CADERA Capital 
Subcapital 
Cervical 
Transtrocanter 
Subtrocanter 
FEMUR Diáfisis 
TIBIA Tobillo 
PIE Calcáneo 
Astrágalo 
Lisfranc (MTT) 
Jones
FRACTURAS DE CADERA
 Una fractura de cadera; o de la extremidad 
superior del fémur son las que ocurren entre 
la epífisis proximal del fémur y por debajo del 
trocánter menor.
Este tipo de fracturas son las mas frecuentes y se asocia a diversos 
factores. 
 Edad >65 años 
 sexo femenino 
 Sedentarismo 
 Consumo insuficiente de calcio en la dieta 
 Reducción de la masa muscular 
 Caídas 
 Osteoporosis 
Causas más importantes de morbilidad y 
mortalidad mundial.
 Clasificación: 
• Fractura capital 
• Fractura cervical 
(subcapital, 
transcervical y 
Basicervicales) 
Intracapsulares o 
transcervicales 
• Transtrocantéreas 
• Trocantéreas 
(Intertrocantericas, 
pertrocantericas y 
subtrocantericas) 
Extracapsulares
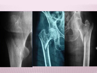
CLASIFICACIÓN DE GARDEN 
 Clasifica las intracapsulares en cuatro grupos: 
Tipo I: Fractura 
incompleta, “en valgo” 
si no se contiene 
mediante tratamiento 
se puede desplazar 
secundariamente. 
Tipo II: Fractura 
completa sin 
desplazamiento, 
cortical rota pero el 
fragmento proximal 
no esta desplazado. 
Si no se contiene 
puede ocurrir 
desplazamiento 
secundario. 
Tipo III: Fractura 
completa, 
desplazamiento 
parcial, según Garden 
se reduce rotando 
hacia adentro el 
fragmento distal sin 
traccionar, estable 
buen pronostico de 
irrigación de cabeza 
de fémur. 
Tipo IV: completa con 
desplazamiento total, 
dos fragmentos 
desvinculados, 
cabeza femoral se 
conserva en posición 
normal, pero la 
irrigación queda muy 
comprometida.
CLASIFICACIÓN DE PAWELLS 
Fractura con trazo menor de 
30° en relación con la 
horizontal 
Cizallamiento escaso, estables. 
Fractura con trazo entre 30° y 
70° en relación con la 
horizontal 
Deslizamiento de la cabeza 
hacia abajo, poca estabilidad. 
Fractura con trazo mayor a 
70° en relación con la 
horizontal 
Puede abrirse por la parte 
posterior, inestables.
CLASIFICACIÓN AO/MÜLLER DE LAS 
FRACTURAS DE LOS HUESOS LARGOS 
 Se basa en 3 segmentos: Región 
trocantérica, el cuello y la cabeza femoral.
 Fractura intracapsular: Dependiendo del 
grado de desplazamiento puede 
correlacionar un riesgo de complicación. 
 Fractura extracapsular: Es mejor clasificarlas 
en estables e inestables. 
Evaluamos la 
estabilidad de acuerdo 
al grado de 
conminución. 
Afectación del 
calcar femoral
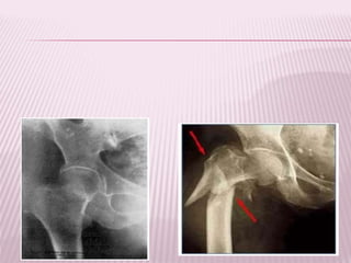
FRACTURA CAPITAL 
 Aquellas comprendidas en la zona articular 
de la cabeza femoral. 
Se produce por 
mecanismos de 
trauma de baja 
energía 
Tipo I: Fractura por debajo del 
ligamento redondo. 
Tipo II: Fractura por encima del 
ligamento redondo. 
Compromiso de zona de apoyo 
Tipo III: I y II con fractura del 
cuello femoral. 
Tipo IV: cualquiera de las 
anteriores mas fractura del 
acetábulo, 
Clasificación de 
Pipkin
FRACTURA CAPITAL
FRACTURAS CERVICALES 
 Se subdividen en 3 tipos de acuerdo a la 
localización anatómica de la fractura.
FRACTURA SUBCAPITAL 
 Aquellas producidas en un plano 
inmediatamente inferior al borde del cartílago 
articular, generalmente tiene una orientación 
oblicua de modo que compromete un 
segmento pequeño de cuello del fémur.
