Enfermedad Pulmonar
Obstructiva Crónica
Dr. Francisco Treviño Lozano
Residente de segundo año Medicina Interna
Definición
Enfermedad Pulmonar Obstructiva Crónica
1. Limitación del flujo de aire
a. Progresiva
b. Parcialmente reversible
c. Respuesta inflamatoria anormal a partículas y/o gases
nocivos.
2. Prevenible y tratable
3. Repercusiones extrapulmonares.
The Global Initiative for Chronic Obstructive Lung Disease (GOLD) guidelines 2014
EPOC
Enfermedad heterogénea
 Involucro:
◦ Bronquios
◦ Bronquiolos
◦ Parénquima pulmonar
MacNee, Pathogenesis of Chronic Obstructive Pulmonary Disease,
Clin Chest Med 28 (2007) 479–513
Epidemiología
Mannino, Global burden of COPD: Risk factors, prevalence, and future
Trends, Lancet 2007; 370: 765–73
Epidemiología en México
 En el INER, la EPOC se ubicó en el
cuarto lugar en la tabla de morbi-
mortalidad anual.
 La EPOC se ubica entre el 6o y el 4º
lugar en cuanto a mortalidad.
 La prevalencia es igual entre hombres
y mujeres.
Clínica de EPOC, INER, 2007
Epidemiología en México
Programa Nacional de Salud 2007 - 2012
Epidemiología en México
Programa Nacional de Salud 2007 - 2012
Factores de riesgo
TABAQUISMO
 Contaminación
 Exposición ocupacional:
◦ Minería del carbón
◦ Minería del oro
◦ Polvo de algodón para textiles
 Deficiencia de alfa 1 antitripsina
Mannino, Global burden of COPD: risk factors, prevalence, and future
Trends, Lancet 2007; 370: 765–73
Factores de riesgo
En México 13% de los hogares cocinan con combustibles
sólidos (leña, carbón o queroseno).
En Oaxaca y Chiapas más de 40% de la población está
expuesta a aire contaminado dentro de sus viviendas.
Programa Nacional de Salud 2007 - 2012
Histopatología
 Bronquitis Crónica
◦ Tos con expectoración la mayoría de los días
durante 3 meses en 2 años consecutivos.
◦ La inflamación crónica de la vía aérea se asocia
con:
1. Aumento en la producción de moco
2. Reducción del aclaramiento mucociliar
3. Aumento de la permeabilidad de la barrera
epitelial.
MacNee, Pathogenesis of Chronic Obstructive Pulmonary Disease,
Clin Chest Med 28 (2007) 479–513
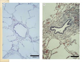
Histopatología
 Enfisema pulmonar
◦ Distensión de los espacios aéreos secundario a
la destrucción de las paredes alveolares.
1. Centrolobular o centroacinar
2. Panlobular o panacinar
MacNee, Pathogenesis of Chronic Obstructive Pulmonary Disease,
Clin Chest Med 28 (2007) 479–513
Barnes P. N Engl J Med 2000;343:269-280
Mechanisms of Airflow Limitation in Chronic Obstructive Pulmonary Disease
Patogénesis
Inflamación
crónica
Proteólisis
de matriz
extracelular
Reparación
inefectiva
MacNee, Pathogenesis of Chronic Obstructive Pulmonary Disease,
Clin Chest Med 28 (2007) 479–513
Barnes P. N Engl J Med 2000;343:269-280
Inflammatory Mechanisms in Chronic Obstructive Pulmonary Disease
Shapiro S. N Engl J Med 2005;352:2016-2019
Cuadro Clínico
EPOC
Disnea de
esfuerzo
Tos
crónica
Expectoración
crónica
The Global Initiative for Chronic Obstructive Lung Disease (GOLD) guidelines 2014
Cuadro Clínico
Cooper, The Connection Between Chronic Obstructive Pulmonary
Disease Symptoms and Hyperinflation and Its Impact on
Exercise and Function, The American Journal of Medicine (2006) Vol 119 (10A), S21–S31
Cuadro Clínico
 Sx de Rarefacción
Inspección Torax en tonel
Palpación VsVs
