NEUMOCONIOSIS
ENFERMEDAD LABORAL
Son enfermedades
ocupacionales pulmonares
causadas por inhalación,
retención y reacción
tisular de polvos
inorgánicos
PATRICIO MATOVELLE
¿A QUIENES?
 Trabajos en minas, neles, canteras, as, obras
blicas.
 Tallado y pulido de rocas ceas, trabajos de as.
 Trabajos en seco, de n, tamizado y n
de minerales o rocas.
 n de carborundo, vidrio, porcelana, loza y otros
productos micos, n y n
lice.
 n y n de abrasivos y de polvos
detergentes.
 Trabajos de desmoldeo, desbardado y desarenado en las
fundiciones.
¿A QUIENES?

lice libre.
 Trabajos en chorro de arena y esmeril.
 Industria mica.
 Industria rgica.
 n de refractarios.
 n de abrasivos.
 Industria del papel.
 n de pinturas, sticos y gomas
TIPOS DE POLVOS
• Por polvos inorgánicos
Mineral Inorgánicos
Silice Silicosis
Carbón Antracosis
Asbesto Asbestosis o Amiantosis
Hierro Siderosis
Berilio Beriliosis
Calcio Calcinosis
Estaño Estañosis
Aluminio Aluminosis
uros: Diamante, Cobalto, Titanio, Tungsteno, (son los más duros)
Mercurio, Oro, Plata, Mica
DEFINICIONES
 Polvo: n de materia lida,
particulada y dispersa en la sfera,
producida por procesos nicos y/o por el
movimiento del aire.
 n respirable del polvo: n
sica de las culas inhaladas que
penetran en las as respiratorias no ciliadas
(UNE- EN-481:1995 “ sferas en los puestos
de trabajo. n de las fracciones por el
o de las culas para la n de
aerosoles).
PATOGENIA
 Toda partícula mayor de 10 umno pueden ser
arrastradas por el aire o expulsadas por el
epitelio pulmonar
 Las que son menores de 5 um llegan al
alveolo y pueden pasar al intersticio donde
estas producen diversos mecanismos
inflamatorios que se muestran luego de varios
años de exposición continua.
SILICE
Término genérico con el que es conocido el
dióxido de silicio (Sio2).Es un componente importante
de la arena, rocas y minerales, siendo uno de los
minerales más abundantes en la corteza terrestre.
 En estado libre se presenta bajo diferentes formas
cristalinas o amorfas.
 Puede estar libre o combinada.
 combinado formando silicatos:
 Cuarzo (mas común)
 Cristobalita
 Tridimita
SILICOSIS
 CRÓNICA
 Tras 10 años de exposición continua con
concentraciones bajas
 AGUDA
 Luego de exposiciones intensas, luego de
semanas o menos de 5 años. Mal pronóstico.
 ACELERADA
 Entre 2 a 5 años después de exposición intensa,
con un alto potencial de formar fibrosis masiva
progresiva
RIEGOS DE ENFERMEDADES
GRAVES
 Cáncer de pulmón
 Cáncer de escroto (Carboneros)
 Silico-tuberculosis.
 EPOC
CLÍNICA
 Datos clínicos no son específicos.
 Formas leves no causan síntomas
 En etapas avanzadas: tos (primero) y disnea
Rx tórax:
 Formas simples nódulos redondeados densos
de 1.5-10 mm en campos pulmonares
superiores
 Formas complicadas: lesiones > 10 mm en uno
a dos tercios del pulmón. Calcificación de
ganglios en “cascara de huevo” ocurre en 5%
DIAGNÓSTICO
 Exposición laboral >5 años
 Radiografía con imágenes compatibles
DIAGNÓSTICOS DIFERENCIALES
 Linfangitis carcinomatosa
 Histoplasmosis
 TB miliar
 Neumonía por varicela
 Hemosiderosis
 Sarcoidosis
 Proteinosis alveolar
TRATAMIENTO
 Prevención (protección personal y control
ambiental)
 Tratamiento profiláctico con isoniazida en
pacientes con PPD +
 No existe tratamiento “efectivo”
CARBÓN (caolín)
 Incidencia debe ir disminuyendo en paralelo con la
n de la n trabajadora en minas
de n (la principal fuente de riesgo) ELEVADO
NÚMERO DE EXPUESTOS.
 Las lesiones elementales de la neumoconiosis de los
trabajadores del n (NTC) son las culas QUE
progresan a dulos con un contenido negruzco y
con prolongaciones ancladas en el tejido
circundante. Enfisema centrilobulillar con polvo.
 nicamente esta neumoconiosis es equiparable a
la silicosis. Su stico y n son iguales a
los de la silicosis.
