Diagnóstico de Neumoconiosis
                         J



       José Torres Sales MD MBA
              Reader tipo “B” OIT
                  Neumólogo


                 Escuela de Medicina
         Oficina de investigación y Docencia
                   Sede San Borja
                   Sede San Borja
                   Sede San Borja
                   Sede San Borja
                   Sede San Borja
                   Sede San Borja
CASAS CALDERÓN


                                                         RESOLUCIÓN DEL TRIBUNAL CONSTITUCIONAL


Lima, 5 de julio de 2011


VISTO

El recurso de agravio constitucional interpuesto por don Carlos Antonio Casas Calderón contra la resolución expedida por la Sala Mixta y Liquidadora Penal de Pisco de
la Corte Superior de Justicia de Ica, de fojas 386, su fecha 8 de noviembre de 2010, que declaró improcedente la demanda de autos; y,

ATENDIENDO A

1. Que el recurrente interpone demanda de amparo contra Rímac Internacional Compañía de Seguros y Reaseguros solicitando que se le otorgue pensión de invalidez
vitalicia por padecer de enfermedad profesional conforme a la Ley 26790 y al Decreto Supremo 003-98-SA, que aprueba las Normas Técnicas del Seguro
Complementario de Trabajo de Riesgo.

2. Que en el fundamento 14 de la STC 02513-2007-PA/TC este Tribunal ha reiterado el precedente vinculante establecido en las Sentencias 6612-2005-PA/TC y
10087-2005-PA/TC, publicadas en el diario oficial El Peruano el 19 de enero de 2008, disponiendo que, en la vía del amparo, la acreditación de la enfermedad
profesional únicamente podrá efectuarse mediante un examen o dictamen médico emitido por una Comisión Médica Evaluadora de Incapacidades del Ministerio de
Salud, de EsSalud o de una EPS, conforme lo señala el artículo 26 del Decreto Ley 19990.

3. Que el demandante ha adjuntado el certificado de discapacidad expedido por el Hospital de Apoyo Provincial de Palpa (f. 4), de fecha 6 de marzo de 2007, en el que
                                                                                     Texto
se indica que padece de neumoconiosis-silicosis I grado, sordera moderada bilateral y reumatismo articular crónico, con un menoscabo global de 67%.

4. Que como se ha señalado, este Colegiado considera que el informe médico referido no es un documento idóneo para acreditar una enfermedad profesional, toda vez
que solo uno de los tres médicos firmantes se identifica como miembro integrante de una Comisión Médica. Asimismo, se aprecia que dicho medio probatorio no puede
ser considerado como dictamen médico pues no cumple las reglas establecidas en la Directiva Sanitaria 003-MINSA/DGSP-V.01 y en el Decreto Supremo 166-2005-EF,
es decir, que no cumple los requisitos de forma y de fondo.

5. Que adicionalmente es necesario precisar que la regla procesal que señala que el juez deberá requerir la presentación del respectivo dictamen de Comisión es
aplicable solo a los casos que se encontraban en trámite cuando la mencionada sentencia fue publicada. En el caso de autos, no se presenta dicho supuesto debido a que la
demanda se interpuso el 24 de abril de 2009.

6. Que en consecuencia, la controversia debe ser dilucidada en un proceso que cuente con etapa probatoria, de conformidad con lo establecido por el artículo 9 del
Código Procesal Constitucional; por lo que queda expedita la vía para que el demandante acuda al proceso que corresponda.

Por estas consideraciones, el Tribunal Constitucional, con la autoridad que le confiere la Constitución Política del Perú

RESUELVE

Declarar IMPROCEDENTE la demanda.

Publíquese y notifíquese.
Diagnóstico de Neumoconiosis
Define Factor de Riesgo
Historia Laboral.
Define algo?
Anamnesis y Cuadro Clinico
Define Diagnóstico
Radiografía de Tórax.
Define Menoscabo
Espirometría.
AGA(Análisis de Gases Arteriales )
Test DLCO.
Historia Laboral
Principales actividades que la producen


§ Minería y canteras.
§ Pulido de piedra y piedras de
  esmeril
§ Fabricación de ladrillos.
§ Detergente tipo pulitón.
§ Preparación y extracción de
  camisas refractarias para hornos
§ Limpieza con chorro de arena.
§ Fabricación de cerámicas,
  porcelana, esmalte.
§ Uso de arena como abrasivo.
según exposición a Polvo de Sílice Libre