FRACTURA SUBCAPITAL
FRACTURAS TRANSCERVICALES 
 Compromete la parte media del cuerpo del 
cuello femoral.
FRACTURA TRANSCERVICAL
FRACTURA BASICERVICAL 
 El trazo de fractura coincide con el plano de 
fusión de la base del cuello en la superficie 
interna del macizo trocantereo.
FRACTURA BASICERVICAL
CUADRO CLÍNICO: 
 Paciente de edad avanzada 
 Rotación externa 
 Acortamiento 
 Ligera abducción del muslo 
 Impotencia funcional 
 Dolor de intensidad variable 
 Existencia de antecedente traumático 
 Imposibilidad para elevar el talón de la cama 
No hay aumento de volumen 
Equimosis
 Pacientes con fracturas intracapsulares, se 
recomienda: 
 Proyecciones radiográficas: Anteroposterior con 
rotación medial de 15° del lugar afectado. Axial 
de la cadera afectada 
 Debe solicitarse: 
 Radiografía de pelvis con rotación interna de la 
cadera sana, lo que permite valorar la longitud real 
del cuello femoral. 
 Radiografía de la cadera fracturada, en lo posible 
con rotación interna.
TRATAMIENTO 
Fracturas 
intracapsulares no 
desplazadas 
Osteosíntesis 
Movilización precoz del paciente 
y reduce el riesgo de 
desplazamiento. 
Tornillos tirafondo 
canulados
 Pacientes mayores de 80 años, expectativa de vida 
inferior a los 3 años. 
Hemiartroplastía 
Evitar el riesgo de 
desplazamiento, 
permitir una carga 
precoz
FRACTURA TRANSTROCANTÉREA 
 Se refriere a la solución de continuidad en la 
zona metafisiria proximal de fémur 
comprendida entre los 2 trocánteres.
FRACTURA TRANSTROCANTÉREA
FRACTURAS TROCANTEREAS 
Representan la mitad 
de las fracturas de 
fémur proximal. 
Clasificación de Tronzo 
Tipo 1: Fractura trocantereana incompleta. 
Sin desplazamiento. 
Tipo 2: Fractura trocantereana sin 
conminución, con o sin desplazamiento. 
Tipo 3: Fractura conminuta, con afectación 
del trocánter menor. 
Tipo 4: Fractura conminuta, con 
compromiso del trocánter mayor. 
Tipo 5: Fractura trocantereana con 
oblicuidad invertida del rasgo de fractura.
FRACTURA INTERTROCANTERICA
FRACTURA SUBTROCANTÉREA
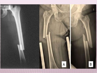
TRATAMIENTO DE LAS FRACTURAS EXTRACAPSULARES 
Tratamiento conservador Pacientes con patologías graves 
Debe iniciarse con el 
movilización para evitar 
complicaciones del 
encamamiento. 
OSTEOSINTESIS con tornillo placa 
deslizante. 
El tornillo deslizante debe localizarse en la 
mitad inferior del cuello y de la cabeza del 
fémur, (zona de transmisión de la carga y 
donde hay mayor trabeculación ósea).
 Fracturas extracapsulares inestables: 
 La placa de ángulo fijo y la lámina placa aportan 
Tornillo deslizable y placa
FRACTURAS DE LA DIÁFISIS FEMORAL 
Segmento óseo más largo del esqueleto, por lo 
cual tiene gran incidencia de fracturas. 
Puede producirse una fractura por 
un mecanismo de tipo directo 
(choque o proyectil) 
Fracturas 
multifragmentarias o 
Mectraannissmveor sinadleirsecto: Cuando se 
traba el pie o la pierna y se 
exageran los movimientos de 
flexión o rotación 
Oblicuos o espiroideos, alas 
de mariposa (puede haber 
trazo incompleto)
CLASIFICACIÓN DE PANKOVICH Y COL. 
FRACTUR 
A 
CONTACTO ESTABLILIDAD 
Tipo A Bicortical 
a) Transversa 
b) Oblicua corta 
Lateral y 
longitudinal 
Tipo B Unicortical: 
a) En ala de 
mariposa 
b) Conminución 
unicortical 
Longitudinal no 
lateral 
Tipo C Sn contacto cortical: 
a) Conminuta 
b) Oblicua larga 
No longitudinal ni 
lateral
DIAGNOSTICO 
 Impotencia funcional 
 Movilidad anormal con crepitación y angulación del 
muslo 
 Acortamiento del miembro inferior 
 Edema y hemorragia
TRATAMIENTO 
Tratamiento 
ortopédico 
Tratamiento 
quirúrgico 
Reducción lenta y continua (tracción 
esquelética) 
Se elevan los pies del paciente 
poniendo un realce, para que el cuerpo 
actué de contrapeso. Se coloca férula 
de Braun. (Control radiográfico) 
En caso de tener una 
fractura distal o 
supracondílea (Férula de 
Putti) 
Puede completarse con yeso 
pelvipédico, 3-4 meses 
continuando con traccion hasta la 
consolidación. 
