ENFERMEDAD
         CEREBROVASCULAR




Carlos Rocha Alvarado
Neurólogo – Hosp L.Heysen I.
ENFERMEDAD CEREBROVASCULAR

DEFINICIÓN:
  Trastorno caracterizado por el déficit funcional
  transitorio o definitivo de una o varias áreas del
  encéfalo, ocasionado por una alteración en la circulación
  encefálica sea isquemia y/o hemorragia.
       E. Díez-Tejedor, O. Del Brutto, Rev neurol 2001; 33: 455-64
       Sociedad Iberoamericana de Enfermedades Cerebrovasculares, NINDS

OMS :
 ECV, enfermedad caracterizada por el desarrollo rápido
 de signos focales de déficit de la función cerebral, con
 una duración mayor de 24 horas o llevan a la muerte sin
 otra causa aparente que de origen vascular.
ENFERMEDAD CEREBROVASCULAR

Epidemiología
    OMS : El ECV es la tercera causa de muerte y la primera de
    invalidez en los adultos. (*)

PREVALENCIA MUNDIAL 150 - 200 /100 000 HBTS
MORTALIDAD MUNDIAL 35 – 50 /100 000 HBTS

TERCERA CAUSA DE MORTALIDAD EN EL PERU
PERU       53 / 100 000 HBTS

(*) Sudlow CLM, Warlow CP, for the international stroke incidence collaboration. Comparable
     studies of the incidence of stroke and its pathological types. Results from an
     international collaboration. Stroke 1997;28:491-499.
(**) Análisis de la situacion de Salud del Perú – 2003
CUANDO SOSPECHAR DE ECV
 Aparición brusca : seg – horas (llega al acmé menor a 01 día)
 Síntomas deficitarios (hemiparesia, hemihipoestesia.),
 Alteración d conciencia (somnolenc, sopor, coma, agitac psicomot)
 Alteración del Lenguaje : Disartria, afasia
 Hipertensión endocraneana : Cefalea, náuseas y vómitos
 Hemianopsia homónima
 Signos cerebelosos : ataxia, incordinacción
 Compromiso de la orientación, atención, memoria y lenguaje,
 Nervios craneales: disfagia, alt pupilas,y d movimientos oculares
 Rigidez de nuca y otros signos de irritación meníngea,
DIAGNOSTICO DIFERENCIAL

    Sind convulsivo
    Estado confusional agudo
    Desordenes metabólicos electrolitos
    Hipoglicemia
    Migraña
    Neoplasia cerebral
    Hematoma subdural
    Encefalitis viral
    Cuadros conversivos.
ENFERMEDAD CEREBROVASCULAR

         CLASIFICACION

INFARTOS             80%
• ATEROTROMBOTICOS         60%-70%
• EMBOLICOS                10%-20%

HEMORRAGICO          20%
• INTRACEREBRALES          15%
• SUBARACNOIDEA            5%
CLASIFICACION
ECV ISQUÉMICO

01. Ataques Isquémicos Transitorios (AIT)
02. Infarto cerebral




                             Obstrucción arterial
ICTUS ISQUEMICO:

Ictus provocado por la disminución brusca
de la perfusión cerebral.

Nivel crítico : 10 a 22 ml/100g .min

Normal : 50 – 75 ml/100g.min
ATAQUES ISQUÉMICOS TRANSITORIOS

1. Es temporal, dentro del rango arbitrario de las 24 horas.
2. El 50% se resuelven en 30 minutos y el 90% no exceden en
   duración las 4 horas
3. Los AIT relacionados con la circulación anterior tienen
   mayor duración a los del territorio vértebro-basilar
4.AIT de más de 1 hora, mayor relación con fuente embolígena

DIAGNOSTICO
  CLINICA + TC ENCEFALO NORMAL
ATAQUES ISQUÉMICOS TRANSITORIOS
TRATAMIENTO MEDICO
Ataques isquémicos transitorios de origen aterotrombótico
 a. Antiagregante plaquetario: reducir riesgo de recurrencia.
- Aspirina 300 mg/d,
- Clopidogrel 75 mg/d
 En pacientes con riesgo de sangrado gastrointestinal
 preferible utilizar clopidogrel
 b. La anticoagulación es una opción en AIT repetidos a pesar
 del uso de antiagregantes plaquetarios.
Ataques isquémicos transitorios de origen cardiaco
a. Anticoagulación a largo plazo en fibrilación auricular.
 El INR debe de estar alrededor de 2.5 ( 2.0 a 3.0).
b. Aspirina sólo cuando hay contraindicación a anticoagulación.
ATAQUES ISQUÉMICOS TRANSITORIOS


TRATAMIENTO QUIRURGICO

 La ENDARTERECTOMÍA CAROTÍDEA
- en pacientes con AIT ispilateral, reciente ( en los seis meses
 previos) y estenosis carotídea extracraneal
- entre el 70 y 99% de estenosis
- en centros acreditados con morbi-mortalidad perioperatoria
 inferior al 7%.
INFARTO CEREBRAL

01. INFART ATEROTROMBOTICO DE GRANDE VASOS
- En presencia de factores de riesgo vascular cerebral.
-Imprescindible presencia de
1- arteriosclerosis generalizada: (cardiopatía isquémica y/o
 enfermedad vascular periférica) o
2- estenosis de arterias cerebrales (> 50%)demostrado por
 Doppler o angiografía
- Ayudan al Diagnóstico:
     Aparición de clínica al despertar
     AIT previos
     Soplo cervical ipsilateral al infarto
     Ausencia de riesgo de embolia
     Clínica progresiva de minutos a horas de evolución
Sites of predilection for atherosclerotic narrowing
Internal carotid artery atherosclerotic lesions: A, plaque; B, plaque with
platelet-fibrin emboli; C, plaque with occlusive thrombus; D, recent
ischemic cerebral infarct due to internal carotid artery occlusion
INFARTO CEREBRAL
02. INFARTO LACUNAR O DE PEQUEÑOS VASOS
- Infarto de pequeño tamaño lesional (<15 mm diámetro),
- En territorio de arteriolas perforantes cerebrales
-Síndrome lacunar :
       hemiparesia motora pura,
       síndrome sensitivo puro,
       síndrome sensitivo-motriz,
       hemiparesia atáxica y
       disartria-mano torpe
- Presencia HTA y otros factores de riesgo vascular cerebral.
- Ausencia de déficit visual, afasia, apraxia, agnosia, buen
 nivel de conciencia y ausencia de convulsiones y vómitos
INFARTO CEREBRAL

03. INFARTO CARDIOEMBOLICO

- Tamaño medio (1.5-3 cm) o grande (>3 cm),
- Habitualmente cortical,
- Inicio frecuente en vigilia,
- Instauración habitualmente brusca (súbita) con un máximo
 déficit neurológico al inicio de la enfermedad.
- Imprescindible cardiopatía embolígena demostrada y la
 ausencia de oclusión o estenosis arterial significativa
 concomitantemente.
INFARTO CEREBRAL
INFARTO CARDIOEMBOLICO
Causas de embolia cerebral
    ALTO RIESGO EMBÓLICO :
    Fibrilación auricular,
    IMA < 2 mes.
    Prótesis valvulares.
    Cardiopatía dilatada.

