• Los linfomas (ML) grupo heterogeneo de
neoplasias malignas caracterizadas por
proliferaciones derivadas de celulas nativas del
sistema linfoide (los linfocitos -B y T, y celulas
derivados de estos- e histiocitos y celulas NK), que
por su localizacion pueden clasificarse como
nodales (o ganglionares: GL y tejido linfatico) o
extranodales (o extraganglionares: timo, el bazo,
tejido linfoide asociado a la mucosa (MALT): tubo
digestivo (GALT), pulmón (BALT), piel bazo, médula
hematopoyética, dondequiera que se encuentre
tejido linfoide asociado a las mucosas (MALT).
• Generalmente formando una masa tumoral,
que luego puede extenderse al bazo, hígado,
médula ósea y otros órganos en forma de
tumores metastásicos. Rara vez, el linfoma
término se utiliza para referirse a una
proliferación maligna de las células
histiocítica.
• LINFOMA ↔ LEUCEMIA
 Hay dos tipos principales de linfomas:
 El linfoma de Hodgkin –LH (enfermedad de
Hodgkin)
 El linfoma no-Hodgkin –LNH
• Representa alrededor de 35 tipos de cáncer que
afectan a las células del sistema inmunológico. Hay
5 subtipos de la enfermedad de Hodgkin y
alrededor de 30 subtipos de linfoma no Hodgkin
DIFERENCIAS CLINICAS ENTRE LA ENFERMEDAD
DE HODGKIN Y LOS LINFOMAS NO
HODGKINIANOS
• Se puede sospechar las neoplasias linfoides por características
clínicas pero el diagnostico requiere examen histológico de GL y
Tejidos afectados
• En la mayoría de Neoplasias linfoides, las células hijas derivadas
del progenitor maligno comparten la misma configuración y la
misma secuencia de genes de receptores de antígenos y
sintetizan idénticas proteínas receptores de antígenos (Ig o R.C.T.)
• La mayoría de neoplasias linfoides (80-85%) son de origen B, y la
mayor parte de las restantes son tumores de células T, y son raras
los tumores de células NK.
• Frecuente alteración de la arquitectura normal y función del
sistema inmune, con anomalías inmunológicas.
• Las células B y T neoplasias tienden a recapitular el
comportamiento de equivalente normales. (localización y
regulación ganglionar, diseminación)
EPIDEMIOLOGIA
• Tumor maligno más frecuente en los Estados Unidos, y
el tercero más común en los niños. El linfoma puede
ocurrir a cualquier edad, incluso en la infancia.
• El linfoma es más frecuente en varones que en mujeres
(1.5:1) para el LH y LNH
• Cerca de 24.000 personas mueren de linfoma no
Hodgkin y HL 1400 de cada año. EL National Cancer
Institute (NCI) estima 8,510 casos nuevos y 1,290
muertes LH y 65, 980 casos nuevos y 19,500 muertes
por LNH en el año 2009
• EPIDEMIOLOGIA
• El linfoma no Hodgkin es mucho más común que la
enfermedad de Hodgkin, sin embargo el LH presenta
mayores casos avanzados.
• La incidencia del linfoma no Hodgkin aumenta
progresivamente con la edad (pico de
aproximadamente 60 años). La enfermedad de
Hodgkin es más común en personas entre 16-34
años (adultos jovenes) y en personas con ≥ 55 años.
Etiologia. Factores etiológicos
• Edad. Generalmente el riesgo de LNH aumenta con la edad. El LH esta
asociado a un mal pronostico en los ancianos comparado con pacientes mas
jóvenes.
• Infecciones por Virus Epstein Barr (VEB)-L. Burkitt-, VIH, Virus linfocitico-T
humano tipo 1 (HTLV-1), Helicobacter pylori-MALToma gastrico- y Virus de la
Hepatitis B o C, Mycobacterium tuberculosis
• Inmunosupresión (VIH, enfermedad inmune, terapia inmunosupresora post
transplante, heredadatalengectasia, ataxia, síndrome de Klinefelter,
síndrome de Chédiak-Higashi , síndrome de Wiskott-Aldrich; desordenes
autoinmunes (reumatoide, enfermedad celiaca, síndrome de Sjögren, LES)
• Exposición a productos tóxicos. Ocupacionales (plaguicidas, herbicidas,
tintes para cabello, difenilhidantoina- hiperplasia linfoide-linfoma-)
industriales (arsénico, clorofenoles, solventes orgánicos, plomo, cloruro de
vinilo y asbestos.)
• Genéticos (Antecedentes familiares de enfermedad de Hodgkin o LNH)
• Radioterapia o la quimioterapia
ESTADIFICACION. Ann Harbor
• Estadio I (enfermedad temprana) linfoma situado en
una sola región de ganglios o un órgano extranodal.
• Estadio II (enfermedad localmente avanzada). El
linfoma se encuentra ubicado en dos o mas regiones
de GL, ubicados en el mismo lado del diafragma o en
una región de los GL y en órganos o tejidos cercanos.
• Estadio III (enfermedad avanzada). Linfoma afectando
dos o mas regiones de GL o en un GL y un órgano a
ambos lados del diafragma.
• Estadio IV. (enfermedad diseminada). Linfoma fuera de
los GL y bazo con extensión a la hueso, médula ósea, o
SNC
MESES o AÑOS
ESTADIO I ESTADIO II ESTADIO III ESTADIO IV
Estadío I: ganglios
localizados
Estadío II: más
ganglios, supra-
diafragmáticos
Estadío III: más
ganglios, en
cualquier lugar
Estadío IV:
afectación
extraganglionar
MESES o AÑOS
CLASIFICACION SEGÚN GRADO.
• Bajo grado. son linfomas indolentes que crecen
lentamente. Generalmente no requieren tratamiento
inmediato, a menos que exista compromiso en la
función de algún órgano. Rara vez se curan y pueden
tranformarse con el tiempo a combinación de tipos de
indolente y agresivo.
• Grado intermedio. Linfomas de crecimiento rápido con
un patrón agresivo, que requieren tratamiento
inmediato, y con frecuencia son curables.
• Alto grado. Presentan mayor rapidez de crecimiento
que los de grado intermedio, que requieren inmediato
e intensivo tratamiento, y son muy a menudo
incurables
Hospital Guy. Londres,
Inglaterra 1832
 El linfoma de Hodgkin es una
prolifieracion tumoral maligna
primaria de los ganglios linfáticos, rara
vez afecta el tejido linfoide
extraganglionar, caracterizado por
linfadenopatias o esplenomegalia, o el
tejido linfoide en general. Es bien
delimitado con capsula fibrosa gruesa,
nódulos múltiples, consistencia pétrea
 Mediastino anterior> superior> medio
 Adulto jóvenes. ETIOLOGIA
DESCONOCIDA
ENFERMEDAD DE HODGKIN (EH) ↔ LINFOMA
HODGKIN
 El linfoma de Hodgkin representa el 30% de todos
los linfomas en los Estados Unidos; esto es casi
10.000 casos por año (2.3 / 100,000 / año)
 La posibilidad de supervivencia de 5 años en
pacientes con linfoma de Hodgkin en estadio I y II es
del 90%, , III, 84%, y IV, 65%..
 incidencia de casos por cada 100.000 personas es de
3,3 para los hombres blancos, 2,7 para las mujeres
blancas, 2,9 para los hombres negro, 2,3 para las
mujeres negro, 1,4 para Asia / isleños del Pacífico, y
1,0 para Asia y el Pacífico mujeres islas.
 predominio del 85% en los niños varones
 adultos jóvenes (15-34 años y) y las personas
mayores (> 55 años).
