Ecocardiografía
Estudio cardiaco fetal
Dr. Roberto Rodríguez
medicinafetal.hulp@salud.madrid.org
PRECISIÓN
DIAGNÓSTICA
▪ Entre el 7 y el 96% de
las cardiopatías se
diagnostican por
ecografía
▪ Cuatro cámaras ~
50% cardiopatías
diagnosticables
▪ Cuatro cámaras +
tractos de salida ~
70% cardiopatías
detectables
MAGNITUDE DEL
PROBLEMA
▪ 8/1000 RN (1%)
▪ 90% en población general (no
de alto riesgo)
▪ Seis veces más frecuentes que
las alteraciones cromosómicas
▪ Cuatro veces más comunes
que los defectos del tubo
neural
▪ Anomalía cromosómica
asociada hasta en 1 de cada 4
cardiopatías
▪ Otra anomalía en un tercio de
los casos
• Historia familiar de cardiopatías en padres y hermanos
• Enfermedades maternas (diabetes, autoanticuerpos Ro y LA,
fenilcetonuria)
• Exposición a teratógenos durante (alcohol, litio, ácido valproico,
anfetaminas, ácido retinoico, warfarina)
• Infecciones intraútero (rubeola, citomegalovirus, coxsackie, parvovirus)
• Exposición a radiaciones ionizantes
• Anomalía fetal en otro órgano, incluyendo TN aumentada (> p99)
• Anomalía fetal coromosómica o genética, de la que se conoce su
asociación a cardiopatía
• Hídrops fetal
• Gemelos monocigóticos
• Gestación conseguida con técnicas de reproducción asistida
Población de alto riesgo para cardiopatías
Frecuencia cardiaca
Estática fetal Condiciones maternas /
distancia de la sondaMovilidad del feto
2 cm
Semana 20
Tamaño del corazón
SISTEMÁTICA DE ESTUDIO
Situs, eje, ICT
Cavidades y septos
Conexiones auriculoventriculares
Conexiones ventriculoarteriales
Grandes vasos
Conexiones venoauriculares
Planos de
Yagel
AP
Ao
VCS
T
VCS
AoT
DA
Ao
AI
VI
AI
VI
Ao
VD
AD
CV VCI
Ao
E
Abdomen
4C
5C
3V
3VT
© Chiappa
Derecha
Anterior
Posterior
Izquierda
VT VM
Ao
VP
4C
5C
3V
Ao
VCI
E CV
H
VU
• Eje tansversal del abdomen
en la zona de medida del PA
Situs
Ao
VCI
E CV
H
VU
⚫ Ao por delante y
lado izquierdo de la
columna vertebral
⚫ VCI más adelantada
y hacia la derecha
⚫ Diámetro de la VCI
no superior al de la
Ao
⚫ Estómago en el lado
izquierdo
⚫ Comprobar la
presencia de ductus
venoso
Abdomen
VI
Cuatro cámaras
Coincide con eje transversal del
tórax fetal
VI VD
AD
AI
Ao →
VI
VD
AD
AI
Ao
SP
4CSC
4CAp
4C
4C
▪ Ritmo y frecuencia
▪ Contractilidad
4C
dad
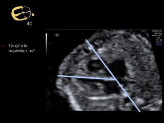
▪ Eje 45º a la
izquierda +- 20º
4C
▪ El área cardiaca
ocupa 1/3 del tórax
4C
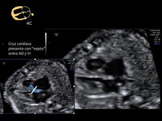
▪ Cruz cardiaca
presente con “septo”
entre AD y VI
4C
▪ Apertura y cierre de
válvulas AV
▪ Inserción más apical
de la VT
▪ CIA OS con septum
primum en AI
4C
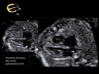
▪ Visualizar al menos
dos venas
pulmonares en AI
4C
▪ Por Doppler color las
válvulas AV no
presentan
aceleraciones ni
reflujos
4C
▪ Flujo preferencial de
derecha a izquierda
en el FO
VI
VD
AD
AI
Ao
*
*
*
AoD
VA
D
I
5C
Cinco cámaras
Desplazamiento paralelo delsde
el plano de cuato cámaras en
sentido cefálico
Eje largo del ventrículo izquierdo o de
la aorta
VI
VD
Ao
VA
AoD
AD
VI
VD
AD
AI
Ao
*
**
AoD
VA
D
I
Cinco cámaras
5C
▪ Ao sale de VI
▪ Se continúa con el
septo IV
5C
▪ Se dirige hacia la
derecha, en medio de
la aurículas
▪ La válvula Ao abre y
cierra con normalidad,
dejándose de visualizar
en sístole
5C
▪ Por Doppler color la
Ao no presenta
aceleraciones ni
reflujos
▪ Cruce y dirección de
los vasos
3V
CVAP
Ao
VCS
RDAP
RIAP
Plano de tres vasos
Paralelo al cuatro cámaras en
dirección cefálica
3V
▪ La AP sale del VD
▪ Se dirige hacia la
izquierda y hacia atrás
▪ Se bifurca en ángulo
agudo
▪ Su tamaño es
ligeramente superior al
de la Ao
▪ La VP abre y cierra con
normalidad, dejándose
de visualizar en sístole
3V
▪ Vasos en línea y de
tamaño decreciente
3V
▪ Por doppler color la VP
no presenta
aceleraciones ni reflujos
CV
DA
Ao
VCS
T
3VT
Tres vasos-tráquea
Paralelo al 3V y más
cefálico
3VT
▪ La Ao transversa y el
ductus son
aproximadamente del
mismo tamaño
▪ La VCS se ve en sección
transversal a la derecha
de la Ao
▪ La tráquea está a la
derecha de los grandes
vasos, por debajo de la
VCS
▪ No hay vasos accesorios
3VT
▪ Por Doppler color los dos
vasos arteriales tienen
flujo anterógrado
medicinafetal.hulp@salud.madrid.org

Estudio cardiaco fetal