Enclavado intramedular de 
Küntscher: Clavo de corte trebolar por 
dentro del conducto medular. 
Placas de compresión: Reducción 
anatómica e inmovilización rígida 
(retardo de la consolidación) 
Fijadores externos: Colocación 
a cielo cerrado de tornillos 
perpendiculares al eje del 
hueso, unidos por un dispositivo 
externo,
FRACTURA DE TIBIA
FRACTURA DE TOBILLO 
 Corresponden al grupo de lesiones 
traumáticas quizás más frecuentes de la vida 
diaria; 
 Se clasifica según Danis-Weber 
Infrasindesmóticas 
(sindesmosis 
indemne) 
Transindesmoticas solo 
lesión de la 
sindesmosis 
Suprasindesmoticas lesión de 
sisdesmosis y membrana 
intereósea 
50% reparación quirúrgica
 Fractura unimaleolar Fractura bimaleoar 
Trimaleolar 
* Dolor espontáneo, generalmente intenso; se exacerba con los movimientos 
o tentativas de caminar 
* Aumento de volumen, rápido en aparecer y progresivo. 
* Equímosis tardías, submaleolares y que a veces descienden a lo largo de 
los bordes externo o interno del pie. 
* Impotencia funcional.
TRATAMIENTO 
Radiografía de una fractura de tobillo tratada 
quirúrgicamente con placa y tornillos de 
titanio. 
Osteosíntesis: Produce un alto grado de 
estabilidad mecánica.
FRACTURA DEL PIE
CALCANEO 
 Fracturas talámicas 
 Fracturas extratalámicas 
Mas frecuentes, pero mas 
complicadas de tratar. 
Mejor pronostico 
TALAMICA 
S 
EXTRATALAMIC 
AS 
Se produce por lo general por una 
caída desde una altura variable, 
Mejor pronóstico, comprenden 
las fracturas de la tuberosidad 
mayor.
ASTRAGALO 
 Cabeza 
 Cuello 
 Cola 
Su incidencia oscila entre el 0,1% y el 
0,85% de todas las fracturas. 
Representan el 50% de las fracturas, mecanismo: 
caída desde cierta altura con pie en flexión 
dorsal. 
Clasificación Hawkins: 
I. Sin desplazamiento, alineación 
normal de la articulación 
subastragalina 
II. Desplazada y asociada con 
subluxación o luxación de la 
articulación subastragalina 
III. Desplazada y asociada con 
luxación completa de la articulación 
subastragalina como 
tibioastragalina.
TRATAMIENTO 
 Debe dirigirse a obtener la reducción para evitar problemas 
de irrigación (necrosis). 
 Tipo I. Inmovilización con bota enyesada. 
 Tipo II. Tratar de reducir la luxación subastragalina con 
movimiento de inversión o de eversión (osteosíntesis). 
 Tipo III. Se intenta por reducción cerrada sino reducción 
quirúrgica.
 En las luxaciones el desplazamiento más 
habitual de los metatarsianos es en dirección 
dorsal. 
hacer una exploración neurovascular 
del pie, (alta energía y 
politraumatizados). Debe descartarse 
en casos de dolor desproporcionado 
a los hallazgos el Sindrome 
Compartimental Agudo del Pie,
Esguince de metatarsiano tipo I
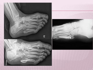
FRACTURA DE LOS METATARSIANOS
FRACTURA-LUXACIÓN DE LISFRANC 
 Se produce por torción en el antepie fijo. 
 Esta fractura corresponde a la linea articular 
tarso-metatarsiana (por un lado la base de 
los 5 metatarsianos y por otro las cuñas y los 
cuboides). 
 Clasificación Hardcastle: 
 I. Homolateral 
 Aislada 
 Divergente
 El hallazgo mas importante en las 
radiografias es la avulsión del 2 MTT
FRACTURA DE JONES 
 Ocurre en un área pequeña del 5to. 
