FRACTURA DE
PELVIS
Funciones
Causas
60%

12%

9%

10%
Datos clínicos
 Dolor.
 Hipersensibilidad.

 Dificultad para caminar.
 Crepitaciones.
 Equimosis.

 Edema de pelvis o perineo.
 Deformidad.

3-5% de todas las Fx.
Mortalidad:
•Fx abiertas: 30-50%
•Fx cerradas: 8-15%
Exploración
 A la palpación…
 Pubis.
 Crestas ilíacas.
 Articulaciones sacroilíacas.

 Sacro.
 Tuberosidades isquiáticas.
 Regiones trocantereas.

 Tacto rectal y vaginal.
 Exploración neurológica.
LESIONES ASOCIADAS
 Hemorragia:

por lo gral de vasos de mediano calibre y del
hueso. Arteriografía para dx, cirugía en caso
de isquemia distal
 Trombosis:

alta incidencia en venas pélvicas y menos en
vena femoral. TVP en px que permanecen en
cama y EP secundaria.
Emplear anticoagulación profiláctica después
de la fase hemorrágica aguda
 Lesiones neurológicas:

se afectan raíces nerviosas dentro o alrededor
del agujero sacro, o lo nervios periféricos (ciático,
femoral, obturador, pudendo o glúteo sup)
hacer
examen
neurológico
completo
casi todas con lesiones de tipo neuropraxia con
pronóstico favorable, el 10% tiene secuelas
neurológicas permanentes significativas
 Lesiones urogenitales:
 rotura de vejiga y uretra en 5 y 10% de los px

se presentan en px conscientes que no pueden
orinar o presentan hematuria abundante
 Secreción uretral sanguinolenta
 Equimosis del pene o del perineo
 Próstata desplazable en exmn rectal

 Uretrografía retrógrada
 Cistostomía suprapúbica en caso de reotura

de vejiga o uretra, puede haber secuelas
como estenosis uretral, disfunción sexual e
impotencia
 Lesiones gastrointestinales:

perforación de intestinos delgado y
grueso, laceraciones rectales. Colostomía de
derivación
LESIONES AL ANILLO PÉLVICO
Consideraciones anatómicas

ligamentos sacroespinosos,
sacrotuberosos y lumbosacros
sacroiliacos anteriores
y posteriores
Clasificación

AISLADAS

•Disyunción pubiana
•Fracturas unilaterales de ramas
pubianas
•Fractura del cuerpo iliaco
•Subluxación sacro iliaca

AFECTAN
ANILLO PELVICO

•Fractura de ambas ramas
pubianas o disyunción
COMBINADAS
•Luxación sacro iliaca
•Fractura de iliaca o sacro
HUESO ILIACO

NO AFECTAN
ANILLO
PELVICO

SACRO

CÓCCIX

Espina iliaca antero-superior
Espina iliaca antero-inferior
Fractura de ala iliaca
Fractura del isquion
Fractura del cotilo (ceja o
fonda)

Fractura debajo de
articulacion sacro-iliaca

Fractura con o sin
desplazamiento
CLASIFICACIÓN TILE
CLASIFICACIÓN DE TILE

Tipo A

•A1
•A2
•A3

Tipo B

•B1
•B2
•B3

Tipo C

•C1
•C2
•C3
TIPO A1
 Por Avulsión
 Sitios de inserción de músculos

 Frecuente en adolescente
 Tratamiento conservador
TIPO A2
 Estables con desplazamiento mínimo
 No se extienden al interior de la articulación

 Traumatismo directo
 Tratamiento sintomático
TIPO A3
 Fracturas junto al obturador
 Aislada en rama isquiática o púbica

 Complejo sacro-iliaco posterior intacto
 Tratamiento sintomático : reposo,

analgésicos, ambulación temprana y apoyo
de su peso corporal
FRACTURAS TIPO B
 existe una interrupción parcial del anillo pelviano

posterior
 parcialmente inestables, (inestabilidad rotacional).
 Grupo B-1, B-2 y B-3
Grupo B-1
 Fracturas por rotación externa o «en libro

abierto» unilateral en la cual la lesión parcial
posterior puede estar localizada en la
articulación sacroiliaca anterior (B-1-1) o a
través del sacro (B-1-2)
Fracturas tipo B-1, en libro abierto generadas por un mecanismo
de rotación externa o compresión anteroposterior. Son fracturas
con disrupción de la sínfisis del pubis e inestabilidad parcial del
anillo posterior.


