CLAUSEN SEVERINO CLAUDIA
   80% niños (< 16 años)    Sindrome
   20 % adultos             Nefrótico

   Incidencia: 6 – 8 años.
   Presenta:
   Sindrome Nefrótico
   Sedimento Urinario Benigno
   Microhematuria: 20% casos
Idiopatica
Asociada a Enfermedades Generales o Medicamentos
Nefritis Intersticial por AINES, Rifampicina, IFN α
Enfermedad de Hodgkin y otras Enfermedades
Malignas Linfoproliferativas
Infeccion por VIH
   Puede producirse después de:
    Infeccion de Vias Respiratorias Altas,
    Vacunas y
    Crisis Atópica + GCM  Incidencia CMH –
    B12  sugiere: Predisposicion Genetica.

                     GCM remite con:
       Infecciones viricas recurrentes (Sarampión) o
                   Inmunodepresores 
                  Etiologia Inmunitaria
   Niños: Proteinuria Selectiva:
    Albumina,
    Proteínas de alto Peso Molecular (Ig G, α2-
    Macroglobulina)
    Borramiento difuso de Podocitos sugiere:
   Lesion de Podocitos.
   Perdida de Carga Negativa de Barrera de FG para
    Proteinas.
   Adultos: Proteinuria No Selectiva:
    Mayor Alteracion de Permeabilidad de Membrana
   Denominada enfermedad:
    Nula
    Nefritis Lipoidea
    Enfermedad de Podocitos

   Tamaño y Estructura de los glomérulos se
    encuentran: NORMALES.
   No existe deposito de:
    C3
                     Hipercelularidad
    Ig         Mesangial, Depósito de C3 – Ig
                  G: PEOR PRONOSTICO

          Microscopio Electrónico
      Borramiento Difuso y característico de Podocitos
              de células del Epitelio Visceral
   30 – 40% niños: remision espontanea.
   90% niños             remision a las 8 s de
   Mitad de adultos     tto con GC a altas dosis
   Prednisona:
    Niños: 60mg/m2 x 4 s  40 mg/m2 dias alternos
                            x4s
     Adultos: 1 – 1.5 mg/Kg/d x 4 s  1 mg/Kg/d
                     dias alternos x 4 s
   Alquilantes  no logran remision duradera, en pctes
    en tto con GC – remision despues de tto con GC,
    mayor de 3 recidivas por años.
   Ciclofosfamida (2 – 3 mg/Kg/d)
   Clorambucilo (0.1 – 0.2 mg/Kg/d)
   Por 8 – 12 semanas, riesgo de: cistitis, alopecia,
    esterilidad, infeccion, enfermedades Malignas
    Secundarias.
   Citostáticos: Ciclosporina  riesgo: Nefrotoxicidad
Deposito de esclerosis y hialinosis:
 Incidencia:
  Idiopática: 1/3 adultos, mitad: raza negra
  Secundaria: asociada a enfermedades generales e
  Hipertensión Glomerular Capilar Sostenida
  (relacionada con pérdida de mas de la mitad de
  nefronas)
Presenta:     Sindrome Nefrótico
              Proteinuria Subnefrótica
              Hipertensión Arterial
              Insuficiencia Renal leve.
              Sedimento Urinario Patológico
Idiopatica
Asociada a Enfermedades Generales o Medicamentos
•Infeccion por VIH
•DM
•Enfermedad de Fabry
•Enfermedad de Charcot – Marie – Tooth
Secundaria a Hipertension Glomerular Capilar Sostenida
Oligonefropatia Congenita:
•Agenesia Renal Unilateral
•Oligomeganefronia
Perdida Adquirida de Nefronas:
•Extirpacion Qx
•Nefropatía por Reflujo
•GN Tubulointersticial
Respuestas Adaptativas:
•Nefropatia Drepanocítica
•Obesidad con Sd. De Apnea de Sueño
•Disautonomía Familiar
Otras:
•Consumo de Heroína
• Atrapamiento de Material
Microscopio
                Hialino amorfo con predilección
  Optico
                en Glomérulos Yuxtamedulares