Metatarsiano, 
Siempren consolidan a 
pesar de que exista o no 
tratamiento. 
Puede ocurrir por 
compresión o una 
fractura aguda. 
Síntomas: 
Dolor, hinchazón y sensibilidad en la parte 
exterior del pie 
Dificultad para caminar 
Puede presentar hematomas.
TRATAMIENTO 
 Inmovilización. Dependiendo de la gravedad de la lesión, con un yeso, 
una bota de yeso o con calzado con suela rígida. 
 Puede ser necesario usar muletas para evitar apoyar peso sobre el pie 
lesionado. 
 Estimulación del hueso. Se utiliza un dispositivo externo que no causa 
dolor para acelerar la curación de algunas fracturas 
Se realiza una incisión cutánea 2 
cms, sobre la estiloides del 5to 
metatarsiano; se separan las partes 
blandas, se coloca un tornillo de 4 
mm rosca distal 
Marcha con muletas 10 
días en la tercera 
semana se puede 
permitir el apoyo del peso 
total.
Fracturas en adultos

Fracturas en adultos

  • 1.
    CADERA Capital Subcapital Cervical Transtrocanter Subtrocanter FEMUR Diáfisis TIBIA Tobillo PIE Calcáneo Astrágalo Lisfranc (MTT) Jones
  • 2.
  • 3.
     Una fracturade cadera; o de la extremidad superior del fémur son las que ocurren entre la epífisis proximal del fémur y por debajo del trocánter menor.
  • 4.
    Este tipo defracturas son las mas frecuentes y se asocia a diversos factores.  Edad >65 años  sexo femenino  Sedentarismo  Consumo insuficiente de calcio en la dieta  Reducción de la masa muscular  Caídas  Osteoporosis Causas más importantes de morbilidad y mortalidad mundial.
  • 5.
     Clasificación: •Fractura capital • Fractura cervical (subcapital, transcervical y Basicervicales) Intracapsulares o transcervicales • Transtrocantéreas • Trocantéreas (Intertrocantericas, pertrocantericas y subtrocantericas) Extracapsulares
  • 6.
    CLASIFICACIÓN DE GARDEN  Clasifica las intracapsulares en cuatro grupos: Tipo I: Fractura incompleta, “en valgo” si no se contiene mediante tratamiento se puede desplazar secundariamente. Tipo II: Fractura completa sin desplazamiento, cortical rota pero el fragmento proximal no esta desplazado. Si no se contiene puede ocurrir desplazamiento secundario. Tipo III: Fractura completa, desplazamiento parcial, según Garden se reduce rotando hacia adentro el fragmento distal sin traccionar, estable buen pronostico de irrigación de cabeza de fémur. Tipo IV: completa con desplazamiento total, dos fragmentos desvinculados, cabeza femoral se conserva en posición normal, pero la irrigación queda muy comprometida.
  • 7.
    CLASIFICACIÓN DE PAWELLS Fractura con trazo menor de 30° en relación con la horizontal Cizallamiento escaso, estables. Fractura con trazo entre 30° y 70° en relación con la horizontal Deslizamiento de la cabeza hacia abajo, poca estabilidad. Fractura con trazo mayor a 70° en relación con la horizontal Puede abrirse por la parte posterior, inestables.
  • 8.
    CLASIFICACIÓN AO/MÜLLER DELAS FRACTURAS DE LOS HUESOS LARGOS  Se basa en 3 segmentos: Región trocantérica, el cuello y la cabeza femoral.
  • 10.
     Fractura intracapsular:Dependiendo del grado de desplazamiento puede correlacionar un riesgo de complicación.  Fractura extracapsular: Es mejor clasificarlas en estables e inestables. Evaluamos la estabilidad de acuerdo al grado de conminución. Afectación del calcar femoral
  • 12.
    FRACTURA CAPITAL Aquellas comprendidas en la zona articular de la cabeza femoral. Se produce por mecanismos de trauma de baja energía Tipo I: Fractura por debajo del ligamento redondo. Tipo II: Fractura por encima del ligamento redondo. Compromiso de zona de apoyo Tipo III: I y II con fractura del cuello femoral. Tipo IV: cualquiera de las anteriores mas fractura del acetábulo, Clasificación de Pipkin
  • 13.
  • 14.
    FRACTURAS CERVICALES Se subdividen en 3 tipos de acuerdo a la localización anatómica de la fractura.
  • 15.