EXPOSICIÓN SIGNIFICATIVA                                EXPOSICIÓN LEVE O NULA
Lampero                                                 Reactivista
Perforista (ayudante, oficial o maestro)                Timbrero
Motorista                                               Winchero
Enmaderador                                             Electricista
Carrilano                                               Muestrero
Shutero                                                 Soldador
Relleno hidráulico                                      Herramentero
Tubero                                                  Analista laboratorio
Operador máquina pesada (Scooptramp, Dumper)            Mecánico
Otros relacionados con la extracción del mineral        Almacenero
                                                        Supervisor
EXPOSICIÓN MODERADA                                     Seguridad (vigilante o sección)
Planta concentradora : chancador, molinero              Tractorista
   flotador.                                            Ingeniero mina
Fundición: Únicamente los que limpian hornos (moldes)   Carpintero
                                                        Albañil
                                                        Oficinista
Neumoconiosis
Cuadro Clínico



          Asintomático.
          Disnea.
          Tos no productiva.
EPID
Cuadro Clínico



 Examen clínico:
  Clubbing, Cianosis,
  Crepitantes.
 Cor Pulmonale e
  Insuficiencia
  Ventricular Derecha.
Cuando está avanzada comparte las
características clínicas de toda EPID


 Disminución de
  Amplexación bilateral.
• Taquipnea.
• Aumento de VV
• Submatidez bibasal.
• VELCRO
Debido a que es una Enfermedad con
Implicancias Laborales y Pensionarias;al ser
diagnosticada....Solo evaluaremos la Disnea

§ Grado I: Normal (coherente con la actividad desplegada).

§ Grado II: El paciente puede caminar al paso de las personas
 sanas de acuerdo a personas de su edad y constitución en
 terreno llano; pero no puede hacerlo en cuestas o escaleras.

§ Grado III: El paciente no puede caminar al mismo paso de las
 personas sanas de su edad y constitución pero puede caminar
 varias cuadras a su propia velocidad.

§ Grado IV: El paciente es incapaz de caminar más de una cuadra
 sin detenerse debido a la disnea

§ Grado V: El paciente tiene disnea de reposo.
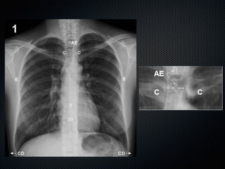
 La Radiografía de Tórax es la “Gold Standard “
     para el diagnóstico de Neumoconiosis.
•
    pero aprendamos primero..... como
    es el Procedimiento Técnico de
    Toma de Radiografías de Tórax
Procedimiento Técnico




       • Posicionamiento del paciente

       • Instrucciones para la respiración

       • Técnica utilizada
Procedimiento Técnico
      Posicionamiento del Paciente


• Posición erecta
» Ingurgitación de los vasos pulmonares
» Posición baja del diafragma




            Completa expansión de los
              campos pulmonares
Procedimiento Técnico
Posicionamiento del Paciente
Procedimiento Técnico
Posicionamiento del Paciente
Procedimiento Técnico
Posicionamiento del Paciente
Procedimiento Técnico
Posicionamiento del Paciente
Procedimiento Técnico
       Instrucciones para la Respiración
                • En inspiración
- Para ver pulmones (final de inspiración compl)
  - Para corazón (final de la inspiración normal)
               • En espiración:
          - Detectar cuerpos extraños
                  - Neumotórax
                 - Enfisemas




                         Se inhala más aire y con menos esfuerzo
                                 durante la 2º respiración
Radiografía Normal
Técnica de Alto Voltaje



                          § Voltajes de 60 a 80 Kv,
                            no permite tiempos de
                            exposición cortos.
                          § Mínimo 1/30 de
                            segundos.
                          § Permite un rango mayor
                            penetración.
                          § Disminuye la radiación.
                          § Mejor contraste.


         0/0
Características de una Radiografía de
          Tórax de Calidad

Esqueleto Regional Toráccico de D3 se
proyecta en el punto medio entre las
articulaciones esternoclaviculares.
Los bordes internos de las escapulas se
proyectan por fuera de la caja costal o
toca las partes laterales de las costillas.
El tórax se visualiza totalmente si puede
observarse la laringe y ambos senos costo
frénicos
Características de una Radiografía de
          Tórax de Calidad


 La exposición es suficientemente corta
  si el corazón, el diafragma y los vasos
      pulmonares grandes están bien
                delimitados
El grado de inspiración es adecuado si la cupula
diafragmatica se proyecta por debajo de la parte
            posterior de la IX costilla.
“SOBRE-EXPUESTA”
La Sobrexposición se excluye si las sombras
vasculares se reconocen en las partes periféricas del
pulmón.
“SUB-EXPUESTA”
La subexposición se excluye si los vasos lobulares
inferiores mas grandes y las vertebras toráccicas se
observan a traves de la sombra cardíaca
 “Antes de aprender a Leer
 Radiografías para el diagnóstico de
 Silicosis de acuerdo a OIT, debemos
    aprender a reconocer Patrones
  Radiológicos para el diagnóstico de
enfermedades respiratorias comunes y
         que son parecidas a la
            Neumoconiosis”
Estructura Histológica Pulmonar

• Septos interlobulares.
• Paredes alveolares.

• Espacio subpleural.

• Espacios perivasculares y peribronquiales.
• Dos Patrones Radiológicos principales.........




