APENDICITIS AGUDA EN NIÑOS DR LUIS EDGARDO ORMEÑO CALDERON MEDICO DEL SERVICIO DE CIRUGIA PEDIATRICA  HOSPITAL NACIONAL EDGARDO REBAGLIATI MARTINS CLÍNICA GOOD HOPE MIRAFLORES LIMA PERÚ
APENDICITIS AGUDA EN NIÑOS La apendicitis es la condición aguda más común del abdomen (1). Aproximadamente 7% de la población sufrirá de apendicitis durante su vida (2), con la incidencia máxima entre los 10 y 30 años (3). A pesar de los avances tecnológicos, el diagnóstico de Apendicitis se basa todavía en la historia del paciente y el examen físico
APENDICITIS AGUDA EN NIÑOS La obstrucción del lumen apendice cecal estrecho inicia la apendicitis aguda. La obstrucción puede deberse a muchas causas,  Hiperplasia Linfoide  (relacionada con enfermedades virales incluyendo infección respiratoria superior, mononucleosis, gastroenteritis),  Fecalitos Parásitos  (10%) Cuerpos extraños Enfermedad de Crohn Cáncer primario o metastásico  Síndrome carcinoide.  La hiperplasia linfoide es la más común en niños
 
 
APENDICITIS AGUDA EN NIÑOS 44% de los pacientes se presenta con  síntomas y signos atípicos Sintomas Adultos niños Abdominal pain ~100  100 Anorexia ~100  60 Nausea    90  50 Vomiting    75  80 Pain migration    50 Classic symptom sequence  (vague periumbilical pain to anorexia/nausea/unsustained vomiting to migration of pain to right lower quadrant to low-grade fever)    50  40
APENDICITIS AGUDA EN NIÑOS Los síntomas como anorexia, nauseas y vómitos ocurren con normalidad en la apendicitis aguda. Sin embargo, la presencia de estos síntomas no necesariamente incrementa o disminuye la probabilidad de diagnóstico de apendicitis
SIGNOS COMUNES DE APENDICITIS AGUDA SIGNO DE MC BURNEY FIEBRE MENOR DE 38 GRADOS SIGNOS PERITONEALES SENSIBILIDAD A LA PERCUSION  SIGNOS DE PSOAS (APENDICE RETROCECAL) SIGNO OBTURADOR (APENDICE PELVICA) SIGNO DE ROVSIN SIGNO DE DUNPHY  ( INCREMENTO DEL DOLOR AL TOSER)
 
APENDICITIS AGUDA EN NIÑOS EXAMENES DE LABORATORIO HEMOGRAMA PROTEINA C REACTIVA UROANALISIS
HEMOGRAMA Alta correlación entre leucocitosis y desviación izquierda con apendicitis aguda.  Wang y col. encontraron en un grupo de niños entre el año y los 19 años una sensibilidad de 79% con un valor predictivo negativo (VPN) de 90% PROTEINA C REACTIVA:  Cuando   se combina con el recuento de blancos y la desviación izquierda en el hemograma, llega a una sensibilidad de un 98%
Diagnóstico radiológico
Radiologia: diagóstico
coprolito FECALITO tiene un 100% de especificidad, pero se visualiza en menos de un 10% de los casos
Ecografia en apendicitis aguda Especificidad (90%), Sensibilidad variable (50-92%)  Importante la experiencia de Radiólogo Alteran tambien factores del paciente como:  Obesidad, gas intestinal, movimiento durante  el examen, irritanción peritoneal. Seminars in Pediatric Surgery (2007) 16, 34-40
 
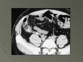
TAC   Sensibilida 95% Especificidad 95 %
 
 
APENDICITIS AGUDA EN NIÑOS CLASIFICACION ANATOMOPATOLOGICA APENDICE NORMAL APENDICE CATARRAL APENDICE SUPURADA APENDICE NECROSADA APENDICE PERFORADA PERITONITIS LOCALIZADA PERITONITIS GENERALIZADA PLASTRON APENDICULAR
 
 
 
 
 
