CIRUGÍA TORÁCICA
             Murad Muteb Abu-aliekeh
    MIR de CGAD del Hospital de Mérida
La morbimortalidad operatoria asociada a la Cirugía
Torácica, esencialmente en las resecciones
parenquimatosas, ha decrecido desde cifras del 12% en
los años setenta hasta cifras iguales o menores al 5% en
la última década.
los avances en los cuidados
preoperatorios, anestésicos y postoperatorios, han
sido constantes, lo que ha incidido en el descenso de
las cifras de mortalidad.
Sin embargo, el número de complicaciones no
mortales sigue siendo elevado
Movilizacion y analgesia correcta


      Cuidados postoperatoriosid


           Cuidados transoperatorias


                Medidas especificas



                       Medidas generales
COMPLICACIÓNES SEGÚN TIPO DE CIRUGÍA


                                                          •Hemorragia
    •Quilotorax                  Sd.postneumonectomia
                                                          •Perdidas aereas ó
    •Infecciónes Mediastinica    Hernia cardiaca          persistencia de espacios
    y Esternal                   Fistula Esofagopleural   pleurales
                                                          •Neumotorax
                                                          •Empiema
                                                          •Fistula bronquial
                                                          • Torsión lobar




       Pared torácica                  Neumonectomia             Resección parcial
Cambios posoperatorios
Hemorragia
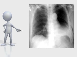
Figure 3. Hemothorax in a 38-year-old man who had undergone left lower lobectomy for
                                 squamous cell carcinoma of the lung.




                        Kim E A et al. Radiographics 2002;22:67-86



©2002 by Radiological Society of North America
Medidas generales orientadas a reponer la volemia
Provocar la rápida adherencia de pleura a la pared: Drenaje toracico y
aspiracion, Ordeñamiento periodico.
Neumoperitoneo en postoperatorio inmediato.
Acido Epsilon-Amino-Caproico en forma local ó sistemica
Reintervencion urgente con debito sanguineo superior a 500ml/h ó 250ml/h en
tres horas seguidas



   Tratamiento
Fístula bronquial
Fístula bronquial
Fistula Bronquial
Fistula Bronquial
Opciones según etapas
Fistula Bronquial




-Dx en las primeras 24 a 48 horas del PO:
Toracotomía de urgencia con la inclusión de nuevos puntos de
sutura o reamputación y nueva sutura del bronquio, según
hallazgos. Recubrir la sutura con un colgajo de pleura
(pleuralización), pericardio o de todo un espacio intercostal

-La ventilación de alta frecuencia y con baja presione mejora el
intercambio gaseoso y disminuye el escape aéreo
Fistula Bronquial




Fistula Tardía
-Evacuar el empiema asociado y aseptizar la cámara pleural.


-Antibióticoterapia sistémica y local.

-De persistir la sepsis, revisión quirúrgica de la cámara
pleural, (extracción de cuerpos extraños
Fistula Bronquial




- Aseptizada la cámara pleural se podrán realizar:

- Tratamiento endoscópicas (Cauterización repetidas, sellantes
de fibrina) habitualmente en fístulas <3mm de diámetro.

-   Toracoplastias clásicas para reducir volumen

- Transposiciones intratorácicas de colgajos musculares
pediculados o libres
Fistula Bronquial




- De no existir empiema, lo que habitualmente es
excepcional, puede valorarse Ia posibilidad de practicar
reamputación con sutura en parte sana del bronquio o ampliación
de la resección pulmonar.

- Neumonectomía en fístulas grandes incontrolables de lóbulo
superior.
Complementar con una toracoplastia para reducción de volumen
de la cavidad torácica.
- En fístulas de lóbulo medio o inferior derecho, sección del
bronquio intermediario conservando el lóbulo superior.
Torsión lobar postquirúrgica
Torsión lobar postquirúrgica
Torsión lobar postquirúrgica
Neumotorax postoperatorio
Empiema Postoperatoria
Empiema Postoperatoria
Empiema postquirurgico
Empiema postquirurgico
Empiema postquirurgico
Empiema Postoperatoria
Espacios pleurales residuales y Fugas
         aereas persistentes
Espacios pleurales residuales y Fugas
         aereas persistentes
Complicaciónes postneumonectomía
Fistula Esofagopleural
Fistula Esofagopleural
Fistula Esofagopleural
Fistula Esofagopleural
SD. Postneumonectomia
SD. Postneumonectomia
Hernia Cardiaca Posneumonectomia
Cirugia de pared Torácica
Quilotórax
Quilotórax
Infección mediastínica y esternal
Figure 8. Poststernotomy infection from Staphylococcus aureus in a 65-year-old man who
         developed a cutaneous fistula of a sternotomy scar 3 weeks after undergoing coronary
                                            bypass surgery.




                        Jeung M et al. Radiographics 1999;19:617-637



©1999 by Radiological Society of North America
Infección mediastínica y esternal
GRACIAS

Complicaciones de Cirugia Torácica