Enfermedades
infecciosas

Dra Caamaño
Hospital San Juan de Dios
Generalidades
 • Aspectos demográficos y del medio ambiente
   son responsables entre otros factores en la
   emergencia de enfermedades infecciosas
 • Bioterrorismo
    – Antrax
    – Agentes potenciales según rango de transmisión,
      distribución, defensa contra el agente y posibilidad
      de alarma pùblica,
Table 8-1 -- Some Recently Recognized Infectious Agents and Manifestations


                                   1977    Ebola virus                     Epidemic hemorrhagic fever
                                           Hantaan virus                   Hemorrhagic fever with renal disease
                                           Legionella pneumophila          Legionnaire's disease
                                           Campylobacter jejuni            Enteritis
                                   1980    HTLV-I                          T-cell lymphoma or leukemia
                                   1981    Staphylococcus aureus           Toxic shock syndrome
                                   1982    HTLV-II                         Hairy cell leukemia
                                           Escherichia coli O 157:H7       Hemolytic-uremic syndrome
                                           Borrelia burgdorferi            Lyme disease
                                   1983    HIV                             AIDS
                                           Helicobacter pylori             Gastric ulcers
                                   1985    Enterocytozoon bieneusi         Chronic diarrhea
                                   1988    HHV-6                           Roseola subitum
                                           Hepatitis E                     Enterically transmitted hepatitis
                                   1989    Hepatitis C                     Hepatitis C
                                           Ehrlichia chaffeensis           Human monocytic ehrlichiosis
                                   1992    Vibrio cholerae O 139           New epidemic cholera strain
                                           Bartonella henselae             Cat-scratch disease
                                   1993    Encephalitozoon cuniculi        Opportunistic infections
                                   1994    Anaplasma phagocytophilium      Human granulocytic ehrlichiosis (anaplasmosis)
                                   1995    KSHV (HHV-8)                    Kaposi sarcoma in AIDS
                                   2001    Human metapneumovirus           Respiratory infections
                                   2002    West Nile virus                 Acute flaccid paralysis
                                   2003    SARS coronavirus                Severe acute respiratory syndrome

Adapted from Lederberg J: Infectious disease as an evolutionary paradigm. Emerg Infect Dis 3:417, 1997.
Bioterrorismo
   Microorganismos utilizados como armas
    basados en la eficiencia de los mismos para
    transmitir enfermedades. La dificultad para
    producción y distribución, defensa del
    huésped y su posibilidad para producir temor
    generalizado
   Se han distribuidos por categorías
    – A: viruela,Botulismo, Ebola
    – B:Brucelosis, Salmonella, Encefalitis vìrica
    – C: Hantavirus
   Para entender los mecanismos de las
    E.I. se debe considerar:
     1. Las propiedades virulentas de un
    organismo y
     2. La respuesta del huésped al agente
    infecccioso.
Agentes infecciosos
   Priones: formas anormales de una proteìna
    del huesped (PrP), producen Encefalopatías
    espongiformes transmisibles. La proteina
    sufre un cambio conformacional
   Virus ( organismos intracelulares obligados ).
    Contienen DNA o RNA dentro de su cápside
    o envoltura.
   Bacteriófagos y plásmidos: elementos
    genéticos móbiles que encodan factores de
    virulencia bacteriana ( adhesinas, toxinas,
    resistencia antibiótica )
 Bacterias: No tienen núcleo pero sí
  una pared rígida conteniendo dos hojas
  dobles de fosfolípidos ( gram - ) o una
  sola hoja doble ( gram + ).
 Son la mayor causa de enfermedades
  severas.
 Crecen extracelular ( pneumococo ) o
  intracelular ( M. tuberculosis ).
Estoy sano?

