QUISTE DE COLÉDOCO
Otras alternativas quirúrgicas
Dr Luis Ormeño Calderón
Jefe del Servicio de Cirugía General Pediatrica
Hospital Nacional Edgardo Rebagliati Martins
2015
QUISTE DE COLÉDOCO
• Los quistes de Coledoco son anomalías
congénitas de los conductos biliares.
• Consisten en dilataciones quisticas del árbol
biliar extrahepatico, de las vías biliares
intrahepáticas, ó de ambas.
QUISTE DE COLÉDOCO
• Casi siempre asociada a malunión
pancratobiliar (PBMU)
Epidemiología
• Los quistes de Colédoco
– Son relativamente raros en países occidentales.
– La frecuencia :
• 1 caso por 100.000-150.000 a
• 1 caso por 2 millones de nacimientos vivos.
• > fc: en mujeres/varones :3-4/1
Epidemiología
• Más frecuentes en Japón y China.
– Aprox. 33-50% de casos :Japón
• Diagnóstico más fc: niñez
– Aprox: 67% de pacientes en <10 años
Patogenia
• Disordered organogenesis (prenatal diagnosis by 15
wks) Una anormalidad primaria de la proliferación
epitelial durante el desarrollo ductal embriológico.
• Pancreaticobiliary reflux
• Distal obstruction
• Association with biliary atresia
• Carcinoma – dysplasia (K-ras mutation)
Etiología
•Teoría del canal
común
La inserción congénita
anormal del conducto
pancreático y del hepático
común proximal al
esfinter de Oddi permite
el paso retrógrado de
enzimas pancreáticas en
el árbol biliar,
conduciendo al
debilitamiento de la pared
y de la formación de
colédoco del quiste
CLASIFICACIÓN DEL QUISTE DE COLEDOCO
• La primera clasificación fue realizada en el año
1959 por Alonso-Lej et al. quien describió 3
tipos de quistes de colédoco
coledococele
Fig. 1
Journal of Pediatric Surgery 2002 37, 1568-1573DOI: (10.1053/jpsu.2002.36186)
Choledochal cysts: Age of presentation, symptoms, and late complications related to Todani's classificationJ.S. de Vries, S. de Vries, D.C.
Aronson, D.K. Bosman, E.A.J. Rauws, A. Bosma, H.A. Heij, D.J. Gouma, T.M. van Gulik Journal of Pediatric Surgery Volume 37, Issue 11,
Pages 1568-1573 (November 2002)
Todani y col en el año 1984
CLASIFICACIÓN DEL QUISTE DE COLEDOCO
Clasificación modificada deClasificación modificada de
TODANITODANI
5% 5%
Múltiples quistes
30-40%
Ic, Dilatación
difusa
Ia, Tipo común Ib, Dilatación
segmentaria
TIPO I,TIPO I,
•Dilatación quística simple del conducto biliar común.Dilatación quística simple del conducto biliar común.
•Representa 85 a 95 % de casos.Representa 85 a 95 % de casos.
•En esta forma, la vesícula se instala generalmente en el quisteEn esta forma, la vesícula se instala generalmente en el quiste
coledociano mismo, que es realmente un conducto biliar común muycoledociano mismo, que es realmente un conducto biliar común muy
dilatado.dilatado.
•Los conductos derecho e izquierdo de la bilis y los conductos dentro delLos conductos derecho e izquierdo de la bilis y los conductos dentro del
hígado son generalmente de tamaño normal en estos casos,hígado son generalmente de tamaño normal en estos casos,
Tipo II:
• Es el divertículo del colédoco- divertículo supra-duodenal extrahepático.
• Doble vesícula biliar con un elemento cécil ??
• Corresponde a dilataciones saculares y laterales, con cuello corto y
estrecho; se encuentra en 10% de los pacientes.
Tipo III:
• Corresponde al
coledococele – divertículo
intraduodenal.
• Dilatación quística de la
porción terminal entre la pared
duodenal , que
protruye en la luz duodenal.