RX AP: Fractura tipo B1.1 o en “libro abierto” del lado derecho.

Flechas blancas: disyunción píbica , fractura de la columna anterior del acetábulo que
se extendía al anillo obturador (flechas amarillas)
 Rx AP
 Mujer de 44ª. atropellada
 TC ventana de hueso
 Dx fractura del borde posterosuperior del ala sacra.
Subtipo B1.2
Grupo B-2
Fracturas por compresión lateral o rotación
interna, cuyos subgrupos dependerán de la
localización de la lesión en el anillo posterior:
 fractura por impactación anterior del sacro B-2-1,
 luxofractura parcial sacroiliaca: B-2-2
 fractura incompleta posterior del hueso iliaco: B-2-3
 Fracturas tipo B-2 por compresión lateral o rotación interna

con lesión parcial del anillo posterior. Son fracturas con
inestabilidad parcial o de tipo rotacional.
Grupo B-3
Fracturas con lesión incompleta pero bilateral del
anillo posterior.
Los subgrupos se diferencian según la combinación
de lesiones en «B-1bilateral» (B-3-1); B1 + B2 (B-3-2)
o lesión «B2 bilateral (B-3-3).
 lesiones tipo «B» son parcialmente estables con
diversos grados de inestabilidad rotacional.

 tratamiento quirúrgico: dependiendo del grado
de inestabilidad y desplazamiento, utilizándose
de preferencia la estabilización quirúrgica del
anillo anterior.



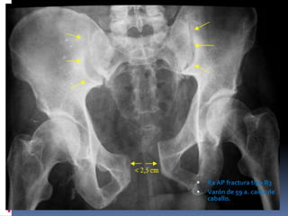
Rx AP fractura tipo B3
Varón de 59 a. caída de
caballo.
Rx del control de la
redución
Rx del control de la
movilización con el fijador
externo
FRACTURAS TIPO C
Son fracturas en las cuales existe una interrupción
completa de todas las estructuras óseas y
ligamentosas en el anillo posterior, existiendo una
inestabilidad tanto rotacional como traslacional o
vertical.
 son inestables y requerirán de estabilización
quirúrgica del anillo posterior y anterior.
Grupo C-1
Fracturas con compromiso unilateral del anillo
posterior, diferenciándose en lesiones a través del
hueso iliaco: C-1-1, articulación sacroiliaca: C-1-2 ó
del sacro C-1-3.
Rx Disyunción sacroilíaca y fractura de las ramas púbicas izquierdas
(flechas) por cizallamiento vertical.
Varón de 14 a. Accidente de motocicleta. Se realizó tratamiento quirúrgico mediante
fijaciones internas con tornillos en la articulación SI izquierda e inmovilización pélvica
con un tutor externo
Grupo C-2
Fracturas con compromiso unilateral completo y
contralateral incompleto del anillo posterior.
Se diferencian según la ubicación del rasgo con
disrupción completa en hueso iliaco: C-21, articulación sacroiliaca: C-2-2 ó hueso sacro C-2-3.


Fractura tipo C2 : Fractura bilateral del sacro (completa del ala sacra izquierda e
incompleta de la derecha) por cizallamiento vertical en una mujer de 29 años.
Grupo C-3
Fracturas con compromiso bilateral completo
del anillo posterior.
Se diferencian en fracturas con ambos rasgos
extrasacrales: C-3-1, un rasgo transacral: C-3-2 y
compromiso transacral bilateral:
C-3-3.
 Fractura tipo C por una fuerza de traslación vertical o

multidireccional. Se produce la disrupción completa del anillo
pelviano posterior, siendo todas éstas fracturas de tipo
inestable.
Fractura tipo C3 por cizallamiento Vertical. Inestabilidad bilateral de la pelvis por
fractura completa del ala sacra izquierda y de la pala ilíaca derecha por extensión
superior de una fractura de acetábulo (flechas blancas). Fracturas de las ramas
púbicas (flechas amarillas)
Complicaciones a Largo Plazo
Las fracturas estables causan pocos problemas a
largo plazo, solo el dolor residual que es leve a
moderado.
Las complicaciones a largo plazo de las fracturas
inestables son mas frecuentes e incapacitantes
de los que se pensó.
De los pacientes con desplazamiento
residual >1cm, solo el 30% estará libre
de dolor a los 5 años.

