Síndrome de fahr
Daniel Altamirano Aedo
Terapeuta Ocupacional
Mayo,2016
Temuco, Chile
Sindrome de Fahr
• La enfermedad de Fahr, que es sinónimo de calcinosis estriado-pálido-dentada idiopática, se
manifiesta clínicamente entre los 30-60 años y generalmente es familiar. Presenta un patrón
hereditario que sugiere una transmisión autosómica dominante en la mayoría de las familias
estudiadas. Recientemente se ha identificado el locus primario a nivel del cromosoma 14
• Es una rara enfermedadhereditaria,con expresiónvariableque suele manifestarse en la
adultez tardíaaunque puedeaparecer a temprana edad.Se caracteriza porel depósito de calcioen
los capilares y vasos pequeños arteriales y venosos, de manera simétrica,en los gangliosbasales
y en las regiones subcorticales cerebralesy cerebelares.También puede
ocurrir el depósito de magnesio, zinc , aluminio y hierro.
• El Síndrome de Fahr o calcificación idiopática de los ganglios basales es una patología
neurológica degenerativa de baja frecuencia.
Siendo un desorden genético hereditario autosómico dominante, se caracteriza por anormales
depósitos de calcio en ciertas zonas del
cerebro incluyendo el ganglio basal y la corteza cerebral asociado a síntomas neuropsiquiátricos.
• Según la definición de la Unión Europea esta enfermedad
• está catalogada dentro de las enfermedades raras, minoritarias o huérfanas,
de origen genético, con peligro de muerte o
• de invalidez crónica, que tienen una prevalencia baja, menor
• de 5 casos por cada 10 000 habitantes en la comunidad, sin predilección por
ningún sexo
Etiologia
• Idiopatica o secundaria hipoparatiroidismo e hipocalcemia
• Las calcificaciones unilaterales presentan como etiología las infecciones, infartos o
traumatismos; las bilaterales pueden ser fisiológicas, metabólicas o idiopáticas. Las
calcificaciones, “fisiológicas”, se localizan particularmente a nivel de los nú-
cleos basales y se encuentran entre 2 y 12% aumentando su prevalencia con la
edad4. Llegan a ser patológicas cuando se presentan en sujetos menores de 40 años
y comprometen simultáneamente pálido, putamen, núcleo dentado del cerebelo y
eventualmente la sustancia blanca hemisférica5. La etiología más frecuente
asociada es el hipoparatiroidismo e hipocalcemia6.
Fisiopatologia
• Se desconoce el mecanismo fisiopatológico por el cual se deposita calcio y otros
minerales en el espacio extracelular y perivascular. Se han planteado varias hipótesis:
disrupción local de la barrera hemato-encefálica, alteración del metabolismo del
calcio de las estructuras neuronogliales, o cambios en la matriz extracelular2.
Estudios con SPECT han revelado una marcada disminución del flujo sanguíneo
ganglionar en estos pacientes23.
• El mecanismo por el cual se produce el depósito de calcio
en esas áreas no está del todo claro. Se han sugerido diversas
hipótesis, tales como una alteración crónica de las concentraciones intra y
extracelulares de calcio y fosfato en las estructuras neurogliales, alteraciones de la
barrera hematoencefálica
o una disminución del flujo sanguíneo en los ganglios basales11,12.
sintomatologia
• El desarrollo de la enfermedad puede ser variable incluso dentro de una
familia desde Asint0maticos hasta crisis epilépticas, alteraciones
neuropsiquiátricas o síntomas extrapiramidales de intensidad variable
• Clásicamente Se ha observado el predominio de manifestaciones
extrapiramidales (parkinsonismo, distonías, diskinesias) cerebelosas (disartria
y ataxia); y neuropsiquiátricas, entre ellas psicosis esquizomorfa5, cambios de
personalidad14, labilidad del ánimo11 y trastornos obsesivo-compulsivos14,17. En
particular, es necesario destacar, un deterioro cognitivo progresivo de patrón
subcortical17.