Percusión Hiperclaridad
Auscultación RsRs
Rennard S. N Engl J Med 2004;350:965-966
Sarkar, Evaluation of the Dyspneic
Patient in the Office, Prim Care Clin Office Pract, 33 (2006) 643–657
Exploración Física
Azul abotagado Soplador rosado
Cianosis Sin cianosis
Retención de líquido Caquexia
Sibilancias Disminución del murmullo
vesicular
Otros:
 Datos de dificultad respiratoria
 Aumento de la fase espiratoria
 Pérdida de peso
Rennard S. N Engl J Med 2004;350:965-966
Rennard S. N Engl J Med 2004;350:965-966
Looking at the Patient with COPD
Diagnóstico
Sospecha:
1. Paciente >40 años
2. Factores de riesgo
3. Disnea
 De esfuerzo
 Progresiva
 Persistente
4. Tos crónica
5. Expectoración crónica
The Global Initiative for Chronic Obstructive Lung Disease (GOLD) guidelines 2014
Diagnóstico
 Espirometría
1. Ayuda a establecer el diagnóstico
2. Valores normales excluyen el diagnóstico de
EPOC
3. Establece un estadio
4. Valora la progresión
The Global Initiative for Chronic Obstructive Lung Disease (GOLD) guidelines 2014
Espirometría
 Mediciones:
1. Capacidad vital forzada (FVC)
2. Volumen espiratorio forzado en el 1er segundo (VEF1)
Relación VEF1/CVF < 70%
 Resultados
 Basados en % de predicción, de acuerdo a:
a) Raza
b) Sexo
c) Edad
d) Peso
The Global Initiative for Chronic Obstructive Lung Disease (GOLD) guidelines 2014
Espirometría
 Relación FEV 1/ FVC <70% indica
limitación del flujo de aire.
◦ Siempre deben de considerarse los mejores
valores obtenidos en 3 tomas.
The Global Initiative for Chronic Obstructive Lung Disease (GOLD) guidelines 2014
Diagnósticos diferenciales
1. Asma
2. ICC
3. Bronquiectasias
4. Tuberculosis
5. Bronquiolitis Obliterante
The Global Initiative for Chronic Obstructive Lung Disease (GOLD) guidelines 2014
Clasificación GOLD
Falla respiratoria: PaO2 menor de 60 mmHg con o sin PaCO2
mayor de 50 mmHg al aire ambiente.
The Global Initiative for Chronic Obstructive Lung Disease (GOLD) guidelines 2014
ÍNDICE DE BODE
 Peso (IMC)
 Obstrucción de vías aéreas (VEF1)
 Disnea (Medical Research Council dinea score)
 Capacidad de hacer ejercicio (caminata de 6
minutos)
 Mejor información pronóstica que el VEF1 sólo y
se puede utilizar para respuesta terapéutica.
The Global Initiative for Chronic Obstructive Lung Disease (GOLD) guidelines 2014
Tratamiento
 Metas
1. Aliviar los síntomas
2. Prevenir la progresión
3. Mejorar la tolerancia al ejercicio
4. Mejorar el estado de salud
5. Prevenir y tratar complicaciones
6. Prevenir y tratar exacerbaciones
7. Reducir la mortalidad
The Global Initiative for Chronic Obstructive Lung Disease (GOLD) guidelines 2014
Tratamiento
Valoración
Reducir factores
de riesgo
Manejo del
paciente estable
Manejo de
exacerbaciones
The Global Initiative for Chronic Obstructive Lung Disease (GOLD) guidelines 2014
Tratamiento
Tratamiento
Farmacológico
Agonistas B2 AnticolinérgicosCorticoesteroides
The Global Initiative for Chronic Obstructive Lung Disease (GOLD) guidelines 2014
Tratamiento
The Global Initiative for Chronic Obstructive Lung Disease (GOLD) guidelines 2014
Tratamiento con
Broncodilatadores
1. Vía Inhalada
2. Uso para alivio intermitente
3. Uso regular para prevenir y reducir la
persistencia de sintomatología
4. Broncodilatadores de larga acción >
efectividad corta acción.