• Se presenta en 5% de los
pacientes
Tipo IV:
• Cualquier combinación de múltiples dilataciones quísticas- Tipo I, II, III.
• Se presenta en aprox. 10%.
•Tipo IVA : Múltiples quistes fusiformes intra y extrahepáticos.
Resultado de la combinación del Tipo I-II
•Tipo IVB : Múltiples quistes extrahepáticos.
Tipo V:Tipo V:
• Dilataciones quísticas
intrahepáticas.
•Enfermedad de Caroli.
Komi’s classification
In type I, the common bile duct
joins the pancreatic duct at a
right angle.
In type II, the common bile
duct joins the pancreatic duct
at an acute angle. Both types
were subdivided into “a” and “b”
according to whether the
common channel was dilated or
not.
In type III, the common bile
duct and the pancreatic ducts
formed a complicated network.
Type III was subdivided
according to Warshow’s
classification of dominant
dorsal pancreatic duct.
CLASIFICACIÓN DEL QUISTE DE COLEDOCO
HISTOLOGÍA
• Los quistes se componen de una pared fibrosa; y de
tejido celular de tipo inflamatorio crónico.
• La mucosa biliar es acelular, y en raros casos escasas
islas de epitelio columnar y ductos biliares
microscópicos están presentes.
• La malignización es raro en los niños, pero muy
común en los adultos como carcinoma adeno-
escamoso, u ocasionalmente cáncer a células
pequeñas.
Choledochal Cysts
Caracteristicas Clínicas
• Infants (>50%)
– maternal ultrasound
– jaundice/mass
Age > 1 year / Adults
– Pain (75%)/intermittent jaundice (40-50%)/mass (33%)
– Pancreatitis
– Cholelithiasis/complications
– Cholangitis
– Cirrhosis, portal hypertension
– Rupture, hepatic abscess, biliary adenocarcinoma (2.5-15% incidence)
Diagnóstico
• Diagnóstico: Por ecografía
• Delineación de la anatomía
operatoria
–ERCP
–PTC Colangiografía transparietohepática
–TAC
–MRI/MRCP
Diagnóstico
ULTRASONIDO
• El ultrasonido es la técnica inicial de proyección de
imagen.
• El diagnóstico del quiste de colédoco se establece
mejor con el ultrasonido.
• El ultrasonido prenatal se puede utilizar para
detectar un quiste de colédoco en el feto.
Diagnóstico
• El árbol biliar se ve con una dilatación
fusiforme o sacular del tamaño variable que
implica el conducto hepático común o el
conducto biliar común, con o sin la dilatación
de las porciones intrahepáticas próximas de
los conductos de la bilis.
Diagnóstico
• Los conductos periféricos no se dilatan
generalmente.
• La vesícula está generalmente presente pero
puede estar duplicada o hipoplásica.
.
•Imagen del ultrasonido de quiste de colédoco:
Niña de 2½ años que demuestra un quiste de colédoco grande de (6.3 cm x
9.4cm ) en la sección longitudinal.
DIAGNÓSTICO
DIAGNÓSTICO
• METODOS INVASIVOS
1. ERCP
– En pacientes mayores la Colangio-pancreatografía retrógrada
endoscópica (ERCP) es factible.
– Ayuda a definir las características anatómicas del quiste.
– Las conexiones ductales comunes entre el conducto pancreático y el
árbol biliar.
– La transición precipitada hacia los conductos no dilatados.
– La presencia de las restricciones intraductal y de cálculos.
DIAGNÓSTICO
ERCP
– El contraste se ha inyectado
en el orificio hepático y
pancreático común.
– Se observa un quiste de
colédoco, grande con
dilatación de conductos
intrahepáticos.
– El contraste también ha
llenado el conducto
pancreático (flecha).
DIAGNÓSTICO
2. El PTC Colangiografía transparietohepática
– Describen la anatomía intrahepática de los
conductos mejor que la ERCP.
DIAGNÓSTICO
• Todos, sin embargo, son exámenes invasores
con riesgos de:
– ERCP : Colangitis y Pancreatitis
– PTC : Sangrado y escape de la bilis.
