativa
5%
Miocardiopatía periparto
Hipertensión
VIH
Enfermedad del tejido conectivo
El abuso de sustancias
3%
Doxorrubicina
Otros
1230

50%
9%
7%

4%
4%
4%
3%

1%
10%

pacientes
Underlying causes and long-term survival in patients with initially unexplained cardiomyopathy. N Engl J Med.
2000;342(15):1077.
Pronóstico

Variable survival in patients with dilated cardiomyopathy depending on underlying etiological basis. HIV = human immunodeficiency
virus. (From Felker GM, et al: N Engl J Med 342:1077-1084, 2000. Copyright 2000, Massachusetts Medical Society.)
MCD IDIOPATICA
Etiología

N Engl J Med 2011;364:1643-5
Patología
N Engl J Med 2011;364:1643-5
Recomendaciones

Journal of Cardiac Failure Vol. 15 No. 2
Recomendaciones


Screening en familiares primer grado asintomáticos








Anamnesis
Examen físico
Electrocardiograma
Ecocardiograma
CK-MB

Repetir estudios cada 3-5 años

Genetic Evaluation of Cardiomyopathy—A Heart Failure Society of America Pract
Recomendaciones


Consejo genético




Debe ser dado siempre
Dado son estudios complejos, derivar a centro
especializado
Estudio genético sólo en el paciente más afectado


Sólo con la indicación de facilitar el screening

Genetic Evaluation of Cardiomyopathy—A Heart Failure Society of America Pract
MIOCARDITIS
INFECCIONES VIRALES/AUTOINMUNIDAD
Inflamación e Infecciones




Se postula que infecciones virales pueden causar
miocardiopatía en personas susceptibles
Miocarditis linfocítica con o sin necrosis es pilar en el
diagnostico
Virus comúnmente relacionados










Parvovirus B19
Adenovirus
Coxsakie B (otros enterovirus)
Influenza A
VHS 6 // VHS 1
CMV
VEB
Hepatitis C
Bowles NE, Bowles KR, Towbin JA. Viral genomic detection and
outcome in myocarditis. Heart Fail Clin 2005; 1: 407–17.
Caforio, ALP, Baboonian, C, McKenna, WJ, Eur Heart J 1997; 18:1053.
¿Cuándo tomar biopsia?
¿Sirve de algo la biopsia?






Ensayo Clínico
111 pacientes
Inmunosupresores (Prednisona + Ciclosporina ó
Azatioprina) vs Placebo
Outcome primario fue cambio en FE%
Mortalida
d
Cambio en
FE%


Ensayo Clínico randomizado







Inmunoglobulina endovenosa versus placebo

62 pacientes con MCD reciente comienzo (<6 meses)
Outcome primario cambio en FE% a los 6 y 12 meses
Todos fueron a biopsia endomiocardica -> 16% se demostró
inflamación
Circulation. 2001;103:2254-2259
Autoinmunidad



Anticuerpos presentes en 30% pacientes con MCD
Presentes en el 20% familiares primer grado
En controles sólo 1 a 2 %



Evidencia MCD en enfermedades autoinmunes:









Lupus Eritematoso Sistémico
Enfermedad Celiaca

Rol aún no definido

Beta 1-adrenergic receptor autoantibodies mediate dilated
cardiomyopathy by agonistically inducing cardiomyocyte apoptosis.
OTRAS MIOCARDIOPATÍAS
Otras causas infecciosas…


VIH






Daño directo
Daño por TAR
Asociado a otros virus cardiotrópicos

Enfermedad de Chagas




Causa importante en Centro y Sudamérica
Caracterizado por:






Miocarditis aguda
Miocardiopatia dilatada
Taquicardia
Aneurismas Ventriculares apicales

Incidence of dilated cardiomyopathy and detection of HIV in myocardial cells of HIV-positive patients. Gruppo Italiano per lo Studio
Cardiologico dei Pazienti Affetti da AIDS N Engl J Med. 1998;339(16):1093
[Systolic and diastolic dysfunction in the indeterminate, digestive and chronic cardiac forms of Chagas' disease]. Arq Bras Cardiol.
Miocardiopatía Peri parto






1 mes previo al parto
5-6 meses post-parto
Importante hacer diagnostico diferencial con
pacientes con cardiopatía previa exacerbada.
Factores de riesgo:







Multiparidad.
Edad materna.
Afrodescendiente (93 al 100% de los casos).
Embarazos múltiples.
Miocardiopatía periparto previa.

