Se conoce como meningitis la inflamación de lasSe conoce como meningitis la inflamación de las
meninges y del LCR que contienenmeninges y del LCR que contienen..
MeningitisMeningitis
EtiologíaEtiología
 Bacterias: meningococo, TBC, sífilis,Bacterias: meningococo, TBC, sífilis,
brucelosis, leptospirosis, enfermedad debrucelosis, leptospirosis, enfermedad de
Lyme.Lyme.
 Virus: herpes, CMV, Epstein-Barr, adeno,Virus: herpes, CMV, Epstein-Barr, adeno,
entero, polio, echo, coxsackie, sarampión,entero, polio, echo, coxsackie, sarampión,
parotiditis, rubeola, flavi, arena, rabdo, etc.parotiditis, rubeola, flavi, arena, rabdo, etc.
 Fúngicas: cripto, aspergilus, cándidaFúngicas: cripto, aspergilus, cándida
 Protozoarios: toxo, amebianaProtozoarios: toxo, amebiana
Neonatos <1mesNeonatos <1mes S. agalactiae.S. agalactiae.
E. coli.E. coli.
L.L.
monopytogenesmonopytogenes
Niños 1 mes a 5Niños 1 mes a 5
añosaños
N. meningitidisN. meningitidis
S. pneumoniaeS. pneumoniae
H. influenzae*H. influenzae*
5 a 19 años5 a 19 años N. meningitidisN. meningitidis
Adultos hasta 65Adultos hasta 65
añosaños
S. pneumoniaeS. pneumoniae
N. meníngitidisN. meníngitidis
Adultos >65Adultos >65
años eaños e
inmunocomproinmunocompro
metidosmetidos
S. pneumoniaeS. pneumoniae
L.L.
monocytogenesmonocytogenes
N. meningitidisN. meningitidis
EtiologíEtiologí
aa
NúmeroNúmero
CélulasCélulas
TipoTipo
CélulasCélulas
GlucosaGlucosa
(mg/dl)(mg/dl)
Proteínas (mg/dl)Proteínas (mg/dl)
BacteriaBacteria
nana
100-10.000100-10.000 PolimorfonPolimorfon
uclearesucleares
Baja (<40)Baja (<40) >100>100
VíricaVírica <500<500 LinfocitosLinfocitos NormalNormal Normal oNormal o
ligeramente altasligeramente altas
FúngicaFúngica <500<500 LinfocitosLinfocitos Normal oNormal o
bajabaja
Elevadas (>100)Elevadas (>100)
TubercuTubercu
losalosa
<500<500 LinfocitosLinfocitos Baja (<40)Baja (<40) Elevadas (>100)Elevadas (>100)
Meningitis PiógenaMeningitis Piógena Meningitis ViralMeningitis Viral Meningitis CrónicaMeningitis Crónica Meningitis ParameníngeaMeningitis Parameníngea
LCR turbioLCR turbio LCR claroLCR claro LCR levemente turbioLCR levemente turbio LCR claroLCR claro
Células - - -Células - - -
1000-50001000-5000
Células -Células -
10-1000010-10000
Células - -Células - -
100-1000100-1000
CélulasCélulas
10-100010-1000
Predominio NeutrófilosPredominio Neutrófilos
(Polimorfonucleares)(Polimorfonucleares)
PredominioPredominio
MononuclearMononuclear
PredominioPredominio
MononuclearMononuclear
Predominio NeutrófilosPredominio Neutrófilos
(Polimorfonucleares)(Polimorfonucleares)
Proteinas - - >200Proteinas - - >200 Proteinas - 45-200Proteinas - 45-200 Proteinas - o - -Proteinas - o - - Proteinas - 45-200Proteinas - 45-200
Glucosa ¯ ¯ (<50%,Glucosa ¯ ¯ (<50%,
diabéticos <30%)diabéticos <30%)
Glucosa NGlucosa N Glucosa ¯Glucosa ¯ Glucosa NGlucosa N
Meningococo en jóvenes yMeningococo en jóvenes y
en adultos, Haemophilusen adultos, Haemophilus
influenzae en < 5 años,influenzae en < 5 años,
Neumococo >60,Neumococo >60,
gramnegativos ancianos egramnegativos ancianos e
inmunodeprimidosinmunodeprimidos
Virales:Virales:
enterovirus(70%),enterovirus(70%),
parotiditis, HSV, HIV,parotiditis, HSV, HIV,
LCM.LCM.
Encefalitis virales,Encefalitis virales,
virus herpes simplevirus herpes simple
(HSV)(HSV)
TBC, criptococo,TBC, criptococo,
carcinomatosis.carcinomatosis.
Absceso encefálico, abscesoAbsceso encefálico, absceso
epidural, empiemaepidural, empiema
subdural.subdural.
Meningitis bacteriana-Meningitis bacteriana-
Cuadro clínicoCuadro clínico
 CefaleaCefalea
 FiebreFiebre
 Naúseas y vómitosNaúseas y vómitos
 Rigidez de nucaRigidez de nuca
 Deterioro de la concienciaDeterioro de la conciencia
DiagnósticoDiagnóstico
 Cuadro clínicoCuadro clínico
 LCRLCR
 TACTAC
IndicacionesIndicaciones Agentes más frecuentesAgentes más frecuentes AntibióticosAntibióticos
Adulto <60 añosAdulto <60 años S. pneumoniae, N. meningitidis,S. pneumoniae, N. meningitidis,
H. influenzaeH. influenzae (raro)(raro)
Ceftriaxona o cefotaximeCeftriaxona o cefotaxime
> 60 años, malnutrición, alcoholismo u otra> 60 años, malnutrición, alcoholismo u otra
enfermedad debilitante asociada (diabetes,enfermedad debilitante asociada (diabetes,
insuficiencia renal, cáncer, conectivopatía)insuficiencia renal, cáncer, conectivopatía)
S.pneumoniae, L.monocytogenes,S.pneumoniae, L.monocytogenes,
S.agalactiae, EnterococcusS.agalactiae, Enterococcus spp., bacilosspp., bacilos
gram negativos,gram negativos, N.meningitidis,N.meningitidis,
H.influenzaeH.influenzae
Igual + ampicilina con oIgual + ampicilina con o
sin aminósidosin aminósido
Infección nosocomialInfección nosocomial
Post-neurocirugíaPost-neurocirugía
ShuntShunt
Post-traumatismoPost-traumatismo
StaphylococcusStaphylococcus spp, bacilos gramspp, bacilos gram
negativos (incluyendonegativos (incluyendo PseudomonasPseudomonas
aeruginosaaeruginosa),), StreptococcusStreptococcus spp.spp.