                                          30
Patrón Alveolar Difuso
Patrón Alveolar Difuso
               Alveolar proteinosis (proteinaceous fluid)
               Alveolar cell carcinoma (malignant cells)
               Bronchioloalveolar metastases (malignant
               cells from pancreas, breast)
               Pulmonary lymphoma (malignant
               lymphocytes)
               Lymphocytic interstitial pneumonia
               (lymphoplasmacytic cells)
               Alveolar sarcoid (lymphocyte-macrophage
               alveolitis or confluent granuloma)
               Desquamative interstitial pneumonia
               (macrophages)
               Diffuse alveolar hemorrhage (red blood
               cells; hemosiderin-filledmacrophages)
               Eosinophilic pneumonia (eosinophils,
               macrophages; lymphocytes)
               Alveolar microlithiasis (calcium-phosphate
               microliths)
               Bronchiolitis obliterans with organizing
               pneumonia (Masson bodies)
               Mineral oil aspiration (lipid-filled macrophages)
               Acute hypersensitivity pneumonia
               (lymphoplasmacytic cells)
Patrón Intersticial Difuso
“Si una opacidad aparece borrosa u
 homogénea en la radiografía simple pero en
un examen más minucioso está constituida por
 pequeños puntos o líneas, es más probable
                     Texto

que corresponda a un patrón intersticial que a
              uno consolidativo”
Patrón Intersticial lineal

• Existe
       presencia de opacidades lineales sobreañadidas en
el pulmón ( líneas C de Kerley ), más profusas en las bases
pulmonares.


• Presencia de engrosamientos septales, mejor
desarrollados en la periferia y base pulmonar
( líneas B de Kerley ).
Patrón intersticial
     lineal o reticular
• Diseminación linfangítica de
tumores.
• Inflamación:
Colagenopatías ,Infecciones,
Idiopática.
• Fibrosis: postinflamatoria,
postrradiación.
• Edema
Patrón intersticial nodular
     “No confundir nódulos intersticiales con
              nódulos alveolares”
 Los nódulos intersticiales son homogéneos
entre sí, menores a 5 mm y poseen márgenes
                bien definidos


                        Causas:
• Granulomas
• Metástasis: periféricas, dif. tamaño
• Neumoconiosis.
Patrón Nodular
DIAGNOSTICO DIFERENCIAL DE LOS NÓDULOS
            PERILINFÁTICOS
Diagnóstico
Comentarios
Sarcoidosis
Bien definidos; principalmente peribroncovasculares y a
lo largo de la cisuras interlobulares; predominio por los
lóbulos superiores
Silicosis y Neumoconiosis de los trabajadores del carbón
Centrilobulillar, subpleural, simétrico; predominio
posterior y lóbulos superiores
Carcinomatosis linfangítica
Septal, peribroncovascular; más comúnmente bilateral
simétrica, pueden ser asimétricas y parcheadas o
unilaterales
Neumonía intersticial linfocítica
Hiperplasia linfoide
Bien definidos o mal definidos; principalmente
peribronquiales. Comúnmente tiene vidrio esmerilado; la
NIL tiene quistes comúnmente


                                                            37
Patrón retículo nodular




                          38
Patrón en panal
   de abejas
Representa la destrucción
del parénquima pulmonar,
la causa más frecuente es
    la Fibrosis pulmonar
       idiopática (FPI).
Patrón nodular (micronodular). TB miliar
             Nódulos finos. TBC diseminada
Patrón nodular. Enfermedad granulomatosa . Coccidiodomicosis
Patrón nodular. Enfermedad granulomatosa . Sarcoidosis
Línea B de Kerley




Patrón lineal ( reticular). Fase inicial de FPI
Patrón retículonodular
         FPI
Patrón retículonodular en la periferia, patrón de panal de abejas en las bases. FPI .
( No existe pérdida de volumen debido a coexistencia de EPOC)
Patrón nodular. Silicosis.
Silicosis
Silicosis. Conglomerado de nódulos
Patrón nodular con coalescencia. Retracción hiliar,
calcificación en cáscara de huevo. Cavidad superior dicha que
                    alberga TBC. Silicosis.
Texto
 Texto




         50
GEMO - 008 Lectura de Placas Radiográficas
Revisión OIT 2000
OIT 2000


§ Los negatoscopios para observar las radiografías que se desea
  clasificar y las radiografías estándar se situarán a unos 250
  mm de distancia.
§ El número mínimo de espacios de observación es de dos, lo
  que permite comparar la radiografía del sujeto y las
  radiografías estándar.
§ La sala dispondrá de una iluminación general tenue, sin luz de
  día directa, y será silenciosa, cómoda y sin distracciones.
§ Para un estudio en particular. Cuando el número de
  radiografías por clasificar sea muy grande, será muy útil
  contar con personal auxiliar que ayude a registrar los
  resultados.
MO - 008 Lectura de Placas RadiográficasRevisión                OIT 20




    § El número de radiografías que es posible clasificar por
      unidad de tiempo varía mucho.

