Tratamiento del IctusGuillermo Enriquez CoronelNeurologo2010
Clasificacion del IctusEVCIsquemia70-80 %Hemorragia20-30 %Ataque isquemico transitorio 5 a 10 %Infarto cerebral70-75 %Hemorragia intracerebreal20- 20 %Hemorragia subaracnoidea5- 10 %Vasos pequeñosVasos grandes
Isquemia CerebralIsquemia CerebralAterosclerosis de grandes vasosEtiologiacardioembolicaEnfermedad de pequeños vasosOtras causasCausa no determinadaFibrilacionauriocular  no valvularValvulopatia mitralProtesismecanicaIsquemicaForamen ovalpermeableArteriosclerosisInfartos lacunaresMicroateromasCADASILDiseccion arterialVasculitisDisplasia fibromuscularTrombofiliaMigrañaEmbolia de arteria a arteria
Diagnostico Diferencial del IctusMigrañaEpilepsiaHematoma subduralTumoresMalformacion AVHipoglucemiaHiponatremiaHipercalcemiaEncefalopatiahepaticaEncefalopatia de WernickeEncefalitisAbsceso cerebralEmpiema subduralNeurocisticercosisLeucoencefalopatia M.P.Trastornos del laberintoNeuronitis vestibularEnfermedad de MeniereVertigo posicional P.B.HiperventilacionConversion/  HisteriaAtaque de panicoMononeuropatiaMisastenia Graveradiculopatia
Sintomas o signos mas comunes en EVCAfasiaAmaurosis monocularAgnosia/ apraxiaHemiparesiaHemihipoestesiaDisartriaAtaxiaDisfagiaDiplopiaAmaurosis bilateralVertigoCuadriparesiaDeficit sensitivo/ motor, cruzado o alterno
Pregunta 1¿ La lesion    cerebral es causada por una EVC de tipo isquemico o hemorragico o por una entidad no vascular?Respuesta: clinica  y Tomografia computarizada de craneo simple o RM craneal simple
¿Pregunta 2?¿Cual es la localizacion y magnitud de la lesion?Respuesta: TAC o RM
Pregunta 3¿Cuál es la naturaleza ,localizacion, y gravedad de la lesion?Respuesta: clinica y Neuroimagen
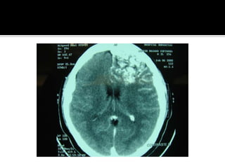
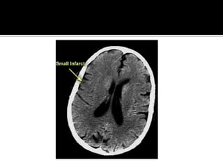
Signos tempranos:  TAC en EVC AgudoSigno dela arteria cerebral media hiperdensaAtenuacion del nucleo lenticularHipodensidad cortical o subcorticalEdema cerebralBorrado de la region insularBorrado de surcos corticalesCompresion ventricularAtenuacion de contraste cortico-medular
Selección de pacientes para rt-PA,  IVA: criterios de inclusion:Edad : 18-80 añosDxclinico  de EVCINICIO: MENOS  3  HRS
Criterios de ExclusionrtPA-Presencia de una hemorragia intracraneal  por TAC  sin contraste-sintomas  solo leves ,o  EVC que mejora rapidamente.-Sospecha clinica de HSA,incluso por TACHemorragia interna reciente, gastroinestinalo urinaria en3 semanasDiatesis hemorragia conocida:Recuento de plaquetas menos de 100 000Paciente que haya recibido heparina en las ultimas ultimas48 hrs y con TTP prolongadoUso reciente de anticoagulantes y un INR 1.4
Criterios de exclusionrtPAEVC previa ,TCE grave o cirugia craneal enlosultimos 3mesesTraumatismo grave o cirugia mayor en los ultimos 14 diasPuncion arterial reciente en un sitio no compresiblePuncion lumbar en los ultimos 7 diasHistoria de hemorragia  intracraneal ,malformacion AV o aneurismaCrisis convulsiva al inicio del cuadroInfarto agudo demiocardio reciente.TA sistolica mayor de 185 o diastolicamayor de 110.