Según ecología bacterianaSegún ecología bacteriana
local:local:
Vancomicina +Vancomicina +
ceftaxidime con o sinceftaxidime con o sin
aminósidoaminósido
Alternativa para bacilosAlternativa para bacilos
gram negativos: FQ,gram negativos: FQ,
meropenem (limitadameropenem (limitada
experiencia clínica)experiencia clínica)
Con frecuencia hay queCon frecuencia hay que
remover el shuntremover el shunt
Cualquier edad con compromiso de inmunidadCualquier edad con compromiso de inmunidad
celular (linfoma, altas dosis de corticoides)celular (linfoma, altas dosis de corticoides)
Listeria monocytogenesListeria monocytogenes,,
bacilos gram negativosbacilos gram negativos
Ampicilina +Ampicilina +
ceftazidimeceftazidime
EsplenectomizadoEsplenectomizado S.pneumoniae, H.influenzae,S.pneumoniae, H.influenzae,
N.meningitidisN.meningitidis
Ceftriaxona oCeftriaxona o
cefotaximecefotaxime
Fístula de LCRFístula de LCR S.pneumoniae, H.influenzaeS.pneumoniae, H.influenzae Ceftriaxona oCeftriaxona o
cefotaximecefotaxime
Tratamiento empíricoTratamiento empírico
GermenGermen Plan de elecciónPlan de elección AlternativaAlternativa
Neisseria meningitidisNeisseria meningitidis Penicilina G (oPenicilina G (o
ampicilina) por 7 dampicilina) por 7 d
Alérgicos a penicilina:Alérgicos a penicilina:
ceftriaxone o cefotaximeceftriaxone o cefotaxime
Alérgicos a betalactámicos:Alérgicos a betalactámicos:
cloranfenicolcloranfenicol
Streptococcus pneumoniaeStreptococcus pneumoniae sensible asensible a
penicilina (CIM < 0,1 mg/l)penicilina (CIM < 0,1 mg/l)
Penicilina G (oPenicilina G (o
ampicilina) por 10-ampicilina) por 10-
14 d14 d
Ceftriaxone o cefotaximeCeftriaxone o cefotaxime
Alérgicos a betalactámicos:Alérgicos a betalactámicos:
cloranfenicol o vancomicinacloranfenicol o vancomicina
Streptococcus pneumoniaeStreptococcus pneumoniae de sensibilidadde sensibilidad
intermedia a penicilina (CIM 0,1-4 mg/l)intermedia a penicilina (CIM 0,1-4 mg/l)
Ceftriaxone oCeftriaxone o
cefotaxime, 10-14 dcefotaxime, 10-14 d
En alérgicos: VancomicinaEn alérgicos: Vancomicina
Tratamiento segúnTratamiento según
gérmengérmen
Streptococcus pneumoniaeStreptococcus pneumoniae concon
resistencia a penicilina (CIM>4 mg/l)resistencia a penicilina (CIM>4 mg/l)
y cefalosporina 3ª G (CIM > 0.5mg/l)y cefalosporina 3ª G (CIM > 0.5mg/l)
Vancomicina + ceftriaxone (oVancomicina + ceftriaxone (o
cefotaxime), 10-14 dcefotaxime), 10-14 d
Vancomicina +Vancomicina +
rifampicinarifampicina
o meropenem?o meropenem?
o levofloxacina?o levofloxacina?
Haemophilus influenzaeHaemophilus influenzae sensible asensible a
ampicilinaampicilina
Ampicilina, 7-10 dAmpicilina, 7-10 d Ceftriaxone óCeftriaxone ó
cefotaximecefotaxime
Alérgicos aAlérgicos a
betalactámicos:betalactámicos:
cloranfenicolcloranfenicol
Haemophilus influenzaeHaemophilus influenzae resistente aresistente a
penicilinapenicilina
Ceftriaxona o cefotaxime, 7-10 dCeftriaxona o cefotaxime, 7-10 d Cloranfenicol ó FQCloranfenicol ó FQ
Listeria monocytogenesListeria monocytogenes Ampicilina (o penicilina G) por 14 dAmpicilina (o penicilina G) por 14 d
en huésped normal y 21 d enen huésped normal y 21 d en
inmunodeprimido + gentamicina 3-5inmunodeprimido + gentamicina 3-5
díasdías
TMP-SMXTMP-SMX
o vancomicina +o vancomicina +
gentamicinagentamicina
(Todas las(Todas las
cefalosporinas soncefalosporinas son
inactivas frente ainactivas frente a
este germen)este germen)
EnterobacteriaceaeEnterobacteriaceae
Según antibiograma:Según antibiograma:
Cefalosporina 3ª G +Cefalosporina 3ª G +
aminósido (o FQ), por 21aminósido (o FQ), por 21
d.d.
Meropenem (o FQ) con o sinMeropenem (o FQ) con o sin
aminósidoaminósido
Si hay poca respuesta: agregarSi hay poca respuesta: agregar
gentamicina (5-10 mg/d) intratecal ogentamicina (5-10 mg/d) intratecal o
intraventricularintraventricular
Pseudomonas aeruginosa,Pseudomonas aeruginosa,
AcinetobacterAcinetobacter
Según antibiograma:Según antibiograma:
Ceftazidime + aminósido,Ceftazidime + aminósido,
por 3 a 6 sem.por 3 a 6 sem.
Meropenem + aminósidoMeropenem + aminósido
Si hay poca respuesta: agregarSi hay poca respuesta: agregar
gentamicina (5-10 mg/d) intratecal ogentamicina (5-10 mg/d) intratecal o
intraventricularintraventricular
StaphylococcusStaphylococcus spp.spp. meticilinometicilino
resistente o meticilino sensibleresistente o meticilino sensible
Vancomicina +Vancomicina +
rifampicina, 3-6 semrifampicina, 3-6 sem
FQ o cefotaxime (si es sensible)FQ o cefotaxime (si es sensible)
Streptococcus agalactiaeStreptococcus agalactiae Ampicilina (o penicilinaAmpicilina (o penicilina
G) 14-21 d + gentamicinaG) 14-21 d + gentamicina
7 d7 d
Ceftriaxone o cefotaximeCeftriaxone o cefotaxime
Alergia a betalactámicos: vancomicinaAlergia a betalactámicos: vancomicina
Dosis de antibióticos. Siempre vía i/v.
Penicilina G 30 M UI/día, en perfusión continua o fraccionada c/4 h
Ampicilina 8 a 12 g/día en perfusión continua o fraccionada c/4 h
Ceftriaxona 2g c/12 h
Cefotaxime 150-300 mg/quilo/d en 6 dosis
Ceftazidime 2 g c/8 h
Vancomicina 1 g c/8-12 h
Trimetoprim-sulfametoxazol 6 a 8 amp/d
Meropenem 1-2 g c/8 h
Gentamicina 3 a 5 mg/quilo/d en 2 o 3 dosis/d
Amikacina 15 mg/quilo/d en 2 o 3 dosis/d
Rifampicina 20-30 mg/quilo/d en 2 dosis/d (600 mg c/12-24 h)
Cloranfenicol 1 g c/6 h
Control evolutivo.Control evolutivo.
 ClínicoClínico
 PL a las 48 horasPL a las 48 horas si: no se identificó elsi: no se identificó el
germen, no hay mejoría clínica, el germengermen, no hay mejoría clínica, el germen
causal es neumococo resistente u otrocausal es neumococo resistente u otro
germen de difícil tratamiento (ejemplo:germen de difícil tratamiento (ejemplo:
estafilococo).estafilococo).
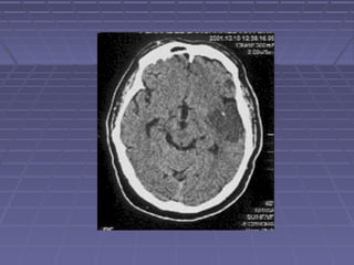
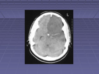
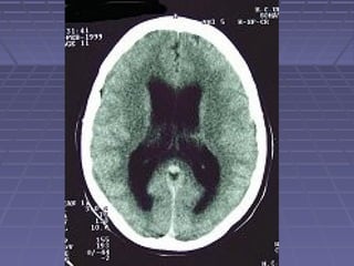
 TAC de cráneoTAC de cráneo si: persisten o aumentan lassi: persisten o aumentan las
manifestaciones clínicas, se sospechamanifestaciones clínicas, se sospecha
herniación, persiste la fiebre.herniación, persiste la fiebre.