 En los EEUU, los adultos jóvenes Esclerosis
Nodular; los niños y ancianos Celularidad Mixta.
Por lo general es de tipo esclerosis nodular
• La enfermedad se define en términos de su apariencia
microscópica (histología) y la expresión de marcadores de
superficie celular (inmunofenotipo).
• Los criterios de diagnóstico son:
• El componente de tumor. las células de Hodgkin, que son
grandes (~20 µm) con citoplasma palido relativamente
abundante, núcleo grande vesiculoso, redondeado o
irregular, membrana nuclear gruesa por marginación de
cromatina y nucléolo prominente. Las células de Reed-
Sternberg: gigantes (15-45 µm) con citoplasma abundante;
nucleo bilobulado o multinucleado grande vesiculosos
con membrana nuclear gruesa; un nucléolo prominente
eosinofilo
• El componente reactivo (linfocitos pequeños maduros
[B: alrededor de folículos, T: alrededor de ceulas RS],
eosinófilos, plasmocitos, histiocitos, células foliculares
dendríticas, neutrófilos, fibroblastos, fibras colagenas,
fibrosis y capilares).
• De anormalidades de linfocitos del linaje B,
generalmente del centro germinal o post
centro germinal. Tambien pueden surgir de
celulas T (1.2%)
• células Reed-Sternberg (RS).Componen sólo el
1-50% de la masa total de células tumorales.
Inducen la acumulacion de L.reactivos,
histiocitos (macrofagos), y granulocitos
Los tipos de células RS son:
• Clásica: Se observa en variantes Celularidad mixta,
en la variante con disminución de linfocitos, y en la
esclerosis nodular, principalmente.
• Variante LP (Linfohistocitario)o L&H (“pop
corn”): núcleos únicos o multilobulados, con
nucléolos pequeños puntiformes, cromatina
delgada, citoplasma escaso y nodular. Se
encuentra en la variante de predominio
linfocitico.
• Variante pleomorfica. Núcleo único,
multinucleado o multilobulado; nucléolos
variables y prominentes; paracromatina
variable y clara o hipercromatica, citoplasma
moderado o abundante y eosinofilo. Se ve en
la variante de depleción linfocitica
• Mononuclear: Núcleo único, con nucléolos
grandes (>1/3 de diámetro del núcleo)
eosinofilos, paracromatina abundante y clara,
citoplasma entre rosa y pálido. Puede
observarse en cualquier variante.
• Célula lacunar: núcleo único o multilobulado,
nucléolo variable (generalmente <1/3 de
diámetro del núcleo), eosinofilos., con
paracromatina delgada o clara, con citoplasma
abundante y pálido. En la esclerosis nodular, y
pueden verse parecidas, en ocasiones, en la
variante Celularidad mixta
• la Organización Mundial de la Salud (OMS)
2001
1. No clásicas
– Predominante linfocitico (~5% casos) Favorable
2. Clásico (~95%)
– Esclerosis nodular (60 - 80% casos) Favorable
– Linfocitos-rica (5% casos) Favorable
– Celularidad mixta (15 - 30% casos) Favorable
– Deplecion linfocitica(<1% casos) desfavorable
Clásico. Esclerosis nodular.
• Mujeres
• (80%) afectacion mediastino, Estadio II
• Diseminnacion a bazo, hígado, MO y GL cervicales
inferiores, supraclaviculares y mediastínico.
• HISTOLOGIA. bandas de fibrosis esclerosantes
con colágeno (patron nodular) la capsula esta
engrosada. Presenta la variante RS lacunar más
que la RS clásica con un fondo polimorfo de
linfocitos T pequeños, eosinofilos, células
plasmáticas y macrófagos.
• INMUNOFENOTIPO. CD15,30+ y CD45-,
Clásico. Celularidad mixta.
• Hombres (70%) de edad mayor con presentación en
fase tardia (III y IV) con síntomas B sistémicos
• Ganglios linfáticos del abdomen y el bazo
• HISTOLOGIA. Infiltrado celular heterogéneo
inflamatorio formado por linfocitos, eosinofilos, células
plasmáticas y macrófagos benignos entremezclados
con numerosas células RS y de la variedad
mononuclear. Cambia la estructura normal.
• INMUNOFENOTIPO. CD15,30+ y CD45-
• Con pronostico favorable
• Asociado a VIH
Clásico. Rico de predominio linfocitico
• Hombres
• Clínicamente, la presentación y los patrones
de supervivencia son similares a aquellos para
la variante celularidad mixta.
• HISTOLOGIA. Se caracteriza por las células
clásicas de Hodgkin y RS con un abundante
trasfondo de linfocitos pequeños. Faltas
células inflamatorias y bandas de colageno
Clásico. Deplecion linfocitica
• Asociada a VIH, y a la edad avanzada
• Virus de Epstein Barr (VEB) se expresan en muchos de estos
tumores
• Organos abdominales, GL retroperitoneales y la medula
osea
• Menos comunes adenopatías periféricas
• 70% fase avanzada y 80%, síntomas B.
• HISTOLOGIA. Infiltrado difuso con pocos linfocitos o
fibrosis. dos subtipos: sarcomatoso con numerosas células
RS bizarras; y una variante fibrosis difusa con fibrosis
extensa desordenada y raras RS, linfocitos raros, y con
frecuencia pocos y fácilmente identificables células RS en
un fondo hipocelular. Linfocitos prácticamente inexistentes
No clásica. Predominante linfocitico
• Pacientes <35 años
• adenopatías cervicales o axilares
• pocas veces afectación mediastinica y rara vez medular.
• HISTOLOGIA. . Celulas L&H, fondo predominantemente con
linfocitos benignos con escasos eosinofilos, neutrofilos y
células plasmáticas y con pocos signos de necrosis o fibrosis
• INMUNOFENOTIPO. Células tumorales CD45,20 + y CD30-.
• 3-5% evolucion en linfomas difusos de células grandes
• Pronostico bueno.
RICA EN LINFOCITOS (3%)
Niños 10% a 15%. Adultos 7%. Comúnmente
enfermedad localizada.
ESCLEROSIS NODULAR (67%)
Jóvenes 40%. Adolescentes 70%
Adultos 21%. Comúnmente ganglios
cervicales y mediastinales.
CELULARIDAD MIXTA (27%)
Niños 30%. Adultos 61%. Frecuentemente
enfermedad avanzada con extensión
extranodal.
DEPLECIÓN LINFOIDE (Raros)
Raro en niños. Adultos 11%.
Enfermedad diseminada y
afección a MO.
VEB 10% CD15 -
VEB 96% CD15 +
VEB 34% CD15 +VEB Raro
A. PREDOMINIO
LINFOCITICO NODULAR
CLASIFICACION HISTOPATOLOGICA OMS
B. FORMAS CLASICAS (CD15,30+,20-
Edad: 43 años.
Enfermedad localizada.
Sobrevidas > 95%.
VEB no se relaciona
CD 15 -, CD 45 +.
• Linfadenopatía asintomática (80%), Este agrandamiento de
los ganglios linfático puede causar secundariamente
síntomas por compresión de vena, nervio, o el estomago.
La ictericia intrahepática, Disnea, tos y sibilancias por
compresión traqueobronquial, también la esplenomegalia y
hepatomegalia. Dolor por alcohol.
• " B "( pérdida de peso inexplicable [> 10% del peso corporal
en los últimos 6 meses] y apetito, en un 10% del peso total ,
fiebre, sudores nocturnos
• fiebre de Pel-Epstein
• sindromes paraneoplasicos, incluyendo la degeneración
cerebelosa, neuropatía, síndrome de Guillain-Barré, o
leucoencefalopatía multifocal.