 10(12) bacterias en piel
 10(10) bacterias en boca
 10( 10) bacterias en tracto
  Gastrointestinal
 Clamidia-Rickettsia y Mycoplasmas: son similares a bacterias
  pero han perdido algunas estructuras, el Myc. pared celular o
  capacidades metabólicas Chlam. síntesis de ATP.
 Mycoplasma pneumoniae: trasmite persona a persona, se fija
  en superficie epitelial de vias aereas, produce pneumonía
  atípica ( infiltrado peribronquial linfocitos y cèlulas plasmáticas
 Hongos: tienen gruesas paredes celulares conteniendo quitina
  y crecen en humanos como esporas y formando hifas ( tubos ).
  En inmunocompetentes dan infecciones superficiales como las
  tineas- pie de atleta y abscesos- esporotricosis o granulomas-
  histoplasma.
 En inmunocomprometidos infecciones oportunistas: cándida,
  aspergillus, mucor.
   Protozoos: es una célula simple
   con un núcleo y una membrana celular plegable y
   complejas organelas citoplásmicas Trichomonas
    vaginales- transmitidas sexualmente.
   Entoameba hystolítica y Giardia Lamblia son p.
    intestinales.
   Plasmodium son p. de la sangre transmitidos por
    picadura de insectos.
   Helmintos: son organismos multicelulares
    altamente diferenciados con ciclos de vida
    complejos,
   causan enfermedad en proporción al número
    de organismos infectantes.
   Nemátodos – gusanos redondos- Ascaris-
    Strongyloides
   Ectoparásitos: son artrópodos que atacan y
    viven en la piel y pueden ser vectores para
    otros patógenos.
¿Ahora quièn prodrá
defendernos?
   Las barreras del huésped ante la infección
    evitan que los microbios entren en el cuerpo
    y constan de defensas inmunitarias innatas y
    adquiridas
    –   Barreras físicas
    –   Cèlulas fagocitarias
    –   Cèlulas citolíticas naturales
    –   Proteìnas plasmáticas
Barreras del huésped a la infección

   1. Tracto respiratorio: el aparato mucociliar
    de vías aéreas superiores y los macrófagos y
    neutrófilos dentro de los alveólos, esto según
    tamaño del agente infeccioso.
   2. Tracto G.I.: acidez gástrica, la hoja
    viscosa de moco que cubre el intestino, las
    enzimas pancreáticas líticas y detergentes de
    la bilis. Secreción de Ac IgA y la
    competencia con bacterias comensales en el
    colon.
Barreras del huésped a la infección

   3. Tracto urogenital: vaciado del tracto
    urinario varias veces cada día y la acidez
    vaginal secundaria a hiperinfección con
    lactobacilos.
   4. Piel: la sequedad, pH bajo, àcidos grasos
    que inhiben crecimiento de m.o. y constante
    descamación del epitelio queratinizado,
    impermeable y competencia con bacterias
    comensales.
Propagación y diseminaciòn de
microorganismos
 Proliferación local ( colinizaciòn en el
  epitelio ej cólera)
 Propagación sistémica ( penetran la
  barrera epitelial)
 Manifestación clínica puede ser
  distante al sitio de entrada del
  microorganismo ( ej sarampión)
 Transmisión placentaria-fetal
Expulsión de microorganismos
   Depende de la localizaciòn de la infección:
    –   Descamaciòn de la piel
    –   Tos
    –   Estornudos
    –   Orina
    –   Heces
    –   vectores
   Viabilidad externa del agente depende del
    tipo
Transmisiòn sexual

 Estricto
 Incidental
 Caracterìsticas generales
    – ETS incrementa el riesgo de otra ETS
    – Riesgo de diseminación al feto y lesiòn
Mecanismos de producción de enfermedad

   DIRECTAMENTE EN LA CELULA: contactan y
    entran a la célula causándole muerte.

   LIBERACION DE ENDOTOXINAS Y EXOTOXINAS,
    matan las células a distancia por liberación de
    enzimas ( degradan componentes tisulares / daño a
    vasos sanguíneos y causan isquemia.

   INDUCIR RESPUESTAS CELULARES EN EL
    HUESPED contra el invasor y causa daño
    secundario a los tejidos del huésped supuración /
    reacz hipersensib./ cicatriz o fibrosis.
Mecanismos de lesiòn vírica
   Inhiben síntesis de ADN (ej polio)
   Daño de la integridad en la Membrana
    Celular (VIH)
   Lisis celular ( virus de la gripe)
   Manipulación de la apoptosis ( adenovirus)
   Respuesta inmune ( hepatitis)
   Destrucciòn de celulas con predisposición a
    infecciones secundaris ( virus de la gripe)
   Producción de proliferación y transformación
    celular---------cancer (VPH)
Mecanismos de lesión bacteriana