• No invasivas: Ecografía y RMN
MANEJO Y TRATAMIENTO
– MRCP ( Resonancia Colangio-pancreática)
• Aunque es altamente exacto
• Puede no visualizar claramente PBMU si el paciente es
un niño o joven,
– Colangiografía intra-operatoria.
• Si la ERCP está contraindicada cuando existe presencia
de pancreatitis
QUISTE DE COLEDOCO
• ¿Por que debemos operar el
quiste de colédoco?
Complicaciones
• Las complicaciones del quiste de colédoco incluyen:
– Colangitis ascendente.
– Sangrado.
– Cirrosis.
– Formación de cálculos.
– Hipertensión portal.
– Carcinoma de vías biliares.
• La incidencia de aumenta hasta 40% en adultos, si los
remanentes del quiste se dejan in situ.
MANEJO Y TRATAMIENTO
Choledochal cysts: Age of presentation, symptoms, and late complications related to Todani's classification. Journal of pediatric
surgery.November 2002 • Volume 37 • Number 11
MANEJO Y TRATAMIENTO
• Antes de la escisión del quiste se debe obtener
información sobre :
– Estenosis o dilatación ductal
– Presencia de cálculos
– Anomalías hepáticas intrapancreáticas
• PMBU, ( mal unión pancreatico- biliar)
Tratamiento
Tipo I
• Escisión del quiste
• Hepaticojejunostomía en Y
de Roux
• Colecistectomía
Tipo IITipo II
 Escisión del quisteEscisión del quiste
TIPO III
– <=3cm Esfinterotomía
Endoscópica
– >3cm Esfinterotomía
Transduodenal
• TIPO IV
• IVa: Resection hepatic + hepaticojejunostomía
• IVb : Como en el TIPO I + Esfinteroplastía
TIPO V
Enfermedad de CAROLI
– Resección Hepática
– Hepaticojejunostomía en
Yde Roux
– +/- Transplante hepático
TRATAMIENTO QUIRÚRGICO
¿EMERGENCIA ?
TRATAMIENTO QUIRÚRGICO
• Los pasos importantes en la cirugía del quiste de
colédoco son:
1. Colangiografía intraoperatoria
• Si los estudios pre-operatorios no pueden mostrar la zona
hepato- biliar-pancreática completamente.
2. Endoscopia intra-operatoria, si está indicado.
• La escisión del quiste y la Y de Roux hepatico-
jejunostomía (RYHJ) es el tratamiento de elección
para el quiste de colédoco en niños.
TRATAMIENTO QUIRÚRGICO
Cuanto debe medir este brazo?
TRATAMIENTO QUIRÚRGICO
• Se realiza una incisión subcostal derecha.
• Antes de la disección del quiste,
– Se apertura la pared anterior del quiste transversalmente

El quiste de colédoco se puede liberar de tejidos circundantes: laEl quiste de colédoco se puede liberar de tejidos circundantes: la
vena porta y la arteria hepática.vena porta y la arteria hepática.
• Si las adherencias son muy densas.
– Se debe realizar la Mucosectomía del quiste.
Algunas Controversias en Cirugía
Biliar
¿Por que buscar otras alternativas?
Algunas Controversias en Cirugía
Biliar
• Es la interposición del apéndice adecuado
para cirugía biliar de rutina en niños?*
Algunas Controversias en Cirugía
Biliar
• Es la interposición de
yeyuno en la
dirivación
hepatoduodenal
adecuado en el Quiste
de Coledoco?
Algunas Controversias en Cirugía
Biliar
• Es la Hepatoduodeno anastomosis como un
método de reconstrucción alternativa
adecuada después de la extirpación del Quiste
de Colédoco.?*
• HD as a method of reconstruction after
excision of a choledochal cyst is a suitable
alternative to HJ.