• Radiografía de tórax
• TC de tórax, abdomen y pelvis
• Hemograma, VSG, fosfatasa alcalina, LDH, pruebas de
función hepática, albúmina, calcio, urea y creatinina
• Biopsia del ganglio linfático
• Biopsia de médula ósea
• Posiblemente PET para la estadificación, la
gammagrafía ósea si están presentes los síntomas del
dolor óseo, o resonancia magnética si neurológicos
Estadio I Estadio II
Estadio
III
Estadio
IV
Radioterapia Quimioterapia
90% 85%
III-A III-B
Radioterapia Quimioterapia
75-80% 70-80%
Quimioterapia
MOPP ABVD
50%
• El sexo masculino
• Edad de ≥ 45 años
• La enfermedad en estadio IV
• La albúmina (examen de sangre) a < 4,0 g / dL
• La hemoglobina a < 10,5 g / dL
• Globulos blancos (leucocitos) > 15.000 / ml o >15x
109/L
• Bajo recuento de linfocitos (inferior a 600/mLo <
0.6x109/L ; < 8% del recuento total de leucocitos)
EVALUACIÓN: 2 a 3 factores: BUENO; 4 factores: MALO, >5 factores : PÉSIMO
• Grupo heterogéneo neoplasias malignas
clonales linfoproliferativas del tejido
linfoide extramedular con diferentes
patrones de comportamiento y de
respuesta al tratamiento
• Diseminacion a sitios adyacentes y a
distancia por la circulación linfática y
finalmente por vía sanguínea.
• La mayoría (85%) resulta de una
proliferación de células B, sólo el 15% se
deriva de T / NK.
• 5 veces más frecuente que la EH.
• Pueden ser indolentes o agresivos.
• Comprende todos los linfomas cuya histología no
muestra la célula de Reed-Sternberg y es muy
heterogéneo.
• No todos se localizan en ganglios linfáticos. Un ej.
de tejidos extraganglionares generadores de
linfoma son los tejidos linfoides asociados a las
mucosas.
• Sistemas de clasificación : complejos y cambiantes.
Histología : de bajo o alto grado.
• Grupo:
– Bajo grado:
• Linfomas linfocíticos, inmunocíticos y centrocíticos.
• Linfoma folicular, Linfoma linfo-plasmocítico, Linfoma centrocítico.
• Son más lentos, pero incurables.
– Alto grado:
• Linfomas centroblásticos, inmunoblásticos y linfoblásticos.
• Linfoma inmunoblástico, Linfoma linfoblástico, Linfoma de Burkitt.
• Son más agresivos, es posible la curación a largo plazo.
I. Neoplasias de precursores de células B
Leucemia / linfoma linfoblástico de precursores B
II. Neoplasias de precursores de células T
Leucemia / linfoma linfoblástico de precursores T
II. Neoplasias de células B periféricas (maduros)
Leucemia linfocítica crónica / linfoma linfocítico de células
pequeñas.
Prolinfocitica de linfocitos B
Linfoma linfoplasmocitario
Linfoma de células del manto
Tricoleucemia
Mieloma de celulas plasmáticas
Gammapatia monoclonal de significado incierto (GMSI)
Linfoma folicular
De grado citológico I
De grado citológico II
De grado citológico III
Linfoma de la zona marginal
Leucemia de células peludas
Plasmocitoma solitario del Hueso
Plasmocitoma extraoseo
Amiloidosis primaria
Enfermedad de cadenas pesadas
Linfoma difuso de células B grandes
Linfoma de linfocitos B de la zona marginal extraganglionar del
tejido linfático asociado a la mucosa (Linfoma MALT o MALToma)
Linfoma de linfocitos B de la zona marginal ganglionar
Linfoma mediastinico (Timico) de linfocitos B grandes
Linfoma intravascular de linfocitos B grandes.
Linfoma primario de los derrames
Linfoma/leucemia de Burkitt
IV. Neoplasias de células T periféricas y NK
Leucemia linfocítica crónica de células T
Leucemia/ diseminada
Leucemia prolinfocitica de células T
Leucemia prolinfocitica de células T grandes y granulosas
Leucemia agresiva de células NK
Leucemia/ linfoma de células T del adulto
Cutaneos
Micosis fungoide
Sindrome de Sézary
Linfoma anaplasico cutáneo primario
Linfoma de células grandes
Papulosis linfomatoide
Otros linfomas ganglionares
Linfoma extraganglionar de células NK/T de tipo nasal
Linfoma de células T del tipo enteropatico
Linfoma de células T hepatoesplenico
Linfoma de células T similar a la paniculitis subcutánea
Ganglionares
Linfoma angioinmunoblastico de células T
Linfoma periférico de células T sin especificar
Linfoma anaplasico de células grandes
Neoplasias de estirpe y etapa de diferenciación inciertos
Linfoma de células NKblasticas.
CLASIFICACION REAL
• Neoplasias maligna de células B o T inmaduras
precursoras (linfoblastos preB y preT) en los
ganglios.
• OMS:
1. Leucemia linfoblástica de precursores B (LAL-
B)/linfoma linfoblástico (LLB-B)
2. Leucemia linfoblástica de precursores T (LAL-
T)/linfoma linfoblástico (LLB-T)
• indistinguibles en morfología, genotipo, y
fenotipo, pero se diferencian en el grado de
linfocitosis que producen en la sangre periférica
• EPIDEMIOLOGIA
• LLC es el linfoma mas común en adultos del
mundo occidental, y la LLP constituye el 4% de
LNH. La mayoria de pacientes >50 años
(promedio: 60 años) con un predominio en
varones (2:1)
HISTOLOGIA.
• Sangre periferica. (LLC). células borrosas.
Pueden afectar al bazo y el hígado.
• Ganglio: linfocitos predominantemente
pequeños (6-12µ), nucleos redondeados o
irregulares, con cromatina densa y citoplasma
claro; y de prolinfocitos
Estos últimos pueden formar aglomerados
llamados centro de proliferación, de gran
actividad mitótica. Estos centros son
patonogmonicos de LLC y LLP.
• INMUNOFENOTIPO: CD19, CD20 +(Selectivos B),
CD5 (de linfocitos T, expresado por un pequeño
grupo de LB), expresión IgM (Cadenas pesadas
Ig), y cadenas ligeras kappa o lambda.
• GENETICA. Las alteraciones cromosómicas se
observan en un 20-30% de los casos. Son
frecuentes la trisomia 12, deleciones de 13q 12-
14, y delecion de 11q
PRONOSTICO.
• Variable, dependiente del estado clínico.
• Superviviencia media 4-6 años (pctes con
masa tumoral minima ≥ 10 años)
• Trisomia 12 y delecion 11q, mal pronostico
• Tendencia agresiva, (supervivencia < 1 año):
transformación prolinfocitica (15-30 % casos),
o linfoma difuso de células B grandes
(Sindrome de Richter, 10% casos)
• EPIDEMIOLOGIA
• Forma mas frecuente de LNH en los EE.UU
• Frecuente en la mediana edad
• Genero H = M
• Menos frecuente en Europa y Rara en países
asiáticos
INMUNOFENOTIPO
• CD19,20,10 (CALLA) +, expresa Ig monotipicas de
superficie. A diferencia del LLC, LLP, y linfoma de
células del manto no expresan CD5. Ademas son BCL2
+ (a diferencia de los linfocitos B de los centros
foliculares que son BCL2 negativos)
GENETICA
• Lo mas característico del Linfoma folicular es la
traslocacion (14-18), que produce yuxtaposición del
locus IgH del cromosoma 14 y del locus BCL2 del
cromosoma 18, con sobreexpresión de BCL2(favorece
la supervivencia del linfoma folicular )A un asi no es
observado en todos los casos. Foliculos reactivos con
células B apoptosicas y folículos neoplasicos sin células
apoptosicas
• Grupo heterogéneo de tumores que en
conjunto constituyen el 20% de todos los LNH
y el 60-70% de neoplasias linfoides agresivas.