   Adherencia de las bacterias a las cèlulas del
    huesped ( por medio de adhesinas.
    Fimbrias, )
   Virulencia intracelular ( crecimiento
    intracelular evita mecanismos de respuesta
    inmune)
   Toxinas bacterianas
    – Endotoxinas
    – exotoxinas
   Lesiòn a la inmunidad del huesped ( puede
    ocasionar lesiòn tisular)
Respuesta inflamatoria a la infección
   I. supurativa: por PMN neutrofílicos
    causado por bacterias piogénicas
    cocos g(+), bacilos g(-).
   I. mononuclear: linfocitos, células plasmáticas, macrófagos
    por virus, bacterias intracelulares, espiroquetas, helmintos etc.
   I. citopática-citoproliferativa: por daño viral a las células del
    húesped sin respuesta inflamatoria del huésped,
   muestra cuerpos de inclusión CMV, herpesvirus forma
    ampollas.
   I. necrotizante por virus ej: hepatitis fulminante.
   I. crónica y cicatriz causadas por ciertas infecciones
    bacterianas agudas como salpingitis gonocóccica o
    infecciones crónicas como tuberculosis.
Causas mayores de diarrea infecciosa

    Organismos
    Virus
    Rotavirus               en niños men. 6 años, por agua contaminada y vía fecal-oral
    Adenovirus entéricos    en infantes y niños.

Bacterias
    E. Coli enterotoxígena mayor causa de diarrea en viajeros, comida y agua.
    Campilobacter jejuni     a cualquier edad, más en niños por agua y comida.
    Yersinia enterocolítica igual a la anterior.
    Shigella                 niños y adultos, transmisión directa fecal-oral, por agua y
                            comida contaminada, endémica o epidémica
    Salmonella               niños y adultos, comida y agua contaminada, resrvorios
                            animales y humanos.
    Clostridium difficile    asociado a antibióticos de amplio espectro
                            intrahospitalaria.
    Vibrio cholerae          causa mayor de diarrea epidémica y pandémica.
Causas infecciosas mayores de diarrea

   Parásitos
   Giardia lamblia es común estado de portador
                    causa mayor de diarrea del
                    viajero, por beber agua contaminada

   Entamoeba histolytica en países en desarrollo hay
                          grandes reservorios en estadio
                          portador, transmisión fecal-oral
                          y por vía sexual en
                          homosexuales y a partir de agua
                          y comida contaminada.
GIARDIA LAMBLIA
   Protozoario intestinal prevalente en todo el mundo
   Reside en intestino delgado se adhiere a las células
    epiteliales intestinales pero no las invade
   La infestación puede subclínica, con diarrea aguda o
    crónica con esteatorrea
   No da disentería
   La inmunidad es mediada por Ac incluyendo
    secreción de IgA para la resistencia a G.L. En
    pacientes con sprue agamaglobulinémico tienen
    infecciones frecuentes ( no hay células plasmáticas )
Amebiosis
   Entamoeba histolytica
   Países en vías de desarrollo
   Disentería y absceso hepático
   Forma infectante son los quistes ( resisten ácido gástrico ) y en el
    lúmen intestinal liberan los trofozoítos ( forma ameboide ) que lisa las
    células epiteliales e invade la pared intestinal
   Compromete ciego/ colon ascendente / recto / apéndice
   Crean úlceras de base amplia con un cuello delgado
   Un 40% de pactes con disentería amebiana, los protozoarios alcanzan
    los vasos porta y embolizan al hígado produciendo abscesos
   Abscesos hepáticos con poca inflamación en los márgenes y
    hemorragia en las cavidades, se llenan de un material achocolatado
    poco oloroso, da distensión de la cápsula hepática y dolor. Se dx. Por
    U.S.
    AGENTES INFECCIOSOS NUEVOS
    HP, VIH, HEPATITIS C, HEPATITIS E
    HHV-8 SARCOMA KAPOSI EN SIDA.

