DANIEL F. DELGADO RUIZ RESIDENTE 1 AÑO TYO UASLP.
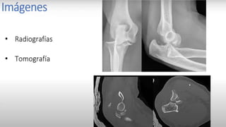
TRIADA TERRIBLE DEL CODO
OBJETIVOS
HISTORIA
PRINCIPIOS BASICOS
ANATOMIA
MANEJO QUIRURGICO
Las inmovilizaciones
se han utilizado
desde que el ser humano
experimentó lesiones
de la extremidades….
Hipocrates: En la antigua Grecia varios volúmenes del Corpus Hipocraticus tienen
relevancia en ortopedia. Hipócrates Conocía los principios de la tracción y contra-
tracción.
Albucacis: 936 D.C. utiliza férulas con vendajes con harina, huevo y sustancias
vegetales.
Antonius Mathijsen : cirujano de guerra ,del ejercito holandés, 1852 describe
un método de inmovilización de fracturas por medio de vendajes
impregnados con yeso de Paris los cuales se humedecían y se aplicaban
circunferencialmente en la extremidad endureciéndose durante el secado.
• Siempre proteger las prominencias óseas
usando algodón laminado alrededor de
la extremidad
PRINCIPIOS BASICOS
• Articulaciones en “Posición de seguridad”
PRINCIPIOS BASICOS
34mm
Flexión
27mm
Extensión
Articulación
metacarpofalángica
(MTCF)
en flexión de 70 a
90°
-La MTCF en extensión mantiene los ligamentos acortados
(aprox. 27mm), la contractura en esta posición hace muy
difícil la rehabilitación.
-La MTCF en flexión mantiene los ligamentos en su mayor
longitud (aprox. 34mm), y así hace más fácil la
rehabilitación.
Muñeca en ligera extensión de 25 a 30°
Se recomienda inmovilizar las intefalángicas proximales y
distales en extensión; en esta posición los ligamentos
colaterales y la placa volar estén en máxima longitud, y así
es mas fácil y predecible la rehabilitación
Codo en 90°, excepto si hay una fractura
desplazada del codo, en cuyo caso se inmoviliza
en semiflexion
Cadera
abducción
10-30°
Rot. Externa
15°
Rodilla
15-30°
flexion
Tobillo
90°
• Cubrirprominenciasoseasconalgodónparaevitarulcerasporpresión.
• Evitarcontactodelyeso conlapiel,paraevitarquemadurasde2grado.
• Sostenerlaférulahastaquefragüen.
• Mínimo14capasporférula,tantoparamiembrosinferiorescomosuperiores.
• Abarcamientodel60%delacircunferenciao¾partes.
• Inmovilizarunaarticulaciónporencimayotrapordebajo.
PRINCIPIOS BASICOS
Articulación MTCF libre
ESTABILIZACION EN VALGO Y
POSTEROMEDIAL
1.Analgesia
2. Estabilización para el transporte
3. Disminuir daño tisular
4. Permitirla reparación de tejidos
blandos.
5. Relajación muscular
Objetivos
La inmovilización es el principal método analgésico
ESTABILIDAD EN VARO Y
POSTEROMEDIAL
Materiales para Inmovilización
• Vendajes de yeso
• Vendajes de algodón
• Vendajes de Tela
• Sabana o bata para el paciente
• Tijeras
• Balde con agua
• Guantes
INMOVILIZACIONES SEGÚN
SEGMENTOS
CLAVICULA
CONCEPTOS BASICOS
El tercio medio de la clavícula es el que más se
fractura (69- 85% de los casos), seguido por el
tercio externo o distal (10-21%), tercio proximal (3-
5%).
• Adultos, Jóvenes, adolescentes, niños ,
neonatos.
• Dolor limitación abducción y rotación hombro
• Signo de la tecla
• Hombro descendido
• Descartar maltrato
• Proyecciones Ap,lordótica apical,serendipity
view(desplazamiento anteroposterior.)
• Adultos jóvenes ,adolescentes,niños,ne
TRATAMIENTO CONSERVADOR
ORTOPEDICO
• Fractura no desplazada y no complicada ,acabalgamiento < 1.5 cm.
• No se recomienda en ningún momento, realizar maniobras de reducción a nivel de clavícula, porque las fracturas de clavícula
usualmente son inestables y no hay forma de brindar soporte externo.
• Ningún vendaje reduce una fractura desplazada El vendaje tipo Velpau y el vendaje en”8” pueden producir lesión dérmica y/o
compresión del paquete neurovascular.
• Se recomienda el uso de,inmovilizador de hombro , o “cabestrillo” con la finalidad de inmovilizar la extremidad del lado en que se
encuentra la fractura de la clavícula, lo que permitirá su consolidación.
• El tiempo de recuperación de las fracturas de clavícula que son manejadas en forma conservadora es en promedio de 90 días.
Luxación Acromioclavicular
FRACTURAS DE ESCAPULA
Epidemiología
• Representa el 1% del total de fracturas, el 5% de las fracturas de la cintura escapular.
•
Cuando compromete la fosa glenoidea se aproxima al 10%.
• La mayoría por Traumas de gran energía
• Mayor incidencia en pacientes con 35 - 45 años , y tiene lesiones asociadas en un 90%.
• Proyección AP verdadera de hombro, escapula en Y , proyección axilar de hombro.
TRATAMIENTO ORTOPEDICO
FRACTURA DEL CUERPO FRACTURA DEL CUELLO FRACTURA DE LA CAVIDAD
GLENOIDES
No requiere reducción Hielo 24
horas, vendaje compresivo y
cabestrillo, retirar a las 2, 3
semanas e iniciar terapia física
No requiere reducción, para
evitar Mayores
desplazamientos
inmovilizamos el hombro
con un vendaje de yeso tipo
Velpeau, para luego de 3 a 4
semanas iniciar rehabilitación.
Desplazamiento mínimo: No
requiere reducción
Inmovilización con
cabestrillo durante 3 a 4
semanas y luego terapia
física
EL TRATAMIENTO ES CONSERVADOR ANTE FRACTURAS POCO DESPLAZADAS Y
ESTABLES.
