Dr.: Erwin Giesen A.
Interna: Sarah Elgueta
Fecha:14/05/14
ECOGRAFÍA
OBSTETRICA
NORMAL
DEFINICION
Ecografía obstetrica
US
La ecografía o ultrasonografía
es un método diagnóstico que
emplea ondas acústicas de
alta frecuencia (ultrasonidos) y
obtiene imágenes de los
órganos internos al captar el
eco de estas ondas
VENTAJAS Y DESVENTAJAS
VENTAJAS.
•Accesibilidad
•No se necesita
preparación
•Inocuidad
•Barato
DESVENTAJAS.
•Entrenamiento previo.
•Resolución del
equipo.
•Tiempo dedicado al
examen
•Operador
Dependiente
Ecografía obstetrica
ULTRASONIDO POR TRIMESTRES
Primer trimestre
 Precoz <12
Segundo trimestre
 Semana 18
 Semana 24
Tercer trimestre
 Semana 28
 Semana 34
Edad gestacional
Desarrollo fetal,
Anatomia
Bienestar Fetal,Peso
fetal, liquido y
placenta
Ecografía obstetrica
I
Trimestre
ECOGRAFIA NORMAL
PRIMER TRIMESTRE
 Evaluar forma y tamaño de saco gestacional
 Estimación edad gestacional
 Embarazo multiple numero de embriones
 Locaclizacion del embarazo(descartar
ectopico)
 Corionicidad en gemelos
 Pronostico del embarazo
 Patologias asociadas
 Guía de procedimientos
 Discordancia entre altura uterina y
amenorrea
Ecografía obstetrica
 Sospecha clínica de masa anexial
 Detectar marcadores de cromosomopatías
 Diagnóstico precoz de anomalías fetales
 Comprobar la vitalidad del embrión y su
correcto desarrollo
 Explorar el útero y anexos en busca de
patología concomitante
Ecografía obstetrica
A EVALUAR
•localización, tamaño y número.
SACO GESTACIONAL:
•presencia, tamaño y características.
SACO VITELINO:
•presencia, número y morfología.
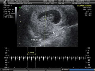
EMBRIÓN:
•frecuencia y ritmo
ACT CARDIACA:
UTERO Y ANEXOS.
Ecografía obstetrica
 Estructura anecoica con reborde
periférico altamente ecogénico
que corresponde al trofoblasto
 Signo de doble saco decidual permite diferenciación
de colección endometrial o seudosaco
 DSM es promedio de 3 diámetros del saco
 Crece 1 mm por día
Primera estructura visible:
4º sem TV
5º sem abdominal
bHCG>1000
Ecografía obstetrica
Nivel descriminatorio:
 Vía transvaginal: 1000 a 2000 sub b-HCG 4ª semanas
 Vía transabdominal: 3600 mUI/ml 5º semana
Mientras no aparezca saco vitelino ni embrión puede
confundirse con:
Sangre intracavitaria
Quistes adenomióticos
Estenosis cervical con retención de fluido intracavitario
Pseudosaco gestacional de un embarazo ectópico
Ecografía obstetrica
MAL PRONÓSTICO
Desviación del crecimiento normal de 1 mm por día
Forma irregular
Inadecuada reacción trofoblástica <2mm
Mapa color pobre en la periferia del SG
Inserción baja
Amenorrea y ausencia de SG intracavitario.
Embarazo ectópico
Saco gestacional > 8 mm sin saco vitelino
(transadb 20 mm)
Saco gestacional > 16 mm sin embrión (transabd
25 mm)
Cavidad amniótica sin embrión
Ecografía obstetrica
 Visible desde:
5 sem TV, mide 1 a 2 mm de diámetro
6 sem abdominal
 Anillo ecogénico con centro anecoico
 Importancia:
precede 4 a 7 dias al embrion.
 Crece 1 mm por semana
 Desaparece a las 12-13 sem
 Tamaño descriminatorio de saco vitelino 8
a 10 mm (transvaginal) y 20 mm
(transabdominal)
Ecografía obstetrica
 Utilidad:
Confirma que imagen líquida corresponda a saco
Idea aprox de edad gestacional
Referencia para localizar embrión
Morfología y tamaño se altera en embarazo precoz
anormal
MAL PRONÓSTICO:
Tamaño < 2mm o > de 8mm a la 6º sem
Saco doble o contorno irregular
Hiperecogenicidad
Ecografía obstetrica
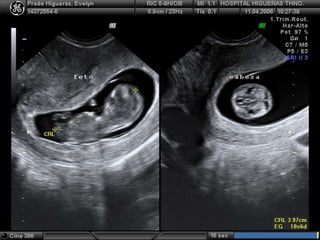
 Debe verse siempre que DSM alcance los 16 a 18 mm
 Medición de la CRL es el mejor parámetro para estimar edad
gestacional
 Edad gestacional:
 42 + LEM en mm = Dias
 6,5 + LEM en cm = Semana
Rango de error +/- 5 dias
 Frecuencia cardiaca debe ser detectada cuando
embrión alcanza 4 a 5 mm
 Visualización de actividad cardiaca a la 8 semana
es signo de buen pronóstico, la tasa de pérdidas del
embarazo es de 2 al 3%
 Bradicardia embrionaria es muy mal pronóstico
 Latidos cardiacos en primer trimestre
90 128 174 161 147
6ª 6+4 9ª 11ª 14ª
 Saco vitelino + Embrión adyacente
 Embrión inicialmente es líneal, luego en forma
de “C”
 Doppler mayor concentración de vasos en el
sitio de localización placentaria
 Se diferencia cavidad amniótica de coriónica
 Se distingue polo cefálico de tronco (LCN 12mm)
 Comienza a identificarse el amnios envolviendo
completamente al embrión
 Aparecen los esbozos de EESS
 Embrión comienza a plegarse sobre sí mismo
 Imagen de vesícula sonolucente, romboencéfalo, en polo cefálico
 Se identifica cordón umbilical
Aparecen esbozos de EEII
Aparecen nuevas vesiculaciones
en polo cefálico