PLASTRON  APENDICULAR APENDICE CECAL
PLASTRON APENDICULAR APENDICE
APENDICITIS AGUDA EN NIÑOS LA MORTALIDAD  POR APENDICITIS AGUDA EN NUESTRO HOSPITAL ES DE 0.05% Y ESTA REDUCCION ESTA EN RELACION AL USO DE ANTIBIOTICOS EFICACES, CUIDADOS PRE Y POSTOPERATORIO, LA MEJORA EN EL TRATAMIENTO QUIRURGICO Y ANESTESICO
APENDICECTOMÍA LAPAROSCOPICA The first laparoscopic appendectomy in a child was performed at Scottish Rite Children's Medical Center in 1988.
POSICION T1 10mm, ôptica  de 5 mm T2 5mm T3 5mm Cirujano Asistente 1 Asistente 2
APENDILAP : TROCARES 5mm.
Neumo abieto
ELECTROFULGURACIÓN  CON PINZA DE TRACCIÓN MONOPOLAR
FIJACION DE TROCARES
APENDILAP :TRATAMIENTO DEL MESO
APENDILAP :TRATAMIENTO DEL MESO
ELECTROFULGURACION EN APENDICE RETROCECAL
APENDILAP NUDOS INTRACORPOREO
NUDOS EXTRACORPOREOS
SALIDA DE LA  APENDICE
SALIDA  DE APENDICE BOLSA
APENDICECTOMÍA LAPAROSCOPICA   VENTAJAS Disminución de analgesia post operatoria. Estancia hospitalaria menor Infeccion de herida operatoria menor  Pronto retorna a la actividad  normal   Martin L, Puente I, Sosa J, et al: Open versus laparoscopic appendectomy: A prospective randomized comparison.  Ann Surg 22:256-262, 1995  Merhoff A, Merhoff G, Franklin M: Laparoscopic versus open appendectomy.  Am J Surg 179:375-378, 2000   Canty T, Collins D, Lasasso B, et al : Laparoscopic appendectomy for Simple and perforated appendicitis in children. The Procedure of choice?  J Pediatr Surg 35:1582-1585, 2000
APENDICECTOMÍA LAPAROSCOPICA DESVENTAJAS COSTO  COMPLICACIONES INTRAOPERATORIAS COMPLICACIONES POSTOPERATORIAS
 