LUXACION GLENOHUMERAL
Introducción
La articulación del hombro es la articulación con más
movilidad, realiza flexión, extensión, abducción,
aducción, rotación lateral y medial
Definición
Pérdida de contacto entre la cabeza humeral
y la cavidad glenoidea de la escápula.
Epidemiología
• Luxación más frecuente del organismo (45
– 60% de todas las luxaciones).
• Esta luxacion representa el 30% de todas
las lesiones agudas de hombro.
• Se presenta en jóvenes con factores de
riesgo(deportistas, hiperlaxos,luxaciones
previas.
• Pulsos distales,función del nervio axilar,
es el mas comúnmente se lesiona, perdida
sensiblidad región deltoidea y perdida de
la función del deltoides, pre y post
reducción.
Luxación de hombro (Tracciones) Tracción de kocher
I. Tracción axial con rotación externa del brazo.
II. Aducción del brazo.
III. Rotación interna del brazo.
En este momento se percibe resalte articular que indica la
reducción.
Sólo es aplicable en los casos de luxación anterior.
Luxación de hombro (Tracciones) Técnica de spaso
I. Paciente en decúbito supino.
II. La extremidad afectada se toma
por la muñeca o antebrazo
distal y se tira en dirección
vertical, aplicando una sutil
tracción. El hombro se rota
externamente y la reducción
ocurre espontáneamente.
Luxación de hombro (Tracciones) Maniobra de Hipócrates
I. Se debe realizar bajo anestesia
general.
II. Con el paciente en decúbito
supino.
III. Se realiza una tracción
longitudinal de la extremidad
inferior en ligera abducción
colocando el talón del pie
haciendo fulcro en la ingle del
paciente.
Luxación de hombro (Tracciones) Método de Stimson
Paciente en decúbito prono
Miembro afectado colgando de
la camilla
Colocación de peso de entre
5-10kg.
Realizar en casos de mucha emergencia o cuando
se carezca de experiencia con las otras técnicas.
Luxación de hombro (Tracciones) Método de Milch
I. Paciente en decúbito supino.
II. Abducir y rotar externamente
el brazo hacia arriba de la
cabeza.
III. Aplicar tracción sobre el
brazo extendido.
Luxación de hombro (Tracciones) Maniobra de Mothes o técnica de
Masten
I. Se utilizan dos sabanas.
II. Cúbito supino
III. Rodea el tórax del paciente con
una sabana.
IV.Rodea la axila con otra sabana.
V. Realizar tracción y contracción.
La tracción y contratación ejercida
por ambas sábanas reduce la
luxación
USO DE CABESTRILLO POR 3 SEMANAS EN PACIENTES , <30AÑOS , DE 2 SEMANAS DE LOS 30 A 40 AÑOS Y
DE 1ª 2 SEMANAS EN AQUELLOS MAYORES DE 50 AÑOS.
POSTERIOR A ESTO INICIAR EJERCICIOS DE REHABILITACION
TRATAMIENTO ORTOPEDICO
LUXACIONES ESTERNOCLAVICULARES
Luxación Posterior Luxación Anterior
Peligrosa
La clavícula se proyecta por abajo del
plano horizontal
No se palpa el extremo proximal de la
clavícula
Dificultad respiratoria, sensación de
ahogo, daño circulatorio
La clavícula se proyecta por arriba del
plano horizontal.
RX ROCKWOOD.
Evaluar que no esté lacerada la tráquea, esófago o los grandes
vasos retroesternales
El paciente en decúbito dorsal con anestesia, se tracciona el
bazo hacia abajo haciendo resaltar al clavícula hacia adelante,
la que se toma entre los dedos traccionando a su posición
normal y luego vendaje en 8 durante 3 a 4 semanas.
Reducción con el paciente sentado, traccionando los
hombros hacia atrás con apoyo en el medio de la
columna dorsal e inmovilización con un vendaje
semidirigido en 8 durante 4 a 6 semanas, o también
uso de cabestrillo.
FRACTURAS DE HUMERO PROXIMAL ,INDICACIONES MANEJO NO QUIRURGICO
1. Fracturas no desplazadas: Desplazamiento menor de 5 mm superior, o 10 mm posterior del troquiter en pacientes
activos.
2. Desplazamiento <10 mm superior en brazo no dominante de pacientes sedentarios.
3. En fracturas de cuello quirúrgico cualquier contacto óseo en ancianos.
A. En pacientes jóvenes activos , desplazamiento <50% del diámetro de la diáfisis y <45° de angulación en brazo
dominante
4. Pacientes dispuestos a tener un hombro rígido
5. Pacientes con patologías añadidas que no sea capaz de soportar la cirugía o anestesia.
6. Paciente mal candidato a rehabilitación, demasiado débil para seguir la rehabilitación o incapaz de comprender o
recordar las restricciones postoperatorias.
TRATAMIENTO ORTOPEDICO DE FRACTURAS DIAFISIARIAS DE HUMERO
• Podemos aceptar esta opción siempre que la reducción
consiga una desviación anteroposterior menor de 20º, un
varo menor de 30º, menos de 15º de malrotación y
acortamiento de la extremidad inferior a 3cm.
• No se recomienda en fracturas con distracción axial de los
fragmentos, fracturas abiertas, bilaterales, pacientes
politraumáticos y/o con lesiones neurovasculares.
• La obesidad per se no es una contraindicación, si bien hace
el manejo más difícil.
• En la actualidad la férula funcional tipo
brace es la más aceptada ya que no inmoviliza las
articulaciones adyacentes a la fractura y permite una
recuperación funcional rápida ,también se utiliza, yeso colgante,velpeau, ferula de coaptación,
espica de yeso de hombro.
• Entre el 85 y el 95% de pacientes obtienen resultados
buenos o excelentes.
Parte desde el hombro, rodea
la zona del codo y termina
borde inferior de la axila.
Indicaciones
Fracturas diafisiarias del
humero.
