EVALUACION DEL CORAZON FETAL EN LA ECOGRAFIA OBSTETRICA Antonio Terrones, Médico Especialista en Ginecología y Obstetricia
CARDIOPATIA CONGENITA Alteración estructural o funcional del corazón y/o sus vasos, presentes al nacer INCIDENCIA 8-10 / 1.000 RN vivos
CARDIOPATIA CONGENITA EPIDEMIOLOGIA 2 % de los RN son malformados 25 % de malfos tienen CC Tasa de detección prenatal de CC: 20 % 90 % de las CC no tienen FR
¿Por qué es tan difícil evaluar el corazón fetal? El corazón, al término, es parcialmente asimétrico Está lateralizado Se mueve rápido Su posición espacial depende de la estática fetal Se mueve el feto Se mueve la madre
¿Por qué es tan difícil evaluar el corazón fetal? Es pequeño Los “grandes vasos” tienen un diámetro menor de 9 mm al término Son asimétricos Se cruzan La patología es evolutiva y variable Existen variantes anatómicas normales No siempre se logran todos los cortes
CORAZON FETAL Modalidades de evaluación Screening Ecografía obstétrica Diagnóstica Ecocardiografía fetal
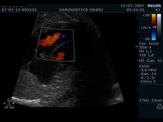
ECOCARDIOGRAFIA FETAL Modo B Modo M Doppler ¿CUANDO? A partir de la sem 12 por vía TV A partir de la sem 18 por vía abdominal Optimo: semana 22
ECOCARDIOGRAFIA FETAL  Indicaciones MATERNAS Antecedentes heredofamiliares Enfermedades metabólicas Infecciones maternas Exposición a teratógenos cardíacos Enfermedades autoinmunes Fertilización asistida FM previo Edad materna > 35 años
ECOCARDIOGRAFIA FETAL  Indicaciones FETALES TN > P 95 Gemelar Malfo no cardíaca Sospecha de malfo cardíaca Arritmia Cariotipo anormal Hidrops RCF Polihidramnios / Oligohidramnios
EVALUACION DEL CORAZON FETAL ECOGRAFIA OBSTETRICA (Screening o tamizaje)
Evaluación del corazón fetal en la ecografía obstétrica Modo B ¿CUANDO? Segundo y tercer trimestres ¿Como? De mayor a menor
 
1) LONGITUDINAL / CEFALICA / DORSO IZQ
Apex y estómago: ¿Cerca o lejos del transductor? Lejos Long/Cef/D.izq
2) LONGITUDINAL / PODALICA / DORSO DER
Apex y estómago: ¿Cerca o lejos del transductor? Long/Pod/D.der Lejos
 
 
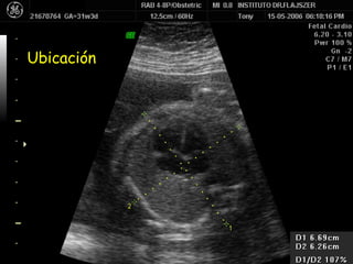
EXAMEN BASICO GENERAL Ubicación Eje Tamaño  Cámaras Pericardio Ritmo VALVULAS AV Apertura y movimiento Inserción AURICULAS Tamaños Flap del foramen oval Septum VENTRICULOS Tamaños Paredes Banda moderadora Tabique
EXAMEN BASICO GENERAL Ubicación Eje Tamaño  Cámaras Pericardio Ritmo
Ubicación
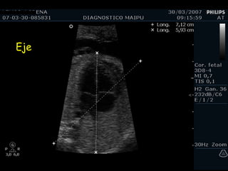
Eje
Tamaño
 
Cámaras COLUMNA AORTA ESTERNON VP VP BANDA MODERADORA FLAP VI VD AI AD
Pericardio
Ritmo
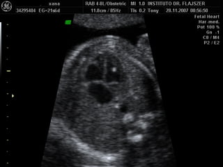
EXAMEN BASICO AURICULAS Tamaños Flap del foramen oval Septum
Tamaños
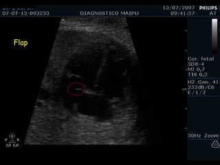
Flap
Septum
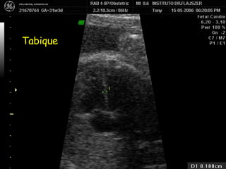
EXAMEN BASICO VENTRICULOS Tamaños Paredes Banda moderadora Tabique
Tamaño
Paredes
Banda moderadora
Tabique
 
 
 
EXAMEN BASICO VALVULAS AV Apertura y movimiento Inserción
 
VALVULA MITRAL VALVULA TRICUSPIDE
EXAMEN BASICO EXTENDIDO Corte de 3 vasos Tracto de salida izquierdo Tracto de salida derecho
 
 
 
OTROS CORTES
 
 
 
 
 
 
 
 
 
?
EN SINTESIS Constatar que tiene corazón Que está en el tórax Que late Evaluar situs Magnificar la imagen Reconocer las cámaras Evaluar los tabiques Evaluar ritmo 3 vasos
DEMO
 
 
 
 
 
 
www.antonioterrones.com antonioterrones.com tony

Ecografia Basica Del Corazon Fetal