5. El uso combinado de broncodilatadores es
preferible a utilizar altas dosis de un solo
tipo.
The Global Initiative for Chronic Obstructive Lung Disease (GOLD) guidelines 2014
Tratamiento con
Broncodilatadores
Agonistas B2 Anticolinérgicos
Corta
acción
Salbutamol
Fenoterol
Terbutalina
Larga
acción
Salmeterol
Formoterol
Corta
acción
Bromuro
de
Ipratropio
Bromuro
de
Oxitropio
Larga
acción
Tiotropio
The Global Initiative for Chronic Obstructive Lung Disease (GOLD) guidelines 2014
Tratamiento con
Broncodilatadores
Sutherland, Management of Chronic Obstructive
Pulmonary Disease, N Engl J Med 2004;350:2689-97.
Tratamiento con
Broncodilatadores Combinado
Bromuro
de
Ipratropio
Salbutamol
Bromuro
de
Ipratropio
Fenoterol
The Global Initiative for Chronic Obstructive Lung Disease (GOLD) guidelines 2014
Tratamiento con esteroides
1. Vía inhalada
2. Recomendado para pacientes con FEV1 < 50%
y exacerbaciones repetitivas.
3. Reduce la frecuencia de exacerbaciones agudas.
4. No modifica la progresión del descenso de FEV1
5. Aumenta el riesgo de neumonía
6. No reduce la mortalidad.
The Global Initiative for Chronic Obstructive Lung Disease (GOLD) guidelines 2014
Tratamiento con esteroides
inhalados
Simples
Budesonida
Fluticasona
Budesonida Formoterol
Fluticasona Salmeterol
The Global Initiative for Chronic Obstructive Lung Disease (GOLD) guidelines 2014
Tratamiento
 Vacunas:
◦ Influenza. Anual
◦ Neumococco. Para pacientes >65 años.
 Antibióticos
◦ No hay evidencia que prevengan infecciones agudas
 Mucolíticos y antitusivos
◦ Expectorantes (guaifenesina, acetilcisteína): poco
beneficio en EPOC
 Cirugía
◦ Reducción de volumen pulmonar
◦ Transplante pulmonar
The Global Initiative for Chronic Obstructive Lung Disease (GOLD) guidelines 2014
Tratamiento con Oxígeno
 Uso >16 hrs/día
 Indicaciones:
1. Pacientes en estadio IV.
2. PaO2 <55 mm Hg o SaO2 <88%, con o sin
hipercapnia.
3. PaO2 55- 60 mm Hg o SaO2 <88% +
evidencia de hipertensión pulmonar, ICC o
policitemia.
Metas:
1. PaO2 en reposo a 60 mmHg
2. SaO2 90%
The Global Initiative for Chronic Obstructive Lung Disease (GOLD) guidelines
2014
Bibliografía:
 The Global Initiative for Chronic Obstructive Lung Disease (GOLD)
guidelines 2014
 Sutherland ER, Cherniack RM. Management of chronic obstructive
pulmonary disease. N Engl J Med 2004; 350: 2689–2697.
 Rennard, S. I. (2004). Looking at the patient—approaching the problem of
COPD. New England Journal of Medicine, 350(10), 965-966.
 Sarkar, S., & Amelung, P. J. (2006). Evaluation of the dyspneic patient in the
office. Primary Care: Clinics in Office Practice, 33(3), 643-657.
 Cooper, C. B. (2006). The connection between chronic obstructive
pulmonary disease symptoms and hyperinflation and its impact on exercise
and function. The American journal of medicine, 119(10), 21-31.
 MacNee, W. (2007). Pathogenesis of chronic obstructive pulmonary
disease. Clinics in chest medicine, 28(3), 479-513.
 Barnes P. J. Chronic obstructive pulmonary disease. The New England
Journal of Medicine.2000;343(4):269–280.
 —Mannino, Global burden of COPD: Risk factors, prevalence, and future
trends, Lancet 2007; 370: 765–73.