FRACTURA DE HUMERO DISTAL
SON POCO FRECUENTES Y SON AL REDEDRO DEL 2% DE TODAS LAS FRACTURAS, 1/3 DE TODAS LAS
FRACTURAS DEL HUMERO, LA INCIDENCIA ES DE 5.2 POR CADA 100.000 PERSONAS POR AÑO , CON MAYOR
INCIDENCIA EN HOMBRES 2 Y 19 AÑOS Y EN MUJERES A LOS 80 AÑOS.
FRACTURAS EXTRACONDILEAS EXTRAARTICULARES
• SE PUEDE DAR FORMA CONSERVADORA CUANDO NO HAY DESPLAZAMIETNO O MINIMO
DESPLAZAMIENTO , PACIENTES ANCIANOS O NO APTOS PARA CIRUGIA.
• EN NIÑOS , FRACTURAS CON DESPLAZAMIENTO MENOR ,ACEPTABLE ANGULACION DE 20°,VERIFICAR
QUE NO PRESENTE CONMINUCION MEDIAL,GARLAND I , SALTER Y HARRIS TIPO I-II.
• MANEJO ORTOPEDICO YESO BRAQUIOPALMAR, SI HAY EDEMA FERULA POSTERIOR , NIÑOS FERULA
POSTERIOR 3 SEMANAS.
Limites
 Distal: pliegue distal palmar.
 Proximal: borde inferior de la axila.
Técnica
Muñeca en ligera flexión dorsal y en supino,
dejando libre el pulgar. Codo en flexión de 90°.
Indicaciones
Fracturas en la región supracondilea de humero,
fracturas diafisiarias de antebrazo y luxaciones.
YESO BRAQUIOPALMAR
Tratamiento de la luxación del codo
Reducción bajo sedaciónoanestesiageneral :
Tracción del antebrazo
en flexión de codo
contra tracción del brazo
± presiónsobre el olécranon
Yeso braquipalmar en f lexióndurante 3 semanas
Reduction of a posterior elbow dislocation consists of longitudinal traction (A),
correction of lateral or medial displacement (B), and flexion of the elbow (C).
FRACTURA CABEZA DE RADIO
MASON 1:
Cabestrillo y movilización precoz a las 24 o 48
hs cuando remite el dolor
Aspiración de la articulación con o sin anestesia
local.
FRACTURA DIAFISIS RADIO Y CUBITO
• En adultos el manejo no quirúrgico de las fracturas de la diáfisis del cúbito y radio está indicado solo en
fracturas no desplazadas, con mínima inflamación, siempre y cuando el paciente sea capaz de tolerar la
inmovilización.
• Estos pacientes deberán llevar seguimiento con consultas frecuentes con el fin de detectar cualquier
alteración en la alineación que requiera manejo quirúrgico.
• Los pacientes candidatos a manejo no quirúrgico pueden ser:
• Niños (porque consolida rápidamente la fractura)
• Ancianos sedentarios con comorbilidad que contraindique procedimientos anestésicos .
• Fractura transversal de tercio medio de radio o cúbito
• Fracturas de solo uno de los huesos del antebrazo en adultos
• Fracturas no desplazadas de cubito en adultos con angulación menor a 10 grados
• Fracturas cerradas
• Fracturas patológicas
• Fracturas simples
• Fracturas sin luxación de alguna de las articulaciones
FRACTURA RADIO CUBITAL DISTAL
CLASIFICACION ABIERTA O CERRADA CON
DESPLAZAMIENTO , ANGULACION ,
CONMINUCION Y ACORTAMIENTO DEL RADIO
FRACTURAS RADIO DISTAL EPINIMOS





• Fractura de colles: fx del radio distal
con conminucion, angulacion y
desplazamiento dorsal y acortamiento
radial
• Fractura de Barton: fx subluxación
articular desplazada e inestable del
radio distal. Con desplazamiento del
carpo
• Fractura de Smith: fx distal del radio
con desplazamiento volar
• Fractura de chofer: fx de la estiloides del
radio
• Fractura por impactacion del semilunar,
die- punch, o de la cuña medial.de la
fosita semilunar del radio
Clasificación de Frykman
fractura ausente presente
Extraarticular I II
Intraarticular que afecta Articulación radiocarpiana III IV
Intraarticular que afecta Articulación Radiocubital
distal
V VI
Intraarticular que afecta ambas articulaciones VII VIII
Clasificación de Fernández
Clasificación de Fernández
Tipo I Fx metafisaria por flexión con perdida
de la inclinación palmar y
acortamiento relativo del radio con
respecto al cubito
Tipo II Fx por cizallamiento q necesita
reducción y a menudo apuntalar el
segmento articular
Tipo III Fx por compresión de la superficie
articular sin la fragmentación
característica; lesiones ligamentosas
graves
Tipo IV Fx por avulsión o fractura-luxación
radiocarpiana
Tipo V Lesión combinada con importante
afectación de partes blandas
Tratamiento
• Las fracturas no desplazadas
se inmovilizan con un yeso
,Antebraquipalmar, durante
4 a 6 semanas.
Fractura de Pouteau-Colles: desplazada
BIBLIOGRAFIA
ROCKWOOD Y GREENS FRACTURAS EN EL ADULTO 5 EDICION.
GRAY ANATOMIA PARA ESTUDIANTES 3 EDICION.
KAPANDJI ,FISIOLOGIA ARTICULAR TOMO I,SEXTA EDICION PANAMERICANA,2006.
MANUAL DE FRACTRURAS 6ª , EDICION .
LLESIONES DE LA MANO MANEJO ORTOPEDICO
FRACTURA DE FALANGE PROXIMAL Y MEDIA
FRACTURAS EXTRAARTICULARES
🠶 Sin desplazar
🠶 No malrotación ni acortamiento ni desviación angular volar ni dorsal
🠶 Sindactilia y movilización inmediata
🠶 Ferula yeso con dedos acompañantes (excepto dedo pulgar) 2-3 semanas
🠶 Sindactilia + férula de yeso
🠶 ROTACION!!!!!!!!
FRACTURA DE FALANGE PROXIMAL Y MEDIA
FRACTURAS EXTRAARTICULARES
🠶 Desplazadas
🠶 Reducción cerrada posible
🠶 Estables: transversas y oblicuas cortas . Férula de yeso con varios dedos en intrínseco plus 3
semanas.