VALOR LÍMITE AMBIENTAL
 En el o 2011 estos mites son los siguientes:
 n lice libre contenida en la
n respirable: 0,1 mg/m3.
 Cristobalita o tridimita: 0, 05 mg/m3.
 La concentración de la fracción
el mite de 3 mg/m3.
VALOR LÍMITE AMBIENTAL
 Aceptable, por lo que hay poca
probabilidad de superar el valor mite
 Indeterminada, no se puede asegurar
que no supere el valor mite
 Inaceptable, se supera el valor mite
¿QUE HACER?
 Inaceptable obliga al empresario a tomar
medidas preventivas, dado que implica
que se superan los niveles de referencia
(VLA) para las concentraciones de
agentes micos en el aire.
¿QUE HACER?
 La n de indeterminado obliga al
empresario a realizar s mediciones y/o
a tomar medidas preventivas para
disminuir la n de los
trabajadores.
 Luego de varias mediciones no se llega a
una conclución, se transforma en
inaceptable.
¿QUE HACER?
 Los valores de n a que n
sometidos los trabajadores se n
dicamente en fichas individualizadas
para cada trabajador a fin de conocer el
riesgo acumulado al que han estado
expuestos.
 Estas fichas se n a su
expediente dico.
ASBESTOSIS
 Asbesto: silicato mineral fibroso natural
(amianto), gran capacidad de aislamiento y
resistencia al calor, acidosis, álcalis,
revestimiento de cañerías, frenos y material
de techado. El mas utilizado: crisolita.
 Mas expuestos: industria de fibrocemento, textil,
naval, automotriz y trenes
 Neumoconiosis producida por inhalación de
fibras de amianto dando fibrosis pulmonar
intersticial lenta y progresiva (>15-20 años)
PATOGENIA
 Fibras de asbesto en bronquiolos
respiratorios y alveolos producen una
reaccion. Macrofagos fagocitan y
eliminan fibras cortas, pero no fibras de
mayor longitud (fagocitosis incompleta)
se liberan enzimas lisosomicas y material
fibrinógeno soluble.
CLINICA
 Síntomas carecen de especificidad.
 Tardíamente: disnea de esfuerzo y después
la tos
 Exploración física: crepitantes
posterobasales bilaterales en 70%
(precoz), acropaquías 50% (tardía)
RADIOGRAFÍA Y ESPIROMETRÍA
 Imágenes lineales en campos inferiores y
engrosamiento de pleura parietal 
calcifican (>20 años)
 Altera precozmente la espirometría:
patrón restrictivo REALCION VEF1 /CVF
normal o aumentada
COMPLICACIONES
 Carcinoma broncogénico: adenoCa, Ca
de células pequeñas o Ca epidermoide
 Mesotelioma maligno 5-8%
 Derrame pleural “benigno” (precoz)
 Insuficiencia respiratoria
 Cor pulmonale
DIAGNÓSTICO
 Historia de exposición
 Presencia de cuerpos de asbesto
 3 de los siguientes criterios
 Crepitantes
 Radiológicos
 CVF <80% y capacidad de difusión al CO
<80%
TRATAMIENTO
 No existe uno especifico
 Control ambiental
 Abstención de tabaco
 Uso de corticoides + tratamiento
sintomático
MASCARILLAS DE PREVENCIÓN
PARA PARTICULAS Y GASES
ÁCIDOS
 La cubierta en forma de red con resistencia a
la abrasión.
 Este filtro brinda protección contra polvos,
humos metálicos y neblinas con o sin aceite,
con un 100% de eficiencia de filtración y
trabajan eficazmente en áreas donde hay
presencia de niveles molestos de gases
ácidos.
 Cuentan con un Medio filtrante removedor
de gases.
PARA PARTICULAS, OZONO Y
VAPORES ORGÁNICAS
 Este filtro brinda protección contra
polvos, humos metálicos y neblinas con o
sin aceite, con un 100% de eficiencia de
filtración y trabajan eficazmente en áreas
donde hay presencia de niveles molestos
de vapores orgánicos.
 Cuentan con un Medio filtrante
removedor de olores.
PARA PARTICULAS
 Este filtro brinda protección contra polvos,
humos metálicos y neblinas con o sin
aceite, con una eficiencia de filtración
de un 100%.
ADAPTADOR UNIVERSAL PARA
FILTROS
GRACIAS

Enf Ocupacional Neumoconiosis

  • 1.
