APOFISITIS POR TRACCIÓN
ORTOPEDIA PEDIATRICA – DR.AGUILERA
Clarissa Mitsu Aoyama Mendo – 7CM70
INSTITUTO POLITECNICO NACIONAL
ESCUELA SUPERIOR DE MEDICINA
Hospital de Traumatología “Dr. Victorio de la Fuente”
DEFINICION
Es la inflamación del centro apofisario de
osificación secundario en el punto de inserción de la
unidad músculotendinosa como consecuencia de una
tensión excesiva y por aplicación repetitiva de
fuerzas durante periodos prolongados que provocan
irritación crónica o microfracturas de dicha apófisis en
la unión osteocartilaginosa; esto perturba la
osificación endocondral fisiológica, con secuelas
como irregularidades o fragmentaciones a nivel de los
núcleos óseos epifisarios.
APOFISITIS Y LESIONES FISIARIAS
Articulaciones
sometidas a cargas
cíclicas y/o violentas
de forma cotidiana
Efectos lesivos sobre
las placas de
crecimiento y centros
de osificación
secundarios
Lesiones subagudas
(Insidiosas, crónicas)
↑ deporte competitivo
en los niños y
adolescentes/ ↑ en la
incidencia de lesiones
Condiciones
estructurales y
funcionales particulares:
• Presencia cartílago de
crecimiento
• Epífisis y apófisis
cartilaginosas
• Unión tendón hueso
con interfase
cartilaginosa
• ↑ elasticidad de
ligamentos y tendones
• Masa muscular variable
en elasticidad y fuerza
según la edad
• Proporciones
corporales variables.
Según el mecanismo de lesión y el lugar de
localización:
Fuerzas compresivas sobre cartílago articular  osteonecrosis y
osteocondritis.
Lesiones por distracción de los centros secundarios de osificación
 apofisitis por tracción
Lesiones angulares sobre placas epifisiarias  Fracturas y avulsiones
APOFISITIS
Más frecuente es que se
presenten en la extremidad
inferior, alrededor de la rodilla y
del pie.
A nivel de la rodilla se presentan
la Enfermedad de Osgood
Schlatter y la Enfermedad de
Sindig Larsen Johansson
A nivel del pié hay que considerar
la Enfermedad de Sever y la
osteocondritis de la base del 5°
metatarsiano, conocida como
Enfermedad de Iselin.
APOFISITIS EN PELVIS
Diferentes apófisis en las
cuales puede producirse una
lesión
Cresta iliaca
Espina iliaca anterosuperior
Espina iliaca anteroinferior
Trocánter menor
Tuberosidad isquiática.
Mecanismo de lesión:
contracción brusca de la
musculatura que se inserta en
esta apófisis
Espina iliaca Ant-Inf (De
Cuveland-Heuck) por recto
anterior femoral.
Espina iliaca anterosuperior
(Dupas) por acción de los
músculos sartorio y tensor de
la fascia lata.
Isquion (Kremser) por
tensión excesiva en los
músculos isquiotibiales
APOFISITIS ISQUIATICA
Jóvenes deportistas 15-17a
Tracción ejercida por los
músculos isquio-tibiales a
nivel de la apófisis
isquiática.
Fractura no desplazada de
isquion. Se produce al
patear o en el momento
de desaceleración de la
masa corporal.
El diagnóstico radiográfico
mineralización irregular,
contexto clínico, donde los
antecedentes y síntomas
serán determinantes
Tto se centra en el reposo
deportivo y la eliminación
de los factores de tensión.
Énfasis en una adecuada
rehabilitación de estas
lesiones para prevenir
secuelas como son las
avulsiones
APOFISITIS ISQUIÁTICA
• Los Rx no suele mostrar cambios inicialmente.
• Se puede apreciar una asimetría a nivel de las
tuberosidades isquiáticas, ensanchamiento de la apófisis
afectada, esclerosis progresiva en torno a la misma.
• Antecedente de realización de ejercicios de forma
progresiva.