🠶 Muñeca: extensión 30
🠶 MTCF: flexión 70-90
🠶 IF: extensión
FRACTURA DE LA FALANGE DISTAL
🠶 Aplastamiento
🠶 Fractura longitudinal o transversa del eje
🠶 Fractura intraarticular dorsal y volar
FRACTURA DE LA FALANGE DISTAL
APLASTAMIENTO
🠶 Conservador
🠶 Férula digital o de yeso 3 sem. Sólo la punta del dedo!
🠶 Drenar hematoma subungueal
🠶 Matriz ungueal:
🠶 Dejar. Feruliza fx
🠶 Si se introduce en fx puede provocar pseudoartrosis
FRACTURA DE LA FALANGE DISTAL
INTRAARTICULAR. DORSAL
🠶 DEDO EN MARTILLO. MALLET FINGER.
🠶 <25% superficie articular y no luxación
🠶 Conservador: férula de stack 8 semanas
🠶 +2 semanas por la noche
FRACTURAS DE PELVIS
CLASIFICACION DE FRACTURAS PELVICAS, MARVIN TILE 1980
 Tile (a,b,c)
 Pelvis posterior: posterior al acetábulo
 Arco anterior: anterior al acetábulo.
 Estabilidad en base a el complejo sacroiliaco (arco posterior)
 TipoA
 Fracturas estables.
 Tipo B
 Parcialmente estables. Disrupción sacroiliaca con integridad del piso pélvico.
 Inestabilidad rotatoria con estabilidad vertical.
 Tipo C
 Disrupción completa.
 Vertical y rotacionalmente inestables.
Manejo no quirúrgico.
 Fracturas estables tipoA
 Rama pubica
 Ala del iliaco sin desplazamiento
 Fractura transversa del sacro debajo de la línea terminal
 Avulsion de la espina iliaca o la tuberosidad isquiática
FRACTURAS DE FEMUR MANEJO NO QUIRURGICO
• FRACTURA DE FEMUR DISTAL TIPO A
,EXTRARTICULARES.
• FRACTURAS UNICORTICALES.
• Limite Distal:Articulación metatarso-falangica
• Limite Proximal: Se extiende desde el tercio Proximal
del muslo en su cara posterior 5ctms glúteo
• Grados:Art Tobillo 90° de flexión, rodilla leve Flexión
15°
Férula y Yeso Inguinopedica
•Lesiones Tercio Medio y Distal de Fémur
•Tercio Proximal Medio y Distal de Tibia,
•Lesiones de Rodilla (Fx de Patela)
FRACTURA DE ROTULA , MANEJO ORTOPEDICO
Previo a la inmovilización de la extremidad el médico se recomienda valorar la necesidad de drenar el
hematoma intraarticular, en caso de dolor por aumento en la tensión de la cápsula articular, y cuando
lo amerite aplicar inmovilización con una férula de yeso tipo calza, o un yeso completo con la rodilla en
extensión, un mínimo de 4 semanas (en fracturas longitudinales), que deben prolongarse hasta las 6
en fracturas transversas o con ligero desplazamiento.
TRATAMIENTO CONSERVADOR. Se recomienda el tratamiento conservador en fractura cerrada de
rótula: Separación o diastasis , Separación del escalón articular Mecanismo extensor íntegro, Pacientes
con enfermedades concomitantes, identificados con alto riesgo quirúrgico. El tratamiento conservador
otorga buenos resultados en un 90 % de los casos con indicación adecuada
FRACTURAS DE TIBIA MANEJO ORTOPEDICO
En pacientes con fracturas de la diáfisis de tibia de baja energía, estables sin desplazamientos, sin lesión de partes
blandas y mejor aún cuando coexiste fractura del peroné el mejor tratamiento es el conservador.
El tratamiento conservador se realiza mediante la reducción por maniobras externa en el servicio de urgencias y
la colocación de un molde de yeso muslopodálico.
En la primera fase, se coloca el aparato de yeso muslo podálico en extensión y una vez que el edema disminuya y
el dolor mejore se cambia a yeso muslo podálico con flexión de la rodilla hasta obtener datos clínicos y
radiológicos de inicio de consolidación, entonces se realiza el cambio por un aparato de yeso tipo Sarmiento, con
el propósito de permitir el apoyo hasta la consolidación completa.
Fracturas
de tibia
Fracturas
de rótula
Fracturas
del pie
y/o tobillo
Férula suropédica

TRIADA TERRIBLE.pptx

  • 1.
    DANIEL F. DELGADORUIZ RESIDENTE 1 AÑO TYO UASLP. TRIADA TERRIBLE DEL CODO
  • 2.
  • 3.
    Las inmovilizaciones se hanutilizado desde que el ser humano experimentó lesiones de la extremidades…. Hipocrates: En la antigua Grecia varios volúmenes del Corpus Hipocraticus tienen relevancia en ortopedia. Hipócrates Conocía los principios de la tracción y contra- tracción. Albucacis: 936 D.C. utiliza férulas con vendajes con harina, huevo y sustancias vegetales. Antonius Mathijsen : cirujano de guerra ,del ejercito holandés, 1852 describe un método de inmovilización de fracturas por medio de vendajes impregnados con yeso de Paris los cuales se humedecían y se aplicaban circunferencialmente en la extremidad endureciéndose durante el secado.
  • 4.
    • Siempre protegerlas prominencias óseas usando algodón laminado alrededor de la extremidad PRINCIPIOS BASICOS
  • 5.
    • Articulaciones en“Posición de seguridad” PRINCIPIOS BASICOS 34mm Flexión 27mm Extensión Articulación metacarpofalángica (MTCF) en flexión de 70 a 90° -La MTCF en extensión mantiene los ligamentos acortados (aprox. 27mm), la contractura en esta posición hace muy difícil la rehabilitación. -La MTCF en flexión mantiene los ligamentos en su mayor longitud (aprox. 34mm), y así hace más fácil la rehabilitación.
  • 6.