Microscopio   • Daño de células de epitelio
Electrónico     Visceral
   Proteinuria  remite 20 – 40% de pctes
    tratados con GC por 8s.
   Ciclofosfamida: 2 – 3mg/Kg/d  remision
   Ciclosporina  total o parcial con tto GC
   Mofetil de Micofenolato casos resistentes
   Trasplante Renal: complica en la ½ casos 
    recidiva en aloinjerto
Factor Pronóstico Desfavorable:
  Raza negra
  Hipertensión Arterial
  Proteinuria Masiva y Resistente
  Anomalía de Función Renal
   Adultos (30 – 40%)         Síndrome
   Niños (<5%)                Nefrótico

   Incidencia: 30 – 50 años, varon-mujer:2:1
   Presenta:
   Sindrome Nefrótico (>80%)
   Proteinuria No Selectiva
   Microhematuria (50%)
   10 – 30% HTA, progresa en pacientes con
    IRProgresiva
   Pruebas Serologicas:
    ANCA
    anti – MBG
    Titulos de Crioglobulina
    Valores de complemento
• Engrosamiento Difuso de la
Microscopio Optico      MBG, sin signos de Inflamación, ni
                        Proliferación Celular.


                      • Deposito Granuloso de Ig G y C3,
                        componentes Terminales del
Inmunofluorescencia
                        Complemento (C5b – C9) en pared
                        Capilar Glomerular
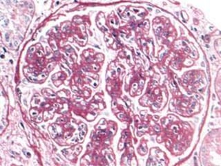
G.N. Membranosa: detalle de un glomérulo con
    engrosamiento de las paredes capilares
Idiopática
Asociada a Enfermedades o Medicamentos
Infecciosa:
Hepatitis B o C, Sífilis Secundaria o congénita, Paludismo,
Lepra
Enfermedades Autoinmunitarias Generales:
LES, AR, Sd. De Sjögren, Cirrosis Biliar Primaria, Miastenia
Grave
Neoplasia:
Carcinoma de Mama, Pulmón, Colon, Estómago, Melanoma,
Carcinoma de Células Renales,
Medicamentos:
Oro, Penicilamina, Captoprilo, AINES, Probenecida.
Otros:
Sarcoidosis, DM, Anemia Drepanocítica, Enfermedad de
Crohn, Déficit de α1 antitripsina.
   40% Sd. Nefrótico remite espontáneamente
   30 % recidiva y remisiones constantes
   30% descenso de FG produciendo IRT en 10 –
    15 años
Factor Pronóstico Desfavorable:
  Sexo Masculino
  Edad Avanzada
  HTA
  Proteinuria
  Hiperlipidemia Grave.
  Alteracion de Función Renal
   Ciclofosfamida, Ciclosporina,
    Clorambucilo: disminuyen Proteinuria y
    retrasan la Disminucion de FGR
   Trasplante Renal: eficaz en pacientes con
    IRT
   Caracterizado por:
    Engrosamiento de la MBG         Microscopio
    Alteraciones Proliferativas      Optico
   2 tipos; Caracteristicas:
   Aumento difuso celularidad, matriz
    mesangial, engrosamiento y repliegue de MBG.