• Leve predominio en hombres
• Distribucion amplia en edades: Aparece en
promedio a los 60 años, pero también
constituye el 5% de los linfomas de la infancia.
• VARIANTES ESPECIALES
• Linfoma de células B grandes asociado a
inmunodeficiencia. En inmunodeficiencia grave
de linfocitos T. Las células B neoplasicas suelen
ser Virus de Epstein Barr (VEB) positivos latente.
• Linfoma de células B grandes de las cavidades
corporales. Se manifiestan por derrames
pleurales o ascíticos malignos.VIH, y ancianos En
todos los casos las células están infectadas por el
virus herpético humano 8.(asociado también en
la etiología del sarcoma de Kaposi.)
• INMUNOFENOTIPO
• CD19, 20, CD10 (N. originadas en células
centrofoliculares), la mayoria tiene Ig de
superficie, y Todos son TdT
• GENETICA
• El 30% la t(14;18), (característica del linfoma
folicular)
• 20-30%, presenta traslocacion que fracturan el
locus BCL6 del cromosoma 3..
MANIFESTACIONES CLINICAS
• Masa de crecimiento rápido
• Primera manifestación en TGI, piel, hueso y
cerebro, y también pueden estar infectados, el
anillo de Waldeyer y tejidos linfáticos de la
orofaringe: amígdalas y adenoides.
• Puede haber masas destructivas en bazo e
hígado
• Afectacion tardia de la medula osea, raro
cuadro leucémico.
PRONOSTICO
• Los linfomas difusos de células B grandes producen
rápida muerte sin tratamiento
• Con quimioterapia combinada intensiva se alcanza una
remisión en el 60-80% de los pacientes y alrededor del
50% permanecen asintomáticos durante varios años,
pudiéndose considerar curados
• Masa circunscrita, buen pronostico (diseminadas o
voluminosas, mal pronostico)
• Tumores con reordenamiento del BCL6, buen
pronostico
• Mutaciones en el P53, mal pronostico
• Linfoma linfoblástico, observado principalmente en
niños africanos. Niños y adultos. 30% de LNH en
niños en EE.UU.
• Asociado a infección por VEB.
• Muestra una translocación cromosómica 14q+/8q-
(locus inmunogénico, y oncogen myc).
• Tumor mandibular. Afectación GI.
• Histología: aspecto de “cielo estrellado”.
• Remisiones espectaculares con una sola dosis de
citotóxico, como ciclofosfamida, 30 mg/kg IV.
• CLASIFICACION
• Presentan similaridad histológicas, pero
diferencias clínicas, genotípicas o virológicas. Se
relaciona con la infeccion con Virus de Epstein
Barr (VEB):
• Linfoma de Burkitt africano (endemico). En todos
infeccion con latente con VEB
• linfoma de Burkitt esporádico (no endemico).
Una minoría infeccion con VEB
• Grupo de linfomas agresivos propios de pacientes
infectados con VIH. EL 25% infeccion por VEB
INMUNOFENOTIPO
• Tumores de células B relativamente maduras que
expresan en su superficie IgM, cadenas ligeras
monotipicas κ y λ. CD19,20,10 +
GENETICA
• Todos se caracterizan por traslocaciones del gen
c-myc situado en el cromosoma 8. Su pareja suele
ser el locus de las IgH [t(8;14)] pero también
puede ser el locus de las cadeas ligeras κ [t(2;8)]
y λ [t(8;22)].
MANIFESTACIONES CLINICAS.
• El Linfoma de Burkitt africano la mandibula y
preferencia por vísceras abdominales (riñones,
ovarios, suprerrenales),
• Linfoma de Burkitt esporádico, en la región
ileocecal y en el peritoneo
• PRONOSTICO.
• Es un Linfoma agresivo, con respuesta
aceptable a ciclos cortos de quimioterapia en
dosis altas , con la que muchos pacientes
llegan aparentemente a curarse.
• Neoplasias linfoides de las células B
totalmente diferenciadas, en células
plasmáticas.
• Causa el 15% de las muertes causadas
procesos malignos de los leucocitos
• Histologia. Secretan Ig monoclonal
(componente M) intravascular, y cadenas
libres pesadas y libres (proteínas de Bence-
Jones), depuradas en orina.
• Mieloma multiple (mieloma de células
plasmaticas)
• El mieloma solitario o plasmocitoma
• LINFOMA LINFOPLASMOCITARIO
(Macroglobulinemia de Waldestrom)
• Amiloidosis primaria asociada a inmunocitos
• Gammapatia moonoclonal de significación
desconocida (GMSD
• Neoplasia de células plasmáticas con afectación
politópica del esqueleto, y ganglionar y de la piel.
• Causa el 1% de las muertes en los países
occidentales
• Se observan lesiones osteoliticas multiples
diseminadas por todo el esqueleto a cualquier
hueso: columna vertebral 66%, costillas 44%,
cráneo 31%, pelvis 28%, femur 24%, clavicula
10%, escapula 10%..Los defectos oseos suelen
estar repletos de una masa tumoral roja, blanda,
gelatinosa.
• GENETICA. Frecuentes deleciones de 13q y
reordenamientos de 14q; 30% casosla t(4;14)
(p16,3, q32) que afecta la proliferación celular
ASPECTOS DIAGNOSTICOS
• Proteinas de Bence Jones en orina (electroforesis
o calenteamiento)
• la proteína M (inmunoelectroresis o
inmunofijacion)
• Rx. aspecto de un defecto bien delimitado, en
sacabocado, que produce en la placa una imagen
redonda “en pompa de jabon”

Linfomas

  • 2.
    • Los linfomas(ML) grupo heterogeneo de neoplasias malignas caracterizadas por proliferaciones derivadas de celulas nativas del sistema linfoide (los linfocitos -B y T, y celulas derivados de estos- e histiocitos y celulas NK), que por su localizacion pueden clasificarse como nodales (o ganglionares: GL y tejido linfatico) o extranodales (o extraganglionares: timo, el bazo, tejido linfoide asociado a la mucosa (MALT): tubo digestivo (GALT), pulmón (BALT), piel bazo, médula hematopoyética, dondequiera que se encuentre tejido linfoide asociado a las mucosas (MALT).
  • 3.
    • Generalmente formandouna masa tumoral, que luego puede extenderse al bazo, hígado, médula ósea y otros órganos en forma de tumores metastásicos. Rara vez, el linfoma término se utiliza para referirse a una proliferación maligna de las células histiocítica. • LINFOMA ↔ LEUCEMIA
  • 4.
     Hay dostipos principales de linfomas:  El linfoma de Hodgkin –LH (enfermedad de Hodgkin)  El linfoma no-Hodgkin –LNH • Representa alrededor de 35 tipos de cáncer que afectan a las células del sistema inmunológico. Hay 5 subtipos de la enfermedad de Hodgkin y alrededor de 30 subtipos de linfoma no Hodgkin
  • 5.
    DIFERENCIAS CLINICAS ENTRELA ENFERMEDAD DE HODGKIN Y LOS LINFOMAS NO HODGKINIANOS
  • 7.