  PRIONES
  Estan formados por una proteina del huesped modificada
 No son virus por no tener ARN o ADN
 Causan la encefalopatia espongiformes ej. Kuru (asociado a
  canivalismo humano)
 Se asocian a enfermedades neurodegenerativas como el
  insomnio familiar mortal.
Enfermedades de transmisión sexual

   1. Virus herpes simple de tipos 1 y 2. Son v. de gran
    tamaño, ADN, rodeados por envoltura, son neurotrópicos y
    producen ampollas ( VHS-1 ) y úlceras genitales ( VHS-2 ),
    ceguera ( córnea ) y encefalitis ( infrecuente ).

   En las infecciones primarias se replican y causan lesiones
    vesiculares de la piel y membranas mucosas.

   En las secundarias, los virus que han estado latentes en las
    neuronas se diseminan desde los ganglios hasta la piel y mm.

   Inclusiones intracelulares color rosado ( Cowdry A ) que
    contienen viriones, también dan sincitios multinucleados
    diagnósticos en los frotis.
   2. Chlamydia trachomatis:
    intracelular, causa: uretritis no
    gonoccócica,
             linfogranuloma venéreo
             y tracoma.
            S. de Reiter: conjuntivitis,
                          poliartritis e
                          infección genital
3. Neisseria gonorrhoeae:         diplococo encapsulado, Gram
 ( - ).

 Estenosis uretrales
 Infecciones crónicas epidídimo
                      próstata
                      vesículas seminales
 Trompas de Falopio      abscesos
 tuboováricos

                        esterilidad y embarazos
 ectópicos
 Infección oftálmica perinatal ( ceguera / nitrato de
 plata ).
4. Treponema pallidum ( sífilis ) espiroqueta
    microaerofílica.
   1. Infección primaria: 3 sem. después del contacto
    chancro: lesión única, dura, no dolorosa, elevada en
    pene-cérvix-pared vaginal-ano.
   2. Infección secundaria: 2-10 semanas del chancro
    primario. Erupción cutánea difusa en plantas y
    palmas.
   3. Infección terciaria: al año de la primaria,
    lesiones en aorta, corazón y SNC.
   S. Congénita: aborto tardío, muerte intraútero o en
    el período neonatal o puede persistir latente hasta
    manifestarse en la niñez.
5. Trichomonas vaginalis: protozoario no
  invasor, anaerobio.
 vaginitis: exudado acuoso conteniendo los parásitos.
Infecciones de la infancia y adolescencia

1.Virus de la parotiditis: ARN ( paramixovirus ) aumento de tamaño e
    inflamación que puede comprometer testículos- páncreas- SNC.
2. Virus del sarampión: paramixovirus, exantema cutáneo ( por hipersensibilidad al
    virus ) puede complicarse con neumonía de células gigantes ( mortal )-
    panencefalitis esclerosante subaguda y encefalitis sarampionosa. Se desarrolla
    inmunidad a partir de cels T.
3. Virus Epstein –Barr ( mononucleosis infecciosa ) ( virus fam. Herpes )
    enfermedad linfoproliferativa benigna.
   fiebre / linfadenopatía generalizada / esplenomegalia / presencia de linf.T
    activados y atípicos en sangre.
4. Poliovirus: ARN, enterovirus. Tres cepas en la vacuna SALK ( virus inactivado
    con formalina ) y en la vacuna Sabin ( virus vivos y atenuados ) En 1% de los
    infectados invade SNC y se replica en neuronas motoras de ME dando
    poliomielitis con parálisis muscular y
   del tronco encefálico ( poliomielitis bulbar / con parálisis respiratoria ).
5. Varicela Zoster. Herpes. Infecta mucosas, piel y neuronas. Se transmite por
    saliva y da epidemias, se disemina por vía hematógena / múltiples vesículas en
    piel.
   Tos ferina: Bordetella pertussis, cocobacilo
    G ( - ). En personas que no han recibido
    vacuna DPT ( difteria-tos ferina-tétanos )
    actualmente se sabe que la inmunidad se
    pierde a los 10 años y es necesario
    revacunar.
   Laringotraqueobronquitis y adenomegalias.
   Difteria: Corynebacterium diphfteriae bacilo
    G ( + ) produce una pseudomembrana.
Infecciones oportunistas
   Asociadas con neutropenia y depleción de las células
    T auxiliares ( T helper ).
   Individuos con inmunodeficiencias genéticas o
    adquiridas.