    FRACTURA SUBCAPITAL Aquellas producidas en un plano inmediatamente inferior al borde del cartílago articular, generalmente tiene una orientación oblicua de modo que compromete un segmento pequeño de cuello del fémur.
  • 16.
  • 17.
    FRACTURAS TRANSCERVICALES Compromete la parte media del cuerpo del cuello femoral.
  • 18.
  • 20.
    FRACTURA BASICERVICAL El trazo de fractura coincide con el plano de fusión de la base del cuello en la superficie interna del macizo trocantereo.
  • 21.
  • 23.
    CUADRO CLÍNICO: Paciente de edad avanzada  Rotación externa  Acortamiento  Ligera abducción del muslo  Impotencia funcional  Dolor de intensidad variable  Existencia de antecedente traumático  Imposibilidad para elevar el talón de la cama No hay aumento de volumen Equimosis
  • 24.
     Pacientes confracturas intracapsulares, se recomienda:  Proyecciones radiográficas: Anteroposterior con rotación medial de 15° del lugar afectado. Axial de la cadera afectada  Debe solicitarse:  Radiografía de pelvis con rotación interna de la cadera sana, lo que permite valorar la longitud real del cuello femoral.  Radiografía de la cadera fracturada, en lo posible con rotación interna.
  • 25.
    TRATAMIENTO Fracturas intracapsularesno desplazadas Osteosíntesis Movilización precoz del paciente y reduce el riesgo de desplazamiento. Tornillos tirafondo canulados
  • 26.
     Pacientes mayoresde 80 años, expectativa de vida inferior a los 3 años. Hemiartroplastía Evitar el riesgo de desplazamiento, permitir una carga precoz
  • 27.
    FRACTURA TRANSTROCANTÉREA Se refriere a la solución de continuidad en la zona metafisiria proximal de fémur comprendida entre los 2 trocánteres.
  • 28.
  • 29.
    FRACTURAS TROCANTEREAS Representanla mitad de las fracturas de fémur proximal. Clasificación de Tronzo Tipo 1: Fractura trocantereana incompleta. Sin desplazamiento. Tipo 2: Fractura trocantereana sin conminución, con o sin desplazamiento. Tipo 3: Fractura conminuta, con afectación del trocánter menor. Tipo 4: Fractura conminuta, con compromiso del trocánter mayor. Tipo 5: Fractura trocantereana con oblicuidad invertida del rasgo de fractura.
  • 32.
  • 33.
  • 34.
    TRATAMIENTO DE LASFRACTURAS EXTRACAPSULARES Tratamiento conservador Pacientes con patologías graves Debe iniciarse con el movilización para evitar complicaciones del encamamiento. OSTEOSINTESIS con tornillo placa deslizante. El tornillo deslizante debe localizarse en la mitad inferior del cuello y de la cabeza del fémur, (zona de transmisión de la carga y donde hay mayor trabeculación ósea).
  • 35.
     Fracturas extracapsularesinestables:  La placa de ángulo fijo y la lámina placa aportan Tornillo deslizable y placa
  • 37.
    FRACTURAS DE LADIÁFISIS FEMORAL Segmento óseo más largo del esqueleto, por lo cual tiene gran incidencia de fracturas. Puede producirse una fractura por un mecanismo de tipo directo (choque o proyectil) Fracturas multifragmentarias o Mectraannissmveor sinadleirsecto: Cuando se traba el pie o la pierna y se exageran los movimientos de flexión o rotación Oblicuos o espiroideos, alas de mariposa (puede haber trazo incompleto)
  • 38.
    CLASIFICACIÓN DE PANKOVICHY COL. FRACTUR A CONTACTO ESTABLILIDAD Tipo A Bicortical a) Transversa b) Oblicua corta Lateral y longitudinal Tipo B Unicortical: a) En ala de mariposa b) Conminución unicortical Longitudinal no lateral Tipo C Sn contacto cortical: a) Conminuta b) Oblicua larga No longitudinal ni lateral
  • 39.
    DIAGNOSTICO  Impotenciafuncional  Movilidad anormal con crepitación y angulación del muslo  Acortamiento del miembro inferior  Edema y hemorragia
  • 41.
    TRATAMIENTO Tratamiento ortopédico Tratamiento quirúrgico Reducción lenta y continua (tracción esquelética) Se elevan los pies del paciente poniendo un realce, para que el cuerpo actué de contrapeso. Se coloca férula de Braun. (Control radiográfico) En caso de tener una fractura distal o supracondílea (Férula de Putti) Puede completarse con yeso pelvipédico, 3-4 meses continuando con traccion hasta la consolidación. Enclavado intramedular de Küntscher: Clavo de corte trebolar por dentro del conducto medular. Placas de compresión: Reducción anatómica e inmovilización rígida (retardo de la consolidación) Fijadores externos: Colocación a cielo cerrado de tornillos perpendiculares al eje del hueso, unidos por un dispositivo externo,
  • 43.