Profilaxis.Profilaxis.
 Neisseria meningitidisNeisseria meningitidis
 ¿A quienes indicar quimioprofilaxis?¿A quienes indicar quimioprofilaxis?
1.1.Personas que conviven en el domicilio oPersonas que conviven en el domicilio o
tuvieron contacto próximo y repetido con eltuvieron contacto próximo y repetido con el
caso índice de meningitis meningocócicacaso índice de meningitis meningocócica
(confirmada o sospechada), durante los 10(confirmada o sospechada), durante los 10
días previos a la hospitalización.días previos a la hospitalización.
2.2.Los contactos hospitalarios (personal deLos contactos hospitalarios (personal de
enfermería o médico) en general no tienenenfermería o médico) en general no tienen
indicación de quimioprofilaxis, salvo el queindicación de quimioprofilaxis, salvo el que
hizo respiración boca a boca.hizo respiración boca a boca.
 ¿Cuando?¿Cuando?
 Lo antes posible. De preferencia dentro de las 24Lo antes posible. De preferencia dentro de las 24
horas de identificar el caso primario. No tienehoras de identificar el caso primario. No tiene
valor para decidir la profilaxis la realización de unvalor para decidir la profilaxis la realización de un
exudado faríngeo.exudado faríngeo.
No evita la enfermedad si está en el período deNo evita la enfermedad si está en el período de
incubación.incubación.
 ¿Con qué droga?¿Con qué droga?
 Elección:Elección:
 rifampicina 600 mg c/12 h v.o. por 2 días.rifampicina 600 mg c/12 h v.o. por 2 días.
 Las alternativas para adultos son:Las alternativas para adultos son:
 ceftriaxona 250 mg i/m. Dosis única.ceftriaxona 250 mg i/m. Dosis única.
 ciprofloxacina 500 a 750 mg v.o. Dosis únicaciprofloxacina 500 a 750 mg v.o. Dosis única
 azitromicina 500 mg v.o. Dosis única.azitromicina 500 mg v.o. Dosis única.
 Haemophylus influenzaeHaemophylus influenzae tipo b (Hib):tipo b (Hib):
 ¿A quienes indicar la quimioprofilaxis?¿A quienes indicar la quimioprofilaxis?
1.1.A los contactos menores de 4 años noA los contactos menores de 4 años no
vacunados o incompletamente vacunadosvacunados o incompletamente vacunados
2.2.A los contactos domiciliarios o queA los contactos domiciliarios o que
convivieron durante 4 horas o más, en los 7convivieron durante 4 horas o más, en los 7
días previos al diagnóstico, con el casodías previos al diagnóstico, con el caso
índice de meningitis aíndice de meningitis a HaemophylusHaemophylus
influenzaeinfluenzae o aun no confirmada.o aun no confirmada.
 ¿Cuándo?¿Cuándo?
 Lo antes posible. De preferencia dentro de las 24Lo antes posible. De preferencia dentro de las 24
horas posteriores al diagnóstico del caso índice.horas posteriores al diagnóstico del caso índice.
 ¿Con cual droga?¿Con cual droga?
 Elección:Elección:
 rifampicina 600 mg /d en una sola tomarifampicina 600 mg /d en una sola toma
diaria durante 4 días.diaria durante 4 días.
 Las alternativas en adultos son:Las alternativas en adultos son:
 ceftriaxona 250 mg i.m., dosis únicaceftriaxona 250 mg i.m., dosis única
 ciprofloxacina 500 mg v/o, dosis única.ciprofloxacina 500 mg v/o, dosis única.
 Streptococcus pneumoniaeStreptococcus pneumoniae
 ¿A quienes indicar quimioprofilaxis?¿A quienes indicar quimioprofilaxis?
 A personas con elevado riesgo: aspleniaA personas con elevado riesgo: asplenia
anatómica o funcional, fístula de LCR;anatómica o funcional, fístula de LCR;
independientemente de su estado deindependientemente de su estado de
inmunización.inmunización.
No es necesaria en contactos sanos deNo es necesaria en contactos sanos de
personas con enfermedad invasora.personas con enfermedad invasora.
 ¿Con cual droga?¿Con cual droga?
 Penicilina V 250 mg c/12 h, v.o. oPenicilina V 250 mg c/12 h, v.o. o
macrólidos.macrólidos.
 ¿Durante cuanto tiempo?¿Durante cuanto tiempo?
 La decisión es empírica. Algunos autoresLa decisión es empírica. Algunos autores
proponen quimioprofilaxis indefinida enproponen quimioprofilaxis indefinida en
personas de muy alto riesgo.personas de muy alto riesgo.
Meningitis tuberculosaMeningitis tuberculosa
 FiebreFiebre
 CefaleaCefalea
 Parálisis de III, IV, VI y VII parParálisis de III, IV, VI y VII par
 ConvulsionesConvulsiones
 ComaComa
DiagnósticoDiagnóstico
 LCR: hipercelularidad a predominio deLCR: hipercelularidad a predominio de
linfocitos, proteínas superiores a 100linfocitos, proteínas superiores a 100
mg/dl e hipoglucorraquiamg/dl e hipoglucorraquia
 TC: hidrocefalia, lesiones vasculares,TC: hidrocefalia, lesiones vasculares,
tuberculomastuberculomas
Meningitis a liquido claro-Meningitis a liquido claro-
víricas (aséptica)víricas (aséptica)
 Sindrome meningeoSindrome meningeo
 AfasiasAfasias
 Déficit motoDéficit moto
 Trastornos visualesTrastornos visuales
 ConvulsionesConvulsiones
 Líquido cefalorraquídeo (LCR) de aspectoLíquido cefalorraquídeo (LCR) de aspecto
claro pero con pleocitosis linfocitaria y queclaro pero con pleocitosis linfocitaria y que
se presenta como consecuencia de lase presenta como consecuencia de la
inflamación de las leptomeningesinflamación de las leptomeninges
(aracnoides y piamadre).(aracnoides y piamadre).
Etiología de la meningitisEtiología de la meningitis
asépticaaséptica
 EnterovirusEnterovirus
 Herpes virusHerpes virus
Meningitis PiógenaMeningitis Piógena Meningitis ViralMeningitis Viral Meningitis CrónicaMeningitis Crónica Meningitis ParameníngeaMeningitis Parameníngea
LCR turbioLCR turbio LCR claroLCR claro LCR levemente turbioLCR levemente turbio LCR claroLCR claro
Células ­ ­ ­Células ­ ­ ­
1000­50001000­5000
Células ­Células ­
10­1000010­10000
Células ­ ­Células ­ ­
100­1000100­1000
CélulasCélulas
10­100010­1000
Predominio NeutrófilosPredominio Neutrófilos
(Polimorfonucleares)(Polimorfonucleares)
PredominioPredominio
MononuclearMononuclear
PredominioPredominio
MononuclearMononuclear
Predominio NeutrófilosPredominio Neutrófilos
(Polimorfonucleares)(Polimorfonucleares)
Proteinas ­ ­ >200Proteinas ­ ­ >200 Proteinas ­ 45­200Proteinas ­ 45­200 Proteinas ­ o ­ ­Proteinas ­ o ­ ­ Proteinas ­ 45­200Proteinas ­ 45­200
Glucosa ¯ ¯ (<50%,Glucosa ¯ ¯ (<50%,
diabéticos <30%)diabéticos <30%)
Glucosa NGlucosa N Glucosa ¯Glucosa ¯ Glucosa NGlucosa N
Meningococo en jóvenes yMeningococo en jóvenes y
en adultos, Haemophilusen adultos, Haemophilus
influenzae en < 5 años,influenzae en < 5 años,
Neumococo >60,Neumococo >60,
gramnegativos ancianos egramnegativos ancianos e
inmunodeprimidosinmunodeprimidos
Virales:Virales:
enterovirus(70%),enterovirus(70%),
parotiditis, HSV, HIV,parotiditis, HSV, HIV,
LCM.LCM.
