• Equipo No. 1
• Domínguez Delgado
Juan Manuel
• Pedro Miguel Hidalgo
• Estefanía Gómez
• Iván Garduño Sansores
• Daniel Pérez Paul
• Camal Cortázar
• Andrés Fuentes
Interpretación Clínica
Pruebas diagnósticas
• El propósito de las pruebas diagnósticas es ayudar a confirmar los
posibles diagnósticos sugeridos.
•Por los signos y/o síntomas
• Por factores de riesgo (venir de una zona endémica etc.)
• Por características demográficas (edad, sexo etc.)
• Las pruebas diagnósticas suelen implicar estudios de laboratorio
(microbiológicos, bioquímicos, fisiológicos o anatómicos)
• Los principios que ayudan a determinar el valor de una prueba
también puede aplicarse a la determinación del valor diagnóstico de los
signos y los síntomas
Valor diagnóstico de una prueba
• La validez de una prueba se define como la capacidad de una prueba
de distinguir entre quienes presentan la enfermedad y quienes no la
presentan
•Una enfermedad puede existir o no y el resultado de una prueba puede
ser positivo o negativo.
• Por lo tanto existen cuatro posibles combinaciones: positivos
verdaderos, positivos falsos, negativos verdaderos, negativos falsos
• Esta clasificación teóricamente sólo sería factible cuando existiera
algún método de exactitud absoluta
Valor diagnóstico de una prueba
Sensibilidad. Probabilidad de que la prueba sea positiva en las personas que tienen la
enfermedad. a/(a+c)
Especificidad. Probabilidad de que la prueba sea negativa en las personas que no tienen la
enfermedad. d/(b+d)
Valor predictivo positivo. Probabilidad de que la persona tenga la enfermedad cuando la
prueba da un resultado positivo. a/(a+b)
Valor predictivo negativo. Probabilidad de que la persona no tenga la enfermedad cuando
la prueba da un resultado negativo. d/(c+d)
Presente Ausente Total
Positiva Positivos
verdaderos
Positivos
falsos
a + b
Negativa Negativos
falsos
Negativos
verdaderos
c + d
a + c b + d a + b + c +
d
Enfermedad
Prueba de
Detección
Ir a ejemplo (clic)
Citometria
Hemática
Signos y síntomas asociados con
Pancitopenia
Síndrome Anémico Síndrome Febril Síndrome Purpúrico
 Palidez
 Disnea
 Lipotimia
 Palpitaciones
 Astenia
 Adinamia
 Hipertermia
 Calofríos
 Sudoración
 Mialgias
 Artralgias
 Petequias
 Equímosis
 Hematuria
 Epistaxis
 Gingivorragia
 Metrorragia
Definición de anemia.
Es la disminución de la hemoglobina,
el hematocrito y/o el número de glóbulos
rojos, por debajo de los valores
considerados normales para la edad,
sexo y altura a la que se habita.
Hemoglobina Hematocrito
Recién nacido
19.5 ± 5.0 54 ± 10
Mujeres
14.0 ± 2.0 42 ± 5
Hombres 16.0 ± 2.0 47 ± 7
Cifras normales de hemoglobina y hematocrito
al nivel del mar (Wintrobe)
Concentración media
de hemoglobina
globular
(CMHG)
Hemoglobina x 100
Hematocrito
30-37
Volumen globular
medio (VCM)
Hematocrito x 10
# de eritrocitos.
80-95
fL
Hemoglobina
globular media (HCM)
Hemoglobina x 10
# de eritrocitos
27-34
pg
Formulas para la obtención de los
índices eritrocitarios.
Valores Porcentuales
Linfocitos = 20-50
Monocitos = 0-10
Basófilos = 0-2
Eosinófilos = 0-5
Neutrófilos: = 35-70
Segmentados =90-100
Banda = 0-10
Metamielocitos = 0
Mielocitos = 0
Promielocitos = 0
Mieloblástos = 0
Valores Absolutos
Linfocitos = 1,000-5,000/mm3
Neutrófilos = 1,500- 8,000/mm3
Diferencial de Schilling
Se les practica a los neutrófilos
a partir del numero encontrado
en 100 leucocitos.
Leucocitos totales = 2000/mm3 (Leucopenia)
Diferencial = 80% de Linfocitos (Linfocitosis relativa)
20% de Neutròfilos (Neutropenia relativa)
Linfocitos
Neutròfilos
100 - 80
2000 - X = 1,600 Linfocitos/mm3
100 - 20
2000 - X = 400 Neutròfilos/mm3
Normal
Neutropenia
absoluta
Ejemplo:
En 119 hombres sanos con
cuenta total de leucocitos
normal
Usando valores
%
51%
con diferencial
anormal
Usando valores
absolutos
10%
con
Diferencial anormal
Annals of emergency medicine.1986.15:3p.367.
Diagnóstico diferencial
de pancitopenia.
 Anemia Megaloblástica
 Anemia Aplástica
 Leucemia Aguda
N
H.G. M.
Plaquetas
N=Frotis
L=Diferencial
Leucocitos
N o lig.Reticulocitos
C.M.H.G.
V.G.M.
Hematocrito
Hemoglobina
Otros
estudios
Aspirado de
médula ósea
HIPERCELULAR
bilirubina
indirecta = lig.
DHL =
# de Eritrocitos
ANEMIA MEGALOBLÁSTICA
Anemia megaloblástica
H.G. M.
Plaquetas
N=Frotis
L=Diferencial
Leucocitos
N o lig.Reticulocitos
C.M.H.G.
N
V.G.M.
Hematocrito
Hemoglobina Otros
estudios
Aspirado y
biopsia de
médula ósea
HIPOCELULAR
# de Eritrocitos
ANEMIA APLASTICA
H.G. M.
Plaquetas
N=Frotis
Blástos presentesDiferencial
N oLeucocitos
N o lig.Reticulocitos
C.M.H.G.
N
V.G.M.
Hematocrito
Hemoglobina Otros
estudios
Aspirado de
médula ósea
HIPERCELULAR
# de Eritrocitos
LEUCEMIA AGUDA
Leucemia Mieloblástica (M1)
Globulos rojos
N o ligeramente
Otros estudios
Aspirado de
médula ósea:
Hiperplasia
granulocítica
Hemoglobina
Hematocrito
V.G.M.
NH.G.M.
C.M.H.G.
Reticulocitos N
Leucocitos
Diferencial
Mieloblástos,Promielocitos,
mielocitos, metamielocitos, bandas,
segmentados, eosinófilos, basófilos.
Plaquetas N o
Leucemia granulocítica
Leucemia Granulocítica
Reticulocitos
Hemoglobina
N NHematocrito
# de glóbulos
rojos
Reticulocitos N N
Conclusión Normal
Anemia
hemolítica
No hay
respuesta de
la médula
ósea
Recuperación
por
tratamiento
Interpretación de la cuenta de reticulocitos
Glóbulos rojos
Otros estudios
Bilirrubina indirecta:
ligeramente
Hierro sérico:
Saturación de
Transferrina:
Ferritina sérica:
Hemoglobina
Hematocrito
V.G.M.
H.G.M.
C.M.H.G.
Reticulocitos N o Ligeramente
Leucocitos N
Frotis
Hipocromía, microcitosis,
anisocitosis, poiquilocitosis.
Plaquetas N
Anemia por deficiencia de hierro
Hipocromía
Anemia hemolítica
Adquirida Hereditaria
Inmune No-Inmune 1. Esferocitosis
2. Drepanocitosis
3. Talasemia
4. Deficiencia de glucosa
6-Fosfato deshidrogenasa
Coombs directo
Glóbulos rojos
Otros estudios
Bilirrubina
indirecta:
Coombs directo :
Positivo.
Hemoglobina
Hematocrito
V.G.M. N o
H.G.M.
NC.M.H.G.
Reticulocitos
Leucocitos N o Ligeramente
Frotis Eritroblástos
Plaquetas N o
Anemia Hemolítica por anticuerpos
Eritroblastosis fetal
Glóbulos rojos
Otros estudios
Bilirrubina indirecta:
ligeramente
Coombs directo :
Negativo.
Hemoglobina
Hematocrito
V.G.M.
H.G.M.
NC.M.H.G.
Reticulocitos
Leucocitos N o Ligeramente
Frotis Microesferocitos.
Plaquetas N o
Esferocitosis hereditaria
Esferocitosis Hereditaria
Glóbulos rojos
N o
Otros estudios
Aspirado de
Médula ósea:
Normal.
Hemoglobina
Hematocrito
V.G.M.
NH.G.M.
C.M.H.G.
Reticulocitos N o
Leucocitos N o
Diferencial
NFrotis
Plaquetas
Purpura trombocitopénica por anticuerpos
 HIPONATREMIA E HIPONATREMIA
Causas de la Hiponatremia:
Disminución en la cantidad de agua:
deshidratación,
diuresis exagerada,
cetonuria
 vómitos o
 diarrea.
 Enfermedad de Addison
 secreción inapropiada de hormona antidiurética
 incremento en la cantidad total de agua:
 síndrome nefrótico
 otras causas de enfermedad renal.
:
 Si la cantidad de líquido en el cuerpo es baja, la
persona puede tener pérdida de líquidos debido a
quemaduras, sudoración excesiva, diarrea, o por el
uso de diuréticos.
 Diabetes insípida
 Hiperaldosteronismo
 Síndrome de Cushing
 Dieta con alto contenido de sal o bicarbonato de
sodio.
Existe hipernatremia cuando
el sodio plasmático es mayor
a 145 mEq por litro.
 Hemorragia
 Desmayo o sensación de mareo
 Hematoma
 Infección
 Punciones múltiples
Beneficios del potasio
 Regula el contenido en agua de las células y su movimiento,
impidiendo la fuga.
 Mantiene el equilibrio ácido-base y con el sodio:
 Regulariza la cantidad y el reparto normal del agua en el
organismo.
 Interviene en la construcción de las proteínas.
 Incrementa la excitabilidad neuromuscular.
 Mas del 98% de la concentración potásica
esta dentro de las células.
 El desequilibrio entre los niveles de Sodio y
Potasio es uno de los factores importantes en
la Hipertensión Arterial.
Donde encontramos el potasio
 La alimentación normal aporta potasio en
cantidad ampliamente suficientes: de 2 a 4 gr.
diarios.
 Por regla general, todo alimento pobre en sodio
es rico en potasio.
 Abunda mucho también en las legumbres como
lentejas, garbanzos, alubias y en la levadura
seca, los frutos secos, el café y el cacao.