Hilfi ker-Kleiner D, Sliwa K, Drexler H. Peripartum cardiomyopathy: recent
insights in its pathophysiology. Trends Cardiovasc Med 2008; 18: 173–79.
Miocardiopatía Peri parto


Teoría inmunológica:






Teoría viral:




Respuesta inmune humoral atenuada en el embarazo favorecería
la adquisición de infecciones y su replicación

Teoría apoptosis:




Enfermedad injerto contra huésped dirigida hacia un órgano
blanco.
El hecho de poner en contacto los antígenos del HMC paternos
con la circulación materna, crea una reacción inmunológica

Desbalance entre los mecanismos homeostáticos
proliferación celular

Teoría Hormonal


Efecto cardioprotector de los estrógenos

entre

una
Miocardiopatía inducida por taquicardia


Mayormente asociada con





Mecanismos poco conocidos






Fibrilación Atrial
TPSV

Reducción contractibilidad miocitos
Anormalidad de la arquitectura miocitos
Disminución respuesta al calcio

Reversible

LV and myocyte structure and function after early recovery from tachycardia-induced
cardiomyopathy. Am J Physiol. 1995;268(2 Pt 2):H836.
Miocardiopatía por Alcohol


Consumo excesivo de OH por más de 10 años



Alcohol y Acetaldehido producen alteraciones en:






Ciclo del Calcio
Respiración Mitocondrial
Sintesis Proteinas y lipidos
Estado redox
Incrementan apoptosis

Aistrup GL, Kelly JE, Piano MR, et al: Biphasic changes in cardiac excitation-contraction coupling early in
chronic alcohol exposure. Am J Physiol Heart Circ Physiol 2006; 291:H1047-H1057.
Miocardiopatía por Alcohol


Clínica




Hombres entre cuarta a
sexta década
Similar a MCD
idiopática
“Holiday Heart
Syndrome”

Klatsky AL. Alcohol and cardiovascular diseases. Expert Rev Cardiovasc Ther 2009; 7: 499–506.
Miocardiopatías por drogas


Cocaína


Puede ser causado por:







Efecto toxico directo
Estado hiperadrenérgico

Reversibilidad con la abstinencia

Antraciclinas








Radicales libres
Disrupción de Mitocondria
Interrupción cadena electrones

Dosis dependiende
Mal pronóstico // Profilaxis con Beta bloqueo?

Afonso L, Mohammad T, Thatai D. Crack whips the heart: a review of the cardiovascular toxicity of cocaine. Am J Cardiol 2007;
100: 1040–43
Wallace KB. Adriamycin-induced interference with cardiac mitochondrial calcium homeostasis. Cardiovasc Toxicol 2007; 7: 101–
TRATAMIENTO
Tratamiento


Bloqueo Neurohormonal








Beta Bloqueo
IECA
Espironolactona
Ibravadina

Dispositivos



Resincronizador
DAI

TRATAMIENTO
HABITUAL DE ICC
CON FE DISMINUIDA




361 pacientes
Seguidos durante 110 ± 53 meses
Objetivo: Conocer prevalencia y pronóstico del
remodelado inverso
Remodelado inverso



Incremento en FEVI en 10 o más unidades o una FEVI
igual o superior al 50%
Una reducción del diámetro telediastólico indexado de al
menos el 10% o bien un diámetro telediastólico indexado
de ≥ 33 mm/m2