Encefalitis virales,Encefalitis virales,
virus herpes simplevirus herpes simple
(HSV)(HSV)
TBC, criptococo,TBC, criptococo,
carcinomatosis.carcinomatosis.
Absceso encefálico, abscesoAbsceso encefálico, absceso
epidural, empiemaepidural, empiema
subdural.subdural.
LCR normalLCR normal
 ASPECTOASPECTO
 El aspecto normal es LIMPIDO eEl aspecto normal es LIMPIDO e
INCOLORO (como el agua de cristal deINCOLORO (como el agua de cristal de
roca) no precipita ni coagula.roca) no precipita ni coagula.
 CITOLOGIA DE RUTINACITOLOGIA DE RUTINA
 Menor o igual a 5 células/ml a predominioMenor o igual a 5 células/ml a predominio
linfocitario (linfocitos: 93-97 %;linfocitario (linfocitos: 93-97 %;
polimorfonucleares: 1-3 %; monocitos: 0,5-1 %).polimorfonucleares: 1-3 %; monocitos: 0,5-1 %).
 PROTEINASPROTEINAS
 Su presencia en el LCR se la denomina proteinorraquia y elSu presencia en el LCR se la denomina proteinorraquia y el
contenido normal es de 15 - 45 mg / 100 ml ycontenido normal es de 15 - 45 mg / 100 ml y
 GLUCOSAGLUCOSA
 Su presencia en el LCR recibe el nombre de glucorraquia.Su presencia en el LCR recibe el nombre de glucorraquia.
con un valor normal igual al 60 % de la cifra de glucemiacon un valor normal igual al 60 % de la cifra de glucemia
medida simultáneamente a la extracción del LCR.medida simultáneamente a la extracción del LCR.
 ClorurosCloruros
 Su valor normal es de 700 a 750 mg / % (114 - 118 mEq/lSu valor normal es de 700 a 750 mg / % (114 - 118 mEq/l
Alteraciones del aspectoAlteraciones del aspecto
 TURBIOTURBIO (predominio de PMN).(predominio de PMN). Se lo observaSe lo observa
en presencia de meningitis bacteriana.en presencia de meningitis bacteriana.
 ROJOROJO (hemorrágico) Puede ser de origen: -(hemorrágico) Puede ser de origen: -
TraumáticoTraumático: cuando la punción rompió un: cuando la punción rompió un
vaso sanguíneo en su paso al espaciovaso sanguíneo en su paso al espacio
subduralsubdural
 XANTOCROMICOXANTOCROMICO (amarillo) lo produce la(amarillo) lo produce la
oxihemoglobina de la sangre derramada enoxihemoglobina de la sangre derramada en
el espacio subaracnoideo y / o ventricular deel espacio subaracnoideo y / o ventricular de
varias horas. También se lo puede observarvarias horas. También se lo puede observar
en casos de ictericia y de aumento deen casos de ictericia y de aumento de
proteínas en el LCR independientemente deproteínas en el LCR independientemente de
su etiología.su etiología.
Alteraciones de la citologíaAlteraciones de la citología
 Pleocitosis moderada o intensa aPleocitosis moderada o intensa a
predominio Linfocitario:predominio Linfocitario:meningitismeningitis
tuberculosa; meningitis viral; meningitistuberculosa; meningitis viral; meningitis
micótica; encefalitis; sífilis; poliomielitismicótica; encefalitis; sífilis; poliomielitis
anterior agudaanterior aguda
 Pleocitosis moderada o intensa aPleocitosis moderada o intensa a
predominio polimorfonuclearespredominio polimorfonucleares:meningitis:meningitis
bacteriana aguda).bacteriana aguda).
 Pleocitosis leve a predominioPleocitosis leve a predominio
polimorfonucleares o linfocitario:polimorfonucleares o linfocitario: se observase observa
en los meningismos (meningitis serosas;en los meningismos (meningitis serosas;
por procesos vecinos como sinusitis,por procesos vecinos como sinusitis,
mastoiditis, otitis, sin constituir el cuadromastoiditis, otitis, sin constituir el cuadro
meningítico clásico o completo).meningítico clásico o completo).
 Pleocitosis a predominio de eosinófilos:Pleocitosis a predominio de eosinófilos: sese
presenta en estados inmunológicopresenta en estados inmunológico
reaccional alérgico del tejido conectivoreaccional alérgico del tejido conectivo
perivascular de la leptomeninges.perivascular de la leptomeninges.
 Pleocitosis a predominio de célulasPleocitosis a predominio de células
plasmáticasplasmáticas, se da en procesos inflamatorios, se da en procesos inflamatorios
crónicos del sistema nervioso o de suscrónicos del sistema nervioso o de sus
cubiertas.cubiertas.
Alteraciones de lasAlteraciones de las
proteínasproteínas
 Hiperproteinorraquia es el aumento deHiperproteinorraquia es el aumento de
proteínas en el LCR y se la observa enproteínas en el LCR y se la observa en
meningitis; poliomielitis; encefalitis;meningitis; poliomielitis; encefalitis;
neurosífilis; bloqueo de la circulación deneurosífilis; bloqueo de la circulación de
LCR; Síndrome de Guillain-Barre; HSA.LCR; Síndrome de Guillain-Barre; HSA.
 Disociación cito-proteicaDisociación cito-proteica: pleocitosis sin: pleocitosis sin
aumento de las proteínas o un aumentoaumento de las proteínas o un aumento
muy discreto. Se presenta en afeccionesmuy discreto. Se presenta en afecciones
inflamatorias primarias del parénquima,inflamatorias primarias del parénquima,
de moderada agresividad (encefalitisde moderada agresividad (encefalitis
benignas); en procesos inflamatorios debenignas); en procesos inflamatorios de
órganos vecinos como sinusitis intensa,órganos vecinos como sinusitis intensa,
epiduritis; en procesos infecciososepiduritis; en procesos infecciosos
sistémicos (meningismos).sistémicos (meningismos).
 Disociación albumino-citologicaDisociación albumino-citologica: se: se
denomina de esta manera cuando en el LCRdenomina de esta manera cuando en el LCR
se encuentra una celularidad normal conse encuentra una celularidad normal con
hiperproteinorraquia. Se presenta enhiperproteinorraquia. Se presenta en
procesos polirradiculoneurítico, Guillain-procesos polirradiculoneurítico, Guillain-
Barre, compresión medular.Barre, compresión medular.
Alteraciones de la glucosaAlteraciones de la glucosa
 HipoglucorraquiaHipoglucorraquia: se la encuentra en: se la encuentra en
meningitis bacterianas y micóticas.meningitis bacterianas y micóticas.