Protocolo de tratamiento rtPADosis del farmaco:  0. 9 mg/ Kg de peso con un maximo de90 mgsSe pasa 10 % en bolo en un minuto , se espera uno entre 3-5 minutos antes del pasar    el resto en 60 minutosLaboratorio  hematocrito, plaquetas,  glucemia T de coagulaciony TAC de craneoToma de presion arterialNo  administrar ASA. Heparina  o anticoagulantes las siguientes 24 hrsMonitoriza el estado  neurologicovigilarlaTA cada 15 minutos. Si la TA es mayor de 185/110  se administrara parche de nitroglicerina y uno a dosis bolos de labetalol 10- 20mgs
Protocolo de tratamiento con rtPAMonitoreo de la TA las primeras 24 hrs: cada 15 min. , las primeras 2 hrs, se tomara la TA cada media hora las siguientes 6hrs. Y cada hora las 16 hrs siguientes.Si la TA se eleva , se puede pasar nitroprusiato de sodioSi durante el paso de rtPA existen datos de sangrado, se suspendera la infusion de rtPA y se hara una TAC urgente.
Protocolo de tratamiento con rtPALa hemorragia cerebral: nauseas, vomitos cefalea, deterioro neurologico e HTASolicitar tiempos de coagulacion,plaquetasfibrinogeno y pruebas sanguineas cruzadasPasar 6-8unidades de crioprecipitados rico en factor VIIIPasar  entre 6-8 unidades de concentrados plaquetariosConsultar un   hematologo y o Neurocirujano
Tratamiento EVC: medidas generalesEvitar ulceras por presion: colchon de agua o de hule espuma y movilizacionViaaerea , apoyo ventilatorio y oxigenoManejo de liquidos 30 ml por kilo de pesoNutricion
Tratamiento del EVC: medidas generales Control de temperaturaEsteroides: contraindicados en EVC  isquemico  y  hemorragicoInfeccionesNeumoniaTrombosis venosa . PulmonarControl de la presion arterial y temperatura
NeuroproteccionNimodipina: estudio INWEST demostro que  la administracion de nimodipina a las dosis similares a las utilizadas para  vasoespasmo , NO SOLO , NO ES DE UTILIDAD, SINO QUE SE ASOCIA, A UNA MORBIMORTALIDAD MAYOR
Neuroproteccion HipotermiaAntagonistas de los Receptores NMDAAptiganel, dextrometorfan, lubeluzol, dizolpicinaFenitoina sodica ???
NeuroproteccionTirilazadCiticolinaInhibidores de la sintesis de oxido nitrico y apoptosisFactores troficos.Anticuerpos monoclonales: enlimomabInhibidor de glicoproteinallb/lllaabciximab
NeuroproteccionModuladores de la membrana celular:Piracetam ???????Moduladores de los maxicanales de potasioMaxipostagonistas de los receptores 5HTBay3702MagnesioNYY-59,nitrona que atrapa radicales libres
Tratamiento de la isquemia cerebral  agudaCraniectomiadescompresiva en la enfermedad vascular oclusivaEn infarto  cerebral  malignoMomento oportunoPor TAC o RM craneal de infarto de la ACM con afectacion de mas del 50 %.
Tratamiento de la isquemia cerebral  agudaEdad menor de 65 añosA realizar dentro de las primeras 24 hrs o 48 hrs Elevacion de la PIC de mas de 20 mm HgNo haber contraindicacion: anticoagulacion. IAM o ASA
Tratamiento del infarto cerebralTrombolisisintra-arterial  y rescate vascular  en el infarto cerebral agudo DENTRO DE 6 HRSTrombolisis intravenosa por Medicos  expertos en terapia endovascular , NEUROLOGOS.
Tratamiento del infarto cerebralPROACTPROACT IITROMBECTOMIA ENDOVASCULARMERCIMR RESCUEEPARAngioplastia
Trombosis Venosa CerebralCefaleaPapiledemaDeficit focalCrisis epilepticasAlteracion de conducta
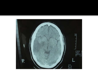
Caso clinico Mujer de 20 años , puérpera, llega a Hospital la catalogan como psicosis postparto. Dos días después coma y , después muerte cerebral. La TAC erróneamente fue interpretada como infartos lacunares.
