Objetivos
I.   Conocer el concepto y las características comunes de
     las osteocondritis

II. Identificar los grupos de riesgo y las etiologías más
    frecuentes.

III. Adquirir la capacidad de diferenciar y diagnosticar
     correctamente los diferentes tipos de osteocondritis.

IV. Prevenir las probables causas de las osteocondritis.

V. Brindar un tratamiento apropiado para cada tipo de
   osteocondritis.
Osteocondritis
 Compresión
                                            Epífisis Asiladas y
Fragmentación      Fragmento Óseo
                                            Huesos Cuboideos
 Separación




                  Muerte de Células Óseas      Área Afectada

   Necrosis       Esclerosis Reactiva
  Isquémica
                                            Área Circundante
                  Aumento de
                  Vascularización
   Enfermedades óseas que afectan a jóvenes en periodo
    de crecimiento rápido y de mayor actividad física.

   Dolor durante movimiento y marcha.

   Secuelas deformantes.

   No signos inflamatorios
 Osteocondritis juveniles
 Necrosis aséptica osteocondral

 Osteocondrosis

 Osteocondropatías juveniles

 Osteocondrosis asépticas juveniles

 Osteomalacias

 Epífisis deformantes

 Osteonecrosis asepticas idiopaticas juveniles
Etiopatogenia

   Traumatismos persistentes: extrínsecos e
    intrínsecos.

   Estrés repetidos

   Alteraciones vasculares.

   Infecciones

   Anomalías del desarrollo óseo.

   Condiciones constitucionales.

   Trastorno de origen nervioso.
TIPOS DE OSTEOCONDRITIS
    TIPOS              HUESO                 EPÓNIMO
                   METATARSIANOS              FREIBERG
                ESCAFOIDES TARSIANO            KOHLER
APLASTAMIENTO
                     SEMILUNAR               KIENBOCK
                  COLUMNA DORSAL           SCHEWERMANN

                CÓNDILOS FEMORALES              KONIG
                       CODO                    PANNER
   ESCISIÓN
                    ASTRÁGALO
                  METATARSIANOS

                TUBEROSIDAD TIBIAL        OSGOOD-SCHLATTER
  TRACCIÓN
                    CALCÁNEO                   SEVER
 Final de la Adolescencia
 Necrosis espontánea en núcleo osificación

 Estrés de compresión aumentada en hueso.

 Compromiso de aporte sanguíneo local.



 Dolor + Limitación Funcional + Aumento de Densidad
  (Temprano).
 Deformidad + Hundimiento del Segmento Necrótico
  (Tardío).
Enfermedad de Schewermann

 Osteocondritis Dorsal Juvenil, Cifosis Dorsal
  Juvenil, Osteocondritis vertebral.
 15 a 19 años.

 No signos de muerte ósea



Mecanismo de acción
 Pcte longilíneo con crecimiento demasiado rápido en
  los meses que preceden al desarrollo de la cifosis
  dorsal.
Cuadro Clínico
 Cifosis dorsal de gran curvatura = muchas vértebras
  afectadas.
 Cansancio, dolor localizado, y rigidez dorsolumbar de
  evolución lenta.
 En los estadios iniciales, la deformidad es corregible.
Cuadro Radiológico
 Acuñamiento de D7, D8 y D9
 Mayor deformación corresponde a las vértebras que
  están en el centro de la curva cifótica.
 Caras proximal y distal de los cuerpos vertebrales
  irregulares por muescas de las caras horizontales
Tratamiento
 Gimnasia
 Corset torácico

 Cama dura

 Excepcionalmente cirugía
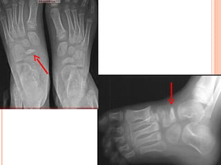
Enfermedad de Kohler I
   Escafoiditis    tarsiana, Osteocondritis        del
    escafoides tarsal, Necrosis avascular           del
    escafoides tarsal.

   4-9 años de edad / 20% bilateral / masculino.
Mecanismo de acción

 Necrosis aséptica seguida de fenómenos de
  reabsorción y regeneración.
 Sufre presiones de los huesos vecinos anteriormente
  osificados
 Por su situación dentro del arco plantar y su espacio
  estrecho no permite el flujo sanguíneo correcto
Cuadro Clínico

   Dolor localizado y cierta claudicación en la
    marcha.

   Discreto edema regional.

   Dolor y reacción defensiva             al   realizar
    movimientos de rotación.