   Exagera el Patron Lobulillar del Ovillo glomerular

              Conocida como MesangioCapilar
 Deposito subendotelial y mesangial:
  C3, Ig G, Ig M
  A veces Ig A
Presenta:
  Proteinuria Masiva
  Sedimento Urinario Activo
  FG normal o minimamente alterado
  Valores de C3 disminuidos, C1q y C4 limitrofes
  o bajos
   Causas:
    Infeccion Cronica (Endocarditis Bacteriana, VIH,
    Hepatitis B y C)
    Enfermedad por IC (LES, Crioglobulinemia)
    Enfermedades Malignas (Leucemia, Linfomas)
   Curso Prolongado  50% IRT en 10 años
   Tratamiento:
    Eliminacion: infeccion, neoplasia, proceso de base
Enfermedad por Depósitos Densos, dentro de MBG y
    Membrana Basal Renal
    C3, escaso Ig
   Presenta:
    Proteinuria y Sd. Nefrótico
    Algunos Sd. Nefrítico: GNRP
    Macrohematuria Recidivantes
   Enfermedad Autoinmunitaria AutoAcIgG (fc.
    Nefrítico C3), la cual se une a convertasa C3 y produce
    resistencia a desactivacion
   FGR estable y va a ir disminuyendo hasta IRT
    entre 5 – 10 años.
   No existe Tratamiento eficaz, Enfermedad va
    acompañada por Lipodistrofia Parcial
   Rara.
   Depósito Inmunitario Subepitelial.
   + frecuente.
   + frecuente en personas de raza negra.
   Anomalias renales y serologicas de la N. por Ig A
    y Purpura de Henoch – Schonlein, no se
    distinguen espectro de 1 sola Enfermedad.
Idiopatica:
Limitada al riñón o Secundaria a Purpura de Henoch – Schonlein
Asociada a Enfermedades o Medicamentos:
Higado:
Hepatopatía Crónica con afección del Arbol biliar
Aparato digestivo:
Enfermedad Celiaca, Enfermedad de Crohn, Adenocarcinoma
Aparato Respiratorio:
Neumonitis Intersticial Idiopática, Bronquiolitis Obstructiva, Adenocarcinoma
Piel:
Dermatitis Herpetiforme, Micosis Fungoide, Lepra
Ojos:
Epiescleritis, Uveitis Anterior
Otros:
Espondilitis Anquilosante, Sd. Sjogren, Gammapatía Monoclonal por Ig A
   Presenta:
   Macrohematuria a las 24 – 48 horas de:
    Infeccion faringea o digestiva,
    Vacunacion
    Esfuerzo agotador
   HTA 20 – 30%
   Sd. Nefrótico 10%
M.O                          IF                         M.E


• Expansion del              • Desposito de Ig A en     • Depósito electrodenso
  Mesangio con aumento         mesangio                   en Mesangio, casos
  de matriz y células.       • C3 en zona de              graves se extiende hasta
• Avanza el proceso:           depósitos Inmunitarios     espacio subendotelial
  proliferacion difusa,        e Ig G 50 %casos           Paramesangial
  semilunas celulares,
  inflamación intersticial
  y área de
  glomeruloesclerosis.
Factor con Pronóstico Desfavorable:
       Edad Avanzada
       Sexo masculino
       HTA
       Proteinuria Rango Nefrótico
       IR al momento de Presentacion

Características Histológicas de Mal Pronóstico:
  Enfermedad Difusa Grave
  Proliferación Extracapilar (Semilunas)
  glomeruloesclerosis
  Fibrosis Intersticial
  Hialinosis Arteriolar.
   IECA pacientes con enfermedad mas
    grave
   50% pacientes IRT plazo 20 años
Glomerulopatias primarias