En el 5% de los pacientes se
encontraron discrepancias en
la longitud de las piernas de
entre 2 a 5cm.
Las anomalías residuales de la marcha se
presentan en 12 a 32% de los pacientes

El índice total de falta de unión se presenta en 3%
de los pacientes.
De las alteraciones
urogenitales que
normalmente se encuentran
son la estenosis uretral (520%) y la impotencia o
disfunción sexual (5-30%).

6 a 10% de los pacientes
presentan déficit neurológico
clínico, la electromiografia
muestra un 46%.
Fracturas del Acetábulo
El acetábulo es la porción del hueso pélvico que
se articula con la cabeza del fémur para formar
la articulación de la cadera.
Las fracturas del acetábulo ocurren por
traumatismo directo a la región trocánterea o por
carga axial indirecta atreves del miembro inferior.
La posición (rotación, flexión, aducción y
abducción) del miembro inferior al momento del
impacto determina el patrón de lesión.
Clasificación
Clasificacion Universal
Tipo A: Parcialmente articulares, afecta una
columna.
A1. Fractura de la pared posterior
A1.1 Luxofractura pura

A1.2 Luxofractura pura

A1.3 Luxofractura con impactación marginal
Tipo A: Parcialmente articulares, afecta una
columna.
A2. Fractura de la columna posterior
A2.1 Fractura del Isquion

A2.2 Fractura atraves del anillo obturador

A2.3 Asociada a fractura de la pared posterior
Tipo A: Parcialmente articulares, afecta una
columna.
A3. Fractura de la columna o pared anterior
A3.1 Fractura de la pared anterior

A3.2 Fractura de la columna anterior alta

A3.3 Fractura de la columna anterior baja
Tipo B: Parcialmente articulares, afecta ambas
columnas
B1: Transversas
B1.1 Infratectales

B1.2 Yuxtatectales

B1.3 Transtectales
Tipo B: Parcialmente articulares, afecta ambas
columnas
B2: Fracturas en T
Tratamiento Quirúrgico
Pronostico malo

B2.1 Infratectales

B2.2 Yuxtacorticales

B2.3 Transtectales
Tipo B: Parcialmente articulares, afecta ambas
columnas
B3: Fracturas hemitrasnversa posterior con
fractura de la columna anterior
B3.1 Fractura de la pared anterior

B3.2 Fractura de la columna anterior alta

B3.3 Fractura de la columna anterior baja
Tipo C: Fracturas Articulares Complejas
C1: ambas columnas variante alta
C1.1Cada columna es un fragmento simple,

C1-2. La columna posteriores un fragmento simple

C1-3. Existe conminución de la columna anterior
Tipo C: Fracturas Articulares Complejas
C2: ambas columnas variante baja
C2.1Cada columna es un fragmento simple,

C2-2. La columna posteriores un fragmento simple

C2-3. Fracturas de la columna y pared posterior
Tipo C: Fracturas Articulares Complejas
C3: ambas columnas con alteración de la
articulación sacro iliaca

Dividen ambas columnas por encima del acetábulo, a través del Ilio en el
plano coronal con extensión en forma de T hacia la articulación
Estudios imageneologicos


Radiografías:



Proyecciones pélvicas anteroposterior cefálico de 40°



Angulo caudal de 40°



Oblicua de 45 °



TAC



Radiografía de tensión:



estabilidad de la pelvis fracturada
TRATAMIENTO
Lesión abdominal, urogenital y
neurológica.
Sangrado

 Tracción esquelética longitudinal

Férula de Braun almohadillada
Radiografía
Indicación quirúrgica
 Desplazamiento

interarticular
2 mm
 Reducción de la cadera
 Imputación marginal
Complicaciones
Enfermedad degenerativa articular postraumática
Osificación heterotópica
Osteonecrosis de la cabeza femoral
Trombosis venosa profunda

