Laura Gabriela Domínguez Domínguez
Pediatría
4010
Reflujo Gastroesofagico
Definiciones
Reflujo Gastroesofagico
(RGE)
Enfermedad por reflujo gastroesofagico
(ERGE)
 Se define como el paso del
contenido gástrico hacia el
esófago
 Se define como los síntomas o
complicaciones del reflujo
gastroesofágico
Definiciones
 Vomito: Material refluido sale fuera de la boca con relativa fuerza
 La regurgitación se define como el paso del contenido gástrico hacia
el esófago y/o hacia la boca “sin esfuerzo alguno”
 Rumiacion: cuando el niño mastica y traga de nuevo el material
gástrico refluido
Reflujo Gastroesofagico
 Condición fisiológica
 Autolimitante
 Tiene función protectora descomprime el estomago
 50% de los lactantes (0-3 meses)
1% de los lactantes (>12 meses)
Fisiopatología
 La peristalsis esofágica, la competencia del esfínter esofágico
inferior y la anatomía del esófago intraabdominal
 Maduran con la edad postnatal
 La eficacia del sistema antirreflujo está limitado en el recién nacido y
el lactante pequeño
Mecanismo antirreflujo
 El esófago debe estar en posición anatómica correcta, en su parte
abdominal y torácica aseguradas en el primer lugar por los
mecanismos de fijación, que impiden el ascenso del cardias al tórax:
1) Membrana de frenoesofagica
2) Ligamento esofagohepatico
3) Arteria coronaria estomática
4) Nervios neumogástricos
5) Esfínter esofágico inferior
6) Angulo de His y cierre valvular
7) Hiato diafragmático
Esfínter esofágico inferior (EEI)
 Es la principal barrera contra el movimiento retrógrado del contenido
gástrico
 Los episodios de RGE se producen cuando el tono del EEI es menor de
12 mmHg
 El aumento de la presión intragástrica provoca reflujo, sobre todo
cuando la presión del EEI está disminuída
 Las relajaciones transitorias del EEI y la contracción del diafragma
crural son los principales mecanismos de producción de RGE y ERGE
Fisiopatología
Mecanismos implicados en la aparición del RGE del lactante son:
 Menor longitud del esfínter esofágico inferior
 Inmadurez del esfínter esofágico inferior
 Relajaciones transitorias
 Limitación de los movimientos peristálticos que eliminan el material
refluido del esófago termina al estomago
 Retraso en el vaciamiento gástrico
Anomalías morfológicas
cardiohiatales acompañantes
 Dilatación cardioesofagica
 Hernia hiatal por deslizamiento
 Hernia hiatal paraesofagica
Manifestaciones clínicas
Síntomas digestivos
 Vomito
 Disfagia
 Pirosis
 Hematemesis
 Dispepsia
 Anorexia
 Desnutrición
 Anemia
Manifestaciones clínicas
Síntomas respiratorios
 Apnea
 Cianosis
 Sibilancias y estridor
 Tos crónica
 Neumonías
 Laringomalacia
 Estenosis subglotica
Manifestaciones clínicas
Síntomas sistémicos
 Extensión del cuello (Sx de Sandifer)
 Falla de medro (Crecimiento)
 Llanto e irritabilidad
Pacientes con RGE sin complicaciones
 Este grupo presenta regurgitaciones repetidas
 Rara vez vómitos
 Está limitado a lactantes de menos de 1 año de edad.
 No afecta al desarrollo
 No aparecen otras complicaciones
 En ocasiones es difícil diferenciarlo de las regurgitaciones
fisiológicas
Pacientes con ERGE o ERGE complicada
 Incluye vómitos
 Síntomas indicativos de esofagitis, anemia ferropénica, hematemesis,
disfagia,pirosis, dolor epigástrico o retroesternal, eructos, plenitud
posprandial, irritabilidad general en lactantes, anorexia y pérdida de
peso y/o falta de desarrollo.