Comienzan los movimientos
embrionarios
Cavidad amniótica ocupa 50% de
cavidad coriónica
Se visualiza claramente cordón
umbilical y su inserción
Parte del intestino protruye en la
base del cordón umbilical (Hernia
umbilical fisiológica)
Se comienzan a ver los plexos
coroideos
Hernia umbilical fisiológica
(11 sem)
Inserción normal del
cordón (12 sem)
 Extremidades bien definidas incluyendo los dedos
 Mediciones de huesos largos pueden ser informadas en esta
edad
 Embrión tiene aspecto humano
 Estomago puede verse en el 70% de los casos
 Se visualizan ambos riñones como masas hiperecogénicas,
luego se tornan más hipoecoico
 Comienza osificación de la calota y de la columna
TORAX
Canal neural
Corazón: 3 cámaras(11º); 4
cámaras y aorta (12º)
Estómago
Intestino en cavidad
abdominal
Hígado
Riñones
Vejiga
CABEZA
-Hoz del cerebro
-Septum pellucidum y su
cavum
-Tálamo
-Plexos coroideos
-Tejido de hemisferios
cerebrales sonolucentes
-Cerebelo
-Cisterna magna
-Distancia interorbitaria
IDENTIFICAR
Ecografía obstetrica
 Genitales externos tienen como precursor al tubérculo genital
 20% conserva herniación fisiológica del intestino
 No se puede hablar de onfalocele hasta las semanas 13º -
14º, salvo que este sea masivo
Estructuras
Saco gestacional
Saco vitelino
Embrión
Actividad cardíaca
Vesículas cerebrales
Miembros superiores
Miembros inferiores
Movimientos fetales
Placenta
Hernia umbilical fisiológica
Hoz del cerebro
Cerebelo
Estómago
Calota
Riñones
Dedos
Vejiga
Cavid cardíacas y Genitales
Semanas
4,5
5
6
5 1/2
8
8
9
9
9
9
10
10
10
11
11
11
11
13
 Son varios marcadores que tienen la mayor capacidad de
detección. Casi siempre que se descubra alguna alteración
en alguno de ellos se procederá a sugerir la realización de
una prueba diagnóstica más específica
Translucencia Nucal
Ductus Venoso
Huesos Nasales (HN)
Válvula tricúspidea
Arteria Uterina
MARCADORES ESPECÍFICOS:
Translucencia Nucal
 Espacio existente entre la columna
cervical y la piel de la nuca del feto.
En líneas generales éste deberá ser
menor de 2.5 mm.
 Si se supera esta dimensión se
considera positivo y se sugerirá
realizar otros estudios.
 Detección aproximada para Síndrome
de Down : 75-80%
 Francamente anormal >3,5mm
MARCADORES ESPECÍFICOS:
Ductus Venoso:
 Pequeña porción de la vena
umbilical antes de su llegada al
corazón.
 La alteración en la forma de las
ondas obtenidas del flujo de esta
estructura anatómica fetal se
considera anormal y sugiere
riesgo elevado de Síndrome de
Down o Cardiopatía Congénita.
 Detección reportada: 80-90%
(Down); detección variable en
Cardiopatías.
MARCADORES ESPECÍFICOS:
Huesos Nasales (HN):
 Los bebés con Síndrome de
Down tienen los huesos
propios de la nariz más
pequeños que los bebés
sanos.
 Se consideran anormales
cuando miden menos de
2.5 mm.
MARCADORES ESPECÍFICOS:
II
Y
III
Trimestre
ECOGRAFIA NORMAL
II Y III TRIMESTRE
II Trimestre
• 22-24 SEMANAS
• ÓRGANOS EN PLENO
CRECIMIENTO Y DESARROLLO
• IMPORTANTE EL 1º EXAMEN
• (EG SEGURA, Nº FETOS,
ANOMALÍAS FETALES, UTERINAS Y
ANEXIALES)
OBJETIVOS:
• REEVALUAR ANATOMÍA FETAL (FETO
NORMAL O MALFORMACIÓN)
• EVALUAR CRECIMIENTO FETAL
• EVALUAR VITALIDAD FETAL
• EVALUAR CONFORMACIÓN CORDÓN
UMB, PLACENTA Y LIQ. AMNIÓTICO
• PESQUIZA SHE Y/O RCIU  DOPPLER A.
UTERINAS
II Trimestre
ELEMENTOS ESENCIALES
CABEZA Y CUELLO
 Cerebelo
 Cuerpos coroides
 Ventrículos laterales
cerebrales
 Hoz del cerebro( línea
media)
 Quinto ventrículo
TÓRAX
 Proyección del
corazón
 Frecuencia cardiaca
fetal.
 Pulmones
 Diafragma
ABDOMEN
 Estomago presencia, tamaño, y
sitio
 Riñones
 Vejiga
 Inserción del cordón umbilical
 Numero de vasos del cordón
umbilical
COLUMNA
 Zona cervical, torácica, lumbar y
sacra
GENERO
 Sexo del feto
 Indicado para embarazo de bajo
riesgo solo para evaluación de
gestación múltiple
TÉCNICA:
EVALUACIÓN ANATOMÍA FETAL
CRÁNEO Y ENCÉFALO
Buscar anomalías del SNC, cálculo EG
• DBP: > diámetro transv de cabeza fetal,
útil para EG, mejor entre 12-20 a 28 sems
(error 1,2 sems en 2º trim)
II Trimestre
Septum pel.
tálamo
atrium
EVALUACIÓN ANATOMÍA FETAL
CRÁNEO Y ENCÉFALO
DBP/DOF x 100ÍNDICE CEFÁLICO
NORMAL: 74-83
< 74: DOLICOCEFALIA
> 83: BRAQUICEFALIA
EVALUACIÓN ANATOMÍA FETAL
CRÁNEO Y ENCÉFALO
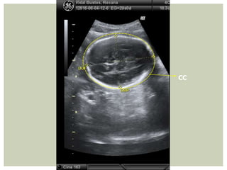
• PERÍMETRO CEFÁLICO (CC): Mejor que DBP para EG, ya
que no se afecta x cambios en morfología craneana. Cálculo
desde lámina externa de calota
CÁLCULO DBP + DOF x 1,57
CC
EVALUACIÓN ANATOMÍA FETAL
CRÁNEO Y ENCÉFALO
• DIÁMETROS ORBITALES: se miden en plano
axial, ligeramente caudal a DBP
¿ PARA QUÉ
SIRVE ?