    • Se puedesospechar las neoplasias linfoides por características clínicas pero el diagnostico requiere examen histológico de GL y Tejidos afectados • En la mayoría de Neoplasias linfoides, las células hijas derivadas del progenitor maligno comparten la misma configuración y la misma secuencia de genes de receptores de antígenos y sintetizan idénticas proteínas receptores de antígenos (Ig o R.C.T.) • La mayoría de neoplasias linfoides (80-85%) son de origen B, y la mayor parte de las restantes son tumores de células T, y son raras los tumores de células NK. • Frecuente alteración de la arquitectura normal y función del sistema inmune, con anomalías inmunológicas. • Las células B y T neoplasias tienden a recapitular el comportamiento de equivalente normales. (localización y regulación ganglionar, diseminación)
  • 8.
    EPIDEMIOLOGIA • Tumor malignomás frecuente en los Estados Unidos, y el tercero más común en los niños. El linfoma puede ocurrir a cualquier edad, incluso en la infancia. • El linfoma es más frecuente en varones que en mujeres (1.5:1) para el LH y LNH • Cerca de 24.000 personas mueren de linfoma no Hodgkin y HL 1400 de cada año. EL National Cancer Institute (NCI) estima 8,510 casos nuevos y 1,290 muertes LH y 65, 980 casos nuevos y 19,500 muertes por LNH en el año 2009
  • 9.
    • EPIDEMIOLOGIA • Ellinfoma no Hodgkin es mucho más común que la enfermedad de Hodgkin, sin embargo el LH presenta mayores casos avanzados. • La incidencia del linfoma no Hodgkin aumenta progresivamente con la edad (pico de aproximadamente 60 años). La enfermedad de Hodgkin es más común en personas entre 16-34 años (adultos jovenes) y en personas con ≥ 55 años.
  • 10.
    Etiologia. Factores etiológicos •Edad. Generalmente el riesgo de LNH aumenta con la edad. El LH esta asociado a un mal pronostico en los ancianos comparado con pacientes mas jóvenes. • Infecciones por Virus Epstein Barr (VEB)-L. Burkitt-, VIH, Virus linfocitico-T humano tipo 1 (HTLV-1), Helicobacter pylori-MALToma gastrico- y Virus de la Hepatitis B o C, Mycobacterium tuberculosis • Inmunosupresión (VIH, enfermedad inmune, terapia inmunosupresora post transplante, heredadatalengectasia, ataxia, síndrome de Klinefelter, síndrome de Chédiak-Higashi , síndrome de Wiskott-Aldrich; desordenes autoinmunes (reumatoide, enfermedad celiaca, síndrome de Sjögren, LES) • Exposición a productos tóxicos. Ocupacionales (plaguicidas, herbicidas, tintes para cabello, difenilhidantoina- hiperplasia linfoide-linfoma-) industriales (arsénico, clorofenoles, solventes orgánicos, plomo, cloruro de vinilo y asbestos.) • Genéticos (Antecedentes familiares de enfermedad de Hodgkin o LNH) • Radioterapia o la quimioterapia
  • 12.
    ESTADIFICACION. Ann Harbor •Estadio I (enfermedad temprana) linfoma situado en una sola región de ganglios o un órgano extranodal. • Estadio II (enfermedad localmente avanzada). El linfoma se encuentra ubicado en dos o mas regiones de GL, ubicados en el mismo lado del diafragma o en una región de los GL y en órganos o tejidos cercanos. • Estadio III (enfermedad avanzada). Linfoma afectando dos o mas regiones de GL o en un GL y un órgano a ambos lados del diafragma. • Estadio IV. (enfermedad diseminada). Linfoma fuera de los GL y bazo con extensión a la hueso, médula ósea, o SNC
  • 13.
    MESES o AÑOS ESTADIOI ESTADIO II ESTADIO III ESTADIO IV
  • 14.
    Estadío I: ganglios localizados EstadíoII: más ganglios, supra- diafragmáticos Estadío III: más ganglios, en cualquier lugar Estadío IV: afectación extraganglionar MESES o AÑOS
  • 15.
    CLASIFICACION SEGÚN GRADO. •Bajo grado. son linfomas indolentes que crecen lentamente. Generalmente no requieren tratamiento inmediato, a menos que exista compromiso en la función de algún órgano. Rara vez se curan y pueden tranformarse con el tiempo a combinación de tipos de indolente y agresivo. • Grado intermedio. Linfomas de crecimiento rápido con un patrón agresivo, que requieren tratamiento inmediato, y con frecuencia son curables. • Alto grado. Presentan mayor rapidez de crecimiento que los de grado intermedio, que requieren inmediato e intensivo tratamiento, y son muy a menudo incurables
  • 16.
  • 17.
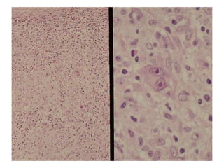
     El linfomade Hodgkin es una prolifieracion tumoral maligna primaria de los ganglios linfáticos, rara vez afecta el tejido linfoide extraganglionar, caracterizado por linfadenopatias o esplenomegalia, o el tejido linfoide en general. Es bien delimitado con capsula fibrosa gruesa, nódulos múltiples, consistencia pétrea  Mediastino anterior> superior> medio  Adulto jóvenes. ETIOLOGIA DESCONOCIDA ENFERMEDAD DE HODGKIN (EH) ↔ LINFOMA HODGKIN
  • 18.
     El linfomade Hodgkin representa el 30% de todos los linfomas en los Estados Unidos; esto es casi 10.000 casos por año (2.3 / 100,000 / año)  La posibilidad de supervivencia de 5 años en pacientes con linfoma de Hodgkin en estadio I y II es del 90%, , III, 84%, y IV, 65%..  incidencia de casos por cada 100.000 personas es de 3,3 para los hombres blancos, 2,7 para las mujeres blancas, 2,9 para los hombres negro, 2,3 para las mujeres negro, 1,4 para Asia / isleños del Pacífico, y 1,0 para Asia y el Pacífico mujeres islas.
  • 19.
     predominio del85% en los niños varones  adultos jóvenes (15-34 años y) y las personas mayores (> 55 años).  En los EEUU, los adultos jóvenes Esclerosis Nodular; los niños y ancianos Celularidad Mixta. Por lo general es de tipo esclerosis nodular
  • 20.
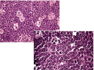
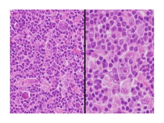
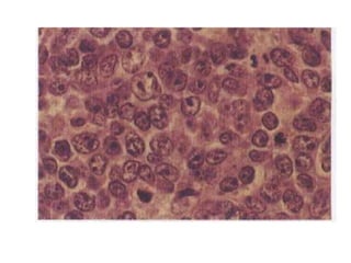
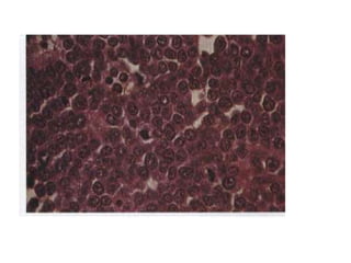
    • La enfermedadse define en términos de su apariencia microscópica (histología) y la expresión de marcadores de superficie celular (inmunofenotipo). • Los criterios de diagnóstico son: • El componente de tumor. las células de Hodgkin, que son grandes (~20 µm) con citoplasma palido relativamente abundante, núcleo grande vesiculoso, redondeado o irregular, membrana nuclear gruesa por marginación de cromatina y nucléolo prominente. Las células de Reed- Sternberg: gigantes (15-45 µm) con citoplasma abundante; nucleo bilobulado o multinucleado grande vesiculosos con membrana nuclear gruesa; un nucléolo prominente eosinofilo
  • 21.
