El cerebro en la HTA
Dr C. Nelson Gòmez Viera.
Neuròlogo
Hemodinamia cerebral Autorregulación del FSC
FSC= 50-100 ml/100 g/min (750 ml)
Encéfalo (2% peso corporal) requiere el 17% del gasto
cardíaco.
El FSC depende de 2 factores:
La diferencia de presión
La resistencia vascular
FSC= PAM/RC = PD mas 1/3 PP / RC
Autoregulación
El FSC es mantenido relativamente constante
con moderados cambios en la TA sanguínea.
Cambios en las arteriolas y pequeñas
arterias cerebrales.
Si TA disminuye: vasodilatación
Si TA aumenta: vasoconstricción
La respuesta es rápida, se inicia en pocos
segundos y se completa en 15-30 segundos.
Mecanismos
1. Miogéno (afecta la resistencia de los pequeños
vasos ).
2. Constricción simpática alfa adrenérgica de las
grandes arterias cerebrales.
• En individuos normotensos el FSC permanece
constante en un rango de PAM de 60-120
mm/hg.
• Por debajo de 60 mm/hg la vasodilatación
autoreguladora es insuficiente y el FSC
disminuye.
• Por encima de 120 mm/hg, el FSC aumenta
con la elevación de la TA (vasoparálisis y el
FSC es dependiente de la TA sistémica.
En individuos hipertensos crónicos la
autorregulación es adaptada a presiones
superiores y la curva de autorregulación
cambia a niveles mayores de PAM:
Límite inferior 120 mm/hg
Límite superior 160 mm/hg
Estos cambios son considerados ser
secundarios a la adaptación de las
arteriolas cerebrales a la hipertensión
crónica que conduce a hipertrofia de la
capa media.
ESTUDIO INTERSTROKE
• Casos y controles (N= 3000 C= 3000)
• El 90 % de los ictus pueden ser explicados por 10
FR:
HTA, Diabetes, causas cardiacas, hábito de fumar,
obesidad abdominal, hiperlipidemia,
inactividad física, consumo de alcohol, dieta, la
depresión y estrés psicosocial.
Lancet 2010; 376 (9735): 112-123.
• La variabilidad en las mediciones de la TA de
visita a visita y aún en mediciones separadas
efectuadas durante una visita, está asociada con
un incremento del riesgo de ictus.
• Este riesgo es mayor y va más allá del riesgo
debido a la presión sanguínea promedio en el
tiempo.
• Estos resultados sugieren que los agentes que
reducen la variabilidad de la TA y la TA media
pueden tener mayores beneficios (anticàlcicos).
Lancet 2010; 375(9718): 895-905.
Encefalopatía hipertensiva
• Síndrome de disfunción difusa asociada a una
elevación repentina o severa de la presión
arterial sistémica.
• Complicación en un paciente hipertenso,
donde existen papiledema como signo
cardinal, exudados, hemorragías y daño en
otros órganos como corazón y rinón
Cuadro Clínico
• Cefalea severa
• Trastornos del estado mental.
• Nauseas y vómitos.
• Alteraciones visuales y papiledema.
• Déficit neurológicos transitorios.
• Convulsiones.
Causa
• Falla en la autorregulación cerebral con
hiperperfusión y subsecuente edema encefálico,
hemorragias petequiales y necrosis arteriolar.
• La respuesta al tratamiento antihipertensivo es el
único criterio definitivo para su diagnóstico.
• Se considera una emergencia hiperténsiva
(labetalol, nitropusiato de sodio).
El término encefalopatía hipertensiva no debe
ser usado para designar a las cefaleas
recurrentes crónicas, vértigo, ataques
epilépticos, episodios de ATI o ataques
cerebrales que se presentan a menudo en
asociación con una presión sanguínea elevada.
Hipertensión Arterial.
• Predispone al ictus isquémico agravando la
aterosclerosis y acelerando la enfermedad
cardíaca.
• Incrementa el RR de ictus 3-4 veces.
• Es el mas importante FR modificable para el
ictus.
