Guillermo Enriquez Coronel
Miembro de AMEVASC
Neurologo
2010
R.W. Timmers, M.D.
Evolución de la humanidad
2.5 millones de años 50 años
EVC
Isquemia
70-80 %
Hemorragia
20-30 %
Ataque
isquemico
transitorio
5 a 10 %
Infarto
cerebral
70-75 %
Hemorragia
intracerebre
al
20- 20 %
Hemorragia
subaracnoide
a
5- 10 %
Vasos
pequeños
Vasos
grandes
Aterosclerosis
de grandes
vasos
Etiologia
cardioembolic
a
Enfermedad
de pequeños
vasos
Otras
causas
Causa no
determinad
a
Isquemia Cerebral
Embolia de
arteria a arteria
Fibrilacion
auriocular no
valvular
Valvulopatia
mitral
Protesis
mecanica
Isquemica
Foramen oval
permeable
Arterioscleros
is
Infartos
lacunares
Microateroma
s
CADASIL
Diseccion
arterial
Vasculitis
Displasia
fibromuscular
Trombofilia
Migraña
¡La historia del síndrome metabólico
comienza con OBESIDAD
ABDOMINAL!
Migraña
Epilepsia
Hematoma subdural
Tumores
Malformacion AV
Hipoglucemia
Hiponatremia
Hipercalcemia
Encefalopatia hepatica
Encefalopatia de Wernicke
Encefalitis
Absceso cerebral
Empiema subdural
Neurocisticercosis
Leucoencefalopatia M.P.
Trastornos del laberinto
Neuronitis vestibular
Enfermedad de Meniere
Vertigo posicional P.B.
Hiperventilacion
Conversion/ Histeria
Ataque de panico
Mononeuropatia
Misastenia Grave
radiculopatia
 Afasia
 Amaurosis
monocular
 Agnosia/ apraxia
 Hemiparesia
 Hemihipoestesia
 Disartria
 Ataxia
 Disfagia
 Diplopia
 Amaurosis bilateral
 Vertigo
 Cuadriparesia
 Deficit sensitivo/
motor, cruzado o
alterno
 ¿ La lesion cerebral es causada por una EVC
de tipo isquemico o hemorragico o por una
entidad no vascular?
 Respuesta: clinica y Tomografia
computarizada de craneo simple o RM craneal
simple
 ¿Cual es la localizacion y magnitud de la
lesion?
 Respuesta: TAC o RM
 ¿Cuál es la naturaleza ,localizacion, y
gravedad de la lesion?
 Respuesta: clinica y Neuroimagen
 Signo dela arteria cerebral media hiperdensa
 Atenuacion del nucleo lenticular
 Hipodensidad cortical o subcortical
 Edema cerebral
 Borrado de la region insular
 Borrado de surcos corticales
 Compresion ventricular
 Atenuacion de contraste cortico-medular
A: criterios de inclusion:
Edad : 18-80 años
Dx clinico de EVC
INICIO: MENOS 3 HRS
-Presencia de una hemorragia intracraneal por
TAC sin contraste
-sintomas solo leves ,o EVC que mejora
rapidamente.
-Sospecha clinica de HSA,incluso por TAC
Hemorragia interna reciente, gastroinestinalo
urinaria en3 semanas
Diatesis hemorragia conocida:
Recuento de plaquetas menos de 100 000
Paciente que haya recibido heparina en las ultimas
ultimas48 hrs y con TTP prolongado
Uso reciente de anticoagulantes y un INR 1.4
Infarto agudo del miocardio.
Ictus isquémico. SOLO EL
PACIENTE
 EVC previa ,TCE grave o cirugia craneal enlos
ultimos 3meses
 Traumatismo grave o cirugia mayor en los
ultimos 14 dias
 Puncion arterial reciente en un sitio no
compresible
 Puncion lumbar en los ultimos 7 dias
 Historia de hemorragia intracraneal
,malformacion AV o aneurisma
 Crisis convulsiva al inicio del cuadro
 Infarto agudo demiocardio reciente.