Gracias

Epoc

  • 1.
    Enfermedad Pulmonar Obstructiva Crónica Dr.Francisco Treviño Lozano Residente de segundo año Medicina Interna
  • 2.
    Definición Enfermedad Pulmonar ObstructivaCrónica 1. Limitación del flujo de aire a. Progresiva b. Parcialmente reversible c. Respuesta inflamatoria anormal a partículas y/o gases nocivos. 2. Prevenible y tratable 3. Repercusiones extrapulmonares. The Global Initiative for Chronic Obstructive Lung Disease (GOLD) guidelines 2014
  • 3.
    EPOC Enfermedad heterogénea  Involucro: ◦Bronquios ◦ Bronquiolos ◦ Parénquima pulmonar MacNee, Pathogenesis of Chronic Obstructive Pulmonary Disease, Clin Chest Med 28 (2007) 479–513
  • 4.
    Epidemiología Mannino, Global burdenof COPD: Risk factors, prevalence, and future Trends, Lancet 2007; 370: 765–73
  • 5.
    Epidemiología en México En el INER, la EPOC se ubicó en el cuarto lugar en la tabla de morbi- mortalidad anual.  La EPOC se ubica entre el 6o y el 4º lugar en cuanto a mortalidad.  La prevalencia es igual entre hombres y mujeres. Clínica de EPOC, INER, 2007
  • 6.
    Epidemiología en México ProgramaNacional de Salud 2007 - 2012
  • 7.
    Epidemiología en México ProgramaNacional de Salud 2007 - 2012
  • 8.
    Factores de riesgo TABAQUISMO Contaminación  Exposición ocupacional: ◦ Minería del carbón ◦ Minería del oro ◦ Polvo de algodón para textiles  Deficiencia de alfa 1 antitripsina Mannino, Global burden of COPD: risk factors, prevalence, and future Trends, Lancet 2007; 370: 765–73
  • 9.
    Factores de riesgo EnMéxico 13% de los hogares cocinan con combustibles sólidos (leña, carbón o queroseno). En Oaxaca y Chiapas más de 40% de la población está expuesta a aire contaminado dentro de sus viviendas. Programa Nacional de Salud 2007 - 2012
  • 10.
    Histopatología  Bronquitis Crónica ◦Tos con expectoración la mayoría de los días durante 3 meses en 2 años consecutivos. ◦ La inflamación crónica de la vía aérea se asocia con: 1. Aumento en la producción de moco 2. Reducción del aclaramiento mucociliar 3. Aumento de la permeabilidad de la barrera epitelial. MacNee, Pathogenesis of Chronic Obstructive Pulmonary Disease, Clin Chest Med 28 (2007) 479–513
  • 11.
    Histopatología  Enfisema pulmonar ◦Distensión de los espacios aéreos secundario a la destrucción de las paredes alveolares. 1. Centrolobular o centroacinar 2. Panlobular o panacinar MacNee, Pathogenesis of Chronic Obstructive Pulmonary Disease, Clin Chest Med 28 (2007) 479–513
  • 12.
    Barnes P. NEngl J Med 2000;343:269-280 Mechanisms of Airflow Limitation in Chronic Obstructive Pulmonary Disease
  • 14.
    Patogénesis Inflamación crónica Proteólisis de matriz extracelular Reparación inefectiva MacNee, Pathogenesisof Chronic Obstructive Pulmonary Disease, Clin Chest Med 28 (2007) 479–513
  • 15.
    Barnes P. NEngl J Med 2000;343:269-280 Inflammatory Mechanisms in Chronic Obstructive Pulmonary Disease
  • 16.
    Shapiro S. NEngl J Med 2005;352:2016-2019
  • 17.
    Cuadro Clínico EPOC Disnea de esfuerzo Tos crónica Expectoración crónica TheGlobal Initiative for Chronic Obstructive Lung Disease (GOLD) guidelines 2014
  • 18.