 HIPOTELORISMO
 HIPERTELORISMO
 MICROFTALMO
DIÁMETROS ORBITALES: se miden en plano axial
DOI  < 2DS: hipotelorismo; >p95: hipertelorismo
DO  < p5: microftalmos
DOI
DOEDO
EVALUACIÓN ANATOMÍA FETAL
CRÁNEO Y ENCÉFALO
• SISTEMA VENTRICULAR: normalmente se identifican
las distintas porciones de ventric lat: cuernos frontales,
cuerpo, atrio, cuernos occipitales y cuernos inf
¿ DÓNDE MEDIR ?
PLANO PARALELO A DBP,
LIGERA% HACIA CORTICAL
• ATRIO: lo + útil para HIDROCEFALIA. Se mide en DBP,
en su interior : plexos coroideos (muy refringentes)
NORMAL: HASTA 7 mm
> 10 mm: HIDROCEFALIA
EVALUACIÓN ANATOMÍA FETAL
CRÁNEO Y ENCÉFALO
• FOSA POSTERIOR (CEREBELO Y CISTERNA MAGNA):
en DBP, con inclinación ligera hacia caudal, hasta ver
cerebelo (forma de mariposa). Útil DCT para cálculo de
EG, visible desde las 11 sems.
CISTERNA MAGNA se mide en línea ½ desde
pared post de cerebelo a tabla int de occipucio
VALORES
ANCHO NORMAL: 5 mm
> 10 mm: BUSCAR MALF. DANDY-WALKER
< 2 mm: BUSCAR MALF. ARNOLD-CHIARI
(signo de banana en cerebelo)
EVALUACIÓN ANATOMÍA FETAL
CARA
• PLANO SAGITAL (PERFIL): frente, puente nasal, labio
superior e inferior y mandíbula
• PLANO AXIAL: evluación de órbitas, implantación de
dientes en maxilares
• PLANO CORONAL: labios, nariz, transparencia
cristalinos y párpados
EVALUACIÓN ANATOMÍA FETAL
COLUMNA VERTEBRAL
• PLANO LONGITUDINAL: se aprecia en toda su extensión.
Debe recorrerse desde atlas a coxis, viendo cada vértebra y
curvatura lumbosacra
• PLANO AXIAL: normal: centros post de osificación forman
un círculo. En espina bífida: centros en forma de <
EVALUACIÓN ANATOMÍA FETAL
TORAX
• CORAZÓN: parte imprescindible del examen fetal
(descartar CC). 90% de las CC se dan en familias sin antec
de riesgo. Lo mejor es entre 20-24 sems.
inspección de forma y tamaño de
parrilla costal, partes blandas de pared
torácica, pulmones, corazón y
diafragma
EVALUACIÓN ANATOMÍA FETAL
TORAX
TÉCNICA EXAMEN CARDIACO
Verificar anatomía topográfica normal de abdomen y
tórax, identificar lado Dº e Iº del feto (columna,
cabeza, estómago, vasos hepáticos)
Visualizar 4 cámaras (transv al tórax)
CORAZÓN 1/3 área torácica, eje
septum 20-45º a Iº de
eje AP tórax
EXAMEN
CARDIACO
EVALUACIÓN ANATOMÍA FETAL
TORAX
TÉCNICA EXAMEN CARDIACO
20 SEMS: 120-160 lpm
TÉRMINO: 110-150 lpm
NO REQUIERE DOPPLER COLOR, UTIL PARA
ARRITMIAS, BRADI Y TAQUICARDIA
FC FETAL Y RITMO CARDIACO
EVALUACIÓN ANATOMÍA FETAL
ABDOMEN
Evaluar pared abdominal ant y tracto GI. No
muy útil para EG, SÍ PARA EPF
¿ DÓNDE MEDIR ?
PLANO TRANSVERSO A ALTURA DE CÁMARA
GÁSTRICA Y VENA UMBILICAL, DE PIEL A PIEL
EVALUACIÓN ANATOMÍA FETAL
ABDOMEN
DAAP DAT CA
¿ QUÉ MEDIR ?
CC LF
+ EPF
CA = (DAAP + DAT) x 1,57
DAAP
DAT
ESTÓMAGO
EVALUACIÓN ANATOMÍA FETAL
ABDOMEN
VER EN PLANO SAGITAL Y TRANSV (DESCARTAR
ANOMALÍAS)
HERNIA FISIOLÓGICA DESAPARECE A 11-12 SEMS
PARED ABDOMINAL
ANTERIOR
EVALUACIÓN ANATOMÍA FETAL
ABDOMEN
• ESTÓMAGO: a veces visible desde 9 sems,
siempre en 2º control. Plano transv  estructura
ovalada ecolúcida en CSI de abdomen. Si no se ve
 sospechar ATRESIA ESOFÁGICA
• DUODENO: no visible normalmente. En estenosis
porción proximal se dilata (signo doble burbuja)
• INTESTINO: en 2º trimestre lumen de ID: 7 mm,
IG: 20 mm
TRACTO GASTROINTESTINAL
EVALUACIÓN ANATOMÍA FETAL
ABDOMEN
• Evaluación muy importante para descartar
malformaciones
• Riñones pueden identificarse desde 13 sems, pero
es más fácil en 3º trimestre
• PLANO TRANSVERSO: 2 formaciones redondeadas a
cada lado de la columna
• PLANO LONGITUDINAL: forma elíptica
• TAMAÑO RENAL: 30% perímetro abdominal
RIÑONES Y VÍAS URINARIAS
EVALUACIÓN ANATOMÍA FETAL
ABDOMEN
• PELVIS RENAL: área ecolúcida < 6 mm diámetro AP.