 TA sistolica mayor de 185 o diastolicamayor de
110.
Dosis del farmaco: 0. 9 mg/ Kg de peso con un maximo
de90 mgs
Se pasa 10 % en bolo en un minuto , se espera uno entre 3-
5 minutos antes del pasar el resto en 60 minutos
Laboratorio hematocrito, plaquetas, glucemia T de
coagulacion
y TAC de craneo
Toma de presion arterial
No administrar ASA. Heparina o anticoagulantes las
siguientes 24 hrs
Monitoriza el estado neurologico
vigilarlaTA cada 15 minutos. Si la TA es mayor de 185/110
se administrara parche de nitroglicerina y uno a dosis bolos
de labetalol 10- 20mgs
 Monitoreo de la TA las primeras 24 hrs: cada
15 min. , las primeras 2 hrs, se tomara la TA
cada media hora las siguientes 6hrs. Y cada
hora las 16 hrs siguientes.
 Si la TA se eleva , se puede pasar
nitroprusiato de sodio
 Si durante el paso de rtPA existen datos de
sangrado, se suspendera la infusion de rtPA y
se hara una TAC urgente.
 La hemorragia cerebral: nauseas, vomitos
cefalea, deterioro neurologico e HTA
 Solicitar tiempos de coagulacion,plaquetas
fibrinogeno y pruebas sanguineas cruzadas
 Pasar 6-8unidades de crioprecipitados rico en
factor VIII
 Pasar entre 6-8 unidades de concentrados
plaquetarios
 Consultar un hematologo y o Neurocirujano
Enfermeras de
España
Enfermeras de
México.
 Evitar ulceras por presion: colchon de agua o
de hule espuma y movilizacion
 Via aerea , apoyo ventilatorio y oxigeno
 Manejo de liquidos 30 ml por kilo de peso
 Nutricion sonda nasogastrica o parenteral
 Control de temperatura
 Esteroides: contraindicados en EVC
isquemico y hemorragico
 Infecciones: dar quinolonas u otro antibiotico
 Evitar Neumonia
 Trombosis venosa Pulmonar-medias elasticas
y uso de enoxaparina sc
 Control de la presion arterial y temperatura
 Nimodipina: estudio INWEST demostro que la
administracion de nimodipina a las dosis
similares a las utilizadas para vasoespasmo ,
NO SOLO , NO ES DE UTILIDAD, SINO QUE SE
ASOCIA, A UNA MORBIMORTALIDAD MAYOR
Terapeutica en la Enfermdad Vascular Cerebral
Dr. Fernando Barinagarrementeria
 Los esteroides en diferentes dosis , incluso en
grandes dosis se han utilizado en varios
ensayos clinicos , pero NO SE HA OBSERVADO
MEJORIA ; por el contrario las infecciones han
sido comunmente detectadas en pacientes
con infarto cerebral tratados con esteroides ,
por lo que puede asegurarse que :
 ESTAN CONTRAINDICADOS
Terapuetica de la Enfermdad Vascular
cerebral . Dr. Fernado Barinagarremtneria
 Hipotermia; sin resultados favorables
 Antagonistas de los Receptores NMDA
 Aptiganel, dextrometorfan, lubeluzol,
dizolpicina
 Fenitoina sodica ???
 La pentoxilina NO SIRVE EN EVC
 Tirilazad
 Citicolina ???????????????????
 Inhibidores de la sintesis de oxido nitrico y
apoptosis
 Factores troficos.
 Anticuerpos monoclonales: enlimomab
 Inhibidor de glicoproteina llb/llla abciximab
 Moduladores de la membrana celular:
 Piracetam ???????
 Moduladores de los maxicanales de potasio
 Maxipost
 agonistas de los receptores 5HT
 Bay3702
 Magnesio???????????????????????????