    • El componentereactivo (linfocitos pequeños maduros [B: alrededor de folículos, T: alrededor de ceulas RS], eosinófilos, plasmocitos, histiocitos, células foliculares dendríticas, neutrófilos, fibroblastos, fibras colagenas, fibrosis y capilares).
  • 22.
    • De anormalidadesde linfocitos del linaje B, generalmente del centro germinal o post centro germinal. Tambien pueden surgir de celulas T (1.2%) • células Reed-Sternberg (RS).Componen sólo el 1-50% de la masa total de células tumorales. Inducen la acumulacion de L.reactivos, histiocitos (macrofagos), y granulocitos
  • 24.
    Los tipos decélulas RS son: • Clásica: Se observa en variantes Celularidad mixta, en la variante con disminución de linfocitos, y en la esclerosis nodular, principalmente.
  • 25.
    • Variante LP(Linfohistocitario)o L&H (“pop corn”): núcleos únicos o multilobulados, con nucléolos pequeños puntiformes, cromatina delgada, citoplasma escaso y nodular. Se encuentra en la variante de predominio linfocitico.
  • 26.
    • Variante pleomorfica.Núcleo único, multinucleado o multilobulado; nucléolos variables y prominentes; paracromatina variable y clara o hipercromatica, citoplasma moderado o abundante y eosinofilo. Se ve en la variante de depleción linfocitica
  • 27.
    • Mononuclear: Núcleoúnico, con nucléolos grandes (>1/3 de diámetro del núcleo) eosinofilos, paracromatina abundante y clara, citoplasma entre rosa y pálido. Puede observarse en cualquier variante.
  • 28.
    • Célula lacunar:núcleo único o multilobulado, nucléolo variable (generalmente <1/3 de diámetro del núcleo), eosinofilos., con paracromatina delgada o clara, con citoplasma abundante y pálido. En la esclerosis nodular, y pueden verse parecidas, en ocasiones, en la variante Celularidad mixta
  • 29.
    • la OrganizaciónMundial de la Salud (OMS) 2001 1. No clásicas – Predominante linfocitico (~5% casos) Favorable 2. Clásico (~95%) – Esclerosis nodular (60 - 80% casos) Favorable – Linfocitos-rica (5% casos) Favorable – Celularidad mixta (15 - 30% casos) Favorable – Deplecion linfocitica(<1% casos) desfavorable
  • 30.
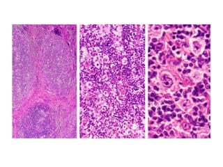
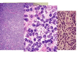
    Clásico. Esclerosis nodular. •Mujeres • (80%) afectacion mediastino, Estadio II • Diseminnacion a bazo, hígado, MO y GL cervicales inferiores, supraclaviculares y mediastínico. • HISTOLOGIA. bandas de fibrosis esclerosantes con colágeno (patron nodular) la capsula esta engrosada. Presenta la variante RS lacunar más que la RS clásica con un fondo polimorfo de linfocitos T pequeños, eosinofilos, células plasmáticas y macrófagos. • INMUNOFENOTIPO. CD15,30+ y CD45-,
  • 32.
    Clásico. Celularidad mixta. •Hombres (70%) de edad mayor con presentación en fase tardia (III y IV) con síntomas B sistémicos • Ganglios linfáticos del abdomen y el bazo • HISTOLOGIA. Infiltrado celular heterogéneo inflamatorio formado por linfocitos, eosinofilos, células plasmáticas y macrófagos benignos entremezclados con numerosas células RS y de la variedad mononuclear. Cambia la estructura normal. • INMUNOFENOTIPO. CD15,30+ y CD45- • Con pronostico favorable • Asociado a VIH
  • 33.
    Clásico. Rico depredominio linfocitico • Hombres • Clínicamente, la presentación y los patrones de supervivencia son similares a aquellos para la variante celularidad mixta. • HISTOLOGIA. Se caracteriza por las células clásicas de Hodgkin y RS con un abundante trasfondo de linfocitos pequeños. Faltas células inflamatorias y bandas de colageno
  • 35.
    Clásico. Deplecion linfocitica •Asociada a VIH, y a la edad avanzada • Virus de Epstein Barr (VEB) se expresan en muchos de estos tumores • Organos abdominales, GL retroperitoneales y la medula osea • Menos comunes adenopatías periféricas • 70% fase avanzada y 80%, síntomas B. • HISTOLOGIA. Infiltrado difuso con pocos linfocitos o fibrosis. dos subtipos: sarcomatoso con numerosas células RS bizarras; y una variante fibrosis difusa con fibrosis extensa desordenada y raras RS, linfocitos raros, y con frecuencia pocos y fácilmente identificables células RS en un fondo hipocelular. Linfocitos prácticamente inexistentes
  • 37.
    No clásica. Predominantelinfocitico • Pacientes <35 años • adenopatías cervicales o axilares • pocas veces afectación mediastinica y rara vez medular. • HISTOLOGIA. . Celulas L&H, fondo predominantemente con linfocitos benignos con escasos eosinofilos, neutrofilos y células plasmáticas y con pocos signos de necrosis o fibrosis • INMUNOFENOTIPO. Células tumorales CD45,20 + y CD30-. • 3-5% evolucion en linfomas difusos de células grandes • Pronostico bueno.
  • 39.
    RICA EN LINFOCITOS(3%) Niños 10% a 15%. Adultos 7%. Comúnmente enfermedad localizada. ESCLEROSIS NODULAR (67%) Jóvenes 40%. Adolescentes 70% Adultos 21%. Comúnmente ganglios cervicales y mediastinales. CELULARIDAD MIXTA (27%) Niños 30%. Adultos 61%. Frecuentemente enfermedad avanzada con extensión extranodal. DEPLECIÓN LINFOIDE (Raros) Raro en niños. Adultos 11%. Enfermedad diseminada y afección a MO. VEB 10% CD15 - VEB 96% CD15 + VEB 34% CD15 +VEB Raro A. PREDOMINIO LINFOCITICO NODULAR CLASIFICACION HISTOPATOLOGICA OMS B. FORMAS CLASICAS (CD15,30+,20- Edad: 43 años. Enfermedad localizada. Sobrevidas > 95%. VEB no se relaciona CD 15 -, CD 45 +.
  • 40.
    • Linfadenopatía asintomática(80%), Este agrandamiento de los ganglios linfático puede causar secundariamente síntomas por compresión de vena, nervio, o el estomago. La ictericia intrahepática, Disnea, tos y sibilancias por compresión traqueobronquial, también la esplenomegalia y hepatomegalia. Dolor por alcohol. • " B "( pérdida de peso inexplicable [> 10% del peso corporal en los últimos 6 meses] y apetito, en un 10% del peso total , fiebre, sudores nocturnos • fiebre de Pel-Epstein • sindromes paraneoplasicos, incluyendo la degeneración cerebelosa, neuropatía, síndrome de Guillain-Barré, o leucoencefalopatía multifocal.
  • 41.
    • Radiografía detórax • TC de tórax, abdomen y pelvis • Hemograma, VSG, fosfatasa alcalina, LDH, pruebas de función hepática, albúmina, calcio, urea y creatinina • Biopsia del ganglio linfático • Biopsia de médula ósea • Posiblemente PET para la estadificación, la gammagrafía ósea si están presentes los síntomas del dolor óseo, o resonancia magnética si neurológicos
  • 42.
