PATOLOGIA DE OVARIO
Dr. Gustavo Torres Nava
Cátedra de Anatomía Patológica
Recordando la embriología...
Aspectos Anatomicos e
Histológicos
PATOLOGIA NO NEOPLASICA
 La patología no tumoral de ovario es poco frecuente. Las
principales lesiones son:
 Quistes funcionales del ovario
 Endometriosis ovárica
 Ovario poliquístico
TUMORES DE OVARIO
 Representan el 6% de todas las neoplasias
malignas en la mujer
 Son responsables del 50% de las muertes por
cáncer originados en el tracto genital
femenino
 Solo superados en el tracto genital femenino
por la patología de cuello y endometrio
PATOGENESIS DE LAS NEOPLASIAS
MELIGNAS DE OVARIO
 Multiparidad
 Antecedentes familiares
 Factores genéticos

BRCA-1 y BRCA-2
HER2/NEU
P53
ASPECTOS CLINICOS Y
DIAGNOSTICOS DE IMPORTANCIA
CLASIFICACION Y ORIGEN DE LOS
TUMORES DE OVARIO
TUMORES SEROSOS
 En conjunto los tumores benignos, en el límite de la
malignidad y malignos representan el 30% de todos los
tumores de ovario
 Los cistadenomas serosos son generalmente uniloculados
 75% son benignos o en el borderline
 Cistadenocarcinoma seroso representa el 40% de todos los
carcinomas de ovario
 Bilateralidad:
 20% cistadenomas
 30% borderline
 66% cistadenocarcinoma
TUMORES MUCINOSOS
 Son menos frecuentes que los tumores serosos
(25%)
 Afectan adultos entre 40-50 años. Raros en
prepuberes y postmenopausicas
 80% son benignos o borderline (cistadenomas
mucinosos o borderline)
 Los cistadeno Ca. Mucinosos < 10% de los Ca de
ovario
 Solo 5% de los tumores mucinosos benignos son
bilaterales en comparación con 20% en cistadenoCa.
mucinosos
CISTADENOMA SEROSO: Tumoración quística voluminosa de
superficie externa lisa y brillante ocupada por líquido claro
CISTADENOMA SEROSO: Tumoración quística voluminosa generalmente
uniloculadas, pero al alcanzar dimensiones considerables forma tabíques que
lo dividen en varias camaras. Observese el liquido claro en las cavidades
superiores y la ausencia de papilas
CISTADENOCARCINOMA PAPILAR: Tumoración solida, de superficie
granular originada en el ovario y envolviendo trompa y cuerpo uterino.
Observen las áreas gris negruzco de aspecto necrótico en la superficie
CISTADENOCARCINOMA PAPILAR MUCINOSO: Tumoración solida, de
superficie granular originada en el ovario y envolviendo trompa y cuerpo
uterino. Observen las áreas gris negruzco de aspecto necrótico en la
superficie
Cistadenoma Mucinoso. Coloración PAS. 200X.
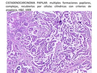
CISTADENOCARCINOMA PAPILAR: multiples formaciones papilares,
complejas, recubiertas por células cilíndricas con criterios de
anaplasia. H&E. 100X
CISTADENOCARCINOMA PAPILAR: múltiples formaciones papilares,
complejas, recubiertas por células cilíndricas con criterios de anaplasia. H&E.
400X
CISTADENOCARCINOMA PAPILAR: multiples formaciones papilares,
complejas, recubiertas por células cilíndricas con criterios de
anaplasia. H&E. 400X
OTROS TUMORES ORIGINADOS EN EPITELIOS
DERIVADOS DE LOS CONDUCTOS DE MÜLLER
 Tumores endometrioides





20% de todos los carcinomas originados en ovario
15-30% se acompañan de carcinoma de endometrio
15% coexiste con endometriosis
75% de sobrevida a los 5 años en pctes. en estadio I

 Adenocarcinoma de células claras
 Muy raro
 Son muy agresivos. Sobrevida de 65% a los 5 años cuando están confinados al ovario.
Sobrevida excepcional a los 5 años cuando se ha extendido mas alla del ovario
 Pueden ser sólidos o quísticos

 Cistadenofibroma
 Tumor de Brenner
 Pueden ser sólidos o quísticos y generalmente unilaterales
 La mayoría son benignos pero las variantes “borderline” y malignas han sido descritas
 El componente epitelial consiste en nidos de células transicionales
TUMORES DERIVADOS DE LAS
CELULAS GERMINALES
TUMORES DE CELULAS
GERMINALES