 NYY-59,nitrona que atrapa radicales libres
 Craniectomia descompresiva en la
enfermedad vascular oclusiva
 En infarto cerebral maligno
 Momento oportuno
 Por TAC o RM craneal de infarto de la ACM
con afectacion de mas del 50 %.
 Edad menor de 65 años
 A realizar dentro de las primeras 24 hrs o 48
hrs
 Elevacion de la PIC de mas de 20 mm Hg
 No haber contraindicacion: anticoagulacion.
IAM o ASA
 Trombolisis intra-arterial y rescate vascular
en el infarto cerebral agudo DENTRO DE 6
HRS
 Trombolisis intravenosa por Medicos
expertos en terapia endovascular ,
NEUROLOGOS.
 PROACT
 PROACT II
 TROMBECTOMIA ENDOVASCULAR
 MERCI
 MR RESCUE
 EPAR
 Angioplastia
Ictus isquémico.
• ¿Qué hemos hecho?
Pacientes con enfermedad cerebrovascular
CASO 1
 Masculino de 60 años
 No antecedentes de importancia, excepto
sedentarismo
 Cuadro subito con deterioro de conciencia ,
disfasia , hemiplejia derecha y alteracion de
la conciencia
 Es llevado a Hospital a la hora de iniciado el
cuadro
 Tendencia al estupor, hemiplejico derecho
 Cifras tensionales normales
 No trastorno cardiaco ni respiratorio
 Laboratorios : dentro de la normalidad
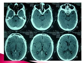
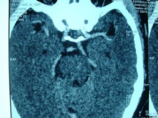
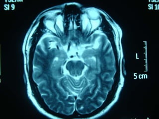
 TAC de craneo simple
 RM craneal simple
 RM metodo de Difusion
Se realiza trombolisis
intrarterial
En las primeras 3 hrs de
ocurrido
 ESTADO DE COMA
 LESION DEL TERCER PAR IZQUIERDO POR
HERNIACION UNCAL
 POR INFARTO CEREBRAL MALIGNO SE DECIDE
REALIZAR CRANIECTOMIA DESCOMPRESIVA
 PACIENTE ALERTA
 HABLA COHERENTE
 HEMIPARESIA 4/5 DEL LADO DERECHO
 PARESIA DEL TERCER PAR IZQUIERDO EN
RECUPERACION
 ES EGRESADO A SU DOMICILIO

 A l siguiente semana fallece el
paciente a consecuencia de T.E.P.
 o IAM
 ¿ Que fallo ?
 R: NO SE TUVO INTEGRADA LA UNIDAD DE
ICTUS, CON TODO EL PROTOCOLO COMO
DEBE DE SER.
 ¿ Pudo haber mejor final?
 R: Posiblemente NO porque el paciente tuvo
infarto cerebral MALIGNO, con un 90 % de
mortalidad
 En Puebla , hoy en dia NO HAY NINGUN HOSPITAL
QUE TENGA UNA UNIDAD DE ICTUS
 NI GUBERNAMENTAL NI PRIVADO
 La unidad de ICTUS la forman:
 A) Neurologo
 B) Urgenciologo
 C) Intensivista
 D Hematologo, Neurocirujano
 E) Neurorradiologo
 F) Enfermera especializada
 G) Laboratorio, TUMs.
 Unidades de Ictus Vascular (n=3)
◦ Area (geográficamente localizadas) con guardias para
pacientes con ictus agudo, que cuenta con un grupo
multidisciplinario para el manejo del EVC
 Servicios Móviles de Ictus (n=3)
◦ Equipo multidisciplinario y dedicado a pacientes con
EVC dentro de un hospital, que valoran y tratan
pacientes con ictus vascular en el hospital
 Unidades Generales (n=2)
◦ Servicio no específico o equipo médico dedicado al
manejo hospitalarios de pacientes con ictus vascular
Cadilhac DA, et al. Stroke 2004;35:1035-1040
 ¿Que esperamos para formar la unidad de ICTUS
 Cuando platiquemos de los requerimientos que se requieren
conforme a las reglas
 Se formo la unidad de Ictus hace 3 semanas en la Cd. De
Monterrey y en el INNyN
 GRACIAS

www.drguillermoenriquezcoronel.org

Ictus trombolisis

  • 1.