   Citomegalovirus
   Cándida albicans
   Aspergillus
   Mucormicosis
   Pneumocystis carinii
   Toxoplasma
Ectoparásitos
   Vectores para Rickettsias y otros.
   PIOJOS: tifus epidémico.
   GARRAPATAS: fiebre manchada de las
    Montañas rocosas, fiebre Q
   CHINCHES: enfermedad de Chagas/
    tripanosoma Cruzi
   PULGAS.
   SARNA ( ESCABIASIS/ sarcoptes scabeii).
   ACAROS: tifus de los matorrales.
Enfermedades infecciosas-i

Enfermedades infecciosas-i

  • 1.
  • 2.
    Generalidades • Aspectosdemográficos y del medio ambiente son responsables entre otros factores en la emergencia de enfermedades infecciosas • Bioterrorismo – Antrax – Agentes potenciales según rango de transmisión, distribución, defensa contra el agente y posibilidad de alarma pùblica,
  • 3.
    Table 8-1 --Some Recently Recognized Infectious Agents and Manifestations 1977 Ebola virus Epidemic hemorrhagic fever Hantaan virus Hemorrhagic fever with renal disease Legionella pneumophila Legionnaire's disease Campylobacter jejuni Enteritis 1980 HTLV-I T-cell lymphoma or leukemia 1981 Staphylococcus aureus Toxic shock syndrome 1982 HTLV-II Hairy cell leukemia Escherichia coli O 157:H7 Hemolytic-uremic syndrome Borrelia burgdorferi Lyme disease 1983 HIV AIDS Helicobacter pylori Gastric ulcers 1985 Enterocytozoon bieneusi Chronic diarrhea 1988 HHV-6 Roseola subitum Hepatitis E Enterically transmitted hepatitis 1989 Hepatitis C Hepatitis C Ehrlichia chaffeensis Human monocytic ehrlichiosis 1992 Vibrio cholerae O 139 New epidemic cholera strain Bartonella henselae Cat-scratch disease 1993 Encephalitozoon cuniculi Opportunistic infections 1994 Anaplasma phagocytophilium Human granulocytic ehrlichiosis (anaplasmosis) 1995 KSHV (HHV-8) Kaposi sarcoma in AIDS 2001 Human metapneumovirus Respiratory infections 2002 West Nile virus Acute flaccid paralysis 2003 SARS coronavirus Severe acute respiratory syndrome Adapted from Lederberg J: Infectious disease as an evolutionary paradigm. Emerg Infect Dis 3:417, 1997.
  • 4.
    Bioterrorismo  Microorganismos utilizados como armas basados en la eficiencia de los mismos para transmitir enfermedades. La dificultad para producción y distribución, defensa del huésped y su posibilidad para producir temor generalizado  Se han distribuidos por categorías – A: viruela,Botulismo, Ebola – B:Brucelosis, Salmonella, Encefalitis vìrica – C: Hantavirus
  • 6.
    Para entender los mecanismos de las E.I. se debe considerar: 1. Las propiedades virulentas de un organismo y 2. La respuesta del huésped al agente infecccioso.
  • 7.
    Agentes infecciosos  Priones: formas anormales de una proteìna del huesped (PrP), producen Encefalopatías espongiformes transmisibles. La proteina sufre un cambio conformacional  Virus ( organismos intracelulares obligados ). Contienen DNA o RNA dentro de su cápside o envoltura.  Bacteriófagos y plásmidos: elementos genéticos móbiles que encodan factores de virulencia bacteriana ( adhesinas, toxinas, resistencia antibiótica )
  • 9.
     Bacterias: Notienen núcleo pero sí una pared rígida conteniendo dos hojas dobles de fosfolípidos ( gram - ) o una sola hoja doble ( gram + ).  Son la mayor causa de enfermedades severas.  Crecen extracelular ( pneumococo ) o intracelular ( M. tuberculosis ).
  • 10.
    Estoy sano?  10(12)bacterias en piel  10(10) bacterias en boca  10( 10) bacterias en tracto Gastrointestinal
  • 12.