FUE ENCONTRADO EN 37



% PACIENTES
MUCHAS GRACIAS

Luis Quiñiñir Salvatici
Residente Medicina Interna / UFRO

Miocardiopatia dilatada

  • 1.
    MIOCARDIOPATÍA DILATADA LUIS RAÚLQUIÑIÑIR SALVATICI RESIDENTE MEDICINA INTERNA - HHHA- UFRO - 2012
  • 2.
  • 3.
    CASO CLÍNICO      ILE, SexoFemenino Edad: 73 años Domicilio: Nueva Imperial Ocupación: Dueña de Casa Antecedentes     HTA desde 1985 Diabetes Mellitus tipo 2 Dg 2002 ICC CF IIHA MOTIVO CONSULTA   Cuadro de 3 días evolución Disnea progresiva, edema de EEII, Disnea paroxística nocturna, disminución de diuresis, fiebre (-) tos(-)
  • 4.
    Examen físico     Sat 95%PA 158/66 Tax 36 C Polipneica SEGMENTARIO      Ingurgitación yugular +++ Cardiaco RR2T soplo holosistólico foco mitral irradiado a axila Pulmonar MP simétrico, abolido en base derecha, crépitos base, sin sibilancias Abdomen BDI RHA (+) no se palpa hígado EEII Edema +++, Pulsos periféricos firmes simétricos
  • 7.
  • 8.
        GNM 15 años De Temuco Antecedentes:    Encontrol con neurología infantil RM leve / TEA global Usuario Metilfenidato 20 mg/día  De Junio a Diciembre 2011
  • 9.
    Motivo de Consulta  Eldía de la consulta en la mañana comienza con dificultad respiratoria y palpitaciones rápidas persistentes. Angor (-) Síncope (-) Sensación Febril (-)  Examen:      FC 146x PA 95/52 Tax 36,4 Sat 95% Yugulares Planas RR2T sin soplos MP (+) Simétrico sin ruidos agregados
  • 12.
  • 13.
    MIOCARDIOPATIA DILATADA LUIS RAÚLQUIÑIÑIR SALVATICI RESIDENTE MEDICINA INTERNA - HHHA- UFRO
  • 14.
  • 15.
    Introducción - Miocardiopatías  Grupoheterogéneo de enfermedades caracterizadas por la afectación directa del miocardio   Anormalidad en tamaño, grosor paredes o función contráctil Ausencia de:     Enfermedad Coronaria HTA Valvulopatía Cardiopatía Congénita
  • 16.
  • 17.
    Introducción / MiocardiopatíaDilatada   Afecta cualquier edad, sexo, raza Más común en hombres  Prevalencia 1 en 2500 adultos Incidencia 7 por 100.000 habitantes/año  Causa mas frecuente transplante cardiaco  Tipo familiar en 20-48% de los casos  Guías de práctica clínica de la Sociedad Española de Cardiología en miocardiopatías y miocarditis Rev Esp Cardiol 2000; 53: 360-393
  • 18.
    Diagnóstico / Clínica  Síntomasde ICC      Disnea Ortopnea Disnea paroxística nocturna Edema periférico Examen físico  Cardiomegalia y signos de insuficiencia cardíaca.  Ritmo de galope ventricular  Soplo sistólico  Insuficiencia mitral, menos frecuentemente tricuspídea. Guías de práctica clínica de la Sociedad Española de Cardiología en miocardiopatías y miocarditis Rev Esp Cardiol 2000; 53: 360-393
  • 19.
    Estudio básico  En elelectrocardiograma,       Bloqueo AV de primer grado Bloqueo completo de rama izquierda Hemibloqueo anterior Alteraciones inespecíficas de conducción intraventricular. Fibrilación auricular. La radiografía de tórax Cardiomegalia  Redistribución venosa por Guías deinsuficiencia cardíaca. práctica clínica de la Sociedad Española de Cardiología en miocardiopatías y miocarditis Rev Esp  Cardiol 2000; 53: 360-393
  • 20.
    Estudio básico  Ecocardiografía bidimensional y Doppler    Útilpara evaluar el grado de dilatación y disfunción ventricular Excluir una patología valvular o pericárdica asociada Severidad de la regurgitación mitral y tricúspide. Guías de práctica clínica de la Sociedad Española de Cardiología en miocardiopatías y miocarditis Rev Esp Cardiol 2000; 53: 360-393
  • 21.
