Incrustar presentación
Descargar para leer sin conexión



















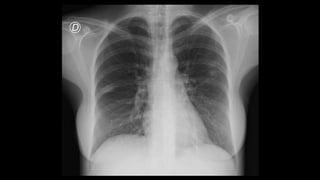
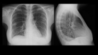
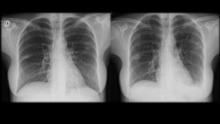
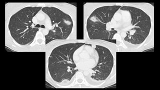
Una mujer de 31 años fue ingresada por faringoamigdalitis pultácea que no mejoró con tratamiento ambulatorio. Presentaba también molestias abdominales, náuseas, vómitos y diarrea. Las pruebas revelaron anemia grave, hipertransaminasemia e infiltrados pulmonares. El diagnóstico final fue bacteriemia por Fusobacterium necrophorum, trombosis de la vena yugular interna izquierda e infiltrados pulmonares, confirmando el síndrome de Lemierre.

