    Estadio I EstadioII Estadio III Estadio IV Radioterapia Quimioterapia 90% 85% III-A III-B Radioterapia Quimioterapia 75-80% 70-80% Quimioterapia MOPP ABVD 50%
  • 43.
    • El sexomasculino • Edad de ≥ 45 años • La enfermedad en estadio IV • La albúmina (examen de sangre) a < 4,0 g / dL • La hemoglobina a < 10,5 g / dL • Globulos blancos (leucocitos) > 15.000 / ml o >15x 109/L • Bajo recuento de linfocitos (inferior a 600/mLo < 0.6x109/L ; < 8% del recuento total de leucocitos) EVALUACIÓN: 2 a 3 factores: BUENO; 4 factores: MALO, >5 factores : PÉSIMO
  • 46.
    • Grupo heterogéneoneoplasias malignas clonales linfoproliferativas del tejido linfoide extramedular con diferentes patrones de comportamiento y de respuesta al tratamiento • Diseminacion a sitios adyacentes y a distancia por la circulación linfática y finalmente por vía sanguínea. • La mayoría (85%) resulta de una proliferación de células B, sólo el 15% se deriva de T / NK. • 5 veces más frecuente que la EH. • Pueden ser indolentes o agresivos.
  • 47.
    • Comprende todoslos linfomas cuya histología no muestra la célula de Reed-Sternberg y es muy heterogéneo. • No todos se localizan en ganglios linfáticos. Un ej. de tejidos extraganglionares generadores de linfoma son los tejidos linfoides asociados a las mucosas.
  • 48.
    • Sistemas declasificación : complejos y cambiantes. Histología : de bajo o alto grado. • Grupo: – Bajo grado: • Linfomas linfocíticos, inmunocíticos y centrocíticos. • Linfoma folicular, Linfoma linfo-plasmocítico, Linfoma centrocítico. • Son más lentos, pero incurables. – Alto grado: • Linfomas centroblásticos, inmunoblásticos y linfoblásticos. • Linfoma inmunoblástico, Linfoma linfoblástico, Linfoma de Burkitt. • Son más agresivos, es posible la curación a largo plazo.
  • 49.
    I. Neoplasias deprecursores de células B Leucemia / linfoma linfoblástico de precursores B II. Neoplasias de precursores de células T Leucemia / linfoma linfoblástico de precursores T II. Neoplasias de células B periféricas (maduros) Leucemia linfocítica crónica / linfoma linfocítico de células pequeñas. Prolinfocitica de linfocitos B Linfoma linfoplasmocitario Linfoma de células del manto Tricoleucemia Mieloma de celulas plasmáticas Gammapatia monoclonal de significado incierto (GMSI) Linfoma folicular De grado citológico I De grado citológico II De grado citológico III Linfoma de la zona marginal Leucemia de células peludas Plasmocitoma solitario del Hueso Plasmocitoma extraoseo Amiloidosis primaria Enfermedad de cadenas pesadas Linfoma difuso de células B grandes Linfoma de linfocitos B de la zona marginal extraganglionar del tejido linfático asociado a la mucosa (Linfoma MALT o MALToma) Linfoma de linfocitos B de la zona marginal ganglionar Linfoma mediastinico (Timico) de linfocitos B grandes Linfoma intravascular de linfocitos B grandes. Linfoma primario de los derrames Linfoma/leucemia de Burkitt IV. Neoplasias de células T periféricas y NK Leucemia linfocítica crónica de células T Leucemia/ diseminada Leucemia prolinfocitica de células T Leucemia prolinfocitica de células T grandes y granulosas Leucemia agresiva de células NK Leucemia/ linfoma de células T del adulto Cutaneos Micosis fungoide Sindrome de Sézary Linfoma anaplasico cutáneo primario Linfoma de células grandes Papulosis linfomatoide Otros linfomas ganglionares Linfoma extraganglionar de células NK/T de tipo nasal Linfoma de células T del tipo enteropatico Linfoma de células T hepatoesplenico Linfoma de células T similar a la paniculitis subcutánea Ganglionares Linfoma angioinmunoblastico de células T Linfoma periférico de células T sin especificar Linfoma anaplasico de células grandes Neoplasias de estirpe y etapa de diferenciación inciertos Linfoma de células NKblasticas. CLASIFICACION REAL
  • 52.
    • Neoplasias malignade células B o T inmaduras precursoras (linfoblastos preB y preT) en los ganglios. • OMS: 1. Leucemia linfoblástica de precursores B (LAL- B)/linfoma linfoblástico (LLB-B) 2. Leucemia linfoblástica de precursores T (LAL- T)/linfoma linfoblástico (LLB-T)
  • 55.
    • indistinguibles enmorfología, genotipo, y fenotipo, pero se diferencian en el grado de linfocitosis que producen en la sangre periférica • EPIDEMIOLOGIA • LLC es el linfoma mas común en adultos del mundo occidental, y la LLP constituye el 4% de LNH. La mayoria de pacientes >50 años (promedio: 60 años) con un predominio en varones (2:1)
  • 56.
    HISTOLOGIA. • Sangre periferica.(LLC). células borrosas. Pueden afectar al bazo y el hígado. • Ganglio: linfocitos predominantemente pequeños (6-12µ), nucleos redondeados o irregulares, con cromatina densa y citoplasma claro; y de prolinfocitos Estos últimos pueden formar aglomerados llamados centro de proliferación, de gran actividad mitótica. Estos centros son patonogmonicos de LLC y LLP.
  • 57.
    • INMUNOFENOTIPO: CD19,CD20 +(Selectivos B), CD5 (de linfocitos T, expresado por un pequeño grupo de LB), expresión IgM (Cadenas pesadas Ig), y cadenas ligeras kappa o lambda. • GENETICA. Las alteraciones cromosómicas se observan en un 20-30% de los casos. Son frecuentes la trisomia 12, deleciones de 13q 12- 14, y delecion de 11q
  • 58.
    PRONOSTICO. • Variable, dependientedel estado clínico. • Superviviencia media 4-6 años (pctes con masa tumoral minima ≥ 10 años) • Trisomia 12 y delecion 11q, mal pronostico • Tendencia agresiva, (supervivencia < 1 año): transformación prolinfocitica (15-30 % casos), o linfoma difuso de células B grandes (Sindrome de Richter, 10% casos)
  • 59.
    • EPIDEMIOLOGIA • Formamas frecuente de LNH en los EE.UU • Frecuente en la mediana edad • Genero H = M • Menos frecuente en Europa y Rara en países asiáticos
  • 61.
    INMUNOFENOTIPO • CD19,20,10 (CALLA)+, expresa Ig monotipicas de superficie. A diferencia del LLC, LLP, y linfoma de células del manto no expresan CD5. Ademas son BCL2 + (a diferencia de los linfocitos B de los centros foliculares que son BCL2 negativos) GENETICA • Lo mas característico del Linfoma folicular es la traslocacion (14-18), que produce yuxtaposición del locus IgH del cromosoma 14 y del locus BCL2 del cromosoma 18, con sobreexpresión de BCL2(favorece la supervivencia del linfoma folicular )A un asi no es observado en todos los casos. Foliculos reactivos con células B apoptosicas y folículos neoplasicos sin células apoptosicas
  • 62.
    • Grupo heterogéneode tumores que en conjunto constituyen el 20% de todos los LNH y el 60-70% de neoplasias linfoides agresivas. • Leve predominio en hombres • Distribucion amplia en edades: Aparece en promedio a los 60 años, pero también constituye el 5% de los linfomas de la infancia.
  • 64.