Si es > 10 mm  PIELECTASIA
• GLÁNDULA SUPRARRENAL: visibles en plano transv
a nivel estomacal
• URÉTERES: no visibles normalmente
• VEJIGA: siempre visible después de las 20 sems
RIÑONES Y VÍAS URINARIAS
EVALUACIÓN ANATOMÍA FETAL
ESQUELETO
• 8 SEMANAS: Yemas de extremidades
• 9 SEMANAS: Húmero y fémur
• 10 SEMANAS: Cúbito, radio, tibia y peroné
• 11 SEMANAS: Dedos de manos y pies
EVALUACIÓN ANATOMÍA FETAL
ESQUELETO
LONGITUD DE FÉMUR
LO MÁS IMPORTANTE
(cálculo peso,
estimación talla fetal
y EG  2º trimestre)
VER TAMAÑO Y
FORMA
EVALUACIÓN DESARROLLO PONDERAL
FÓRMULAS ESTUDIO PESO
FUNDAMENTAL EG DEL 1º CONTROL
 SHEPARD: DBP Y CA
 HADLOCK: CC, CA Y LF
 CC/CA: útil para Dg
RCIU asimétrico
EVALUACIÓN DESARROLLO PONDERAL
CLASIFICACIÓN PESO FETAL
USO TABLA DE ESTIMACIÓN DE PESO DE GONZALEZ
ARO Alarcon y pitaluga
 AEG: p10 - p90
 PEG: < p10 (80% constituc, 5% RCIU severo, 15% insuf U-P)
 GEG: > p90
EVALUACIÓN VITALIDAD FETAL
PERFIL BIOFÍSICO
 MOVIMIENTOS RESPIRATORIOS FETALES
 MOVIMIENTOS CORPORALES GRUESOS
 TONO FETAL
 VOLUMEN LÍQUIDO AMNIÓTICO
 TNE (monitoreo)
ECO
PERFIL BIOFISICO FETAL
VARIABLE BIOFISICA NORMAL (2 puntos) ANORMAL (0 puntos)
1.- Movimientos
respiratorios fetales
Mínimo un episodio
de 30 segundos en 30
minutos
Ausentes o episodios
menores de 30 seg.
en 30 minutos
2.- Movimientos
corporales
Mínimo tres movi-
mientos cuerpo/extre-
midades en 30
minutos
Menos de tres movi-
mientos cuerpo/ex-
tremidades en 30
minutos
3.- Tono fetal
Mínimo un episodio
de extensión activa,
con recuperación de
la flexión. Abrir y
cerrar la mano se
considera tono
normal.
Ausencia de movi-
miento de extensión.
Extensión lenta con
recuperación parcial
de la flexión.
4.- Líquido Amniótico
Mínimo un bolsillo de
líquido amniótico, que
mida 2 cm. o más en
dos planos perpen-
diculares.
Líquido amniótico
ausente, o bolsillo
inferior a 2 cm. en
dos planos perpen-
diculares.
5.- Frecuencia
cardíaca fetal basal
De tipo reactivo De tipo no reactivo.
PUNTAJE 0-10
Hipoxia aguda: dism
MRF, MCG, TF
Hipoxia crónica: dism
flujo renaloliguria 
OHA
6-8: normal; 4: sospecha hipoxia; 0-2: anormal, hipoxia
CORDÓN UMBILICAL Y PLACENTA
 CORDÓN UMBILICAL: 2 arterias y 1 vena
 PLACENTA: consignar ubicación y
maduración
UBICACIÓN PLACENTA
ANTERIOR O POSTERIOR NORMOINSERTA O PREVIA
• P INSERCIÓN BAJA: inserción segmento
inferior, no alcanza OCI, pero cercano
• PP MARGINAL: borde placentario en
margen de OCI
• PP OCLUSIVA PARCIAL: OCI
parcialmente cubierto por placenta
• PP OCLUSIVA TOTAL: OCI total%
cubierto por placenta
MADURACIÓN PLACENTA (grannum)
• placa corial lisa, sust placentaria homogenea, placa basal sin
ecogenicidades adyacentes
GRADO 0:
• placa corial con ligeras ondulaciones, pequeñas ecogenicidades
lineales c/eje > paralelo a placa corial en sust placentaria. Placa basal
sin modificaciones (sem 30-31)
GRADO 1:
• placa corial c/ondulación más marcada, sust placentaria
c/ecogenicidades más numerosas, forma de cómo que pueden
acercarse a placa basal sin alcanzarla. Ecogenicidades lineales paralelo
a placa basal (35-37 sems)
GRADO 2:
• placa corial marcadamente ondulada, ecogenicidades de sust
placentaria parten desde placa corial, alcanzan placa bassal dividiendo
la placenta. Áreas anecoicas en sust placentaria, ecogenicidades de
mayor tamaño
GRADO 3:
III Trimestre
• 32-34 SEMANAS
• FETO MUESTRA TENDENCIA DE
CRECIMIENTO E INCREMENTO DE PESO
• GRAN UTILIDAD EN PEG Y GEG
• DESCARTAR PEG Y GEG
• EVALUAR BIENESTAR FETAL (PBF)
• DESCARTAR ANOMALÍAS ANATÓMICAS DE
MANIFESTACIÓN TARDÍA
• DESCARTAR ANORMALIDADES DE PLACENTA
(ACRETA O PREVIA)
• DESCARTAR ALTERACIONES DE L.A. (OHA-PHA)
OBJETIVOS:
III Trimestre
 El ultrasonido obstetrico, revolucionó el control
prenatal.
 Su uso se ha extendido al grado de ser un
instrumento indispensable para el ginecólogo.
 Aporta grandes beneficios a la paciente y a su
producto para culminar el un parto saludable.
 Ayuda a disminuir la morbimortalidad fetal
CONCLUSIONES
 Clases USS «Dr Sobarzo»
 Manual Universidad de Chile 2012.
BIBLIOGRAFIA

Ecografia obstetrica normal 2014 chile

  • 1.
    Dr.: Erwin GiesenA. Interna: Sarah Elgueta Fecha:14/05/14 ECOGRAFÍA OBSTETRICA NORMAL
  • 2.