   Evolución en 1-2 años.

   Curación clínica    y    radiológica    puede   ser
    completa.
Cuadro Radiológico

 Condensación  central del escafoides que se
 extiende a todo el hueso.

 Escafoidesopaco, aplanado, reducido     de
 volumen contornos pocos nítidos.

 En   estadio    avanzado    se    presenta
 fragmentado.
Tratamiento

 Inmovilizarcon bota de yeso por 2-3
 meses y soporte plantar con realce interno
 algunos meses

 Analgésicos



 Antiinflamatorios
Enfermedad de Freiberg o Kohler II
 Destrucción   de   cabeza   de   2do
 metatarsiano

Mecanismo de acción
 Mujeres jóvenes por microtraumatismos
  por uso de tacos altos
Cuadro Clínico

 Doloren dorso del pie que aumenta
 durante la marcha o a la palpación.

 Engrosamiento  irregular similar a un
 verdadero rodete óseo.
Cuadro Radiológico

   Rx sucesivas = destrucción gradual de la epífisis
    metatarsal.

   Carilla   articular    deformada,     irregular,
    ensanchada, agrietada y finalmente aplanada.

   Cabeza metatarsiana ensanchada en sentido
    transversal y disminuida de altura.

   Espacio articular aparece muy aumentado.
Tratamiento

 Inicial:  inmovilización + termoterapia +
    diatermia + radioterapia.

>   8 a 10 meses.

 Evitarse      exceso   de   marcha   y   calzado
    ajustado.
 
 Cartílago Articular + Hueso Subyacente Separados
 Adultos Jóvenes, Varones

 Microtrauma repetido = Fx. Osteocondral + Pérdida de
  irrigación.
 Factores predisponentes + Carácter familiar

 Fragmento disecante se define por línea radiolúcida de
  demarcación y cráter resultante.
Enfermedad de König

 Osteocondritis disecante de la rodillas
 15- 25 años de edad / masculino /unilateral

 85% = cóndilo femoral medial

 70% = borde lateral del mismo, sobre la zona
  intercondílea, en la llamada “área clásica”.


Mecanismo de acción
Traumatismos y/o alteraciones vasculares
Cuadro clínico

 Ligera tumefacción
 Dolor

 Bloqueo articular y abundante liquido
  intraarticular


Diagnostico radiológico

 Anormalidad en la cara externa del cóndilo
  interno
 Delimitación y aflojamiento o separación de un
  cuerpo osteocondral
Tratamiento
 Conservador


 Enniños de 12 años puede curar
 espontaneamente

 Artroscopia si   persiste 8-10 semanas
Enfermedad de Panner
 Osteocondritisdel cóndilo humeral, Codo
 del pequeño liguero

5- 10 años de edad / Varones / Pronostico
 bueno

Mecanismo de acción

 Estrés   repetitivo.
Cuadro Clínica

 Dolor

 Tumefacción  en el codo
 Limitación de movilidad.
Cuadro Radiológico
 Fisuración.

 Aumento de densidad.

 Disminución de tamaño del cóndilo.

 Fragmentación.

 Resorción ósea.



Tratamiento
 Reposo y corto período de inmovilización
 Tracción excesiva por tendón de gran tamaño.
 Lesión de apófisis no fusionada.

 No hay necrosis ósea.

 Puede asociarse con tendosinovitis.


       TUBEROSIDAD TIBIAL     ENFERMEDAD DE OSGOOD-SCHLATTER

      APÓFISIS DEL CALCÁNEO        ENFERMEDAD DE SEVER
Enfermedad de Osgood-Schlatter

 Osteocondritis   del tubérculo tibial.

 Compromete   tuberosidad tibial anterior

 Pctes. de 8 a 15 años de edad / 25%
 bilateral / masculino.
Mecanismo de Acción
Tracción excesiva de tendón rotuliano sobre
epífisis inmadura (movimiento brusco de
extensión de la pierna)
Diagnostico clínico
 Tumefacción,   calor y dolor de la
 tuberosidad tibial antero superior a la
 palpación y al movimiento.

 Interlínea
           articular de rodilla no presenta
 ninguna anormalidad.
Cuadro Radiológico
 Alejamientodel núcleo óseo de la diáfisis y
 fragmentación de la tuberosidad
Tratamiento

 Tto  conservador con yeso inguinopédico
  durante 4 semanas, en periodo agudo de
  enfermedad
 Regresión espontanea en semanas o meses

 Casos rebeldes  perforaciones e injertos.
Síndrome de Johanson-Larsen
   Osteocondritis rotuliana, Rodilla del Saltador.