• La reducción con el tratamiento de la presión
sistólica en 10–12 mm Hg and 5–6 mm Hg en
la diastólica, está asociada con un 38% de
reducción en la incidencia de ictus
(MacMahon et al. 1996).
• El Tratamiento de la HTA sistólica en la
ancianidad es también efectivo en reducir el
riesgo de ictus.
• El programa hipertensión sistólica en la
ancianidad demostró una reducción de un 36%
en el ictus fatal y no fatal después de 5 años,
en el grupo de edad de 60 años y más, cuando
la HTA sistólica se trató con mediación activa.
• El tratamiento de la HTA sistólica también
enlentece la progresión de la estenósis
carotídea.
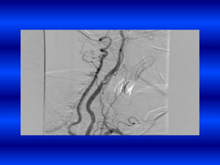
ENFERMEDAD CEREBROVASCULAR
CADA 53 SEGUNDOS OCURRE UN EVENTO
CEREBROVASCULAR Y CADA 3.3 MINUTOS MUERE
UNA DE ESTA PERSONAS.
PRIMERA CAUSA
DE INVALIDEZ
EN EL MUNDO
TERCERA
CAUSA DE
MUERTE
ENFERMEDAD CEREBROVASCULAR
MORTALIDAD 35-200 CASOS X 1OO OOO Hbtes
50- 70 % DE LOS SOBREVIVIENTES CON SECUELAS
10.0 % DE LAS
MUERTES
SEGUNDA
CAUSA DE
MUERTE EN
MAYORES DE
65 AÑOS
Definición de ATI
Episodio transitorio de disfunción
neurológica causada por isquemia
focal del cerebro, médula espinal o
retina, sin infarto agudo.
American Academy of Neurology (2011)
Riesgo de ictus después de ATI
• 3.5 % a los 2 días cuando se tienen en cuenta
datos administrativos.
• 10 % a los 2 días basado en estimación
neurológica.
• 9 % - 17 % a los 90 días dependiendo de la
fuente de obtención de los datos
Subtipos de ictus isquémico
CRITERIOS TOAST
(Trials of ORG-10172 for acute stroke)
1. Infartos de pequeños vasos (lacunares).
2. Infarto aterosclerótico de grandes vasos.
3. Infarto cardioembólico.
4. Infarto criptogénico.
5. Ictus por otras causas ( disección, vasculitis).
Niveles de certeza para el diagnóstico del
ictus isquémico
• Incluye 16 categorìas diferentes de subtipos de
ictus.
• Concordancia Kappa (K)
16 subtipos (K= 0.70)
5 subtipos (K= 0.80)
Es probable que este nuevo sistema de
clasificación tenga su mayor aplicación en
ensayos multicéntricos
Neurology 2010; 75(14): 1277-1284.
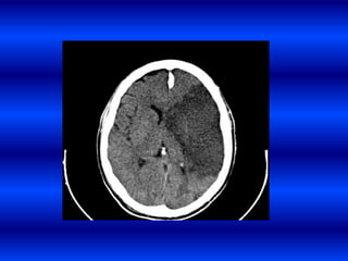
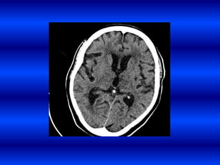
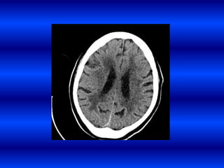
Infarto cerebral silente.
• Una gran parte de los enfermos tienen
dificultades cognitivas, de la marcha u otros
síntomas que por ser ligeros pueden no
reconocerse
INFARTOS SUBCLÍNICOS
Los estudios poblacionales han demostrado que los infartos subclínicos
incrementan 2-4 veces el riesgo de infarto clínico
• Estudios poblacionales usando RMN han
demostrado que el 8-28 % de los adultos
tienen evidencias de infartos silentes.
• Imagen hipointensa en T1 3 mm.
• Si se suman los infartos silentes a los
infartos clínicos, la prevalencia de ECV se
incrementa a aproximadamente 20 % de la
población.