    DEFINICION Ecografía obstetrica US La ecografíao ultrasonografía es un método diagnóstico que emplea ondas acústicas de alta frecuencia (ultrasonidos) y obtiene imágenes de los órganos internos al captar el eco de estas ondas
  • 3.
    VENTAJAS Y DESVENTAJAS VENTAJAS. •Accesibilidad •Nose necesita preparación •Inocuidad •Barato DESVENTAJAS. •Entrenamiento previo. •Resolución del equipo. •Tiempo dedicado al examen •Operador Dependiente Ecografía obstetrica
  • 4.
    ULTRASONIDO POR TRIMESTRES Primertrimestre  Precoz <12 Segundo trimestre  Semana 18  Semana 24 Tercer trimestre  Semana 28  Semana 34 Edad gestacional Desarrollo fetal, Anatomia Bienestar Fetal,Peso fetal, liquido y placenta Ecografía obstetrica
  • 5.
  • 6.
     Evaluar formay tamaño de saco gestacional  Estimación edad gestacional  Embarazo multiple numero de embriones  Locaclizacion del embarazo(descartar ectopico)  Corionicidad en gemelos  Pronostico del embarazo  Patologias asociadas  Guía de procedimientos  Discordancia entre altura uterina y amenorrea Ecografía obstetrica
  • 7.
     Sospecha clínicade masa anexial  Detectar marcadores de cromosomopatías  Diagnóstico precoz de anomalías fetales  Comprobar la vitalidad del embrión y su correcto desarrollo  Explorar el útero y anexos en busca de patología concomitante Ecografía obstetrica
  • 8.
    A EVALUAR •localización, tamañoy número. SACO GESTACIONAL: •presencia, tamaño y características. SACO VITELINO: •presencia, número y morfología. EMBRIÓN: •frecuencia y ritmo ACT CARDIACA: UTERO Y ANEXOS. Ecografía obstetrica
  • 9.
     Estructura anecoicacon reborde periférico altamente ecogénico que corresponde al trofoblasto  Signo de doble saco decidual permite diferenciación de colección endometrial o seudosaco  DSM es promedio de 3 diámetros del saco  Crece 1 mm por día Primera estructura visible: 4º sem TV 5º sem abdominal bHCG>1000 Ecografía obstetrica
  • 11.
    Nivel descriminatorio:  Víatransvaginal: 1000 a 2000 sub b-HCG 4ª semanas  Vía transabdominal: 3600 mUI/ml 5º semana Mientras no aparezca saco vitelino ni embrión puede confundirse con: Sangre intracavitaria Quistes adenomióticos Estenosis cervical con retención de fluido intracavitario Pseudosaco gestacional de un embarazo ectópico Ecografía obstetrica
  • 12.
    MAL PRONÓSTICO Desviación delcrecimiento normal de 1 mm por día Forma irregular Inadecuada reacción trofoblástica <2mm Mapa color pobre en la periferia del SG Inserción baja Amenorrea y ausencia de SG intracavitario. Embarazo ectópico Saco gestacional > 8 mm sin saco vitelino (transadb 20 mm) Saco gestacional > 16 mm sin embrión (transabd 25 mm) Cavidad amniótica sin embrión Ecografía obstetrica
  • 13.
     Visible desde: 5sem TV, mide 1 a 2 mm de diámetro 6 sem abdominal  Anillo ecogénico con centro anecoico  Importancia: precede 4 a 7 dias al embrion.  Crece 1 mm por semana  Desaparece a las 12-13 sem  Tamaño descriminatorio de saco vitelino 8 a 10 mm (transvaginal) y 20 mm (transabdominal) Ecografía obstetrica
  • 14.
     Utilidad: Confirma queimagen líquida corresponda a saco Idea aprox de edad gestacional Referencia para localizar embrión Morfología y tamaño se altera en embarazo precoz anormal MAL PRONÓSTICO: Tamaño < 2mm o > de 8mm a la 6º sem Saco doble o contorno irregular Hiperecogenicidad Ecografía obstetrica
  • 17.
     Debe versesiempre que DSM alcance los 16 a 18 mm  Medición de la CRL es el mejor parámetro para estimar edad gestacional  Edad gestacional:  42 + LEM en mm = Dias  6,5 + LEM en cm = Semana Rango de error +/- 5 dias
  • 19.
     Frecuencia cardiacadebe ser detectada cuando embrión alcanza 4 a 5 mm  Visualización de actividad cardiaca a la 8 semana es signo de buen pronóstico, la tasa de pérdidas del embarazo es de 2 al 3%  Bradicardia embrionaria es muy mal pronóstico  Latidos cardiacos en primer trimestre 90 128 174 161 147 6ª 6+4 9ª 11ª 14ª
  • 21.
     Saco vitelino+ Embrión adyacente  Embrión inicialmente es líneal, luego en forma de “C”  Doppler mayor concentración de vasos en el sitio de localización placentaria  Se diferencia cavidad amniótica de coriónica  Se distingue polo cefálico de tronco (LCN 12mm)  Comienza a identificarse el amnios envolviendo completamente al embrión  Aparecen los esbozos de EESS  Embrión comienza a plegarse sobre sí mismo  Imagen de vesícula sonolucente, romboencéfalo, en polo cefálico  Se identifica cordón umbilical
  • 22.
    Aparecen esbozos deEEII Aparecen nuevas vesiculaciones en polo cefálico Comienzan los movimientos embrionarios Cavidad amniótica ocupa 50% de cavidad coriónica Se visualiza claramente cordón umbilical y su inserción Parte del intestino protruye en la base del cordón umbilical (Hernia umbilical fisiológica) Se comienzan a ver los plexos coroideos
  • 23.
    Hernia umbilical fisiológica (11sem) Inserción normal del cordón (12 sem)
  • 26.
     Extremidades biendefinidas incluyendo los dedos  Mediciones de huesos largos pueden ser informadas en esta edad  Embrión tiene aspecto humano  Estomago puede verse en el 70% de los casos
  • 27.
     Se visualizanambos riñones como masas hiperecogénicas, luego se tornan más hipoecoico  Comienza osificación de la calota y de la columna
  • 28.