Hipopotasemia
 Disminución de la concentración plasmática de
potasio es menor a 3.5 mEq por litro
 Se caracteriza por:
 Debilidad muscular
 Irritabilidad y parálisis
 Taquicardia y alteraciones cardiacas
Etiopatogenia
 Ingesta disminuida de K
 Aumento en las perdidas de potasio por vomitos
y diarreas
 Aumento de la renina
 Sindrome de cushing
 Hiperglicemia( causante de diuresis)
Hiperpotasemia
 de potasio extracelular 5.5 mEq/litro
 Confusión mental
 Debilidad
 Alteraciones sensoriales en extremedidades
 ETIOPATOGENIA
 Aumento de la ingesta de K
 Redistribucion de K desde liq. Intra. A liq
extra.
 Disminucion de la excrecion renal de K
Cloruro
 Junto con el sodio representan los mayores
constituyentes osmoticamente activos
 Valor en adulto es de 98 a 107 mmol/L
 Mantiene el balance hidrico
 Es absorbido en el intestino y excretado en la
orina y el sudor
CLORO
Hipocloremia Hipercloremia
cloro menor a 80mEq/L Cloro mayor de 125meq/l
Nefritis por perdida de sal, pielonefritis
crónica
Deshidratación
Acidosis metabólica( acidosis
diabética o insufiencia renal)
Farmacos: diureticos, laxantes,
bicarbonatos
Dietas sin sal
Acidosis metabolica asociada a
diarrea y perdida de Na y HCO
Insuficiencia renal aguda
Bicarbonato
 Constituyen mas o menos 2mmol/L de CO2 total
en plasma
 Hablar de CO2 es la medicion de Bicarbonato
 Alteracion de CO2 es una caracteristica de los
balances Acido-base
 CO2 se puede analizar en:
 Suero o Plasma(obtenido con heparina) de
sangre venosa capilar
Regulación del calcio en el LEC y
el plasma
 Hipocalcemia produce excitación del
sistema nervioso y tetania.
 Hipercalcemia deprime la actividad del
sistema nervioso y del musculo.
Hipocalcemia
 Existe hipocalcemia cuando las
concentraciones de calcio serico se situan
en cifras menores de 8 mg/dl.
Hipercalcemia
 Existe hipercalcemia cuando las
concentraciones de calcio serico son
mayores a 10.5 mg/dl.
Etiopatologia
 Neoplasias
 Hiperparatiroidismo
 Intoxicación por vitamina A o D
 Sarcoidosis
 Hipertiroidismo
 Insuficiencia suprarrenal
Valoración de la Función
Hepática
Bilirrubina
Albumina
AST
ALT
BILIRRUBINEMIA
 Producto que resulta de la descomposición de la hemoglobina.
 Su metabolismo comienza con la descomposición de los
glóbulos rojos.
 Los glóbulos rojos contienen hemoglobina, esta se
descompone en Hem y globina, el Hem es convertido en
bilirrubina
 Luego es transportada por la albúmina en la sangre hasta el
hígado.
para explorar o
controlar
problemas
hepáticos o de la
vesícula biliar.
 La bilirrubina total
 la bilirrubina directa
El aumento de la bilirrubina indirecta o
bilirrubina total pueden indicar:
 Eritoblastosis fetal
 Enfermedad de Gilbert
 Sangrado bajo piel o resolución de hematoma
 Anemia hemolítica
 Enfermedad hemolítica del recién nacido
 Ictericia fisiológica en recién nacidos)
 Anemia drepanocítica
 Reacción a una transfusión
 Anemia perniciosa
BILIRRUBINURIA
Presencia de hiperbilirrubinemia
de predomino directo
 Cifras de bilirrubina indirecta >1.5 mg/dl
 Descartar hemolisis
 Causas.
HIPERBILIRRUBINEMIA
DIRECTA
 La hiperbilirrubinemia directa se asocia a
enfermedades hepáticas debido a una
insuficiente capacidad de excreción.
 Cifras > 0.4mg/dl
 Colestasis Fosfatasa alcalinas
 GGT
causas:
 Obstrucción de la vía biliar
 Enfermedades hepáticas colestásicas
 Hepatitis agudas
 Cirrosis.
 Elevaciones aisladas de bilirrubina directa
AMINOTRANSFERASAS
 Valores normales
 ALT: 8 a 37UI/L
 AST: 10 a 34 UI/L
Albumina
 Valor normal: 3.9 a 5.0 mg/dL
 producida por el hígado
 Proteína de mayor concentración en el plasma.
 Impide que el líquido de la sangre se filtre hacia
los tejidos
HIPOALBUMINEMIA
 Niveles disminuidos en :
 Ascitis
 Quemaduras
 Glomerulonefritis
 Enfermedad hepática
 Síndrome de mala absorción
 Desnutrición
AST
Aspartato aminotransferasa
(TGO)
ALT
Alanino aminotransferasa
(TGP)
ENZIMAS PREDOMINANTES EN INTERIOR DE CELULAS HEPATICAS
Y MUSCULARES
 Esta enzima se encuentra en muchos tejidos, pero
las mayores concentraciones se dan en el hígado y,
cuando hay una lesión en dicho órgano, se presenta
liberación de la enzima a la sangre.
INDICACIONES
 Presencia de ictericia
 Insificiencia hepatica
aguda
 Hepatitis
 Colangitis aguda
 Shock septico
 Intoxicacion aguda por
agentes hepatotoxicos
 Cardiopatia Isquemica
Aguda
VALORACION CLINICA
 HEPATITIS AGUDAS Y CRONICAS
 Diagnostico: > 1000 UI/I
 Valor Dx: Ictericia
 Aumentos moderados:
procesos infecciosos sistémicos
hepatitis crónicas
 Cociente AST/ALT
 Colestasis: < 500UI/I
 IAM: la AST comienza a
aumentar en primeras
8-12 hrs.
 Miopericarditis aguda
 ICC
 Shock
 Rabdomiolisis
 Necrosis histicas
Amilasemia
 Valor normal: 70 a 200 U/dl
 Valora función pancreática
Causas
 pancreatitis aguda,
 ulcera péptica perforada al páncreas,
 parotiditis
 infecciones agudas
 embarazo ectópico
 acidosis metabólica
 inyección de morfina o codeína.
FOSFATASA ALCALINA
 Localizacion:
 Hueso
 Riñón
 Canalículos biliares
 Intestino delgado
 Leucocitos
 Placenta
Hiperfosfatasemia se debe:
 Anemia
 Obstrucción biliar
 Enfermedad ósea
 Consolidación de una
fractura
 Hepatitis
 Hiperparatiroidismo
 Leucemia
 Enfermedad hepática
 Cánceres óseos
osteoblásticos
 Osteomalacia
 Enfermedad de Paget
 Raquitismo
Hipofosfatasemia pueden deberse a:
 Desnutrición
 Deficiencia de proteína
Valoración de la Función Renal
Creatinina
BUN
UREMIA
 Urea: valor normal 11-54 mg/dl
 Producto de catabolismo proteico
 Equilibrio entre llegada al hígado
como la integridad de este
 La excrecion ocurre por via renal y en menor grado por via
intestinal.
 El exceso de acido urico se deposita en tejidos.
 Diariamente se excretan de o.4 a 0.8g
 La concentración urinaria esta influenciada por la dieta.
 El aumento del volumen de filtración aumenta la excreción de
acido úrico.
Hiperuricemia Primaria, Secundaria.
Gota
 Artritis inflamatoria aguda
 Artritis erosiva crónica
 Nefrolitiasis y uro litiasis
 Enfermedad renal crónica e hipertension
Hipouricemia
 Ausencia de Xantina Oxidasa
 Aminoaciduria de la Enfermedad de Wilson
 Síndrome de Fanconi en adultos
Se da por 2 causas:
1.Déficit de proteínas como; hipo proteica,
enfermedad hepática
2.Aumento del aclaramiento renal; ADH,
Hiperhidratacion, embarazo
Creatinina
 Aminoácido producto de catabolismo muscular.
 Almacena energía.
 valor normal es de .6-1.5mg/dl
 Valorar Función Renal
 Los niveles varían de acuerdo con la talla y la
masa muscular .
 No esta afectada por la dieta ni por la ingesta de
líquidos.
 Niveles aumentan por disminución de la excreción.
 acelera la regeneración del ATP
 Concentraciones sericas disminuyen en:
o Cualquier proceso de desgaste muscular profundo
 Concentraciones sericas aumentan en:
o Alteracion en funcion Renal
Diagnostico del Infarto
CK-MB
TROPONINAS
CpK-MB
Creatin Fosfoquinasa fraccion MB
 CK-MB 0-25 ui/l
 Se encuentra en mm cardiaco
 Liberada rápidamente después de un infarto a la
circulación general en las primeras tres horas de
iniciado el IAM
 alcanza su máxima concentración entre las 12 y 24
horas
 Presenta una duración de su actividad de 1-3 días
Troponinas
 Contracción del musculo
 cardiaco.
 Troponina I (inhibidora de
 la interacción actina-miosina)
 Troponina T (fijadora
de tropomiosina).
 Su elevación se produce a partir de las 3 o 4 hs de
iniciado el IAM
Colesterolemia y Trigliceridemia
Lípidos plasmaticos
 Lípidos del cuerpo.
 Aumentado riesgo cardiovascular
Hiperlipidemias
 Metabolismo anormal de lipoproteinas
 Primarias
 Secundarias
Lipoproteinas
 LDL
 HDL
 VLDL
 HDL: transportar colesterol de los tejidos hacia el
hígado “factor protección”
o Concentración > 55mg/dL
o Colesterol “Bueno”
 LDL: conducen colesterol a los tejidos
o < 130mg/dL < 130mg/dL
o Colesterol “Malo”
o Determinar los riesgos de arteriopatía coronaria
Hipercolesterolemia
 Aumento de LDL
 elevado riesgo de desarrollar enfermedad
cardiovascular prematura de causa
aterosclerótica.