    BAJO RIESGO EMBÓLICO :
    Persistencia foramen oval.
    IMA de 2 – 6 mes.
    Embolia grasa.
Potential sources of embolism
(a) cardiac mural thrombus
(b) vegetation on heart valve
(c) emboli from carotid plaque
(d) infarcted cortex in area
supplied by terminal anterior
cerebral art due to embolism
INFARTO CEREBRAL

04. INFARTO DE CAUSA INHABITUAL


- Infarto territorio cortical o subcortical, carotídeo o
 vertebro-basilar
- Ausencia de Factores de riesgo vascular cerebral
- Ocasionado por
1 Arteriopatía distinta de la aterosclerótica (displasia
 fibromuscular, enfermedad de moya-moya, síndrome de
 Sneddon, disección arterial.),
2 Enfermedad sistémica (conectivopatía, infección, neoplasia,
 síndrome mieloproliferativo, metabolopatía, trastorno de la
 coagulación, etc.).
INFARTO CEREBRAL

05. INFARTO DE ETIOLOGIA INDETERMINADA

- Infarto cerebral de tamaño medio o grande
- Habitualmente, cortical o subcortical, tanto de
territorio carotídeo como vertebrobasilar
- No se logra encontrar etiologia, o hay limitaciones
en los examenes diagnóstico quedando incompleto
evaluación
CLINICA
ISQUEMIA EN LA CIRCULACION ANTERIOR
 ARTERIA CEREBRAL ANTERIOR.
 Hemiparesia contralateral (pierna > brazo, cara).
 Déficit sensitivo contralateral.
 Bradicinesia.
 Mutismo acinético, abulia.

 ARTERIA CEREBRAL MEDIA.
 Hemiparesia contralateral (cara, brazo > pierna).
 Déficit sensitivo contralateral.
 Afasia (hemisferio izquierdo).
 Hemianopsia.
 Apraxia (hemisferio izquierdo).
CLINICA
ISQUEMIA EN LA CIRCULACION POSTERIOR

 Vértigo, Nistagmus.
 Diplopia,
 Parálisis mirada horizontal o vertical
 Hemiplejia alterna
 Parestesias.
 Disfagia, Disartría.
 Hemianopsia.
 Ataxia de la marcha, Dismetría
DIAGNÓSTICO
TOMOGRAFÍA COMPUTARIZADA DE ENCÉFALO
•Examen de elección en el Ictus agudo

 ICTUS ISQUEMICO
•Aguda : lesión hipodensa.
•Subaguda (2º semana) Hipodensidad se intensifica
 La detección precoz de imágenes hipodensas (menor
 a 24 h) tienen pronóstico ominoso,
 SIGNOS PRECOCES DE ICTUS ISQUÉMICO AGUDO
•1. Hipoatenuación de cinta insular
•2. Oscurecimiento del núcleo lenticular
•3. Hipodensidad / borramiento cortical
•4. Hiperdensidad de la ACM
TC Encéfalo, Infarto cerebral, territorio A. Cerebral Media Izquierda
SIGNOS PRECOCES DE ICTUS ISQUÉMICO
01. Hipodensidad de la corteza insular con disminución
de la densidad de la sustancia gris
SIGNOS PRECOCES DE ICTUS ISQUÉMICO
02. Disminución de la densidad del núcleo lenticular
derecha. Infarto en putamen y brazo posterior de la
cápsula interna
SIGNOS PRECOCES DE ICTUS ISQUÉMICO

 03. Disminución de la densidad de la sustancia gris
 cortical
SIGNOS PRECOCES DE ICTUS ISQUÉMICO
 04. Hiperdensidad del coágulo M1 de la ACM
 Infarto masivo de la ACM
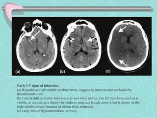
Early CT signs of infarction.
(a) Hyperdense right middle cerebral artery, suggesting intravascular occlusion by
thromboembolism.
(b) Loss of differentiation between gray and white matter. The left lentiform nucleus is
visible, as normal, as a slightly hyperdense structure (single arrow), but is absent on the
right (double arrow) because of edema from infarction.
(c) Large area of hypoattenuation (arrows),
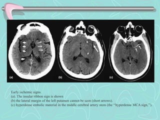
Early ischemic signs.
(a). The insular ribbon sign is shown
(b) the lateral margin of the left putamen cannot be seen (short arrows).
(c) hyperdense embolic material in the middle cerebral artery stem (the ‘‘hyperdense MCA sign,’’).
DIAGNÓSTICO

RESONANCIA MAGNETICA
•Útil en Ictus Isquémico Agudo, menor de 6h, con mejor sensibilidad
que TC
•RMN secuencia de Difusión y Perfusión, para menores de 3 horas
•No útil en Ictus hemorrágico agudo
ARTERIOGRAFÍA DE CAROTIDAS
•Técnica invasiva, con uso de contraste
•Detecta obstrucción de vasos sanguíneos (Ictus isquémico)
PENUMBRA ISQUEMICA




Core and penumbra in acute stroke imaging.
The infarct core, presumptively identified by an abnormality in a DWI image, represents tissue that
cannot be salvaged.
The ischemic penumbra represents tissue that is threatened by ischemia, but may still be saved by
timely therapy. The penumbra is presumptively identified as that tissue that is normal in early DWI
images, but abnormal in maps of CBF.
PENUMBRA ISQUEMICA




(a) Early DWI image shows several small closely clustered acute infarcts in the left corona radiata. An MTT map
(b) shows a much larger region of impaired perfusion, theoretically representing tissue at risk. However, a follow-up
T2-weighted FLAIR image
(c) shows that the infarct has not grown substantially.
                         Preservation of penumbral tissue, as demonstrated by this case,
                         … is the goal of acute stroke therapy.
INFARTO CEREBRAL                   TRATAMIENTO

ISQUEMIA NO CARDIOEMBOLICO

•Se recomienda la antiagregación oral en la prevención secundaria de
la isquemia cerebral usando
           AAS 100-300 mg/d,
           Clopidogrel 75 mg/d
           Ticlopidina 250 mg 01 tab VO c/12h

•AAS, se recomienda 300 mg/d,
si bien el margen establecido varía entre 30 y 1300 mg/d

•No hay datos para recomendar la anticoagulación oral en la
prevención secundaria de los pacientes con IC de origen
aterotrombótico.
INFARTO CEREBRAL               TRATAMIENTO

ISQUEMIA CARDIOEMBOLICO


•Si FA: tratamiento anticoagulante, INR 2–3,

•Se recomienda AAS 300 mg/d. en aquellos en los que esté
contraindicada la anticoagulación

•En pacientes con valvulopatía reumática y embolismos
recurrentes se aconseja mantener INR en el límite superior
(2,5-3) ,o bien asociar AAS 100 mg/día.
INFARTO CEREBRAL                  TRATAMIENTO
ISQUEMIA CARDIOEMBOLICO

CONTRAINDICACIÓN:

•ECV hemorrág parenq menor 02 sem   . Sepsis
•ECV HSA previo                     . Insuficiencia Hepática
•Incumplimiento de tratamiento      . Insuficiencia Renal
•Hemorragia activa <2 sem           . HTA no controlad: > 200/120
•Ulcera péptica activa              . Demencia, deterioro cognitivo
•Embarazo uso de Estrógenos         . Ingesta de alcohol excesivo
•Defecto de coagulación             . Hist de caídas 3 o más /año
•Trombocitopenia                    . Ingesta frecuente de AINEs
INFARTO CEREBRAL                 TRATAMIENTO
ANTICOAGULACION

a. HEPARINA SODICA
•Iniciar con bolo de 80 UI/Kg EV
•Continuar con infusión 18 UI/Kg.h EV
•Infusión : 500cc Dextrosa 5% + 5cc Heparina Sód. 5 000/cc
(1cc=50UI)
•Controlar TPTa c/6h y modificar infusión según resultados

b. HEPARINA DE BAJO PESO MOLECULAR (HBPM)
•Segura y eficaz como Heparina no fraccionada
•Administración Subcutánea y Vida media mas larga
•Dalteparina (Fragmin®) 100 UI/Kg.do c/12h SC 5000 UI/12 h SC
•Enoxaparina(Clexane®) 1 mg/Kg.do c/12h SC      40, 60 mg/12 h SC
INFARTO CEREBRAL                TRATAMIENTO
ANTICOAGULACION

c. WARFARINA
•Verificar Función Hepática adecuada

•HOSPITALIZADO:
Warfarina 5mg 01 tab VO c/24h x 2 días, luego 1/2 tab VO c/24h

•AMBULATORIO :
Warfarina 5mg 1/2 tab VO c/24h

•Monitoreo de INR (Razón Normalizada Internacional) llegar a
Rango Terapéut : 2,0 - 3,0.
•En ancianos INR máximo 2,5.
INFARTO CEREBRAL              TRATAMIENTO
ANTICOAGULACION

c. WARFARINA
Esquema:
•Iniciar administración de warfarina junto con la primera
dosis de Heparina
•Mantener por 4 a 5 días administración conjunta
•Retirar Heparina cuando INR sea mayor de 2,0 por 2 días
consecutivos.
INFARTO CEREBRAL       TRATAMIENTO
    TRATAMIENTO ESPECIFICO




         TROMBOLISIS
TROMBOLISIS ENDOVENOSO
Criterios de Inclusión y Exclusión
TROMBOLISIS ENDOVENOSO
Criterios de Inclusión y Exclusión
TROMBOLISIS ENDOVENOSO
 Protocolo de Infusión de rt-PA
TROMBOLISIS INTRAARTERIAL
         Urokinasa
TROMBOLISIS INTRAARTERIAL
         Urokinasa
TROMBECTOMIA MECANICA
        STENT
TROMBECTOMIA MECANICA
        STENT
TROMBECTOMIA MECANICA
        STENT
TROMBECTOMIA MECANICA
        STENT
TROMBECTOMIA MECANICA
MERCI (Mechanical Embolus Removal in Cerebral Ischemia)
TROMBECTOMIA MECANICA
MERCI (Mechanical Embolus Removal in Cerebral Ischemia)
TROMBECTOMIA MECANICA
MERCI (Mechanical Embolus Removal in Cerebral Ischemia)
ECV HEMORRAGICO




        Ruptura de vasos sanguíneos
ECV HEMORRAGICO
01. Hemorragia cerebral
01.01. HEMORRAGIA PARENQUIMATOSA
A. Hemisférica cerebral
       a. Lobar
       b. Profunda   Ganglios basales
                     Capsular
B. Troncoencefálica
       a. Mesencefálica
       b. Protuberancial
       c. Bulbar
C. Cerebelosa
01.02. HEMORRAGIA INTRAVENTRICULAR
02. Hemorragia subaracnoidea
Localización
A    Lobar
B-C Profundos
D Tronco E.
E Cerebelo
ENFERMEDAD CEREBROVASCULAR HEMORRAGICA


    Localización de Hemorragia Cerebral

       Supratentorial            85
          Profundas        53
          Lobares          32

       Infratentoriales          15
          Cerebelo         11
          Troncoencéfalo    4
01.   HEMORRAGIA CEREBRAL


      Extravasación hemática secundaria a una
        rotura vascular intracerebral.

      Según la localización puede ser:
       parenquimatosa
       ventricular
A. HEMORRAGIA PARENQUIMATOSA


     Extravasación hemática en el interior del
    parénquima encefálico.


 Presenta disminución de la conciencia y cefalea grave.
 Inicio brusco. Acmé 02 – 10 minutos
 Intensidad máx desde el comienzo estabilizándose en min.
 No presentan mejoría en las primeras 24 a 48 horas
 Hipertensión Endocraneana
CAUSAS DE HEMORRAGIA INTRAPARENQUIMAL


     •   Hipertension Arterial
     •   Angiopatía cerebral amiloidea
     •   Malformaciones vasculares
     •   Tumores intracraneanos
     •   Anticoagulantes
     •   Agentes trombolíticos
     •   Drogas simpatomiméticas
     •   Vasculitis
DIAGNÓSTICO
TOMOGRAFÍA COMPUTARIZADA DE ENCÉFALO
•Examen de elección en el Ictus agudo

 ICTUS HEMORRÁGICO
•Lesión Hiperdensa que ocupa espacio y desplaza en
diverso grado el parénquima cerebral.
•En HSA puede ser poco hiperdensa, de ubicación
extraparenquimal, e invadir ventrículos cerebrales.


  Las Neuroimágenes informan sobre el tipo de lesión, su
tamaño, localización, distribución vascular; la presencia de
 complicaciones, y también sobre la necesidad de manejo
                         quirúrgico.
Hemorragia Parenquimal. Putamen
Hemorragia Parenquimal. Tálamo
Malformación Arterio-Venosas
Malformación Arterio-Venosas
Hemorragia Cerebelo
A. HEMORRAGIA PARENQUIMATOSA


   Causas:

    Hipertensión arterial
    Malformación Arteriovenosa
    Angiopatía Amiloidea
    Infartos Hemorrágicos
    Anticoagulantes
    Hemorragia Tumor Primario o Metastásico
B.     HEMORRAGIA VENTRICULAR


      Colección de sangre en el interior de los
       ventrículos cerebrales.

     Primaria. Sangrado se localiza de forma exclusiva
       en el sistema ventricular.
     Secundaria . Originada en el espacio subaracnoideo
       o en el parénquima y que se ha extendido al
       sistema ventricular.
HEMORRAGIA VENTRICULAR
VOLUMEN DEL HEMATOMA . . .




                 CUAL ES SU VOLUMEN ?
VOLUMEN DEL HEMATOMA . . .




Diametro 01 = 4.5cm
Diametro 02 = ?
VOLUMEN DEL HEMATOMA . . .




Diametro 01 = 4.5cm      Nº de Cortes    = 05
Diametro 02 = 4.0cm      Altura de cortes = 1cm ó (0.8cm)
VOLUMEN DEL HEMATOMA . . .




Nº de Cortes = 05
Altura cortes = 0.8cm


                                                         Volumen = 36cc


                        Diam 01 x Diam 02 x NºCort
          VOLUM =                                    x Alt. Corte
                                   2
HEMORRAGIA INTRAPARENQUIMAL
   INDICACION QUIRURGICA


- Hemorragia Lobar con Volumen de 30 – 60 cc
- Hemorragia Cerebelosa con diametro mayor a 03 cm
- Deterioro Progresivo de Glasgow
- Dentro de primeras 24 Horas (Ideal primeras 12 H)
- Hemisferio No Dominante
- Fácilmente accesible Quirurgicamente
- Contraindicados en ECG menor igual que 4 ptos
Recomendaciones para el Tratamiento de las Diferentes Formas de HIC*


Localización de la HIC             Aspectos Clínicos/TAC                                Tratamiento

Putámen                            Alerta, HIC pequeña (< 30 cm3)                       No-quirúrgico


                                   En coma, HIC grande (> 60 cm3)                       No-quirúrgico


                                   Somnoliento, HIC intermedia (30-60 cm3)              Considerar cirugía


Caudado                            Alerta o somnoliento, con hemorragia                 Considerar drenaje
                                   intraventricular e hidrocefalia                      ventricular
Tálamo                             Somnoliento o letárgico, con hemorragia              Considerar drenaje
                                   intraventricular e hidrocefalia                      ventricular
Sustancia Blanca Lobar             Somnoliento - sopor, con HIC intermedia              Considerar cirugía
                                   (20-60 cm3), y deterioro de conciencia
Mesencéfalo,                       _____                                                No-quirúrgico
Protuberancia, Bulbo
Cerebelo                           No-comatoso, con HIC > 3 cm,                         Drenaje quirúrgico,
                                   hidrocefalia                                         precedido por ventricu-
                                                                                        lostomía si hay deterior
                                                                                        progres de conciencia
      *Modificado de Minematsu K, Yamaguchi T: Management of intracerebral hemorrhage, en: Stroke Therapy,
      Fisher M (Editor), pp. 351-372. Boston: Butterworth-Heinemann, 1995.
02.    HEMORRAGIA SUBARACNOIDEA . HSA

 Extravasación de sangre al espacio subaracnoideo
  encefálico.