     Clamidia-Rickettsia yMycoplasmas: son similares a bacterias pero han perdido algunas estructuras, el Myc. pared celular o capacidades metabólicas Chlam. síntesis de ATP.  Mycoplasma pneumoniae: trasmite persona a persona, se fija en superficie epitelial de vias aereas, produce pneumonía atípica ( infiltrado peribronquial linfocitos y cèlulas plasmáticas  Hongos: tienen gruesas paredes celulares conteniendo quitina y crecen en humanos como esporas y formando hifas ( tubos ). En inmunocompetentes dan infecciones superficiales como las tineas- pie de atleta y abscesos- esporotricosis o granulomas- histoplasma.  En inmunocomprometidos infecciones oportunistas: cándida, aspergillus, mucor.
  • 13.
    Protozoos: es una célula simple  con un núcleo y una membrana celular plegable y  complejas organelas citoplásmicas Trichomonas vaginales- transmitidas sexualmente.  Entoameba hystolítica y Giardia Lamblia son p. intestinales.  Plasmodium son p. de la sangre transmitidos por picadura de insectos.
  • 14.
    Helmintos: son organismos multicelulares altamente diferenciados con ciclos de vida complejos,  causan enfermedad en proporción al número de organismos infectantes.  Nemátodos – gusanos redondos- Ascaris- Strongyloides  Ectoparásitos: son artrópodos que atacan y viven en la piel y pueden ser vectores para otros patógenos.
  • 15.
    ¿Ahora quièn prodrá defendernos?  Las barreras del huésped ante la infección evitan que los microbios entren en el cuerpo y constan de defensas inmunitarias innatas y adquiridas – Barreras físicas – Cèlulas fagocitarias – Cèlulas citolíticas naturales – Proteìnas plasmáticas
  • 16.
    Barreras del huéspeda la infección  1. Tracto respiratorio: el aparato mucociliar de vías aéreas superiores y los macrófagos y neutrófilos dentro de los alveólos, esto según tamaño del agente infeccioso.  2. Tracto G.I.: acidez gástrica, la hoja viscosa de moco que cubre el intestino, las enzimas pancreáticas líticas y detergentes de la bilis. Secreción de Ac IgA y la competencia con bacterias comensales en el colon.
  • 17.
    Barreras del huéspeda la infección  3. Tracto urogenital: vaciado del tracto urinario varias veces cada día y la acidez vaginal secundaria a hiperinfección con lactobacilos.  4. Piel: la sequedad, pH bajo, àcidos grasos que inhiben crecimiento de m.o. y constante descamación del epitelio queratinizado, impermeable y competencia con bacterias comensales.
  • 19.
    Propagación y diseminaciònde microorganismos  Proliferación local ( colinizaciòn en el epitelio ej cólera)  Propagación sistémica ( penetran la barrera epitelial)  Manifestación clínica puede ser distante al sitio de entrada del microorganismo ( ej sarampión)  Transmisión placentaria-fetal
  • 20.
    Expulsión de microorganismos  Depende de la localizaciòn de la infección: – Descamaciòn de la piel – Tos – Estornudos – Orina – Heces – vectores  Viabilidad externa del agente depende del tipo
  • 21.
    Transmisiòn sexual  Estricto Incidental  Caracterìsticas generales – ETS incrementa el riesgo de otra ETS – Riesgo de diseminación al feto y lesiòn
  • 22.
    Mecanismos de producciónde enfermedad  DIRECTAMENTE EN LA CELULA: contactan y entran a la célula causándole muerte.  LIBERACION DE ENDOTOXINAS Y EXOTOXINAS, matan las células a distancia por liberación de enzimas ( degradan componentes tisulares / daño a vasos sanguíneos y causan isquemia.  INDUCIR RESPUESTAS CELULARES EN EL HUESPED contra el invasor y causa daño secundario a los tejidos del huésped supuración / reacz hipersensib./ cicatriz o fibrosis.
  • 23.
    Mecanismos de lesiònvírica  Inhiben síntesis de ADN (ej polio)  Daño de la integridad en la Membrana Celular (VIH)  Lisis celular ( virus de la gripe)  Manipulación de la apoptosis ( adenovirus)  Respuesta inmune ( hepatitis)  Destrucciòn de celulas con predisposición a infecciones secundaris ( virus de la gripe)  Producción de proliferación y transformación celular---------cancer (VPH)
  • 24.