• Dolor a la palpación de la tuberosidad isquiática y el
estiramiento pasivo de los músculos provocan
reacciones dolorosas.
ENFERMEDAD DE OSGOOD SCHLATTER
Tracción repetitiva del
tubérculo tibia por el
cuadriceps, vía tendón
rotuliano
11 y 14 años de edad en los
hombres
Dolor a nivel de la
inserción distal del tendón
rotuliano, y edema. Uni-
bilateral
Rx fragmentación del
núcleo de osificación,
edema de tejidos blandos ,
engrosamiento del tendón
rotuliano y borramiento de
la grasa infrarotuliana
Evolución: recuperación
completa (tiempo variable)
Secuela: calcificación en el
extremo distal del tendón
rotuliano
Tto. ↓ carga deportiva,
suficiente tiempo de
descanso. Uso de soportes
del tendón rotuliano y
adecuada preparación física
predeportiva
ENFERMEDAD DE SINDING LARSEN
JOHANSSON
Afecta el polo inferior de
la rótula
10 a 12 años de edad
Dolor localizado y sobre
proximal del tendón
rotuliano con signos
inflamatorios, incapacidad
funcional de la rodilla,
Rx fragmentación ósea
del polo distal de la rótula
USG alteración de la
inserción proximal del
tendón rotuliano
Pronóstico: Bueno.Tendencia a
la resolución espontánea sin
secuelas en 18-24 meses
Tto. Conservador.
Antiinflamatorios. Medidas de
disminución de la carga
deportiva Uso de soportes
rotulianos
Dx diferencial: fractura en
manguito en el polo inferior de
la rótula, fractura de estrés de
la rótula, la rótula bipartita tipo
i, la tendinitis rotuliana y la
rodilla del saltador
Asociada a saltos
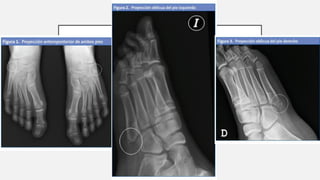
ENFERMEDAD DE SEVER
Causa frecuente de dolor en
el talón en niños y
adolescentes
Alteración en la apófisis del
calcáneo secundaria a un
proceso inflamatorio derivado
de la tracción repetitiva del
tendón de Aquiles sobre la
tuberosidad mayor
7-13 años aprox, media de 11
años. Mayor en sexo
masculino y bilateral
Deportes: fútbol, baloncesto y
gimnasia
Dolor en ambos lados del
talón que se incrementa con la
actividad física y calma con el
reposo
Rx fragmentación y esclerosis
del mismo en el núcleo de
osificación del calcáneo
Tto. Conservador.
Restricción de la act.
deportiva.
Antiinflamatorios y
plantillas
Pronóstico: excelente.
Reincorporación
progresiva
Buen pronóstico, con
fusión del núcleo sin
secuelas posteriores
(alrededor de los 16
años)
ENFERMEDAD DE ISELIN
Osteocondritis de la
base del 5°
metatarsiano
Tracción excesiva del
tendón del músculo
peroneo lateral corto
Se asocia a inversión
del antepié en atletas
Dolor y edema.
Rx núcleo accesorio
de osificación
(confundirse con
fractura)
Tto. hielo local y
antiinflamatorios. Uso
de órtesis pronadora
del mediopié
BIBLIOGRAFIA
• LEVY, Eduardo J.; GARABANO, Germán; ROBADOR, Nicolás y SEL, Hernán del. Fracturas de la tuberosidad anterior de la tibia en adolescentes con
esqueleto inmaduro. Rev.Asoc.Argent. Ortop.Traumatol. [online]. 2012, vol.77, n.1, pp. 39-44. ISSN 1852-7434
• CARABANO AGUADO, I. y LLORENTE OTONES, L.. Enfermedad de Osgood-Schlatter: deporte, adolescencia y dolor. Rev Pediatr Aten Primaria [online].
2011, vol.13, n.49, pp. 93-97. ISSN 1139-7632.