    Muñeca en ligeraextensión de 25 a 30° Se recomienda inmovilizar las intefalángicas proximales y distales en extensión; en esta posición los ligamentos colaterales y la placa volar estén en máxima longitud, y así es mas fácil y predecible la rehabilitación Codo en 90°, excepto si hay una fractura desplazada del codo, en cuyo caso se inmoviliza en semiflexion
  • 7.
  • 8.
    • Cubrirprominenciasoseasconalgodónparaevitarulcerasporpresión. • Evitarcontactodelyesoconlapiel,paraevitarquemadurasde2grado. • Sostenerlaférulahastaquefragüen. • Mínimo14capasporférula,tantoparamiembrosinferiorescomosuperiores. • Abarcamientodel60%delacircunferenciao¾partes. • Inmovilizarunaarticulaciónporencimayotrapordebajo. PRINCIPIOS BASICOS Articulación MTCF libre ESTABILIZACION EN VALGO Y POSTEROMEDIAL
  • 9.
    1.Analgesia 2. Estabilización parael transporte 3. Disminuir daño tisular 4. Permitirla reparación de tejidos blandos. 5. Relajación muscular Objetivos La inmovilización es el principal método analgésico ESTABILIDAD EN VARO Y POSTEROMEDIAL
  • 10.
    Materiales para Inmovilización •Vendajes de yeso • Vendajes de algodón • Vendajes de Tela • Sabana o bata para el paciente • Tijeras • Balde con agua • Guantes
  • 11.
  • 12.
    CLAVICULA CONCEPTOS BASICOS El terciomedio de la clavícula es el que más se fractura (69- 85% de los casos), seguido por el tercio externo o distal (10-21%), tercio proximal (3- 5%). • Adultos, Jóvenes, adolescentes, niños , neonatos. • Dolor limitación abducción y rotación hombro • Signo de la tecla • Hombro descendido • Descartar maltrato • Proyecciones Ap,lordótica apical,serendipity view(desplazamiento anteroposterior.) • Adultos jóvenes ,adolescentes,niños,ne
  • 13.
    TRATAMIENTO CONSERVADOR ORTOPEDICO • Fracturano desplazada y no complicada ,acabalgamiento < 1.5 cm. • No se recomienda en ningún momento, realizar maniobras de reducción a nivel de clavícula, porque las fracturas de clavícula usualmente son inestables y no hay forma de brindar soporte externo. • Ningún vendaje reduce una fractura desplazada El vendaje tipo Velpau y el vendaje en”8” pueden producir lesión dérmica y/o compresión del paquete neurovascular. • Se recomienda el uso de,inmovilizador de hombro , o “cabestrillo” con la finalidad de inmovilizar la extremidad del lado en que se encuentra la fractura de la clavícula, lo que permitirá su consolidación. • El tiempo de recuperación de las fracturas de clavícula que son manejadas en forma conservadora es en promedio de 90 días.
  • 15.
  • 17.
    FRACTURAS DE ESCAPULA Epidemiología •Representa el 1% del total de fracturas, el 5% de las fracturas de la cintura escapular. • Cuando compromete la fosa glenoidea se aproxima al 10%. • La mayoría por Traumas de gran energía • Mayor incidencia en pacientes con 35 - 45 años , y tiene lesiones asociadas en un 90%. • Proyección AP verdadera de hombro, escapula en Y , proyección axilar de hombro.
  • 18.
    TRATAMIENTO ORTOPEDICO FRACTURA DELCUERPO FRACTURA DEL CUELLO FRACTURA DE LA CAVIDAD GLENOIDES No requiere reducción Hielo 24 horas, vendaje compresivo y cabestrillo, retirar a las 2, 3 semanas e iniciar terapia física No requiere reducción, para evitar Mayores desplazamientos inmovilizamos el hombro con un vendaje de yeso tipo Velpeau, para luego de 3 a 4 semanas iniciar rehabilitación. Desplazamiento mínimo: No requiere reducción Inmovilización con cabestrillo durante 3 a 4 semanas y luego terapia física EL TRATAMIENTO ES CONSERVADOR ANTE FRACTURAS POCO DESPLAZADAS Y ESTABLES.
  • 19.
    LUXACION GLENOHUMERAL Introducción La articulacióndel hombro es la articulación con más movilidad, realiza flexión, extensión, abducción, aducción, rotación lateral y medial Definición Pérdida de contacto entre la cabeza humeral y la cavidad glenoidea de la escápula. Epidemiología • Luxación más frecuente del organismo (45 – 60% de todas las luxaciones). • Esta luxacion representa el 30% de todas las lesiones agudas de hombro. • Se presenta en jóvenes con factores de riesgo(deportistas, hiperlaxos,luxaciones previas. • Pulsos distales,función del nervio axilar, es el mas comúnmente se lesiona, perdida sensiblidad región deltoidea y perdida de la función del deltoides, pre y post reducción.
  • 20.
    Luxación de hombro(Tracciones) Tracción de kocher I. Tracción axial con rotación externa del brazo. II. Aducción del brazo. III. Rotación interna del brazo. En este momento se percibe resalte articular que indica la reducción. Sólo es aplicable en los casos de luxación anterior.
  • 21.
    Luxación de hombro(Tracciones) Técnica de spaso I. Paciente en decúbito supino. II. La extremidad afectada se toma por la muñeca o antebrazo distal y se tira en dirección vertical, aplicando una sutil tracción. El hombro se rota externamente y la reducción ocurre espontáneamente.
  • 22.
    Luxación de hombro(Tracciones) Maniobra de Hipócrates I. Se debe realizar bajo anestesia general. II. Con el paciente en decúbito supino. III. Se realiza una tracción longitudinal de la extremidad inferior en ligera abducción colocando el talón del pie haciendo fulcro en la ingle del paciente.
  • 23.
    Luxación de hombro(Tracciones) Método de Stimson Paciente en decúbito prono Miembro afectado colgando de la camilla Colocación de peso de entre 5-10kg. Realizar en casos de mucha emergencia o cuando se carezca de experiencia con las otras técnicas.
  • 24.