Glomerulopatias primarias

  • 1.
  • 2.
    80% niños (< 16 años) Sindrome  20 % adultos Nefrótico  Incidencia: 6 – 8 años.  Presenta:  Sindrome Nefrótico  Sedimento Urinario Benigno  Microhematuria: 20% casos
  • 3.
    Idiopatica Asociada a EnfermedadesGenerales o Medicamentos Nefritis Intersticial por AINES, Rifampicina, IFN α Enfermedad de Hodgkin y otras Enfermedades Malignas Linfoproliferativas Infeccion por VIH
  • 4.
    Puede producirse después de: Infeccion de Vias Respiratorias Altas, Vacunas y Crisis Atópica + GCM  Incidencia CMH – B12  sugiere: Predisposicion Genetica. GCM remite con: Infecciones viricas recurrentes (Sarampión) o Inmunodepresores  Etiologia Inmunitaria
  • 5.
    Niños: Proteinuria Selectiva: Albumina, Proteínas de alto Peso Molecular (Ig G, α2- Macroglobulina) Borramiento difuso de Podocitos sugiere:  Lesion de Podocitos.  Perdida de Carga Negativa de Barrera de FG para Proteinas.  Adultos: Proteinuria No Selectiva: Mayor Alteracion de Permeabilidad de Membrana
  • 6.
    Denominada enfermedad: Nula Nefritis Lipoidea Enfermedad de Podocitos  Tamaño y Estructura de los glomérulos se encuentran: NORMALES.
  • 7.
    No existe deposito de: C3 Hipercelularidad Ig Mesangial, Depósito de C3 – Ig G: PEOR PRONOSTICO Microscopio Electrónico Borramiento Difuso y característico de Podocitos de células del Epitelio Visceral
  • 10.
    30 – 40% niños: remision espontanea.  90% niños remision a las 8 s de  Mitad de adultos tto con GC a altas dosis  Prednisona: Niños: 60mg/m2 x 4 s  40 mg/m2 dias alternos x4s Adultos: 1 – 1.5 mg/Kg/d x 4 s  1 mg/Kg/d dias alternos x 4 s
  • 11.
    Alquilantes  no logran remision duradera, en pctes en tto con GC – remision despues de tto con GC, mayor de 3 recidivas por años.  Ciclofosfamida (2 – 3 mg/Kg/d)  Clorambucilo (0.1 – 0.2 mg/Kg/d)  Por 8 – 12 semanas, riesgo de: cistitis, alopecia, esterilidad, infeccion, enfermedades Malignas Secundarias.  Citostáticos: Ciclosporina  riesgo: Nefrotoxicidad
  • 12.
  • 13.
     Incidencia: Idiopática: 1/3 adultos, mitad: raza negra Secundaria: asociada a enfermedades generales e Hipertensión Glomerular Capilar Sostenida (relacionada con pérdida de mas de la mitad de nefronas) Presenta: Sindrome Nefrótico Proteinuria Subnefrótica Hipertensión Arterial Insuficiencia Renal leve. Sedimento Urinario Patológico
  • 14.
    Idiopatica Asociada a EnfermedadesGenerales o Medicamentos •Infeccion por VIH •DM •Enfermedad de Fabry •Enfermedad de Charcot – Marie – Tooth Secundaria a Hipertension Glomerular Capilar Sostenida Oligonefropatia Congenita: •Agenesia Renal Unilateral •Oligomeganefronia Perdida Adquirida de Nefronas: •Extirpacion Qx •Nefropatía por Reflujo •GN Tubulointersticial Respuestas Adaptativas: •Nefropatia Drepanocítica •Obesidad con Sd. De Apnea de Sueño •Disautonomía Familiar Otras: •Consumo de Heroína
  • 15.
    • Atrapamiento deMaterial Microscopio Hialino amorfo con predilección Optico en Glomérulos Yuxtamedulares Microscopio • Daño de células de epitelio Electrónico Visceral
  • 19.
    Proteinuria  remite 20 – 40% de pctes tratados con GC por 8s.  Ciclofosfamida: 2 – 3mg/Kg/d  remision  Ciclosporina  total o parcial con tto GC  Mofetil de Micofenolato casos resistentes  Trasplante Renal: complica en la ½ casos  recidiva en aloinjerto
  • 20.
    Factor Pronóstico Desfavorable: Raza negra Hipertensión Arterial Proteinuria Masiva y Resistente Anomalía de Función Renal
  • 21.
    Adultos (30 – 40%) Síndrome  Niños (<5%) Nefrótico  Incidencia: 30 – 50 años, varon-mujer:2:1  Presenta:  Sindrome Nefrótico (>80%)  Proteinuria No Selectiva  Microhematuria (50%)  10 – 30% HTA, progresa en pacientes con IRProgresiva
  • 22.
    Pruebas Serologicas: ANCA anti – MBG Titulos de Crioglobulina Valores de complemento
  • 23.
    • Engrosamiento Difusode la Microscopio Optico MBG, sin signos de Inflamación, ni Proliferación Celular. • Deposito Granuloso de Ig G y C3, componentes Terminales del Inmunofluorescencia Complemento (C5b – C9) en pared Capilar Glomerular