    Guillermo Enriquez Coronel Miembrode AMEVASC Neurologo 2010
  • 11.
    R.W. Timmers, M.D. Evoluciónde la humanidad 2.5 millones de años 50 años
  • 12.
    EVC Isquemia 70-80 % Hemorragia 20-30 % Ataque isquemico transitorio 5a 10 % Infarto cerebral 70-75 % Hemorragia intracerebre al 20- 20 % Hemorragia subaracnoide a 5- 10 % Vasos pequeños Vasos grandes
  • 13.
    Aterosclerosis de grandes vasos Etiologia cardioembolic a Enfermedad de pequeños vasos Otras causas Causano determinad a Isquemia Cerebral Embolia de arteria a arteria Fibrilacion auriocular no valvular Valvulopatia mitral Protesis mecanica Isquemica Foramen oval permeable Arterioscleros is Infartos lacunares Microateroma s CADASIL Diseccion arterial Vasculitis Displasia fibromuscular Trombofilia Migraña
  • 14.
    ¡La historia delsíndrome metabólico comienza con OBESIDAD ABDOMINAL!
  • 15.
    Migraña Epilepsia Hematoma subdural Tumores Malformacion AV Hipoglucemia Hiponatremia Hipercalcemia Encefalopatiahepatica Encefalopatia de Wernicke Encefalitis Absceso cerebral Empiema subdural Neurocisticercosis Leucoencefalopatia M.P. Trastornos del laberinto Neuronitis vestibular Enfermedad de Meniere Vertigo posicional P.B. Hiperventilacion Conversion/ Histeria Ataque de panico Mononeuropatia Misastenia Grave radiculopatia
  • 16.
     Afasia  Amaurosis monocular Agnosia/ apraxia  Hemiparesia  Hemihipoestesia  Disartria  Ataxia  Disfagia  Diplopia  Amaurosis bilateral  Vertigo  Cuadriparesia  Deficit sensitivo/ motor, cruzado o alterno
  • 19.
     ¿ Lalesion cerebral es causada por una EVC de tipo isquemico o hemorragico o por una entidad no vascular?  Respuesta: clinica y Tomografia computarizada de craneo simple o RM craneal simple
  • 20.
     ¿Cual esla localizacion y magnitud de la lesion?  Respuesta: TAC o RM
  • 21.
     ¿Cuál esla naturaleza ,localizacion, y gravedad de la lesion?  Respuesta: clinica y Neuroimagen
  • 22.
     Signo delaarteria cerebral media hiperdensa  Atenuacion del nucleo lenticular  Hipodensidad cortical o subcortical  Edema cerebral  Borrado de la region insular  Borrado de surcos corticales  Compresion ventricular  Atenuacion de contraste cortico-medular
  • 38.
    A: criterios deinclusion: Edad : 18-80 años Dx clinico de EVC INICIO: MENOS 3 HRS
  • 39.
    -Presencia de unahemorragia intracraneal por TAC sin contraste -sintomas solo leves ,o EVC que mejora rapidamente. -Sospecha clinica de HSA,incluso por TAC Hemorragia interna reciente, gastroinestinalo urinaria en3 semanas Diatesis hemorragia conocida: Recuento de plaquetas menos de 100 000 Paciente que haya recibido heparina en las ultimas ultimas48 hrs y con TTP prolongado Uso reciente de anticoagulantes y un INR 1.4
  • 40.
  • 41.
  • 42.
     EVC previa,TCE grave o cirugia craneal enlos ultimos 3meses  Traumatismo grave o cirugia mayor en los ultimos 14 dias  Puncion arterial reciente en un sitio no compresible  Puncion lumbar en los ultimos 7 dias  Historia de hemorragia intracraneal ,malformacion AV o aneurisma  Crisis convulsiva al inicio del cuadro  Infarto agudo demiocardio reciente.  TA sistolica mayor de 185 o diastolicamayor de 110.