Causas de la HI en pacientes hipertensos.
• Lipohialinosis de las pequeñas arterias
intracerebrales.
• Microaneurismas de Charcot y Bouchard.
Localizaciones mas frecuentes de la HI
1. Putamen (35%).
2. Lobular (25%)
3. Tálamo (10-15%).
4. Cerebelo (5-10%).
5. Protuberancia (5%).
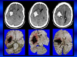
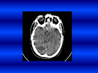
EXPANSIÓN TEMPRANA
DE HIC.
Pte masculino, raza negra,
APP de HTA que sufre una
HIP subcortical derecha
que en los primeros
80mtos presenta cefalea,
disartria ligera y
hemiparesía izquierda en
la segunda TAC hay un
deterioro progresivo de la
conciencia , midriasis
derecha por hernia uncal y
apertura a ventrículos
laterales.
Hematomas
lobares
La clínica depende de la
localización
Frontal
Parieto-occipital Temporal
Frontal basal
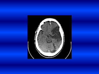
Hemorragia putaminal posterolateral
Lenticuloestriadas laterales
•Hemiplejia/anestesia
•Afasia/Anosognosia
•Hemianopsia
•Estupor
•Desviación de mirada
Hemorragia del caudado
4 % de las HIC
Arteria recurrente de
Heubner o ramas
lenticuloestriadas
mediales.
•Defectos
neurológicos ligeros
que pueden
confundirse con las de
una HSA, consistentes
en cefalea, signos de
irritación meníngea y
cambios conductuales.
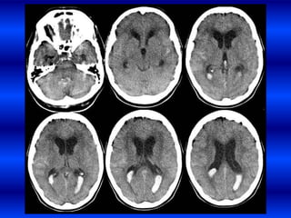
Hematoma en caudado y putamen
anterior
Hemorragia talámica posterolateral
Hemorragia cerebelosa
•Cefalea, vómitos, vértigo
•Ataxia
•Parálisis Facial y ausencia
de corneal ipsilateral
•Paresia de mirada
conjugada ipsilateral
•Coma
Hemorragia del tallo
•Coma
•Cuadriplejia
•Pupilas puntiformes
•Parálisis de mirada horizontal
ipsilateral
•Locked in syndrome
Existen formas ligeras sin
trastorno de conciencia
Hemorragia por anticoagulantes
HIC Post tto con t-PA
INCIDENCIA DE ECV X 100 000 Hbtes
INCIDENCIA MUNDIAL 150-200 X 100 000 Hbtes
786.2
35-183
65,6
670-970
PREVALENCIA DE ECV X 1000 Hbtes
1,74-6,51
5
7,5
5,7 19,9
7,6
4,4
0,54
PREVALENCIA MUNDIAL 7–9 X 1000 Hbtes
PREVALENCIA MUNDIAL 500 – 700 X 100 000 Hbtes
ENFERMEDAD CEREBROVASCULAR EN CUBA
20 000 pacientes con ECV anualmente
12 000 Infarto cerebral.
6 000 ECV hemorrágica
2 000 ATI
60 000 personas con AVE
LAS NECESIDADES EN SALUD
SON ILIMITADAS
Y LOS RECURSOS LIMITADOS
Cost avoidance associated with optimal stroke care in Canada.
Krueger H, Lindsay P, Cote R, Kapral MK, Kaczorowski J, Hill MD.
Fuente: School of Population and Public Health, Faculty of
Medicine, University of British Columbia, Vancouver,
British Columbia, Canada.
Evaluó 4 aspectos del manejo del ICTUS (rápida valoración
y tratamiento, terapia trombolítica, organización de las
unidades de ictus y egreso temprano y atención en el
hogar).
Estimó los costos potenciales evitados en Canadá si estos
servicios fueran proporcionados de una manera óptima.
.
Resultados: Una atención óptima y amplía del Ictus en Canadá
disminuiría:
El número de episodios que requerirían hospitalización en 1062
(3.3%).