Trombosis venosa cerebral. EtiologiaLocales: trauma septico directo, infeccion intracranealGenerales: bacteriana, viral parasitaria,hongos.TCE, post- neurocirugia,tumoresGinecoobstetricos: embarazo y puerperio, Anticonceptivos oralesInsuficiencia cardiaca
Trombosis venosa cerebralSindromenefroticoDeshidratacion severaCancer: linfoma ,leucemiaTrombofilia hereditariaAnemia, cirrosis, colitis ulcerativaVasculitis: LES,enfermedad de Behecet, granulomatosis de Wegener, arteritis de celulas gigantes, sarcoidosis.L- asparaginasa, acido epsilonaminocaproico, esteroides
Trombosis venosa cerebralHEPARINA IV TROMBOLISIS ENDOVASCULAR TROMBECTOMIA ENDOVASCULAR
Hemorragia cerebral IntraparenquimatosaCefaleaAlteracion de la concienciaVomitoCrisis epilepticasDiagnostico: TAC de craneo simple
Hemorragia cerebral IntraparenquimatosaSitio : putaminal, nucleo caudado , talamo,lobar, cerebelosa y  puente.Etiologia : HTA,malformacion AV, angioma cavernoso y angiopatiaamiloide, drogas ( cocaina,heroína, fenilpropanolamina) anticoagulantes , tromboliticosMas de la mitad de pacientes, muere o queda con secuelas severas
Tratamiento EVC HemorragicoMedicion del hematoma y sobrevida:la mayor morbimortalidad ocurre al medir mas de 30 ccCon un volumen de 60 cc y EGC de menos de 8, tienen una mortalidad del 91 %.Con volumen del 30 cc y EGC  mayor de 9, la mortalidad fue del 19 %.
Hemorragia cerebral intraparenquimatosaMedicion del hematoma: ABC/2Crecimiento del hematoma: al menos38 %  de pacientes tiene un crecimiento del 33% en las primeras 24 hrs.No se requiere angiografia  cerebral
Tratamiento del EVC HemorragicoViaaerea, respiracion, circulacion, y deficitneurologico, deteccion de trauma externoIntubacion basada una PO2  de menos de 60 mm;o  PCO2 mayor de 50 mm.
Tratamiento del EVC HemorragicoControl de la Tension Arterial: labetalol, esmolol, nitroprusiato, hidralacina, enalaprilo, clonidinaControl de la PresionEndocraneana: mantener unaPIC menor de20 mm. Hg.Cabecera a menos de30  gradosDrenaje ventricular si hay hidrocefalia
Tratamiento de EVC HemorragicoSedoanalgesia: propofol, midazolam, fentanilo.Manitol al 20 %: 0.25 mgs / kg de peso cada 4 hrs  con control de la hosmolaridad diario.Furosemide : solo si hay hipervolemiaNO UTILIZAR  ESTEROIDES
Tratamiento del EVC HemorragicoHiperventilacion: reducir la PCO2  entre  30 y 35  mm Hg.Fenitoina sodicaControl de temperatura  corporalControl de infeccionesProfilaxis de TVPTranquilizantes si hay agitacion
Tratamiento Quirurgico de la EVC hemorragicaCandidatos NO quirurgicos:Cuando haya hemorragias pequeñas menos de 10 ccPacientes con Escala de Glasgow de 4  , excepto en hemorragia cerebelosa
Tratamiento de EVC HemorragicoCandidatos QuirurgicosHemorragia cerebelosa de mas de 3 cc ,con deterioro Aneurisma , malformacion AV, o angioma cavernosoAspiracionendoscopica del hematoma: pacientes con hematomas lobares ymenores de 60 años.RemocionEstereotactica del hematoma
Agentes HemostaticosAcidosaminocaproicoAcido tranexamicoAprotininaFactor Vll recombinante activado
Error  medico  de EVCMasculino 18 añosCefalea subita,vomitoTAC HSA. Visto HGZ Pue. Lo envian a su casa con Dx de Migraña3 semanas despues deterioro . Rayos X  retraso la realizacion de PanangioAneurisma cerebralUn dia previo a la cirugiafallece  por  3 er re-sangrado. Falleció
Tratamiento de la EVCGracias por su atención.

Tratamiento Del Ictus 1

  • 1.
    Tratamiento del IctusGuillermoEnriquez CoronelNeurologo2010
  • 2.
