PATOLOGIA OVARICA
DRA SONIA SANDOVAL ESPINOZA
OVARIOS
 ESTRUCTURA ELIPSOIDEA
 EJE MAYOR VERTICAL GENERALMENTE
MEDIDAS:
D.L. 25-40mm.
D.AP. 10-15mm.
D.T. 12-20mm.
 Volumen normal:
MEF 9,8cm3
P.Menop.5,8cm3
Prepuber 3 cm3
 Volumenes maximos fase preovulatoria
minimos fase lutea
OVARIOS
POSICION :
FOSA DE WALDEYER (FOSA OVARICA)
DELANTE DE LOS VASOS HIPOGASTRICOS
POR DEBAJO DE LA BIFURCACION ILIACA
EXTERNA EN EL PLANO SUPERIOR
RETROUTERINO
ECOESTRUCTURA OVARICA
ZONA CORTICAL
Menos ecogenica
Periferica
Componente folicular y estromal
ZONA MEDULAR
Mas ecogenica
Componente vascular,neural
OVARIO
OVARIO MENOPAUSICO OVARIO CON FOLICULO
LESIONES NO NEOPLASICAS DE OVARIO
 QUISTES FUNCIONALES
 QUISTE FOLICULAR
 CUERPO LUTEO
 QUISTE TECOLUTEINICO
 QUISTE HEMORRAGICO
 ENDOMETRIOMA
 OVARIOS POLIQUISTICOS
QUISTES FUNCIONALES
 Incluyen los quistes foliculares, el cuerpo luteo y
los quistes tecoluteinicos
 El quiste folicular aparece cuando el folículo
maduro no ovula o no involuciona
 El tamaño del quiste folicular debe ser mayor de
2.5cm
 Mayor mente son unilaterales, asintomáticos y se
detectan incidentalmente en la exploración
ecográfica
QUISTE DE CUERPO LUTEO
 Resultado del fallo en su absorción o del
exceso de sangre en el cuerpo lúteo
 El dolor es el síntoma mas frecuente, son
unilaterales y mas propenso a la hemorragia
y a la ruptura
 Son uniloculares anecogénicos con paredes
finas bien definidas y refuerzo acústico
posterior
QUISTE HEMORRAGICO
 La hemorragia interna puede ocurrir en ambos quistes
funcionales
 Presentan dolor pélvico agudo
 El aspecto ecográfico depende de la cantidad de
hemorragia y del tiempo de la hemorragia en relación al
tiempo de la exploración ecográfica
 Un quiste hemorrágico agudo normalmente es
hiperecogénico y puede simular una masa sólida pero
presenta pared lisa y refuerzo posterior
 En la hemolización del coagulo el patrón interno se torna
complejo, con un patrón reticular que contiene septos y
ecos internos
QUISTE HEMORRAGICO APARIENCIA DIVERSAS
ENDOMETRIOSIS
 Endometriosis es la presencia de tejido
endometrial funcional fuera del útero
 La localización más frecuente se encuentra en
el ovario, trompas, ligamento uterosacro y fondo
de saco
 La clínica se caracteriza por dismenorrea ,
dispareunia e infertilidad
 El Endometrioma forma severa de la
enfermedad es una masa quistita que
compromete el ovario denominada “ Quiste de
Chocolate ”
ENDOMETRIOMA
 Frecuentemente son asitomáticos y múltiples
 Masa predominantemente quistita , unilocular o
multilocular, bordes bien definidos
 Ecos internos de bajo nivel, difusamente
homogéneas, apreciándose mucho mejor con
ecografía transvaginal
 El aspecto puede ser similar a un quiste
hemorrágico sin embargo este se asocia a un
patrón reticular y frecuentemente con liquido en
el fondo de saco
ENDOMETRIOMAS
ENFERMEDAD DE OVARIOS POLIQUISTICOS
 Enfermedad endocrinológica caracterizada
por oligomenorrea o amenorrea, hirsutismo ,
infertilidad y resistencia a la insulina
 El perfil hormonal se caracteriza por un
aumento de la LH sobre la FSH en relación
de 2:1, 3:1 o más
 Su representación ecográfica son los ovarios
poliquíticos
OVARIOS POLIQUISTICOS
 Aumento de tamaño de ambos ovarios
 Mayor de 9cc
 Un 30% puede tener volumen normal
 Múltiples folículos pequeños
 Localización periférica
 Miden de 0.5 a 0.8 cm.
