Faringoamigdalitis
Paola Méndez Neciosup
Asesores:
Guillermo Fonseca Risco
Roxana Chiroque Castro
Definición
• Proceso agudo febril con inflamación de las
mucosas del área faringoamigdalar.
• Puede cursar con eritema, edema, exudado,
úlceras o vesículas.
Clínicamente se ve afectación de las amígdalas palatinas.
En casi el 30% de los casos no se identifica ningún patógeno.
Virus son los responsables de la mayoría de la FA en niños menores
de 3 años.
EbhGA es la causa del 15-30% de casos de FA en niños de edad
escolar entre 5 y 15 años.
Clínica
• La intensidad de la expresión clínica varía según la edad
y el tiempo transcurrido.
• Infección estreptocócica: infrecuente en menores de tres
años:
– Síntomas son más indolentes
– Rinitis seromucosa persistente
– Fiebre moderada
– Inapetencia
– Adenopatías
– Inflamación faringoamigdalar,
– Otitis media
Diagnóstico
1. Pruebas de detección antigénica rápidas (PAR)
Permiten la extracción e identificación del carbohidrato de la pared
celular de EbhGA de muestras obtenidas.
2. Cultivo de garganta
• Prueba estándar
• En condiciones ideales la sensibilidad del cultivo es del 90-95% y la
especificidad llega a ser del 99%
La ASLO se eleva, alcanzando
su máximo a las 3 semanas.
Leucocitosis en frotis de
sangre periférica.
La coloración de Gram es útil
para el diagnóstico de
amigdalitis bacteriana.
Complicaciones supurativas
Absceso periamigdalino
- Más frecuente.
- En el espacio potencial entre la cápsula amigdalina y el
lecho de músculos faríngeos circundantes.
• más habitual en adultos; en pacientes con infecciones
recurrentes.
• Odinofagia unilateral con otalgia refleja
• Trismus
Complicaciones supurativas
• Absceso periamigdalino
Absceso supratonsilar que abomba el pilar amigdalino anterior
y el paladar blando hacia delante, y la amígdala hacia abajo y
medialmente.
Úvula desplazada hacia lado sano.
 Aspiración del espacio
periamigdalino.
 Incisión y el drenaje
definitivos por medio de
incisión cercana al borde de
la amígdala adyacente.
Complicaciones supurativas
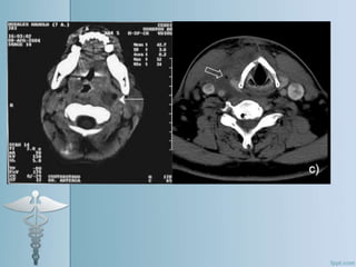
• Absceso parafaríngeo
 Se extiende lateralmente a los músculos constrictores
faríngeos en el espacio parafaríngeo.
 Disfagia y odinofagia , dolor laterocervical y tortícolis.
 Abombamiento de la pared lateral de la faringe por
detrás de la amígdala y que desciende hasta la
hipofaringe.
 Realizar una TAC cervical
 Tratamiento: antibióticos y corticoides intravenosos;
drenaje vía externa por cervicotomía.
 Riesgo de Tromboflebitis séptica de Vena yugular interna
(enfermedad de Lemierre), con riesgo elevado de TEP
séptico.
Complicaciones supurativas
• Absceso retrofaríngeo:
• Se extiende posteriormente al espacio retrofaríngeo.
• En niños menores de siete años: ganglios retrofaríngeos de
Gillette.
• En adultos: enclavamiento tras la ingesta de cuerpos
extraños – TBC vertebral.
• Disfagia, odinofagia.
• Disnea y tortícolis por contractura de la musculatura
paravertebral.
• Protrusión de la pared posterior de la faringe.
• Drenaje urgente vía transoral o externa mediante
cervicotomía
• Riesgo de disnea y de extensión al mediastino
(mediastinitis).
AMIGDALITIS CRÓNICA
Es la inflamación del tejido linfoide, que ocurre como
consecuencia de infecciones subclínicas, o infecciones
agudas a repetición.
 5 episodios al año de
infección bacteriana
 3 episodios en 6 meses.
 Odinofagia.
 Episodios febriles
 Malestar general
 Artralgias.
 Halitosis.
 Adenopatía cervical.
 Mayor incidencia de infecciones respiratorias superiores (con
afectación de los oídos o los senos paranasales).
Amigdalitis Crónica
 Amígdalas de diversos tamaños, criptas obstruidas por restos
caseosos o material purulento.
 Los pilares amigdalinos pueden mostrar signos de fibrosis.
 Inflamación o agrandamiento unilateral (tomar Biopsia).
 Pruebas de laboratorios.(A.S.L.O. y exudado faríngeo)
INDICACIONES DE AMIGDALECTOMÍA
 Frecuencia de infecciones:
– Más de 3 casos por año en los últimos 3 años
– Más de 4 casos por año en los últimos 2 años
– Más de 5 casos en el último año.
 Absolutas:
 Apnea obstructiva de sueño.