• Afectación de Estructuras Subcorticales y Corticales : tálamos, sustancia
blanca, ganglio basales y cerebelo van a derivar en:
• alteración de la modulación de funciones motoras, por otra
parte se ha reformulado gracias a diversas evidencias que el
daño de estas estructuras también tienen un importante rol en
las funciones cognitivas al estar afectado dichas funciones3,9.
El estado neurológico de nuestro paciente curso con síntomas
neuropsiquiátricos, cambios anímicos como apatía, irritabilidad, depresión
y amnesia. Por obvias razones anatomofisiológicas, los cuadros de
deterioro cognitivo subcortical que
presentó siempre se asociaron a trastornos motores los cuales
suelen preceder a las alteraciones de las funciones cognitivas16
Diagnostico
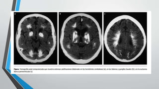
• La tomografía computarizada sin contraste, llega a ser el
método de diagnostico que nos ofrece mayor sensibilidad y
especificidad, nos demuestran las calcificaciones bilaterales y
simétricas de los talamos, sustancia blanca, ganglio basales y
cerebelo.
• Otros estudios RNM,
Criterios
• Deplace y Löwenthal propusieron un conjunto de criterios
para definir el síndrome de Fahr3,10, que incluyen:
a. La calcificación debe tener una distribución característica que como
mínimo incluya el globo pálido, con o sin calcificaciones cerebelosas.
b. Debe ser evidente en la tomografía computarizada.
c. Deben tener un tamaño suficiente para ser detectadas en
un examen macroscópico.
d. Clínica definible y trastorno metabólico subyacente.
Diagnostico Diferencial
• El diagnóstico diferencial de las imágenes debe
hacerse conel hipoparatiroidismo, hiperparatiroidismo,
tuberculosis, neurocisticercosis,VIH congénito,
toxoplasmosis, etcétera.
Tratamiento Medico
• No existe un tratamiento actual para el síndrome de Fahr,ni existe un tratamiento estándar
para la enfermedad, lo cual hace que los teóricos tratamientos estén dirigidos a minimizar
los síntomas . Es por esto que el pronóstico para las personas con síndrome de Fahr es
poco alentador. El deterioro neurológico progresivo acaba en incapacidad y muerte
• Tal y como se ha reportado en la literatura, en el síndrome de Fahr un adecuado control del
metabolismo fosfocálcico no suele ir asociado a una mejoría en el trastorno de la marcha
ni en las alteraciones cognitivas. Únicamente un diagnóstico precoz del hipoparatiroidismo
evitaría el depósito de calcio en los ganglios basales y,
por lo tanto, las alteraciones derivadas de dicha calcificación cerebral.
Es importante descartar un trastorno del metabolismo del calcio, pues
entonces los pacientes mejoran con la terapia adecuada (calcio y vitamina D),
siendo mediocres los resultados terapéuticos en los casos idiopáticos
Intervención desdeTerapia Ocupacional
• Favorecer destrezas de regulación emocional usuario y cuidador y/o familia
• Favorecer adherencia al tratamiento
• Prevenir contracturas Musculares
• Favorecer desempeño en actividades de Ocio yTiempo libre
• Promover la Participación social y trabajo en redes.
• Evaluar sobrecarga del Cuidador y Capacitación
• Prevenir UPP
• Favorecer la Participación en Juego
Bibliografía
• Cambios neuropsicológicos y neurofisiológicos en la enfermedad
de Fahr Luis Cartier R, Claudia PassigV, Adriana Gormaz W1,
Javier López C ..Obtenido en Scielo.
• Características tomográficas en un paciente con Síndrome de Fahr,
a propósito de un caso
Ifigenia OviedoGamboa1,a,William Zegarra Santiesteban1
• Enfermedad de Fahr idiopática
Eduardo Durán-Ferreras,Antonio Hidalgo-Castellón, Nieves Martínez-Aparicio}
• Enfermedad de Fahr
Oscar G. Pamo-Reyna, Robert Cumpa-Quiroz,
Karina Rosales-Mendoza, DjaniraCabellos-Gavidia

Sindrome de Fahr

  • 1.