1. Hepaticoduodenostomy versus hepaticojejunostomy after resection of choledochal cyst: A systematic
review and meta-analysis. Sarath Kumar Narayanan a, , Yong Chen b, Kannan Laksmi Narasimhan b,⁎ Ralph
Clinton Cohen. Journal of Pediatric Surgery, Vol. 48, Issue 11, p2336–2342
2. Hepaticoduodenostomy vs hepaticojejunostomy for reconstruction after resection of choledochal cyst
Matthew T. Santore, Brittany J. Behar, Thane A. Blinman, Edward J. Doolin, Holly L. Hedrick, Peter Mattei,
Michael L. Nance, N. Scott Adzick, and others. Journal of Pediatric Surgery, Vol. 46, Issue 1, p209–213.
3. Laparoscopic repair for choledochal cyst: lessons learned from 190 cases .Liem Nguyen Thanh, Pham D.
Hien, Le A. Dung, Tran N. Son .Journal of Pediatric Surgery . Volume 45, Issue 3, Pages 540-544 (March
2010).DOI: 10.1016/j.jpedsurg.2009.08.013
Algunas Controversias en Cirugía
Biliar
• Es la Derivación Biliodigestiva vía
laparoscópica un método de reconstrucción
alternativa adecuada después de la
extirpación del Quiste de Colédoco.?*
Quiste de Colédoco
Quiste de Colédoco
FIJACIÓN Y VISUALIZACIÓN
Quiste de Colédoco
EXPOSICIÓN DEL QUISTE DISECCIÓN ANTEROPOSTERIOR
Quiste de Colédoco
DISECCIÓN DEL TRIANGULO
DE CALOT
Quiste de Colédoco
QUISTECTOMÍA DISTAL QUISTECTOMIA PROXIMAL
Quiste de Colédoco
ANASTOMOSIS
HEPATODUODENAL COLECISTECTOMÍA
Complicaciones: Post
hepaticoentero anastomosis
A: Precoces:
•- Colangítis
•-Dehiscencia de suturas. Fuga biliar
•- Sangrados de cualquier tipo
•- Infección de la herida quirúrgica.
•-Otras infecciones: peritonitis, sepsis generalizada.
•- Calculos intraductales , pancreatitis,
•B: Tardías: COLANGIOCARCINOMA
•- Hernias incisionales, Obstrucción Intestinal.
•- Colangítis.
•- Cirrosis hepática
•- Hipertensión portal
BENFEFICIOS
•Excelente estética,
•Menos analgesia y la asistencia respiratoria.
•Reducción de la incidencia de la morbilidad
postoperatoria, tales como
adherencias intestinales y hernias incisionales.
Laparascopía en patología biliar
Resumen
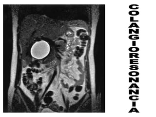
• El Diagnóstico es mejor con Ecografía ,
Colangioresonancia y/o Colangiografía
intraoperatoria
• La quistectomía debe ser completa
• La Hepatoduodeno anastomosis es una
alternativa, requiere mayor evaluación.
• La vía laparoscópica es una alternativa ,
requiere experiencia y una curva de
aprendizaje adecuado.
QUISTE DE COLEDOCO ALTERNATIVAS QUIRURGICAS

QUISTE DE COLEDOCO ALTERNATIVAS QUIRURGICAS

  • 1.
    QUISTE DE COLÉDOCO Otrasalternativas quirúrgicas Dr Luis Ormeño Calderón Jefe del Servicio de Cirugía General Pediatrica Hospital Nacional Edgardo Rebagliati Martins 2015
  • 2.
    QUISTE DE COLÉDOCO •Los quistes de Coledoco son anomalías congénitas de los conductos biliares. • Consisten en dilataciones quisticas del árbol biliar extrahepatico, de las vías biliares intrahepáticas, ó de ambas.
  • 3.
    QUISTE DE COLÉDOCO •Casi siempre asociada a malunión pancratobiliar (PBMU)
  • 4.
    Epidemiología • Los quistesde Colédoco – Son relativamente raros en países occidentales. – La frecuencia : • 1 caso por 100.000-150.000 a • 1 caso por 2 millones de nacimientos vivos. • > fc: en mujeres/varones :3-4/1
  • 5.