CARCINOMA
EMBRIONARIO

DISGERMINOMA

Forman estructuras
embrionarias

TERATOMAS

Forman estructuras
extraembrionarias

TUMOR DEL SACO
VITELINO Y/O
CORIOCARCINOMA
DISGERMINOMA
Corresponde al seminoma en el
testículo
Relativamente infrecuente
Representa solo el 2% de las
neoplasias malignas del ovario y
el 50% de las neoplasias malignas
derivadas de células germinales
Afectan mujeres en la 2ª y 3ª
década de la vida
Usualmente unilaterales
Son sumamente radiosensibles
y en casos limitados al ovario la
sobrevida a los 5 años es del 80%
Disgerminoma
TERATOMAS
 Pueden ser benignos, malignos o monodérmicos
 Son tumores quísticos
 Benignos:
 Contienen tejidos maduros de las tres capas germinales
 Bilaterales en 10-15% de los casos
 La mayoria se diferencia a tejidos neuroectodermicos
 Cuando sus componentes son principalmente piel y anexos se llaman quistes
dermoides
 Malignos:
 Es raro
 Afecta prepuberes o adultas jovenes
 Su crecimiento es rápido y producen metástasis a distancia
 Buen pronostico cuando se diagnostican en estadios tempranos
 Monodérmicos:
 Muy raros.
 El mas frecuente es el estruma ovárico
 Siempre son unilaterales. Un teratoma contralateral puede estar presente
TERATOMA MADURO
Teratoma Monodérmico: Struma
Ovárico
TUMOR DEL SENO
ENDODERMICO O DEL
SACO VITELINO

Es muy raro pero es el
segundo mas frecuente de
los tumores malignos de
células germinales
Es rico en α-fetoproteina
y α1-antitripsina
Forma los cuerpos de
Schiller-Duvall
CORIOCARCINOMA
Su origen en células
germinales solo puede ser
asegurado en edad prepuberal
La mayoría se presenta en
asociación con otra neoplasias
de células germinales
El coriocarcinoma puro es
extremadamente raro
Al igual que el resto de los
tumores de células germinales
puede presentarse a lo largo
de la línea media
TUMORES DERIVADOS DE
LOS CORDONES SEXUALES
TUMOR DE CELULAS DE LA
GRANULOSA:
Usualmente unilaterales
Neoplasias sólidas
Forman los cuerpos de CallExner