  • 44.
    FRACTURA DE TOBILLO  Corresponden al grupo de lesiones traumáticas quizás más frecuentes de la vida diaria;  Se clasifica según Danis-Weber Infrasindesmóticas (sindesmosis indemne) Transindesmoticas solo lesión de la sindesmosis Suprasindesmoticas lesión de sisdesmosis y membrana intereósea 50% reparación quirúrgica
  • 45.
     Fractura unimaleolarFractura bimaleoar Trimaleolar * Dolor espontáneo, generalmente intenso; se exacerba con los movimientos o tentativas de caminar * Aumento de volumen, rápido en aparecer y progresivo. * Equímosis tardías, submaleolares y que a veces descienden a lo largo de los bordes externo o interno del pie. * Impotencia funcional.
  • 46.
    TRATAMIENTO Radiografía deuna fractura de tobillo tratada quirúrgicamente con placa y tornillos de titanio. Osteosíntesis: Produce un alto grado de estabilidad mecánica.
  • 47.
  • 48.
    CALCANEO  Fracturastalámicas  Fracturas extratalámicas Mas frecuentes, pero mas complicadas de tratar. Mejor pronostico TALAMICA S EXTRATALAMIC AS Se produce por lo general por una caída desde una altura variable, Mejor pronóstico, comprenden las fracturas de la tuberosidad mayor.
  • 52.
    ASTRAGALO  Cabeza  Cuello  Cola Su incidencia oscila entre el 0,1% y el 0,85% de todas las fracturas. Representan el 50% de las fracturas, mecanismo: caída desde cierta altura con pie en flexión dorsal. Clasificación Hawkins: I. Sin desplazamiento, alineación normal de la articulación subastragalina II. Desplazada y asociada con subluxación o luxación de la articulación subastragalina III. Desplazada y asociada con luxación completa de la articulación subastragalina como tibioastragalina.
  • 55.
    TRATAMIENTO  Debedirigirse a obtener la reducción para evitar problemas de irrigación (necrosis).  Tipo I. Inmovilización con bota enyesada.  Tipo II. Tratar de reducir la luxación subastragalina con movimiento de inversión o de eversión (osteosíntesis).  Tipo III. Se intenta por reducción cerrada sino reducción quirúrgica.
  • 57.
     En lasluxaciones el desplazamiento más habitual de los metatarsianos es en dirección dorsal. hacer una exploración neurovascular del pie, (alta energía y politraumatizados). Debe descartarse en casos de dolor desproporcionado a los hallazgos el Sindrome Compartimental Agudo del Pie,
  • 58.
  • 59.
    FRACTURA DE LOSMETATARSIANOS
  • 60.
    FRACTURA-LUXACIÓN DE LISFRANC  Se produce por torción en el antepie fijo.  Esta fractura corresponde a la linea articular tarso-metatarsiana (por un lado la base de los 5 metatarsianos y por otro las cuñas y los cuboides).  Clasificación Hardcastle:  I. Homolateral  Aislada  Divergente
  • 61.
     El hallazgomas importante en las radiografias es la avulsión del 2 MTT
  • 62.
    FRACTURA DE JONES  Ocurre en un área pequeña del 5to. Metatarsiano, Siempren consolidan a pesar de que exista o no tratamiento. Puede ocurrir por compresión o una fractura aguda. Síntomas: Dolor, hinchazón y sensibilidad en la parte exterior del pie Dificultad para caminar Puede presentar hematomas.
  • 64.
    TRATAMIENTO  Inmovilización.Dependiendo de la gravedad de la lesión, con un yeso, una bota de yeso o con calzado con suela rígida.  Puede ser necesario usar muletas para evitar apoyar peso sobre el pie lesionado.  Estimulación del hueso. Se utiliza un dispositivo externo que no causa dolor para acelerar la curación de algunas fracturas Se realiza una incisión cutánea 2 cms, sobre la estiloides del 5to metatarsiano; se separan las partes blandas, se coloca un tornillo de 4 mm rosca distal Marcha con muletas 10 días en la tercera semana se puede permitir el apoyo del peso total.