 Primaria. Sangrado directo al espacio subaracnoideo
 Secundaria. Sangrado inicialmente en el parénquima
  cerebral.

 Principalmente debida a la rotura de aneurismas
  arteriales,
SÍNTOMAS Y SIGNOS DE HAS.
           SÍNTOMAS                       SIGNOS

Cefalea súbita y severa        Rigidez nucal

Nauseas y vómitos              Kerning y Brudsinky

Vertigos                       Anomalías del campo visual

Fatiga                         Hemorragias subhialoideas

Diplopia                       Parálisis oculomotoras

Fotofobia                      Hemiparesias

Dolor en el cuello y espalda   Confusión, agitación y Coma
Rigidez de Nuca




SIGNOS      MENINGEOS
02.    HEMORRAGIA SUBARACNOIDEA . HSA


   Comienzo súbito. Acmé < 02 minutos
   cefalea muy intensa,
   Disminución de la conciencia y los vómitos.
   rigidez de nuca en la exploración. (06 horas después)
   En el examen de fondo de ojo se pueden encontrar
    hemorragias retinianas subhialoideas.
DIAGNÓSTICO

•TC ENCÉFALO :
Hemorragia en Espacio Subaracnoideo.
  Sensibilidad    95% 1ºdía;
                  50% 7ºdía
•Si TC Encéfalo es negativo: Punción Lumbar
•LCR CENTRIFUGADO :
    Xantocromía de sobrenadante,
    Crenocitos,
    Prueba de tres vasos positivo.
02.   HEMORRAGIA SUBARACNOIDEA . HSA
Most common sites
 of intracranial
   aneurysms




   (1) anterior communicating artery (ACA)               30%
   (2) posterior communicating artery (PCA)              25%
   (3) bifurcation of the middle cerebral artery (MCA)   20%
   (4) internal carotid artery (ICA)                     07.5%
   (5) artery basilar artery                             07%
   (6) posterior inferior cerebellar                     03%
Aneurisma Cerebral
,




    Hemorragia subaracnoidea
Punción Lumbar Hemorrágica
HEMORRAGIA SUBARACNOIDEA
      DIAGNOSTICO
HEMORRAGIA SUBARACNOIDEA


CLASIFICACION DE HUNT Y HESS

GRADO I       Asintomática, cefalea mínima,
              discreta rigidez de nuca
GRADO II      Cefalea moderada a grave, rigidez de
              nuca, mínimo déficit neurológico.
GRADO III     Somnolencia, confusión, déficit
              neurológico focal leve
GRADO IV      Estupor, hemiparesia moderada a grave,
      postura de descerebración precoz.
GRADO V       Coma, postura de decorticación o de
              descerebración, aspecto moribundo
CLASIFICACIÓN SEGÚN LA TC DE HAS
    O CLASIFICACIÓN DE FISHER

  GRADO      DISPOSICIÓN DE LA SANGRE

          No HAS
    I

          HAS en capa difusa, menor de 1 mm
    II
          (de 01 corte)
          HAS en capas mayores de 1 mm
   III
          (más de 01 corte)
          Hematoma intraparenquimatoso o
    IV    intraventricular
FALLA EN RECONOCIMIENTO DE HSA
01. CLÍNICA
Falla en evaluar el paciente con cefalea (intensa, brusca,inusual)
Falla en reconocer que puede ser espontánea
Comparte datos clinicos con:
Encefalitis viral, meningitis viral, Migraña, cefalea tensional,
   cefalea por senos paranasales, Desordenes psiquiatricos
02. TOMOGRAFÍA
Falla en interpretación por médicos
Disminución de sensibilidad con los días (>7d)
Falsos negativos ante pequeños volumenes
Falsos negativos por Hto menor a 30%
03. PUNCION LUMBAR
Falla para reconocer Xantocromía
Xantocromía negativa despues de la hemorragia
   si muy prematuro (<12horas), o muy tardío (>2sem)
COMPLICACIONES EN HSA

 INTERVALO
                           COMPLICACIONES
DESP DE HSA
                Resangrado            Disritmias cardiacas
   0-3 días     Hidrocefalia aguda    Disfunción
                Edema cerebral        respiratoria
                Vasoespasmo           Hiponatremia
  4-14 días     Resangramiento        Hidrocefalia subaguda
                Hipovolemia           Neumonía
               Hidrocefalia crónica   Resangramiento
Mas de 15 días Neumonía               Vasoespasmo
               Embolismo pulmonar     Disbalance Hidroelect
Complicaciones de la Hemorragia Subaracnoidea
COMPLICACIONES




        VASOESPASMO
COMPLICACIONES




        RESANGRADO
COMPLICACIONES




      HERNIAS CEREBRALES
COMPLICACIONES




        HIDROCEFALIA
COMPLICACIONES




        HIDROCEFALIA
HEMORRAGIA SUBARACNOIDEA

01. Nimodipino
02. Corticoterapia
03. Evitar hipotensión
MANEJO QUIRURGICO

Neurocirujano es parte del equipo multidisciplianrio
Indicado en:
   Hematoma en progresión, efecto de masa.
   Hidrocefalia: drenaje ventricular
   Tratamiento de aneurisma o MAV
TRATAMIENTO
QUIRURGICO DEL
ANEURISMA
TRATAMIENTO
ENDOVASCULAR
DEL ANEURISMA
MANEJO DEL PACIENTE CON ICTUS

EL MANEJO DEL PACIENTE CON ICTUS ES
REALIZADO POR UN EQUIPO MULTIDISCIPLINARIO,
DONDE PARTICIPA
         •   MEDICO EMERGENCISTA
         •   MEDICO NEUROLOGO
         •   MEDICO INTERNISTA
         •   NEUROCIRUJANO
         •   ENFERMERA
         •   REHABILITADOR
         •   TECNICO DE ENFRMERIA



CENTROS ESPECIALIZADOS REALIZAN EL DENOMINADO :
                    “CODIGO ICTUS”
EXAMENES DE LABORATORIO


De rutina
• Recuento celular y de plaquetas
• Función renal y hepática
• Radiografia de tórax
• Electrocardiograma
• Glucemia
• INR, TTPA
• Electrolitos séricos
A. MEDIDAS GENERALES


     Elevación de la Cabecera 30 – 45º
     Hidratación
     Oxigenación
     Control de la Hipertensión Arterial
     Control Metabólico : Glicemia, electrolitos
     Control de la Temperatura
     Control del Dolor
A. MEDIDAS GENERALES