 
APENDICITIS AGUDA: COMPLICACIONES
GRACIAS

Apendicitis aguda en niños

  • 1.
    APENDICITIS AGUDA ENNIÑOS DR LUIS EDGARDO ORMEÑO CALDERON MEDICO DEL SERVICIO DE CIRUGIA PEDIATRICA HOSPITAL NACIONAL EDGARDO REBAGLIATI MARTINS CLÍNICA GOOD HOPE MIRAFLORES LIMA PERÚ
  • 2.
    APENDICITIS AGUDA ENNIÑOS La apendicitis es la condición aguda más común del abdomen (1). Aproximadamente 7% de la población sufrirá de apendicitis durante su vida (2), con la incidencia máxima entre los 10 y 30 años (3). A pesar de los avances tecnológicos, el diagnóstico de Apendicitis se basa todavía en la historia del paciente y el examen físico
  • 3.
    APENDICITIS AGUDA ENNIÑOS La obstrucción del lumen apendice cecal estrecho inicia la apendicitis aguda. La obstrucción puede deberse a muchas causas, Hiperplasia Linfoide (relacionada con enfermedades virales incluyendo infección respiratoria superior, mononucleosis, gastroenteritis), Fecalitos Parásitos (10%) Cuerpos extraños Enfermedad de Crohn Cáncer primario o metastásico Síndrome carcinoide. La hiperplasia linfoide es la más común en niños
  • 4.
  • 5.
  • 6.
    APENDICITIS AGUDA ENNIÑOS 44% de los pacientes se presenta con síntomas y signos atípicos Sintomas Adultos niños Abdominal pain ~100 100 Anorexia ~100 60 Nausea    90 50 Vomiting    75 80 Pain migration    50 Classic symptom sequence (vague periumbilical pain to anorexia/nausea/unsustained vomiting to migration of pain to right lower quadrant to low-grade fever)    50 40
  • 7.
    APENDICITIS AGUDA ENNIÑOS Los síntomas como anorexia, nauseas y vómitos ocurren con normalidad en la apendicitis aguda. Sin embargo, la presencia de estos síntomas no necesariamente incrementa o disminuye la probabilidad de diagnóstico de apendicitis
  • 8.
    SIGNOS COMUNES DEAPENDICITIS AGUDA SIGNO DE MC BURNEY FIEBRE MENOR DE 38 GRADOS SIGNOS PERITONEALES SENSIBILIDAD A LA PERCUSION SIGNOS DE PSOAS (APENDICE RETROCECAL) SIGNO OBTURADOR (APENDICE PELVICA) SIGNO DE ROVSIN SIGNO DE DUNPHY ( INCREMENTO DEL DOLOR AL TOSER)
  • 9.
  • 10.
    APENDICITIS AGUDA ENNIÑOS EXAMENES DE LABORATORIO HEMOGRAMA PROTEINA C REACTIVA UROANALISIS
  • 11.
    HEMOGRAMA Alta correlaciónentre leucocitosis y desviación izquierda con apendicitis aguda. Wang y col. encontraron en un grupo de niños entre el año y los 19 años una sensibilidad de 79% con un valor predictivo negativo (VPN) de 90% PROTEINA C REACTIVA: Cuando se combina con el recuento de blancos y la desviación izquierda en el hemograma, llega a una sensibilidad de un 98%
  • 12.
  • 13.
  • 14.
    coprolito FECALITO tieneun 100% de especificidad, pero se visualiza en menos de un 10% de los casos
  • 15.
    Ecografia en apendicitisaguda Especificidad (90%), Sensibilidad variable (50-92%) Importante la experiencia de Radiólogo Alteran tambien factores del paciente como: Obesidad, gas intestinal, movimiento durante el examen, irritanción peritoneal. Seminars in Pediatric Surgery (2007) 16, 34-40
  • 16.
  • 17.
    TAC Sensibilida 95% Especificidad 95 %
  • 18.
  • 19.
  • 20.
    APENDICITIS AGUDA ENNIÑOS CLASIFICACION ANATOMOPATOLOGICA APENDICE NORMAL APENDICE CATARRAL APENDICE SUPURADA APENDICE NECROSADA APENDICE PERFORADA PERITONITIS LOCALIZADA PERITONITIS GENERALIZADA PLASTRON APENDICULAR
  • 21.
  • 22.
  • 23.
  • 24.
  • 25.
  • 26.
    PLASTRON APENDICULARAPENDICE CECAL
  • 27.
  • 28.
    APENDICITIS AGUDA ENNIÑOS LA MORTALIDAD POR APENDICITIS AGUDA EN NUESTRO HOSPITAL ES DE 0.05% Y ESTA REDUCCION ESTA EN RELACION AL USO DE ANTIBIOTICOS EFICACES, CUIDADOS PRE Y POSTOPERATORIO, LA MEJORA EN EL TRATAMIENTO QUIRURGICO Y ANESTESICO
  • 29.
    APENDICECTOMÍA LAPAROSCOPICA Thefirst laparoscopic appendectomy in a child was performed at Scottish Rite Children's Medical Center in 1988.
  • 30.
    POSICION T1 10mm,ôptica de 5 mm T2 5mm T3 5mm Cirujano Asistente 1 Asistente 2
  • 31.
  • 32.
  • 33.
    ELECTROFULGURACIÓN CONPINZA DE TRACCIÓN MONOPOLAR
  • 34.
  • 35.
  • 36.
  • 37.
  • 38.
  • 39.
  • 40.
    SALIDA DE LA APENDICE
  • 41.
    SALIDA DEAPENDICE BOLSA
  • 42.
    APENDICECTOMÍA LAPAROSCOPICA VENTAJAS Disminución de analgesia post operatoria. Estancia hospitalaria menor Infeccion de herida operatoria menor Pronto retorna a la actividad normal Martin L, Puente I, Sosa J, et al: Open versus laparoscopic appendectomy: A prospective randomized comparison. Ann Surg 22:256-262, 1995 Merhoff A, Merhoff G, Franklin M: Laparoscopic versus open appendectomy. Am J Surg 179:375-378, 2000 Canty T, Collins D, Lasasso B, et al : Laparoscopic appendectomy for Simple and perforated appendicitis in children. The Procedure of choice? J Pediatr Surg 35:1582-1585, 2000
  • 43.
    APENDICECTOMÍA LAPAROSCOPICA DESVENTAJASCOSTO COMPLICACIONES INTRAOPERATORIAS COMPLICACIONES POSTOPERATORIAS
  • 44.
  • 45.
  • 46.
  • 47.