 ETV > 15 folículos y ETA > 10 folículos
 Ecogenicidad estromal aumentada
 Signo mas sencible
OVARIO POLIQUISITICO
OVARIOS POLIQUISTICOS
NEOPLASIAS DE OVARIO
 Es la cuarta causa de muerte por cáncer en mujeres dentro
de los Estados Unidos
 Constituye el 25% de todas las malignidades ginecológicas
 Su pico de incidencia es en la sexta década de la vida
 El 60% al 70% de las mujeres tienen enfermedad avanzada
al momento de ser detectado ya que no da mucha
sintomatología
 El esfuerzo esta dirigido al desarrollo de métodos de
diagnóstico precoz de esta patología
NEOPLASIAS DE OVARIO
 CLASIFICACION
 TUMORES EPITELIALES
 TUMORES DE GERMINALES
 TUMORAS DE LOS CORDONES SEXUALES
 TUMORES METASTASICOS
TUMORES EPITELIALES
 Cistoadenoma seroso (carcinoma)
 Cistoadenoma mucinoso (carcinoma)
 Carcinoma endometroide
 Carcinoma de células claras
 Tumor de células transicionales
 INCIDENCIA : 65 % AL 75%
TUMORES DE CELULAS GERMINALES
 Teratoma
 Dermoides
 Inmaduro
 Disgerminoma
 Tumor del saco vitelino
 INCIDENCIA : 15% AL 20%
TUMORES ESTROMALES DE LOS CORDONES
SEXUALES
 Tumor de células de la granulosa
 Tumor de células de Sertoly y Leydig
 Tecoma y Fibroma
 INCIDENCIA : 5% AL 10%
TUMORES METASTASICOS
 Primario Genital
 Utero
 Primario extragenital
 Estómago
 Colon
 Mama
 Linfoma
 INCIDENCIA : 5% AL 10%
NEOPLASIA MALIGNA DE OVARIO
 CARACTERISTICAS ECOGRAFICAS
GENERALES
 Masas sólidas o quística con componente sólido
 Capsula con perdida de la continuidad
 Frecuentemente bilaterales
 Imágenes endo o exofiticas
 Tabiques con vasularización
 Flujo doppler con baja resistencia
 Ascitis
TERATOMA QUISTICO (QUISTE DERMOIDES)
CISTOADENOMA SEROSO
CISTOADENOMA
CISTOADENOCARCINOMA 3D
CISTOADENOCARCINOMA DE OVARIO
CANCER DE OVARIO

Patologia ovarica

  • 1.
    PATOLOGIA OVARICA DRA SONIASANDOVAL ESPINOZA
  • 2.
    OVARIOS  ESTRUCTURA ELIPSOIDEA EJE MAYOR VERTICAL GENERALMENTE MEDIDAS: D.L. 25-40mm. D.AP. 10-15mm. D.T. 12-20mm.  Volumen normal: MEF 9,8cm3 P.Menop.5,8cm3 Prepuber 3 cm3  Volumenes maximos fase preovulatoria minimos fase lutea
  • 3.
    OVARIOS POSICION : FOSA DEWALDEYER (FOSA OVARICA) DELANTE DE LOS VASOS HIPOGASTRICOS POR DEBAJO DE LA BIFURCACION ILIACA EXTERNA EN EL PLANO SUPERIOR RETROUTERINO
  • 4.
    ECOESTRUCTURA OVARICA ZONA CORTICAL Menosecogenica Periferica Componente folicular y estromal ZONA MEDULAR Mas ecogenica Componente vascular,neural
  • 5.
  • 6.
  • 7.
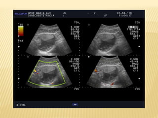
    LESIONES NO NEOPLASICASDE OVARIO  QUISTES FUNCIONALES  QUISTE FOLICULAR  CUERPO LUTEO  QUISTE TECOLUTEINICO  QUISTE HEMORRAGICO  ENDOMETRIOMA  OVARIOS POLIQUISTICOS
  • 8.
    QUISTES FUNCIONALES  Incluyenlos quistes foliculares, el cuerpo luteo y los quistes tecoluteinicos  El quiste folicular aparece cuando el folículo maduro no ovula o no involuciona  El tamaño del quiste folicular debe ser mayor de 2.5cm  Mayor mente son unilaterales, asintomáticos y se detectan incidentalmente en la exploración ecográfica
  • 11.
    QUISTE DE CUERPOLUTEO  Resultado del fallo en su absorción o del exceso de sangre en el cuerpo lúteo  El dolor es el síntoma mas frecuente, son unilaterales y mas propenso a la hemorragia y a la ruptura  Son uniloculares anecogénicos con paredes finas bien definidas y refuerzo acústico posterior
  • 12.