    § Se han constatado variaciones considerables entre las
      lecturas múltiples de algunas radiografías, (variación
      entre observadores), (variación intra-observador). Se
      recomienda que en los estudios Epidemiológicos haya
      al menos dos lectores (o más, de ser posible) que
      clasifiquen de forma independiente todas las
      radiografías.

    § Cuando se vayan a leer muchas radiografías, la
      variación intra-observador (la variación en lecturas
      repetidas de una misma radiografía por un mismo
      lector) debería ser registrada
Calidad Técnica GEMO-008 Revisión OIT 2000


§ Calidad Técnica
§ Opacidades Pequeñas
§ Opacidades Grandes
§ Engrosamiento Pleural
§ Calcificación Pleural
§ Símbolos



                           GEMO-008/Guías de Evaluación Médico Ocupacional
Calidad Técnica
GEMO-008 Revisión OIT 2000



                                                         • Penetración
      1   =   buena                                      • Centrado
      2   =   aceptable                                  • Contraste
      3   =   mala                                       • Definición
      4   =   inaceptable                                • Inspiración



                 GEMO-008/Guías de Evaluación Médico Ocupacional
OIT v. 2000

aa aorta arteriosclerótica

at engrosamiento apical pleural.
cg nódulo calcificado no
   neumoconiótico o nódulo.
kl líneas de Kerley.

ms    mesotelioma.

pa atelectasia laminar.

pb   banda parenquimal.
ra   atelectasia redonda.
bu   bullas.
ca   cáncer de pulmón.
cv   cavidad.
em   enfisema.
px   neumotórax.
Od    Otra alteración significativa
tb   Tuberculosis
1/2 p/q; ax; co
• Definido el diagnóstico....definamos el
  Menoscabo .......




                                            59
Tras una inspiración máxima, se le pide al paciente que
realice una espiración de todo el aire, en el menor
tiempo posible..
                                                          aumento de la velocidad
Patrón Restrictivo


Disminución de CPT por alteración
del parénquima pulmonar (fibrosis,
ocupación), del tórax (rigidez,
deformidad) ó de los músculos
respiratorios.


          FVC disminuido

              FEV1 normal

         FEV1/FVC normal
Evaluación Funcional
Interpretación de la Espirometría
ATS 2005



                                    VEF1/CVF
                       CV                       VEF1"
     ALTERACION




       ASMA       N ó Disminuido   Disminuido   Disminuido




       EPOC       N ó Disminuido   Disminuido   Disminuido

                                                Normal    ó
  NEUMOCONIOSIS      Disminuido      Normal     Aumentado
Tabla de Menoscabo

                                                                             Menoscabo
 Clase     Disnea      Radiografía de    Espirometría             AGA         Global
                       Tórax (OIT)

                                                                                0
 Normal    Grado I      0/0, 1/0, 0/1
                                           Valores > 80%         Normal.
                                        65%--79% -(restrictivo               51-65%
                                               Leve)             Sat > 85%
           Grado II       1/1, 1/2
   I
                                           55-64%(defecto                    66%-75%
   II                                        restrictivo)        Sat>85%
           Grado III    2/1, 2/2, 2/3

                                         < 55%(restrictiva,                   > 75%
   III                                  obstructiva ó mixta)
          Grado IV o    3/2, 3/3, 3/+                            Sat < 85%
              V
Claves para el diagnóstico de
Neumoconiosis
 1. Historia laboral en puesto de trabajo con
   exposición al riesgo de inhalación de polvo de
   sílice libre, durante un mínimo de 10 años.
   (OSHA 15-20 años).
 2. No existe enfermedad ocupacional sin
   exposición al riesgo.
 3. Imágenes radiográficas pulmonares de fibrosis
   pulmonar micronodular, codificadas según la
   Clasificación Internacional de la OIT, 2000.
 4. La profusión de imágenes aumenta con el
   tiempo, aún después de haber cesado la
   exposición al polvo de sílice libre.
Claves para el diagnóstico de
Neumoconiosis
5 La evolución de la neumoconiosis es progresiva
 ..

  e irreversible. No existe neumoconiosis estable
  en el tiempo.
6. No existe una correlación lineal entre las
  imágenes radiográficas, el deterioro funcional
  respiratorio y los síntomas y signos clínicos.
7. Para la determinación del grado de
  incapacidad ,la presencia de clínica y función
  pulmonar deteriorada representa un plus.
8. Existe una disposición particular de cada
  individuo, por lo que no todos los expuestos
  presentan neumoconiosis .