Pacientes con presentaciones clínicas no
habituales de ERGE
 La diferencia más evidente entre este grupo de pacientes y el de los
que sufren ERGE con y sin complicaciones es que este grupo no
presenta vómitos ni regurgitaciones.
 La enfermedad por RGE está, por tanto, oculta y presenta un
diagnóstico diferencial con otras patologías.
 Son pacientes que pueden presentar: bronquitis obstructivas, asma,
laringitis, rumiación o con movimientos cervicales anormales
(síndrome de Sandifer).
Niños con deterioro neurológico grave
 Frecuentemente sufren la patología del RGE y sus complicaciones.
 Es una de las condiciones más frecuentes con riesgo de aumento de
ERGE
Criterios para RGE fisiológico
 Lactante sano
 Edad: 3semanas- 12 meses
 2 o mas episodios diarios de regurgitación
 Durante 3 o mas semanas
 Ausencia de nauseas, hematemesis, aspiración, apnea, rechazo de la
toma, disfagia o posturas anormales
Criterios para ERGE
Signos y síntomas de alarma:
1. Irritabilidad o llanto intenso
2. Persistencia o progresión de síntomas a pesar del tratamiento
farmacológico
3. Hemorragia digestiva alta o baja
4. Síntomas respiratorios (apnea, sibilancias y estridor, tos crónica, etc.)
5. Otros síntomas sistémicos (falla en el crecimiento)
6. Sospecha de una enfermedad secundaria como causa del reflujo
gastroesofágico.
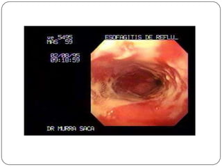
Complicaciones de ERGE
 Esofagitis
 Ulcera péptica
 Estenosis esofágica
 Esófago de barrett
 Laringitis
 Anemia
 Neumonías recurrentes
Diagnostico
 Historia clínica completa
 Estudio radiológico esofagogastroduodenal
 Ecografía
 Phmetria
 Gamagrama
 Manometría
 Impedancia
 Endoscopia
Estudio radiológico esofagogastroduodenal
 Ha demostrado tener escaso rendimiento para el diagnóstico de RGE
 La sensibilidad 31-86%, especificidad 80-82%
 Pero no es útil para determinar la presencia o ausencia de RGE.
 Es además, una prueba que utiliza radiación ionizante con los inconvenientes
que ello conlleva.
 No debe emplearse de forma rutinaria en pacientes con RGE
 No cuantifica el reflujo
Ecografía
 Procedimiento inocuo para el paciente
 Depende de la habilidad del radiólogo y del tiempo de que disponga
para realizar la prueba.
 La sensibilidad para detectar el reflujo es del 65%.
pHmetría esofágica de 24 horas
 Alta sensibilidad y especificidad para el diagnóstico del RGE.
 Se define como episodio de RGE como el descenso del pH en tercio
inferior del esófago, por debajo de 4 durante más de 15 segundos
 El término reflujo no ácido se define como el periodo de tiempo con pH > 7
de gran importancia en el desarrollo de esofagitis.
 La pHmetría esofágica no puede detectar RGE en el rango intermedio
entre pH 4 y 7, debido a que el pH normal esofágico está comprendido
entre 5 y 6,8
Gammagrafía isotópica
 Tiene mayor sensibilidad que el estudio baritado a pesar de ofrecer
unas imágenes menos nítidas
 Existe un porcentaje significativo de falsos positivos que la hacen
inapropiada como único método diagnóstico.
 La sensibilidad oscila entre el 15-59%
 La especificidad entre el 83-100%
Manometría esofágica
 Herramienta diagnóstica que aporta información cualitativa y
cuantitativa acerca de anomalías motoras del esófago
 Mide las presiones intraluminales y la coordinación de la actividad
motora esofágica.
 La utilidad de esta técnica en el estudio del paciente con RGE reside
en su capacidad de excluir o confirmar anomalías motoras
esofágicas.
