Incrustar presentación
Descargado 25 veces


























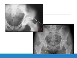
Este documento describe las fracturas de pelvis, incluyendo su etiología, mecanismos, clasificación y tratamientos. Las fracturas de pelvis se clasifican según el sistema de clasificación de Tile, que categoriza las fracturas como Tipo A, B o C dependiendo de su estabilidad y ubicación. El tratamiento depende de la clasificación Tile, con reposo para el Tipo A, estabilización del anillo anterior para el Tipo B, y estabilización anterior y posterior para el Tipo C.

























