SEGUNDO CURSO
“GENERALIDADES EN PATOLOGÍA QUIRÚRGICA NO TRAUMÁTICA”
Dr. Ricardo Roffo
Servicio de Cirugía General del Hospital de Emergencias de Rosario, Dr. Clemente Álvarez. H.E.C.A.
NEUMOTÓRAX
Dr. Carlos Seineldin
SEGUNDO CURSO
“GENERALIDADES EN PATOLOGÍA QUIRÚRGICA NO TRAUMÁTICA”
Dr. Ricardo Roffo
Servicio de Cirugía General del Hospital de Emergencias de Rosario, Dr. Clemente Álvarez. H.E.C.A.
MODULO DE TÓRAX
DR. CARLOS SEINELDIN
CIRUJANO DE TÓRAX – MEDICO DE STAFF
Curso de Patología Quirúrgica
no Traumática
Neumotórax
Dr . Carlos Seineldin
Hospital de Emergencias “Dr. Clemente Alvarez”
NEUMOTORAX
Definición
Es un síndrome originado por el pasaje
de aire a la cavidad pleural,
generalmente a través de una
perforación pleuro pulmonar, lo que
determina un colapso del pulmón de
grado variable. Forma parte de los
síndromes de compresión endotorácica
CLASIFICACION
NEUMOTORAX
PRIMARIO SECUNDARIO
CLASIFICACION
ETIOPATOGENIA
ETIOPATOGENIA
GRADO DE COLAPSO PULMONAR
• Gradiente tensional broncopleural
• Tamaño de la comunicación broncopleural
• Elasticidad pulmonar
• Estado previo del árbol tráqueobronquial
FRECUENCIA DE SINTOMAS
EXAMEN FISICO
Disminución de vibraciones vocales
Hipersonoridad
Disminución del murmullo vesicular
NEUMOTORAX
FORMAS CLINICAS
• ESPONTANEO
• SECUNDARIO
• HIDRONEUMOTORAX
• HEMONEUMOTORAX
• PIONEUMOTORAX
• HIPERTENSIVO
• SOFOCANTE
• CRONICO
• RECIDIVANTE
• BILATERAL
• LATENTE
• EX VACUO
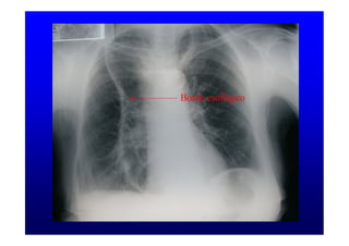
Radiolucidez
Límite pulmonar
radiolucidez
radiopacidad
líquido
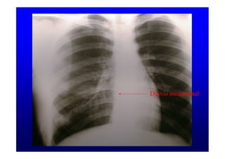
Desvío mediastinal
DIAGNOSTICO DIFERENCIAL
• Bulla de enfisema
• hernia diafragmática
• quistes aéreos
• megaesófago
Signo de bernou
Borde esofágico
EVOLUCION
• Recidivante
• Crónico: Se produce por tratamiento inicial
inadecuado o diagnóstico tardío.
• Bilateral: Simultáneo o sucesivo. La
etiopatogenia puede ser diferente en ambos
lados
TRATAMIENTO
OBJETIVO
Evacuación del aire coleccionado en el
espacio pleural permitiendo la
expansión del pulmón y la creación de
adherencias
CONDUCTA TERAPEUTICA
• Reposo
• Punción Aspiración
• Avenamiento Pleural
• Cirugía
TRATAMIENTO
REPOSO
• No invasivo • Se utiliza en Ntx.
pequeños
• Poca efectividad
• Alta recidiva
• Demanda tiempo
TRATAMIENTO
PUNCION ASPIRACION
• Método simple
• Se puede realizar en
ambiente no quirúrgico,
por médico general
• Alta recidiva
TRATAMIENTO
AVENAMIENTO PLEURAL
• Permite la colocación
de tubos gruesos y
realizar sellamiento
pleural
• Menor recidiva
• Requiere ambiente
quirúrgico y cirujano
• Método agresivo
TRATAMIENTO QUIRURGICO
• Tratamiento definitivo
• Resuelve la causa y
provoca sellamiento
• Método agresivo
• Anestesia general
• Requiere cirujano y
quirófano
VIDEO ADJUNTO AL MATERIAL
INDICACIONES DE CIRUGIA
• En el 1° episodio
• Ante fracaso de tratamiento inicial mediante
avenamiento pleural
• Ante situaciones que se manifiestan después
de la expansión pulmonar
• Recidivante
• Por circunstancias médico laborales
INDICACIONES DE CIRUGIA
• EN EL 1° EPISODIO
1- Hemoneumotorax grave con
descompensación del paciente.
2- Neumotorax contralateral
INDICACIONES DE CIRUGIA
• Ante fracaso de trat. inicial mediante
avenamiento:
1- Por fístula broncopleural persistente
2- Por inexpansibilidad pulmonar
3- Persistencia de hemorragia en
hemoneumotorax avenado
INDICACIONES DE CIRUGIA
• Después de la expansión pulmonar:
1- Ntx. sintomático de entidades
patológicas con indicación de
tratamiento quirúrgico.
2- Pumón expandido con nivel único o
múltiple o pleura sucia
NEUMOTORAX HIPERTENSIVO
Se produce cuando la presión
endopleural supera la presión
atmosférica. Se produce generalmente
por un mecanismo valvular que permite
la entrada de aire desde la vía aérea a la
cavidad pleural. Puede ser progresivo o
detenerse a una determinada presión.
NEUMOTORAX SOFOCANTE
Se manifiesta por un cuadro de disnea
intensa, cianosis y con frecuencia colapso
cardiovascular. Puede ser provocado por
un neumotorax hipertensivo o por un
normotensivo si el paciente tiene
insuficiencia respiratoria o cardiovascular
previa
TRATAMIENTO
NTX. HIPERTENSIVO
Drenaje urgente de la cavidad
TRATAMIENTO
NTX. BILATERAL
Colocación de un avenamiento pleural
en cada hemitorax y operar por lo
menos un lado, para disminuir
posibilidad de recidiva bilateral

MODULO DE TÓRAX - NEUMOTÓRAX