    Estudio Invasivo  Coronariografía    Biopsia Endomiocardica     RecomendaciónIIB Miocardio hibernado Consenso en que no debe utilizarse de rutina Recomendación clase III Sólo si se sospecha enfermedad sistémica que pueda afectar al miocardio Otros:   Estudio Viral (Enterovirus, Parvovirus B19, VHS6, VIH) Autoinmunidad (Panel Reumatológico) Guías de práctica clínica de la Sociedad Española de Cardiología en miocardiopatías y miocarditis Rev Esp Cardiol 2000; 53: 360-393
  • 22.
  • 23.
    Causas Idiopática Miocarditis Enfermedad isquémica delcorazón Enfermedad Infiltrativa 5% Miocardiopatía periparto Hipertensión VIH Enfermedad del tejido conectivo El abuso de sustancias 3% Doxorrubicina Otros 1230 50% 9% 7% 4% 4% 4% 3% 1% 10% pacientes Underlying causes and long-term survival in patients with initially unexplained cardiomyopathy. N Engl J Med. 2000;342(15):1077.
  • 24.
    Pronóstico Variable survival inpatients with dilated cardiomyopathy depending on underlying etiological basis. HIV = human immunodeficiency virus. (From Felker GM, et al: N Engl J Med 342:1077-1084, 2000. Copyright 2000, Massachusetts Medical Society.)
  • 25.
  • 26.
    Etiología N Engl JMed 2011;364:1643-5
  • 27.
  • 29.
    N Engl JMed 2011;364:1643-5
  • 30.
  • 31.
    Recomendaciones  Screening en familiaresprimer grado asintomáticos       Anamnesis Examen físico Electrocardiograma Ecocardiograma CK-MB Repetir estudios cada 3-5 años Genetic Evaluation of Cardiomyopathy—A Heart Failure Society of America Pract
  • 32.
    Recomendaciones  Consejo genético    Debe serdado siempre Dado son estudios complejos, derivar a centro especializado Estudio genético sólo en el paciente más afectado  Sólo con la indicación de facilitar el screening Genetic Evaluation of Cardiomyopathy—A Heart Failure Society of America Pract
  • 34.
  • 35.
    Inflamación e Infecciones    Sepostula que infecciones virales pueden causar miocardiopatía en personas susceptibles Miocarditis linfocítica con o sin necrosis es pilar en el diagnostico Virus comúnmente relacionados         Parvovirus B19 Adenovirus Coxsakie B (otros enterovirus) Influenza A VHS 6 // VHS 1 CMV VEB Hepatitis C Bowles NE, Bowles KR, Towbin JA. Viral genomic detection and outcome in myocarditis. Heart Fail Clin 2005; 1: 407–17.
  • 36.
    Caforio, ALP, Baboonian,C, McKenna, WJ, Eur Heart J 1997; 18:1053.
  • 37.
  • 38.
    ¿Sirve de algola biopsia?     Ensayo Clínico 111 pacientes Inmunosupresores (Prednisona + Ciclosporina ó Azatioprina) vs Placebo Outcome primario fue cambio en FE%
  • 39.
  • 40.
     Ensayo Clínico randomizado     Inmunoglobulinaendovenosa versus placebo 62 pacientes con MCD reciente comienzo (<6 meses) Outcome primario cambio en FE% a los 6 y 12 meses Todos fueron a biopsia endomiocardica -> 16% se demostró inflamación
  • 41.
  • 42.
    Autoinmunidad  Anticuerpos presentes en30% pacientes con MCD Presentes en el 20% familiares primer grado En controles sólo 1 a 2 %  Evidencia MCD en enfermedades autoinmunes:      Lupus Eritematoso Sistémico Enfermedad Celiaca Rol aún no definido Beta 1-adrenergic receptor autoantibodies mediate dilated cardiomyopathy by agonistically inducing cardiomyocyte apoptosis.
  • 43.
  • 44.