    Epidemiología • Más frecuentesen Japón y China. – Aprox. 33-50% de casos :Japón • Diagnóstico más fc: niñez – Aprox: 67% de pacientes en <10 años
  • 6.
    Patogenia • Disordered organogenesis(prenatal diagnosis by 15 wks) Una anormalidad primaria de la proliferación epitelial durante el desarrollo ductal embriológico. • Pancreaticobiliary reflux • Distal obstruction • Association with biliary atresia • Carcinoma – dysplasia (K-ras mutation)
  • 7.
    Etiología •Teoría del canal común Lainserción congénita anormal del conducto pancreático y del hepático común proximal al esfinter de Oddi permite el paso retrógrado de enzimas pancreáticas en el árbol biliar, conduciendo al debilitamiento de la pared y de la formación de colédoco del quiste
  • 8.
    CLASIFICACIÓN DEL QUISTEDE COLEDOCO • La primera clasificación fue realizada en el año 1959 por Alonso-Lej et al. quien describió 3 tipos de quistes de colédoco coledococele
  • 9.
    Fig. 1 Journal ofPediatric Surgery 2002 37, 1568-1573DOI: (10.1053/jpsu.2002.36186) Choledochal cysts: Age of presentation, symptoms, and late complications related to Todani's classificationJ.S. de Vries, S. de Vries, D.C. Aronson, D.K. Bosman, E.A.J. Rauws, A. Bosma, H.A. Heij, D.J. Gouma, T.M. van Gulik Journal of Pediatric Surgery Volume 37, Issue 11, Pages 1568-1573 (November 2002) Todani y col en el año 1984 CLASIFICACIÓN DEL QUISTE DE COLEDOCO
  • 10.
    Clasificación modificada deClasificaciónmodificada de TODANITODANI 5% 5% Múltiples quistes 30-40%
  • 11.
    Ic, Dilatación difusa Ia, Tipocomún Ib, Dilatación segmentaria TIPO I,TIPO I, •Dilatación quística simple del conducto biliar común.Dilatación quística simple del conducto biliar común. •Representa 85 a 95 % de casos.Representa 85 a 95 % de casos. •En esta forma, la vesícula se instala generalmente en el quisteEn esta forma, la vesícula se instala generalmente en el quiste coledociano mismo, que es realmente un conducto biliar común muycoledociano mismo, que es realmente un conducto biliar común muy dilatado.dilatado. •Los conductos derecho e izquierdo de la bilis y los conductos dentro delLos conductos derecho e izquierdo de la bilis y los conductos dentro del hígado son generalmente de tamaño normal en estos casos,hígado son generalmente de tamaño normal en estos casos,
  • 12.
    Tipo II: • Esel divertículo del colédoco- divertículo supra-duodenal extrahepático. • Doble vesícula biliar con un elemento cécil ?? • Corresponde a dilataciones saculares y laterales, con cuello corto y estrecho; se encuentra en 10% de los pacientes.
  • 13.
    Tipo III: • Correspondeal coledococele – divertículo intraduodenal. • Dilatación quística de la porción terminal entre la pared duodenal , que protruye en la luz duodenal. • Se presenta en 5% de los pacientes
  • 14.
    Tipo IV: • Cualquiercombinación de múltiples dilataciones quísticas- Tipo I, II, III. • Se presenta en aprox. 10%. •Tipo IVA : Múltiples quistes fusiformes intra y extrahepáticos. Resultado de la combinación del Tipo I-II •Tipo IVB : Múltiples quistes extrahepáticos.
  • 15.
    Tipo V:Tipo V: •Dilataciones quísticas intrahepáticas. •Enfermedad de Caroli.
  • 16.
    Komi’s classification In typeI, the common bile duct joins the pancreatic duct at a right angle. In type II, the common bile duct joins the pancreatic duct at an acute angle. Both types were subdivided into “a” and “b” according to whether the common channel was dilated or not. In type III, the common bile duct and the pancreatic ducts formed a complicated network. Type III was subdivided according to Warshow’s classification of dominant dorsal pancreatic duct.