Hipercolesterolemia
CAUSAS:
 Cirrosis biliar
 Hiperlipidemia familiar
 Dieta alta en grasa
 Hipotiroidismo
 Sd nefrótico
 Diabetes no controlada
teroesclerosis
 Lesiones de la intima por
 ateromas
 Lesion mas temprana: estrias grasas
 FACTORES DE RIESGO
 Hiperlipidemia
 Hipertension
 Tabaquismo
 Alcohol
 Diabetes
 Ingesta de grasas
HIPOCOLESTEROLEMIA HIPERCOLESTEROLEMIA HDL
niveles bajos de Colesterol H.D.L Obesidad Central
No todos los pacientes con H.D.L.
bajo desarrollan Enfermedad
Tabaquismo
Diabetes Tipo II
Insuficiencia Renal
Andrógenos (anabólicos)
Progestàgenos
Hipertrigliceridemia
 Trigliceridos: valor normal <200
Causas:
 Dieta rica en Hidratos de Carbono
 Consumo excesivo de alcohol
 Obesidad
 Embarazo
 Diabetes Mellitus
 Hipotiroidismo
 Insuficiencia Renal Crónica
Glucosa
 Valor normal: 70 a 150 mg/dl
 Fuente principal de energía del SNC
 Hiperglicemia
 hipoglicemia
Diabetes mellitus
 Hiperglicemia
 Deficiencia absoluta o
relativa de insulina
 Deficiencia absoluta o
relativa de Glucagon
 DM tipo I
 DM tipo II
Glicemia
 “Standard de oro” para el diagnostico de la DM
 Valor limite: 140mg/ml
Hiperglicemia
 Causas:
 Fisiológicas
 estrés
 Diabetes Mellitus
 Infarto del Miocardio
 Insuficiencia hepatica
Hipo glicemia: Ayuno Reactiva
Causas
 Hipopituitarismo
 Enfermedad de Addison
 Cirrosis o Insuficiencia he
patica
 Etanol despues
de desayuno
EXAMEN GENERAL DE ORINA
 FORMACION DE LA ORINA
 LOS RIÑONES SON ORGANOS PARES UBICADOS EN LA PARTE ESTRECHA DE LA REGION
DORSAL A AMBOS LADOS DE LA COLUMNA VERTEBRAL, SON LOS RESPONSABLES DEL
MANTENIMIENTO DE LA HOMEOSTASIS COMPRENDIENDO:
 LA REGULACIÓN DE LOS LIQUIDOS CORPORALES, DEL EQUILIBRIO ACIDO-BASE, DEL
EQUILIBRIO ELECTROLÍTICO Y LA EXCRECIÓN DE LOS PRODUCTOS DE DESECHO.
 TAMBIÉN PARTICIPAN EN EL MANTENIMIENTO DE LA PRESIÓN ARTERIAL Y LA
ERITROPOYESIS.
 LA FUNCIÓN RENAL ESTA INFLUIDA POR : EL VOLUMEN SANGUINEO, LA PRESIÓN ARTERIAL
Y LA COMPOSICIÓN DE LA SANGRE, ASI COMO TAMBIÉN POR LAS GRANDULAS
SUPRARRENALES E HIPOFISIS.
 EL NEFRON ES LA UNIDAD FUNCIONAL DEL RIÑON
 HAY APROXIMADAMENTE UN MILLON DE NEFRONES EN CADA RIÑON, ESTA CONSTITUIDO POR UN
RED CAPILAR, DENOMINADA GLOMERULO Y POR UN LARGO TUBULO QUE SE DIVIDE EN TRES
SECTORES: EL TUBULO CONTORNEADO PROXIMAL, EL ASA DE HENLE Y EL TUBULO
CONTORNEADO DISTAL.
 CADA NEFRON DESCARGA EN UN TUBULO COLECTOR AL QUE ESTAN CONECTADOS OTROS
NEFRONES, LA ORINA SE COLECCIONA LUEGO EN LA PELVIS RENAL QUE A SU VEZ SE CONECTA
CON EL URETER
 EL GLOMERULO Y LOS TUBULOS CONTORNEADOS ESTAN UBICADOS EN LA CORTEZA DEL RIÑON,
MIENTRAS QUE EL ASA DE HENLE SE EXTIENDE EN LA MEDULA RENAL.
 LAS MUESTRAS DE ORINA SON BIOPSIAS LÍQUIDAS DE LOS TEJIDOS DEL TRACTO URINARIO,
RECOLECTADAS EN FORMA INDOLORA QUE PERMITEN TENER INFORMACIÓN RÁPIDA Y
ECONÓMICA.
 RECOLECCIÓN DE LA MUESTRA:
 LA MUESTRA SE RECOGE NORMALMENTE POR MICCIÓN ESPONTANEA, TENER EN CUENTA QUE
SE DEBE RECOGER LA PRIMERA DE LA MAÑANA, EL PACIENTE DEBE LEVANTARSE ASEARSE MUY
BIEN LOS GENITALES Y EN UN RECIPIENTE ESTÉRIL RECOGER LA MICCIÓN INTERMEDIA.
 ULTIMAMENTE SE ESTA UTILIZANDO EL ESTUDIO DEL PARCIAL DE ORINA FRACCIONADO QUE
CONSISTE EN PEDIR AL PACIENTE QUE RECOJA LA 1ª ORINA DE LA MAÑANA FRACCIONADA EN 3
MUESTRAS QUE DEBEN LLEGAR AL LABORATORIO CORRECTAMENTE MARCADAS: FRACCIÓN I, II
Y III, ESTE TIPO DE EXAMEN ES PRINCIPALMENTE PARA DESCARTAR HEMATÚRIAS.
 CUANDO SE PRESENTA HEMOGLOBINA EN LA FRACCIÓN I INDICA SANGRADO A NIVEL URETRAL,
SI HAY HEMOGLOBINA EN LAS 3 FRACCIONES EL SANGRADO ES A NIVEL RENAL, PERO SI SOLO
SE ENCUENTRA HEMOGLOBINA EN LA MUESTRA III EL SANGRADO ES VESICAL.
 EXAMEN FISICO :
 ASPECTO: ES CONSIDERADO COMO NORMAL
UN ASPECTO TRANSPARENTE, PERO ES
ACEPTADO HASTA UN ASPECTO LIGERAMENTE
TURBIO YA QUE ESTE PUEDE SER DEBIDO A
CONTAMINACIONES. EL ASPECTO DE UNA
ORINA TURBIA YA ES CONSIDERADO COMO
ANORMAL, ESTO PUEDE SER DEBIDO A
PRESENCIA DE LEUCOCITOS, GLOBULOS
ROJOS, BACTERIAS, CRISTALES, GRASA (POR
OBSTRUCCIÓN DE LINFÁTICOS)
 COLOR: EN CONDICIONES NORMALES EL
COLOR DE LA ORINA VA DE AMARILLO HASTA
ÁMBAR. SE PUEDEN ENCONTRAR COLORES
ANORMALES DEBIDO A PRESENCIA DE
ELEMENTOS ANORMALES EN LA ORINA COMO
POR EJEMPLO: SANGRE, MEDICAMENTOS,
ALIMENTOS Y OTROS PIGMENTOS.
 UNA ORINA INCOLORA SE CONOCE COMO
HIDRURICA CARACTERÍSTICA DE UNA
DIABETES INSÍPIDA SE PRESENTA POR BAJA
EN LA PRODUCCIÓN DE HORMONA
ANTIDIURETICA.
 ROSADO O ROJO : SE PRESENTA POR LA
PRESENCIA AUMENTADA DE UROBILINOGENO,
PORFOBILINOGENO.
 AZUL : DESPUÉS DE PROCESOS QUIRÚRGICOS
 AMARILLO INTENSO : PIGMENTOS BILIARES
 NEGRO: MELANOMAS PRODUCTORES DE
 PH : ES EL REFLEJO DE LA CAPACIDAD DEL
RIÑON PARA MANTENER LA
CONCENTRACIÓN NORMAL DE
HIDROGENIONES.
 EL PH NORMAL VA DE 5.5 - 6.5 INFLUYENDO
EL RÉGIMEN DIETÉTICO DE CADA PACIENTE.
 EN UNA ALCALOSIS METABÓLICA Y
RESPIRATORIA SE PRODUCE UNA ORINA
ALCALINA MIENTRAS QUE EN UNA ACIDOSIS
SE PRODUCE UNA ORINA ÁCIDA.
 PH ALCALINO : PUEDE SER CONSECUENCIA
DEL SINDROME DE FANCONI (trastorno
hereditario de la función tubular renal),
INFECCIÓN DE VIAS URINARIAS Y ALCALOSIS
METABOLICA O RESPIRATORIA
 PH ACIDO : SE OBSERVA EN TUBERCULOSIS
RENAL, PIREXIA (FIEBRE), FENILCETONURIA
(trastorno metabolico hereditario deficiencia de
hidroxilasa de fenilalanina) Y ALCAPTONURIA
(defecto hereditario del metabolismo de la
tirosina) , Y EN TODAS LAS FORMAS DE
ACIDOSIS.
 DENSIDAD : ESTA VARIA EN RAZÓN
DIRECTA A LA CANTIDAD DE
SÓLIDOS, PRINCIPALMENTE
CLORUROS, UREA, SULFATOS.
 LA DENSIDAD NORMAL VA DE 1.015 -
1.025
 LA DISMINUCIÓN DE LA DENSIDAD
(LLAMADA HIPOSTENURIA, ESTO ES
1.001 A 1.003) ES UN SIGNO
CARACTERISTICO DE DIABETES
INSIPIDA, GLOMERULONEFRITIS,
HIPERCALCEMIA E HIPOPOTASEMIA.
 EL INCREMENTO EN LA DENSIDAD ES
CARACTERISTICO DE TRASTORNOS
HEPATICOS, INSUFICIENCIA
CONGESTIVA CARDIACA,
DESHIDRATACIÓN Y NEFROSIS.
 LA PERSISTENCIA DE LA MISMA
DENSIDAD, ESTO ES, SITUACIÓN EN
QUE LAS CIFRAS PERMANECEN
RELATIVAMENTE CONSTANTES DE UNA
MUESTRA A OTRA (ISOSTENURIA)
INDICAN LESIÓN RENAL GRAVE.
EXAMEN QUIMICO
 PROTEINAS : SE PUEDEN ENCONTRAR
VARIAS CLASES DE PROTEINAS PERO
LA MÁS COMÚN ES LA ALBÚMINA
 HAY PROTEINURIAS LLAMADAS
FISIOLÓGICAS ASOCIADAS A FIEBRES,
EXPOSICIÓN AL FRÍO, STRESS
EMOCIONAL, EJERCICIO INTENSO.