Impedancia eléctrica múltiple intraluminal
 Se puede detectar movimientos de fluidos o gases en el interior del
esófago, entre ellos el paso del alimento (líquido o sólido) o el gas
intraluminal.
 En colaboración con registros pHmétricos, es posible identificar
episodios de RGE no ácidos o débilmente ácidos.
 En comparación con la monitorización del pH, la impedancia tiene la
ventaja de ser independiente del valor de pH, por lo que se adapta
mejor para medir el reflujo, especialmente en el periodo postprandial.
Endoscopia
 No hay suficiente evidencia que soporte el uso de la histología para
diagnosticar o excluir la ERGE.
 El papel principal de la histología esofágica radica en descartar otros
procesos que pudieran confundirse con la ERGE (esofagitis
eosinofílica, enfermedad de Crohn, infecciones, etc.).
 En la práctica se debe indicar en aquellos niños con criterios de ERGE
para descartar esofagitis acompañante, o como primera prueba
diagnóstica ante una ERGE con hematemesis, disfagia, pirosis, dolor
retroesternal, etc.
Tratamiento no farmacológico
 Iniciar con las medidas de cambios en estilo de vida
 Posición semiflowler
 Posición decúbito lateral izquierda
 la postura en prono y anti-Trendelenburg con una inclinación de 30°
 Espesamiento de la leche a pacientes con reflujo primario y peso
bajo.
Tratamiento farmacológico
Inhibidores de la bomba de protones
 • Omeprazol 0,5-1 mg/kg/día; cada 12-24 h
 • Lansoprazol 0,75-1,7 mg/kg/día; cada 12-24 h
< 10 kg: 7,5 mg/24 h
10-20 kg: 15 mg/24 h
> 20 kg: 30 mg/24 h
 • Pantoprazol 0,6-1,2 mg/kg/día; cada 12-24 h; niños > 6 años
 • Esomeprazol 0,5-2 mg/kg/día; cada 12-24 h; niños > 1 año
 • Rabeprazol 10-20 mg/día; cada 12-24; niños > 12 años
Tratamiento farmacológico
Antagonistas de los receptores H2
 • Ranitidina
5-10 mg/kg/día, cada 12 h (lactantes)
2-6 mg/kg/día cada 12 h (niños)
 • Cimetidina 40 mg/kg/día; cada 6 horas;
administrar con alimentos
 • Famotidina 1 mg/kg/día cada 12 horas
 • Nizatidina 10 mg/kg/día cada 12 horas
Tratamiento farmacológico
Antiácidos
 • Algeldrato
Lactantes: 1-2 mL/kg/dosis cada 6 horas después de las comidas;
Niños: 0,5-1 mL/kg/dosis o 5-15 mL/dosis
 • Almagato
Niños: 0,25-0,5 mL/kg/dosis cada 3-6 horas o 1 y 3 horas después
de las comidas
 • Hidróxido de aluminio
Niños: 40 mg/kg/dosis o 0,5 mL/kg/dosis cada 6-8 horas
 • Algeldrato/hidróxido de aluminio Dosis según presentación
Tratamiento farmacológico
Citroprotectores
 • Sucralfato
0,5-1 g/1,73 m2 cada 6 horas
10-20 mg/kg/6 horas
Tratamiento Quirúrgico
Indicación:
 Mala respuesta al tratamiento medico
 Falta de control de los síntomas con tratamiento médico
 Necesidad de tomar medicación permanentemente
 Manifestaciones respiratorias graves
 Esófago de Barret con displasia
 Estenosis esofágica
 Pacientes con ERGE y enfermedad neurológica grave
funduplicatura de Nissen
Diferencias de la ERGE
lactantes, niños y adultos
 La ERGE suele ser persistente
en niños y adultos, 50% de los
cuales presentan una evolución
crónica con recidivas.
 Por el contrario en la mayoría
de los lactantes, ésta se
resuelve en el primer o
segundo año de vida y se trata
de un RGE funcional.
Referencias

Reflujo gastroesofagico

  • 1.