     Control de Agitación Psicomotriz
     Nutrición
     Prevención de TVP y Embolia Pulmonar
     Prevención de Ulceras de Decúbito
     Cuidados de Vías Urinarias
     Rehabilitación Física
     Neuroprotectores
B. CONTROL COMPLICACION NEUROLOGICAS
     Hipertensión Endocraneana
     Convulsiones
CAUSAS DE DETERIORO POSTERIOR A ICTUS
 NEUROLÓGICO
 • Progresión del Ictus
 • Recurrencia de Ictus
 • Trasformación Hemorrágica después de un
   Infarto
 • Desarrollo de edema cerebral
 • Hidrocefalia obstructiva
 • Crisis Epiléptica
 • Diagnóstico incorrecto
 NO NEUROLÓGICO
 • Infección
 • Desquilibrio Hidroelectrolítico
 • Alteración de niveles de glicemia
 • Drogas
 • Hipoxia

ICTUS

  • 1.
    ENFERMEDAD CEREBROVASCULAR Carlos Rocha Alvarado Neurólogo – Hosp L.Heysen I.
  • 2.
    ENFERMEDAD CEREBROVASCULAR DEFINICIÓN: Trastorno caracterizado por el déficit funcional transitorio o definitivo de una o varias áreas del encéfalo, ocasionado por una alteración en la circulación encefálica sea isquemia y/o hemorragia. E. Díez-Tejedor, O. Del Brutto, Rev neurol 2001; 33: 455-64 Sociedad Iberoamericana de Enfermedades Cerebrovasculares, NINDS OMS : ECV, enfermedad caracterizada por el desarrollo rápido de signos focales de déficit de la función cerebral, con una duración mayor de 24 horas o llevan a la muerte sin otra causa aparente que de origen vascular.
  • 3.
    ENFERMEDAD CEREBROVASCULAR Epidemiología OMS : El ECV es la tercera causa de muerte y la primera de invalidez en los adultos. (*) PREVALENCIA MUNDIAL 150 - 200 /100 000 HBTS MORTALIDAD MUNDIAL 35 – 50 /100 000 HBTS TERCERA CAUSA DE MORTALIDAD EN EL PERU PERU 53 / 100 000 HBTS (*) Sudlow CLM, Warlow CP, for the international stroke incidence collaboration. Comparable studies of the incidence of stroke and its pathological types. Results from an international collaboration. Stroke 1997;28:491-499. (**) Análisis de la situacion de Salud del Perú – 2003
  • 4.
    CUANDO SOSPECHAR DEECV  Aparición brusca : seg – horas (llega al acmé menor a 01 día)  Síntomas deficitarios (hemiparesia, hemihipoestesia.),  Alteración d conciencia (somnolenc, sopor, coma, agitac psicomot)  Alteración del Lenguaje : Disartria, afasia  Hipertensión endocraneana : Cefalea, náuseas y vómitos  Hemianopsia homónima  Signos cerebelosos : ataxia, incordinacción  Compromiso de la orientación, atención, memoria y lenguaje,  Nervios craneales: disfagia, alt pupilas,y d movimientos oculares  Rigidez de nuca y otros signos de irritación meníngea,
  • 5.
    DIAGNOSTICO DIFERENCIAL  Sind convulsivo  Estado confusional agudo  Desordenes metabólicos electrolitos  Hipoglicemia  Migraña  Neoplasia cerebral  Hematoma subdural  Encefalitis viral  Cuadros conversivos.
  • 6.
    ENFERMEDAD CEREBROVASCULAR CLASIFICACION INFARTOS 80% • ATEROTROMBOTICOS 60%-70% • EMBOLICOS 10%-20% HEMORRAGICO 20% • INTRACEREBRALES 15% • SUBARACNOIDEA 5%
  • 7.
  • 8.
    ECV ISQUÉMICO 01. AtaquesIsquémicos Transitorios (AIT) 02. Infarto cerebral Obstrucción arterial
  • 10.
    ICTUS ISQUEMICO: Ictus provocadopor la disminución brusca de la perfusión cerebral. Nivel crítico : 10 a 22 ml/100g .min Normal : 50 – 75 ml/100g.min
  • 13.
    ATAQUES ISQUÉMICOS TRANSITORIOS 1.Es temporal, dentro del rango arbitrario de las 24 horas. 2. El 50% se resuelven en 30 minutos y el 90% no exceden en duración las 4 horas 3. Los AIT relacionados con la circulación anterior tienen mayor duración a los del territorio vértebro-basilar 4.AIT de más de 1 hora, mayor relación con fuente embolígena DIAGNOSTICO CLINICA + TC ENCEFALO NORMAL
  • 14.
    ATAQUES ISQUÉMICOS TRANSITORIOS TRATAMIENTOMEDICO Ataques isquémicos transitorios de origen aterotrombótico a. Antiagregante plaquetario: reducir riesgo de recurrencia. - Aspirina 300 mg/d, - Clopidogrel 75 mg/d En pacientes con riesgo de sangrado gastrointestinal preferible utilizar clopidogrel b. La anticoagulación es una opción en AIT repetidos a pesar del uso de antiagregantes plaquetarios. Ataques isquémicos transitorios de origen cardiaco a. Anticoagulación a largo plazo en fibrilación auricular. El INR debe de estar alrededor de 2.5 ( 2.0 a 3.0). b. Aspirina sólo cuando hay contraindicación a anticoagulación.
  • 15.
    ATAQUES ISQUÉMICOS TRANSITORIOS TRATAMIENTOQUIRURGICO La ENDARTERECTOMÍA CAROTÍDEA - en pacientes con AIT ispilateral, reciente ( en los seis meses previos) y estenosis carotídea extracraneal - entre el 70 y 99% de estenosis - en centros acreditados con morbi-mortalidad perioperatoria inferior al 7%.
  • 16.
    INFARTO CEREBRAL 01. INFARTATEROTROMBOTICO DE GRANDE VASOS - En presencia de factores de riesgo vascular cerebral. -Imprescindible presencia de 1- arteriosclerosis generalizada: (cardiopatía isquémica y/o enfermedad vascular periférica) o 2- estenosis de arterias cerebrales (> 50%)demostrado por Doppler o angiografía - Ayudan al Diagnóstico: Aparición de clínica al despertar AIT previos Soplo cervical ipsilateral al infarto Ausencia de riesgo de embolia Clínica progresiva de minutos a horas de evolución
  • 17.
    Sites of predilectionfor atherosclerotic narrowing
  • 18.
    Internal carotid arteryatherosclerotic lesions: A, plaque; B, plaque with platelet-fibrin emboli; C, plaque with occlusive thrombus; D, recent ischemic cerebral infarct due to internal carotid artery occlusion
  • 19.
    INFARTO CEREBRAL 02. INFARTOLACUNAR O DE PEQUEÑOS VASOS - Infarto de pequeño tamaño lesional (<15 mm diámetro), - En territorio de arteriolas perforantes cerebrales -Síndrome lacunar : hemiparesia motora pura, síndrome sensitivo puro, síndrome sensitivo-motriz, hemiparesia atáxica y disartria-mano torpe - Presencia HTA y otros factores de riesgo vascular cerebral. - Ausencia de déficit visual, afasia, apraxia, agnosia, buen nivel de conciencia y ausencia de convulsiones y vómitos
  • 20.