   Reblandecimiento del cartílago articular de la rotula.

   Atletas activos en crecimiento

Mecanismo de Acción

   Sobrecarga continua de la rodilla.
Diagnostico clínico

 Dolor



 Hipersensibilidad   alrededor de la rodilla

 Edema



 Hidrartrosis   dolorosa con amiotrofia del
 cuádriceps
Diagnostico radiológico

 Punta de rótula muestra aspecto difuminado e
 irregular
Tratamiento

 Fisioterapia



 Hielo   y Antiinflamatorios
Enfermedad de Sever
   Osteocondritis del Núcleo de Osificación del Calcáneo,
    Osteocondritis del Talón.

   Compromiso de epífisis posterior del calcáneo

   Época previa de la osificación / 8 y 14 años de edad /
    masculino
Mecanismo de acción

 Repetidos
          esfuerzos, especialmente de salto.
 Generalmente es unilateral.
Cuadro Clínico

   Dolor en uno o ambos talones

   Claudicación en la marcha

   Equino pronunciado al caminar

   Tumefacción y rubor a ese nivel del talón de
    Aquiles y la cara posterior del calcáneo

   Prensión y percusión intensifican el dolor.
Radiología
   Apófisis de calcáneo es densa y fragmentada

   Núcleo epifisiario del la tuberosidad calcáneo
    presenta forma de media luna con contornos
    irregulares

   Espacio que separa del resto del calcáneo
    aumentado.


Tratamiento

   Bota de yeso o tensoplast por tres semanas


Enfermedad de Perthes

 Coxa   plana, enfermedad de Legg- Perthes-Calve

 Necrosisaséptica de la epífisis femoral superior en
 niños (4-10 años / varones / unilateral)

 Síntomas remiten a los 2-3 años pero puede
 evolucionar a coxartrosis secundaria

Mecanismo de acción
 Desconocido. Posible trombofilia.
Cuadro clínico

 Signos de artropatía
 Dolor en la cadera

 Cojera

 Limitación funcional

 Atrofia de músculos del
  muslo
Cuadro Radiológico

Cabeza  pierde esfericidad
Destrucción y horizontalización del cartílago
de crecimiento.
Extrusión de la cabeza femoral
Tratamiento

 Contención

 Fisioterapia

 Antiinflamatorios

 Restricciónde esfuerzo físico
 Tracción nocturna
Enfermedad de Calve

 Osteocondritis   vertebral infantil o Vértebra
  plana
 2 y 7 años de edad.

 Una sola vértebra es la afectada.

 Cuerpo vertebral  Necrosis  Reabsorción
   Regeneración ósea.

Mecanismo de acción
 Desconocido. Posibles defectos en el desarrollo
  y fragilidad ósea
CUADRO CLINICO

 Dolor espontáneo a nivel de la columna
 vertebral y a la palpación.

 Aparición  gradual de una gibosidad angular
 en el sitio del dolor.

 Limitación discreta de los movimientos y
 exacerbación del dolor por los mismos.
Cuadro Radiológico

 Hay aplastamiento de una sola vértebra
 especialmente de la dorsal.

 El  cuerpo vertebral lesionado está
 aplastado en su totalidad (FORMA DE
 GALLETA).

 Los discos intervertebrales se presentan
 de tamaño normal.
Enfermedad de Kienboeck

 Osteocondritis del Semilunar,
  Lunatomalacia.
 15-40 años/ masculinos / trabajadores
  manuales / mano dominante

Mecanismo de acción
 Desconocido. Múltiples teorías.

 Antecedente    traumático único o
  múltiple leve pero continuo.
 Interrupción del aporte sanguíneo al
  semilunar y necrosis.
Cuadro Clínico

 Dolor  en muñeca que se acentúa al
 utilizar la mano.

 Rigidez   de muñeca

 Hipersensibilidad   local al nivel de
 semilunar

 Atrofia   muscular regional
Cuadro Radiológico

 Densidad aumentada alternando con zonas de
 rarefacción ósea.