    Laura Gabriela DomínguezDomínguez Pediatría 4010 Reflujo Gastroesofagico
  • 2.
    Definiciones Reflujo Gastroesofagico (RGE) Enfermedad porreflujo gastroesofagico (ERGE)  Se define como el paso del contenido gástrico hacia el esófago  Se define como los síntomas o complicaciones del reflujo gastroesofágico
  • 3.
    Definiciones  Vomito: Materialrefluido sale fuera de la boca con relativa fuerza  La regurgitación se define como el paso del contenido gástrico hacia el esófago y/o hacia la boca “sin esfuerzo alguno”  Rumiacion: cuando el niño mastica y traga de nuevo el material gástrico refluido
  • 4.
    Reflujo Gastroesofagico  Condiciónfisiológica  Autolimitante  Tiene función protectora descomprime el estomago  50% de los lactantes (0-3 meses) 1% de los lactantes (>12 meses)
  • 5.
    Fisiopatología  La peristalsisesofágica, la competencia del esfínter esofágico inferior y la anatomía del esófago intraabdominal  Maduran con la edad postnatal  La eficacia del sistema antirreflujo está limitado en el recién nacido y el lactante pequeño
  • 6.
    Mecanismo antirreflujo  Elesófago debe estar en posición anatómica correcta, en su parte abdominal y torácica aseguradas en el primer lugar por los mecanismos de fijación, que impiden el ascenso del cardias al tórax: 1) Membrana de frenoesofagica 2) Ligamento esofagohepatico 3) Arteria coronaria estomática 4) Nervios neumogástricos 5) Esfínter esofágico inferior 6) Angulo de His y cierre valvular 7) Hiato diafragmático
  • 8.
    Esfínter esofágico inferior(EEI)  Es la principal barrera contra el movimiento retrógrado del contenido gástrico  Los episodios de RGE se producen cuando el tono del EEI es menor de 12 mmHg  El aumento de la presión intragástrica provoca reflujo, sobre todo cuando la presión del EEI está disminuída  Las relajaciones transitorias del EEI y la contracción del diafragma crural son los principales mecanismos de producción de RGE y ERGE
  • 9.
    Fisiopatología Mecanismos implicados enla aparición del RGE del lactante son:  Menor longitud del esfínter esofágico inferior  Inmadurez del esfínter esofágico inferior  Relajaciones transitorias  Limitación de los movimientos peristálticos que eliminan el material refluido del esófago termina al estomago  Retraso en el vaciamiento gástrico
  • 10.
    Anomalías morfológicas cardiohiatales acompañantes Dilatación cardioesofagica  Hernia hiatal por deslizamiento  Hernia hiatal paraesofagica
  • 12.
    Manifestaciones clínicas Síntomas digestivos Vomito  Disfagia  Pirosis  Hematemesis  Dispepsia  Anorexia  Desnutrición  Anemia
  • 13.
    Manifestaciones clínicas Síntomas respiratorios Apnea  Cianosis  Sibilancias y estridor  Tos crónica  Neumonías  Laringomalacia  Estenosis subglotica
  • 14.
    Manifestaciones clínicas Síntomas sistémicos Extensión del cuello (Sx de Sandifer)  Falla de medro (Crecimiento)  Llanto e irritabilidad
  • 15.
    Pacientes con RGEsin complicaciones  Este grupo presenta regurgitaciones repetidas  Rara vez vómitos  Está limitado a lactantes de menos de 1 año de edad.  No afecta al desarrollo  No aparecen otras complicaciones  En ocasiones es difícil diferenciarlo de las regurgitaciones fisiológicas
  • 16.
    Pacientes con ERGEo ERGE complicada  Incluye vómitos  Síntomas indicativos de esofagitis, anemia ferropénica, hematemesis, disfagia,pirosis, dolor epigástrico o retroesternal, eructos, plenitud posprandial, irritabilidad general en lactantes, anorexia y pérdida de peso y/o falta de desarrollo.
  • 17.