    INFARTO CEREBRAL 03. INFARTOCARDIOEMBOLICO - Tamaño medio (1.5-3 cm) o grande (>3 cm), - Habitualmente cortical, - Inicio frecuente en vigilia, - Instauración habitualmente brusca (súbita) con un máximo déficit neurológico al inicio de la enfermedad. - Imprescindible cardiopatía embolígena demostrada y la ausencia de oclusión o estenosis arterial significativa concomitantemente.
  • 21.
    INFARTO CEREBRAL INFARTO CARDIOEMBOLICO Causasde embolia cerebral ALTO RIESGO EMBÓLICO : Fibrilación auricular, IMA < 2 mes. Prótesis valvulares. Cardiopatía dilatada. BAJO RIESGO EMBÓLICO : Persistencia foramen oval. IMA de 2 – 6 mes. Embolia grasa.
  • 22.
    Potential sources ofembolism (a) cardiac mural thrombus (b) vegetation on heart valve (c) emboli from carotid plaque (d) infarcted cortex in area supplied by terminal anterior cerebral art due to embolism
  • 23.
    INFARTO CEREBRAL 04. INFARTODE CAUSA INHABITUAL - Infarto territorio cortical o subcortical, carotídeo o vertebro-basilar - Ausencia de Factores de riesgo vascular cerebral - Ocasionado por 1 Arteriopatía distinta de la aterosclerótica (displasia fibromuscular, enfermedad de moya-moya, síndrome de Sneddon, disección arterial.), 2 Enfermedad sistémica (conectivopatía, infección, neoplasia, síndrome mieloproliferativo, metabolopatía, trastorno de la coagulación, etc.).
  • 24.
    INFARTO CEREBRAL 05. INFARTODE ETIOLOGIA INDETERMINADA - Infarto cerebral de tamaño medio o grande - Habitualmente, cortical o subcortical, tanto de territorio carotídeo como vertebrobasilar - No se logra encontrar etiologia, o hay limitaciones en los examenes diagnóstico quedando incompleto evaluación
  • 25.
    CLINICA ISQUEMIA EN LACIRCULACION ANTERIOR ARTERIA CEREBRAL ANTERIOR. Hemiparesia contralateral (pierna > brazo, cara). Déficit sensitivo contralateral. Bradicinesia. Mutismo acinético, abulia. ARTERIA CEREBRAL MEDIA. Hemiparesia contralateral (cara, brazo > pierna). Déficit sensitivo contralateral. Afasia (hemisferio izquierdo). Hemianopsia. Apraxia (hemisferio izquierdo).
  • 26.
    CLINICA ISQUEMIA EN LACIRCULACION POSTERIOR Vértigo, Nistagmus. Diplopia, Parálisis mirada horizontal o vertical Hemiplejia alterna Parestesias. Disfagia, Disartría. Hemianopsia. Ataxia de la marcha, Dismetría
  • 27.
    DIAGNÓSTICO TOMOGRAFÍA COMPUTARIZADA DEENCÉFALO •Examen de elección en el Ictus agudo ICTUS ISQUEMICO •Aguda : lesión hipodensa. •Subaguda (2º semana) Hipodensidad se intensifica La detección precoz de imágenes hipodensas (menor a 24 h) tienen pronóstico ominoso, SIGNOS PRECOCES DE ICTUS ISQUÉMICO AGUDO •1. Hipoatenuación de cinta insular •2. Oscurecimiento del núcleo lenticular •3. Hipodensidad / borramiento cortical •4. Hiperdensidad de la ACM
  • 28.
    TC Encéfalo, Infartocerebral, territorio A. Cerebral Media Izquierda
  • 29.
    SIGNOS PRECOCES DEICTUS ISQUÉMICO 01. Hipodensidad de la corteza insular con disminución de la densidad de la sustancia gris
  • 30.
    SIGNOS PRECOCES DEICTUS ISQUÉMICO 02. Disminución de la densidad del núcleo lenticular derecha. Infarto en putamen y brazo posterior de la cápsula interna
  • 31.
    SIGNOS PRECOCES DEICTUS ISQUÉMICO 03. Disminución de la densidad de la sustancia gris cortical
  • 32.
    SIGNOS PRECOCES DEICTUS ISQUÉMICO 04. Hiperdensidad del coágulo M1 de la ACM Infarto masivo de la ACM
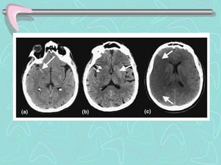
  • 34.
    Early CT signsof infarction. (a) Hyperdense right middle cerebral artery, suggesting intravascular occlusion by thromboembolism. (b) Loss of differentiation between gray and white matter. The left lentiform nucleus is visible, as normal, as a slightly hyperdense structure (single arrow), but is absent on the right (double arrow) because of edema from infarction. (c) Large area of hypoattenuation (arrows),
  • 35.
    Early ischemic signs. (a).The insular ribbon sign is shown (b) the lateral margin of the left putamen cannot be seen (short arrows). (c) hyperdense embolic material in the middle cerebral artery stem (the ‘‘hyperdense MCA sign,’’).
  • 36.
    DIAGNÓSTICO RESONANCIA MAGNETICA •Útil enIctus Isquémico Agudo, menor de 6h, con mejor sensibilidad que TC •RMN secuencia de Difusión y Perfusión, para menores de 3 horas •No útil en Ictus hemorrágico agudo ARTERIOGRAFÍA DE CAROTIDAS •Técnica invasiva, con uso de contraste •Detecta obstrucción de vasos sanguíneos (Ictus isquémico)
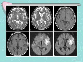
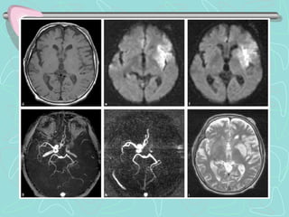
  • 41.
    PENUMBRA ISQUEMICA Core andpenumbra in acute stroke imaging. The infarct core, presumptively identified by an abnormality in a DWI image, represents tissue that cannot be salvaged. The ischemic penumbra represents tissue that is threatened by ischemia, but may still be saved by timely therapy. The penumbra is presumptively identified as that tissue that is normal in early DWI images, but abnormal in maps of CBF.
  • 42.
    PENUMBRA ISQUEMICA (a) EarlyDWI image shows several small closely clustered acute infarcts in the left corona radiata. An MTT map (b) shows a much larger region of impaired perfusion, theoretically representing tissue at risk. However, a follow-up T2-weighted FLAIR image (c) shows that the infarct has not grown substantially. Preservation of penumbral tissue, as demonstrated by this case, … is the goal of acute stroke therapy.
  • 45.
    INFARTO CEREBRAL TRATAMIENTO ISQUEMIA NO CARDIOEMBOLICO •Se recomienda la antiagregación oral en la prevención secundaria de la isquemia cerebral usando AAS 100-300 mg/d, Clopidogrel 75 mg/d Ticlopidina 250 mg 01 tab VO c/12h •AAS, se recomienda 300 mg/d, si bien el margen establecido varía entre 30 y 1300 mg/d •No hay datos para recomendar la anticoagulación oral en la prevención secundaria de los pacientes con IC de origen aterotrombótico.
  • 46.
    INFARTO CEREBRAL TRATAMIENTO ISQUEMIA CARDIOEMBOLICO •Si FA: tratamiento anticoagulante, INR 2–3, •Se recomienda AAS 300 mg/d. en aquellos en los que esté contraindicada la anticoagulación •En pacientes con valvulopatía reumática y embolismos recurrentes se aconseja mantener INR en el límite superior (2,5-3) ,o bien asociar AAS 100 mg/día.