    NEUMOCONIOSIS ENFERMEDAD LABORAL Son enfermedades ocupacionalespulmonares causadas por inhalación, retención y reacción tisular de polvos inorgánicos PATRICIO MATOVELLE
  • 2.
    ¿A QUIENES?  Trabajosen minas, neles, canteras, as, obras blicas.  Tallado y pulido de rocas ceas, trabajos de as.  Trabajos en seco, de n, tamizado y n de minerales o rocas.  n de carborundo, vidrio, porcelana, loza y otros productos micos, n y n lice.  n y n de abrasivos y de polvos detergentes.  Trabajos de desmoldeo, desbardado y desarenado en las fundiciones.
  • 3.
    ¿A QUIENES?  lice libre. Trabajos en chorro de arena y esmeril.  Industria mica.  Industria rgica.  n de refractarios.  n de abrasivos.  Industria del papel.  n de pinturas, sticos y gomas
  • 4.
    TIPOS DE POLVOS •Por polvos inorgánicos Mineral Inorgánicos Silice Silicosis Carbón Antracosis Asbesto Asbestosis o Amiantosis Hierro Siderosis Berilio Beriliosis Calcio Calcinosis Estaño Estañosis Aluminio Aluminosis uros: Diamante, Cobalto, Titanio, Tungsteno, (son los más duros) Mercurio, Oro, Plata, Mica
  • 5.
    DEFINICIONES  Polvo: nde materia lida, particulada y dispersa en la sfera, producida por procesos nicos y/o por el movimiento del aire.  n respirable del polvo: n sica de las culas inhaladas que penetran en las as respiratorias no ciliadas (UNE- EN-481:1995 “ sferas en los puestos de trabajo. n de las fracciones por el o de las culas para la n de aerosoles).
  • 6.
    PATOGENIA  Toda partículamayor de 10 umno pueden ser arrastradas por el aire o expulsadas por el epitelio pulmonar  Las que son menores de 5 um llegan al alveolo y pueden pasar al intersticio donde estas producen diversos mecanismos inflamatorios que se muestran luego de varios años de exposición continua.
  • 7.
    SILICE Término genérico conel que es conocido el dióxido de silicio (Sio2).Es un componente importante de la arena, rocas y minerales, siendo uno de los minerales más abundantes en la corteza terrestre.  En estado libre se presenta bajo diferentes formas cristalinas o amorfas.  Puede estar libre o combinada.  combinado formando silicatos:  Cuarzo (mas común)  Cristobalita  Tridimita
  • 8.
    SILICOSIS  CRÓNICA  Tras10 años de exposición continua con concentraciones bajas  AGUDA  Luego de exposiciones intensas, luego de semanas o menos de 5 años. Mal pronóstico.  ACELERADA  Entre 2 a 5 años después de exposición intensa, con un alto potencial de formar fibrosis masiva progresiva
  • 9.
    RIEGOS DE ENFERMEDADES GRAVES Cáncer de pulmón  Cáncer de escroto (Carboneros)  Silico-tuberculosis.  EPOC
  • 10.
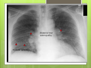
    CLÍNICA  Datos clínicosno son específicos.  Formas leves no causan síntomas  En etapas avanzadas: tos (primero) y disnea Rx tórax:  Formas simples nódulos redondeados densos de 1.5-10 mm en campos pulmonares superiores  Formas complicadas: lesiones > 10 mm en uno a dos tercios del pulmón. Calcificación de ganglios en “cascara de huevo” ocurre en 5%
  • 11.
    DIAGNÓSTICO  Exposición laboral>5 años  Radiografía con imágenes compatibles
  • 18.
    DIAGNÓSTICOS DIFERENCIALES  Linfangitiscarcinomatosa  Histoplasmosis  TB miliar  Neumonía por varicela  Hemosiderosis  Sarcoidosis  Proteinosis alveolar
  • 19.
    TRATAMIENTO  Prevención (protecciónpersonal y control ambiental)  Tratamiento profiláctico con isoniazida en pacientes con PPD +  No existe tratamiento “efectivo”
  • 20.
    CARBÓN (caolín)  Incidenciadebe ir disminuyendo en paralelo con la n de la n trabajadora en minas de n (la principal fuente de riesgo) ELEVADO NÚMERO DE EXPUESTOS.  Las lesiones elementales de la neumoconiosis de los trabajadores del n (NTC) son las culas QUE progresan a dulos con un contenido negruzco y con prolongaciones ancladas en el tejido circundante. Enfisema centrilobulillar con polvo.  nicamente esta neumoconiosis es equiparable a la silicosis. Su stico y n son iguales a los de la silicosis.
  • 22.