• La enfermedad de Osgood-Schaltter ©2010 The StayWell Company. www.krames.com 800-333-3032 Todos los derechos reservados.
http://www.veteranshealthlibrary.org/spanish/flipbooks/orthopaedics/2211163es_VA.pdf
• MARTI FERNANDEZ, J. y ESPINOSA FARRONA, C.. Enfermedad de Iselin: un caso en un joven deportista. Rev Pediatr Aten Primaria [online]. 2013, vol.15,
n.57, pp. 69-72. ISSN 1139-7632.
• 23• Jornadas 70-71, 2009 Revisión de lesiones osteocartilaginosas en niños y adolescentes DR. P.VALE~ÓN AL~AZÁ ; DRA. B. DÍAZ-CASANOVA FALCÓN; DR. R.
NAVARRO GARCÍA; DR. J.A. RUÍZ CABALLERO; DR. J. F. JIMENEZ DIAZ; DRA. E. BRITO OJEDA
• GUZMAN, Hernán. Lesiones deportivas en niños y adolescentes REV. MED. CLIN. CONDES - 2012; 23(3) 267-273
• I. Etxebarría Foronda, E. Esnal Baza, J. Sáenz de Ugarte Sobrón,A. Ruiz Sánchez, J.M.Alfonso Lerg, J. Montiano Jorg Enfermedad de Sever. BOL. SVASCO-NAV
PEDIATR 2005; 38: 39-40
• S. López-Alameda; A.Alonso-Benavente,;A. López-Ruiz de Salazar, P. Miragaya-López,;J.A.Alonso-del Olmo y P. González-Herranz. Enfermedad de Sinding-
Larsen-Johansson: análisis de factores asociados Rev Esp Cir Ortop Traumatol. 2012;56(5):354---360
• M. Monge Zamorano1 , M.E. Méndez Abad2 , J.M. MaldonadoTiestos1 ,A. Hernández Hernández1 , E.Viota Puerta1 , C. Quintana Herrera1 . Enfermedad de
Sinding Larsen-Johansson o Apofisitis distal de rótula. Can Pediatr 2010; 34 (2) : 77-78
• P. González Herranz.Apofisitis. BOL PEDIATR 2003; 43: 147-153
• Axotla-Bahena A y cols. Lesiones en el jugador infantil-juvenil de futbol americano Rev Hosp Jua Mex 2012; 79(1): 16-24

Apofisitis por tracción

  • 1.
    APOFISITIS POR TRACCIÓN ORTOPEDIAPEDIATRICA – DR.AGUILERA Clarissa Mitsu Aoyama Mendo – 7CM70 INSTITUTO POLITECNICO NACIONAL ESCUELA SUPERIOR DE MEDICINA Hospital de Traumatología “Dr. Victorio de la Fuente”
  • 2.
    DEFINICION Es la inflamacióndel centro apofisario de osificación secundario en el punto de inserción de la unidad músculotendinosa como consecuencia de una tensión excesiva y por aplicación repetitiva de fuerzas durante periodos prolongados que provocan irritación crónica o microfracturas de dicha apófisis en la unión osteocartilaginosa; esto perturba la osificación endocondral fisiológica, con secuelas como irregularidades o fragmentaciones a nivel de los núcleos óseos epifisarios.
  • 3.
    APOFISITIS Y LESIONESFISIARIAS Articulaciones sometidas a cargas cíclicas y/o violentas de forma cotidiana Efectos lesivos sobre las placas de crecimiento y centros de osificación secundarios Lesiones subagudas (Insidiosas, crónicas) ↑ deporte competitivo en los niños y adolescentes/ ↑ en la incidencia de lesiones Condiciones estructurales y funcionales particulares: • Presencia cartílago de crecimiento • Epífisis y apófisis cartilaginosas • Unión tendón hueso con interfase cartilaginosa • ↑ elasticidad de ligamentos y tendones • Masa muscular variable en elasticidad y fuerza según la edad • Proporciones corporales variables.
  • 4.
    Según el mecanismode lesión y el lugar de localización: Fuerzas compresivas sobre cartílago articular  osteonecrosis y osteocondritis. Lesiones por distracción de los centros secundarios de osificación  apofisitis por tracción Lesiones angulares sobre placas epifisiarias  Fracturas y avulsiones
  • 6.