    Síndrome de fahr DanielAltamirano Aedo Terapeuta Ocupacional Mayo,2016 Temuco, Chile
  • 2.
    Sindrome de Fahr •La enfermedad de Fahr, que es sinónimo de calcinosis estriado-pálido-dentada idiopática, se manifiesta clínicamente entre los 30-60 años y generalmente es familiar. Presenta un patrón hereditario que sugiere una transmisión autosómica dominante en la mayoría de las familias estudiadas. Recientemente se ha identificado el locus primario a nivel del cromosoma 14 • Es una rara enfermedadhereditaria,con expresiónvariableque suele manifestarse en la adultez tardíaaunque puedeaparecer a temprana edad.Se caracteriza porel depósito de calcioen los capilares y vasos pequeños arteriales y venosos, de manera simétrica,en los gangliosbasales y en las regiones subcorticales cerebralesy cerebelares.También puede ocurrir el depósito de magnesio, zinc , aluminio y hierro. • El Síndrome de Fahr o calcificación idiopática de los ganglios basales es una patología neurológica degenerativa de baja frecuencia. Siendo un desorden genético hereditario autosómico dominante, se caracteriza por anormales depósitos de calcio en ciertas zonas del cerebro incluyendo el ganglio basal y la corteza cerebral asociado a síntomas neuropsiquiátricos.
  • 3.
    • Según ladefinición de la Unión Europea esta enfermedad • está catalogada dentro de las enfermedades raras, minoritarias o huérfanas, de origen genético, con peligro de muerte o • de invalidez crónica, que tienen una prevalencia baja, menor • de 5 casos por cada 10 000 habitantes en la comunidad, sin predilección por ningún sexo
  • 4.
    Etiologia • Idiopatica osecundaria hipoparatiroidismo e hipocalcemia • Las calcificaciones unilaterales presentan como etiología las infecciones, infartos o traumatismos; las bilaterales pueden ser fisiológicas, metabólicas o idiopáticas. Las calcificaciones, “fisiológicas”, se localizan particularmente a nivel de los nú- cleos basales y se encuentran entre 2 y 12% aumentando su prevalencia con la edad4. Llegan a ser patológicas cuando se presentan en sujetos menores de 40 años y comprometen simultáneamente pálido, putamen, núcleo dentado del cerebelo y eventualmente la sustancia blanca hemisférica5. La etiología más frecuente asociada es el hipoparatiroidismo e hipocalcemia6.
  • 5.
    Fisiopatologia • Se desconoceel mecanismo fisiopatológico por el cual se deposita calcio y otros minerales en el espacio extracelular y perivascular. Se han planteado varias hipótesis: disrupción local de la barrera hemato-encefálica, alteración del metabolismo del calcio de las estructuras neuronogliales, o cambios en la matriz extracelular2. Estudios con SPECT han revelado una marcada disminución del flujo sanguíneo ganglionar en estos pacientes23. • El mecanismo por el cual se produce el depósito de calcio en esas áreas no está del todo claro. Se han sugerido diversas hipótesis, tales como una alteración crónica de las concentraciones intra y extracelulares de calcio y fosfato en las estructuras neurogliales, alteraciones de la barrera hematoencefálica o una disminución del flujo sanguíneo en los ganglios basales11,12.
  • 6.
    sintomatologia • El desarrollode la enfermedad puede ser variable incluso dentro de una familia desde Asint0maticos hasta crisis epilépticas, alteraciones neuropsiquiátricas o síntomas extrapiramidales de intensidad variable • Clásicamente Se ha observado el predominio de manifestaciones extrapiramidales (parkinsonismo, distonías, diskinesias) cerebelosas (disartria y ataxia); y neuropsiquiátricas, entre ellas psicosis esquizomorfa5, cambios de personalidad14, labilidad del ánimo11 y trastornos obsesivo-compulsivos14,17. En particular, es necesario destacar, un deterioro cognitivo progresivo de patrón subcortical17.