    Mecanismos de lesiónbacteriana  Adherencia de las bacterias a las cèlulas del huesped ( por medio de adhesinas. Fimbrias, )  Virulencia intracelular ( crecimiento intracelular evita mecanismos de respuesta inmune)  Toxinas bacterianas – Endotoxinas – exotoxinas  Lesiòn a la inmunidad del huesped ( puede ocasionar lesiòn tisular)
  • 25.
    Respuesta inflamatoria ala infección  I. supurativa: por PMN neutrofílicos causado por bacterias piogénicas cocos g(+), bacilos g(-).  I. mononuclear: linfocitos, células plasmáticas, macrófagos por virus, bacterias intracelulares, espiroquetas, helmintos etc.  I. citopática-citoproliferativa: por daño viral a las células del húesped sin respuesta inflamatoria del huésped,  muestra cuerpos de inclusión CMV, herpesvirus forma ampollas.  I. necrotizante por virus ej: hepatitis fulminante.  I. crónica y cicatriz causadas por ciertas infecciones bacterianas agudas como salpingitis gonocóccica o infecciones crónicas como tuberculosis.
  • 27.
    Causas mayores dediarrea infecciosa  Organismos Virus Rotavirus en niños men. 6 años, por agua contaminada y vía fecal-oral Adenovirus entéricos en infantes y niños. Bacterias E. Coli enterotoxígena mayor causa de diarrea en viajeros, comida y agua. Campilobacter jejuni a cualquier edad, más en niños por agua y comida. Yersinia enterocolítica igual a la anterior. Shigella niños y adultos, transmisión directa fecal-oral, por agua y comida contaminada, endémica o epidémica Salmonella niños y adultos, comida y agua contaminada, resrvorios animales y humanos. Clostridium difficile asociado a antibióticos de amplio espectro intrahospitalaria. Vibrio cholerae causa mayor de diarrea epidémica y pandémica.
  • 28.
    Causas infecciosas mayoresde diarrea  Parásitos  Giardia lamblia es común estado de portador causa mayor de diarrea del viajero, por beber agua contaminada  Entamoeba histolytica en países en desarrollo hay grandes reservorios en estadio portador, transmisión fecal-oral y por vía sexual en homosexuales y a partir de agua y comida contaminada.
  • 29.
    GIARDIA LAMBLIA  Protozoario intestinal prevalente en todo el mundo  Reside en intestino delgado se adhiere a las células epiteliales intestinales pero no las invade  La infestación puede subclínica, con diarrea aguda o crónica con esteatorrea  No da disentería  La inmunidad es mediada por Ac incluyendo secreción de IgA para la resistencia a G.L. En pacientes con sprue agamaglobulinémico tienen infecciones frecuentes ( no hay células plasmáticas )
  • 30.
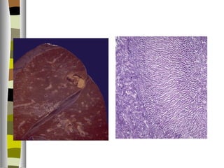
    Amebiosis  Entamoeba histolytica  Países en vías de desarrollo  Disentería y absceso hepático  Forma infectante son los quistes ( resisten ácido gástrico ) y en el lúmen intestinal liberan los trofozoítos ( forma ameboide ) que lisa las células epiteliales e invade la pared intestinal  Compromete ciego/ colon ascendente / recto / apéndice  Crean úlceras de base amplia con un cuello delgado  Un 40% de pactes con disentería amebiana, los protozoarios alcanzan los vasos porta y embolizan al hígado produciendo abscesos  Abscesos hepáticos con poca inflamación en los márgenes y hemorragia en las cavidades, se llenan de un material achocolatado poco oloroso, da distensión de la cápsula hepática y dolor. Se dx. Por U.S.
  • 33.
    AGENTES INFECCIOSOS NUEVOS HP, VIH, HEPATITIS C, HEPATITIS E HHV-8 SARCOMA KAPOSI EN SIDA. PRIONES Estan formados por una proteina del huesped modificada  No son virus por no tener ARN o ADN  Causan la encefalopatia espongiformes ej. Kuru (asociado a canivalismo humano)  Se asocian a enfermedades neurodegenerativas como el insomnio familiar mortal.
  • 34.