    Cuadro Clínico Cooper, TheConnection Between Chronic Obstructive Pulmonary Disease Symptoms and Hyperinflation and Its Impact on Exercise and Function, The American Journal of Medicine (2006) Vol 119 (10A), S21–S31
  • 19.
    Cuadro Clínico  Sxde Rarefacción Inspección Torax en tonel Palpación VsVs Percusión Hiperclaridad Auscultación RsRs Rennard S. N Engl J Med 2004;350:965-966
  • 20.
    Sarkar, Evaluation ofthe Dyspneic Patient in the Office, Prim Care Clin Office Pract, 33 (2006) 643–657
  • 21.
    Exploración Física Azul abotagadoSoplador rosado Cianosis Sin cianosis Retención de líquido Caquexia Sibilancias Disminución del murmullo vesicular Otros:  Datos de dificultad respiratoria  Aumento de la fase espiratoria  Pérdida de peso Rennard S. N Engl J Med 2004;350:965-966
  • 22.
    Rennard S. NEngl J Med 2004;350:965-966 Looking at the Patient with COPD
  • 23.
    Diagnóstico Sospecha: 1. Paciente >40años 2. Factores de riesgo 3. Disnea  De esfuerzo  Progresiva  Persistente 4. Tos crónica 5. Expectoración crónica The Global Initiative for Chronic Obstructive Lung Disease (GOLD) guidelines 2014
  • 24.
    Diagnóstico  Espirometría 1. Ayudaa establecer el diagnóstico 2. Valores normales excluyen el diagnóstico de EPOC 3. Establece un estadio 4. Valora la progresión The Global Initiative for Chronic Obstructive Lung Disease (GOLD) guidelines 2014
  • 25.
    Espirometría  Mediciones: 1. Capacidadvital forzada (FVC) 2. Volumen espiratorio forzado en el 1er segundo (VEF1) Relación VEF1/CVF < 70%  Resultados  Basados en % de predicción, de acuerdo a: a) Raza b) Sexo c) Edad d) Peso The Global Initiative for Chronic Obstructive Lung Disease (GOLD) guidelines 2014
  • 26.
    Espirometría  Relación FEV1/ FVC <70% indica limitación del flujo de aire. ◦ Siempre deben de considerarse los mejores valores obtenidos en 3 tomas. The Global Initiative for Chronic Obstructive Lung Disease (GOLD) guidelines 2014
  • 27.
    Diagnósticos diferenciales 1. Asma 2.ICC 3. Bronquiectasias 4. Tuberculosis 5. Bronquiolitis Obliterante The Global Initiative for Chronic Obstructive Lung Disease (GOLD) guidelines 2014
  • 28.
    Clasificación GOLD Falla respiratoria:PaO2 menor de 60 mmHg con o sin PaCO2 mayor de 50 mmHg al aire ambiente. The Global Initiative for Chronic Obstructive Lung Disease (GOLD) guidelines 2014
  • 29.
    ÍNDICE DE BODE Peso (IMC)  Obstrucción de vías aéreas (VEF1)  Disnea (Medical Research Council dinea score)  Capacidad de hacer ejercicio (caminata de 6 minutos)  Mejor información pronóstica que el VEF1 sólo y se puede utilizar para respuesta terapéutica. The Global Initiative for Chronic Obstructive Lung Disease (GOLD) guidelines 2014
  • 30.
    Tratamiento  Metas 1. Aliviarlos síntomas 2. Prevenir la progresión 3. Mejorar la tolerancia al ejercicio 4. Mejorar el estado de salud 5. Prevenir y tratar complicaciones 6. Prevenir y tratar exacerbaciones 7. Reducir la mortalidad The Global Initiative for Chronic Obstructive Lung Disease (GOLD) guidelines 2014
  • 31.
    Tratamiento Valoración Reducir factores de riesgo Manejodel paciente estable Manejo de exacerbaciones The Global Initiative for Chronic Obstructive Lung Disease (GOLD) guidelines 2014
  • 32.
    Tratamiento Tratamiento Farmacológico Agonistas B2 AnticolinérgicosCorticoesteroides TheGlobal Initiative for Chronic Obstructive Lung Disease (GOLD) guidelines 2014
  • 33.