  • 24.
    G.N. Membranosa: detallede un glomérulo con engrosamiento de las paredes capilares
  • 25.
    Idiopática Asociada a Enfermedadeso Medicamentos Infecciosa: Hepatitis B o C, Sífilis Secundaria o congénita, Paludismo, Lepra Enfermedades Autoinmunitarias Generales: LES, AR, Sd. De Sjögren, Cirrosis Biliar Primaria, Miastenia Grave Neoplasia: Carcinoma de Mama, Pulmón, Colon, Estómago, Melanoma, Carcinoma de Células Renales, Medicamentos: Oro, Penicilamina, Captoprilo, AINES, Probenecida. Otros: Sarcoidosis, DM, Anemia Drepanocítica, Enfermedad de Crohn, Déficit de α1 antitripsina.
  • 26.
    40% Sd. Nefrótico remite espontáneamente  30 % recidiva y remisiones constantes  30% descenso de FG produciendo IRT en 10 – 15 años Factor Pronóstico Desfavorable: Sexo Masculino Edad Avanzada HTA Proteinuria Hiperlipidemia Grave. Alteracion de Función Renal
  • 27.
    Ciclofosfamida, Ciclosporina, Clorambucilo: disminuyen Proteinuria y retrasan la Disminucion de FGR  Trasplante Renal: eficaz en pacientes con IRT
  • 28.
    Caracterizado por: Engrosamiento de la MBG Microscopio Alteraciones Proliferativas Optico  2 tipos; Caracteristicas:  Aumento difuso celularidad, matriz mesangial, engrosamiento y repliegue de MBG.  Exagera el Patron Lobulillar del Ovillo glomerular Conocida como MesangioCapilar
  • 29.
     Deposito subendotelialy mesangial: C3, Ig G, Ig M A veces Ig A Presenta: Proteinuria Masiva Sedimento Urinario Activo FG normal o minimamente alterado Valores de C3 disminuidos, C1q y C4 limitrofes o bajos
  • 30.
    Causas: Infeccion Cronica (Endocarditis Bacteriana, VIH, Hepatitis B y C) Enfermedad por IC (LES, Crioglobulinemia) Enfermedades Malignas (Leucemia, Linfomas)  Curso Prolongado  50% IRT en 10 años  Tratamiento: Eliminacion: infeccion, neoplasia, proceso de base
  • 31.
    Enfermedad por DepósitosDensos, dentro de MBG y Membrana Basal Renal C3, escaso Ig  Presenta: Proteinuria y Sd. Nefrótico Algunos Sd. Nefrítico: GNRP Macrohematuria Recidivantes  Enfermedad Autoinmunitaria AutoAcIgG (fc. Nefrítico C3), la cual se une a convertasa C3 y produce resistencia a desactivacion
  • 32.
    FGR estable y va a ir disminuyendo hasta IRT entre 5 – 10 años.  No existe Tratamiento eficaz, Enfermedad va acompañada por Lipodistrofia Parcial
  • 33.
    Rara.  Depósito Inmunitario Subepitelial.
  • 36.
    + frecuente.  + frecuente en personas de raza negra.  Anomalias renales y serologicas de la N. por Ig A y Purpura de Henoch – Schonlein, no se distinguen espectro de 1 sola Enfermedad.
  • 37.
    Idiopatica: Limitada al riñóno Secundaria a Purpura de Henoch – Schonlein Asociada a Enfermedades o Medicamentos: Higado: Hepatopatía Crónica con afección del Arbol biliar Aparato digestivo: Enfermedad Celiaca, Enfermedad de Crohn, Adenocarcinoma Aparato Respiratorio: Neumonitis Intersticial Idiopática, Bronquiolitis Obstructiva, Adenocarcinoma Piel: Dermatitis Herpetiforme, Micosis Fungoide, Lepra Ojos: Epiescleritis, Uveitis Anterior Otros: Espondilitis Anquilosante, Sd. Sjogren, Gammapatía Monoclonal por Ig A
  • 38.
    Presenta:  Macrohematuria a las 24 – 48 horas de: Infeccion faringea o digestiva, Vacunacion Esfuerzo agotador  HTA 20 – 30%  Sd. Nefrótico 10%
  • 39.
    M.O IF M.E • Expansion del • Desposito de Ig A en • Depósito electrodenso Mesangio con aumento mesangio en Mesangio, casos de matriz y células. • C3 en zona de graves se extiende hasta • Avanza el proceso: depósitos Inmunitarios espacio subendotelial proliferacion difusa, e Ig G 50 %casos Paramesangial semilunas celulares, inflamación intersticial y área de glomeruloesclerosis.
  • 40.
    Factor con PronósticoDesfavorable: Edad Avanzada Sexo masculino HTA Proteinuria Rango Nefrótico IR al momento de Presentacion Características Histológicas de Mal Pronóstico: Enfermedad Difusa Grave Proliferación Extracapilar (Semilunas) glomeruloesclerosis Fibrosis Intersticial Hialinosis Arteriolar.
  • 41.
    IECA pacientes con enfermedad mas grave  50% pacientes IRT plazo 20 años