    Luxación de hombro(Tracciones) Método de Milch I. Paciente en decúbito supino. II. Abducir y rotar externamente el brazo hacia arriba de la cabeza. III. Aplicar tracción sobre el brazo extendido.
  • 25.
    Luxación de hombro(Tracciones) Maniobra de Mothes o técnica de Masten I. Se utilizan dos sabanas. II. Cúbito supino III. Rodea el tórax del paciente con una sabana. IV.Rodea la axila con otra sabana. V. Realizar tracción y contracción. La tracción y contratación ejercida por ambas sábanas reduce la luxación
  • 26.
    USO DE CABESTRILLOPOR 3 SEMANAS EN PACIENTES , <30AÑOS , DE 2 SEMANAS DE LOS 30 A 40 AÑOS Y DE 1ª 2 SEMANAS EN AQUELLOS MAYORES DE 50 AÑOS. POSTERIOR A ESTO INICIAR EJERCICIOS DE REHABILITACION TRATAMIENTO ORTOPEDICO
  • 27.
    LUXACIONES ESTERNOCLAVICULARES Luxación PosteriorLuxación Anterior Peligrosa La clavícula se proyecta por abajo del plano horizontal No se palpa el extremo proximal de la clavícula Dificultad respiratoria, sensación de ahogo, daño circulatorio La clavícula se proyecta por arriba del plano horizontal. RX ROCKWOOD. Evaluar que no esté lacerada la tráquea, esófago o los grandes vasos retroesternales El paciente en decúbito dorsal con anestesia, se tracciona el bazo hacia abajo haciendo resaltar al clavícula hacia adelante, la que se toma entre los dedos traccionando a su posición normal y luego vendaje en 8 durante 3 a 4 semanas. Reducción con el paciente sentado, traccionando los hombros hacia atrás con apoyo en el medio de la columna dorsal e inmovilización con un vendaje semidirigido en 8 durante 4 a 6 semanas, o también uso de cabestrillo.
  • 28.
    FRACTURAS DE HUMEROPROXIMAL ,INDICACIONES MANEJO NO QUIRURGICO 1. Fracturas no desplazadas: Desplazamiento menor de 5 mm superior, o 10 mm posterior del troquiter en pacientes activos. 2. Desplazamiento <10 mm superior en brazo no dominante de pacientes sedentarios. 3. En fracturas de cuello quirúrgico cualquier contacto óseo en ancianos. A. En pacientes jóvenes activos , desplazamiento <50% del diámetro de la diáfisis y <45° de angulación en brazo dominante 4. Pacientes dispuestos a tener un hombro rígido 5. Pacientes con patologías añadidas que no sea capaz de soportar la cirugía o anestesia. 6. Paciente mal candidato a rehabilitación, demasiado débil para seguir la rehabilitación o incapaz de comprender o recordar las restricciones postoperatorias.
  • 29.
    TRATAMIENTO ORTOPEDICO DEFRACTURAS DIAFISIARIAS DE HUMERO • Podemos aceptar esta opción siempre que la reducción consiga una desviación anteroposterior menor de 20º, un varo menor de 30º, menos de 15º de malrotación y acortamiento de la extremidad inferior a 3cm. • No se recomienda en fracturas con distracción axial de los fragmentos, fracturas abiertas, bilaterales, pacientes politraumáticos y/o con lesiones neurovasculares. • La obesidad per se no es una contraindicación, si bien hace el manejo más difícil. • En la actualidad la férula funcional tipo brace es la más aceptada ya que no inmoviliza las articulaciones adyacentes a la fractura y permite una recuperación funcional rápida ,también se utiliza, yeso colgante,velpeau, ferula de coaptación, espica de yeso de hombro. • Entre el 85 y el 95% de pacientes obtienen resultados buenos o excelentes.
  • 30.
    Parte desde elhombro, rodea la zona del codo y termina borde inferior de la axila. Indicaciones Fracturas diafisiarias del humero.
  • 31.
    FRACTURA DE HUMERODISTAL SON POCO FRECUENTES Y SON AL REDEDRO DEL 2% DE TODAS LAS FRACTURAS, 1/3 DE TODAS LAS FRACTURAS DEL HUMERO, LA INCIDENCIA ES DE 5.2 POR CADA 100.000 PERSONAS POR AÑO , CON MAYOR INCIDENCIA EN HOMBRES 2 Y 19 AÑOS Y EN MUJERES A LOS 80 AÑOS. FRACTURAS EXTRACONDILEAS EXTRAARTICULARES • SE PUEDE DAR FORMA CONSERVADORA CUANDO NO HAY DESPLAZAMIETNO O MINIMO DESPLAZAMIENTO , PACIENTES ANCIANOS O NO APTOS PARA CIRUGIA. • EN NIÑOS , FRACTURAS CON DESPLAZAMIENTO MENOR ,ACEPTABLE ANGULACION DE 20°,VERIFICAR QUE NO PRESENTE CONMINUCION MEDIAL,GARLAND I , SALTER Y HARRIS TIPO I-II. • MANEJO ORTOPEDICO YESO BRAQUIOPALMAR, SI HAY EDEMA FERULA POSTERIOR , NIÑOS FERULA POSTERIOR 3 SEMANAS.
  • 32.
    Limites  Distal: plieguedistal palmar.  Proximal: borde inferior de la axila. Técnica Muñeca en ligera flexión dorsal y en supino, dejando libre el pulgar. Codo en flexión de 90°. Indicaciones Fracturas en la región supracondilea de humero, fracturas diafisiarias de antebrazo y luxaciones. YESO BRAQUIOPALMAR
  • 33.
    Tratamiento de laluxación del codo Reducción bajo sedaciónoanestesiageneral : Tracción del antebrazo en flexión de codo contra tracción del brazo ± presiónsobre el olécranon Yeso braquipalmar en f lexióndurante 3 semanas
  • 34.
    Reduction of aposterior elbow dislocation consists of longitudinal traction (A), correction of lateral or medial displacement (B), and flexion of the elbow (C).
  • 35.