    TORAX Canal neural Corazón: 3cámaras(11º); 4 cámaras y aorta (12º) Estómago Intestino en cavidad abdominal Hígado Riñones Vejiga CABEZA -Hoz del cerebro -Septum pellucidum y su cavum -Tálamo -Plexos coroideos -Tejido de hemisferios cerebrales sonolucentes -Cerebelo -Cisterna magna -Distancia interorbitaria IDENTIFICAR Ecografía obstetrica
  • 30.
     Genitales externostienen como precursor al tubérculo genital  20% conserva herniación fisiológica del intestino  No se puede hablar de onfalocele hasta las semanas 13º - 14º, salvo que este sea masivo
  • 31.
    Estructuras Saco gestacional Saco vitelino Embrión Actividadcardíaca Vesículas cerebrales Miembros superiores Miembros inferiores Movimientos fetales Placenta Hernia umbilical fisiológica Hoz del cerebro Cerebelo Estómago Calota Riñones Dedos Vejiga Cavid cardíacas y Genitales Semanas 4,5 5 6 5 1/2 8 8 9 9 9 9 10 10 10 11 11 11 11 13
  • 32.
     Son variosmarcadores que tienen la mayor capacidad de detección. Casi siempre que se descubra alguna alteración en alguno de ellos se procederá a sugerir la realización de una prueba diagnóstica más específica Translucencia Nucal Ductus Venoso Huesos Nasales (HN) Válvula tricúspidea Arteria Uterina MARCADORES ESPECÍFICOS:
  • 33.
    Translucencia Nucal  Espacioexistente entre la columna cervical y la piel de la nuca del feto. En líneas generales éste deberá ser menor de 2.5 mm.  Si se supera esta dimensión se considera positivo y se sugerirá realizar otros estudios.  Detección aproximada para Síndrome de Down : 75-80%  Francamente anormal >3,5mm MARCADORES ESPECÍFICOS:
  • 35.
    Ductus Venoso:  Pequeñaporción de la vena umbilical antes de su llegada al corazón.  La alteración en la forma de las ondas obtenidas del flujo de esta estructura anatómica fetal se considera anormal y sugiere riesgo elevado de Síndrome de Down o Cardiopatía Congénita.  Detección reportada: 80-90% (Down); detección variable en Cardiopatías. MARCADORES ESPECÍFICOS:
  • 36.
    Huesos Nasales (HN): Los bebés con Síndrome de Down tienen los huesos propios de la nariz más pequeños que los bebés sanos.  Se consideran anormales cuando miden menos de 2.5 mm. MARCADORES ESPECÍFICOS:
  • 37.
  • 38.
    II Trimestre • 22-24SEMANAS • ÓRGANOS EN PLENO CRECIMIENTO Y DESARROLLO • IMPORTANTE EL 1º EXAMEN • (EG SEGURA, Nº FETOS, ANOMALÍAS FETALES, UTERINAS Y ANEXIALES)
  • 39.
    OBJETIVOS: • REEVALUAR ANATOMÍAFETAL (FETO NORMAL O MALFORMACIÓN) • EVALUAR CRECIMIENTO FETAL • EVALUAR VITALIDAD FETAL • EVALUAR CONFORMACIÓN CORDÓN UMB, PLACENTA Y LIQ. AMNIÓTICO • PESQUIZA SHE Y/O RCIU  DOPPLER A. UTERINAS II Trimestre
  • 40.
    ELEMENTOS ESENCIALES CABEZA YCUELLO  Cerebelo  Cuerpos coroides  Ventrículos laterales cerebrales  Hoz del cerebro( línea media)  Quinto ventrículo TÓRAX  Proyección del corazón  Frecuencia cardiaca fetal.  Pulmones  Diafragma ABDOMEN  Estomago presencia, tamaño, y sitio  Riñones  Vejiga  Inserción del cordón umbilical  Numero de vasos del cordón umbilical COLUMNA  Zona cervical, torácica, lumbar y sacra GENERO  Sexo del feto  Indicado para embarazo de bajo riesgo solo para evaluación de gestación múltiple
  • 41.
    TÉCNICA: EVALUACIÓN ANATOMÍA FETAL CRÁNEOY ENCÉFALO Buscar anomalías del SNC, cálculo EG • DBP: > diámetro transv de cabeza fetal, útil para EG, mejor entre 12-20 a 28 sems (error 1,2 sems en 2º trim) II Trimestre
  • 43.
  • 44.
    EVALUACIÓN ANATOMÍA FETAL CRÁNEOY ENCÉFALO DBP/DOF x 100ÍNDICE CEFÁLICO NORMAL: 74-83 < 74: DOLICOCEFALIA > 83: BRAQUICEFALIA
  • 45.
    EVALUACIÓN ANATOMÍA FETAL CRÁNEOY ENCÉFALO • PERÍMETRO CEFÁLICO (CC): Mejor que DBP para EG, ya que no se afecta x cambios en morfología craneana. Cálculo desde lámina externa de calota CÁLCULO DBP + DOF x 1,57
  • 46.
  • 47.
    EVALUACIÓN ANATOMÍA FETAL CRÁNEOY ENCÉFALO • DIÁMETROS ORBITALES: se miden en plano axial, ligeramente caudal a DBP ¿ PARA QUÉ SIRVE ?  HIPOTELORISMO  HIPERTELORISMO  MICROFTALMO DIÁMETROS ORBITALES: se miden en plano axial DOI  < 2DS: hipotelorismo; >p95: hipertelorismo DO  < p5: microftalmos
  • 48.
  • 49.
    EVALUACIÓN ANATOMÍA FETAL CRÁNEOY ENCÉFALO • SISTEMA VENTRICULAR: normalmente se identifican las distintas porciones de ventric lat: cuernos frontales, cuerpo, atrio, cuernos occipitales y cuernos inf ¿ DÓNDE MEDIR ? PLANO PARALELO A DBP, LIGERA% HACIA CORTICAL • ATRIO: lo + útil para HIDROCEFALIA. Se mide en DBP, en su interior : plexos coroideos (muy refringentes) NORMAL: HASTA 7 mm > 10 mm: HIDROCEFALIA
  • 52.