 LA PROTEINURIA SUGIERE LA
PRESENCIA DE NEFROPATIAS COMO
GLOMERULONEFRITIS AGUDA O
CRONICA, NEFROLITIASIS, RIÑON
POLIQUISTICO E INSUFICIENCIA RENAL
AGUDA O CRONICA, ASIMISMO, DICHO
TRASTORNO PUEDE SER
CONSECUENCIA DEL MIELOMA
MULTIPLE (neoplasia que resulta de la
proliferación incontrolable y progresiva
de células plasmáticas en la médula
ósea)
 HEMOGLOBINA : ES UNA PROTEÍNA
SANGUÍNEA QUE NO SE DEBE
ENCONTRAR EN ORINAS NORMALES,
SU PRESENCIA PUEDE SER CAUSADA
POR PROCESOS HEMOLÍTICOS,
AGENTES TÓXICOS, ACCIDENTES
TRASNFUSIONALES, QUEMADURAS.
 FISIOLOGICAMENTE PUEDE
PRESENTARSE POR EJERCICIO
INTENSO
 LA PRESENCIA DE HEMOGLOBINA Y
PROTEINAS AMBAS ALTAS INDICAN
QUE HAY UN DAÑO GLOMERULAR.
 GLUCOSA : EN CONDICIONES
NORMALES SE ELIMINA POR LA ORINA
CANTIDADES NO DETECTABLES POR
LOS MÉTODOS USUALES, CUANDO EL
NIVEL DE GLUCOSA SOBREPASA EL
UMBRAL RENAL (180 MG/DL) SE
DETECTA
 EN EL SINDROME DE CUSHING SE
PRESENTAN GLUCOSURIAS
 CETONAS : CUANDO EL METABOLISMO
HEPÁTICO SE ACELERA POR
CARENCIAS DE GLUCOCIDOS, EXCESO
DE GRASAS O EN DIABETES, LOS
CUERPOS CETONICOS APARECEN EN
ABUNDANCIA EN LA ORINA Y SANGRE.
 LA PRUEBA SE BASA EN LA REACCIÓN
DEL ÁCIDO ACETOACETICO CON EL
NITRAPRUSIATO.
 LA PRESENCIA AUMENTADA DE
CETONAS Y GLUCOSA SE PRESENTA EN
UNA ACIDOSIS DIABÉTICA.
 BILIRRUBINA Y UROBILINOGENO : LA BILIRRUBINA ES UN PRODUCTO RESULTANTE DE LA
DESCOMPOSICIÓN DE HEMOGLOBINA.
 NORMALMENTE NO SE ENCUENTRA, SU ELIMINACIÓN SE PRESENTA POR ICTERICIA
OBSTRUCTIVA INTRA Y EXTRAHEPATICA AGUDA O CRÓNICA, CIRROSIS.
 EN COLESTASIS SE PRESENTA AUMENTO DE BILIRRUBINAS CON UN UROBILINOGENO NORMAL,
EN ICTERICIAS HEPÁTICAS SE PRESENTA AUMENTO DE BILIRRUBINAS MENOR QUE EN LAS
COLESTASIS CON UN UROBILINOGENO AUMENTADO O NORMAL, EN LAS ICTERICIAS
PRODUCIDAS POR ANEMIAS HEMOLÍTICAS SE PRESENTA UNA BILIRRUBINA NORMAL CON UN
UROBILINOGENO AUMENTADO
 SE DEBEN ANALIZAR EN ORINAS RECIÉN EMITIDAS PARA QUE SU VALOR
TENGA ALGÚN SIGNIFICADO CLÍNICO.
 LA PRESENCIA DE NITRITOS EN ORINA ES UN INDICADOR DE INFECCIÓN
URINARIA.
EXAMEN MICROSCOPICO
 EL EXAMEN MICROSCÓPICO DEL
SEDIMENTO URINARIO NO SOLO
EVIDENCIA UNA ENFERMEDAD RENAL,
SINO TAMBIÉN INDICA LA CLASE DE
LESIÓN PRESENTE.
 LEUCOCITOS : INDICAN UNA
PIELONEFRITIS, TAMBIÉN SE
ENCUENTRAN EN ENFERMEDADES
AUTOINMUNES, LESIÓN EN VIA RENAL
O INFECCIONES CERCA AL APARATO
URINARIO.
 SE DEBE TENER EN CUENTA SI LA
MUESTRA ESTA CONTAMINADA
PRINCIPALMENTE EN MUJERES EN
ESTE CASO EL INFORME DE
LABORATORIO SE DEBE REPORTAR
COMO : CONTAMINACIÓN VAGINAL, SE
SUGIERE RECOGER NUEVA MUESTRA
PREVIO ASEO Y MICCIÓN MEDIA.
 HEMATIES : INDICAN SANGRADO A
NIVEL DE VÍAS URINARIAS, SE
DEBE MIRAR :
 SI LOS HEMATIES SON INTACTOS
LOS QUE SON HEMATURIAS
BAJAS,
 CRENADOS QUE SE OBSERVAN EN
ORINAS HIERTONICAS,
 HEMIATIES DIMORFOS QUE
INDICAN UNA HEMATURIA
GLOMERUALAR
 CÉLULAS EPITELIALES : SE PUEDEN
ENCONTRAR ALGUNAS CÉLULAS EN LA
ORINA COMO CONSECUENCIA DEL
DESPRENDIMIENTO NORMAL DE LAS
CÉLULAS ENVEJECIDAS
 UN MARCADO AUMENTO PUEDE
INDICAR INFLAMACIÓN DEL
CONDUCTO DEL TRACTO URINARIO
 LOS CUERPOS OVALES SON CELULAS
EPITELIALES REDONDAS LLENAS DE
GRASA QUE SE OBSERVAN EN
NEFROSIS DEBIDO A PERDIDA DE
PROTEÍNAS.
 CILINDROS : SE FORMAN EN LA LUZ DEL
TUBULO RENAL, CUANDO LAS PROTEINAS
SE PRECIPITAN ORIGINANDO UN GEL.
 CILINDROS HIALINOS: SON INCOLOROS
HOMOGÉNEOS Y TRANPARENTES, SE
OBSERVAN EN UNA DESHIDRATACIÓN Y
ENFERMEDAD RENAL, SE PUEDEN
OBSERVAR EN CONDICONES NORMALES.
 CILINDROS ERITROCITARIOS: SON
CILINDROS EN LOS QUE SE VEN GLÓBULOS
ROJOS, INDICAN LESIONES GLOMERULARES.
 CILINDROS EPITELIALES: SE OBSERVAN EN
NECROSIS TUBULAR.
 CILINDROS LEUCOCITARIOS : SE OBSERVAN
EN INFECCIÓN RENAL Y PROCESOS
INFLAMATORIOS DE CAUSA NO INFECCIOSA
 CILINDROS GRANULOSOS: SE OBSERVAN EN
ENFERMEDAD RENAL SIGNIFICATIVA,
TAMBIÉN SE OBSERVAN DESPUÉS DE
EJERCICIO INTENSO.
 CILINDROS CEREOS: SE OBSERVAN EN
INFECCIÓN RENAL CRÓNICA, HIPERTENSIÓN,
NEFROPATIA, INFLAMACIÓN Y
DEGENERACIÓN TUBULAR, ÉXTASIS
URINARIA ALTA.
 CRISTALES: NO TIENEN MAYOR SIGNIFICADO
CLINICO, SOLO EN CASOS DE TRASTORNOS
METABÓLICOS, SE DEBE CORRELACIONAR
SU PRESENCIA CON LOS HÁBITOS
ALIMENTICIOS.
 SE FORMAN CUANDO LA ORINA DESPUÉS DE
RECOGIDA SE DEJA POR MUCHO TIEMPO SIN
ANALIZAR, POR ESO SON IMPORTANTES
CUANDO SE OBSERVAN EN ORINAS RECIÉN
EMITIDAS.
 SU FORMACIÓN SE HA VISTO QUE TIENE UNA
CORRELACIÓN GENÉTICA A FORMARLOS.
 CRISTALES DE ORINAS ÁCIDAS:
 ACIDO URICO: SE ENCUENTRAN EN GOTA,
ESTADOS FEBRILES Y LITIASIS,
MICROSCOPICAMENTE SE VEN COMO UN
PRECIPITADO ROSADO.
 URATOS AMORFOS: SE OBSERVAN EN
ESTADOS DE SUDORACIÓN PROFUNDA,
ENFERMEDADES FEBRILES.
 ACIDO HIPURICO: NO TIENEN SIGNIFICADO
CLINICO.
 CISTINA : SE OBSERVAN EN CÁLCULOS
RENALES, SON SOLUBLES EN ÁCIDO
CLORHÍDRICO E INSOLUBLES EN ÁCIDO
ACÉTICO.
 TIROSINA : APARECEN EN ENFERMEDADES
HEPÁTICAS GRAVES, FORMAS GRAVES DE
FIEBRE TIFOIDEA Y LEUCEMIAS.
 LEUCINA : EN ENFERMEDADES HEPÁTICAS
GRAVES.
 CRISTALES DE ORINAS ALCALINAS :
 FOSFATO TRIPLE : EN CISTITIS
CRÓNICA, RETENCIÓN URINARIA.
 FOSFATOS AMORFOS : EN TRASTORNOS
METABÓLICOS, OSTEOPATIA.
 URATOS DE AMONIO: SON ANORMALES
SOLO SI SE ENCUENTRAN EN ORINAS
RECIÉN EMITIDAS.
 OTRAS ESTRUCTURAS :
 HONGOS : SE OBSERVAN EN INFECCIONES DEL TRACTO URINARIO, SOBRE TODO EN
PACIENTES DIABÉTICOS PERO PUEDEN ESTAR PRESENTES POR CONTAMINACIÓN
CUTÁNEA O VAGINAL EN LA ORINA.
 ESPERMATOZOIDES : SE INFORMA CUANDO SE TRATA DE MUESTRAS DE HOMBRES
SU ELEVACIÓN INDICA ALTERACIÓN DE ÓRGANOS REPRODUCTORES.
 MOCO: SE ENCUENTRA AUMENTADO EN PROCESOS INFLAMATORIOS O IRRITACIÓN
DEL TRACTO URINARIO.
 PARÁSITOS : SE OBSERVAN DEBIDO A CONTAMINACIÓN FECAL.
ANALISIS RUTINARIO DE ORINA
 EL COLOR DE LA ORINA DEBE SER DESDE TRANSPARENTE HASTA AMARILLO
OSCURO
 LA CONCENTRACIÓN DE LA ORINA DEBE SER ENTRE 1.015 A 1.025, PUEDE VARIAR
POR LA HORA DEL DÍA DE RECOGIDA, CANTIDAD DE COMIDA TOMADA, O EL
EJERCICIO REALIZADO.
 EL PH DE LA ORINA DEBE ESTAR ENTRE 5.5 A 6.5
 NO DEBE HABER PRESENCIA DE : GLUCOSA , CETONAS , NI PROTEÍNAS.