Como diagnosticar Neumoconiosis

  • 1.
    Diagnóstico de Neumoconiosis J José Torres Sales MD MBA Reader tipo “B” OIT Neumólogo Escuela de Medicina Oficina de investigación y Docencia Sede San Borja Sede San Borja Sede San Borja Sede San Borja Sede San Borja Sede San Borja
  • 2.
    CASAS CALDERÓN RESOLUCIÓN DEL TRIBUNAL CONSTITUCIONAL Lima, 5 de julio de 2011 VISTO El recurso de agravio constitucional interpuesto por don Carlos Antonio Casas Calderón contra la resolución expedida por la Sala Mixta y Liquidadora Penal de Pisco de la Corte Superior de Justicia de Ica, de fojas 386, su fecha 8 de noviembre de 2010, que declaró improcedente la demanda de autos; y, ATENDIENDO A 1. Que el recurrente interpone demanda de amparo contra Rímac Internacional Compañía de Seguros y Reaseguros solicitando que se le otorgue pensión de invalidez vitalicia por padecer de enfermedad profesional conforme a la Ley 26790 y al Decreto Supremo 003-98-SA, que aprueba las Normas Técnicas del Seguro Complementario de Trabajo de Riesgo. 2. Que en el fundamento 14 de la STC 02513-2007-PA/TC este Tribunal ha reiterado el precedente vinculante establecido en las Sentencias 6612-2005-PA/TC y 10087-2005-PA/TC, publicadas en el diario oficial El Peruano el 19 de enero de 2008, disponiendo que, en la vía del amparo, la acreditación de la enfermedad profesional únicamente podrá efectuarse mediante un examen o dictamen médico emitido por una Comisión Médica Evaluadora de Incapacidades del Ministerio de Salud, de EsSalud o de una EPS, conforme lo señala el artículo 26 del Decreto Ley 19990. 3. Que el demandante ha adjuntado el certificado de discapacidad expedido por el Hospital de Apoyo Provincial de Palpa (f. 4), de fecha 6 de marzo de 2007, en el que Texto se indica que padece de neumoconiosis-silicosis I grado, sordera moderada bilateral y reumatismo articular crónico, con un menoscabo global de 67%. 4. Que como se ha señalado, este Colegiado considera que el informe médico referido no es un documento idóneo para acreditar una enfermedad profesional, toda vez que solo uno de los tres médicos firmantes se identifica como miembro integrante de una Comisión Médica. Asimismo, se aprecia que dicho medio probatorio no puede ser considerado como dictamen médico pues no cumple las reglas establecidas en la Directiva Sanitaria 003-MINSA/DGSP-V.01 y en el Decreto Supremo 166-2005-EF, es decir, que no cumple los requisitos de forma y de fondo. 5. Que adicionalmente es necesario precisar que la regla procesal que señala que el juez deberá requerir la presentación del respectivo dictamen de Comisión es aplicable solo a los casos que se encontraban en trámite cuando la mencionada sentencia fue publicada. En el caso de autos, no se presenta dicho supuesto debido a que la demanda se interpuso el 24 de abril de 2009. 6. Que en consecuencia, la controversia debe ser dilucidada en un proceso que cuente con etapa probatoria, de conformidad con lo establecido por el artículo 9 del Código Procesal Constitucional; por lo que queda expedita la vía para que el demandante acuda al proceso que corresponda. Por estas consideraciones, el Tribunal Constitucional, con la autoridad que le confiere la Constitución Política del Perú RESUELVE Declarar IMPROCEDENTE la demanda. Publíquese y notifíquese.
  • 3.
    Diagnóstico de Neumoconiosis DefineFactor de Riesgo Historia Laboral. Define algo? Anamnesis y Cuadro Clinico Define Diagnóstico Radiografía de Tórax. Define Menoscabo Espirometría. AGA(Análisis de Gases Arteriales ) Test DLCO.
  • 4.
    Historia Laboral Principales actividadesque la producen § Minería y canteras. § Pulido de piedra y piedras de esmeril § Fabricación de ladrillos. § Detergente tipo pulitón. § Preparación y extracción de camisas refractarias para hornos § Limpieza con chorro de arena. § Fabricación de cerámicas, porcelana, esmalte. § Uso de arena como abrasivo.
  • 5.
    según exposición aPolvo de Sílice Libre EXPOSICIÓN SIGNIFICATIVA EXPOSICIÓN LEVE O NULA Lampero Reactivista Perforista (ayudante, oficial o maestro) Timbrero Motorista Winchero Enmaderador Electricista Carrilano Muestrero Shutero Soldador Relleno hidráulico Herramentero Tubero Analista laboratorio Operador máquina pesada (Scooptramp, Dumper) Mecánico Otros relacionados con la extracción del mineral Almacenero Supervisor EXPOSICIÓN MODERADA Seguridad (vigilante o sección) Planta concentradora : chancador, molinero Tractorista flotador. Ingeniero mina Fundición: Únicamente los que limpian hornos (moldes) Carpintero Albañil Oficinista
  • 6.
    Neumoconiosis Cuadro Clínico  Asintomático.  Disnea.  Tos no productiva.
  • 7.
    EPID Cuadro Clínico  Examenclínico: Clubbing, Cianosis, Crepitantes.  Cor Pulmonale e Insuficiencia Ventricular Derecha.
  • 8.
    Cuando está avanzadacomparte las características clínicas de toda EPID  Disminución de Amplexación bilateral. • Taquipnea. • Aumento de VV • Submatidez bibasal. • VELCRO
  • 9.