    EVALUACIÓN ANATOMÍA FETAL CRÁNEOY ENCÉFALO • FOSA POSTERIOR (CEREBELO Y CISTERNA MAGNA): en DBP, con inclinación ligera hacia caudal, hasta ver cerebelo (forma de mariposa). Útil DCT para cálculo de EG, visible desde las 11 sems. CISTERNA MAGNA se mide en línea ½ desde pared post de cerebelo a tabla int de occipucio VALORES ANCHO NORMAL: 5 mm > 10 mm: BUSCAR MALF. DANDY-WALKER < 2 mm: BUSCAR MALF. ARNOLD-CHIARI (signo de banana en cerebelo)
  • 54.
    EVALUACIÓN ANATOMÍA FETAL CARA •PLANO SAGITAL (PERFIL): frente, puente nasal, labio superior e inferior y mandíbula • PLANO AXIAL: evluación de órbitas, implantación de dientes en maxilares • PLANO CORONAL: labios, nariz, transparencia cristalinos y párpados
  • 56.
    EVALUACIÓN ANATOMÍA FETAL COLUMNAVERTEBRAL • PLANO LONGITUDINAL: se aprecia en toda su extensión. Debe recorrerse desde atlas a coxis, viendo cada vértebra y curvatura lumbosacra • PLANO AXIAL: normal: centros post de osificación forman un círculo. En espina bífida: centros en forma de <
  • 58.
    EVALUACIÓN ANATOMÍA FETAL TORAX •CORAZÓN: parte imprescindible del examen fetal (descartar CC). 90% de las CC se dan en familias sin antec de riesgo. Lo mejor es entre 20-24 sems. inspección de forma y tamaño de parrilla costal, partes blandas de pared torácica, pulmones, corazón y diafragma
  • 59.
    EVALUACIÓN ANATOMÍA FETAL TORAX TÉCNICAEXAMEN CARDIACO Verificar anatomía topográfica normal de abdomen y tórax, identificar lado Dº e Iº del feto (columna, cabeza, estómago, vasos hepáticos) Visualizar 4 cámaras (transv al tórax) CORAZÓN 1/3 área torácica, eje septum 20-45º a Iº de eje AP tórax
  • 62.
  • 64.
    EVALUACIÓN ANATOMÍA FETAL TORAX TÉCNICAEXAMEN CARDIACO 20 SEMS: 120-160 lpm TÉRMINO: 110-150 lpm NO REQUIERE DOPPLER COLOR, UTIL PARA ARRITMIAS, BRADI Y TAQUICARDIA FC FETAL Y RITMO CARDIACO
  • 65.
    EVALUACIÓN ANATOMÍA FETAL ABDOMEN Evaluarpared abdominal ant y tracto GI. No muy útil para EG, SÍ PARA EPF ¿ DÓNDE MEDIR ? PLANO TRANSVERSO A ALTURA DE CÁMARA GÁSTRICA Y VENA UMBILICAL, DE PIEL A PIEL
  • 66.
    EVALUACIÓN ANATOMÍA FETAL ABDOMEN DAAPDAT CA ¿ QUÉ MEDIR ? CC LF + EPF CA = (DAAP + DAT) x 1,57
  • 67.
  • 69.
    EVALUACIÓN ANATOMÍA FETAL ABDOMEN VEREN PLANO SAGITAL Y TRANSV (DESCARTAR ANOMALÍAS) HERNIA FISIOLÓGICA DESAPARECE A 11-12 SEMS PARED ABDOMINAL ANTERIOR
  • 70.
    EVALUACIÓN ANATOMÍA FETAL ABDOMEN •ESTÓMAGO: a veces visible desde 9 sems, siempre en 2º control. Plano transv  estructura ovalada ecolúcida en CSI de abdomen. Si no se ve  sospechar ATRESIA ESOFÁGICA • DUODENO: no visible normalmente. En estenosis porción proximal se dilata (signo doble burbuja) • INTESTINO: en 2º trimestre lumen de ID: 7 mm, IG: 20 mm TRACTO GASTROINTESTINAL
  • 71.
    EVALUACIÓN ANATOMÍA FETAL ABDOMEN •Evaluación muy importante para descartar malformaciones • Riñones pueden identificarse desde 13 sems, pero es más fácil en 3º trimestre • PLANO TRANSVERSO: 2 formaciones redondeadas a cada lado de la columna • PLANO LONGITUDINAL: forma elíptica • TAMAÑO RENAL: 30% perímetro abdominal RIÑONES Y VÍAS URINARIAS
  • 72.
    EVALUACIÓN ANATOMÍA FETAL ABDOMEN •PELVIS RENAL: área ecolúcida < 6 mm diámetro AP. Si es > 10 mm  PIELECTASIA • GLÁNDULA SUPRARRENAL: visibles en plano transv a nivel estomacal • URÉTERES: no visibles normalmente • VEJIGA: siempre visible después de las 20 sems RIÑONES Y VÍAS URINARIAS
  • 74.
    EVALUACIÓN ANATOMÍA FETAL ESQUELETO •8 SEMANAS: Yemas de extremidades • 9 SEMANAS: Húmero y fémur • 10 SEMANAS: Cúbito, radio, tibia y peroné • 11 SEMANAS: Dedos de manos y pies
  • 75.
    EVALUACIÓN ANATOMÍA FETAL ESQUELETO LONGITUDDE FÉMUR LO MÁS IMPORTANTE (cálculo peso, estimación talla fetal y EG  2º trimestre) VER TAMAÑO Y FORMA
  • 78.
    EVALUACIÓN DESARROLLO PONDERAL FÓRMULASESTUDIO PESO FUNDAMENTAL EG DEL 1º CONTROL  SHEPARD: DBP Y CA  HADLOCK: CC, CA Y LF  CC/CA: útil para Dg RCIU asimétrico
  • 79.
    EVALUACIÓN DESARROLLO PONDERAL CLASIFICACIÓNPESO FETAL USO TABLA DE ESTIMACIÓN DE PESO DE GONZALEZ ARO Alarcon y pitaluga  AEG: p10 - p90  PEG: < p10 (80% constituc, 5% RCIU severo, 15% insuf U-P)  GEG: > p90
  • 80.