  • 43.
    Dosis del farmaco:0. 9 mg/ Kg de peso con un maximo de90 mgs Se pasa 10 % en bolo en un minuto , se espera uno entre 3- 5 minutos antes del pasar el resto en 60 minutos Laboratorio hematocrito, plaquetas, glucemia T de coagulacion y TAC de craneo Toma de presion arterial No administrar ASA. Heparina o anticoagulantes las siguientes 24 hrs Monitoriza el estado neurologico vigilarlaTA cada 15 minutos. Si la TA es mayor de 185/110 se administrara parche de nitroglicerina y uno a dosis bolos de labetalol 10- 20mgs
  • 44.
     Monitoreo dela TA las primeras 24 hrs: cada 15 min. , las primeras 2 hrs, se tomara la TA cada media hora las siguientes 6hrs. Y cada hora las 16 hrs siguientes.  Si la TA se eleva , se puede pasar nitroprusiato de sodio  Si durante el paso de rtPA existen datos de sangrado, se suspendera la infusion de rtPA y se hara una TAC urgente.
  • 45.
     La hemorragiacerebral: nauseas, vomitos cefalea, deterioro neurologico e HTA  Solicitar tiempos de coagulacion,plaquetas fibrinogeno y pruebas sanguineas cruzadas  Pasar 6-8unidades de crioprecipitados rico en factor VIII  Pasar entre 6-8 unidades de concentrados plaquetarios  Consultar un hematologo y o Neurocirujano
  • 47.
  • 48.
     Evitar ulceraspor presion: colchon de agua o de hule espuma y movilizacion  Via aerea , apoyo ventilatorio y oxigeno  Manejo de liquidos 30 ml por kilo de peso  Nutricion sonda nasogastrica o parenteral
  • 49.
     Control detemperatura  Esteroides: contraindicados en EVC isquemico y hemorragico  Infecciones: dar quinolonas u otro antibiotico  Evitar Neumonia  Trombosis venosa Pulmonar-medias elasticas y uso de enoxaparina sc  Control de la presion arterial y temperatura
  • 50.
     Nimodipina: estudioINWEST demostro que la administracion de nimodipina a las dosis similares a las utilizadas para vasoespasmo , NO SOLO , NO ES DE UTILIDAD, SINO QUE SE ASOCIA, A UNA MORBIMORTALIDAD MAYOR Terapeutica en la Enfermdad Vascular Cerebral Dr. Fernando Barinagarrementeria
  • 51.
     Los esteroidesen diferentes dosis , incluso en grandes dosis se han utilizado en varios ensayos clinicos , pero NO SE HA OBSERVADO MEJORIA ; por el contrario las infecciones han sido comunmente detectadas en pacientes con infarto cerebral tratados con esteroides , por lo que puede asegurarse que :  ESTAN CONTRAINDICADOS Terapuetica de la Enfermdad Vascular cerebral . Dr. Fernado Barinagarremtneria
  • 52.
     Hipotermia; sinresultados favorables  Antagonistas de los Receptores NMDA  Aptiganel, dextrometorfan, lubeluzol, dizolpicina  Fenitoina sodica ???  La pentoxilina NO SIRVE EN EVC
  • 53.
     Tirilazad  Citicolina???????????????????  Inhibidores de la sintesis de oxido nitrico y apoptosis  Factores troficos.  Anticuerpos monoclonales: enlimomab  Inhibidor de glicoproteina llb/llla abciximab
  • 54.
     Moduladores dela membrana celular:  Piracetam ???????  Moduladores de los maxicanales de potasio  Maxipost  agonistas de los receptores 5HT  Bay3702  Magnesio???????????????????????????  NYY-59,nitrona que atrapa radicales libres
  • 55.
