Marco Antonio Estenssoro Torricos
    Eduardo Fernández Versteeg.
Hospital Universitario de Guadalajara.
 Varón de 59 años.
 No alergias conocidas
 DM tipo 2 y obesidad
 Insuficiencia venosa en MMII.
 Niega otras antecedentes medico-quirúrgicos de
  interés.
 Tratamiento actual: Metformina 850 mg 1 cp/12 h,
  Ibuprofeno 600 mg/ 8 h.
Derivado de Atención Primaria por Glicemia de 429,
 administrando 10 UI insulina .
Menos de 24 horas de evolución.
Sensación distérmica.
Tos sin expectoración.
Molestias lumbares.
Dolor abdominal inespecífico.
Constantes: TA 93/69 mmHg, FC 117 lpm, FR 22 rpm,
 Tª 36 ºC, SatO2 93%
Aspecto general: Regular estado general, Diaforesis,
 leve palidez, Deshidratación de mucosas, leve
 obnubilación.
Abdomen: doloroso a la palpación en FID e Flanco
 derecho, RHA +. PPR derecha + , celulitis en FID,
 ingle derecha y zona perineal . Aumento de volumen
 de testículo izquierdo.
Cardiopulmonar . Normal.
 Neurológico: Normal.
Fluidoterapia intravenosa, con 2.000 ml de suero
 fisiológico.
Antibioterapia empírica:
  Ceftriaxona 2 gr.
   Metronidazol. 500 mg.
Insulina rápida 8UI.
SEPSIS GRAVE DE
                        ORIGEN ABDOMINAL
 Pielonefritis aguda    Celulitis de pared
  complicada.             abdominal suprapúbica.
 Cólico renoureteral    Absceso abdominal.
  complicado.            Absceso perianal.
 Absceso renal.         Gangrena de Fournier.
 Absceso testicular.    Estrangulamiento de
                          una hernia ínguino-
                          escrotal
                         Otras causas de
                          abdomen agudo.
Valorado por urología.


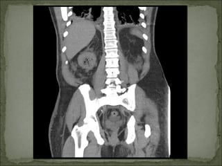
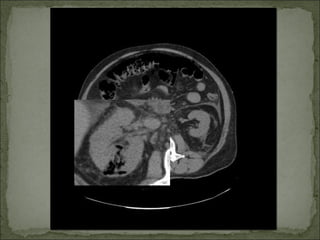
Se solicita TAC abdomino-pélvico.
Sepsis grave de origen urológico: Pielonefritis
 enfisematosa.

Descompensación        diabética    no     cetósica
 secundaria a Pielonefritis Enfisematosa.

Insuficiencia renal aguda secundaria.


Celulitis abdominal e inguinoescrotal derecha.
 Estabilidad clínica y hemodinámica.
 Ingreso en planta de urología.
   Sueroterapia: S. Fisiológico 2.500 cc + S. Glucosado
     2.500cc
    Antibioticoterapia:
       Ceftriaxona 2 gr c/24 hrs
       Levofloxacino 500 mg/24 hrs (urología)
       Metronidazol 500 mg /6 hrs.
 Insulina.
Evolución tórpida.


Ingreso en UVI.


Nefrectomía derecha.
Desescalada antibiótica tras resultado de cultivos.


Mejoría clínica y analítica.


Alta hospitalaria.
Gas en el parénquima renal, en el espacio perirrenal o
 en las vías urinarias.
Bacilos gramnegativos anaerobios facultativos:
   E.Coli (70 a 90%)
   Klebsiella pneumoniae.
   Proteus.
   Bacteroides fragilis. (1%)
Edad media 55 años.
Mas frecuente en mujeres (75%).
Casi exclusiva en pacientes diabéticos (mal control).
Uropatía obstructiva.
Bilateral en 10% de los casos.
Mortalidad 70%
AREAS DE
                      MICROINFARTO.




               DISMINUCIÓN DE O2 TISULAR +
                    AUMENTO DE GLUCOSA




UROPATOGENOS          FERMENTACIÓN           GAS (N, H, CO2, O2)
                         GLUCOSA




                ANAEROBIOS FACULTATIVOS
DIAGNÓSTICO
Similar    a Pielonefritis, Rx abdomen: método
 evolución tórpida:           inespecífico.
   Tipo 1: Mortalidad 70 a  Ecografía renal: gas en el
   90%.                       parénquima renal y vías
   Tipo 2: Mejor             urinarias.
   pronóstico.               TC: método de elección.
Gas limitado al sistema   1
       colector .