    Clasificacion del IctusEVCIsquemia70-80%Hemorragia20-30 %Ataque isquemico transitorio 5 a 10 %Infarto cerebral70-75 %Hemorragia intracerebreal20- 20 %Hemorragia subaracnoidea5- 10 %Vasos pequeñosVasos grandes
  • 3.
    Isquemia CerebralIsquemia CerebralAterosclerosisde grandes vasosEtiologiacardioembolicaEnfermedad de pequeños vasosOtras causasCausa no determinadaFibrilacionauriocular no valvularValvulopatia mitralProtesismecanicaIsquemicaForamen ovalpermeableArteriosclerosisInfartos lacunaresMicroateromasCADASILDiseccion arterialVasculitisDisplasia fibromuscularTrombofiliaMigrañaEmbolia de arteria a arteria
  • 4.
    Diagnostico Diferencial delIctusMigrañaEpilepsiaHematoma subduralTumoresMalformacion AVHipoglucemiaHiponatremiaHipercalcemiaEncefalopatiahepaticaEncefalopatia de WernickeEncefalitisAbsceso cerebralEmpiema subduralNeurocisticercosisLeucoencefalopatia M.P.Trastornos del laberintoNeuronitis vestibularEnfermedad de MeniereVertigo posicional P.B.HiperventilacionConversion/ HisteriaAtaque de panicoMononeuropatiaMisastenia Graveradiculopatia
  • 5.
    Sintomas o signosmas comunes en EVCAfasiaAmaurosis monocularAgnosia/ apraxiaHemiparesiaHemihipoestesiaDisartriaAtaxiaDisfagiaDiplopiaAmaurosis bilateralVertigoCuadriparesiaDeficit sensitivo/ motor, cruzado o alterno
  • 6.
    Pregunta 1¿ Lalesion cerebral es causada por una EVC de tipo isquemico o hemorragico o por una entidad no vascular?Respuesta: clinica y Tomografia computarizada de craneo simple o RM craneal simple
  • 7.
    ¿Pregunta 2?¿Cual esla localizacion y magnitud de la lesion?Respuesta: TAC o RM
  • 8.
    Pregunta 3¿Cuál esla naturaleza ,localizacion, y gravedad de la lesion?Respuesta: clinica y Neuroimagen
  • 9.
    Signos tempranos: TAC en EVC AgudoSigno dela arteria cerebral media hiperdensaAtenuacion del nucleo lenticularHipodensidad cortical o subcorticalEdema cerebralBorrado de la region insularBorrado de surcos corticalesCompresion ventricularAtenuacion de contraste cortico-medular
  • 31.
    Selección de pacientespara rt-PA, IVA: criterios de inclusion:Edad : 18-80 añosDxclinico de EVCINICIO: MENOS 3 HRS
  • 32.
    Criterios de ExclusionrtPA-Presenciade una hemorragia intracraneal por TAC sin contraste-sintomas solo leves ,o EVC que mejora rapidamente.-Sospecha clinica de HSA,incluso por TACHemorragia interna reciente, gastroinestinalo urinaria en3 semanasDiatesis hemorragia conocida:Recuento de plaquetas menos de 100 000Paciente que haya recibido heparina en las ultimas ultimas48 hrs y con TTP prolongadoUso reciente de anticoagulantes y un INR 1.4
  • 33.
    Criterios de exclusionrtPAEVCprevia ,TCE grave o cirugia craneal enlosultimos 3mesesTraumatismo grave o cirugia mayor en los ultimos 14 diasPuncion arterial reciente en un sitio no compresiblePuncion lumbar en los ultimos 7 diasHistoria de hemorragia intracraneal ,malformacion AV o aneurismaCrisis convulsiva al inicio del cuadroInfarto agudo demiocardio reciente.TA sistolica mayor de 185 o diastolicamayor de 110.
  • 34.
    Protocolo de tratamientortPADosis del farmaco: 0. 9 mg/ Kg de peso con un maximo de90 mgsSe pasa 10 % en bolo en un minuto , se espera uno entre 3-5 minutos antes del pasar el resto en 60 minutosLaboratorio hematocrito, plaquetas, glucemia T de coagulaciony TAC de craneoToma de presion arterialNo administrar ASA. Heparina o anticoagulantes las siguientes 24 hrsMonitoriza el estado neurologicovigilarlaTA cada 15 minutos. Si la TA es mayor de 185/110 se administrara parche de nitroglicerina y uno a dosis bolos de labetalol 10- 20mgs
  • 35.