 HiperglucorraquiaHiperglucorraquia: se observa en: se observa en
diabetes; encefalitis; virosisdiabetes; encefalitis; virosis
(meningitis; poliomielitis); uremia.(meningitis; poliomielitis); uremia.
Alteraciones de los clorurosAlteraciones de los cloruros
 Hipoclorurorraquia se la encuentra enHipoclorurorraquia se la encuentra en
meningitis bacteriana; neumonía; Tifusmeningitis bacteriana; neumonía; Tifus
exantemático.exantemático.
                                                                         
                           
Fondo de ojo normalFondo de ojo normal
Interna neuro 28-10-10_mening

Interna neuro 28-10-10_mening

  • 1.
    Se conoce comomeningitis la inflamación de lasSe conoce como meningitis la inflamación de las meninges y del LCR que contienenmeninges y del LCR que contienen.. MeningitisMeningitis
  • 2.
    EtiologíaEtiología  Bacterias: meningococo,TBC, sífilis,Bacterias: meningococo, TBC, sífilis, brucelosis, leptospirosis, enfermedad debrucelosis, leptospirosis, enfermedad de Lyme.Lyme.  Virus: herpes, CMV, Epstein-Barr, adeno,Virus: herpes, CMV, Epstein-Barr, adeno, entero, polio, echo, coxsackie, sarampión,entero, polio, echo, coxsackie, sarampión, parotiditis, rubeola, flavi, arena, rabdo, etc.parotiditis, rubeola, flavi, arena, rabdo, etc.  Fúngicas: cripto, aspergilus, cándidaFúngicas: cripto, aspergilus, cándida  Protozoarios: toxo, amebianaProtozoarios: toxo, amebiana
  • 3.
    Neonatos <1mesNeonatos <1mesS. agalactiae.S. agalactiae. E. coli.E. coli. L.L. monopytogenesmonopytogenes Niños 1 mes a 5Niños 1 mes a 5 añosaños N. meningitidisN. meningitidis S. pneumoniaeS. pneumoniae H. influenzae*H. influenzae* 5 a 19 años5 a 19 años N. meningitidisN. meningitidis Adultos hasta 65Adultos hasta 65 añosaños S. pneumoniaeS. pneumoniae N. meníngitidisN. meníngitidis Adultos >65Adultos >65 años eaños e inmunocomproinmunocompro metidosmetidos S. pneumoniaeS. pneumoniae L.L. monocytogenesmonocytogenes N. meningitidisN. meningitidis
  • 4.
    EtiologíEtiologí aa NúmeroNúmero CélulasCélulas TipoTipo CélulasCélulas GlucosaGlucosa (mg/dl)(mg/dl) Proteínas (mg/dl)Proteínas (mg/dl) BacteriaBacteria nana 100-10.000100-10.000PolimorfonPolimorfon uclearesucleares Baja (<40)Baja (<40) >100>100 VíricaVírica <500<500 LinfocitosLinfocitos NormalNormal Normal oNormal o ligeramente altasligeramente altas FúngicaFúngica <500<500 LinfocitosLinfocitos Normal oNormal o bajabaja Elevadas (>100)Elevadas (>100) TubercuTubercu losalosa <500<500 LinfocitosLinfocitos Baja (<40)Baja (<40) Elevadas (>100)Elevadas (>100)
  • 5.
    Meningitis PiógenaMeningitis PiógenaMeningitis ViralMeningitis Viral Meningitis CrónicaMeningitis Crónica Meningitis ParameníngeaMeningitis Parameníngea LCR turbioLCR turbio LCR claroLCR claro LCR levemente turbioLCR levemente turbio LCR claroLCR claro Células - - -Células - - - 1000-50001000-5000 Células -Células - 10-1000010-10000 Células - -Células - - 100-1000100-1000 CélulasCélulas 10-100010-1000 Predominio NeutrófilosPredominio Neutrófilos (Polimorfonucleares)(Polimorfonucleares) PredominioPredominio MononuclearMononuclear PredominioPredominio MononuclearMononuclear Predominio NeutrófilosPredominio Neutrófilos (Polimorfonucleares)(Polimorfonucleares) Proteinas - - >200Proteinas - - >200 Proteinas - 45-200Proteinas - 45-200 Proteinas - o - -Proteinas - o - - Proteinas - 45-200Proteinas - 45-200 Glucosa ¯ ¯ (<50%,Glucosa ¯ ¯ (<50%, diabéticos <30%)diabéticos <30%) Glucosa NGlucosa N Glucosa ¯Glucosa ¯ Glucosa NGlucosa N Meningococo en jóvenes yMeningococo en jóvenes y en adultos, Haemophilusen adultos, Haemophilus influenzae en < 5 años,influenzae en < 5 años, Neumococo >60,Neumococo >60, gramnegativos ancianos egramnegativos ancianos e inmunodeprimidosinmunodeprimidos Virales:Virales: enterovirus(70%),enterovirus(70%), parotiditis, HSV, HIV,parotiditis, HSV, HIV, LCM.LCM. Encefalitis virales,Encefalitis virales, virus herpes simplevirus herpes simple (HSV)(HSV) TBC, criptococo,TBC, criptococo, carcinomatosis.carcinomatosis. Absceso encefálico, abscesoAbsceso encefálico, absceso epidural, empiemaepidural, empiema subdural.subdural.
  • 6.
    Meningitis bacteriana-Meningitis bacteriana- CuadroclínicoCuadro clínico  CefaleaCefalea  FiebreFiebre  Naúseas y vómitosNaúseas y vómitos  Rigidez de nucaRigidez de nuca  Deterioro de la concienciaDeterioro de la conciencia
  • 7.
  • 8.
    IndicacionesIndicaciones Agentes másfrecuentesAgentes más frecuentes AntibióticosAntibióticos Adulto <60 añosAdulto <60 años S. pneumoniae, N. meningitidis,S. pneumoniae, N. meningitidis, H. influenzaeH. influenzae (raro)(raro) Ceftriaxona o cefotaximeCeftriaxona o cefotaxime > 60 años, malnutrición, alcoholismo u otra> 60 años, malnutrición, alcoholismo u otra enfermedad debilitante asociada (diabetes,enfermedad debilitante asociada (diabetes, insuficiencia renal, cáncer, conectivopatía)insuficiencia renal, cáncer, conectivopatía) S.pneumoniae, L.monocytogenes,S.pneumoniae, L.monocytogenes, S.agalactiae, EnterococcusS.agalactiae, Enterococcus spp., bacilosspp., bacilos gram negativos,gram negativos, N.meningitidis,N.meningitidis, H.influenzaeH.influenzae Igual + ampicilina con oIgual + ampicilina con o sin aminósidosin aminósido Infección nosocomialInfección nosocomial Post-neurocirugíaPost-neurocirugía ShuntShunt Post-traumatismoPost-traumatismo StaphylococcusStaphylococcus spp, bacilos gramspp, bacilos gram negativos (incluyendonegativos (incluyendo PseudomonasPseudomonas aeruginosaaeruginosa),), StreptococcusStreptococcus spp.spp. Según ecología bacterianaSegún ecología bacteriana local:local: Vancomicina +Vancomicina + ceftaxidime con o sinceftaxidime con o sin aminósidoaminósido Alternativa para bacilosAlternativa para bacilos gram negativos: FQ,gram negativos: FQ, meropenem (limitadameropenem (limitada experiencia clínica)experiencia clínica) Con frecuencia hay queCon frecuencia hay que remover el shuntremover el shunt
  • 9.