    • VARIANTES ESPECIALES •Linfoma de células B grandes asociado a inmunodeficiencia. En inmunodeficiencia grave de linfocitos T. Las células B neoplasicas suelen ser Virus de Epstein Barr (VEB) positivos latente. • Linfoma de células B grandes de las cavidades corporales. Se manifiestan por derrames pleurales o ascíticos malignos.VIH, y ancianos En todos los casos las células están infectadas por el virus herpético humano 8.(asociado también en la etiología del sarcoma de Kaposi.)
  • 65.
    • INMUNOFENOTIPO • CD19,20, CD10 (N. originadas en células centrofoliculares), la mayoria tiene Ig de superficie, y Todos son TdT • GENETICA • El 30% la t(14;18), (característica del linfoma folicular) • 20-30%, presenta traslocacion que fracturan el locus BCL6 del cromosoma 3..
  • 66.
    MANIFESTACIONES CLINICAS • Masade crecimiento rápido • Primera manifestación en TGI, piel, hueso y cerebro, y también pueden estar infectados, el anillo de Waldeyer y tejidos linfáticos de la orofaringe: amígdalas y adenoides. • Puede haber masas destructivas en bazo e hígado • Afectacion tardia de la medula osea, raro cuadro leucémico.
  • 67.
    PRONOSTICO • Los linfomasdifusos de células B grandes producen rápida muerte sin tratamiento • Con quimioterapia combinada intensiva se alcanza una remisión en el 60-80% de los pacientes y alrededor del 50% permanecen asintomáticos durante varios años, pudiéndose considerar curados • Masa circunscrita, buen pronostico (diseminadas o voluminosas, mal pronostico) • Tumores con reordenamiento del BCL6, buen pronostico • Mutaciones en el P53, mal pronostico
  • 68.
    • Linfoma linfoblástico,observado principalmente en niños africanos. Niños y adultos. 30% de LNH en niños en EE.UU. • Asociado a infección por VEB. • Muestra una translocación cromosómica 14q+/8q- (locus inmunogénico, y oncogen myc). • Tumor mandibular. Afectación GI. • Histología: aspecto de “cielo estrellado”. • Remisiones espectaculares con una sola dosis de citotóxico, como ciclofosfamida, 30 mg/kg IV.
  • 70.
    • CLASIFICACION • Presentansimilaridad histológicas, pero diferencias clínicas, genotípicas o virológicas. Se relaciona con la infeccion con Virus de Epstein Barr (VEB): • Linfoma de Burkitt africano (endemico). En todos infeccion con latente con VEB • linfoma de Burkitt esporádico (no endemico). Una minoría infeccion con VEB • Grupo de linfomas agresivos propios de pacientes infectados con VIH. EL 25% infeccion por VEB
  • 71.
    INMUNOFENOTIPO • Tumores decélulas B relativamente maduras que expresan en su superficie IgM, cadenas ligeras monotipicas κ y λ. CD19,20,10 + GENETICA • Todos se caracterizan por traslocaciones del gen c-myc situado en el cromosoma 8. Su pareja suele ser el locus de las IgH [t(8;14)] pero también puede ser el locus de las cadeas ligeras κ [t(2;8)] y λ [t(8;22)].
  • 72.
    MANIFESTACIONES CLINICAS. • ElLinfoma de Burkitt africano la mandibula y preferencia por vísceras abdominales (riñones, ovarios, suprerrenales), • Linfoma de Burkitt esporádico, en la región ileocecal y en el peritoneo
  • 75.
    • PRONOSTICO. • Esun Linfoma agresivo, con respuesta aceptable a ciclos cortos de quimioterapia en dosis altas , con la que muchos pacientes llegan aparentemente a curarse.
  • 76.
    • Neoplasias linfoidesde las células B totalmente diferenciadas, en células plasmáticas. • Causa el 15% de las muertes causadas procesos malignos de los leucocitos • Histologia. Secretan Ig monoclonal (componente M) intravascular, y cadenas libres pesadas y libres (proteínas de Bence- Jones), depuradas en orina.
  • 77.
    • Mieloma multiple(mieloma de células plasmaticas) • El mieloma solitario o plasmocitoma • LINFOMA LINFOPLASMOCITARIO (Macroglobulinemia de Waldestrom) • Amiloidosis primaria asociada a inmunocitos • Gammapatia moonoclonal de significación desconocida (GMSD
  • 78.
    • Neoplasia decélulas plasmáticas con afectación politópica del esqueleto, y ganglionar y de la piel. • Causa el 1% de las muertes en los países occidentales • Se observan lesiones osteoliticas multiples diseminadas por todo el esqueleto a cualquier hueso: columna vertebral 66%, costillas 44%, cráneo 31%, pelvis 28%, femur 24%, clavicula 10%, escapula 10%..Los defectos oseos suelen estar repletos de una masa tumoral roja, blanda, gelatinosa.
  • 79.
    • GENETICA. Frecuentesdeleciones de 13q y reordenamientos de 14q; 30% casosla t(4;14) (p16,3, q32) que afecta la proliferación celular ASPECTOS DIAGNOSTICOS • Proteinas de Bence Jones en orina (electroforesis o calenteamiento) • la proteína M (inmunoelectroresis o inmunofijacion) • Rx. aspecto de un defecto bien delimitado, en sacabocado, que produce en la placa una imagen redonda “en pompa de jabon”

Notas del editor

  • #4 Linfoma. Se origina principalmente de los GL. Generalmente formando una masa tumoral. Leucemia. Se origina de la medula renal manifestándose, generalmente, en la sangre periférica. Y puede también referirse a la proliferación sistémica de células hematopoyéticas anormales en la medula y los compartimientos vasculares se ve en algunos linfomas (p.e.) comúnmente en linfoma maligno linfoblastico y linfoma de Burkitt.
  • #6 El linfoma de Hodgkin se separa de linfoma no Hodgkin, no sólo por un aspecto histológico único, sino también porque las manifestaciones sistémicas (como la fiebre) y la presentación clínica son diferentes. En la presentación, la implicación de la médula ósea por LH es muy raro (<5%). Cuando el linfoma de Hodgkin afecta al bazo o al hígado por lo general se presenta como una masa en lugar de como la afectación difusa.
  • #17 Carl Sternberg (l898) y Dorothy Reed (l902) señalaron por primera vez la celula maligna característica de la
  • #23 ya no es capaz de expresar los anticuerpos
  • #29 Por fijación con formol, el citoplasma de estas células se retrae y parece que las células se encuentran en un espacio transparente (laguna
  • #30 arquitectura de los ganglios linfáticos, la relación entre el tumor y los componentes no tumoral, morfología de célula de Reed-Sternberg y composición de los reactivos infiltrado
  • #41 fiebre alta durante 1-2 semanas seguido de un período afebril de 1-2 semanas. Rara hemoptisis. esplenomegalia puede causar dolor abdominal o molestias.
  • #42 TOMOGRAFIA DE EMISION DE POSITRONES
  • #57 linfocitos pequeños, redondos, de escaso citoplasma, y ademas son frágiles prolinfocitos (células mas grandes, con un nucléolo central destacado).
  • #66 Este gen codifica al factor de transcripción en dedo de zinc, expresados en células en los centros germinales, regulador de la diferenciación de células B. Frecuentes en sitios extraganglionares, sin reordenamiento de BCL2
  • #69 Es característico el elevado índice mitótico, al igual que la muerte por apoptosis de las células tumorales numerosos macrófagos tisulares con restos nucleares ingerido, rodeados de un espacio claro (PATRON EN CIELO ESTRELLADO)