    APOFISITIS Más frecuente esque se presenten en la extremidad inferior, alrededor de la rodilla y del pie. A nivel de la rodilla se presentan la Enfermedad de Osgood Schlatter y la Enfermedad de Sindig Larsen Johansson A nivel del pié hay que considerar la Enfermedad de Sever y la osteocondritis de la base del 5° metatarsiano, conocida como Enfermedad de Iselin.
  • 7.
    APOFISITIS EN PELVIS Diferentesapófisis en las cuales puede producirse una lesión Cresta iliaca Espina iliaca anterosuperior Espina iliaca anteroinferior Trocánter menor Tuberosidad isquiática. Mecanismo de lesión: contracción brusca de la musculatura que se inserta en esta apófisis Espina iliaca Ant-Inf (De Cuveland-Heuck) por recto anterior femoral. Espina iliaca anterosuperior (Dupas) por acción de los músculos sartorio y tensor de la fascia lata. Isquion (Kremser) por tensión excesiva en los músculos isquiotibiales
  • 8.
    APOFISITIS ISQUIATICA Jóvenes deportistas15-17a Tracción ejercida por los músculos isquio-tibiales a nivel de la apófisis isquiática. Fractura no desplazada de isquion. Se produce al patear o en el momento de desaceleración de la masa corporal. El diagnóstico radiográfico mineralización irregular, contexto clínico, donde los antecedentes y síntomas serán determinantes Tto se centra en el reposo deportivo y la eliminación de los factores de tensión. Énfasis en una adecuada rehabilitación de estas lesiones para prevenir secuelas como son las avulsiones
  • 9.
    APOFISITIS ISQUIÁTICA • LosRx no suele mostrar cambios inicialmente. • Se puede apreciar una asimetría a nivel de las tuberosidades isquiáticas, ensanchamiento de la apófisis afectada, esclerosis progresiva en torno a la misma. • Antecedente de realización de ejercicios de forma progresiva. • Dolor a la palpación de la tuberosidad isquiática y el estiramiento pasivo de los músculos provocan reacciones dolorosas.
  • 10.
    ENFERMEDAD DE OSGOODSCHLATTER Tracción repetitiva del tubérculo tibia por el cuadriceps, vía tendón rotuliano 11 y 14 años de edad en los hombres Dolor a nivel de la inserción distal del tendón rotuliano, y edema. Uni- bilateral Rx fragmentación del núcleo de osificación, edema de tejidos blandos , engrosamiento del tendón rotuliano y borramiento de la grasa infrarotuliana Evolución: recuperación completa (tiempo variable) Secuela: calcificación en el extremo distal del tendón rotuliano Tto. ↓ carga deportiva, suficiente tiempo de descanso. Uso de soportes del tendón rotuliano y adecuada preparación física predeportiva
  • 15.
    ENFERMEDAD DE SINDINGLARSEN JOHANSSON Afecta el polo inferior de la rótula 10 a 12 años de edad Dolor localizado y sobre proximal del tendón rotuliano con signos inflamatorios, incapacidad funcional de la rodilla, Rx fragmentación ósea del polo distal de la rótula USG alteración de la inserción proximal del tendón rotuliano
  • 17.
    Pronóstico: Bueno.Tendencia a laresolución espontánea sin secuelas en 18-24 meses Tto. Conservador. Antiinflamatorios. Medidas de disminución de la carga deportiva Uso de soportes rotulianos Dx diferencial: fractura en manguito en el polo inferior de la rótula, fractura de estrés de la rótula, la rótula bipartita tipo i, la tendinitis rotuliana y la rodilla del saltador Asociada a saltos
  • 18.