  • 17.
  • 18.
    HISTOLOGÍA • Los quistesse componen de una pared fibrosa; y de tejido celular de tipo inflamatorio crónico. • La mucosa biliar es acelular, y en raros casos escasas islas de epitelio columnar y ductos biliares microscópicos están presentes. • La malignización es raro en los niños, pero muy común en los adultos como carcinoma adeno- escamoso, u ocasionalmente cáncer a células pequeñas.
  • 19.
    Choledochal Cysts Caracteristicas Clínicas •Infants (>50%) – maternal ultrasound – jaundice/mass Age > 1 year / Adults – Pain (75%)/intermittent jaundice (40-50%)/mass (33%) – Pancreatitis – Cholelithiasis/complications – Cholangitis – Cirrhosis, portal hypertension – Rupture, hepatic abscess, biliary adenocarcinoma (2.5-15% incidence)
  • 20.
    Diagnóstico • Diagnóstico: Porecografía • Delineación de la anatomía operatoria –ERCP –PTC Colangiografía transparietohepática –TAC –MRI/MRCP
  • 21.
    Diagnóstico ULTRASONIDO • El ultrasonidoes la técnica inicial de proyección de imagen. • El diagnóstico del quiste de colédoco se establece mejor con el ultrasonido. • El ultrasonido prenatal se puede utilizar para detectar un quiste de colédoco en el feto.
  • 22.
    Diagnóstico • El árbolbiliar se ve con una dilatación fusiforme o sacular del tamaño variable que implica el conducto hepático común o el conducto biliar común, con o sin la dilatación de las porciones intrahepáticas próximas de los conductos de la bilis.
  • 23.
    Diagnóstico • Los conductosperiféricos no se dilatan generalmente. • La vesícula está generalmente presente pero puede estar duplicada o hipoplásica. .
  • 24.
    •Imagen del ultrasonidode quiste de colédoco: Niña de 2½ años que demuestra un quiste de colédoco grande de (6.3 cm x 9.4cm ) en la sección longitudinal.
  • 27.
  • 28.
    DIAGNÓSTICO • METODOS INVASIVOS 1.ERCP – En pacientes mayores la Colangio-pancreatografía retrógrada endoscópica (ERCP) es factible. – Ayuda a definir las características anatómicas del quiste. – Las conexiones ductales comunes entre el conducto pancreático y el árbol biliar. – La transición precipitada hacia los conductos no dilatados. – La presencia de las restricciones intraductal y de cálculos.
  • 29.
    DIAGNÓSTICO ERCP – El contrastese ha inyectado en el orificio hepático y pancreático común. – Se observa un quiste de colédoco, grande con dilatación de conductos intrahepáticos. – El contraste también ha llenado el conducto pancreático (flecha).
  • 30.
    DIAGNÓSTICO 2. El PTCColangiografía transparietohepática – Describen la anatomía intrahepática de los conductos mejor que la ERCP.
  • 31.
    DIAGNÓSTICO • Todos, sinembargo, son exámenes invasores con riesgos de: – ERCP : Colangitis y Pancreatitis – PTC : Sangrado y escape de la bilis. • No invasivas: Ecografía y RMN
  • 32.
    MANEJO Y TRATAMIENTO –MRCP ( Resonancia Colangio-pancreática) • Aunque es altamente exacto • Puede no visualizar claramente PBMU si el paciente es un niño o joven, – Colangiografía intra-operatoria. • Si la ERCP está contraindicada cuando existe presencia de pancreatitis
  • 33.
  • 34.
    • ¿Por quedebemos operar el quiste de colédoco?
  • 35.
    Complicaciones • Las complicacionesdel quiste de colédoco incluyen: – Colangitis ascendente. – Sangrado. – Cirrosis. – Formación de cálculos. – Hipertensión portal. – Carcinoma de vías biliares. • La incidencia de aumenta hasta 40% en adultos, si los remanentes del quiste se dejan in situ.