    Protocolo de tratamientocon rtPAMonitoreo de la TA las primeras 24 hrs: cada 15 min. , las primeras 2 hrs, se tomara la TA cada media hora las siguientes 6hrs. Y cada hora las 16 hrs siguientes.Si la TA se eleva , se puede pasar nitroprusiato de sodioSi durante el paso de rtPA existen datos de sangrado, se suspendera la infusion de rtPA y se hara una TAC urgente.
  • 36.
    Protocolo de tratamientocon rtPALa hemorragia cerebral: nauseas, vomitos cefalea, deterioro neurologico e HTASolicitar tiempos de coagulacion,plaquetasfibrinogeno y pruebas sanguineas cruzadasPasar 6-8unidades de crioprecipitados rico en factor VIIIPasar entre 6-8 unidades de concentrados plaquetariosConsultar un hematologo y o Neurocirujano
  • 37.
    Tratamiento EVC: medidasgeneralesEvitar ulceras por presion: colchon de agua o de hule espuma y movilizacionViaaerea , apoyo ventilatorio y oxigenoManejo de liquidos 30 ml por kilo de pesoNutricion
  • 38.
    Tratamiento del EVC:medidas generales Control de temperaturaEsteroides: contraindicados en EVC isquemico y hemorragicoInfeccionesNeumoniaTrombosis venosa . PulmonarControl de la presion arterial y temperatura
  • 39.
    NeuroproteccionNimodipina: estudio INWESTdemostro que la administracion de nimodipina a las dosis similares a las utilizadas para vasoespasmo , NO SOLO , NO ES DE UTILIDAD, SINO QUE SE ASOCIA, A UNA MORBIMORTALIDAD MAYOR
  • 40.
    Neuroproteccion HipotermiaAntagonistas delos Receptores NMDAAptiganel, dextrometorfan, lubeluzol, dizolpicinaFenitoina sodica ???
  • 41.
    NeuroproteccionTirilazadCiticolinaInhibidores de lasintesis de oxido nitrico y apoptosisFactores troficos.Anticuerpos monoclonales: enlimomabInhibidor de glicoproteinallb/lllaabciximab
  • 42.
    NeuroproteccionModuladores de lamembrana celular:Piracetam ???????Moduladores de los maxicanales de potasioMaxipostagonistas de los receptores 5HTBay3702MagnesioNYY-59,nitrona que atrapa radicales libres
  • 43.
    Tratamiento de laisquemia cerebral agudaCraniectomiadescompresiva en la enfermedad vascular oclusivaEn infarto cerebral malignoMomento oportunoPor TAC o RM craneal de infarto de la ACM con afectacion de mas del 50 %.
  • 44.
    Tratamiento de laisquemia cerebral agudaEdad menor de 65 añosA realizar dentro de las primeras 24 hrs o 48 hrs Elevacion de la PIC de mas de 20 mm HgNo haber contraindicacion: anticoagulacion. IAM o ASA
  • 45.
    Tratamiento del infartocerebralTrombolisisintra-arterial y rescate vascular en el infarto cerebral agudo DENTRO DE 6 HRSTrombolisis intravenosa por Medicos expertos en terapia endovascular , NEUROLOGOS.
  • 46.
    Tratamiento del infartocerebralPROACTPROACT IITROMBECTOMIA ENDOVASCULARMERCIMR RESCUEEPARAngioplastia
  • 47.
    Trombosis Venosa CerebralCefaleaPapiledemaDeficitfocalCrisis epilepticasAlteracion de conducta
  • 48.
    Caso clinico Mujerde 20 años , puérpera, llega a Hospital la catalogan como psicosis postparto. Dos días después coma y , después muerte cerebral. La TAC erróneamente fue interpretada como infartos lacunares.
  • 49.