  • 47.
    INFARTO CEREBRAL TRATAMIENTO ISQUEMIA CARDIOEMBOLICO CONTRAINDICACIÓN: •ECV hemorrág parenq menor 02 sem . Sepsis •ECV HSA previo . Insuficiencia Hepática •Incumplimiento de tratamiento . Insuficiencia Renal •Hemorragia activa <2 sem . HTA no controlad: > 200/120 •Ulcera péptica activa . Demencia, deterioro cognitivo •Embarazo uso de Estrógenos . Ingesta de alcohol excesivo •Defecto de coagulación . Hist de caídas 3 o más /año •Trombocitopenia . Ingesta frecuente de AINEs
  • 48.
    INFARTO CEREBRAL TRATAMIENTO ANTICOAGULACION a. HEPARINA SODICA •Iniciar con bolo de 80 UI/Kg EV •Continuar con infusión 18 UI/Kg.h EV •Infusión : 500cc Dextrosa 5% + 5cc Heparina Sód. 5 000/cc (1cc=50UI) •Controlar TPTa c/6h y modificar infusión según resultados b. HEPARINA DE BAJO PESO MOLECULAR (HBPM) •Segura y eficaz como Heparina no fraccionada •Administración Subcutánea y Vida media mas larga •Dalteparina (Fragmin®) 100 UI/Kg.do c/12h SC 5000 UI/12 h SC •Enoxaparina(Clexane®) 1 mg/Kg.do c/12h SC 40, 60 mg/12 h SC
  • 49.
    INFARTO CEREBRAL TRATAMIENTO ANTICOAGULACION c. WARFARINA •Verificar Función Hepática adecuada •HOSPITALIZADO: Warfarina 5mg 01 tab VO c/24h x 2 días, luego 1/2 tab VO c/24h •AMBULATORIO : Warfarina 5mg 1/2 tab VO c/24h •Monitoreo de INR (Razón Normalizada Internacional) llegar a Rango Terapéut : 2,0 - 3,0. •En ancianos INR máximo 2,5.
  • 50.
    INFARTO CEREBRAL TRATAMIENTO ANTICOAGULACION c. WARFARINA Esquema: •Iniciar administración de warfarina junto con la primera dosis de Heparina •Mantener por 4 a 5 días administración conjunta •Retirar Heparina cuando INR sea mayor de 2,0 por 2 días consecutivos.
  • 51.
    INFARTO CEREBRAL TRATAMIENTO TRATAMIENTO ESPECIFICO TROMBOLISIS
  • 52.
    TROMBOLISIS ENDOVENOSO Criterios deInclusión y Exclusión
  • 53.
    TROMBOLISIS ENDOVENOSO Criterios deInclusión y Exclusión
  • 54.
    TROMBOLISIS ENDOVENOSO Protocolode Infusión de rt-PA
  • 55.
  • 56.
  • 57.
  • 58.
  • 59.
  • 60.
  • 61.
    TROMBECTOMIA MECANICA MERCI (MechanicalEmbolus Removal in Cerebral Ischemia)
  • 62.
    TROMBECTOMIA MECANICA MERCI (MechanicalEmbolus Removal in Cerebral Ischemia)
  • 63.
    TROMBECTOMIA MECANICA MERCI (MechanicalEmbolus Removal in Cerebral Ischemia)
  • 64.
    ECV HEMORRAGICO Ruptura de vasos sanguíneos
  • 65.
    ECV HEMORRAGICO 01. Hemorragiacerebral 01.01. HEMORRAGIA PARENQUIMATOSA A. Hemisférica cerebral a. Lobar b. Profunda Ganglios basales Capsular B. Troncoencefálica a. Mesencefálica b. Protuberancial c. Bulbar C. Cerebelosa 01.02. HEMORRAGIA INTRAVENTRICULAR 02. Hemorragia subaracnoidea
  • 66.
    Localización A Lobar B-C Profundos D Tronco E. E Cerebelo
  • 67.
    ENFERMEDAD CEREBROVASCULAR HEMORRAGICA Localización de Hemorragia Cerebral  Supratentorial 85  Profundas 53  Lobares 32  Infratentoriales 15  Cerebelo 11  Troncoencéfalo 4
  • 68.
    01. HEMORRAGIA CEREBRAL Extravasación hemática secundaria a una rotura vascular intracerebral. Según la localización puede ser:  parenquimatosa  ventricular
  • 69.
    A. HEMORRAGIA PARENQUIMATOSA  Extravasación hemática en el interior del parénquima encefálico.  Presenta disminución de la conciencia y cefalea grave.  Inicio brusco. Acmé 02 – 10 minutos  Intensidad máx desde el comienzo estabilizándose en min.  No presentan mejoría en las primeras 24 a 48 horas  Hipertensión Endocraneana
  • 70.
    CAUSAS DE HEMORRAGIAINTRAPARENQUIMAL • Hipertension Arterial • Angiopatía cerebral amiloidea • Malformaciones vasculares • Tumores intracraneanos • Anticoagulantes • Agentes trombolíticos • Drogas simpatomiméticas • Vasculitis
  • 71.
    DIAGNÓSTICO TOMOGRAFÍA COMPUTARIZADA DEENCÉFALO •Examen de elección en el Ictus agudo ICTUS HEMORRÁGICO •Lesión Hiperdensa que ocupa espacio y desplaza en diverso grado el parénquima cerebral. •En HSA puede ser poco hiperdensa, de ubicación extraparenquimal, e invadir ventrículos cerebrales. Las Neuroimágenes informan sobre el tipo de lesión, su tamaño, localización, distribución vascular; la presencia de complicaciones, y también sobre la necesidad de manejo quirúrgico.
  • 72.
  • 73.
  • 74.
  • 75.
  • 76.
  • 77.
    A. HEMORRAGIA PARENQUIMATOSA Causas:  Hipertensión arterial  Malformación Arteriovenosa  Angiopatía Amiloidea  Infartos Hemorrágicos  Anticoagulantes  Hemorragia Tumor Primario o Metastásico
  • 78.
    B. HEMORRAGIA VENTRICULAR  Colección de sangre en el interior de los ventrículos cerebrales. Primaria. Sangrado se localiza de forma exclusiva en el sistema ventricular. Secundaria . Originada en el espacio subaracnoideo o en el parénquima y que se ha extendido al sistema ventricular.
  • 79.
  • 82.
    VOLUMEN DEL HEMATOMA. . . CUAL ES SU VOLUMEN ?
  • 83.
    VOLUMEN DEL HEMATOMA. . . Diametro 01 = 4.5cm Diametro 02 = ?
  • 84.
    VOLUMEN DEL HEMATOMA. . . Diametro 01 = 4.5cm Nº de Cortes = 05 Diametro 02 = 4.0cm Altura de cortes = 1cm ó (0.8cm)
  • 85.
    VOLUMEN DEL HEMATOMA. . . Nº de Cortes = 05 Altura cortes = 0.8cm Volumen = 36cc Diam 01 x Diam 02 x NºCort VOLUM = x Alt. Corte 2
  • 86.
    HEMORRAGIA INTRAPARENQUIMAL INDICACION QUIRURGICA - Hemorragia Lobar con Volumen de 30 – 60 cc - Hemorragia Cerebelosa con diametro mayor a 03 cm - Deterioro Progresivo de Glasgow - Dentro de primeras 24 Horas (Ideal primeras 12 H) - Hemisferio No Dominante - Fácilmente accesible Quirurgicamente - Contraindicados en ECG menor igual que 4 ptos
  • 87.