Cirugía:
prevenir o retrasar -- osteoartritis

Fractura de pelvis trauma1total

  • 1.
  • 2.
  • 3.
  • 4.
    Datos clínicos  Dolor. Hipersensibilidad.  Dificultad para caminar.  Crepitaciones.  Equimosis.  Edema de pelvis o perineo.  Deformidad. 3-5% de todas las Fx. Mortalidad: •Fx abiertas: 30-50% •Fx cerradas: 8-15%
  • 5.
    Exploración  A lapalpación…  Pubis.  Crestas ilíacas.  Articulaciones sacroilíacas.  Sacro.  Tuberosidades isquiáticas.  Regiones trocantereas.  Tacto rectal y vaginal.  Exploración neurológica.
  • 7.
    LESIONES ASOCIADAS  Hemorragia: porlo gral de vasos de mediano calibre y del hueso. Arteriografía para dx, cirugía en caso de isquemia distal
  • 8.
     Trombosis: alta incidenciaen venas pélvicas y menos en vena femoral. TVP en px que permanecen en cama y EP secundaria. Emplear anticoagulación profiláctica después de la fase hemorrágica aguda
  • 9.
     Lesiones neurológicas: seafectan raíces nerviosas dentro o alrededor del agujero sacro, o lo nervios periféricos (ciático, femoral, obturador, pudendo o glúteo sup) hacer examen neurológico completo casi todas con lesiones de tipo neuropraxia con pronóstico favorable, el 10% tiene secuelas neurológicas permanentes significativas
  • 10.
     Lesiones urogenitales: rotura de vejiga y uretra en 5 y 10% de los px se presentan en px conscientes que no pueden orinar o presentan hematuria abundante  Secreción uretral sanguinolenta  Equimosis del pene o del perineo  Próstata desplazable en exmn rectal  Uretrografía retrógrada
  • 11.
     Cistostomía suprapúbicaen caso de reotura de vejiga o uretra, puede haber secuelas como estenosis uretral, disfunción sexual e impotencia
  • 12.
     Lesiones gastrointestinales: perforaciónde intestinos delgado y grueso, laceraciones rectales. Colostomía de derivación
  • 13.
  • 14.
    Consideraciones anatómicas ligamentos sacroespinosos, sacrotuberososy lumbosacros sacroiliacos anteriores y posteriores
  • 15.
    Clasificación AISLADAS •Disyunción pubiana •Fracturas unilateralesde ramas pubianas •Fractura del cuerpo iliaco •Subluxación sacro iliaca AFECTAN ANILLO PELVICO •Fractura de ambas ramas pubianas o disyunción COMBINADAS •Luxación sacro iliaca •Fractura de iliaca o sacro
  • 16.
    HUESO ILIACO NO AFECTAN ANILLO PELVICO SACRO CÓCCIX Espinailiaca antero-superior Espina iliaca antero-inferior Fractura de ala iliaca Fractura del isquion Fractura del cotilo (ceja o fonda) Fractura debajo de articulacion sacro-iliaca Fractura con o sin desplazamiento
  • 17.
  • 18.
    CLASIFICACIÓN DE TILE TipoA •A1 •A2 •A3 Tipo B •B1 •B2 •B3 Tipo C •C1 •C2 •C3
  • 19.
    TIPO A1  PorAvulsión  Sitios de inserción de músculos  Frecuente en adolescente  Tratamiento conservador
  • 20.
    TIPO A2  Establescon desplazamiento mínimo  No se extienden al interior de la articulación  Traumatismo directo  Tratamiento sintomático
  • 21.
    TIPO A3  Fracturasjunto al obturador  Aislada en rama isquiática o púbica  Complejo sacro-iliaco posterior intacto  Tratamiento sintomático : reposo, analgésicos, ambulación temprana y apoyo de su peso corporal
  • 22.
    FRACTURAS TIPO B existe una interrupción parcial del anillo pelviano posterior  parcialmente inestables, (inestabilidad rotacional).  Grupo B-1, B-2 y B-3
  • 23.
    Grupo B-1  Fracturaspor rotación externa o «en libro abierto» unilateral en la cual la lesión parcial posterior puede estar localizada en la articulación sacroiliaca anterior (B-1-1) o a través del sacro (B-1-2)
  • 24.
    Fracturas tipo B-1,en libro abierto generadas por un mecanismo de rotación externa o compresión anteroposterior. Son fracturas con disrupción de la sínfisis del pubis e inestabilidad parcial del anillo posterior.
  • 25.
