ALTERACIONES DE TORAX
Luis Gerardo Luna Becerra
TORAX
Se encuentra entre la base
del cuello y el diafragma.
 Contiene
a
los
pulmones, corazón, grande
s vasos sanguíneos como
la arteria aorta, vena cava
inferior y el esófago.
 Forma
de
pirámide
cuadrangular.

¿COMO SE FORMA?
Su pared formada por las costillas.
 A sus lados están los músculos intercostales.
 Por delante se encuentra el esternón.
 Y por atrás la columna dorsal.

¿CUAL ES SU FUNCION?
Su función es proteger los órganos internos de
algún traumatismo.
 La
caja torácica tiene la particularidad de
ensancharse para permitir la inspiración.

ALTERACIONES DE TORAX
OSTEOCONDRITIS ESTERNOCOSTAL.
-

-

-

También llamada síndrome de Tíetze o condritis
esternocostal.
Es el dolor de los cartílagos que unen a las costillas
con el esternón.
Se presenta en jóvenes y adultos.
Y es poco frecuente en niños menores de 10 años.
Cuando la inflamación se presenta en la zona del
esternón puede ser diagnosticada como costo
condritis.
Las causas probables son:
1)
Golpes o presión en la región de las costillas. Cargar
objetos pesados, esfuerzos físicos, caídas, choques
accidentales o al practicar deportes suelen ser causa
de dolor en el pecho.
2)
Dormir en posiciones incómodas. Dormir de lado o
boca abajo existe una presión en la caja torácica
haciendo mas difícil su expansión y afectando los
cartílagos.
3)
Tuberculosis. Infección en vías respiratorias genera
tos persistente, fiebre, escalofríos, fatiga y pérdida de
peso, pero en ocasiones también afecta a las
articulaciones.
4)
Enfermedades sistémicas.


Si se padecen problemas respiratorios, que
provocan estornudos o tos, los mismos deberán ser
tratados para evitar movimientos de la caja torácica
que impidan la recuperación correcta de la
osteocondritis.
 El tratamiento dura 2 a 3 semanas, analgésicos y
hielo. En ocasiones se recomiendan movimientos
lentos diarios con los brazos.

ESCAPULA ALADA.


Lesión de hombro o la condición en la cual el
omóplato sobresale en la espalda, particularmente
cuando se empuja contra algo como una pared.
SÍNTOMAS.
Dolor y elevación de
hombro limitada.
 Dificultad en levantamiento
de pesos.
 Con
frecuencia
los
pacientes
con
este
problema pueden llegar a
quejarse de una presión
sobre la zona escapular al
sentarse en una silla.

CAUSAS.
Se asocia con un daño o una
contusión al nervio torácico
largo del hombro.
 Debilidad en el músculo
serrato anterior.
 Esto
causado por una
contusión, un traumatismo
directo sobre el hombro, una
tracción del cuello y también
puede ser consecuencia de
un accidente de tráfico.

TRATAMIENTO.
Un programa completo de rehabilitación para
reforzar el hombro y en particular el músculo
serrato anterior.
 El tratamiento inicial es por lo general conservador
pero de vez en cuando la cirugía puede ser
requerida
si
todo
lo
demás
falla.

TORAX EN TONEL.
Llamado también tórax
enfisematoso.
 La caja se deforma por la
hiperinsuflación
permanente en el enfisema
pulmonar, con aumento a
predominio del diámetro
antero
posterior
desproporcionadamente.

TORAX ARQUEADO.
Llamado tórax en quilla o pecho de paloma.
 Es una protrusión del pecho sobre el esternón.
 Se puede presentar como una anomalía aislada o
asociada con otros síndromes o trastornos
genéticos.
 En esta condición el esternón protruye, con una
estrecha depresión a lo largo de los lados del
tórax, lo cual le da a éste una apariencia de
arqueamiento similar al pecho de una paloma.

Estas personas generalmente desarrollan corazón
y pulmones normales, pero este defecto puede
impedir que funcionen de manera óptima.
 Esta condición impide la espiración completa del
aire de los pulmones.

TORAX RAQUITICO.
Las costillas blandas y poco elásticas se deprimen
proyectando el tórax hacia delante, sobre todo en
su parte media.
 El engrosamiento de la unión condrocostal motiva
una serie de prominencias esféricas palpables y
visibles, escalonadas hacia abajo y hacia afuera.
 Tienen un abdomen voluminoso.

HEMOTORAX
Es la presencia de sangre en la cavidad pleural.
 Generalmente
está causado por lesiones
torácicas, pero puede haber otras causas, como
cáncer pulmonar o pleural, cirugías torácicas o del
corazón.
 En
una lesión traumática con un objeto
contundente, una costilla puede herir parte del
tejido del pulmón o de una arteria, causando que la
sangre entre en el espacio pleural, en el caso de
una lesión corto punzante o una herida de
bala, puede haber compromiso de pulmón.

SÍNTOMAS.
Disnea.
 Dolor torácico.
 Ansiedad o inquietud
 Taquicardia.
 El médico puede confirmar su diagnóstico con un
examen físico que puede revelar una disminución
de ruidos respiratorios o por medio de una
radiografía de tórax.