 NO DEBE HABER PRESENCIA DE HEMATÍES
 NO DEBE HABER HEMOGLOBINA
 NO DEBE DE HABER BILIRRUBINA
 PUEDE HABER TRAZAS DE UROBILINÓGENO EN LA ORINA NORMAL
 NO DEBE DE HABER NITRITOS

Interpretacionclinicadelaspruebasdelaboratorio 121128152029-phpapp02

  • 1.
    • Equipo No.1 • Domínguez Delgado Juan Manuel • Pedro Miguel Hidalgo • Estefanía Gómez • Iván Garduño Sansores • Daniel Pérez Paul • Camal Cortázar • Andrés Fuentes Interpretación Clínica
  • 2.
    Pruebas diagnósticas • Elpropósito de las pruebas diagnósticas es ayudar a confirmar los posibles diagnósticos sugeridos. •Por los signos y/o síntomas • Por factores de riesgo (venir de una zona endémica etc.) • Por características demográficas (edad, sexo etc.) • Las pruebas diagnósticas suelen implicar estudios de laboratorio (microbiológicos, bioquímicos, fisiológicos o anatómicos) • Los principios que ayudan a determinar el valor de una prueba también puede aplicarse a la determinación del valor diagnóstico de los signos y los síntomas
  • 3.
    Valor diagnóstico deuna prueba • La validez de una prueba se define como la capacidad de una prueba de distinguir entre quienes presentan la enfermedad y quienes no la presentan •Una enfermedad puede existir o no y el resultado de una prueba puede ser positivo o negativo. • Por lo tanto existen cuatro posibles combinaciones: positivos verdaderos, positivos falsos, negativos verdaderos, negativos falsos • Esta clasificación teóricamente sólo sería factible cuando existiera algún método de exactitud absoluta
  • 4.
    Valor diagnóstico deuna prueba Sensibilidad. Probabilidad de que la prueba sea positiva en las personas que tienen la enfermedad. a/(a+c) Especificidad. Probabilidad de que la prueba sea negativa en las personas que no tienen la enfermedad. d/(b+d) Valor predictivo positivo. Probabilidad de que la persona tenga la enfermedad cuando la prueba da un resultado positivo. a/(a+b) Valor predictivo negativo. Probabilidad de que la persona no tenga la enfermedad cuando la prueba da un resultado negativo. d/(c+d) Presente Ausente Total Positiva Positivos verdaderos Positivos falsos a + b Negativa Negativos falsos Negativos verdaderos c + d a + c b + d a + b + c + d Enfermedad Prueba de Detección
  • 5.
  • 6.
  • 7.
    Signos y síntomasasociados con Pancitopenia Síndrome Anémico Síndrome Febril Síndrome Purpúrico  Palidez  Disnea  Lipotimia  Palpitaciones  Astenia  Adinamia  Hipertermia  Calofríos  Sudoración  Mialgias  Artralgias  Petequias  Equímosis  Hematuria  Epistaxis  Gingivorragia  Metrorragia
  • 8.
    Definición de anemia. Esla disminución de la hemoglobina, el hematocrito y/o el número de glóbulos rojos, por debajo de los valores considerados normales para la edad, sexo y altura a la que se habita.
  • 9.
    Hemoglobina Hematocrito Recién nacido 19.5± 5.0 54 ± 10 Mujeres 14.0 ± 2.0 42 ± 5 Hombres 16.0 ± 2.0 47 ± 7 Cifras normales de hemoglobina y hematocrito al nivel del mar (Wintrobe)
  • 10.
    Concentración media de hemoglobina globular (CMHG) Hemoglobinax 100 Hematocrito 30-37 Volumen globular medio (VCM) Hematocrito x 10 # de eritrocitos. 80-95 fL Hemoglobina globular media (HCM) Hemoglobina x 10 # de eritrocitos 27-34 pg Formulas para la obtención de los índices eritrocitarios.
  • 11.
    Valores Porcentuales Linfocitos =20-50 Monocitos = 0-10 Basófilos = 0-2 Eosinófilos = 0-5 Neutrófilos: = 35-70 Segmentados =90-100 Banda = 0-10 Metamielocitos = 0 Mielocitos = 0 Promielocitos = 0 Mieloblástos = 0 Valores Absolutos Linfocitos = 1,000-5,000/mm3 Neutrófilos = 1,500- 8,000/mm3 Diferencial de Schilling Se les practica a los neutrófilos a partir del numero encontrado en 100 leucocitos.
  • 12.
    Leucocitos totales =2000/mm3 (Leucopenia) Diferencial = 80% de Linfocitos (Linfocitosis relativa) 20% de Neutròfilos (Neutropenia relativa) Linfocitos Neutròfilos 100 - 80 2000 - X = 1,600 Linfocitos/mm3 100 - 20 2000 - X = 400 Neutròfilos/mm3 Normal Neutropenia absoluta Ejemplo:
  • 13.
    En 119 hombressanos con cuenta total de leucocitos normal Usando valores % 51% con diferencial anormal Usando valores absolutos 10% con Diferencial anormal Annals of emergency medicine.1986.15:3p.367.
  • 14.
    Diagnóstico diferencial de pancitopenia. Anemia Megaloblástica  Anemia Aplástica  Leucemia Aguda
  • 15.
    N H.G. M. Plaquetas N=Frotis L=Diferencial Leucocitos N olig.Reticulocitos C.M.H.G. V.G.M. Hematocrito Hemoglobina Otros estudios Aspirado de médula ósea HIPERCELULAR bilirubina indirecta = lig. DHL = # de Eritrocitos ANEMIA MEGALOBLÁSTICA
  • 16.
  • 17.
    H.G. M. Plaquetas N=Frotis L=Diferencial Leucocitos N olig.Reticulocitos C.M.H.G. N V.G.M. Hematocrito Hemoglobina Otros estudios Aspirado y biopsia de médula ósea HIPOCELULAR # de Eritrocitos ANEMIA APLASTICA
  • 18.
    H.G. M. Plaquetas N=Frotis Blástos presentesDiferencial NoLeucocitos N o lig.Reticulocitos C.M.H.G. N V.G.M. Hematocrito Hemoglobina Otros estudios Aspirado de médula ósea HIPERCELULAR # de Eritrocitos LEUCEMIA AGUDA
  • 19.
  • 20.
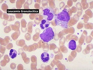
    Globulos rojos N oligeramente Otros estudios Aspirado de médula ósea: Hiperplasia granulocítica Hemoglobina Hematocrito V.G.M. NH.G.M. C.M.H.G. Reticulocitos N Leucocitos Diferencial Mieloblástos,Promielocitos, mielocitos, metamielocitos, bandas, segmentados, eosinófilos, basófilos. Plaquetas N o Leucemia granulocítica
  • 21.
  • 22.
  • 23.
    Hemoglobina N NHematocrito # deglóbulos rojos Reticulocitos N N Conclusión Normal Anemia hemolítica No hay respuesta de la médula ósea Recuperación por tratamiento Interpretación de la cuenta de reticulocitos
  • 24.
    Glóbulos rojos Otros estudios Bilirrubinaindirecta: ligeramente Hierro sérico: Saturación de Transferrina: Ferritina sérica: Hemoglobina Hematocrito V.G.M. H.G.M. C.M.H.G. Reticulocitos N o Ligeramente Leucocitos N Frotis Hipocromía, microcitosis, anisocitosis, poiquilocitosis. Plaquetas N Anemia por deficiencia de hierro
  • 25.
  • 26.
    Anemia hemolítica Adquirida Hereditaria InmuneNo-Inmune 1. Esferocitosis 2. Drepanocitosis 3. Talasemia 4. Deficiencia de glucosa 6-Fosfato deshidrogenasa Coombs directo
  • 27.
    Glóbulos rojos Otros estudios Bilirrubina indirecta: Coombsdirecto : Positivo. Hemoglobina Hematocrito V.G.M. N o H.G.M. NC.M.H.G. Reticulocitos Leucocitos N o Ligeramente Frotis Eritroblástos Plaquetas N o Anemia Hemolítica por anticuerpos
  • 28.
  • 29.
    Glóbulos rojos Otros estudios Bilirrubinaindirecta: ligeramente Coombs directo : Negativo. Hemoglobina Hematocrito V.G.M. H.G.M. NC.M.H.G. Reticulocitos Leucocitos N o Ligeramente Frotis Microesferocitos. Plaquetas N o Esferocitosis hereditaria
  • 30.
  • 31.
    Glóbulos rojos N o Otrosestudios Aspirado de Médula ósea: Normal. Hemoglobina Hematocrito V.G.M. NH.G.M. C.M.H.G. Reticulocitos N o Leucocitos N o Diferencial NFrotis Plaquetas Purpura trombocitopénica por anticuerpos
  • 33.
     HIPONATREMIA EHIPONATREMIA
  • 34.
    Causas de laHiponatremia: Disminución en la cantidad de agua: deshidratación, diuresis exagerada, cetonuria  vómitos o  diarrea.
  • 35.
     Enfermedad deAddison  secreción inapropiada de hormona antidiurética  incremento en la cantidad total de agua:  síndrome nefrótico  otras causas de enfermedad renal.
  • 36.
    :  Si lacantidad de líquido en el cuerpo es baja, la persona puede tener pérdida de líquidos debido a quemaduras, sudoración excesiva, diarrea, o por el uso de diuréticos.
  • 37.
     Diabetes insípida Hiperaldosteronismo  Síndrome de Cushing  Dieta con alto contenido de sal o bicarbonato de sodio.
  • 38.
    Existe hipernatremia cuando elsodio plasmático es mayor a 145 mEq por litro.
  • 39.
     Hemorragia  Desmayoo sensación de mareo  Hematoma  Infección  Punciones múltiples
  • 41.
    Beneficios del potasio Regula el contenido en agua de las células y su movimiento, impidiendo la fuga.  Mantiene el equilibrio ácido-base y con el sodio:  Regulariza la cantidad y el reparto normal del agua en el organismo.  Interviene en la construcción de las proteínas.  Incrementa la excitabilidad neuromuscular.
  • 42.
     Mas del98% de la concentración potásica esta dentro de las células.  El desequilibrio entre los niveles de Sodio y Potasio es uno de los factores importantes en la Hipertensión Arterial.
  • 43.
    Donde encontramos elpotasio  La alimentación normal aporta potasio en cantidad ampliamente suficientes: de 2 a 4 gr. diarios.  Por regla general, todo alimento pobre en sodio es rico en potasio.  Abunda mucho también en las legumbres como lentejas, garbanzos, alubias y en la levadura seca, los frutos secos, el café y el cacao.