    VALOR LÍMITE AMBIENTAL En el o 2011 estos mites son los siguientes:  n lice libre contenida en la n respirable: 0,1 mg/m3.  Cristobalita o tridimita: 0, 05 mg/m3.  La concentración de la fracción el mite de 3 mg/m3.
  • 23.
    VALOR LÍMITE AMBIENTAL Aceptable, por lo que hay poca probabilidad de superar el valor mite  Indeterminada, no se puede asegurar que no supere el valor mite  Inaceptable, se supera el valor mite
  • 24.
    ¿QUE HACER?  Inaceptableobliga al empresario a tomar medidas preventivas, dado que implica que se superan los niveles de referencia (VLA) para las concentraciones de agentes micos en el aire.
  • 25.
    ¿QUE HACER?  Lan de indeterminado obliga al empresario a realizar s mediciones y/o a tomar medidas preventivas para disminuir la n de los trabajadores.  Luego de varias mediciones no se llega a una conclución, se transforma en inaceptable.
  • 26.
    ¿QUE HACER?  Losvalores de n a que n sometidos los trabajadores se n dicamente en fichas individualizadas para cada trabajador a fin de conocer el riesgo acumulado al que han estado expuestos.  Estas fichas se n a su expediente dico.
  • 27.
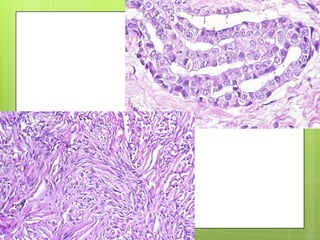
    ASBESTOSIS  Asbesto: silicatomineral fibroso natural (amianto), gran capacidad de aislamiento y resistencia al calor, acidosis, álcalis, revestimiento de cañerías, frenos y material de techado. El mas utilizado: crisolita.  Mas expuestos: industria de fibrocemento, textil, naval, automotriz y trenes  Neumoconiosis producida por inhalación de fibras de amianto dando fibrosis pulmonar intersticial lenta y progresiva (>15-20 años)
  • 28.
    PATOGENIA  Fibras deasbesto en bronquiolos respiratorios y alveolos producen una reaccion. Macrofagos fagocitan y eliminan fibras cortas, pero no fibras de mayor longitud (fagocitosis incompleta) se liberan enzimas lisosomicas y material fibrinógeno soluble.
  • 29.
    CLINICA  Síntomas carecende especificidad.  Tardíamente: disnea de esfuerzo y después la tos  Exploración física: crepitantes posterobasales bilaterales en 70% (precoz), acropaquías 50% (tardía)
  • 30.
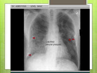
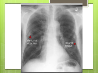
    RADIOGRAFÍA Y ESPIROMETRÍA Imágenes lineales en campos inferiores y engrosamiento de pleura parietal  calcifican (>20 años)  Altera precozmente la espirometría: patrón restrictivo REALCION VEF1 /CVF normal o aumentada
  • 40.
    COMPLICACIONES  Carcinoma broncogénico:adenoCa, Ca de células pequeñas o Ca epidermoide  Mesotelioma maligno 5-8%  Derrame pleural “benigno” (precoz)  Insuficiencia respiratoria  Cor pulmonale
  • 41.
    DIAGNÓSTICO  Historia deexposición  Presencia de cuerpos de asbesto  3 de los siguientes criterios  Crepitantes  Radiológicos  CVF <80% y capacidad de difusión al CO <80%
  • 42.
    TRATAMIENTO  No existeuno especifico  Control ambiental  Abstención de tabaco  Uso de corticoides + tratamiento sintomático
  • 43.
  • 44.
    PARA PARTICULAS YGASES ÁCIDOS  La cubierta en forma de red con resistencia a la abrasión.  Este filtro brinda protección contra polvos, humos metálicos y neblinas con o sin aceite, con un 100% de eficiencia de filtración y trabajan eficazmente en áreas donde hay presencia de niveles molestos de gases ácidos.  Cuentan con un Medio filtrante removedor de gases.
  • 45.
    PARA PARTICULAS, OZONOY VAPORES ORGÁNICAS  Este filtro brinda protección contra polvos, humos metálicos y neblinas con o sin aceite, con un 100% de eficiencia de filtración y trabajan eficazmente en áreas donde hay presencia de niveles molestos de vapores orgánicos.  Cuentan con un Medio filtrante removedor de olores.
  • 46.
    PARA PARTICULAS  Estefiltro brinda protección contra polvos, humos metálicos y neblinas con o sin aceite, con una eficiencia de filtración de un 100%.
  • 47.
  • 48.