TRATAMIENTO.
Consiste en estabilizar al paciente, detener la
hemorragia y extraer la sangre del espacio pleural.
 Transfusiones.
 Se debe tratar la causa del neumotórax, pero en el
caso de una lesión traumática se realiza la
colocación de un tubo de drenaje sin necesidad de
una cirugía.

NEUMOTORAX
Presencia de aire en la cavidad pleural.
 Etiológicamente se clasifica en:
1)
Traumático: La causa del neumotórax se debe a un
traumatismo (ya sea abierto o cerrado) que provoca
la entrada de aire entre las dos capas de pleura.
Estos a su vez pueden clasificarse en iatrogénicos
(por procedimientos médicos) y en no iatrogénicos.
2)
Espontáneo: No existe traumatismo previo.
Neumotórax espontáneo primario. No existe una
enfermedad pulmonar de base.
Neumotórax espontáneo secundario. Complicación
de alguna enfermedad de base.

SÍNTOMAS.
Disnea.
 Taquipnea.
 Dolor torácico agudo.
 Tos con dolor.
 Taquicardia.

TRATAMIENTO.
Extracción del aire de
la cavidad pleural y en
lograr la expansión del
pulmón.
 No implica tratamiento
quirúrgico, ya que el
aire en la cavidad
pleural se reabsorbe
espontáneamente.

PRUEBAS PARA DIAGNOSTICAR
ALTERACIONES DE TORAX.
TAC DE TORAX


-

-

-

-

Tomografía axial computarizada.
Se utiliza para:
Examinar con más profundidad anomalías encontradas
en rayos X convencionales de tórax.
ayudar a diagnosticar la causa de signos o síntomas
clínicos de enfermedades de tórax,
como
tos, insuficiencia respiratoria, dolor torácico o fiebre.
evaluar lesiones en el tórax, incluidos los vasos
sanguíneos, los pulmones, las costillas y la columna
vertebral
evaluar adicionalmente anormalidades de tórax
encontradas en los exámenes fetales por ultrasonido
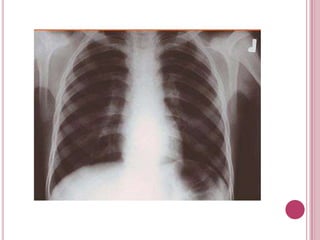
RADIOGRAFIA DE TORAX
Es usada para definir anormalidades de los
pulmones como fluido excesivo alrededor de los
pulmones, neumonía, bronquitis, asma, quistes o
cáncer.
 También se pueden visualizar determinadas
estructuras óseas del tórax, huesos rotos o
anormalidades de los huesos de la espina dorsal
en el tórax.