    Cualquier edad concompromiso de inmunidadCualquier edad con compromiso de inmunidad celular (linfoma, altas dosis de corticoides)celular (linfoma, altas dosis de corticoides) Listeria monocytogenesListeria monocytogenes,, bacilos gram negativosbacilos gram negativos Ampicilina +Ampicilina + ceftazidimeceftazidime EsplenectomizadoEsplenectomizado S.pneumoniae, H.influenzae,S.pneumoniae, H.influenzae, N.meningitidisN.meningitidis Ceftriaxona oCeftriaxona o cefotaximecefotaxime Fístula de LCRFístula de LCR S.pneumoniae, H.influenzaeS.pneumoniae, H.influenzae Ceftriaxona oCeftriaxona o cefotaximecefotaxime Tratamiento empíricoTratamiento empírico
  • 10.
    GermenGermen Plan deelecciónPlan de elección AlternativaAlternativa Neisseria meningitidisNeisseria meningitidis Penicilina G (oPenicilina G (o ampicilina) por 7 dampicilina) por 7 d Alérgicos a penicilina:Alérgicos a penicilina: ceftriaxone o cefotaximeceftriaxone o cefotaxime Alérgicos a betalactámicos:Alérgicos a betalactámicos: cloranfenicolcloranfenicol Streptococcus pneumoniaeStreptococcus pneumoniae sensible asensible a penicilina (CIM < 0,1 mg/l)penicilina (CIM < 0,1 mg/l) Penicilina G (oPenicilina G (o ampicilina) por 10-ampicilina) por 10- 14 d14 d Ceftriaxone o cefotaximeCeftriaxone o cefotaxime Alérgicos a betalactámicos:Alérgicos a betalactámicos: cloranfenicol o vancomicinacloranfenicol o vancomicina Streptococcus pneumoniaeStreptococcus pneumoniae de sensibilidadde sensibilidad intermedia a penicilina (CIM 0,1-4 mg/l)intermedia a penicilina (CIM 0,1-4 mg/l) Ceftriaxone oCeftriaxone o cefotaxime, 10-14 dcefotaxime, 10-14 d En alérgicos: VancomicinaEn alérgicos: Vancomicina Tratamiento segúnTratamiento según gérmengérmen
  • 11.
    Streptococcus pneumoniaeStreptococcus pneumoniaeconcon resistencia a penicilina (CIM>4 mg/l)resistencia a penicilina (CIM>4 mg/l) y cefalosporina 3ª G (CIM > 0.5mg/l)y cefalosporina 3ª G (CIM > 0.5mg/l) Vancomicina + ceftriaxone (oVancomicina + ceftriaxone (o cefotaxime), 10-14 dcefotaxime), 10-14 d Vancomicina +Vancomicina + rifampicinarifampicina o meropenem?o meropenem? o levofloxacina?o levofloxacina? Haemophilus influenzaeHaemophilus influenzae sensible asensible a ampicilinaampicilina Ampicilina, 7-10 dAmpicilina, 7-10 d Ceftriaxone óCeftriaxone ó cefotaximecefotaxime Alérgicos aAlérgicos a betalactámicos:betalactámicos: cloranfenicolcloranfenicol Haemophilus influenzaeHaemophilus influenzae resistente aresistente a penicilinapenicilina Ceftriaxona o cefotaxime, 7-10 dCeftriaxona o cefotaxime, 7-10 d Cloranfenicol ó FQCloranfenicol ó FQ Listeria monocytogenesListeria monocytogenes Ampicilina (o penicilina G) por 14 dAmpicilina (o penicilina G) por 14 d en huésped normal y 21 d enen huésped normal y 21 d en inmunodeprimido + gentamicina 3-5inmunodeprimido + gentamicina 3-5 díasdías TMP-SMXTMP-SMX o vancomicina +o vancomicina + gentamicinagentamicina (Todas las(Todas las cefalosporinas soncefalosporinas son inactivas frente ainactivas frente a este germen)este germen)
  • 12.
    EnterobacteriaceaeEnterobacteriaceae Según antibiograma:Según antibiograma: Cefalosporina3ª G +Cefalosporina 3ª G + aminósido (o FQ), por 21aminósido (o FQ), por 21 d.d. Meropenem (o FQ) con o sinMeropenem (o FQ) con o sin aminósidoaminósido Si hay poca respuesta: agregarSi hay poca respuesta: agregar gentamicina (5-10 mg/d) intratecal ogentamicina (5-10 mg/d) intratecal o intraventricularintraventricular Pseudomonas aeruginosa,Pseudomonas aeruginosa, AcinetobacterAcinetobacter Según antibiograma:Según antibiograma: Ceftazidime + aminósido,Ceftazidime + aminósido, por 3 a 6 sem.por 3 a 6 sem. Meropenem + aminósidoMeropenem + aminósido Si hay poca respuesta: agregarSi hay poca respuesta: agregar gentamicina (5-10 mg/d) intratecal ogentamicina (5-10 mg/d) intratecal o intraventricularintraventricular StaphylococcusStaphylococcus spp.spp. meticilinometicilino resistente o meticilino sensibleresistente o meticilino sensible Vancomicina +Vancomicina + rifampicina, 3-6 semrifampicina, 3-6 sem FQ o cefotaxime (si es sensible)FQ o cefotaxime (si es sensible) Streptococcus agalactiaeStreptococcus agalactiae Ampicilina (o penicilinaAmpicilina (o penicilina G) 14-21 d + gentamicinaG) 14-21 d + gentamicina 7 d7 d Ceftriaxone o cefotaximeCeftriaxone o cefotaxime Alergia a betalactámicos: vancomicinaAlergia a betalactámicos: vancomicina
  • 13.
    Dosis de antibióticos.Siempre vía i/v. Penicilina G 30 M UI/día, en perfusión continua o fraccionada c/4 h Ampicilina 8 a 12 g/día en perfusión continua o fraccionada c/4 h Ceftriaxona 2g c/12 h Cefotaxime 150-300 mg/quilo/d en 6 dosis Ceftazidime 2 g c/8 h Vancomicina 1 g c/8-12 h Trimetoprim-sulfametoxazol 6 a 8 amp/d Meropenem 1-2 g c/8 h Gentamicina 3 a 5 mg/quilo/d en 2 o 3 dosis/d Amikacina 15 mg/quilo/d en 2 o 3 dosis/d Rifampicina 20-30 mg/quilo/d en 2 dosis/d (600 mg c/12-24 h) Cloranfenicol 1 g c/6 h
  • 14.
    Control evolutivo.Control evolutivo. ClínicoClínico  PL a las 48 horasPL a las 48 horas si: no se identificó elsi: no se identificó el germen, no hay mejoría clínica, el germengermen, no hay mejoría clínica, el germen causal es neumococo resistente u otrocausal es neumococo resistente u otro germen de difícil tratamiento (ejemplo:germen de difícil tratamiento (ejemplo: estafilococo).estafilococo).  TAC de cráneoTAC de cráneo si: persisten o aumentan lassi: persisten o aumentan las manifestaciones clínicas, se sospechamanifestaciones clínicas, se sospecha herniación, persiste la fiebre.herniación, persiste la fiebre.
  • 15.