    Debido a quees una Enfermedad con Implicancias Laborales y Pensionarias;al ser diagnosticada....Solo evaluaremos la Disnea § Grado I: Normal (coherente con la actividad desplegada). § Grado II: El paciente puede caminar al paso de las personas sanas de acuerdo a personas de su edad y constitución en terreno llano; pero no puede hacerlo en cuestas o escaleras. § Grado III: El paciente no puede caminar al mismo paso de las personas sanas de su edad y constitución pero puede caminar varias cuadras a su propia velocidad. § Grado IV: El paciente es incapaz de caminar más de una cuadra sin detenerse debido a la disnea § Grado V: El paciente tiene disnea de reposo.
  • 10.
     La Radiografíade Tórax es la “Gold Standard “ para el diagnóstico de Neumoconiosis.
  • 11.
    pero aprendamos primero..... como es el Procedimiento Técnico de Toma de Radiografías de Tórax
  • 12.
    Procedimiento Técnico • Posicionamiento del paciente • Instrucciones para la respiración • Técnica utilizada
  • 13.
    Procedimiento Técnico Posicionamiento del Paciente • Posición erecta » Ingurgitación de los vasos pulmonares » Posición baja del diafragma Completa expansión de los campos pulmonares
  • 14.
  • 15.
  • 16.
  • 17.
  • 18.
    Procedimiento Técnico Instrucciones para la Respiración • En inspiración - Para ver pulmones (final de inspiración compl) - Para corazón (final de la inspiración normal) • En espiración: - Detectar cuerpos extraños - Neumotórax - Enfisemas Se inhala más aire y con menos esfuerzo durante la 2º respiración
  • 19.
    Radiografía Normal Técnica deAlto Voltaje § Voltajes de 60 a 80 Kv, no permite tiempos de exposición cortos. § Mínimo 1/30 de segundos. § Permite un rango mayor penetración. § Disminuye la radiación. § Mejor contraste. 0/0
  • 20.
    Características de unaRadiografía de Tórax de Calidad Esqueleto Regional Toráccico de D3 se proyecta en el punto medio entre las articulaciones esternoclaviculares. Los bordes internos de las escapulas se proyectan por fuera de la caja costal o toca las partes laterales de las costillas. El tórax se visualiza totalmente si puede observarse la laringe y ambos senos costo frénicos
  • 21.
    Características de unaRadiografía de Tórax de Calidad La exposición es suficientemente corta si el corazón, el diafragma y los vasos pulmonares grandes están bien delimitados
  • 23.
    El grado deinspiración es adecuado si la cupula diafragmatica se proyecta por debajo de la parte posterior de la IX costilla.
  • 24.
  • 25.
    La Sobrexposición seexcluye si las sombras vasculares se reconocen en las partes periféricas del pulmón.
  • 26.
  • 27.
    La subexposición seexcluye si los vasos lobulares inferiores mas grandes y las vertebras toráccicas se observan a traves de la sombra cardíaca
  • 28.
     “Antes deaprender a Leer Radiografías para el diagnóstico de Silicosis de acuerdo a OIT, debemos aprender a reconocer Patrones Radiológicos para el diagnóstico de enfermedades respiratorias comunes y que son parecidas a la Neumoconiosis”
  • 29.
    Estructura Histológica Pulmonar •Septos interlobulares. • Paredes alveolares. • Espacio subpleural. • Espacios perivasculares y peribronquiales.
  • 30.
    • Dos PatronesRadiológicos principales......... 30
  • 31.
    Patrón Alveolar Difuso PatrónAlveolar Difuso Alveolar proteinosis (proteinaceous fluid) Alveolar cell carcinoma (malignant cells) Bronchioloalveolar metastases (malignant cells from pancreas, breast) Pulmonary lymphoma (malignant lymphocytes) Lymphocytic interstitial pneumonia (lymphoplasmacytic cells) Alveolar sarcoid (lymphocyte-macrophage alveolitis or confluent granuloma) Desquamative interstitial pneumonia (macrophages) Diffuse alveolar hemorrhage (red blood cells; hemosiderin-filledmacrophages) Eosinophilic pneumonia (eosinophils, macrophages; lymphocytes) Alveolar microlithiasis (calcium-phosphate microliths) Bronchiolitis obliterans with organizing pneumonia (Masson bodies) Mineral oil aspiration (lipid-filled macrophages) Acute hypersensitivity pneumonia (lymphoplasmacytic cells)
  • 32.
  • 33.
    “Si una opacidadaparece borrosa u homogénea en la radiografía simple pero en un examen más minucioso está constituida por pequeños puntos o líneas, es más probable Texto que corresponda a un patrón intersticial que a uno consolidativo”
  • 34.
    Patrón Intersticial lineal •Existe presencia de opacidades lineales sobreañadidas en el pulmón ( líneas C de Kerley ), más profusas en las bases pulmonares. • Presencia de engrosamientos septales, mejor desarrollados en la periferia y base pulmonar ( líneas B de Kerley ).
  • 35.
    Patrón intersticial lineal o reticular • Diseminación linfangítica de tumores. • Inflamación: Colagenopatías ,Infecciones, Idiopática. • Fibrosis: postinflamatoria, postrradiación. • Edema
  • 36.
    Patrón intersticial nodular “No confundir nódulos intersticiales con nódulos alveolares” Los nódulos intersticiales son homogéneos entre sí, menores a 5 mm y poseen márgenes bien definidos Causas: • Granulomas • Metástasis: periféricas, dif. tamaño • Neumoconiosis.
  • 37.
    Patrón Nodular DIAGNOSTICO DIFERENCIALDE LOS NÓDULOS PERILINFÁTICOS Diagnóstico Comentarios Sarcoidosis Bien definidos; principalmente peribroncovasculares y a lo largo de la cisuras interlobulares; predominio por los lóbulos superiores Silicosis y Neumoconiosis de los trabajadores del carbón Centrilobulillar, subpleural, simétrico; predominio posterior y lóbulos superiores Carcinomatosis linfangítica Septal, peribroncovascular; más comúnmente bilateral simétrica, pueden ser asimétricas y parcheadas o unilaterales Neumonía intersticial linfocítica Hiperplasia linfoide Bien definidos o mal definidos; principalmente peribronquiales. Comúnmente tiene vidrio esmerilado; la NIL tiene quistes comúnmente 37