El número de días de atención aguda en 166 000 (25.9%).
El número de días de atención en el hogar en 573 000 (12.8%).
El número de muertes sería reducida en 1061 (14.9%).
El número total de costos evitados sería de 682 millones USD
anualmente (307.4 millones en costos diretos USD y 374.3 millones
USD en costos indiretos).
Stroke. 2012 Aug;43(8):2198-206. Epub 2012 May 24
GRACIAS

Cerebro-HTA-2016. Dr. Nelson Gomez.pptx

  • 1.
    El cerebro enla HTA Dr C. Nelson Gòmez Viera. Neuròlogo
  • 2.
    Hemodinamia cerebral Autorregulacióndel FSC FSC= 50-100 ml/100 g/min (750 ml) Encéfalo (2% peso corporal) requiere el 17% del gasto cardíaco. El FSC depende de 2 factores: La diferencia de presión La resistencia vascular FSC= PAM/RC = PD mas 1/3 PP / RC
  • 3.
    Autoregulación El FSC esmantenido relativamente constante con moderados cambios en la TA sanguínea. Cambios en las arteriolas y pequeñas arterias cerebrales. Si TA disminuye: vasodilatación Si TA aumenta: vasoconstricción
  • 4.
    La respuesta esrápida, se inicia en pocos segundos y se completa en 15-30 segundos. Mecanismos 1. Miogéno (afecta la resistencia de los pequeños vasos ). 2. Constricción simpática alfa adrenérgica de las grandes arterias cerebrales.
  • 5.
    • En individuosnormotensos el FSC permanece constante en un rango de PAM de 60-120 mm/hg. • Por debajo de 60 mm/hg la vasodilatación autoreguladora es insuficiente y el FSC disminuye. • Por encima de 120 mm/hg, el FSC aumenta con la elevación de la TA (vasoparálisis y el FSC es dependiente de la TA sistémica.
  • 6.
    En individuos hipertensoscrónicos la autorregulación es adaptada a presiones superiores y la curva de autorregulación cambia a niveles mayores de PAM: Límite inferior 120 mm/hg Límite superior 160 mm/hg
  • 7.
    Estos cambios sonconsiderados ser secundarios a la adaptación de las arteriolas cerebrales a la hipertensión crónica que conduce a hipertrofia de la capa media.
  • 8.
    ESTUDIO INTERSTROKE • Casosy controles (N= 3000 C= 3000) • El 90 % de los ictus pueden ser explicados por 10 FR: HTA, Diabetes, causas cardiacas, hábito de fumar, obesidad abdominal, hiperlipidemia, inactividad física, consumo de alcohol, dieta, la depresión y estrés psicosocial. Lancet 2010; 376 (9735): 112-123.
  • 9.
    • La variabilidaden las mediciones de la TA de visita a visita y aún en mediciones separadas efectuadas durante una visita, está asociada con un incremento del riesgo de ictus. • Este riesgo es mayor y va más allá del riesgo debido a la presión sanguínea promedio en el tiempo. • Estos resultados sugieren que los agentes que reducen la variabilidad de la TA y la TA media pueden tener mayores beneficios (anticàlcicos). Lancet 2010; 375(9718): 895-905.
  • 10.
    Encefalopatía hipertensiva • Síndromede disfunción difusa asociada a una elevación repentina o severa de la presión arterial sistémica. • Complicación en un paciente hipertenso, donde existen papiledema como signo cardinal, exudados, hemorragías y daño en otros órganos como corazón y rinón
  • 11.
    Cuadro Clínico • Cefaleasevera • Trastornos del estado mental. • Nauseas y vómitos. • Alteraciones visuales y papiledema. • Déficit neurológicos transitorios. • Convulsiones.
  • 12.
    Causa • Falla enla autorregulación cerebral con hiperperfusión y subsecuente edema encefálico, hemorragias petequiales y necrosis arteriolar. • La respuesta al tratamiento antihipertensivo es el único criterio definitivo para su diagnóstico. • Se considera una emergencia hiperténsiva (labetalol, nitropusiato de sodio).