 Deformidad,    disminución de altura y
 ensanchamiento de hueso (aspecto cuneiforme
 de contorno irregulares)
Tratamiento

 Inmovilización  de la muñeca con yeso en
 discreta flexión dorsal 4-6 semanas

 Casos   leves = diatermia

 Casos graves = extirpación y reemplazo con
 prótesis de acrílico

 Artrodesis
Enfermedad de Blount

   Hemiatrofia congénita de la epífisis tibial
    superior

   Genu varo caracterizada por angulación de la
    parte proximal e interna de la diáfisis tibial

   3 años de edad y puede curar espontáneamente
Mecanismo de Acción
 Desconocido. Posiblemente por peso sobre
 placa de crecimiento


Cuadro clínico
 Genu varo en una o ambas piernas justo
 debajo de la rodilla que puede empeorar
 rápidamente.

Complicaciones
 Deformidad progresiva si no es tratada
 con prontitud.
Cuadro Radiológico
   AP : arqueamiento tibial
Tratamiento

 Dispositivos   ortopédicos antes de los 3
 años.

 Cirugía
        y reubicación en la posición
 apropiada.

 Tratamiento    de alargamiento.
Síndrome de Tietze
   Síndrome costo-condral, Condrodinia, Condropatía
    tuberosa, Condritis costal, Cartílagos costales
    insuflados o prominentes.

   Insuflación y engrosamiento doloroso, de carácter
    inflamatorio no supurado, en uno o en más
    cartílagos costoesternales.

   Entre los 20 y los 40 años

   Cede espontáneamente en unas semanas
Mecanismo de Acción
 Desconocido,   Probable origen vírico.
Cuadro Clínico
 Dolor agudo en la parte anterior del pecho, e irradia al
  brazo o al hombro.
 Se agrava al estornudar, toser, respirar
  profundamente o movimientos giratorios del pecho.
 Hipersensibilidad en pecho.



Cuadro Radiográfico
   No existe una prueba específica para su diagnóstico
Tratamiento
   Reposo relativo

   Frío local

   Antiinflamatorios.

   Casos resistentes = infiltración local de
    antiinflamatorios.

   Casos muy resistentes = extirparción quirúrgica
    (excepcional).
“Un guerrero toma decisiones. Su alma es libre como las nubes en el cielo, como la
         brisa de la mañana soleada. Pero él está comprometido con su sueño.
En su camino libremente elegido, tiene que levantarse en horas que no le gustan, hablar
                con gente que no aporta nada, hacer algunos sacrificios.
Pero si no pierde de vista el horizonte de su vía, listo para la siguiente batalla, con el filo
     siempre al frente y el sueño en el corazón, los sacrificios dejan de ser tales.
                                Serán ‘Coraje y Voluntad’ ”

