MIGRACIÓN
PROLIFERACIÓN
DIFERENCIACIÓN
INTERACCIÓN
CÉLULA - MATRIZ
R E P A R A C I Ó N
REGENERACIÓN F I B R O P LA S I A
I N F L A M A C I Ó N
El
Ciclo
Celular
CICLO Y
REGENERACIÓN
CELULAR
Diferenciación
terminal
Diferenciación
estable
Células
Lábiles
Células
Estables
Células
Permanentes
REGULACIÓN DEL CICLO CELULAR
Regulación del ciclo celular: Rol de E2F
Las proteínas con
bordes negros se ha
descubierto que son
defectuosas (mutantes
en algunas células
cancerosas)
Ciclo Celular:
Regulación
Positiva y
Negativa
Etapas de Regeneración epitelial de las Vías Aéreas
Etapas de Regeneración epitelial de las Vías Aéreas
Etapas de Regeneración epitelial de las Vías Aéreas
FENÓMENOS MOLECULARES
1. Factores de Crecimiento
2. Receptores de
Superficie & Vías
de Señalización
3. Sistemas de
Trasmisión de
señales:
Vía de las
Cinasas MAP
( Mitogen
Activated
Protein )
3. Sistemas de
Trasmisión de
señales:
Vía de las
Cinasas MAP
( Mitogen
Activated
Protein )
3.Vía de la
Cinasa PI-3
(Phosphatidil-
Inositol – 3,4-
bis fostato)
&
del IP3
(1,4,5
triphosphato
de inositol)
1. Factor de Crecimiento Epidérmico (EGF)
2. Factor de Crecimiento derivado de las plaquetas (PDGF)
3. Factor de Crecimiento de los fibroblastos (FGF)
4. Familia del Factor transformador del crecimiento β (TGF-
β)
5. Factores de crecimiento del endotelio vascular (VEGF)
6. Angiopoyetinas (Ang.)
7. Factores de crecimiento insuliniformes (IGF)
8. Factor de crecimiento de los hepatocitos (HGF)
9. Factor de crecimiento del tejido conjuntivo (CTGF)
10.Factores estumuladores de las colonias mieloides (CSF)
11.Citocinas (IL, TNF, Interferones α, β)
FACTORES DE CRECIMIENTO
INTERACCIÓN CÉLULA – MATRIZINTERACCIÓN CÉLULA – MATRIZ
FIBRAS COLÁGENAS
F I B R O N E C T I N A
M.E.C. – INTEGRINAS – CITOESQUELETO – VIAS DE SEÑALIZACIÓN
REPARACIÓN POR
TEJIDO CONECTIVO
(F I B R O P L A S I A)
Reparación por Regeneración vs. Fibrosis
INFARTO DE
MIOCARDIO
&
REPARACIÓN
FIBROSA
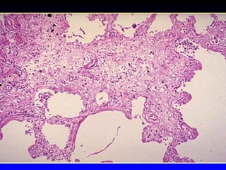
EJEMPLO DE FIBROSIS EN PULMÓN
S Í N T E S I S D E L C O L Á G E N O
ZONAS EN EL TEJIDO DE GRANULACIÓN
1.
2.
3.
4.
1. Detritus necrótico y fibrina
2. Macrófagos y brotes de capilares
3. Capilares y fibroblastos en proliferación
4. Tejido conectivo fibroso en maduración
Tejido de Granulación – Gran aumento
A N G I O G É N E S I S
REMODELACIÓN
TISULAR
Curación por Primera Intención Curación por Segunda Intención
24 horas
3 a 7 días
Semanas
FACTORES QUE INFLUYEN SOBRE
LA CURACIÓN DE LAS HERIDAS
GENERALESGENERALES LOCALESLOCALES
1.1. NutriciónNutrición
2.2. Estado metabólicoEstado metabólico
3.3. Estado circulatorioEstado circulatorio
4.4. HormonasHormonas
1.1. InfecciónInfección
2.2. FactoresFactores
mecánicosmecánicos
3.3. Cuerpos extrañosCuerpos extraños
4.4. Herida: Tamaño,Herida: Tamaño,
localización, clase.localización, clase.
REPARACIÓN ANORMAL : QueloideREPARACIÓN ANORMAL : Queloide
Q U E L O I D E
QUELOIDE – Microscopía
QUELOIDE – Microscopía
RESUMEN
DE LA
RESPUESTA
INFLAMATORIA
REPARADORA
Reparación

Reparación