OTROS TUMORES DERIVADOS
DE LOS CORDONES SEXUALES:
ANDROBLASTOMAS
FIBROTECOMAS

TUMOR DE CELULAS DE LA GRANULOSA:
CUERPO DE CALL-EXNER

Patologia de ovario

  • 1.
    PATOLOGIA DE OVARIO Dr.Gustavo Torres Nava Cátedra de Anatomía Patológica
  • 2.
  • 3.
  • 4.
    PATOLOGIA NO NEOPLASICA La patología no tumoral de ovario es poco frecuente. Las principales lesiones son:  Quistes funcionales del ovario  Endometriosis ovárica  Ovario poliquístico
  • 6.
    TUMORES DE OVARIO Representan el 6% de todas las neoplasias malignas en la mujer  Son responsables del 50% de las muertes por cáncer originados en el tracto genital femenino  Solo superados en el tracto genital femenino por la patología de cuello y endometrio
  • 7.
    PATOGENESIS DE LASNEOPLASIAS MELIGNAS DE OVARIO  Multiparidad  Antecedentes familiares  Factores genéticos BRCA-1 y BRCA-2 HER2/NEU P53
  • 8.
  • 9.
    CLASIFICACION Y ORIGENDE LOS TUMORES DE OVARIO
  • 10.
    TUMORES SEROSOS  Enconjunto los tumores benignos, en el límite de la malignidad y malignos representan el 30% de todos los tumores de ovario  Los cistadenomas serosos son generalmente uniloculados  75% son benignos o en el borderline  Cistadenocarcinoma seroso representa el 40% de todos los carcinomas de ovario  Bilateralidad:  20% cistadenomas  30% borderline  66% cistadenocarcinoma
  • 11.
    TUMORES MUCINOSOS  Sonmenos frecuentes que los tumores serosos (25%)  Afectan adultos entre 40-50 años. Raros en prepuberes y postmenopausicas  80% son benignos o borderline (cistadenomas mucinosos o borderline)  Los cistadeno Ca. Mucinosos < 10% de los Ca de ovario  Solo 5% de los tumores mucinosos benignos son bilaterales en comparación con 20% en cistadenoCa. mucinosos
  • 12.
    CISTADENOMA SEROSO: Tumoraciónquística voluminosa de superficie externa lisa y brillante ocupada por líquido claro
  • 13.
    CISTADENOMA SEROSO: Tumoraciónquística voluminosa generalmente uniloculadas, pero al alcanzar dimensiones considerables forma tabíques que lo dividen en varias camaras. Observese el liquido claro en las cavidades superiores y la ausencia de papilas
  • 14.
    CISTADENOCARCINOMA PAPILAR: Tumoraciónsolida, de superficie granular originada en el ovario y envolviendo trompa y cuerpo uterino. Observen las áreas gris negruzco de aspecto necrótico en la superficie
  • 16.
    CISTADENOCARCINOMA PAPILAR MUCINOSO:Tumoración solida, de superficie granular originada en el ovario y envolviendo trompa y cuerpo uterino. Observen las áreas gris negruzco de aspecto necrótico en la superficie
  • 17.
  • 18.
    CISTADENOCARCINOMA PAPILAR: multiplesformaciones papilares, complejas, recubiertas por células cilíndricas con criterios de anaplasia. H&E. 100X
  • 19.
    CISTADENOCARCINOMA PAPILAR: múltiplesformaciones papilares, complejas, recubiertas por células cilíndricas con criterios de anaplasia. H&E. 400X
  • 20.
    CISTADENOCARCINOMA PAPILAR: multiplesformaciones papilares, complejas, recubiertas por células cilíndricas con criterios de anaplasia. H&E. 400X
  • 21.
    OTROS TUMORES ORIGINADOSEN EPITELIOS DERIVADOS DE LOS CONDUCTOS DE MÜLLER  Tumores endometrioides     20% de todos los carcinomas originados en ovario 15-30% se acompañan de carcinoma de endometrio 15% coexiste con endometriosis 75% de sobrevida a los 5 años en pctes. en estadio I  Adenocarcinoma de células claras  Muy raro  Son muy agresivos. Sobrevida de 65% a los 5 años cuando están confinados al ovario. Sobrevida excepcional a los 5 años cuando se ha extendido mas alla del ovario  Pueden ser sólidos o quísticos  Cistadenofibroma  Tumor de Brenner  Pueden ser sólidos o quísticos y generalmente unilaterales  La mayoría son benignos pero las variantes “borderline” y malignas han sido descritas  El componente epitelial consiste en nidos de células transicionales
  • 22.
    TUMORES DERIVADOS DELAS CELULAS GERMINALES TUMORES DE CELULAS GERMINALES CARCINOMA EMBRIONARIO DISGERMINOMA Forman estructuras embrionarias TERATOMAS Forman estructuras extraembrionarias TUMOR DEL SACO VITELINO Y/O CORIOCARCINOMA
  • 23.
    DISGERMINOMA Corresponde al seminomaen el testículo Relativamente infrecuente Representa solo el 2% de las neoplasias malignas del ovario y el 50% de las neoplasias malignas derivadas de células germinales Afectan mujeres en la 2ª y 3ª década de la vida Usualmente unilaterales Son sumamente radiosensibles y en casos limitados al ovario la sobrevida a los 5 años es del 80%
  • 24.
  • 25.
    TERATOMAS  Pueden serbenignos, malignos o monodérmicos  Son tumores quísticos  Benignos:  Contienen tejidos maduros de las tres capas germinales  Bilaterales en 10-15% de los casos  La mayoria se diferencia a tejidos neuroectodermicos  Cuando sus componentes son principalmente piel y anexos se llaman quistes dermoides  Malignos:  Es raro  Afecta prepuberes o adultas jovenes  Su crecimiento es rápido y producen metástasis a distancia  Buen pronostico cuando se diagnostican en estadios tempranos  Monodérmicos:  Muy raros.  El mas frecuente es el estruma ovárico  Siempre son unilaterales. Un teratoma contralateral puede estar presente
  • 26.
  • 27.
  • 28.
    TUMOR DEL SENO ENDODERMICOO DEL SACO VITELINO Es muy raro pero es el segundo mas frecuente de los tumores malignos de células germinales Es rico en α-fetoproteina y α1-antitripsina Forma los cuerpos de Schiller-Duvall
  • 29.
    CORIOCARCINOMA Su origen encélulas germinales solo puede ser asegurado en edad prepuberal La mayoría se presenta en asociación con otra neoplasias de células germinales El coriocarcinoma puro es extremadamente raro Al igual que el resto de los tumores de células germinales puede presentarse a lo largo de la línea media
  • 30.
    TUMORES DERIVADOS DE LOSCORDONES SEXUALES TUMOR DE CELULAS DE LA GRANULOSA: Usualmente unilaterales Neoplasias sólidas Forman los cuerpos de CallExner OTROS TUMORES DERIVADOS DE LOS CORDONES SEXUALES: ANDROBLASTOMAS FIBROTECOMAS TUMOR DE CELULAS DE LA GRANULOSA: CUERPO DE CALL-EXNER