  • 44.
    Hipopotasemia  Disminución dela concentración plasmática de potasio es menor a 3.5 mEq por litro  Se caracteriza por:  Debilidad muscular  Irritabilidad y parálisis  Taquicardia y alteraciones cardiacas
  • 45.
    Etiopatogenia  Ingesta disminuidade K  Aumento en las perdidas de potasio por vomitos y diarreas  Aumento de la renina  Sindrome de cushing  Hiperglicemia( causante de diuresis)
  • 46.
    Hiperpotasemia  de potasioextracelular 5.5 mEq/litro  Confusión mental  Debilidad  Alteraciones sensoriales en extremedidades  ETIOPATOGENIA  Aumento de la ingesta de K  Redistribucion de K desde liq. Intra. A liq extra.  Disminucion de la excrecion renal de K
  • 47.
    Cloruro  Junto conel sodio representan los mayores constituyentes osmoticamente activos  Valor en adulto es de 98 a 107 mmol/L  Mantiene el balance hidrico  Es absorbido en el intestino y excretado en la orina y el sudor
  • 48.
    CLORO Hipocloremia Hipercloremia cloro menora 80mEq/L Cloro mayor de 125meq/l Nefritis por perdida de sal, pielonefritis crónica Deshidratación Acidosis metabólica( acidosis diabética o insufiencia renal) Farmacos: diureticos, laxantes, bicarbonatos Dietas sin sal Acidosis metabolica asociada a diarrea y perdida de Na y HCO Insuficiencia renal aguda
  • 49.
    Bicarbonato  Constituyen maso menos 2mmol/L de CO2 total en plasma  Hablar de CO2 es la medicion de Bicarbonato  Alteracion de CO2 es una caracteristica de los balances Acido-base
  • 50.
     CO2 sepuede analizar en:  Suero o Plasma(obtenido con heparina) de sangre venosa capilar
  • 51.
    Regulación del calcioen el LEC y el plasma  Hipocalcemia produce excitación del sistema nervioso y tetania.  Hipercalcemia deprime la actividad del sistema nervioso y del musculo.
  • 52.
    Hipocalcemia  Existe hipocalcemiacuando las concentraciones de calcio serico se situan en cifras menores de 8 mg/dl.
  • 53.
    Hipercalcemia  Existe hipercalcemiacuando las concentraciones de calcio serico son mayores a 10.5 mg/dl.
  • 54.
    Etiopatologia  Neoplasias  Hiperparatiroidismo Intoxicación por vitamina A o D  Sarcoidosis  Hipertiroidismo  Insuficiencia suprarrenal
  • 55.
    Valoración de laFunción Hepática Bilirrubina Albumina AST ALT
  • 56.
    BILIRRUBINEMIA  Producto queresulta de la descomposición de la hemoglobina.  Su metabolismo comienza con la descomposición de los glóbulos rojos.  Los glóbulos rojos contienen hemoglobina, esta se descompone en Hem y globina, el Hem es convertido en bilirrubina  Luego es transportada por la albúmina en la sangre hasta el hígado.
  • 57.
    para explorar o controlar problemas hepáticoso de la vesícula biliar.  La bilirrubina total  la bilirrubina directa
  • 58.
    El aumento dela bilirrubina indirecta o bilirrubina total pueden indicar:  Eritoblastosis fetal  Enfermedad de Gilbert  Sangrado bajo piel o resolución de hematoma  Anemia hemolítica  Enfermedad hemolítica del recién nacido  Ictericia fisiológica en recién nacidos)  Anemia drepanocítica  Reacción a una transfusión  Anemia perniciosa
  • 59.
  • 60.
     Cifras debilirrubina indirecta >1.5 mg/dl  Descartar hemolisis  Causas.
  • 61.
    HIPERBILIRRUBINEMIA DIRECTA  La hiperbilirrubinemiadirecta se asocia a enfermedades hepáticas debido a una insuficiente capacidad de excreción.  Cifras > 0.4mg/dl  Colestasis Fosfatasa alcalinas  GGT
  • 62.
    causas:  Obstrucción dela vía biliar  Enfermedades hepáticas colestásicas  Hepatitis agudas  Cirrosis.  Elevaciones aisladas de bilirrubina directa
  • 63.
    AMINOTRANSFERASAS  Valores normales ALT: 8 a 37UI/L  AST: 10 a 34 UI/L
  • 64.
    Albumina  Valor normal:3.9 a 5.0 mg/dL  producida por el hígado  Proteína de mayor concentración en el plasma.  Impide que el líquido de la sangre se filtre hacia los tejidos
  • 65.
    HIPOALBUMINEMIA  Niveles disminuidosen :  Ascitis  Quemaduras  Glomerulonefritis  Enfermedad hepática  Síndrome de mala absorción  Desnutrición
  • 66.
    AST Aspartato aminotransferasa (TGO) ALT Alanino aminotransferasa (TGP) ENZIMASPREDOMINANTES EN INTERIOR DE CELULAS HEPATICAS Y MUSCULARES
  • 67.
     Esta enzimase encuentra en muchos tejidos, pero las mayores concentraciones se dan en el hígado y, cuando hay una lesión en dicho órgano, se presenta liberación de la enzima a la sangre.
  • 68.
    INDICACIONES  Presencia deictericia  Insificiencia hepatica aguda  Hepatitis  Colangitis aguda  Shock septico  Intoxicacion aguda por agentes hepatotoxicos  Cardiopatia Isquemica Aguda
  • 69.
    VALORACION CLINICA  HEPATITISAGUDAS Y CRONICAS  Diagnostico: > 1000 UI/I  Valor Dx: Ictericia  Aumentos moderados: procesos infecciosos sistémicos hepatitis crónicas  Cociente AST/ALT
  • 70.
     Colestasis: <500UI/I  IAM: la AST comienza a aumentar en primeras 8-12 hrs.  Miopericarditis aguda  ICC  Shock  Rabdomiolisis  Necrosis histicas
  • 71.
    Amilasemia  Valor normal:70 a 200 U/dl  Valora función pancreática
  • 72.
    Causas  pancreatitis aguda, ulcera péptica perforada al páncreas,  parotiditis  infecciones agudas  embarazo ectópico  acidosis metabólica  inyección de morfina o codeína.
  • 73.
    FOSFATASA ALCALINA  Localizacion: Hueso  Riñón  Canalículos biliares  Intestino delgado  Leucocitos  Placenta
  • 74.
    Hiperfosfatasemia se debe: Anemia  Obstrucción biliar  Enfermedad ósea  Consolidación de una fractura  Hepatitis  Hiperparatiroidismo  Leucemia  Enfermedad hepática  Cánceres óseos osteoblásticos  Osteomalacia  Enfermedad de Paget  Raquitismo
  • 75.
    Hipofosfatasemia pueden debersea:  Desnutrición  Deficiencia de proteína
  • 76.
    Valoración de laFunción Renal Creatinina BUN
  • 77.
  • 78.
     Urea: valornormal 11-54 mg/dl  Producto de catabolismo proteico  Equilibrio entre llegada al hígado como la integridad de este
  • 79.
     La excrecionocurre por via renal y en menor grado por via intestinal.  El exceso de acido urico se deposita en tejidos.  Diariamente se excretan de o.4 a 0.8g  La concentración urinaria esta influenciada por la dieta.  El aumento del volumen de filtración aumenta la excreción de acido úrico.
  • 80.
    Hiperuricemia Primaria, Secundaria. Gota Artritis inflamatoria aguda  Artritis erosiva crónica  Nefrolitiasis y uro litiasis  Enfermedad renal crónica e hipertension
  • 81.
    Hipouricemia  Ausencia deXantina Oxidasa  Aminoaciduria de la Enfermedad de Wilson  Síndrome de Fanconi en adultos Se da por 2 causas: 1.Déficit de proteínas como; hipo proteica, enfermedad hepática 2.Aumento del aclaramiento renal; ADH, Hiperhidratacion, embarazo
  • 82.
    Creatinina  Aminoácido productode catabolismo muscular.  Almacena energía.  valor normal es de .6-1.5mg/dl  Valorar Función Renal  Los niveles varían de acuerdo con la talla y la masa muscular .  No esta afectada por la dieta ni por la ingesta de líquidos.
  • 83.
     Niveles aumentanpor disminución de la excreción.  acelera la regeneración del ATP  Concentraciones sericas disminuyen en: o Cualquier proceso de desgaste muscular profundo  Concentraciones sericas aumentan en: o Alteracion en funcion Renal
  • 84.
  • 85.
    CpK-MB Creatin Fosfoquinasa fraccionMB  CK-MB 0-25 ui/l  Se encuentra en mm cardiaco  Liberada rápidamente después de un infarto a la circulación general en las primeras tres horas de iniciado el IAM  alcanza su máxima concentración entre las 12 y 24 horas  Presenta una duración de su actividad de 1-3 días
  • 86.
    Troponinas  Contracción delmusculo  cardiaco.  Troponina I (inhibidora de  la interacción actina-miosina)  Troponina T (fijadora de tropomiosina).  Su elevación se produce a partir de las 3 o 4 hs de iniciado el IAM
  • 87.
  • 88.
    Lípidos plasmaticos  Lípidosdel cuerpo.  Aumentado riesgo cardiovascular
  • 89.
    Hiperlipidemias  Metabolismo anormalde lipoproteinas  Primarias  Secundarias
  • 90.
  • 91.
     HDL: transportarcolesterol de los tejidos hacia el hígado “factor protección” o Concentración > 55mg/dL o Colesterol “Bueno”
  • 92.
     LDL: conducencolesterol a los tejidos o < 130mg/dL < 130mg/dL o Colesterol “Malo”
  • 93.
    o Determinar losriesgos de arteriopatía coronaria
  • 94.
    Hipercolesterolemia  Aumento deLDL  elevado riesgo de desarrollar enfermedad cardiovascular prematura de causa aterosclerótica.
  • 95.
    Hipercolesterolemia CAUSAS:  Cirrosis biliar Hiperlipidemia familiar  Dieta alta en grasa  Hipotiroidismo  Sd nefrótico  Diabetes no controlada
  • 96.
    teroesclerosis  Lesiones dela intima por  ateromas  Lesion mas temprana: estrias grasas  FACTORES DE RIESGO  Hiperlipidemia  Hipertension  Tabaquismo  Alcohol  Diabetes  Ingesta de grasas
  • 97.