    Profilaxis.Profilaxis.  Neisseria meningitidisNeisseriameningitidis  ¿A quienes indicar quimioprofilaxis?¿A quienes indicar quimioprofilaxis? 1.1.Personas que conviven en el domicilio oPersonas que conviven en el domicilio o tuvieron contacto próximo y repetido con eltuvieron contacto próximo y repetido con el caso índice de meningitis meningocócicacaso índice de meningitis meningocócica (confirmada o sospechada), durante los 10(confirmada o sospechada), durante los 10 días previos a la hospitalización.días previos a la hospitalización. 2.2.Los contactos hospitalarios (personal deLos contactos hospitalarios (personal de enfermería o médico) en general no tienenenfermería o médico) en general no tienen indicación de quimioprofilaxis, salvo el queindicación de quimioprofilaxis, salvo el que hizo respiración boca a boca.hizo respiración boca a boca.
  • 16.
     ¿Cuando?¿Cuando?  Loantes posible. De preferencia dentro de las 24Lo antes posible. De preferencia dentro de las 24 horas de identificar el caso primario. No tienehoras de identificar el caso primario. No tiene valor para decidir la profilaxis la realización de unvalor para decidir la profilaxis la realización de un exudado faríngeo.exudado faríngeo. No evita la enfermedad si está en el período deNo evita la enfermedad si está en el período de incubación.incubación.  ¿Con qué droga?¿Con qué droga?  Elección:Elección:  rifampicina 600 mg c/12 h v.o. por 2 días.rifampicina 600 mg c/12 h v.o. por 2 días.  Las alternativas para adultos son:Las alternativas para adultos son:  ceftriaxona 250 mg i/m. Dosis única.ceftriaxona 250 mg i/m. Dosis única.  ciprofloxacina 500 a 750 mg v.o. Dosis únicaciprofloxacina 500 a 750 mg v.o. Dosis única  azitromicina 500 mg v.o. Dosis única.azitromicina 500 mg v.o. Dosis única.
  • 17.
     Haemophylus influenzaeHaemophylusinfluenzae tipo b (Hib):tipo b (Hib):  ¿A quienes indicar la quimioprofilaxis?¿A quienes indicar la quimioprofilaxis? 1.1.A los contactos menores de 4 años noA los contactos menores de 4 años no vacunados o incompletamente vacunadosvacunados o incompletamente vacunados 2.2.A los contactos domiciliarios o queA los contactos domiciliarios o que convivieron durante 4 horas o más, en los 7convivieron durante 4 horas o más, en los 7 días previos al diagnóstico, con el casodías previos al diagnóstico, con el caso índice de meningitis aíndice de meningitis a HaemophylusHaemophylus influenzaeinfluenzae o aun no confirmada.o aun no confirmada.
  • 18.
     ¿Cuándo?¿Cuándo?  Loantes posible. De preferencia dentro de las 24Lo antes posible. De preferencia dentro de las 24 horas posteriores al diagnóstico del caso índice.horas posteriores al diagnóstico del caso índice.  ¿Con cual droga?¿Con cual droga?  Elección:Elección:  rifampicina 600 mg /d en una sola tomarifampicina 600 mg /d en una sola toma diaria durante 4 días.diaria durante 4 días.  Las alternativas en adultos son:Las alternativas en adultos son:  ceftriaxona 250 mg i.m., dosis únicaceftriaxona 250 mg i.m., dosis única  ciprofloxacina 500 mg v/o, dosis única.ciprofloxacina 500 mg v/o, dosis única.
  • 19.
     Streptococcus pneumoniaeStreptococcuspneumoniae  ¿A quienes indicar quimioprofilaxis?¿A quienes indicar quimioprofilaxis?  A personas con elevado riesgo: aspleniaA personas con elevado riesgo: asplenia anatómica o funcional, fístula de LCR;anatómica o funcional, fístula de LCR; independientemente de su estado deindependientemente de su estado de inmunización.inmunización. No es necesaria en contactos sanos deNo es necesaria en contactos sanos de personas con enfermedad invasora.personas con enfermedad invasora.  ¿Con cual droga?¿Con cual droga?  Penicilina V 250 mg c/12 h, v.o. oPenicilina V 250 mg c/12 h, v.o. o macrólidos.macrólidos.  ¿Durante cuanto tiempo?¿Durante cuanto tiempo?  La decisión es empírica. Algunos autoresLa decisión es empírica. Algunos autores proponen quimioprofilaxis indefinida enproponen quimioprofilaxis indefinida en personas de muy alto riesgo.personas de muy alto riesgo.
  • 20.
    Meningitis tuberculosaMeningitis tuberculosa FiebreFiebre  CefaleaCefalea  Parálisis de III, IV, VI y VII parParálisis de III, IV, VI y VII par  ConvulsionesConvulsiones  ComaComa
  • 21.
    DiagnósticoDiagnóstico  LCR: hipercelularidada predominio deLCR: hipercelularidad a predominio de linfocitos, proteínas superiores a 100linfocitos, proteínas superiores a 100 mg/dl e hipoglucorraquiamg/dl e hipoglucorraquia  TC: hidrocefalia, lesiones vasculares,TC: hidrocefalia, lesiones vasculares, tuberculomastuberculomas
  • 24.
    Meningitis a liquidoclaro-Meningitis a liquido claro- víricas (aséptica)víricas (aséptica)  Sindrome meningeoSindrome meningeo  AfasiasAfasias  Déficit motoDéficit moto  Trastornos visualesTrastornos visuales  ConvulsionesConvulsiones  Líquido cefalorraquídeo (LCR) de aspectoLíquido cefalorraquídeo (LCR) de aspecto claro pero con pleocitosis linfocitaria y queclaro pero con pleocitosis linfocitaria y que se presenta como consecuencia de lase presenta como consecuencia de la inflamación de las leptomeningesinflamación de las leptomeninges (aracnoides y piamadre).(aracnoides y piamadre).
  • 25.
    Etiología de lameningitisEtiología de la meningitis asépticaaséptica  EnterovirusEnterovirus  Herpes virusHerpes virus
  • 26.
    Meningitis PiógenaMeningitis PiógenaMeningitis ViralMeningitis Viral Meningitis CrónicaMeningitis Crónica Meningitis ParameníngeaMeningitis Parameníngea LCR turbioLCR turbio LCR claroLCR claro LCR levemente turbioLCR levemente turbio LCR claroLCR claro Células ­ ­ ­Células ­ ­ ­ 1000­50001000­5000 Células ­Células ­ 10­1000010­10000 Células ­ ­Células ­ ­ 100­1000100­1000 CélulasCélulas 10­100010­1000 Predominio NeutrófilosPredominio Neutrófilos (Polimorfonucleares)(Polimorfonucleares) PredominioPredominio MononuclearMononuclear PredominioPredominio MononuclearMononuclear Predominio NeutrófilosPredominio Neutrófilos (Polimorfonucleares)(Polimorfonucleares) Proteinas ­ ­ >200Proteinas ­ ­ >200 Proteinas ­ 45­200Proteinas ­ 45­200 Proteinas ­ o ­ ­Proteinas ­ o ­ ­ Proteinas ­ 45­200Proteinas ­ 45­200 Glucosa ¯ ¯ (<50%,Glucosa ¯ ¯ (<50%, diabéticos <30%)diabéticos <30%) Glucosa NGlucosa N Glucosa ¯Glucosa ¯ Glucosa NGlucosa N Meningococo en jóvenes yMeningococo en jóvenes y en adultos, Haemophilusen adultos, Haemophilus influenzae en < 5 años,influenzae en < 5 años, Neumococo >60,Neumococo >60, gramnegativos ancianos egramnegativos ancianos e inmunodeprimidosinmunodeprimidos Virales:Virales: enterovirus(70%),enterovirus(70%), parotiditis, HSV, HIV,parotiditis, HSV, HIV, LCM.LCM. Encefalitis virales,Encefalitis virales, virus herpes simplevirus herpes simple (HSV)(HSV) TBC, criptococo,TBC, criptococo, carcinomatosis.carcinomatosis. Absceso encefálico, abscesoAbsceso encefálico, absceso epidural, empiemaepidural, empiema subdural.subdural.