    EVALUACIÓN VITALIDAD FETAL PERFILBIOFÍSICO  MOVIMIENTOS RESPIRATORIOS FETALES  MOVIMIENTOS CORPORALES GRUESOS  TONO FETAL  VOLUMEN LÍQUIDO AMNIÓTICO  TNE (monitoreo) ECO
  • 81.
    PERFIL BIOFISICO FETAL VARIABLEBIOFISICA NORMAL (2 puntos) ANORMAL (0 puntos) 1.- Movimientos respiratorios fetales Mínimo un episodio de 30 segundos en 30 minutos Ausentes o episodios menores de 30 seg. en 30 minutos 2.- Movimientos corporales Mínimo tres movi- mientos cuerpo/extre- midades en 30 minutos Menos de tres movi- mientos cuerpo/ex- tremidades en 30 minutos 3.- Tono fetal Mínimo un episodio de extensión activa, con recuperación de la flexión. Abrir y cerrar la mano se considera tono normal. Ausencia de movi- miento de extensión. Extensión lenta con recuperación parcial de la flexión. 4.- Líquido Amniótico Mínimo un bolsillo de líquido amniótico, que mida 2 cm. o más en dos planos perpen- diculares. Líquido amniótico ausente, o bolsillo inferior a 2 cm. en dos planos perpen- diculares. 5.- Frecuencia cardíaca fetal basal De tipo reactivo De tipo no reactivo. PUNTAJE 0-10 Hipoxia aguda: dism MRF, MCG, TF Hipoxia crónica: dism flujo renaloliguria  OHA 6-8: normal; 4: sospecha hipoxia; 0-2: anormal, hipoxia
  • 82.
    CORDÓN UMBILICAL YPLACENTA  CORDÓN UMBILICAL: 2 arterias y 1 vena  PLACENTA: consignar ubicación y maduración
  • 84.
    UBICACIÓN PLACENTA ANTERIOR OPOSTERIOR NORMOINSERTA O PREVIA • P INSERCIÓN BAJA: inserción segmento inferior, no alcanza OCI, pero cercano • PP MARGINAL: borde placentario en margen de OCI • PP OCLUSIVA PARCIAL: OCI parcialmente cubierto por placenta • PP OCLUSIVA TOTAL: OCI total% cubierto por placenta
  • 85.
    MADURACIÓN PLACENTA (grannum) •placa corial lisa, sust placentaria homogenea, placa basal sin ecogenicidades adyacentes GRADO 0: • placa corial con ligeras ondulaciones, pequeñas ecogenicidades lineales c/eje > paralelo a placa corial en sust placentaria. Placa basal sin modificaciones (sem 30-31) GRADO 1: • placa corial c/ondulación más marcada, sust placentaria c/ecogenicidades más numerosas, forma de cómo que pueden acercarse a placa basal sin alcanzarla. Ecogenicidades lineales paralelo a placa basal (35-37 sems) GRADO 2: • placa corial marcadamente ondulada, ecogenicidades de sust placentaria parten desde placa corial, alcanzan placa bassal dividiendo la placenta. Áreas anecoicas en sust placentaria, ecogenicidades de mayor tamaño GRADO 3:
  • 88.
    III Trimestre • 32-34SEMANAS • FETO MUESTRA TENDENCIA DE CRECIMIENTO E INCREMENTO DE PESO • GRAN UTILIDAD EN PEG Y GEG
  • 89.
    • DESCARTAR PEGY GEG • EVALUAR BIENESTAR FETAL (PBF) • DESCARTAR ANOMALÍAS ANATÓMICAS DE MANIFESTACIÓN TARDÍA • DESCARTAR ANORMALIDADES DE PLACENTA (ACRETA O PREVIA) • DESCARTAR ALTERACIONES DE L.A. (OHA-PHA) OBJETIVOS: III Trimestre
  • 90.
     El ultrasonidoobstetrico, revolucionó el control prenatal.  Su uso se ha extendido al grado de ser un instrumento indispensable para el ginecólogo.  Aporta grandes beneficios a la paciente y a su producto para culminar el un parto saludable.  Ayuda a disminuir la morbimortalidad fetal CONCLUSIONES
  • 91.
     Clases USS«Dr Sobarzo»  Manual Universidad de Chile 2012. BIBLIOGRAFIA

Notas del editor

  • #5 Evaluación prenatal y cuando deberían realizarse 11-14
  • #6 Primer trimestre se produce el complejo proceso de la concepción e implantación 90% de las estructuras presentes en el adulto han aparecido Transductor endovaginal de alta frecuencia
  • #10 DSM Diametro sacular medio
  • #14 El saco vitelino es un anexo membranoso adosado al embrión para nutricion embrionaria. En el embrión humano funciona como sistema circulatorio en las etapas de desarrollo, antes de que comience la circulación interna Luego pasa a ser parte del aparato digestivo del embrion. Remanente conducto onfalomesentérico
  • #18 Diametro sacular medio. CRL Longuitud cefalo-raquidea LEM: Longuitud embrional media. Longuitud cefaloraquidea. (cabeza nalga)
  • #20 5-6 sem 51/2
  • #31 Existen imágenes patológicas entre la 9º - 14º sem que normalmente desaparecen al avanzar la gestación: Higroma quístico Hidronefrosis Quistes de plexos coroideos Oligoamnios Polihidroamnios Quistes abdominales Quistes del cordón umbilical Hipertrofia placentaria Hidrops fetal
  • #48  DIÁMETRO ORBITAL INTERNO: distancia entre borde medial de ambas órbitas DIÁMETRO ORBITAL EXTERNO: dist entre bordes externos de ambas órbitas DIÁMETRO OCULAR: dist entre borde medial y lat del mismo ojo
  • #50 >10mm Ventriculomegalia y mas de 15 hidrocefalia
  • #52 TÁLAMO: estructura diencefálica, se ve en DBP (2 formaciones ovaladas, hipoecogénicas, separadas en línea ½ x 3º ventrículo)
  • #53 Malformacion en cerebelo en canal raquimedular (signo de la banana) encefalocele.