    Enfermedades de transmisiónsexual  1. Virus herpes simple de tipos 1 y 2. Son v. de gran tamaño, ADN, rodeados por envoltura, son neurotrópicos y producen ampollas ( VHS-1 ) y úlceras genitales ( VHS-2 ), ceguera ( córnea ) y encefalitis ( infrecuente ).  En las infecciones primarias se replican y causan lesiones vesiculares de la piel y membranas mucosas.  En las secundarias, los virus que han estado latentes en las neuronas se diseminan desde los ganglios hasta la piel y mm.  Inclusiones intracelulares color rosado ( Cowdry A ) que contienen viriones, también dan sincitios multinucleados diagnósticos en los frotis.
  • 36.
    2. Chlamydia trachomatis: intracelular, causa: uretritis no gonoccócica, linfogranuloma venéreo y tracoma. S. de Reiter: conjuntivitis, poliartritis e infección genital
  • 37.
    3. Neisseria gonorrhoeae: diplococo encapsulado, Gram ( - ). Estenosis uretrales Infecciones crónicas epidídimo próstata vesículas seminales Trompas de Falopio abscesos tuboováricos esterilidad y embarazos ectópicos Infección oftálmica perinatal ( ceguera / nitrato de plata ).
  • 38.
    4. Treponema pallidum( sífilis ) espiroqueta microaerofílica.  1. Infección primaria: 3 sem. después del contacto chancro: lesión única, dura, no dolorosa, elevada en pene-cérvix-pared vaginal-ano.  2. Infección secundaria: 2-10 semanas del chancro primario. Erupción cutánea difusa en plantas y palmas.  3. Infección terciaria: al año de la primaria, lesiones en aorta, corazón y SNC.  S. Congénita: aborto tardío, muerte intraútero o en el período neonatal o puede persistir latente hasta manifestarse en la niñez.
  • 39.
    5. Trichomonas vaginalis:protozoario no invasor, anaerobio. vaginitis: exudado acuoso conteniendo los parásitos.
  • 41.
    Infecciones de lainfancia y adolescencia 1.Virus de la parotiditis: ARN ( paramixovirus ) aumento de tamaño e inflamación que puede comprometer testículos- páncreas- SNC. 2. Virus del sarampión: paramixovirus, exantema cutáneo ( por hipersensibilidad al virus ) puede complicarse con neumonía de células gigantes ( mortal )- panencefalitis esclerosante subaguda y encefalitis sarampionosa. Se desarrolla inmunidad a partir de cels T. 3. Virus Epstein –Barr ( mononucleosis infecciosa ) ( virus fam. Herpes ) enfermedad linfoproliferativa benigna. fiebre / linfadenopatía generalizada / esplenomegalia / presencia de linf.T activados y atípicos en sangre. 4. Poliovirus: ARN, enterovirus. Tres cepas en la vacuna SALK ( virus inactivado con formalina ) y en la vacuna Sabin ( virus vivos y atenuados ) En 1% de los infectados invade SNC y se replica en neuronas motoras de ME dando poliomielitis con parálisis muscular y del tronco encefálico ( poliomielitis bulbar / con parálisis respiratoria ). 5. Varicela Zoster. Herpes. Infecta mucosas, piel y neuronas. Se transmite por saliva y da epidemias, se disemina por vía hematógena / múltiples vesículas en piel.
  • 42.
    Tos ferina: Bordetella pertussis, cocobacilo G ( - ). En personas que no han recibido vacuna DPT ( difteria-tos ferina-tétanos ) actualmente se sabe que la inmunidad se pierde a los 10 años y es necesario revacunar.  Laringotraqueobronquitis y adenomegalias.  Difteria: Corynebacterium diphfteriae bacilo G ( + ) produce una pseudomembrana.
  • 43.
    Infecciones oportunistas  Asociadas con neutropenia y depleción de las células T auxiliares ( T helper ).  Individuos con inmunodeficiencias genéticas o adquiridas.  Citomegalovirus  Cándida albicans  Aspergillus  Mucormicosis  Pneumocystis carinii  Toxoplasma
  • 50.
    Ectoparásitos  Vectores para Rickettsias y otros.  PIOJOS: tifus epidémico.  GARRAPATAS: fiebre manchada de las Montañas rocosas, fiebre Q  CHINCHES: enfermedad de Chagas/ tripanosoma Cruzi  PULGAS.  SARNA ( ESCABIASIS/ sarcoptes scabeii).  ACAROS: tifus de los matorrales.