     RX AP: Fracturatipo B1.1 o en “libro abierto” del lado derecho. Flechas blancas: disyunción píbica , fractura de la columna anterior del acetábulo que se extendía al anillo obturador (flechas amarillas)
  • 27.
     Rx AP Mujer de 44ª. atropellada
  • 28.
     TC ventanade hueso  Dx fractura del borde posterosuperior del ala sacra. Subtipo B1.2
  • 29.
    Grupo B-2 Fracturas porcompresión lateral o rotación interna, cuyos subgrupos dependerán de la localización de la lesión en el anillo posterior:  fractura por impactación anterior del sacro B-2-1,  luxofractura parcial sacroiliaca: B-2-2  fractura incompleta posterior del hueso iliaco: B-2-3
  • 30.
     Fracturas tipoB-2 por compresión lateral o rotación interna con lesión parcial del anillo posterior. Son fracturas con inestabilidad parcial o de tipo rotacional.
  • 31.
    Grupo B-3 Fracturas conlesión incompleta pero bilateral del anillo posterior. Los subgrupos se diferencian según la combinación de lesiones en «B-1bilateral» (B-3-1); B1 + B2 (B-3-2) o lesión «B2 bilateral (B-3-3).
  • 32.
     lesiones tipo«B» son parcialmente estables con diversos grados de inestabilidad rotacional.  tratamiento quirúrgico: dependiendo del grado de inestabilidad y desplazamiento, utilizándose de preferencia la estabilización quirúrgica del anillo anterior.
  • 33.
      Rx AP fracturatipo B3 Varón de 59 a. caída de caballo.
  • 34.
    Rx del controlde la redución
  • 35.
    Rx del controlde la movilización con el fijador externo
  • 36.
    FRACTURAS TIPO C Sonfracturas en las cuales existe una interrupción completa de todas las estructuras óseas y ligamentosas en el anillo posterior, existiendo una inestabilidad tanto rotacional como traslacional o vertical.  son inestables y requerirán de estabilización quirúrgica del anillo posterior y anterior.
  • 37.
    Grupo C-1 Fracturas concompromiso unilateral del anillo posterior, diferenciándose en lesiones a través del hueso iliaco: C-1-1, articulación sacroiliaca: C-1-2 ó del sacro C-1-3.
  • 38.
    Rx Disyunción sacroilíacay fractura de las ramas púbicas izquierdas (flechas) por cizallamiento vertical. Varón de 14 a. Accidente de motocicleta. Se realizó tratamiento quirúrgico mediante fijaciones internas con tornillos en la articulación SI izquierda e inmovilización pélvica con un tutor externo
  • 40.
    Grupo C-2 Fracturas concompromiso unilateral completo y contralateral incompleto del anillo posterior. Se diferencian según la ubicación del rasgo con disrupción completa en hueso iliaco: C-21, articulación sacroiliaca: C-2-2 ó hueso sacro C-2-3.
  • 41.
     Fractura tipo C2: Fractura bilateral del sacro (completa del ala sacra izquierda e incompleta de la derecha) por cizallamiento vertical en una mujer de 29 años.
  • 42.
    Grupo C-3 Fracturas concompromiso bilateral completo del anillo posterior. Se diferencian en fracturas con ambos rasgos extrasacrales: C-3-1, un rasgo transacral: C-3-2 y compromiso transacral bilateral: C-3-3.
  • 43.
     Fractura tipoC por una fuerza de traslación vertical o multidireccional. Se produce la disrupción completa del anillo pelviano posterior, siendo todas éstas fracturas de tipo inestable.
  • 44.
    Fractura tipo C3por cizallamiento Vertical. Inestabilidad bilateral de la pelvis por fractura completa del ala sacra izquierda y de la pala ilíaca derecha por extensión superior de una fractura de acetábulo (flechas blancas). Fracturas de las ramas púbicas (flechas amarillas)
  • 45.
    Complicaciones a LargoPlazo Las fracturas estables causan pocos problemas a largo plazo, solo el dolor residual que es leve a moderado. Las complicaciones a largo plazo de las fracturas inestables son mas frecuentes e incapacitantes de los que se pensó.