  • 38.
  • 39.
    Patrón en panal de abejas Representa la destrucción del parénquima pulmonar, la causa más frecuente es la Fibrosis pulmonar idiopática (FPI).
  • 40.
    Patrón nodular (micronodular).TB miliar Nódulos finos. TBC diseminada
  • 41.
    Patrón nodular. Enfermedadgranulomatosa . Coccidiodomicosis
  • 42.
    Patrón nodular. Enfermedadgranulomatosa . Sarcoidosis
  • 43.
    Línea B deKerley Patrón lineal ( reticular). Fase inicial de FPI
  • 44.
  • 45.
    Patrón retículonodular enla periferia, patrón de panal de abejas en las bases. FPI . ( No existe pérdida de volumen debido a coexistencia de EPOC)
  • 46.
  • 47.
  • 48.
  • 49.
    Patrón nodular concoalescencia. Retracción hiliar, calcificación en cáscara de huevo. Cavidad superior dicha que alberga TBC. Silicosis.
  • 50.
  • 51.
    GEMO - 008Lectura de Placas Radiográficas Revisión OIT 2000 OIT 2000 § Los negatoscopios para observar las radiografías que se desea clasificar y las radiografías estándar se situarán a unos 250 mm de distancia. § El número mínimo de espacios de observación es de dos, lo que permite comparar la radiografía del sujeto y las radiografías estándar. § La sala dispondrá de una iluminación general tenue, sin luz de día directa, y será silenciosa, cómoda y sin distracciones. § Para un estudio en particular. Cuando el número de radiografías por clasificar sea muy grande, será muy útil contar con personal auxiliar que ayude a registrar los resultados.
  • 52.
    MO - 008Lectura de Placas RadiográficasRevisión OIT 20 § El número de radiografías que es posible clasificar por unidad de tiempo varía mucho. § Se han constatado variaciones considerables entre las lecturas múltiples de algunas radiografías, (variación entre observadores), (variación intra-observador). Se recomienda que en los estudios Epidemiológicos haya al menos dos lectores (o más, de ser posible) que clasifiquen de forma independiente todas las radiografías. § Cuando se vayan a leer muchas radiografías, la variación intra-observador (la variación en lecturas repetidas de una misma radiografía por un mismo lector) debería ser registrada
  • 53.
    Calidad Técnica GEMO-008Revisión OIT 2000 § Calidad Técnica § Opacidades Pequeñas § Opacidades Grandes § Engrosamiento Pleural § Calcificación Pleural § Símbolos GEMO-008/Guías de Evaluación Médico Ocupacional
  • 54.
    Calidad Técnica GEMO-008 RevisiónOIT 2000 • Penetración 1 = buena • Centrado 2 = aceptable • Contraste 3 = mala • Definición 4 = inaceptable • Inspiración GEMO-008/Guías de Evaluación Médico Ocupacional
  • 57.
    OIT v. 2000 aaaorta arteriosclerótica at engrosamiento apical pleural. cg nódulo calcificado no neumoconiótico o nódulo. kl líneas de Kerley. ms mesotelioma. pa atelectasia laminar. pb banda parenquimal. ra atelectasia redonda. bu bullas. ca cáncer de pulmón. cv cavidad. em enfisema. px neumotórax. Od Otra alteración significativa tb Tuberculosis
  • 58.
  • 59.
    • Definido eldiagnóstico....definamos el Menoscabo ....... 59
  • 60.
    Tras una inspiraciónmáxima, se le pide al paciente que realice una espiración de todo el aire, en el menor tiempo posible.. aumento de la velocidad
  • 61.
    Patrón Restrictivo Disminución deCPT por alteración del parénquima pulmonar (fibrosis, ocupación), del tórax (rigidez, deformidad) ó de los músculos respiratorios.  FVC disminuido  FEV1 normal  FEV1/FVC normal
  • 62.
    Evaluación Funcional Interpretación dela Espirometría ATS 2005 VEF1/CVF CV VEF1" ALTERACION ASMA N ó Disminuido Disminuido Disminuido EPOC N ó Disminuido Disminuido Disminuido Normal ó NEUMOCONIOSIS Disminuido Normal Aumentado
  • 63.
    Tabla de Menoscabo Menoscabo Clase Disnea Radiografía de Espirometría AGA Global Tórax (OIT) 0 Normal Grado I 0/0, 1/0, 0/1 Valores > 80% Normal. 65%--79% -(restrictivo 51-65% Leve) Sat > 85% Grado II 1/1, 1/2 I 55-64%(defecto 66%-75% II restrictivo) Sat>85% Grado III 2/1, 2/2, 2/3 < 55%(restrictiva, > 75% III obstructiva ó mixta) Grado IV o 3/2, 3/3, 3/+ Sat < 85% V
  • 64.
    Claves para eldiagnóstico de Neumoconiosis 1. Historia laboral en puesto de trabajo con exposición al riesgo de inhalación de polvo de sílice libre, durante un mínimo de 10 años. (OSHA 15-20 años). 2. No existe enfermedad ocupacional sin exposición al riesgo. 3. Imágenes radiográficas pulmonares de fibrosis pulmonar micronodular, codificadas según la Clasificación Internacional de la OIT, 2000. 4. La profusión de imágenes aumenta con el tiempo, aún después de haber cesado la exposición al polvo de sílice libre.
  • 65.
    Claves para eldiagnóstico de Neumoconiosis 5 La evolución de la neumoconiosis es progresiva .. e irreversible. No existe neumoconiosis estable en el tiempo. 6. No existe una correlación lineal entre las imágenes radiográficas, el deterioro funcional respiratorio y los síntomas y signos clínicos. 7. Para la determinación del grado de incapacidad ,la presencia de clínica y función pulmonar deteriorada representa un plus. 8. Existe una disposición particular de cada individuo, por lo que no todos los expuestos presentan neumoconiosis .