  • 36.
    MANEJO Y TRATAMIENTO Choledochalcysts: Age of presentation, symptoms, and late complications related to Todani's classification. Journal of pediatric surgery.November 2002 • Volume 37 • Number 11
  • 37.
    MANEJO Y TRATAMIENTO •Antes de la escisión del quiste se debe obtener información sobre : – Estenosis o dilatación ductal – Presencia de cálculos – Anomalías hepáticas intrapancreáticas • PMBU, ( mal unión pancreatico- biliar)
  • 38.
    Tratamiento Tipo I • Escisióndel quiste • Hepaticojejunostomía en Y de Roux • Colecistectomía Tipo IITipo II  Escisión del quisteEscisión del quiste
  • 39.
    TIPO III – <=3cmEsfinterotomía Endoscópica – >3cm Esfinterotomía Transduodenal
  • 40.
    • TIPO IV •IVa: Resection hepatic + hepaticojejunostomía • IVb : Como en el TIPO I + Esfinteroplastía
  • 41.
    TIPO V Enfermedad deCAROLI – Resección Hepática – Hepaticojejunostomía en Yde Roux – +/- Transplante hepático
  • 42.
  • 43.
    TRATAMIENTO QUIRÚRGICO • Lospasos importantes en la cirugía del quiste de colédoco son: 1. Colangiografía intraoperatoria • Si los estudios pre-operatorios no pueden mostrar la zona hepato- biliar-pancreática completamente. 2. Endoscopia intra-operatoria, si está indicado.
  • 44.
    • La escisióndel quiste y la Y de Roux hepatico- jejunostomía (RYHJ) es el tratamiento de elección para el quiste de colédoco en niños.
  • 45.
  • 46.
    TRATAMIENTO QUIRÚRGICO • Serealiza una incisión subcostal derecha. • Antes de la disección del quiste, – Se apertura la pared anterior del quiste transversalmente
  • 47.
     El quiste decolédoco se puede liberar de tejidos circundantes: laEl quiste de colédoco se puede liberar de tejidos circundantes: la vena porta y la arteria hepática.vena porta y la arteria hepática.
  • 48.
    • Si lasadherencias son muy densas. – Se debe realizar la Mucosectomía del quiste.
  • 50.
    Algunas Controversias enCirugía Biliar ¿Por que buscar otras alternativas?
  • 51.
    Algunas Controversias enCirugía Biliar • Es la interposición del apéndice adecuado para cirugía biliar de rutina en niños?*
  • 53.
    Algunas Controversias enCirugía Biliar • Es la interposición de yeyuno en la dirivación hepatoduodenal adecuado en el Quiste de Coledoco?
  • 54.
    Algunas Controversias enCirugía Biliar • Es la Hepatoduodeno anastomosis como un método de reconstrucción alternativa adecuada después de la extirpación del Quiste de Colédoco.?*
  • 57.
    • HD asa method of reconstruction after excision of a choledochal cyst is a suitable alternative to HJ. 1. Hepaticoduodenostomy versus hepaticojejunostomy after resection of choledochal cyst: A systematic review and meta-analysis. Sarath Kumar Narayanan a, , Yong Chen b, Kannan Laksmi Narasimhan b,⁎ Ralph Clinton Cohen. Journal of Pediatric Surgery, Vol. 48, Issue 11, p2336–2342 2. Hepaticoduodenostomy vs hepaticojejunostomy for reconstruction after resection of choledochal cyst Matthew T. Santore, Brittany J. Behar, Thane A. Blinman, Edward J. Doolin, Holly L. Hedrick, Peter Mattei, Michael L. Nance, N. Scott Adzick, and others. Journal of Pediatric Surgery, Vol. 46, Issue 1, p209–213. 3. Laparoscopic repair for choledochal cyst: lessons learned from 190 cases .Liem Nguyen Thanh, Pham D. Hien, Le A. Dung, Tran N. Son .Journal of Pediatric Surgery . Volume 45, Issue 3, Pages 540-544 (March 2010).DOI: 10.1016/j.jpedsurg.2009.08.013
  • 59.