    Tratamiento The Global Initiativefor Chronic Obstructive Lung Disease (GOLD) guidelines 2014
  • 34.
    Tratamiento con Broncodilatadores 1. VíaInhalada 2. Uso para alivio intermitente 3. Uso regular para prevenir y reducir la persistencia de sintomatología 4. Broncodilatadores de larga acción > efectividad corta acción. 5. El uso combinado de broncodilatadores es preferible a utilizar altas dosis de un solo tipo. The Global Initiative for Chronic Obstructive Lung Disease (GOLD) guidelines 2014
  • 35.
    Tratamiento con Broncodilatadores Agonistas B2Anticolinérgicos Corta acción Salbutamol Fenoterol Terbutalina Larga acción Salmeterol Formoterol Corta acción Bromuro de Ipratropio Bromuro de Oxitropio Larga acción Tiotropio The Global Initiative for Chronic Obstructive Lung Disease (GOLD) guidelines 2014
  • 36.
    Tratamiento con Broncodilatadores Sutherland, Managementof Chronic Obstructive Pulmonary Disease, N Engl J Med 2004;350:2689-97.
  • 37.
    Tratamiento con Broncodilatadores Combinado Bromuro de Ipratropio Salbutamol Bromuro de Ipratropio Fenoterol TheGlobal Initiative for Chronic Obstructive Lung Disease (GOLD) guidelines 2014
  • 38.
    Tratamiento con esteroides 1.Vía inhalada 2. Recomendado para pacientes con FEV1 < 50% y exacerbaciones repetitivas. 3. Reduce la frecuencia de exacerbaciones agudas. 4. No modifica la progresión del descenso de FEV1 5. Aumenta el riesgo de neumonía 6. No reduce la mortalidad. The Global Initiative for Chronic Obstructive Lung Disease (GOLD) guidelines 2014
  • 39.
    Tratamiento con esteroides inhalados Simples Budesonida Fluticasona BudesonidaFormoterol Fluticasona Salmeterol The Global Initiative for Chronic Obstructive Lung Disease (GOLD) guidelines 2014
  • 40.
    Tratamiento  Vacunas: ◦ Influenza.Anual ◦ Neumococco. Para pacientes >65 años.  Antibióticos ◦ No hay evidencia que prevengan infecciones agudas  Mucolíticos y antitusivos ◦ Expectorantes (guaifenesina, acetilcisteína): poco beneficio en EPOC  Cirugía ◦ Reducción de volumen pulmonar ◦ Transplante pulmonar The Global Initiative for Chronic Obstructive Lung Disease (GOLD) guidelines 2014
  • 41.
    Tratamiento con Oxígeno Uso >16 hrs/día  Indicaciones: 1. Pacientes en estadio IV. 2. PaO2 <55 mm Hg o SaO2 <88%, con o sin hipercapnia. 3. PaO2 55- 60 mm Hg o SaO2 <88% + evidencia de hipertensión pulmonar, ICC o policitemia. Metas: 1. PaO2 en reposo a 60 mmHg 2. SaO2 90% The Global Initiative for Chronic Obstructive Lung Disease (GOLD) guidelines 2014
  • 42.
    Bibliografía:  The GlobalInitiative for Chronic Obstructive Lung Disease (GOLD) guidelines 2014  Sutherland ER, Cherniack RM. Management of chronic obstructive pulmonary disease. N Engl J Med 2004; 350: 2689–2697.  Rennard, S. I. (2004). Looking at the patient—approaching the problem of COPD. New England Journal of Medicine, 350(10), 965-966.  Sarkar, S., & Amelung, P. J. (2006). Evaluation of the dyspneic patient in the office. Primary Care: Clinics in Office Practice, 33(3), 643-657.  Cooper, C. B. (2006). The connection between chronic obstructive pulmonary disease symptoms and hyperinflation and its impact on exercise and function. The American journal of medicine, 119(10), 21-31.  MacNee, W. (2007). Pathogenesis of chronic obstructive pulmonary disease. Clinics in chest medicine, 28(3), 479-513.  Barnes P. J. Chronic obstructive pulmonary disease. The New England Journal of Medicine.2000;343(4):269–280.  —Mannino, Global burden of COPD: Risk factors, prevalence, and future trends, Lancet 2007; 370: 765–73.
