GLANDULA TIROIDES TIROIDITIS DE HASHIMOTO Judith Campo.  Aurora Molins C.S. San Pablo. Fuentes Norte
Origen endodermo Entre la 3º y 6ª semana se empieza a desarrollar en el feto. Desciende adherido a la faringe por medio del conducto tirogloso. 7ª semana se ubica entre el 3er y 6º anillo traqueal 11ª semana logra captar yodo 18 semana produce tiroxina EMBRIOLOGIA
Alteraciones del desarrollo Atireosis Tiroides ectópico Remanentes del conducto tirogloso Quiste tirogloso Pirámide de Laloutte
Anatomía Compuesta por 2 lóbulos, derecho e izquierdo conectados por el istmo, con forma de mariposa. Situada: A nivel de C5 y D1 Sobre la traquea, rodeándola hasta llegar al esófago. Cubierta por musculatura pretiroidea, m. cutáneo del cuello, tj. subcutáneo y piel.
 
Irrigación e inervación Arteria tiroidea superior Arteria tiroidea inferior Arteria tiroidea media Vena tiroidea superior, vena tiroidea inferior, vena tiroidea media, drenan  en las venas yugulares internas.
Los linfáticos forman el plexo paratiroideo.  Innervación:  Simpática: proviene del simpático cervical Parasimpático: procede del nervio vago  (n. laringeo superior y n. laringeo recurrente)
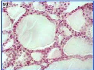
Histología Formadas por vesículas, son los folículos tiroideos (unidad básica del tiroides) Estas vesículas son  espacios esféricos llenos de sustancia gelatinosa llamada coloide. Están recubiertas por las células tiroideas:  los tirocitos .  Su contenido es la tiroglobulina  TGB Junto con las células tiroideas se identifican las  células C  sintetizan calcitonina.
 
Fisiología Precisa de un oligoelemento esencial  yodo   El yodo es captado. Oxidado Fijado sobre aminoácidos: tirosinas, formando las yodotirosinas, para ello hace falta la presencia de un factor, la tiroperoxidasa  TPO Componente fundamental del coloide: tiroglobulina, precursora de las hormonas tiroideas. T 4 , T 3 También la hormona calcitonina.
T3: hormona directamente activa sobre los tejidos T4:  tiroxina : se produce 0,5  µg  /kg/día Circulan por sangre unidas a proteínas, de la cual la mas importante es la globulina transportadora de tiroxina  PBI
 