     Craniectomia descompresivaen la enfermedad vascular oclusiva  En infarto cerebral maligno  Momento oportuno  Por TAC o RM craneal de infarto de la ACM con afectacion de mas del 50 %.
  • 56.
     Edad menorde 65 años  A realizar dentro de las primeras 24 hrs o 48 hrs  Elevacion de la PIC de mas de 20 mm Hg  No haber contraindicacion: anticoagulacion. IAM o ASA
  • 57.
     Trombolisis intra-arterialy rescate vascular en el infarto cerebral agudo DENTRO DE 6 HRS  Trombolisis intravenosa por Medicos expertos en terapia endovascular , NEUROLOGOS.
  • 58.
     PROACT  PROACTII  TROMBECTOMIA ENDOVASCULAR  MERCI  MR RESCUE  EPAR  Angioplastia
  • 59.
    Ictus isquémico. • ¿Quéhemos hecho? Pacientes con enfermedad cerebrovascular
  • 60.
  • 61.
     Masculino de60 años  No antecedentes de importancia, excepto sedentarismo  Cuadro subito con deterioro de conciencia , disfasia , hemiplejia derecha y alteracion de la conciencia  Es llevado a Hospital a la hora de iniciado el cuadro
  • 62.
     Tendencia alestupor, hemiplejico derecho  Cifras tensionales normales  No trastorno cardiaco ni respiratorio  Laboratorios : dentro de la normalidad  TAC de craneo simple  RM craneal simple  RM metodo de Difusion
  • 74.
    Se realiza trombolisis intrarterial Enlas primeras 3 hrs de ocurrido
  • 75.
     ESTADO DECOMA  LESION DEL TERCER PAR IZQUIERDO POR HERNIACION UNCAL
  • 76.
     POR INFARTOCEREBRAL MALIGNO SE DECIDE REALIZAR CRANIECTOMIA DESCOMPRESIVA
  • 81.
     PACIENTE ALERTA HABLA COHERENTE  HEMIPARESIA 4/5 DEL LADO DERECHO  PARESIA DEL TERCER PAR IZQUIERDO EN RECUPERACION  ES EGRESADO A SU DOMICILIO 
  • 82.
     A lsiguiente semana fallece el paciente a consecuencia de T.E.P.  o IAM
  • 83.
     ¿ Quefallo ?  R: NO SE TUVO INTEGRADA LA UNIDAD DE ICTUS, CON TODO EL PROTOCOLO COMO DEBE DE SER.  ¿ Pudo haber mejor final?  R: Posiblemente NO porque el paciente tuvo infarto cerebral MALIGNO, con un 90 % de mortalidad
  • 101.
     En Puebla, hoy en dia NO HAY NINGUN HOSPITAL QUE TENGA UNA UNIDAD DE ICTUS  NI GUBERNAMENTAL NI PRIVADO  La unidad de ICTUS la forman:  A) Neurologo  B) Urgenciologo  C) Intensivista  D Hematologo, Neurocirujano  E) Neurorradiologo  F) Enfermera especializada  G) Laboratorio, TUMs.
  • 102.
     Unidades deIctus Vascular (n=3) ◦ Area (geográficamente localizadas) con guardias para pacientes con ictus agudo, que cuenta con un grupo multidisciplinario para el manejo del EVC  Servicios Móviles de Ictus (n=3) ◦ Equipo multidisciplinario y dedicado a pacientes con EVC dentro de un hospital, que valoran y tratan pacientes con ictus vascular en el hospital  Unidades Generales (n=2) ◦ Servicio no específico o equipo médico dedicado al manejo hospitalarios de pacientes con ictus vascular Cadilhac DA, et al. Stroke 2004;35:1035-1040
  • 103.
     ¿Que esperamospara formar la unidad de ICTUS  Cuando platiquemos de los requerimientos que se requieren conforme a las reglas  Se formo la unidad de Ictus hace 3 semanas en la Cd. De Monterrey y en el INNyN  GRACIAS  www.drguillermoenriquezcoronel.org