Osteocondritis

  • 2.
    Objetivos I. Conocer el concepto y las características comunes de las osteocondritis II. Identificar los grupos de riesgo y las etiologías más frecuentes. III. Adquirir la capacidad de diferenciar y diagnosticar correctamente los diferentes tipos de osteocondritis. IV. Prevenir las probables causas de las osteocondritis. V. Brindar un tratamiento apropiado para cada tipo de osteocondritis.
  • 3.
    Osteocondritis Compresión Epífisis Asiladas y Fragmentación Fragmento Óseo Huesos Cuboideos Separación Muerte de Células Óseas Área Afectada Necrosis Esclerosis Reactiva Isquémica Área Circundante Aumento de Vascularización
  • 4.
    Enfermedades óseas que afectan a jóvenes en periodo de crecimiento rápido y de mayor actividad física.  Dolor durante movimiento y marcha.  Secuelas deformantes.  No signos inflamatorios
  • 5.
     Osteocondritis juveniles Necrosis aséptica osteocondral  Osteocondrosis  Osteocondropatías juveniles  Osteocondrosis asépticas juveniles  Osteomalacias  Epífisis deformantes  Osteonecrosis asepticas idiopaticas juveniles
  • 6.
    Etiopatogenia  Traumatismos persistentes: extrínsecos e intrínsecos.  Estrés repetidos  Alteraciones vasculares.  Infecciones  Anomalías del desarrollo óseo.  Condiciones constitucionales.  Trastorno de origen nervioso.
  • 7.
    TIPOS DE OSTEOCONDRITIS TIPOS HUESO EPÓNIMO METATARSIANOS FREIBERG ESCAFOIDES TARSIANO KOHLER APLASTAMIENTO SEMILUNAR KIENBOCK COLUMNA DORSAL SCHEWERMANN CÓNDILOS FEMORALES KONIG CODO PANNER ESCISIÓN ASTRÁGALO METATARSIANOS TUBEROSIDAD TIBIAL OSGOOD-SCHLATTER TRACCIÓN CALCÁNEO SEVER
  • 8.
     Final dela Adolescencia  Necrosis espontánea en núcleo osificación  Estrés de compresión aumentada en hueso.  Compromiso de aporte sanguíneo local.  Dolor + Limitación Funcional + Aumento de Densidad (Temprano).  Deformidad + Hundimiento del Segmento Necrótico (Tardío).
  • 9.
    Enfermedad de Schewermann Osteocondritis Dorsal Juvenil, Cifosis Dorsal Juvenil, Osteocondritis vertebral.  15 a 19 años.  No signos de muerte ósea Mecanismo de acción  Pcte longilíneo con crecimiento demasiado rápido en los meses que preceden al desarrollo de la cifosis dorsal.
  • 10.
    Cuadro Clínico  Cifosisdorsal de gran curvatura = muchas vértebras afectadas.  Cansancio, dolor localizado, y rigidez dorsolumbar de evolución lenta.  En los estadios iniciales, la deformidad es corregible.
  • 11.
    Cuadro Radiológico  Acuñamientode D7, D8 y D9  Mayor deformación corresponde a las vértebras que están en el centro de la curva cifótica.  Caras proximal y distal de los cuerpos vertebrales irregulares por muescas de las caras horizontales
  • 12.
    Tratamiento  Gimnasia  Corsettorácico  Cama dura  Excepcionalmente cirugía
  • 13.
    Enfermedad de KohlerI  Escafoiditis tarsiana, Osteocondritis del escafoides tarsal, Necrosis avascular del escafoides tarsal.  4-9 años de edad / 20% bilateral / masculino.
  • 14.
    Mecanismo de acción Necrosis aséptica seguida de fenómenos de reabsorción y regeneración.  Sufre presiones de los huesos vecinos anteriormente osificados  Por su situación dentro del arco plantar y su espacio estrecho no permite el flujo sanguíneo correcto
  • 15.
    Cuadro Clínico  Dolor localizado y cierta claudicación en la marcha.  Discreto edema regional.  Dolor y reacción defensiva al realizar movimientos de rotación.  Evolución en 1-2 años.  Curación clínica y radiológica puede ser completa.
  • 16.
    Cuadro Radiológico  Condensación central del escafoides que se extiende a todo el hueso.  Escafoidesopaco, aplanado, reducido de volumen contornos pocos nítidos.  En estadio avanzado se presenta fragmentado.
  • 18.
    Tratamiento  Inmovilizarcon botade yeso por 2-3 meses y soporte plantar con realce interno algunos meses  Analgésicos  Antiinflamatorios
  • 19.
    Enfermedad de Freibergo Kohler II  Destrucción de cabeza de 2do metatarsiano Mecanismo de acción  Mujeres jóvenes por microtraumatismos por uso de tacos altos
  • 20.
    Cuadro Clínico  Dolorendorso del pie que aumenta durante la marcha o a la palpación.  Engrosamiento irregular similar a un verdadero rodete óseo.
  • 21.
    Cuadro Radiológico  Rx sucesivas = destrucción gradual de la epífisis metatarsal.  Carilla articular deformada, irregular, ensanchada, agrietada y finalmente aplanada.  Cabeza metatarsiana ensanchada en sentido transversal y disminuida de altura.  Espacio articular aparece muy aumentado.