  • 43.

Notas del editor

  • #13 Figure 1. Mechanisms of Airflow Limitation in Chronic Obstructive Pulmonary Disease. In the peripheral airways of patients with chronic obstructive pulmonary disease, as compared with normal peripheral airways, there is airflow limitation due to a variable mixture of loss of alveolar attachments, inflammatory obstruction of the airway, and luminal obstruction with mucus.
  • #16 Figure 3. Inflammatory Mechanisms in Chronic Obstructive Pulmonary Disease. Cigarette smoke and other irritants activate macrophages and airway epithelial cells in the respiratory tract, which release neutrophil chemotactic factors, including interleukin-8 and leukotriene B4. Neutrophils and macrophages then release proteases that break down connective tissue in the lung parenchyma, resulting in emphysema, and also stimulate mucus hypersecretion. Proteases are normally counteracted by protease inhibitors, including {alpha}1-antitrypsin, secretory leukoprotease inhibitor, and tissue inhibitors of matrix metalloproteinases. Cytotoxic T cells (CD8+ lymphocytes) may also be involved in the inflammatory cascade. MCP-1 denotes monocyte chemotactic protein 1, which is released by and affects macrophages.
  • #17 Figure 1. Inflammatory-Cell Interactions in Chronic Obstructive Pulmonary Disease (COPD) and the Role of Histone Acetylation. Reactive oxygen species resulting from inhaled cigarette smoke (and potentially from the inflammatory cells themselves) promote transcription of nuclear factor-{kappa}B (NF-{kappa}B)-mediated proinflammatory factors by way of two mechanisms. First, oxidation results in the degradation of IK-{kappa}B, releasing NF-{kappa}B, which then translocates to the nucleus of the targeted cell. Oxidation also inactivates histone deacetylase (HDAC), shifting the balance to increased DNA acetylation, weakening the interactions between histone and DNA and "unwinding" DNA, allowing NF-{kappa}B greater access to the DNA promoter elements, and leading to transcription of neutrophil chemokines and cytokines (tumor necrosis factor {alpha} [TNF-{alpha}] and interleukin-8) and matrix metalloproteinases (MMPs). These factors recruit and activate neutrophils to the lung. In addition, CD8+ T cells augment the production of macrophage MMPs through interactions with surface-bound CD40 molecules and interferon-inducible chemokines (inducible protein of 10 kD [IP-10], interferon-inducible T-cell alpha chemoattractant [I-TAC], and monokine induced by interferon-{gamma} [MIG]). Macrophage MMPs and neutrophil elastase degrade each other's inhibitors, the tissue inhibitor of metalloproteinases and alpha1-antitrypsin, respectively, augmenting their matrix-degrading capacities. These interactions illustrate the highly interactive nature of the immune inflammatory response and suggest that breaking this cycle, perhaps by way of augmentation of HDAC with the use of theophylline, may prevent inflammatory-mediated destruction of the lung in COPD. Dashed lines indicate inhibition.
  • #23 Figure. Looking at the Patient with COPD. COPD may be manifested in striking systemic features. These may vary markedly, even among patients with similar degrees of airflow limitation. The classic "blue bloater" (left) is characterized by hypoxemia, possibly with carbon dioxide retention, which may be complicated by pulmonary hypertension and signs of right-sided heart failure. The "pink puffer" (right), in contrast, is characterized by cachexia, relatively preserved blood gases, and often dyspnea even when the patient is at rest. Cough and sputum may be prominent in the blue bloater but may also be present in the pink puffer. Emphysema is often severe in the pink puffer but may also be present in the blue bloater. Thus, the two phenotypes illustrated here represent different systemic manifestations of a complex disease. Many patients with systemic manifestations of COPD do not resemble either of these patients.