Alteraciones de tórax

Alteraciones de tórax

  • 1.
    ALTERACIONES DE TORAX LuisGerardo Luna Becerra
  • 2.
    TORAX Se encuentra entrela base del cuello y el diafragma.  Contiene a los pulmones, corazón, grande s vasos sanguíneos como la arteria aorta, vena cava inferior y el esófago.  Forma de pirámide cuadrangular. 
  • 3.
    ¿COMO SE FORMA? Supared formada por las costillas.  A sus lados están los músculos intercostales.  Por delante se encuentra el esternón.  Y por atrás la columna dorsal. 
  • 4.
    ¿CUAL ES SUFUNCION? Su función es proteger los órganos internos de algún traumatismo.  La caja torácica tiene la particularidad de ensancharse para permitir la inspiración. 
  • 5.
  • 6.
    OSTEOCONDRITIS ESTERNOCOSTAL. - - - También llamadasíndrome de Tíetze o condritis esternocostal. Es el dolor de los cartílagos que unen a las costillas con el esternón. Se presenta en jóvenes y adultos. Y es poco frecuente en niños menores de 10 años. Cuando la inflamación se presenta en la zona del esternón puede ser diagnosticada como costo condritis.
  • 8.
    Las causas probablesson: 1) Golpes o presión en la región de las costillas. Cargar objetos pesados, esfuerzos físicos, caídas, choques accidentales o al practicar deportes suelen ser causa de dolor en el pecho. 2) Dormir en posiciones incómodas. Dormir de lado o boca abajo existe una presión en la caja torácica haciendo mas difícil su expansión y afectando los cartílagos. 3) Tuberculosis. Infección en vías respiratorias genera tos persistente, fiebre, escalofríos, fatiga y pérdida de peso, pero en ocasiones también afecta a las articulaciones. 4) Enfermedades sistémicas. 
  • 9.
    Si se padecenproblemas respiratorios, que provocan estornudos o tos, los mismos deberán ser tratados para evitar movimientos de la caja torácica que impidan la recuperación correcta de la osteocondritis.  El tratamiento dura 2 a 3 semanas, analgésicos y hielo. En ocasiones se recomiendan movimientos lentos diarios con los brazos. 
  • 10.
    ESCAPULA ALADA.  Lesión dehombro o la condición en la cual el omóplato sobresale en la espalda, particularmente cuando se empuja contra algo como una pared.
  • 11.
    SÍNTOMAS. Dolor y elevaciónde hombro limitada.  Dificultad en levantamiento de pesos.  Con frecuencia los pacientes con este problema pueden llegar a quejarse de una presión sobre la zona escapular al sentarse en una silla. 
  • 12.
    CAUSAS. Se asocia conun daño o una contusión al nervio torácico largo del hombro.  Debilidad en el músculo serrato anterior.  Esto causado por una contusión, un traumatismo directo sobre el hombro, una tracción del cuello y también puede ser consecuencia de un accidente de tráfico. 
  • 13.
    TRATAMIENTO. Un programa completode rehabilitación para reforzar el hombro y en particular el músculo serrato anterior.  El tratamiento inicial es por lo general conservador pero de vez en cuando la cirugía puede ser requerida si todo lo demás falla. 
  • 14.
    TORAX EN TONEL. Llamadotambién tórax enfisematoso.  La caja se deforma por la hiperinsuflación permanente en el enfisema pulmonar, con aumento a predominio del diámetro antero posterior desproporcionadamente. 
  • 15.
    TORAX ARQUEADO. Llamado tóraxen quilla o pecho de paloma.  Es una protrusión del pecho sobre el esternón.  Se puede presentar como una anomalía aislada o asociada con otros síndromes o trastornos genéticos.  En esta condición el esternón protruye, con una estrecha depresión a lo largo de los lados del tórax, lo cual le da a éste una apariencia de arqueamiento similar al pecho de una paloma. 
  • 17.
    Estas personas generalmentedesarrollan corazón y pulmones normales, pero este defecto puede impedir que funcionen de manera óptima.  Esta condición impide la espiración completa del aire de los pulmones. 
  • 18.
    TORAX RAQUITICO. Las costillasblandas y poco elásticas se deprimen proyectando el tórax hacia delante, sobre todo en su parte media.  El engrosamiento de la unión condrocostal motiva una serie de prominencias esféricas palpables y visibles, escalonadas hacia abajo y hacia afuera.  Tienen un abdomen voluminoso. 
  • 20.
    HEMOTORAX Es la presenciade sangre en la cavidad pleural.  Generalmente está causado por lesiones torácicas, pero puede haber otras causas, como cáncer pulmonar o pleural, cirugías torácicas o del corazón.  En una lesión traumática con un objeto contundente, una costilla puede herir parte del tejido del pulmón o de una arteria, causando que la sangre entre en el espacio pleural, en el caso de una lesión corto punzante o una herida de bala, puede haber compromiso de pulmón. 
  • 22.
    SÍNTOMAS. Disnea.  Dolor torácico. Ansiedad o inquietud  Taquicardia.  El médico puede confirmar su diagnóstico con un examen físico que puede revelar una disminución de ruidos respiratorios o por medio de una radiografía de tórax. 
  • 23.
    TRATAMIENTO. Consiste en estabilizaral paciente, detener la hemorragia y extraer la sangre del espacio pleural.  Transfusiones.  Se debe tratar la causa del neumotórax, pero en el caso de una lesión traumática se realiza la colocación de un tubo de drenaje sin necesidad de una cirugía. 
  • 24.
    NEUMOTORAX Presencia de aireen la cavidad pleural.  Etiológicamente se clasifica en: 1) Traumático: La causa del neumotórax se debe a un traumatismo (ya sea abierto o cerrado) que provoca la entrada de aire entre las dos capas de pleura. Estos a su vez pueden clasificarse en iatrogénicos (por procedimientos médicos) y en no iatrogénicos. 2) Espontáneo: No existe traumatismo previo. Neumotórax espontáneo primario. No existe una enfermedad pulmonar de base. Neumotórax espontáneo secundario. Complicación de alguna enfermedad de base. 
  • 26.
    SÍNTOMAS. Disnea.  Taquipnea.  Dolortorácico agudo.  Tos con dolor.  Taquicardia. 
  • 27.
    TRATAMIENTO. Extracción del airede la cavidad pleural y en lograr la expansión del pulmón.  No implica tratamiento quirúrgico, ya que el aire en la cavidad pleural se reabsorbe espontáneamente. 
  • 28.
  • 29.
    TAC DE TORAX   - - - - Tomografíaaxial computarizada. Se utiliza para: Examinar con más profundidad anomalías encontradas en rayos X convencionales de tórax. ayudar a diagnosticar la causa de signos o síntomas clínicos de enfermedades de tórax, como tos, insuficiencia respiratoria, dolor torácico o fiebre. evaluar lesiones en el tórax, incluidos los vasos sanguíneos, los pulmones, las costillas y la columna vertebral evaluar adicionalmente anormalidades de tórax encontradas en los exámenes fetales por ultrasonido
  • 31.
    RADIOGRAFIA DE TORAX Esusada para definir anormalidades de los pulmones como fluido excesivo alrededor de los pulmones, neumonía, bronquitis, asma, quistes o cáncer.  También se pueden visualizar determinadas estructuras óseas del tórax, huesos rotos o anormalidades de los huesos de la espina dorsal en el tórax. 