    Recomendaciones para elTratamiento de las Diferentes Formas de HIC* Localización de la HIC Aspectos Clínicos/TAC Tratamiento Putámen Alerta, HIC pequeña (< 30 cm3) No-quirúrgico En coma, HIC grande (> 60 cm3) No-quirúrgico Somnoliento, HIC intermedia (30-60 cm3) Considerar cirugía Caudado Alerta o somnoliento, con hemorragia Considerar drenaje intraventricular e hidrocefalia ventricular Tálamo Somnoliento o letárgico, con hemorragia Considerar drenaje intraventricular e hidrocefalia ventricular Sustancia Blanca Lobar Somnoliento - sopor, con HIC intermedia Considerar cirugía (20-60 cm3), y deterioro de conciencia Mesencéfalo, _____ No-quirúrgico Protuberancia, Bulbo Cerebelo No-comatoso, con HIC > 3 cm, Drenaje quirúrgico, hidrocefalia precedido por ventricu- lostomía si hay deterior progres de conciencia *Modificado de Minematsu K, Yamaguchi T: Management of intracerebral hemorrhage, en: Stroke Therapy, Fisher M (Editor), pp. 351-372. Boston: Butterworth-Heinemann, 1995.
  • 88.
    02. HEMORRAGIA SUBARACNOIDEA . HSA  Extravasación de sangre al espacio subaracnoideo encefálico.  Primaria. Sangrado directo al espacio subaracnoideo  Secundaria. Sangrado inicialmente en el parénquima cerebral.  Principalmente debida a la rotura de aneurismas arteriales,
  • 89.
    SÍNTOMAS Y SIGNOSDE HAS. SÍNTOMAS SIGNOS Cefalea súbita y severa Rigidez nucal Nauseas y vómitos Kerning y Brudsinky Vertigos Anomalías del campo visual Fatiga Hemorragias subhialoideas Diplopia Parálisis oculomotoras Fotofobia Hemiparesias Dolor en el cuello y espalda Confusión, agitación y Coma
  • 90.
  • 91.
    02. HEMORRAGIA SUBARACNOIDEA . HSA  Comienzo súbito. Acmé < 02 minutos  cefalea muy intensa,  Disminución de la conciencia y los vómitos.  rigidez de nuca en la exploración. (06 horas después)  En el examen de fondo de ojo se pueden encontrar hemorragias retinianas subhialoideas.
  • 92.
    DIAGNÓSTICO •TC ENCÉFALO : Hemorragiaen Espacio Subaracnoideo. Sensibilidad 95% 1ºdía; 50% 7ºdía •Si TC Encéfalo es negativo: Punción Lumbar •LCR CENTRIFUGADO : Xantocromía de sobrenadante, Crenocitos, Prueba de tres vasos positivo.
  • 93.
    02. HEMORRAGIA SUBARACNOIDEA . HSA
  • 95.
    Most common sites of intracranial aneurysms (1) anterior communicating artery (ACA) 30% (2) posterior communicating artery (PCA) 25% (3) bifurcation of the middle cerebral artery (MCA) 20% (4) internal carotid artery (ICA) 07.5% (5) artery basilar artery 07% (6) posterior inferior cerebellar 03%
  • 96.
  • 97.
    , Hemorragia subaracnoidea
  • 98.
  • 99.
  • 101.
    HEMORRAGIA SUBARACNOIDEA CLASIFICACION DEHUNT Y HESS GRADO I Asintomática, cefalea mínima, discreta rigidez de nuca GRADO II Cefalea moderada a grave, rigidez de nuca, mínimo déficit neurológico. GRADO III Somnolencia, confusión, déficit neurológico focal leve GRADO IV Estupor, hemiparesia moderada a grave, postura de descerebración precoz. GRADO V Coma, postura de decorticación o de descerebración, aspecto moribundo
  • 102.
    CLASIFICACIÓN SEGÚN LATC DE HAS O CLASIFICACIÓN DE FISHER GRADO DISPOSICIÓN DE LA SANGRE No HAS I HAS en capa difusa, menor de 1 mm II (de 01 corte) HAS en capas mayores de 1 mm III (más de 01 corte) Hematoma intraparenquimatoso o IV intraventricular
  • 103.
    FALLA EN RECONOCIMIENTODE HSA 01. CLÍNICA Falla en evaluar el paciente con cefalea (intensa, brusca,inusual) Falla en reconocer que puede ser espontánea Comparte datos clinicos con: Encefalitis viral, meningitis viral, Migraña, cefalea tensional, cefalea por senos paranasales, Desordenes psiquiatricos 02. TOMOGRAFÍA Falla en interpretación por médicos Disminución de sensibilidad con los días (>7d) Falsos negativos ante pequeños volumenes Falsos negativos por Hto menor a 30% 03. PUNCION LUMBAR Falla para reconocer Xantocromía Xantocromía negativa despues de la hemorragia si muy prematuro (<12horas), o muy tardío (>2sem)
  • 104.
    COMPLICACIONES EN HSA INTERVALO COMPLICACIONES DESP DE HSA Resangrado Disritmias cardiacas 0-3 días Hidrocefalia aguda Disfunción Edema cerebral respiratoria Vasoespasmo Hiponatremia 4-14 días Resangramiento Hidrocefalia subaguda Hipovolemia Neumonía Hidrocefalia crónica Resangramiento Mas de 15 días Neumonía Vasoespasmo Embolismo pulmonar Disbalance Hidroelect
  • 107.
    Complicaciones de laHemorragia Subaracnoidea
  • 108.
    COMPLICACIONES VASOESPASMO
  • 109.
    COMPLICACIONES RESANGRADO
  • 110.
    COMPLICACIONES HERNIAS CEREBRALES
  • 111.
    COMPLICACIONES HIDROCEFALIA
  • 112.
    COMPLICACIONES HIDROCEFALIA
  • 113.
    HEMORRAGIA SUBARACNOIDEA 01. Nimodipino 02.Corticoterapia 03. Evitar hipotensión
  • 114.
    MANEJO QUIRURGICO Neurocirujano esparte del equipo multidisciplianrio Indicado en: Hematoma en progresión, efecto de masa. Hidrocefalia: drenaje ventricular Tratamiento de aneurisma o MAV
  • 115.
  • 116.
  • 117.
    MANEJO DEL PACIENTECON ICTUS EL MANEJO DEL PACIENTE CON ICTUS ES REALIZADO POR UN EQUIPO MULTIDISCIPLINARIO, DONDE PARTICIPA • MEDICO EMERGENCISTA • MEDICO NEUROLOGO • MEDICO INTERNISTA • NEUROCIRUJANO • ENFERMERA • REHABILITADOR • TECNICO DE ENFRMERIA CENTROS ESPECIALIZADOS REALIZAN EL DENOMINADO : “CODIGO ICTUS”
  • 118.
    EXAMENES DE LABORATORIO Derutina • Recuento celular y de plaquetas • Función renal y hepática • Radiografia de tórax • Electrocardiograma • Glucemia • INR, TTPA • Electrolitos séricos
  • 119.
    A. MEDIDAS GENERALES  Elevación de la Cabecera 30 – 45º  Hidratación  Oxigenación  Control de la Hipertensión Arterial  Control Metabólico : Glicemia, electrolitos  Control de la Temperatura  Control del Dolor
  • 120.
    A. MEDIDAS GENERALES  Control de Agitación Psicomotriz  Nutrición  Prevención de TVP y Embolia Pulmonar  Prevención de Ulceras de Decúbito  Cuidados de Vías Urinarias  Rehabilitación Física  Neuroprotectores
  • 121.
    B. CONTROL COMPLICACIONNEUROLOGICAS Hipertensión Endocraneana Convulsiones
  • 122.
    CAUSAS DE DETERIOROPOSTERIOR A ICTUS NEUROLÓGICO • Progresión del Ictus • Recurrencia de Ictus • Trasformación Hemorrágica después de un Infarto • Desarrollo de edema cerebral • Hidrocefalia obstructiva • Crisis Epiléptica • Diagnóstico incorrecto NO NEUROLÓGICO • Infección • Desquilibrio Hidroelectrolítico • Alteración de niveles de glicemia • Drogas • Hipoxia