    Trombosis venosa cerebral.EtiologiaLocales: trauma septico directo, infeccion intracranealGenerales: bacteriana, viral parasitaria,hongos.TCE, post- neurocirugia,tumoresGinecoobstetricos: embarazo y puerperio, Anticonceptivos oralesInsuficiencia cardiaca
  • 50.
    Trombosis venosa cerebralSindromenefroticoDeshidratacionseveraCancer: linfoma ,leucemiaTrombofilia hereditariaAnemia, cirrosis, colitis ulcerativaVasculitis: LES,enfermedad de Behecet, granulomatosis de Wegener, arteritis de celulas gigantes, sarcoidosis.L- asparaginasa, acido epsilonaminocaproico, esteroides
  • 51.
    Trombosis venosa cerebralHEPARINAIV TROMBOLISIS ENDOVASCULAR TROMBECTOMIA ENDOVASCULAR
  • 53.
    Hemorragia cerebral IntraparenquimatosaCefaleaAlteracionde la concienciaVomitoCrisis epilepticasDiagnostico: TAC de craneo simple
  • 54.
    Hemorragia cerebral IntraparenquimatosaSitio: putaminal, nucleo caudado , talamo,lobar, cerebelosa y puente.Etiologia : HTA,malformacion AV, angioma cavernoso y angiopatiaamiloide, drogas ( cocaina,heroína, fenilpropanolamina) anticoagulantes , tromboliticosMas de la mitad de pacientes, muere o queda con secuelas severas
  • 65.
    Tratamiento EVC HemorragicoMediciondel hematoma y sobrevida:la mayor morbimortalidad ocurre al medir mas de 30 ccCon un volumen de 60 cc y EGC de menos de 8, tienen una mortalidad del 91 %.Con volumen del 30 cc y EGC mayor de 9, la mortalidad fue del 19 %.
  • 66.
    Hemorragia cerebral intraparenquimatosaMediciondel hematoma: ABC/2Crecimiento del hematoma: al menos38 % de pacientes tiene un crecimiento del 33% en las primeras 24 hrs.No se requiere angiografia cerebral
  • 67.
    Tratamiento del EVCHemorragicoViaaerea, respiracion, circulacion, y deficitneurologico, deteccion de trauma externoIntubacion basada una PO2 de menos de 60 mm;o PCO2 mayor de 50 mm.
  • 68.
    Tratamiento del EVCHemorragicoControl de la Tension Arterial: labetalol, esmolol, nitroprusiato, hidralacina, enalaprilo, clonidinaControl de la PresionEndocraneana: mantener unaPIC menor de20 mm. Hg.Cabecera a menos de30 gradosDrenaje ventricular si hay hidrocefalia
  • 69.
    Tratamiento de EVCHemorragicoSedoanalgesia: propofol, midazolam, fentanilo.Manitol al 20 %: 0.25 mgs / kg de peso cada 4 hrs con control de la hosmolaridad diario.Furosemide : solo si hay hipervolemiaNO UTILIZAR ESTEROIDES
  • 70.
    Tratamiento del EVCHemorragicoHiperventilacion: reducir la PCO2 entre 30 y 35 mm Hg.Fenitoina sodicaControl de temperatura corporalControl de infeccionesProfilaxis de TVPTranquilizantes si hay agitacion
  • 71.
    Tratamiento Quirurgico dela EVC hemorragicaCandidatos NO quirurgicos:Cuando haya hemorragias pequeñas menos de 10 ccPacientes con Escala de Glasgow de 4 , excepto en hemorragia cerebelosa
  • 72.
    Tratamiento de EVCHemorragicoCandidatos QuirurgicosHemorragia cerebelosa de mas de 3 cc ,con deterioro Aneurisma , malformacion AV, o angioma cavernosoAspiracionendoscopica del hematoma: pacientes con hematomas lobares ymenores de 60 años.RemocionEstereotactica del hematoma
  • 73.
  • 74.
    Error medico de EVCMasculino 18 añosCefalea subita,vomitoTAC HSA. Visto HGZ Pue. Lo envian a su casa con Dx de Migraña3 semanas despues deterioro . Rayos X retraso la realizacion de PanangioAneurisma cerebralUn dia previo a la cirugiafallece por 3 er re-sangrado. Falleció
  • 75.
    Tratamiento de laEVCGracias por su atención.