    Pacientes con presentacionesclínicas no habituales de ERGE  La diferencia más evidente entre este grupo de pacientes y el de los que sufren ERGE con y sin complicaciones es que este grupo no presenta vómitos ni regurgitaciones.  La enfermedad por RGE está, por tanto, oculta y presenta un diagnóstico diferencial con otras patologías.  Son pacientes que pueden presentar: bronquitis obstructivas, asma, laringitis, rumiación o con movimientos cervicales anormales (síndrome de Sandifer).
  • 18.
    Niños con deterioroneurológico grave  Frecuentemente sufren la patología del RGE y sus complicaciones.  Es una de las condiciones más frecuentes con riesgo de aumento de ERGE
  • 19.
    Criterios para RGEfisiológico  Lactante sano  Edad: 3semanas- 12 meses  2 o mas episodios diarios de regurgitación  Durante 3 o mas semanas  Ausencia de nauseas, hematemesis, aspiración, apnea, rechazo de la toma, disfagia o posturas anormales
  • 20.
    Criterios para ERGE Signosy síntomas de alarma: 1. Irritabilidad o llanto intenso 2. Persistencia o progresión de síntomas a pesar del tratamiento farmacológico 3. Hemorragia digestiva alta o baja 4. Síntomas respiratorios (apnea, sibilancias y estridor, tos crónica, etc.) 5. Otros síntomas sistémicos (falla en el crecimiento) 6. Sospecha de una enfermedad secundaria como causa del reflujo gastroesofágico.
  • 21.
    Complicaciones de ERGE Esofagitis  Ulcera péptica  Estenosis esofágica  Esófago de barrett  Laringitis  Anemia  Neumonías recurrentes
  • 23.
    Diagnostico  Historia clínicacompleta  Estudio radiológico esofagogastroduodenal  Ecografía  Phmetria  Gamagrama  Manometría  Impedancia  Endoscopia
  • 24.
    Estudio radiológico esofagogastroduodenal Ha demostrado tener escaso rendimiento para el diagnóstico de RGE  La sensibilidad 31-86%, especificidad 80-82%  Pero no es útil para determinar la presencia o ausencia de RGE.  Es además, una prueba que utiliza radiación ionizante con los inconvenientes que ello conlleva.  No debe emplearse de forma rutinaria en pacientes con RGE  No cuantifica el reflujo
  • 28.
    Ecografía  Procedimiento inocuopara el paciente  Depende de la habilidad del radiólogo y del tiempo de que disponga para realizar la prueba.  La sensibilidad para detectar el reflujo es del 65%.
  • 29.
    pHmetría esofágica de24 horas  Alta sensibilidad y especificidad para el diagnóstico del RGE.  Se define como episodio de RGE como el descenso del pH en tercio inferior del esófago, por debajo de 4 durante más de 15 segundos  El término reflujo no ácido se define como el periodo de tiempo con pH > 7 de gran importancia en el desarrollo de esofagitis.  La pHmetría esofágica no puede detectar RGE en el rango intermedio entre pH 4 y 7, debido a que el pH normal esofágico está comprendido entre 5 y 6,8
  • 32.
    Gammagrafía isotópica  Tienemayor sensibilidad que el estudio baritado a pesar de ofrecer unas imágenes menos nítidas  Existe un porcentaje significativo de falsos positivos que la hacen inapropiada como único método diagnóstico.  La sensibilidad oscila entre el 15-59%  La especificidad entre el 83-100%
  • 33.
    Manometría esofágica  Herramientadiagnóstica que aporta información cualitativa y cuantitativa acerca de anomalías motoras del esófago  Mide las presiones intraluminales y la coordinación de la actividad motora esofágica.  La utilidad de esta técnica en el estudio del paciente con RGE reside en su capacidad de excluir o confirmar anomalías motoras esofágicas.
  • 35.