 Amigdalitis recidivante
 Absceso periamigdalino de
repetición
 Hipertrofia unilateral u otra
sospecha de tumor
 Alteraciones en la deglución y el
habla.
 Desarrollo dentofacial anómalo

Faringoamigdalitis

  • 1.
  • 2.
    Definición • Proceso agudofebril con inflamación de las mucosas del área faringoamigdalar. • Puede cursar con eritema, edema, exudado, úlceras o vesículas. Clínicamente se ve afectación de las amígdalas palatinas.
  • 3.
    En casi el30% de los casos no se identifica ningún patógeno. Virus son los responsables de la mayoría de la FA en niños menores de 3 años. EbhGA es la causa del 15-30% de casos de FA en niños de edad escolar entre 5 y 15 años.
  • 4.
  • 6.
    • La intensidadde la expresión clínica varía según la edad y el tiempo transcurrido. • Infección estreptocócica: infrecuente en menores de tres años: – Síntomas son más indolentes – Rinitis seromucosa persistente – Fiebre moderada – Inapetencia – Adenopatías – Inflamación faringoamigdalar, – Otitis media
  • 7.
    Diagnóstico 1. Pruebas dedetección antigénica rápidas (PAR) Permiten la extracción e identificación del carbohidrato de la pared celular de EbhGA de muestras obtenidas. 2. Cultivo de garganta • Prueba estándar • En condiciones ideales la sensibilidad del cultivo es del 90-95% y la especificidad llega a ser del 99% La ASLO se eleva, alcanzando su máximo a las 3 semanas. Leucocitosis en frotis de sangre periférica. La coloración de Gram es útil para el diagnóstico de amigdalitis bacteriana.
  • 10.
    Complicaciones supurativas Absceso periamigdalino -Más frecuente. - En el espacio potencial entre la cápsula amigdalina y el lecho de músculos faríngeos circundantes. • más habitual en adultos; en pacientes con infecciones recurrentes. • Odinofagia unilateral con otalgia refleja • Trismus
  • 11.
    Complicaciones supurativas • Abscesoperiamigdalino Absceso supratonsilar que abomba el pilar amigdalino anterior y el paladar blando hacia delante, y la amígdala hacia abajo y medialmente. Úvula desplazada hacia lado sano.  Aspiración del espacio periamigdalino.  Incisión y el drenaje definitivos por medio de incisión cercana al borde de la amígdala adyacente.
  • 12.
    Complicaciones supurativas • Abscesoparafaríngeo  Se extiende lateralmente a los músculos constrictores faríngeos en el espacio parafaríngeo.  Disfagia y odinofagia , dolor laterocervical y tortícolis.  Abombamiento de la pared lateral de la faringe por detrás de la amígdala y que desciende hasta la hipofaringe.  Realizar una TAC cervical  Tratamiento: antibióticos y corticoides intravenosos; drenaje vía externa por cervicotomía.  Riesgo de Tromboflebitis séptica de Vena yugular interna (enfermedad de Lemierre), con riesgo elevado de TEP séptico.
  • 14.
    Complicaciones supurativas • Abscesoretrofaríngeo: • Se extiende posteriormente al espacio retrofaríngeo. • En niños menores de siete años: ganglios retrofaríngeos de Gillette. • En adultos: enclavamiento tras la ingesta de cuerpos extraños – TBC vertebral. • Disfagia, odinofagia. • Disnea y tortícolis por contractura de la musculatura paravertebral. • Protrusión de la pared posterior de la faringe. • Drenaje urgente vía transoral o externa mediante cervicotomía • Riesgo de disnea y de extensión al mediastino (mediastinitis).
  • 16.
    AMIGDALITIS CRÓNICA Es lainflamación del tejido linfoide, que ocurre como consecuencia de infecciones subclínicas, o infecciones agudas a repetición.  5 episodios al año de infección bacteriana  3 episodios en 6 meses.
  • 17.
     Odinofagia.  Episodiosfebriles  Malestar general  Artralgias.  Halitosis.  Adenopatía cervical.  Mayor incidencia de infecciones respiratorias superiores (con afectación de los oídos o los senos paranasales). Amigdalitis Crónica  Amígdalas de diversos tamaños, criptas obstruidas por restos caseosos o material purulento.  Los pilares amigdalinos pueden mostrar signos de fibrosis.  Inflamación o agrandamiento unilateral (tomar Biopsia).  Pruebas de laboratorios.(A.S.L.O. y exudado faríngeo)
  • 18.
    INDICACIONES DE AMIGDALECTOMÍA Frecuencia de infecciones: – Más de 3 casos por año en los últimos 3 años – Más de 4 casos por año en los últimos 2 años – Más de 5 casos en el último año.  Absolutas:  Apnea obstructiva de sueño.  Amigdalitis recidivante  Absceso periamigdalino de repetición  Hipertrofia unilateral u otra sospecha de tumor  Alteraciones en la deglución y el habla.  Desarrollo dentofacial anómalo