  • 46.
    De los pacientescon desplazamiento residual >1cm, solo el 30% estará libre de dolor a los 5 años. En el 5% de los pacientes se encontraron discrepancias en la longitud de las piernas de entre 2 a 5cm.
  • 47.
    Las anomalías residualesde la marcha se presentan en 12 a 32% de los pacientes El índice total de falta de unión se presenta en 3% de los pacientes.
  • 48.
    De las alteraciones urogenitalesque normalmente se encuentran son la estenosis uretral (520%) y la impotencia o disfunción sexual (5-30%). 6 a 10% de los pacientes presentan déficit neurológico clínico, la electromiografia muestra un 46%.
  • 49.
    Fracturas del Acetábulo Elacetábulo es la porción del hueso pélvico que se articula con la cabeza del fémur para formar la articulación de la cadera.
  • 50.
    Las fracturas delacetábulo ocurren por traumatismo directo a la región trocánterea o por carga axial indirecta atreves del miembro inferior. La posición (rotación, flexión, aducción y abducción) del miembro inferior al momento del impacto determina el patrón de lesión.
  • 51.
  • 52.
    Clasificacion Universal Tipo A:Parcialmente articulares, afecta una columna. A1. Fractura de la pared posterior A1.1 Luxofractura pura A1.2 Luxofractura pura A1.3 Luxofractura con impactación marginal
  • 53.
    Tipo A: Parcialmentearticulares, afecta una columna. A2. Fractura de la columna posterior A2.1 Fractura del Isquion A2.2 Fractura atraves del anillo obturador A2.3 Asociada a fractura de la pared posterior
  • 54.
    Tipo A: Parcialmentearticulares, afecta una columna. A3. Fractura de la columna o pared anterior A3.1 Fractura de la pared anterior A3.2 Fractura de la columna anterior alta A3.3 Fractura de la columna anterior baja
  • 55.
    Tipo B: Parcialmentearticulares, afecta ambas columnas B1: Transversas B1.1 Infratectales B1.2 Yuxtatectales B1.3 Transtectales
  • 56.
    Tipo B: Parcialmentearticulares, afecta ambas columnas B2: Fracturas en T Tratamiento Quirúrgico Pronostico malo B2.1 Infratectales B2.2 Yuxtacorticales B2.3 Transtectales
  • 57.
    Tipo B: Parcialmentearticulares, afecta ambas columnas B3: Fracturas hemitrasnversa posterior con fractura de la columna anterior B3.1 Fractura de la pared anterior B3.2 Fractura de la columna anterior alta B3.3 Fractura de la columna anterior baja
  • 58.
    Tipo C: FracturasArticulares Complejas C1: ambas columnas variante alta C1.1Cada columna es un fragmento simple, C1-2. La columna posteriores un fragmento simple C1-3. Existe conminución de la columna anterior
  • 59.
    Tipo C: FracturasArticulares Complejas C2: ambas columnas variante baja C2.1Cada columna es un fragmento simple, C2-2. La columna posteriores un fragmento simple C2-3. Fracturas de la columna y pared posterior
  • 60.
    Tipo C: FracturasArticulares Complejas C3: ambas columnas con alteración de la articulación sacro iliaca Dividen ambas columnas por encima del acetábulo, a través del Ilio en el plano coronal con extensión en forma de T hacia la articulación
  • 61.
    Estudios imageneologicos  Radiografías:  Proyecciones pélvicasanteroposterior cefálico de 40°  Angulo caudal de 40°  Oblicua de 45 °  TAC  Radiografía de tensión:  estabilidad de la pelvis fracturada
  • 62.
    TRATAMIENTO Lesión abdominal, urogenitaly neurológica. Sangrado  Tracción esquelética longitudinal Férula de Braun almohadillada Radiografía
  • 63.
    Indicación quirúrgica  Desplazamiento interarticular 2mm  Reducción de la cadera  Imputación marginal
  • 64.
    Complicaciones Enfermedad degenerativa articularpostraumática Osificación heterotópica Osteonecrosis de la cabeza femoral Trombosis venosa profunda Cirugía: prevenir o retrasar -- osteoartritis