    Algunas Controversias enCirugía Biliar • Es la Derivación Biliodigestiva vía laparoscópica un método de reconstrucción alternativa adecuada después de la extirpación del Quiste de Colédoco.?*
  • 62.
  • 63.
  • 64.
    Quiste de Colédoco EXPOSICIÓNDEL QUISTE DISECCIÓN ANTEROPOSTERIOR
  • 65.
    Quiste de Colédoco DISECCIÓNDEL TRIANGULO DE CALOT
  • 66.
    Quiste de Colédoco QUISTECTOMÍADISTAL QUISTECTOMIA PROXIMAL
  • 67.
  • 68.
    Complicaciones: Post hepaticoentero anastomosis A:Precoces: •- Colangítis •-Dehiscencia de suturas. Fuga biliar •- Sangrados de cualquier tipo •- Infección de la herida quirúrgica. •-Otras infecciones: peritonitis, sepsis generalizada. •- Calculos intraductales , pancreatitis, •B: Tardías: COLANGIOCARCINOMA •- Hernias incisionales, Obstrucción Intestinal. •- Colangítis. •- Cirrosis hepática •- Hipertensión portal
  • 69.
    BENFEFICIOS •Excelente estética, •Menos analgesiay la asistencia respiratoria. •Reducción de la incidencia de la morbilidad postoperatoria, tales como adherencias intestinales y hernias incisionales. Laparascopía en patología biliar
  • 70.
    Resumen • El Diagnósticoes mejor con Ecografía , Colangioresonancia y/o Colangiografía intraoperatoria • La quistectomía debe ser completa • La Hepatoduodeno anastomosis es una alternativa, requiere mayor evaluación. • La vía laparoscópica es una alternativa , requiere experiencia y una curva de aprendizaje adecuado.

Notas del editor

  • #8 Trastorno en la organogénisis
  • #11 Classification of choledochal cysts according to Todani, with relative incidences.1,2 I, Type I: Dilatation of hepatic and common bile duct (40% to 85%); II, Type II: Diverticulum of the common bile duct (2% to 3%); III, Type III: Intraduodenal common bile duct dilatation (1.4% to 5.6%); IVa, Type IVa: Intra- and extrahepatic bile duct dilatation (18% to 20%); V, Type V: Intrathepatic bile duct dilatation (rare).
  • #19 Los quistes de colédoco intrahepáticos pertenecen a desordenes fibropoliquísticos. Estas dilataciones, asociadas o no a fibrosis periportal, hacen pensar que son malformaciones de la placa ductal. La etiología congénita se confirma al observar dilataciones quísticas en ecografías prenatales. La etiología de los quistes extrahepáticos se asocia a anormalidades en el conducto biliopancreático en el 92% de los pacientes, siendo un conducto común y anormalmente largo (&amp;gt; 2 cm ), que además puede causar otras patologías como estenosis de la papila de Vater o pancreatitis (2). Se piensa que el aumento del reflujo de jugo pancreático dentro del árbol biliar, lleva a la exposición de la pared del conducto común a las enzimas pancreáticas y a un aumento de presión en el colédoco que resulta en la formación de quistes.
  • #42 En el caso del tipo III, dado que se trata de un quiste que se presenta en forma intraduodenal y debido a la baja incidencia de colangiocarcinoma asociada, se plantea de elección la esfinterotomía por vía endoscópica
  • #61 Hepaticoduodenostomy is preferred by some surgeons because direct bile drainage into the duodenum avoids the risk of duodenal ulcer and fat malabsorption that may occur with hepatocojejunostomy
  • #62 Laparoscopic surgery for hepatobiliary disorders requires mastery of complex skills and exhaustive knowledge of anatomic variations to perform conventional open procedures effectively, with the benefits attributed to minimally invasive surgery (MIS), namely, excellent cosmesis, less requirement for analgesia and respiratory support, and a reduced incidence of postoperative morbidity, such as bowel adhesions and incisional hernias.