  • 7.
    • Afectación deEstructuras Subcorticales y Corticales : tálamos, sustancia blanca, ganglio basales y cerebelo van a derivar en: • alteración de la modulación de funciones motoras, por otra parte se ha reformulado gracias a diversas evidencias que el daño de estas estructuras también tienen un importante rol en las funciones cognitivas al estar afectado dichas funciones3,9. El estado neurológico de nuestro paciente curso con síntomas neuropsiquiátricos, cambios anímicos como apatía, irritabilidad, depresión y amnesia. Por obvias razones anatomofisiológicas, los cuadros de deterioro cognitivo subcortical que presentó siempre se asociaron a trastornos motores los cuales suelen preceder a las alteraciones de las funciones cognitivas16
  • 8.
    Diagnostico • La tomografíacomputarizada sin contraste, llega a ser el método de diagnostico que nos ofrece mayor sensibilidad y especificidad, nos demuestran las calcificaciones bilaterales y simétricas de los talamos, sustancia blanca, ganglio basales y cerebelo. • Otros estudios RNM,
  • 10.
    Criterios • Deplace yLöwenthal propusieron un conjunto de criterios para definir el síndrome de Fahr3,10, que incluyen: a. La calcificación debe tener una distribución característica que como mínimo incluya el globo pálido, con o sin calcificaciones cerebelosas. b. Debe ser evidente en la tomografía computarizada. c. Deben tener un tamaño suficiente para ser detectadas en un examen macroscópico. d. Clínica definible y trastorno metabólico subyacente.
  • 11.
    Diagnostico Diferencial • Eldiagnóstico diferencial de las imágenes debe hacerse conel hipoparatiroidismo, hiperparatiroidismo, tuberculosis, neurocisticercosis,VIH congénito, toxoplasmosis, etcétera.
  • 12.
    Tratamiento Medico • Noexiste un tratamiento actual para el síndrome de Fahr,ni existe un tratamiento estándar para la enfermedad, lo cual hace que los teóricos tratamientos estén dirigidos a minimizar los síntomas . Es por esto que el pronóstico para las personas con síndrome de Fahr es poco alentador. El deterioro neurológico progresivo acaba en incapacidad y muerte • Tal y como se ha reportado en la literatura, en el síndrome de Fahr un adecuado control del metabolismo fosfocálcico no suele ir asociado a una mejoría en el trastorno de la marcha ni en las alteraciones cognitivas. Únicamente un diagnóstico precoz del hipoparatiroidismo evitaría el depósito de calcio en los ganglios basales y, por lo tanto, las alteraciones derivadas de dicha calcificación cerebral. Es importante descartar un trastorno del metabolismo del calcio, pues entonces los pacientes mejoran con la terapia adecuada (calcio y vitamina D), siendo mediocres los resultados terapéuticos en los casos idiopáticos
  • 13.
    Intervención desdeTerapia Ocupacional •Favorecer destrezas de regulación emocional usuario y cuidador y/o familia • Favorecer adherencia al tratamiento • Prevenir contracturas Musculares • Favorecer desempeño en actividades de Ocio yTiempo libre • Promover la Participación social y trabajo en redes. • Evaluar sobrecarga del Cuidador y Capacitación • Prevenir UPP • Favorecer la Participación en Juego
  • 14.
    Bibliografía • Cambios neuropsicológicosy neurofisiológicos en la enfermedad de Fahr Luis Cartier R, Claudia PassigV, Adriana Gormaz W1, Javier López C ..Obtenido en Scielo. • Características tomográficas en un paciente con Síndrome de Fahr, a propósito de un caso Ifigenia OviedoGamboa1,a,William Zegarra Santiesteban1 • Enfermedad de Fahr idiopática Eduardo Durán-Ferreras,Antonio Hidalgo-Castellón, Nieves Martínez-Aparicio} • Enfermedad de Fahr Oscar G. Pamo-Reyna, Robert Cumpa-Quiroz, Karina Rosales-Mendoza, DjaniraCabellos-Gavidia