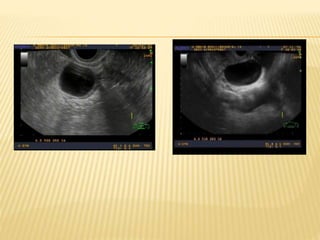
    QUISTE HEMORRAGICO  Lahemorragia interna puede ocurrir en ambos quistes funcionales  Presentan dolor pélvico agudo  El aspecto ecográfico depende de la cantidad de hemorragia y del tiempo de la hemorragia en relación al tiempo de la exploración ecográfica  Un quiste hemorrágico agudo normalmente es hiperecogénico y puede simular una masa sólida pero presenta pared lisa y refuerzo posterior  En la hemolización del coagulo el patrón interno se torna complejo, con un patrón reticular que contiene septos y ecos internos
  • 13.
  • 15.
    ENDOMETRIOSIS  Endometriosis esla presencia de tejido endometrial funcional fuera del útero  La localización más frecuente se encuentra en el ovario, trompas, ligamento uterosacro y fondo de saco  La clínica se caracteriza por dismenorrea , dispareunia e infertilidad  El Endometrioma forma severa de la enfermedad es una masa quistita que compromete el ovario denominada “ Quiste de Chocolate ”
  • 16.
    ENDOMETRIOMA  Frecuentemente sonasitomáticos y múltiples  Masa predominantemente quistita , unilocular o multilocular, bordes bien definidos  Ecos internos de bajo nivel, difusamente homogéneas, apreciándose mucho mejor con ecografía transvaginal  El aspecto puede ser similar a un quiste hemorrágico sin embargo este se asocia a un patrón reticular y frecuentemente con liquido en el fondo de saco
  • 17.
  • 18.
    ENFERMEDAD DE OVARIOSPOLIQUISTICOS  Enfermedad endocrinológica caracterizada por oligomenorrea o amenorrea, hirsutismo , infertilidad y resistencia a la insulina  El perfil hormonal se caracteriza por un aumento de la LH sobre la FSH en relación de 2:1, 3:1 o más  Su representación ecográfica son los ovarios poliquíticos
  • 19.
    OVARIOS POLIQUISTICOS  Aumentode tamaño de ambos ovarios  Mayor de 9cc  Un 30% puede tener volumen normal  Múltiples folículos pequeños  Localización periférica  Miden de 0.5 a 0.8 cm.  ETV > 15 folículos y ETA > 10 folículos  Ecogenicidad estromal aumentada  Signo mas sencible
  • 20.
  • 21.
  • 22.
    NEOPLASIAS DE OVARIO Es la cuarta causa de muerte por cáncer en mujeres dentro de los Estados Unidos  Constituye el 25% de todas las malignidades ginecológicas  Su pico de incidencia es en la sexta década de la vida  El 60% al 70% de las mujeres tienen enfermedad avanzada al momento de ser detectado ya que no da mucha sintomatología  El esfuerzo esta dirigido al desarrollo de métodos de diagnóstico precoz de esta patología
  • 23.
    NEOPLASIAS DE OVARIO CLASIFICACION  TUMORES EPITELIALES  TUMORES DE GERMINALES  TUMORAS DE LOS CORDONES SEXUALES  TUMORES METASTASICOS
  • 24.
    TUMORES EPITELIALES  Cistoadenomaseroso (carcinoma)  Cistoadenoma mucinoso (carcinoma)  Carcinoma endometroide  Carcinoma de células claras  Tumor de células transicionales  INCIDENCIA : 65 % AL 75%
  • 25.
    TUMORES DE CELULASGERMINALES  Teratoma  Dermoides  Inmaduro  Disgerminoma  Tumor del saco vitelino  INCIDENCIA : 15% AL 20%
  • 26.
    TUMORES ESTROMALES DELOS CORDONES SEXUALES  Tumor de células de la granulosa  Tumor de células de Sertoly y Leydig  Tecoma y Fibroma  INCIDENCIA : 5% AL 10%
  • 27.
    TUMORES METASTASICOS  PrimarioGenital  Utero  Primario extragenital  Estómago  Colon  Mama  Linfoma  INCIDENCIA : 5% AL 10%
  • 28.
    NEOPLASIA MALIGNA DEOVARIO  CARACTERISTICAS ECOGRAFICAS GENERALES  Masas sólidas o quística con componente sólido  Capsula con perdida de la continuidad  Frecuentemente bilaterales  Imágenes endo o exofiticas  Tabiques con vasularización  Flujo doppler con baja resistencia  Ascitis
  • 29.
  • 31.
  • 32.
  • 33.
  • 34.
  • 35.