  • 23.
    Tratamiento  Inicial: inmovilización + termoterapia + diatermia + radioterapia. > 8 a 10 meses.  Evitarse exceso de marcha y calzado ajustado.  
  • 24.
     Cartílago Articular+ Hueso Subyacente Separados  Adultos Jóvenes, Varones  Microtrauma repetido = Fx. Osteocondral + Pérdida de irrigación.  Factores predisponentes + Carácter familiar  Fragmento disecante se define por línea radiolúcida de demarcación y cráter resultante.
  • 25.
    Enfermedad de König Osteocondritis disecante de la rodillas  15- 25 años de edad / masculino /unilateral  85% = cóndilo femoral medial  70% = borde lateral del mismo, sobre la zona intercondílea, en la llamada “área clásica”. Mecanismo de acción Traumatismos y/o alteraciones vasculares
  • 26.
    Cuadro clínico  Ligeratumefacción  Dolor  Bloqueo articular y abundante liquido intraarticular Diagnostico radiológico  Anormalidad en la cara externa del cóndilo interno  Delimitación y aflojamiento o separación de un cuerpo osteocondral
  • 28.
    Tratamiento  Conservador  Enniñosde 12 años puede curar espontaneamente  Artroscopia si persiste 8-10 semanas
  • 29.
    Enfermedad de Panner Osteocondritisdel cóndilo humeral, Codo del pequeño liguero 5- 10 años de edad / Varones / Pronostico bueno Mecanismo de acción  Estrés repetitivo.
  • 30.
    Cuadro Clínica  Dolor Tumefacción en el codo  Limitación de movilidad.
  • 31.
    Cuadro Radiológico  Fisuración. Aumento de densidad.  Disminución de tamaño del cóndilo.  Fragmentación.  Resorción ósea. Tratamiento  Reposo y corto período de inmovilización
  • 33.
     Tracción excesivapor tendón de gran tamaño.  Lesión de apófisis no fusionada.  No hay necrosis ósea.  Puede asociarse con tendosinovitis. TUBEROSIDAD TIBIAL ENFERMEDAD DE OSGOOD-SCHLATTER APÓFISIS DEL CALCÁNEO ENFERMEDAD DE SEVER
  • 34.
    Enfermedad de Osgood-Schlatter Osteocondritis del tubérculo tibial.  Compromete tuberosidad tibial anterior  Pctes. de 8 a 15 años de edad / 25% bilateral / masculino.
  • 35.
    Mecanismo de Acción Tracciónexcesiva de tendón rotuliano sobre epífisis inmadura (movimiento brusco de extensión de la pierna)
  • 36.
    Diagnostico clínico  Tumefacción, calor y dolor de la tuberosidad tibial antero superior a la palpación y al movimiento.  Interlínea articular de rodilla no presenta ninguna anormalidad.
  • 37.
    Cuadro Radiológico  Alejamientodelnúcleo óseo de la diáfisis y fragmentación de la tuberosidad
  • 39.
    Tratamiento  Tto conservador con yeso inguinopédico durante 4 semanas, en periodo agudo de enfermedad  Regresión espontanea en semanas o meses  Casos rebeldes  perforaciones e injertos.
  • 40.
    Síndrome de Johanson-Larsen  Osteocondritis rotuliana, Rodilla del Saltador.  Reblandecimiento del cartílago articular de la rotula.  Atletas activos en crecimiento Mecanismo de Acción  Sobrecarga continua de la rodilla.
  • 42.
    Diagnostico clínico  Dolor Hipersensibilidad alrededor de la rodilla  Edema  Hidrartrosis dolorosa con amiotrofia del cuádriceps
  • 43.
    Diagnostico radiológico  Puntade rótula muestra aspecto difuminado e irregular
  • 45.
  • 47.
    Enfermedad de Sever  Osteocondritis del Núcleo de Osificación del Calcáneo, Osteocondritis del Talón.  Compromiso de epífisis posterior del calcáneo  Época previa de la osificación / 8 y 14 años de edad / masculino
  • 48.
    Mecanismo de acción Repetidos esfuerzos, especialmente de salto.  Generalmente es unilateral.
  • 49.
    Cuadro Clínico  Dolor en uno o ambos talones  Claudicación en la marcha  Equino pronunciado al caminar  Tumefacción y rubor a ese nivel del talón de Aquiles y la cara posterior del calcáneo  Prensión y percusión intensifican el dolor.
  • 50.
    Radiología  Apófisis de calcáneo es densa y fragmentada  Núcleo epifisiario del la tuberosidad calcáneo presenta forma de media luna con contornos irregulares  Espacio que separa del resto del calcáneo aumentado. Tratamiento  Bota de yeso o tensoplast por tres semanas 
  • 53.
    Enfermedad de Perthes Coxa plana, enfermedad de Legg- Perthes-Calve  Necrosisaséptica de la epífisis femoral superior en niños (4-10 años / varones / unilateral)  Síntomas remiten a los 2-3 años pero puede evolucionar a coxartrosis secundaria Mecanismo de acción  Desconocido. Posible trombofilia.