    FRACTURA CABEZA DERADIO MASON 1: Cabestrillo y movilización precoz a las 24 o 48 hs cuando remite el dolor Aspiración de la articulación con o sin anestesia local.
  • 36.
    FRACTURA DIAFISIS RADIOY CUBITO • En adultos el manejo no quirúrgico de las fracturas de la diáfisis del cúbito y radio está indicado solo en fracturas no desplazadas, con mínima inflamación, siempre y cuando el paciente sea capaz de tolerar la inmovilización. • Estos pacientes deberán llevar seguimiento con consultas frecuentes con el fin de detectar cualquier alteración en la alineación que requiera manejo quirúrgico. • Los pacientes candidatos a manejo no quirúrgico pueden ser: • Niños (porque consolida rápidamente la fractura) • Ancianos sedentarios con comorbilidad que contraindique procedimientos anestésicos . • Fractura transversal de tercio medio de radio o cúbito • Fracturas de solo uno de los huesos del antebrazo en adultos • Fracturas no desplazadas de cubito en adultos con angulación menor a 10 grados • Fracturas cerradas • Fracturas patológicas • Fracturas simples • Fracturas sin luxación de alguna de las articulaciones
  • 37.
    FRACTURA RADIO CUBITALDISTAL CLASIFICACION ABIERTA O CERRADA CON DESPLAZAMIENTO , ANGULACION , CONMINUCION Y ACORTAMIENTO DEL RADIO
  • 38.
    FRACTURAS RADIO DISTALEPINIMOS      • Fractura de colles: fx del radio distal con conminucion, angulacion y desplazamiento dorsal y acortamiento radial • Fractura de Barton: fx subluxación articular desplazada e inestable del radio distal. Con desplazamiento del carpo • Fractura de Smith: fx distal del radio con desplazamiento volar • Fractura de chofer: fx de la estiloides del radio • Fractura por impactacion del semilunar, die- punch, o de la cuña medial.de la fosita semilunar del radio
  • 39.
    Clasificación de Frykman fracturaausente presente Extraarticular I II Intraarticular que afecta Articulación radiocarpiana III IV Intraarticular que afecta Articulación Radiocubital distal V VI Intraarticular que afecta ambas articulaciones VII VIII
  • 40.
    Clasificación de Fernández Clasificaciónde Fernández Tipo I Fx metafisaria por flexión con perdida de la inclinación palmar y acortamiento relativo del radio con respecto al cubito Tipo II Fx por cizallamiento q necesita reducción y a menudo apuntalar el segmento articular Tipo III Fx por compresión de la superficie articular sin la fragmentación característica; lesiones ligamentosas graves Tipo IV Fx por avulsión o fractura-luxación radiocarpiana Tipo V Lesión combinada con importante afectación de partes blandas
  • 41.
    Tratamiento • Las fracturasno desplazadas se inmovilizan con un yeso ,Antebraquipalmar, durante 4 a 6 semanas.
  • 42.
  • 43.
    BIBLIOGRAFIA ROCKWOOD Y GREENSFRACTURAS EN EL ADULTO 5 EDICION. GRAY ANATOMIA PARA ESTUDIANTES 3 EDICION. KAPANDJI ,FISIOLOGIA ARTICULAR TOMO I,SEXTA EDICION PANAMERICANA,2006. MANUAL DE FRACTRURAS 6ª , EDICION .
  • 44.
    LLESIONES DE LAMANO MANEJO ORTOPEDICO
  • 45.
    FRACTURA DE FALANGEPROXIMAL Y MEDIA FRACTURAS EXTRAARTICULARES 🠶 Sin desplazar 🠶 No malrotación ni acortamiento ni desviación angular volar ni dorsal 🠶 Sindactilia y movilización inmediata 🠶 Ferula yeso con dedos acompañantes (excepto dedo pulgar) 2-3 semanas 🠶 Sindactilia + férula de yeso 🠶 ROTACION!!!!!!!!
  • 46.
    FRACTURA DE FALANGEPROXIMAL Y MEDIA FRACTURAS EXTRAARTICULARES 🠶 Desplazadas 🠶 Reducción cerrada posible 🠶 Estables: transversas y oblicuas cortas . Férula de yeso con varios dedos en intrínseco plus 3 semanas. 🠶 Muñeca: extensión 30 🠶 MTCF: flexión 70-90 🠶 IF: extensión
  • 47.
    FRACTURA DE LAFALANGE DISTAL 🠶 Aplastamiento 🠶 Fractura longitudinal o transversa del eje 🠶 Fractura intraarticular dorsal y volar
  • 48.
    FRACTURA DE LAFALANGE DISTAL APLASTAMIENTO 🠶 Conservador 🠶 Férula digital o de yeso 3 sem. Sólo la punta del dedo! 🠶 Drenar hematoma subungueal 🠶 Matriz ungueal: 🠶 Dejar. Feruliza fx 🠶 Si se introduce en fx puede provocar pseudoartrosis
  • 49.
    FRACTURA DE LAFALANGE DISTAL INTRAARTICULAR. DORSAL 🠶 DEDO EN MARTILLO. MALLET FINGER. 🠶 <25% superficie articular y no luxación 🠶 Conservador: férula de stack 8 semanas 🠶 +2 semanas por la noche
  • 50.
    FRACTURAS DE PELVIS CLASIFICACIONDE FRACTURAS PELVICAS, MARVIN TILE 1980  Tile (a,b,c)  Pelvis posterior: posterior al acetábulo  Arco anterior: anterior al acetábulo.  Estabilidad en base a el complejo sacroiliaco (arco posterior)  TipoA  Fracturas estables.  Tipo B  Parcialmente estables. Disrupción sacroiliaca con integridad del piso pélvico.  Inestabilidad rotatoria con estabilidad vertical.  Tipo C  Disrupción completa.  Vertical y rotacionalmente inestables.
  • 51.
    Manejo no quirúrgico. Fracturas estables tipoA  Rama pubica  Ala del iliaco sin desplazamiento  Fractura transversa del sacro debajo de la línea terminal  Avulsion de la espina iliaca o la tuberosidad isquiática
  • 52.