    ENFERMEDAD DE SEVER Causafrecuente de dolor en el talón en niños y adolescentes Alteración en la apófisis del calcáneo secundaria a un proceso inflamatorio derivado de la tracción repetitiva del tendón de Aquiles sobre la tuberosidad mayor 7-13 años aprox, media de 11 años. Mayor en sexo masculino y bilateral Deportes: fútbol, baloncesto y gimnasia Dolor en ambos lados del talón que se incrementa con la actividad física y calma con el reposo Rx fragmentación y esclerosis del mismo en el núcleo de osificación del calcáneo
  • 19.
    Tto. Conservador. Restricción dela act. deportiva. Antiinflamatorios y plantillas Pronóstico: excelente. Reincorporación progresiva Buen pronóstico, con fusión del núcleo sin secuelas posteriores (alrededor de los 16 años)
  • 20.
    ENFERMEDAD DE ISELIN Osteocondritisde la base del 5° metatarsiano Tracción excesiva del tendón del músculo peroneo lateral corto Se asocia a inversión del antepié en atletas Dolor y edema. Rx núcleo accesorio de osificación (confundirse con fractura) Tto. hielo local y antiinflamatorios. Uso de órtesis pronadora del mediopié
  • 22.
    BIBLIOGRAFIA • LEVY, EduardoJ.; GARABANO, Germán; ROBADOR, Nicolás y SEL, Hernán del. Fracturas de la tuberosidad anterior de la tibia en adolescentes con esqueleto inmaduro. Rev.Asoc.Argent. Ortop.Traumatol. [online]. 2012, vol.77, n.1, pp. 39-44. ISSN 1852-7434 • CARABANO AGUADO, I. y LLORENTE OTONES, L.. Enfermedad de Osgood-Schlatter: deporte, adolescencia y dolor. Rev Pediatr Aten Primaria [online]. 2011, vol.13, n.49, pp. 93-97. ISSN 1139-7632. • La enfermedad de Osgood-Schaltter ©2010 The StayWell Company. www.krames.com 800-333-3032 Todos los derechos reservados. http://www.veteranshealthlibrary.org/spanish/flipbooks/orthopaedics/2211163es_VA.pdf • MARTI FERNANDEZ, J. y ESPINOSA FARRONA, C.. Enfermedad de Iselin: un caso en un joven deportista. Rev Pediatr Aten Primaria [online]. 2013, vol.15, n.57, pp. 69-72. ISSN 1139-7632. • 23• Jornadas 70-71, 2009 Revisión de lesiones osteocartilaginosas en niños y adolescentes DR. P.VALE~ÓN AL~AZÁ ; DRA. B. DÍAZ-CASANOVA FALCÓN; DR. R. NAVARRO GARCÍA; DR. J.A. RUÍZ CABALLERO; DR. J. F. JIMENEZ DIAZ; DRA. E. BRITO OJEDA • GUZMAN, Hernán. Lesiones deportivas en niños y adolescentes REV. MED. CLIN. CONDES - 2012; 23(3) 267-273 • I. Etxebarría Foronda, E. Esnal Baza, J. Sáenz de Ugarte Sobrón,A. Ruiz Sánchez, J.M.Alfonso Lerg, J. Montiano Jorg Enfermedad de Sever. BOL. SVASCO-NAV PEDIATR 2005; 38: 39-40 • S. López-Alameda; A.Alonso-Benavente,;A. López-Ruiz de Salazar, P. Miragaya-López,;J.A.Alonso-del Olmo y P. González-Herranz. Enfermedad de Sinding- Larsen-Johansson: análisis de factores asociados Rev Esp Cir Ortop Traumatol. 2012;56(5):354---360 • M. Monge Zamorano1 , M.E. Méndez Abad2 , J.M. MaldonadoTiestos1 ,A. Hernández Hernández1 , E.Viota Puerta1 , C. Quintana Herrera1 . Enfermedad de Sinding Larsen-Johansson o Apofisitis distal de rótula. Can Pediatr 2010; 34 (2) : 77-78 • P. González Herranz.Apofisitis. BOL PEDIATR 2003; 43: 147-153 • Axotla-Bahena A y cols. Lesiones en el jugador infantil-juvenil de futbol americano Rev Hosp Jua Mex 2012; 79(1): 16-24