  • 55.
    Cuadro clínico  Signosde artropatía  Dolor en la cadera  Cojera  Limitación funcional  Atrofia de músculos del muslo
  • 56.
    Cuadro Radiológico Cabeza pierde esfericidad Destrucción y horizontalización del cartílago de crecimiento. Extrusión de la cabeza femoral
  • 58.
    Tratamiento  Contención  Fisioterapia Antiinflamatorios  Restricciónde esfuerzo físico  Tracción nocturna
  • 59.
    Enfermedad de Calve Osteocondritis vertebral infantil o Vértebra plana  2 y 7 años de edad.  Una sola vértebra es la afectada.  Cuerpo vertebral  Necrosis  Reabsorción  Regeneración ósea. Mecanismo de acción  Desconocido. Posibles defectos en el desarrollo y fragilidad ósea
  • 60.
    CUADRO CLINICO  Dolorespontáneo a nivel de la columna vertebral y a la palpación.  Aparición gradual de una gibosidad angular en el sitio del dolor.  Limitación discreta de los movimientos y exacerbación del dolor por los mismos.
  • 61.
    Cuadro Radiológico  Hayaplastamiento de una sola vértebra especialmente de la dorsal.  El cuerpo vertebral lesionado está aplastado en su totalidad (FORMA DE GALLETA).  Los discos intervertebrales se presentan de tamaño normal.
  • 64.
    Enfermedad de Kienboeck Osteocondritis del Semilunar, Lunatomalacia.  15-40 años/ masculinos / trabajadores manuales / mano dominante Mecanismo de acción  Desconocido. Múltiples teorías.  Antecedente traumático único o múltiple leve pero continuo.  Interrupción del aporte sanguíneo al semilunar y necrosis.
  • 65.
    Cuadro Clínico  Dolor en muñeca que se acentúa al utilizar la mano.  Rigidez de muñeca  Hipersensibilidad local al nivel de semilunar  Atrofia muscular regional
  • 66.
    Cuadro Radiológico  Densidadaumentada alternando con zonas de rarefacción ósea.  Deformidad, disminución de altura y ensanchamiento de hueso (aspecto cuneiforme de contorno irregulares)
  • 68.
    Tratamiento  Inmovilización de la muñeca con yeso en discreta flexión dorsal 4-6 semanas  Casos leves = diatermia  Casos graves = extirpación y reemplazo con prótesis de acrílico  Artrodesis
  • 69.
    Enfermedad de Blount  Hemiatrofia congénita de la epífisis tibial superior  Genu varo caracterizada por angulación de la parte proximal e interna de la diáfisis tibial  3 años de edad y puede curar espontáneamente
  • 70.
    Mecanismo de Acción Desconocido. Posiblemente por peso sobre placa de crecimiento Cuadro clínico  Genu varo en una o ambas piernas justo debajo de la rodilla que puede empeorar rápidamente. Complicaciones  Deformidad progresiva si no es tratada con prontitud.
  • 71.
    Cuadro Radiológico  AP : arqueamiento tibial
  • 72.
    Tratamiento  Dispositivos ortopédicos antes de los 3 años.  Cirugía y reubicación en la posición apropiada.  Tratamiento de alargamiento.
  • 73.
    Síndrome de Tietze  Síndrome costo-condral, Condrodinia, Condropatía tuberosa, Condritis costal, Cartílagos costales insuflados o prominentes.  Insuflación y engrosamiento doloroso, de carácter inflamatorio no supurado, en uno o en más cartílagos costoesternales.  Entre los 20 y los 40 años  Cede espontáneamente en unas semanas
  • 74.
    Mecanismo de Acción Desconocido, Probable origen vírico.
  • 75.
    Cuadro Clínico  Doloragudo en la parte anterior del pecho, e irradia al brazo o al hombro.  Se agrava al estornudar, toser, respirar profundamente o movimientos giratorios del pecho.  Hipersensibilidad en pecho. Cuadro Radiográfico  No existe una prueba específica para su diagnóstico
  • 76.
    Tratamiento  Reposo relativo  Frío local  Antiinflamatorios.  Casos resistentes = infiltración local de antiinflamatorios.  Casos muy resistentes = extirparción quirúrgica (excepcional).
  • 77.
    “Un guerrero tomadecisiones. Su alma es libre como las nubes en el cielo, como la brisa de la mañana soleada. Pero él está comprometido con su sueño. En su camino libremente elegido, tiene que levantarse en horas que no le gustan, hablar con gente que no aporta nada, hacer algunos sacrificios. Pero si no pierde de vista el horizonte de su vía, listo para la siguiente batalla, con el filo siempre al frente y el sueño en el corazón, los sacrificios dejan de ser tales. Serán ‘Coraje y Voluntad’ ”