  • 13.
    El término encefalopatíahipertensiva no debe ser usado para designar a las cefaleas recurrentes crónicas, vértigo, ataques epilépticos, episodios de ATI o ataques cerebrales que se presentan a menudo en asociación con una presión sanguínea elevada.
  • 14.
    Hipertensión Arterial. • Predisponeal ictus isquémico agravando la aterosclerosis y acelerando la enfermedad cardíaca. • Incrementa el RR de ictus 3-4 veces. • Es el mas importante FR modificable para el ictus. • La reducción con el tratamiento de la presión sistólica en 10–12 mm Hg and 5–6 mm Hg en la diastólica, está asociada con un 38% de reducción en la incidencia de ictus (MacMahon et al. 1996).
  • 15.
    • El Tratamientode la HTA sistólica en la ancianidad es también efectivo en reducir el riesgo de ictus. • El programa hipertensión sistólica en la ancianidad demostró una reducción de un 36% en el ictus fatal y no fatal después de 5 años, en el grupo de edad de 60 años y más, cuando la HTA sistólica se trató con mediación activa. • El tratamiento de la HTA sistólica también enlentece la progresión de la estenósis carotídea.
  • 17.
    ENFERMEDAD CEREBROVASCULAR CADA 53SEGUNDOS OCURRE UN EVENTO CEREBROVASCULAR Y CADA 3.3 MINUTOS MUERE UNA DE ESTA PERSONAS. PRIMERA CAUSA DE INVALIDEZ EN EL MUNDO TERCERA CAUSA DE MUERTE
  • 18.
    ENFERMEDAD CEREBROVASCULAR MORTALIDAD 35-200CASOS X 1OO OOO Hbtes 50- 70 % DE LOS SOBREVIVIENTES CON SECUELAS 10.0 % DE LAS MUERTES SEGUNDA CAUSA DE MUERTE EN MAYORES DE 65 AÑOS
  • 19.
    Definición de ATI Episodiotransitorio de disfunción neurológica causada por isquemia focal del cerebro, médula espinal o retina, sin infarto agudo. American Academy of Neurology (2011)
  • 20.
    Riesgo de ictusdespués de ATI • 3.5 % a los 2 días cuando se tienen en cuenta datos administrativos. • 10 % a los 2 días basado en estimación neurológica. • 9 % - 17 % a los 90 días dependiendo de la fuente de obtención de los datos
  • 21.
    Subtipos de ictusisquémico CRITERIOS TOAST (Trials of ORG-10172 for acute stroke) 1. Infartos de pequeños vasos (lacunares). 2. Infarto aterosclerótico de grandes vasos. 3. Infarto cardioembólico. 4. Infarto criptogénico. 5. Ictus por otras causas ( disección, vasculitis).
  • 22.
    Niveles de certezapara el diagnóstico del ictus isquémico • Incluye 16 categorìas diferentes de subtipos de ictus. • Concordancia Kappa (K) 16 subtipos (K= 0.70) 5 subtipos (K= 0.80) Es probable que este nuevo sistema de clasificación tenga su mayor aplicación en ensayos multicéntricos Neurology 2010; 75(14): 1277-1284.
  • 23.
    Infarto cerebral silente. •Una gran parte de los enfermos tienen dificultades cognitivas, de la marcha u otros síntomas que por ser ligeros pueden no reconocerse INFARTOS SUBCLÍNICOS Los estudios poblacionales han demostrado que los infartos subclínicos incrementan 2-4 veces el riesgo de infarto clínico
  • 24.
    • Estudios poblacionalesusando RMN han demostrado que el 8-28 % de los adultos tienen evidencias de infartos silentes. • Imagen hipointensa en T1 3 mm. • Si se suman los infartos silentes a los infartos clínicos, la prevalencia de ECV se incrementa a aproximadamente 20 % de la población.
  • 32.