    HIPOCOLESTEROLEMIA HIPERCOLESTEROLEMIA HDL nivelesbajos de Colesterol H.D.L Obesidad Central No todos los pacientes con H.D.L. bajo desarrollan Enfermedad Tabaquismo Diabetes Tipo II Insuficiencia Renal Andrógenos (anabólicos) Progestàgenos
  • 98.
    Hipertrigliceridemia  Trigliceridos: valornormal <200 Causas:  Dieta rica en Hidratos de Carbono  Consumo excesivo de alcohol  Obesidad  Embarazo  Diabetes Mellitus  Hipotiroidismo  Insuficiencia Renal Crónica
  • 99.
    Glucosa  Valor normal:70 a 150 mg/dl  Fuente principal de energía del SNC  Hiperglicemia  hipoglicemia
  • 100.
    Diabetes mellitus  Hiperglicemia Deficiencia absoluta o relativa de insulina  Deficiencia absoluta o relativa de Glucagon  DM tipo I  DM tipo II
  • 101.
    Glicemia  “Standard deoro” para el diagnostico de la DM  Valor limite: 140mg/ml
  • 102.
    Hiperglicemia  Causas:  Fisiológicas estrés  Diabetes Mellitus  Infarto del Miocardio  Insuficiencia hepatica
  • 103.
    Hipo glicemia: AyunoReactiva Causas  Hipopituitarismo  Enfermedad de Addison  Cirrosis o Insuficiencia he patica  Etanol despues de desayuno
  • 106.
    EXAMEN GENERAL DEORINA  FORMACION DE LA ORINA  LOS RIÑONES SON ORGANOS PARES UBICADOS EN LA PARTE ESTRECHA DE LA REGION DORSAL A AMBOS LADOS DE LA COLUMNA VERTEBRAL, SON LOS RESPONSABLES DEL MANTENIMIENTO DE LA HOMEOSTASIS COMPRENDIENDO:  LA REGULACIÓN DE LOS LIQUIDOS CORPORALES, DEL EQUILIBRIO ACIDO-BASE, DEL EQUILIBRIO ELECTROLÍTICO Y LA EXCRECIÓN DE LOS PRODUCTOS DE DESECHO.  TAMBIÉN PARTICIPAN EN EL MANTENIMIENTO DE LA PRESIÓN ARTERIAL Y LA ERITROPOYESIS.  LA FUNCIÓN RENAL ESTA INFLUIDA POR : EL VOLUMEN SANGUINEO, LA PRESIÓN ARTERIAL Y LA COMPOSICIÓN DE LA SANGRE, ASI COMO TAMBIÉN POR LAS GRANDULAS SUPRARRENALES E HIPOFISIS.
  • 107.
     EL NEFRONES LA UNIDAD FUNCIONAL DEL RIÑON  HAY APROXIMADAMENTE UN MILLON DE NEFRONES EN CADA RIÑON, ESTA CONSTITUIDO POR UN RED CAPILAR, DENOMINADA GLOMERULO Y POR UN LARGO TUBULO QUE SE DIVIDE EN TRES SECTORES: EL TUBULO CONTORNEADO PROXIMAL, EL ASA DE HENLE Y EL TUBULO CONTORNEADO DISTAL.  CADA NEFRON DESCARGA EN UN TUBULO COLECTOR AL QUE ESTAN CONECTADOS OTROS NEFRONES, LA ORINA SE COLECCIONA LUEGO EN LA PELVIS RENAL QUE A SU VEZ SE CONECTA CON EL URETER  EL GLOMERULO Y LOS TUBULOS CONTORNEADOS ESTAN UBICADOS EN LA CORTEZA DEL RIÑON, MIENTRAS QUE EL ASA DE HENLE SE EXTIENDE EN LA MEDULA RENAL.
  • 108.
     LAS MUESTRASDE ORINA SON BIOPSIAS LÍQUIDAS DE LOS TEJIDOS DEL TRACTO URINARIO, RECOLECTADAS EN FORMA INDOLORA QUE PERMITEN TENER INFORMACIÓN RÁPIDA Y ECONÓMICA.  RECOLECCIÓN DE LA MUESTRA:  LA MUESTRA SE RECOGE NORMALMENTE POR MICCIÓN ESPONTANEA, TENER EN CUENTA QUE SE DEBE RECOGER LA PRIMERA DE LA MAÑANA, EL PACIENTE DEBE LEVANTARSE ASEARSE MUY BIEN LOS GENITALES Y EN UN RECIPIENTE ESTÉRIL RECOGER LA MICCIÓN INTERMEDIA.  ULTIMAMENTE SE ESTA UTILIZANDO EL ESTUDIO DEL PARCIAL DE ORINA FRACCIONADO QUE CONSISTE EN PEDIR AL PACIENTE QUE RECOJA LA 1ª ORINA DE LA MAÑANA FRACCIONADA EN 3 MUESTRAS QUE DEBEN LLEGAR AL LABORATORIO CORRECTAMENTE MARCADAS: FRACCIÓN I, II Y III, ESTE TIPO DE EXAMEN ES PRINCIPALMENTE PARA DESCARTAR HEMATÚRIAS.  CUANDO SE PRESENTA HEMOGLOBINA EN LA FRACCIÓN I INDICA SANGRADO A NIVEL URETRAL, SI HAY HEMOGLOBINA EN LAS 3 FRACCIONES EL SANGRADO ES A NIVEL RENAL, PERO SI SOLO SE ENCUENTRA HEMOGLOBINA EN LA MUESTRA III EL SANGRADO ES VESICAL.
  • 109.
     EXAMEN FISICO:  ASPECTO: ES CONSIDERADO COMO NORMAL UN ASPECTO TRANSPARENTE, PERO ES ACEPTADO HASTA UN ASPECTO LIGERAMENTE TURBIO YA QUE ESTE PUEDE SER DEBIDO A CONTAMINACIONES. EL ASPECTO DE UNA ORINA TURBIA YA ES CONSIDERADO COMO ANORMAL, ESTO PUEDE SER DEBIDO A PRESENCIA DE LEUCOCITOS, GLOBULOS ROJOS, BACTERIAS, CRISTALES, GRASA (POR OBSTRUCCIÓN DE LINFÁTICOS)  COLOR: EN CONDICIONES NORMALES EL COLOR DE LA ORINA VA DE AMARILLO HASTA ÁMBAR. SE PUEDEN ENCONTRAR COLORES ANORMALES DEBIDO A PRESENCIA DE ELEMENTOS ANORMALES EN LA ORINA COMO POR EJEMPLO: SANGRE, MEDICAMENTOS, ALIMENTOS Y OTROS PIGMENTOS.  UNA ORINA INCOLORA SE CONOCE COMO HIDRURICA CARACTERÍSTICA DE UNA DIABETES INSÍPIDA SE PRESENTA POR BAJA EN LA PRODUCCIÓN DE HORMONA ANTIDIURETICA.  ROSADO O ROJO : SE PRESENTA POR LA PRESENCIA AUMENTADA DE UROBILINOGENO, PORFOBILINOGENO.  AZUL : DESPUÉS DE PROCESOS QUIRÚRGICOS  AMARILLO INTENSO : PIGMENTOS BILIARES  NEGRO: MELANOMAS PRODUCTORES DE
  • 112.
     PH :ES EL REFLEJO DE LA CAPACIDAD DEL RIÑON PARA MANTENER LA CONCENTRACIÓN NORMAL DE HIDROGENIONES.  EL PH NORMAL VA DE 5.5 - 6.5 INFLUYENDO EL RÉGIMEN DIETÉTICO DE CADA PACIENTE.  EN UNA ALCALOSIS METABÓLICA Y RESPIRATORIA SE PRODUCE UNA ORINA ALCALINA MIENTRAS QUE EN UNA ACIDOSIS SE PRODUCE UNA ORINA ÁCIDA.  PH ALCALINO : PUEDE SER CONSECUENCIA DEL SINDROME DE FANCONI (trastorno hereditario de la función tubular renal), INFECCIÓN DE VIAS URINARIAS Y ALCALOSIS METABOLICA O RESPIRATORIA  PH ACIDO : SE OBSERVA EN TUBERCULOSIS RENAL, PIREXIA (FIEBRE), FENILCETONURIA (trastorno metabolico hereditario deficiencia de hidroxilasa de fenilalanina) Y ALCAPTONURIA (defecto hereditario del metabolismo de la tirosina) , Y EN TODAS LAS FORMAS DE ACIDOSIS.
  • 113.
     DENSIDAD :ESTA VARIA EN RAZÓN DIRECTA A LA CANTIDAD DE SÓLIDOS, PRINCIPALMENTE CLORUROS, UREA, SULFATOS.  LA DENSIDAD NORMAL VA DE 1.015 - 1.025  LA DISMINUCIÓN DE LA DENSIDAD (LLAMADA HIPOSTENURIA, ESTO ES 1.001 A 1.003) ES UN SIGNO CARACTERISTICO DE DIABETES INSIPIDA, GLOMERULONEFRITIS, HIPERCALCEMIA E HIPOPOTASEMIA.  EL INCREMENTO EN LA DENSIDAD ES CARACTERISTICO DE TRASTORNOS HEPATICOS, INSUFICIENCIA CONGESTIVA CARDIACA, DESHIDRATACIÓN Y NEFROSIS.  LA PERSISTENCIA DE LA MISMA DENSIDAD, ESTO ES, SITUACIÓN EN QUE LAS CIFRAS PERMANECEN RELATIVAMENTE CONSTANTES DE UNA MUESTRA A OTRA (ISOSTENURIA) INDICAN LESIÓN RENAL GRAVE.
  • 114.
    EXAMEN QUIMICO  PROTEINAS: SE PUEDEN ENCONTRAR VARIAS CLASES DE PROTEINAS PERO LA MÁS COMÚN ES LA ALBÚMINA  HAY PROTEINURIAS LLAMADAS FISIOLÓGICAS ASOCIADAS A FIEBRES, EXPOSICIÓN AL FRÍO, STRESS EMOCIONAL, EJERCICIO INTENSO.  LA PROTEINURIA SUGIERE LA PRESENCIA DE NEFROPATIAS COMO GLOMERULONEFRITIS AGUDA O CRONICA, NEFROLITIASIS, RIÑON POLIQUISTICO E INSUFICIENCIA RENAL AGUDA O CRONICA, ASIMISMO, DICHO TRASTORNO PUEDE SER CONSECUENCIA DEL MIELOMA MULTIPLE (neoplasia que resulta de la proliferación incontrolable y progresiva de células plasmáticas en la médula ósea)
  • 115.