    Impedancia eléctrica múltipleintraluminal  Se puede detectar movimientos de fluidos o gases en el interior del esófago, entre ellos el paso del alimento (líquido o sólido) o el gas intraluminal.  En colaboración con registros pHmétricos, es posible identificar episodios de RGE no ácidos o débilmente ácidos.  En comparación con la monitorización del pH, la impedancia tiene la ventaja de ser independiente del valor de pH, por lo que se adapta mejor para medir el reflujo, especialmente en el periodo postprandial.
  • 37.
    Endoscopia  No haysuficiente evidencia que soporte el uso de la histología para diagnosticar o excluir la ERGE.  El papel principal de la histología esofágica radica en descartar otros procesos que pudieran confundirse con la ERGE (esofagitis eosinofílica, enfermedad de Crohn, infecciones, etc.).  En la práctica se debe indicar en aquellos niños con criterios de ERGE para descartar esofagitis acompañante, o como primera prueba diagnóstica ante una ERGE con hematemesis, disfagia, pirosis, dolor retroesternal, etc.
  • 40.
    Tratamiento no farmacológico Iniciar con las medidas de cambios en estilo de vida  Posición semiflowler  Posición decúbito lateral izquierda  la postura en prono y anti-Trendelenburg con una inclinación de 30°  Espesamiento de la leche a pacientes con reflujo primario y peso bajo.
  • 41.
    Tratamiento farmacológico Inhibidores dela bomba de protones  • Omeprazol 0,5-1 mg/kg/día; cada 12-24 h  • Lansoprazol 0,75-1,7 mg/kg/día; cada 12-24 h < 10 kg: 7,5 mg/24 h 10-20 kg: 15 mg/24 h > 20 kg: 30 mg/24 h  • Pantoprazol 0,6-1,2 mg/kg/día; cada 12-24 h; niños > 6 años  • Esomeprazol 0,5-2 mg/kg/día; cada 12-24 h; niños > 1 año  • Rabeprazol 10-20 mg/día; cada 12-24; niños > 12 años
  • 42.
    Tratamiento farmacológico Antagonistas delos receptores H2  • Ranitidina 5-10 mg/kg/día, cada 12 h (lactantes) 2-6 mg/kg/día cada 12 h (niños)  • Cimetidina 40 mg/kg/día; cada 6 horas; administrar con alimentos  • Famotidina 1 mg/kg/día cada 12 horas  • Nizatidina 10 mg/kg/día cada 12 horas
  • 43.
    Tratamiento farmacológico Antiácidos  •Algeldrato Lactantes: 1-2 mL/kg/dosis cada 6 horas después de las comidas; Niños: 0,5-1 mL/kg/dosis o 5-15 mL/dosis  • Almagato Niños: 0,25-0,5 mL/kg/dosis cada 3-6 horas o 1 y 3 horas después de las comidas  • Hidróxido de aluminio Niños: 40 mg/kg/dosis o 0,5 mL/kg/dosis cada 6-8 horas  • Algeldrato/hidróxido de aluminio Dosis según presentación
  • 44.
    Tratamiento farmacológico Citroprotectores  •Sucralfato 0,5-1 g/1,73 m2 cada 6 horas 10-20 mg/kg/6 horas
  • 45.
    Tratamiento Quirúrgico Indicación:  Malarespuesta al tratamiento medico  Falta de control de los síntomas con tratamiento médico  Necesidad de tomar medicación permanentemente  Manifestaciones respiratorias graves  Esófago de Barret con displasia  Estenosis esofágica  Pacientes con ERGE y enfermedad neurológica grave
  • 46.
  • 47.
    Diferencias de laERGE lactantes, niños y adultos  La ERGE suele ser persistente en niños y adultos, 50% de los cuales presentan una evolución crónica con recidivas.  Por el contrario en la mayoría de los lactantes, ésta se resuelve en el primer o segundo año de vida y se trata de un RGE funcional.
  • 48.

Notas del editor

  • #5 Proteccion durante las comidas o en la fase inmediata postpandrial; si el estomago esta sobredistendido, sirbe para descomprimirlo
  • #41 Alimentos-&gt; almidon de maiz, cereales