Gas en el parénquima      2
        renal

   Gas en el espacio      3A
     perirrenal

   Gas en el espacio      3B
     pararrenal

Afectación bilateral o    4
   de riñón único
Medidas de soporte.
Antibioticoterapia :
   Cefalosporina de tercera generación + aminoglucósido.
   β-lactámico      de        amplio       espectro
    (imipenem o piperacilina/tazobactam).
Cirugía:
   Nefrectomía.
   Drenaje percutáneo.
GRACIAS

De la hiperglucemia al quirófano

  • 1.
    Marco Antonio EstenssoroTorricos Eduardo Fernández Versteeg. Hospital Universitario de Guadalajara.
  • 2.
     Varón de59 años.  No alergias conocidas  DM tipo 2 y obesidad  Insuficiencia venosa en MMII.  Niega otras antecedentes medico-quirúrgicos de interés.  Tratamiento actual: Metformina 850 mg 1 cp/12 h, Ibuprofeno 600 mg/ 8 h.
  • 3.
    Derivado de AtenciónPrimaria por Glicemia de 429, administrando 10 UI insulina . Menos de 24 horas de evolución. Sensación distérmica. Tos sin expectoración. Molestias lumbares. Dolor abdominal inespecífico.
  • 4.
    Constantes: TA 93/69mmHg, FC 117 lpm, FR 22 rpm, Tª 36 ºC, SatO2 93% Aspecto general: Regular estado general, Diaforesis, leve palidez, Deshidratación de mucosas, leve obnubilación. Abdomen: doloroso a la palpación en FID e Flanco derecho, RHA +. PPR derecha + , celulitis en FID, ingle derecha y zona perineal . Aumento de volumen de testículo izquierdo. Cardiopulmonar . Normal.  Neurológico: Normal.
  • 6.
    Fluidoterapia intravenosa, con2.000 ml de suero fisiológico. Antibioterapia empírica: Ceftriaxona 2 gr.  Metronidazol. 500 mg. Insulina rápida 8UI.
  • 13.
    SEPSIS GRAVE DE ORIGEN ABDOMINAL  Pielonefritis aguda  Celulitis de pared complicada. abdominal suprapúbica.  Cólico renoureteral  Absceso abdominal. complicado.  Absceso perianal.  Absceso renal.  Gangrena de Fournier.  Absceso testicular.  Estrangulamiento de una hernia ínguino- escrotal  Otras causas de abdomen agudo.
  • 14.
    Valorado por urología. Sesolicita TAC abdomino-pélvico.
  • 18.
    Sepsis grave deorigen urológico: Pielonefritis enfisematosa. Descompensación diabética no cetósica secundaria a Pielonefritis Enfisematosa. Insuficiencia renal aguda secundaria. Celulitis abdominal e inguinoescrotal derecha.
  • 19.
     Estabilidad clínicay hemodinámica.  Ingreso en planta de urología.  Sueroterapia: S. Fisiológico 2.500 cc + S. Glucosado 2.500cc  Antibioticoterapia:  Ceftriaxona 2 gr c/24 hrs  Levofloxacino 500 mg/24 hrs (urología)  Metronidazol 500 mg /6 hrs.  Insulina.
  • 20.
    Evolución tórpida. Ingreso enUVI. Nefrectomía derecha.
  • 24.
    Desescalada antibiótica trasresultado de cultivos. Mejoría clínica y analítica. Alta hospitalaria.
  • 26.
    Gas en elparénquima renal, en el espacio perirrenal o en las vías urinarias. Bacilos gramnegativos anaerobios facultativos:  E.Coli (70 a 90%)  Klebsiella pneumoniae.  Proteus.  Bacteroides fragilis. (1%)
  • 27.
    Edad media 55años. Mas frecuente en mujeres (75%). Casi exclusiva en pacientes diabéticos (mal control). Uropatía obstructiva. Bilateral en 10% de los casos. Mortalidad 70%
  • 28.
    AREAS DE MICROINFARTO. DISMINUCIÓN DE O2 TISULAR + AUMENTO DE GLUCOSA UROPATOGENOS FERMENTACIÓN GAS (N, H, CO2, O2) GLUCOSA ANAEROBIOS FACULTATIVOS
  • 29.
    DIAGNÓSTICO Similar a Pielonefritis, Rx abdomen: método evolución tórpida: inespecífico.  Tipo 1: Mortalidad 70 a Ecografía renal: gas en el 90%. parénquima renal y vías  Tipo 2: Mejor urinarias. pronóstico. TC: método de elección.
  • 30.
    Gas limitado alsistema 1 colector . Gas en el parénquima 2 renal Gas en el espacio 3A perirrenal Gas en el espacio 3B pararrenal Afectación bilateral o 4 de riñón único
  • 31.
    Medidas de soporte. Antibioticoterapia:  Cefalosporina de tercera generación + aminoglucósido.  β-lactámico de amplio espectro (imipenem o piperacilina/tazobactam). Cirugía:  Nefrectomía.  Drenaje percutáneo.
  • 32.