  • 27.
    LCR normalLCR normal ASPECTOASPECTO  El aspecto normal es LIMPIDO eEl aspecto normal es LIMPIDO e INCOLORO (como el agua de cristal deINCOLORO (como el agua de cristal de roca) no precipita ni coagula.roca) no precipita ni coagula.  CITOLOGIA DE RUTINACITOLOGIA DE RUTINA  Menor o igual a 5 células/ml a predominioMenor o igual a 5 células/ml a predominio linfocitario (linfocitos: 93-97 %;linfocitario (linfocitos: 93-97 %; polimorfonucleares: 1-3 %; monocitos: 0,5-1 %).polimorfonucleares: 1-3 %; monocitos: 0,5-1 %).
  • 28.
     PROTEINASPROTEINAS  Supresencia en el LCR se la denomina proteinorraquia y elSu presencia en el LCR se la denomina proteinorraquia y el contenido normal es de 15 - 45 mg / 100 ml ycontenido normal es de 15 - 45 mg / 100 ml y  GLUCOSAGLUCOSA  Su presencia en el LCR recibe el nombre de glucorraquia.Su presencia en el LCR recibe el nombre de glucorraquia. con un valor normal igual al 60 % de la cifra de glucemiacon un valor normal igual al 60 % de la cifra de glucemia medida simultáneamente a la extracción del LCR.medida simultáneamente a la extracción del LCR.  ClorurosCloruros  Su valor normal es de 700 a 750 mg / % (114 - 118 mEq/lSu valor normal es de 700 a 750 mg / % (114 - 118 mEq/l
  • 29.
    Alteraciones del aspectoAlteracionesdel aspecto  TURBIOTURBIO (predominio de PMN).(predominio de PMN). Se lo observaSe lo observa en presencia de meningitis bacteriana.en presencia de meningitis bacteriana.  ROJOROJO (hemorrágico) Puede ser de origen: -(hemorrágico) Puede ser de origen: - TraumáticoTraumático: cuando la punción rompió un: cuando la punción rompió un vaso sanguíneo en su paso al espaciovaso sanguíneo en su paso al espacio subduralsubdural  XANTOCROMICOXANTOCROMICO (amarillo) lo produce la(amarillo) lo produce la oxihemoglobina de la sangre derramada enoxihemoglobina de la sangre derramada en el espacio subaracnoideo y / o ventricular deel espacio subaracnoideo y / o ventricular de varias horas. También se lo puede observarvarias horas. También se lo puede observar en casos de ictericia y de aumento deen casos de ictericia y de aumento de proteínas en el LCR independientemente deproteínas en el LCR independientemente de su etiología.su etiología.
  • 30.
    Alteraciones de lacitologíaAlteraciones de la citología  Pleocitosis moderada o intensa aPleocitosis moderada o intensa a predominio Linfocitario:predominio Linfocitario:meningitismeningitis tuberculosa; meningitis viral; meningitistuberculosa; meningitis viral; meningitis micótica; encefalitis; sífilis; poliomielitismicótica; encefalitis; sífilis; poliomielitis anterior agudaanterior aguda  Pleocitosis moderada o intensa aPleocitosis moderada o intensa a predominio polimorfonuclearespredominio polimorfonucleares:meningitis:meningitis bacteriana aguda).bacteriana aguda).  Pleocitosis leve a predominioPleocitosis leve a predominio polimorfonucleares o linfocitario:polimorfonucleares o linfocitario: se observase observa en los meningismos (meningitis serosas;en los meningismos (meningitis serosas; por procesos vecinos como sinusitis,por procesos vecinos como sinusitis, mastoiditis, otitis, sin constituir el cuadromastoiditis, otitis, sin constituir el cuadro meningítico clásico o completo).meningítico clásico o completo).
  • 31.
     Pleocitosis apredominio de eosinófilos:Pleocitosis a predominio de eosinófilos: sese presenta en estados inmunológicopresenta en estados inmunológico reaccional alérgico del tejido conectivoreaccional alérgico del tejido conectivo perivascular de la leptomeninges.perivascular de la leptomeninges.  Pleocitosis a predominio de célulasPleocitosis a predominio de células plasmáticasplasmáticas, se da en procesos inflamatorios, se da en procesos inflamatorios crónicos del sistema nervioso o de suscrónicos del sistema nervioso o de sus cubiertas.cubiertas.
  • 32.
    Alteraciones de lasAlteracionesde las proteínasproteínas  Hiperproteinorraquia es el aumento deHiperproteinorraquia es el aumento de proteínas en el LCR y se la observa enproteínas en el LCR y se la observa en meningitis; poliomielitis; encefalitis;meningitis; poliomielitis; encefalitis; neurosífilis; bloqueo de la circulación deneurosífilis; bloqueo de la circulación de LCR; Síndrome de Guillain-Barre; HSA.LCR; Síndrome de Guillain-Barre; HSA.  Disociación cito-proteicaDisociación cito-proteica: pleocitosis sin: pleocitosis sin aumento de las proteínas o un aumentoaumento de las proteínas o un aumento muy discreto. Se presenta en afeccionesmuy discreto. Se presenta en afecciones inflamatorias primarias del parénquima,inflamatorias primarias del parénquima, de moderada agresividad (encefalitisde moderada agresividad (encefalitis benignas); en procesos inflamatorios debenignas); en procesos inflamatorios de órganos vecinos como sinusitis intensa,órganos vecinos como sinusitis intensa, epiduritis; en procesos infecciososepiduritis; en procesos infecciosos sistémicos (meningismos).sistémicos (meningismos).
  • 33.
     Disociación albumino-citologicaDisociaciónalbumino-citologica: se: se denomina de esta manera cuando en el LCRdenomina de esta manera cuando en el LCR se encuentra una celularidad normal conse encuentra una celularidad normal con hiperproteinorraquia. Se presenta enhiperproteinorraquia. Se presenta en procesos polirradiculoneurítico, Guillain-procesos polirradiculoneurítico, Guillain- Barre, compresión medular.Barre, compresión medular.
  • 34.
    Alteraciones de laglucosaAlteraciones de la glucosa  HipoglucorraquiaHipoglucorraquia: se la encuentra en: se la encuentra en meningitis bacterianas y micóticas.meningitis bacterianas y micóticas.  HiperglucorraquiaHiperglucorraquia: se observa en: se observa en diabetes; encefalitis; virosisdiabetes; encefalitis; virosis (meningitis; poliomielitis); uremia.(meningitis; poliomielitis); uremia.
  • 35.
    Alteraciones de losclorurosAlteraciones de los cloruros  Hipoclorurorraquia se la encuentra enHipoclorurorraquia se la encuentra en meningitis bacteriana; neumonía; Tifusmeningitis bacteriana; neumonía; Tifus exantemático.exantemático.
  • 43.
  • 52.
    Fondo de ojonormalFondo de ojo normal