     HEMOGLOBINA :ES UNA PROTEÍNA SANGUÍNEA QUE NO SE DEBE ENCONTRAR EN ORINAS NORMALES, SU PRESENCIA PUEDE SER CAUSADA POR PROCESOS HEMOLÍTICOS, AGENTES TÓXICOS, ACCIDENTES TRASNFUSIONALES, QUEMADURAS.  FISIOLOGICAMENTE PUEDE PRESENTARSE POR EJERCICIO INTENSO  LA PRESENCIA DE HEMOGLOBINA Y PROTEINAS AMBAS ALTAS INDICAN QUE HAY UN DAÑO GLOMERULAR.
  • 116.
     GLUCOSA :EN CONDICIONES NORMALES SE ELIMINA POR LA ORINA CANTIDADES NO DETECTABLES POR LOS MÉTODOS USUALES, CUANDO EL NIVEL DE GLUCOSA SOBREPASA EL UMBRAL RENAL (180 MG/DL) SE DETECTA  EN EL SINDROME DE CUSHING SE PRESENTAN GLUCOSURIAS  CETONAS : CUANDO EL METABOLISMO HEPÁTICO SE ACELERA POR CARENCIAS DE GLUCOCIDOS, EXCESO DE GRASAS O EN DIABETES, LOS CUERPOS CETONICOS APARECEN EN ABUNDANCIA EN LA ORINA Y SANGRE.  LA PRUEBA SE BASA EN LA REACCIÓN DEL ÁCIDO ACETOACETICO CON EL NITRAPRUSIATO.  LA PRESENCIA AUMENTADA DE CETONAS Y GLUCOSA SE PRESENTA EN UNA ACIDOSIS DIABÉTICA.
  • 117.
     BILIRRUBINA YUROBILINOGENO : LA BILIRRUBINA ES UN PRODUCTO RESULTANTE DE LA DESCOMPOSICIÓN DE HEMOGLOBINA.  NORMALMENTE NO SE ENCUENTRA, SU ELIMINACIÓN SE PRESENTA POR ICTERICIA OBSTRUCTIVA INTRA Y EXTRAHEPATICA AGUDA O CRÓNICA, CIRROSIS.  EN COLESTASIS SE PRESENTA AUMENTO DE BILIRRUBINAS CON UN UROBILINOGENO NORMAL, EN ICTERICIAS HEPÁTICAS SE PRESENTA AUMENTO DE BILIRRUBINAS MENOR QUE EN LAS COLESTASIS CON UN UROBILINOGENO AUMENTADO O NORMAL, EN LAS ICTERICIAS PRODUCIDAS POR ANEMIAS HEMOLÍTICAS SE PRESENTA UNA BILIRRUBINA NORMAL CON UN UROBILINOGENO AUMENTADO
  • 118.
     SE DEBENANALIZAR EN ORINAS RECIÉN EMITIDAS PARA QUE SU VALOR TENGA ALGÚN SIGNIFICADO CLÍNICO.  LA PRESENCIA DE NITRITOS EN ORINA ES UN INDICADOR DE INFECCIÓN URINARIA.
  • 119.
    EXAMEN MICROSCOPICO  ELEXAMEN MICROSCÓPICO DEL SEDIMENTO URINARIO NO SOLO EVIDENCIA UNA ENFERMEDAD RENAL, SINO TAMBIÉN INDICA LA CLASE DE LESIÓN PRESENTE.
  • 120.
     LEUCOCITOS :INDICAN UNA PIELONEFRITIS, TAMBIÉN SE ENCUENTRAN EN ENFERMEDADES AUTOINMUNES, LESIÓN EN VIA RENAL O INFECCIONES CERCA AL APARATO URINARIO.  SE DEBE TENER EN CUENTA SI LA MUESTRA ESTA CONTAMINADA PRINCIPALMENTE EN MUJERES EN ESTE CASO EL INFORME DE LABORATORIO SE DEBE REPORTAR COMO : CONTAMINACIÓN VAGINAL, SE SUGIERE RECOGER NUEVA MUESTRA PREVIO ASEO Y MICCIÓN MEDIA.
  • 121.
     HEMATIES :INDICAN SANGRADO A NIVEL DE VÍAS URINARIAS, SE DEBE MIRAR :  SI LOS HEMATIES SON INTACTOS LOS QUE SON HEMATURIAS BAJAS,  CRENADOS QUE SE OBSERVAN EN ORINAS HIERTONICAS,  HEMIATIES DIMORFOS QUE INDICAN UNA HEMATURIA GLOMERUALAR
  • 122.
     CÉLULAS EPITELIALES: SE PUEDEN ENCONTRAR ALGUNAS CÉLULAS EN LA ORINA COMO CONSECUENCIA DEL DESPRENDIMIENTO NORMAL DE LAS CÉLULAS ENVEJECIDAS  UN MARCADO AUMENTO PUEDE INDICAR INFLAMACIÓN DEL CONDUCTO DEL TRACTO URINARIO  LOS CUERPOS OVALES SON CELULAS EPITELIALES REDONDAS LLENAS DE GRASA QUE SE OBSERVAN EN NEFROSIS DEBIDO A PERDIDA DE PROTEÍNAS.
  • 123.
     CILINDROS :SE FORMAN EN LA LUZ DEL TUBULO RENAL, CUANDO LAS PROTEINAS SE PRECIPITAN ORIGINANDO UN GEL.  CILINDROS HIALINOS: SON INCOLOROS HOMOGÉNEOS Y TRANPARENTES, SE OBSERVAN EN UNA DESHIDRATACIÓN Y ENFERMEDAD RENAL, SE PUEDEN OBSERVAR EN CONDICONES NORMALES.  CILINDROS ERITROCITARIOS: SON CILINDROS EN LOS QUE SE VEN GLÓBULOS ROJOS, INDICAN LESIONES GLOMERULARES.  CILINDROS EPITELIALES: SE OBSERVAN EN NECROSIS TUBULAR.  CILINDROS LEUCOCITARIOS : SE OBSERVAN EN INFECCIÓN RENAL Y PROCESOS INFLAMATORIOS DE CAUSA NO INFECCIOSA  CILINDROS GRANULOSOS: SE OBSERVAN EN ENFERMEDAD RENAL SIGNIFICATIVA, TAMBIÉN SE OBSERVAN DESPUÉS DE EJERCICIO INTENSO.  CILINDROS CEREOS: SE OBSERVAN EN INFECCIÓN RENAL CRÓNICA, HIPERTENSIÓN, NEFROPATIA, INFLAMACIÓN Y DEGENERACIÓN TUBULAR, ÉXTASIS URINARIA ALTA.
  • 124.
     CRISTALES: NOTIENEN MAYOR SIGNIFICADO CLINICO, SOLO EN CASOS DE TRASTORNOS METABÓLICOS, SE DEBE CORRELACIONAR SU PRESENCIA CON LOS HÁBITOS ALIMENTICIOS.  SE FORMAN CUANDO LA ORINA DESPUÉS DE RECOGIDA SE DEJA POR MUCHO TIEMPO SIN ANALIZAR, POR ESO SON IMPORTANTES CUANDO SE OBSERVAN EN ORINAS RECIÉN EMITIDAS.  SU FORMACIÓN SE HA VISTO QUE TIENE UNA CORRELACIÓN GENÉTICA A FORMARLOS.  CRISTALES DE ORINAS ÁCIDAS:  ACIDO URICO: SE ENCUENTRAN EN GOTA, ESTADOS FEBRILES Y LITIASIS, MICROSCOPICAMENTE SE VEN COMO UN PRECIPITADO ROSADO.  URATOS AMORFOS: SE OBSERVAN EN ESTADOS DE SUDORACIÓN PROFUNDA, ENFERMEDADES FEBRILES.  ACIDO HIPURICO: NO TIENEN SIGNIFICADO CLINICO.  CISTINA : SE OBSERVAN EN CÁLCULOS RENALES, SON SOLUBLES EN ÁCIDO CLORHÍDRICO E INSOLUBLES EN ÁCIDO ACÉTICO.  TIROSINA : APARECEN EN ENFERMEDADES HEPÁTICAS GRAVES, FORMAS GRAVES DE FIEBRE TIFOIDEA Y LEUCEMIAS.  LEUCINA : EN ENFERMEDADES HEPÁTICAS GRAVES.
  • 125.
     CRISTALES DEORINAS ALCALINAS :  FOSFATO TRIPLE : EN CISTITIS CRÓNICA, RETENCIÓN URINARIA.  FOSFATOS AMORFOS : EN TRASTORNOS METABÓLICOS, OSTEOPATIA.  URATOS DE AMONIO: SON ANORMALES SOLO SI SE ENCUENTRAN EN ORINAS RECIÉN EMITIDAS.
  • 126.
     OTRAS ESTRUCTURAS:  HONGOS : SE OBSERVAN EN INFECCIONES DEL TRACTO URINARIO, SOBRE TODO EN PACIENTES DIABÉTICOS PERO PUEDEN ESTAR PRESENTES POR CONTAMINACIÓN CUTÁNEA O VAGINAL EN LA ORINA.  ESPERMATOZOIDES : SE INFORMA CUANDO SE TRATA DE MUESTRAS DE HOMBRES SU ELEVACIÓN INDICA ALTERACIÓN DE ÓRGANOS REPRODUCTORES.  MOCO: SE ENCUENTRA AUMENTADO EN PROCESOS INFLAMATORIOS O IRRITACIÓN DEL TRACTO URINARIO.  PARÁSITOS : SE OBSERVAN DEBIDO A CONTAMINACIÓN FECAL.
  • 127.
    ANALISIS RUTINARIO DEORINA  EL COLOR DE LA ORINA DEBE SER DESDE TRANSPARENTE HASTA AMARILLO OSCURO  LA CONCENTRACIÓN DE LA ORINA DEBE SER ENTRE 1.015 A 1.025, PUEDE VARIAR POR LA HORA DEL DÍA DE RECOGIDA, CANTIDAD DE COMIDA TOMADA, O EL EJERCICIO REALIZADO.  EL PH DE LA ORINA DEBE ESTAR ENTRE 5.5 A 6.5  NO DEBE HABER PRESENCIA DE : GLUCOSA , CETONAS , NI PROTEÍNAS.  NO DEBE HABER PRESENCIA DE HEMATÍES  NO DEBE HABER HEMOGLOBINA  NO DEBE DE HABER BILIRRUBINA  PUEDE HABER TRAZAS DE UROBILINÓGENO EN LA ORINA NORMAL  NO DEBE DE HABER NITRITOS