    Causas de laHI en pacientes hipertensos. • Lipohialinosis de las pequeñas arterias intracerebrales. • Microaneurismas de Charcot y Bouchard.
  • 33.
    Localizaciones mas frecuentesde la HI 1. Putamen (35%). 2. Lobular (25%) 3. Tálamo (10-15%). 4. Cerebelo (5-10%). 5. Protuberancia (5%).
  • 34.
    EXPANSIÓN TEMPRANA DE HIC. Ptemasculino, raza negra, APP de HTA que sufre una HIP subcortical derecha que en los primeros 80mtos presenta cefalea, disartria ligera y hemiparesía izquierda en la segunda TAC hay un deterioro progresivo de la conciencia , midriasis derecha por hernia uncal y apertura a ventrículos laterales.
  • 36.
    Hematomas lobares La clínica dependede la localización Frontal Parieto-occipital Temporal Frontal basal
  • 37.
    Hemorragia putaminal posterolateral Lenticuloestriadaslaterales •Hemiplejia/anestesia •Afasia/Anosognosia •Hemianopsia •Estupor •Desviación de mirada
  • 39.
    Hemorragia del caudado 4% de las HIC Arteria recurrente de Heubner o ramas lenticuloestriadas mediales. •Defectos neurológicos ligeros que pueden confundirse con las de una HSA, consistentes en cefalea, signos de irritación meníngea y cambios conductuales.
  • 40.
    Hematoma en caudadoy putamen anterior
  • 41.
  • 42.
    Hemorragia cerebelosa •Cefalea, vómitos,vértigo •Ataxia •Parálisis Facial y ausencia de corneal ipsilateral •Paresia de mirada conjugada ipsilateral •Coma
  • 43.
    Hemorragia del tallo •Coma •Cuadriplejia •Pupilaspuntiformes •Parálisis de mirada horizontal ipsilateral •Locked in syndrome Existen formas ligeras sin trastorno de conciencia
  • 45.
  • 46.
    HIC Post ttocon t-PA
  • 47.
    INCIDENCIA DE ECVX 100 000 Hbtes INCIDENCIA MUNDIAL 150-200 X 100 000 Hbtes 786.2 35-183 65,6 670-970
  • 48.
    PREVALENCIA DE ECVX 1000 Hbtes 1,74-6,51 5 7,5 5,7 19,9 7,6 4,4 0,54 PREVALENCIA MUNDIAL 7–9 X 1000 Hbtes PREVALENCIA MUNDIAL 500 – 700 X 100 000 Hbtes
  • 49.
    ENFERMEDAD CEREBROVASCULAR ENCUBA 20 000 pacientes con ECV anualmente 12 000 Infarto cerebral. 6 000 ECV hemorrágica 2 000 ATI 60 000 personas con AVE
  • 50.
    LAS NECESIDADES ENSALUD SON ILIMITADAS Y LOS RECURSOS LIMITADOS
  • 51.
    Cost avoidance associatedwith optimal stroke care in Canada. Krueger H, Lindsay P, Cote R, Kapral MK, Kaczorowski J, Hill MD. Fuente: School of Population and Public Health, Faculty of Medicine, University of British Columbia, Vancouver, British Columbia, Canada. Evaluó 4 aspectos del manejo del ICTUS (rápida valoración y tratamiento, terapia trombolítica, organización de las unidades de ictus y egreso temprano y atención en el hogar). Estimó los costos potenciales evitados en Canadá si estos servicios fueran proporcionados de una manera óptima.
  • 52.
    . Resultados: Una atenciónóptima y amplía del Ictus en Canadá disminuiría: El número de episodios que requerirían hospitalización en 1062 (3.3%). El número de días de atención aguda en 166 000 (25.9%). El número de días de atención en el hogar en 573 000 (12.8%). El número de muertes sería reducida en 1061 (14.9%). El número total de costos evitados sería de 682 millones USD anualmente (307.4 millones en costos diretos USD y 374.3 millones USD en costos indiretos). Stroke. 2012 Aug;43(8):2198-206. Epub 2012 May 24
  • 53.