    FRACTURAS DE FEMURMANEJO NO QUIRURGICO • FRACTURA DE FEMUR DISTAL TIPO A ,EXTRARTICULARES. • FRACTURAS UNICORTICALES.
  • 53.
    • Limite Distal:Articulaciónmetatarso-falangica • Limite Proximal: Se extiende desde el tercio Proximal del muslo en su cara posterior 5ctms glúteo • Grados:Art Tobillo 90° de flexión, rodilla leve Flexión 15° Férula y Yeso Inguinopedica •Lesiones Tercio Medio y Distal de Fémur •Tercio Proximal Medio y Distal de Tibia, •Lesiones de Rodilla (Fx de Patela)
  • 54.
    FRACTURA DE ROTULA, MANEJO ORTOPEDICO Previo a la inmovilización de la extremidad el médico se recomienda valorar la necesidad de drenar el hematoma intraarticular, en caso de dolor por aumento en la tensión de la cápsula articular, y cuando lo amerite aplicar inmovilización con una férula de yeso tipo calza, o un yeso completo con la rodilla en extensión, un mínimo de 4 semanas (en fracturas longitudinales), que deben prolongarse hasta las 6 en fracturas transversas o con ligero desplazamiento. TRATAMIENTO CONSERVADOR. Se recomienda el tratamiento conservador en fractura cerrada de rótula: Separación o diastasis , Separación del escalón articular Mecanismo extensor íntegro, Pacientes con enfermedades concomitantes, identificados con alto riesgo quirúrgico. El tratamiento conservador otorga buenos resultados en un 90 % de los casos con indicación adecuada
  • 55.
    FRACTURAS DE TIBIAMANEJO ORTOPEDICO En pacientes con fracturas de la diáfisis de tibia de baja energía, estables sin desplazamientos, sin lesión de partes blandas y mejor aún cuando coexiste fractura del peroné el mejor tratamiento es el conservador. El tratamiento conservador se realiza mediante la reducción por maniobras externa en el servicio de urgencias y la colocación de un molde de yeso muslopodálico. En la primera fase, se coloca el aparato de yeso muslo podálico en extensión y una vez que el edema disminuya y el dolor mejore se cambia a yeso muslo podálico con flexión de la rodilla hasta obtener datos clínicos y radiológicos de inicio de consolidación, entonces se realiza el cambio por un aparato de yeso tipo Sarmiento, con el propósito de permitir el apoyo hasta la consolidación completa.
  • 56.
  • 57.
  • 58.

Notas del editor

  • #13 Brinda protección , Los más afectados son adultos jóvenes, adolescentes, niños y neonatos. En jóvenes y adolescentes, y niños, el mecanismo más frecuente es por caídas de costado sobre el hombro afectado, en relación a la práctica deportiva, En recién nacidos es común por maniobras obstétricas(moro anormal, cabeza girada de lado a la fx , relajar esternocleido).
  • #14 ÇOMPLICADAS OSN: EXPUESTAS A PUNTO DE EXPONERSE PRESENCIA DE DAÑO NEUROVASCULAR , PRESENCIA DE LESION PLEUROPULMONAR , HOMBRO FLOTANTE , OCUPACION Y NECESIDADRES DEL PACIENTE ,FRACTRUA DE AMBAS CLAVICULAS En los adultos mayores, la consolidación de las fracturas de clavícula es más lenta; aumenta el tiempo de consolidación aproximadamente un 33%, debido a los cambios metabólicos propios de la edad, en estos pacientes la consolidación de la fractura tarda en promedio 120 días Se recomienda realizar control radiológico a las 6 y 12 semanas, para evaluar la presencia y grado de consolidación, una vez observado el callo óseo, el paciente puede regresar a las actividades diarias, solo con restricción en actividades de carga y tracción.
  • #15 Vendaje en 8 : dos cintillas que van a cruzar por la axila cada una y se van a entrecruzar en la parte posterior del torax y se van a fijar para causar estabilidad, se utiliza de 6 a 8 semanas
  • #17 La radiogradia de hombro bilateral o comparativa es el estudio de elección, se debe medir la distancia coracoclavicular y ver el grado de despalzamiento de la clavicula, ap con inclinación cefálica del 15°
  • #19 45% grados de angualcion y 3 mm demedializacion
  • #20 Anterior es la mas común , y el mecanismo indirecto es el causante de la mayoría de estas luxaciones , la luxacion posterior se da mas en alcoholicos , epilépticos y electrocutados ya que los musculos posterior son mas potentes y jalan la cabeza hacia atrás.
  • #30 Humero desvicaion en varo , ferula coaptación en fuerza en vlgo y realizar la reducción posterior a poner la ferula pero antes de que frague , en ocasiones es necesario protección o refuerzo con ferula posterior . Coaptacion , referencias anatómicas: acromion , troquitaer , epicóndilo , epitróclea, olecranonon. Yeso colgante: Distal: pliegue de flexión palmar. YESO COLGANTE: FRACRTURAS DESLAZADAS Y ACORTADAS , ESPECIALMENTE ESPIROIDEAS O BLICUAS Proximal: “V“ deltoidea.
  • #32 SALTER Y HARRIS TIIPO I Y II , GARLAND I, MANO SUPINACION, supracondílea supunoo y mas de 90° flexion , epicóndilo prono, epicóndilo alteral supino
  • #36 FLEXION , DESVIACION CUBITAL PARA QUE LA LIGMANETOTAXIS MANTENGA LA ALTURA RADIAL
  • #37 Yeso braquipalmar en neutro//todas las fracturas de antebrazo son quierurgicas roockwood. Mas del 60% se desplazan en adulto.
  • #43 Técnica de reducción cerrada (fractura con desviación dorsal): El fragmento distal está en hiperextensión. Se aplica tracción para reducir el fragmento distal sobre el fragmento proximal aplicando presión sobre el extremo distal del radio. Se coloca una férula braquiopalmar bien moldeada, con la muñeca en posición neutra o en ligera flexión.
  • #54 12 ss
  • #55 Calza no felxionar
  • #56 TIEMPO DE CONSOLIDACION ES DE 12-24 SEMANAS.