    Otras causas infecciosas…  VIH     Dañodirecto Daño por TAR Asociado a otros virus cardiotrópicos Enfermedad de Chagas   Causa importante en Centro y Sudamérica Caracterizado por:     Miocarditis aguda Miocardiopatia dilatada Taquicardia Aneurismas Ventriculares apicales Incidence of dilated cardiomyopathy and detection of HIV in myocardial cells of HIV-positive patients. Gruppo Italiano per lo Studio Cardiologico dei Pazienti Affetti da AIDS N Engl J Med. 1998;339(16):1093 [Systolic and diastolic dysfunction in the indeterminate, digestive and chronic cardiac forms of Chagas' disease]. Arq Bras Cardiol.
  • 45.
    Miocardiopatía Peri parto     1mes previo al parto 5-6 meses post-parto Importante hacer diagnostico diferencial con pacientes con cardiopatía previa exacerbada. Factores de riesgo:      Multiparidad. Edad materna. Afrodescendiente (93 al 100% de los casos). Embarazos múltiples. Miocardiopatía periparto previa. Hilfi ker-Kleiner D, Sliwa K, Drexler H. Peripartum cardiomyopathy: recent insights in its pathophysiology. Trends Cardiovasc Med 2008; 18: 173–79.
  • 46.
    Miocardiopatía Peri parto  Teoríainmunológica:    Teoría viral:   Respuesta inmune humoral atenuada en el embarazo favorecería la adquisición de infecciones y su replicación Teoría apoptosis:   Enfermedad injerto contra huésped dirigida hacia un órgano blanco. El hecho de poner en contacto los antígenos del HMC paternos con la circulación materna, crea una reacción inmunológica Desbalance entre los mecanismos homeostáticos proliferación celular Teoría Hormonal  Efecto cardioprotector de los estrógenos entre una
  • 47.
    Miocardiopatía inducida portaquicardia  Mayormente asociada con    Mecanismos poco conocidos     Fibrilación Atrial TPSV Reducción contractibilidad miocitos Anormalidad de la arquitectura miocitos Disminución respuesta al calcio Reversible LV and myocyte structure and function after early recovery from tachycardia-induced cardiomyopathy. Am J Physiol. 1995;268(2 Pt 2):H836.
  • 48.
    Miocardiopatía por Alcohol  Consumoexcesivo de OH por más de 10 años  Alcohol y Acetaldehido producen alteraciones en:      Ciclo del Calcio Respiración Mitocondrial Sintesis Proteinas y lipidos Estado redox Incrementan apoptosis Aistrup GL, Kelly JE, Piano MR, et al: Biphasic changes in cardiac excitation-contraction coupling early in chronic alcohol exposure. Am J Physiol Heart Circ Physiol 2006; 291:H1047-H1057.
  • 49.
    Miocardiopatía por Alcohol  Clínica    Hombresentre cuarta a sexta década Similar a MCD idiopática “Holiday Heart Syndrome” Klatsky AL. Alcohol and cardiovascular diseases. Expert Rev Cardiovasc Ther 2009; 7: 499–506.
  • 50.
    Miocardiopatías por drogas  Cocaína  Puedeser causado por:     Efecto toxico directo Estado hiperadrenérgico Reversibilidad con la abstinencia Antraciclinas      Radicales libres Disrupción de Mitocondria Interrupción cadena electrones Dosis dependiende Mal pronóstico // Profilaxis con Beta bloqueo? Afonso L, Mohammad T, Thatai D. Crack whips the heart: a review of the cardiovascular toxicity of cocaine. Am J Cardiol 2007; 100: 1040–43 Wallace KB. Adriamycin-induced interference with cardiac mitochondrial calcium homeostasis. Cardiovasc Toxicol 2007; 7: 101–
  • 51.
  • 52.
  • 53.
       361 pacientes Seguidos durante110 ± 53 meses Objetivo: Conocer prevalencia y pronóstico del remodelado inverso
  • 54.
    Remodelado inverso  Incremento enFEVI en 10 o más unidades o una FEVI igual o superior al 50% Una reducción del diámetro telediastólico indexado de al menos el 10% o bien un diámetro telediastólico indexado de ≥ 33 mm/m2  FUE ENCONTRADO EN 37  % PACIENTES
  • 57.
    MUCHAS GRACIAS Luis QuiñiñirSalvatici Residente Medicina Interna / UFRO