Notas del editor

  • #13 Para conseguir que todos estos criterios se cumplan de forma correcta, y obtengamos una imagen con una excelente calidad tendremos que tener muy en cuenta, el procedimiento técnico que seguimos, deteniéndonos cuidadosamente en :
  • #14 Posición Erecta siempre que sea posible. En posición tendida las vísceras abdominales y el diafragma se mueven hacia arriba, comprimen las vísceras torácicas y evitan la completa expansión de los campos pulmonares. Ingurgitación = Congestión vascular = dilatación de los vasos
  • #18 En esta posición y debido a las circunstancias en la que se encuentran los pacientes ,la calidad de la imagen en muchas ocasiones suele ser muy baja, pero como ya hemos dicho hay veces que no tenemos posibilidad de hacer otro tipo de posicionamiento
  • #19 El siguiente punto en el proceso técnico es las instrucciones para la respiración. Para evitar la elongación del organo por el movimiento descendente completo del diafragma. En espiracion cuando haya una posible alteracion del volumen residual de aire que pudieran quedar oscurecida en la film correspondiente Es interesante saber esto, pues en muchas ocasiones tenemos pacientes con dificultades para inhalar aire, en estas ocasiones podemos realizar la exposición en la segunda inhalación, para conseguir así una mayor expansión de los pulmones.
  • #24 ESPIRACION Reduccion del tamaño del torax Aparente agrandamiento del corazon Ensanchamiento sombra mediastinica Compresion vasos basales
  • #25 Si esta mas oscura de lo que debería esta sobre-expuesta o dura
  • #27 Si esta mas blanca de lo que debería esta sub-expuesta o blanda
  • #61 La introducción del factor tiempo y de la velocidad en la maniobra espirométrica, aporta información sobre como sale el aire de los pulmones y el flujo que representa. Este fenómeno está relacionado con la existencia de obstrucción de las vías aéreas.