REGULACIÓN Hipotálamo-hipófisis Si la concentración de T 4  es baja en sangre:  se libera  TSH , promueve endocitosis del coloide y se libera T 4  y T 3. a la circulación También por factores hipotalamicos como la  TRH Secreción de TSH (tirotropina) regulada por retroalimentación negativa (NFB) que ejercen las hormonas tiroideas sobre la hipofisis y también factores hipotalamicos como la TRH
Cuando la secrecion de yodo es >a la ingesta requerida se inhibe la formacion de T4 y T3, fenomeno de Woff Chaikoff
Funciones Regulan el metabolismo basal Afectan al crecimiento y grado de funcionalidad de otros sistemas del organismo Aumenta la termogénesis, consumo de oxigeno Influyen en el metabolismo de hidratos de carbono y de  lípidos
Exploración funcional Medición  T 4  Libre y TSH Medición de anticuerpos antitiroglobulina y antiperoxidasa (anti-TPO) Cuantificación yodo radiactivo Cuantificación metabolismo basal Excreción urinaria de yodo
Exploración anatómica Inspección, observando el cuello de lado  Palpación bimanual posterior Ecografía Gammagrafia Punción-aspiración con aguja fina
PATOLOGIAS TIROIDEAS Hipotiroidismo Hipertiroidismo Bocio simple. Nódulos tiroideos Tiroiditis
TIROIDITIS 1.-  No autoinmunes : Tiroiditis subaguda granulomatosa (tiroiditis de Quervain) Tiroiditis aguda supurada Tiroiditis de Riedel 2.-  Autoinmunes :  Tiroiditis subaguda linfocitaria Tiroiditis linfocítica crónica (Tiroiditis de Hashimoto)
TIROIDITIS DE HASHIMOTO TIROIDITIS DE HASHIMOTO
TIROIDITIS DE HASHIMOTO Inflamación aguda de la glándula tiroides Denominada así en honor al Dr. Japonés Hakuro Hashimoto en 1912 Causa mas frecuente de hipotiroidismo en adulto en zonas donde no existe déficit en la dieta de yodo También conocida como Tiroiditis Linfocítica, Tiroiditis crónica, autoinmunitaria o Bocio linfoadenoide.
Etiología AUTOINMUNE Suele asociarse a otras patología autoinmunes Hay teorías que sugieren que el desencadenante pueda ser un virus que contiene una proteína de estructura similar a la tiroidea. El tabaquismo asocia mayor incidencia Déficit de Selenio podría favorecer la enfermedad Intervenciones quirúrgicas de tiroides o TTº radiactivo
Síntomas Debilidad, Astenia, Letargia Intolerancia al frío e hipotermia Enlentecimiento de funciones intelectuales Aumento de peso Disminución del apetito Estreñimiento Trastornos mestruales Parestesias, Artralgias Voz ronca, Hipoacusia Disminución sudoración
Signos Bradicardia Piel seca, pálida y fría Caída del cabello Bradipsiquia Hiporreflexia Macroglosia Edema sin fovea Movimientos lentos
DIAGNOSTICO Se sospecha en pacientes con bocio indoloro Clínica propia del hipotiroidismo Se confirma en un 90 % por detección de Ac antitiroideos (antimicrosomiales y TPO) Y en un 70 %  por Ac antitiroglobulina Determinación de TSHs y T 4  libre
Pruebas tiroideas Determinación de  : TSH T 4  libre Ac antiperoxidasa y antitiroglulina Estos pueden aumentar con: Edad (mayores de 70 años) Por administración de amiodarona, interferón, litio…. Tras la yodación en área endémica  Y pueden disminuir con: Embarazo Corticoides Inmunosupresores
Interpretación de las hormonas tiroideas La concentración de hormonas tiroideas y TSH se encuentran en niveles de µg y de ng, esto requiere para su determinación la utilización de técnicas de radioinmunoanalisis. Valores normales: T 4  libre:  4.5 y 12.5  µg/dl  o  55 - 160  nm/l TSH:  0.1 - 5.0  uU/ml  o  0.4 - 4.0  uU/ml
Cada laboratorio puede dar los resultados en unidades diferentes, por lo que siempre junto a los resultados se indican los niveles de normalidad en la unidad correspondiente. Esto no es debido a ninguna maldad de los analistas: hay varias casas que elaboran y comercializan los reactivos y cada una de ellas da sus resultados y tiene sus controles con una unidad especifica.
TSH  ↑   y T 4  libre normal indican  hipotiroidismo subclínico TSH  ↑  y T 4  libre  ↓  indicarían  hipotiroidismo.
Realizar una 2ª determinación entre la 2ª y 12ª semanas de Ac antitiroideos para diferenciarlo de otras situaciones con aumentos discretos de TSH no debidos a déficit de hormonas tiroideas como: Insuficiencia renal Déficit de glucocorticoides Enfermedades psiquiatritas agudas Errores de laboratorio Adenoma productor de TSH Estados de resistencia a hormonas tiroideas Recuperación de una enfermedad no tiroidea.
ECOGRAFIA Nos ayuda a distinguir la tiroiditis del bocio multinodular o de los nódulos tiroideos en los que se sospecha neoplasia.   PAAF Pueden coexistir nódulos que aconsejen PAAF para descartar carcinoma tiroideo o linfoma.  Sensibilidad 65-98%, especificidad 72-100% para malignidad.
Diagnostico diferencial Con los siguientes procesos: Cáncer tiroideo Bocio multinodular benigno Bocio por deficiencia de yodo Enfermedad de Graves  Otros tumores malignos: linfoma
TRATAMIENTO Levotiroxina, en dosis de 25-200 µg/día vo si hay hipotiroidismo o bocio grande No esta indicado el TTº sustitutivo: Si la glándula tiroides esta aumentada de tamaño en grado mínimo  El paciente se encuentra eutiroideo (TSH normal). Le haremos seguimiento ya que años mas tarde puede desarrollar hipotiroidismo
Estar á  indicado el TTº sustitutivo en: Depresión rebelde al TTº Embarazo Niños y adolescentes para que no interfiera en su crecimiento y desarrollo. Hipotiroidismo autoinmune, post I 131, postradioterapia, post tiroidectomía subtotal. TSH > 7 mU/l Bocio Perdida de memoria Intentar TTº de prueba 6 meses en pacientes con dislipemia
TRATAMIENTO EUTIROX   LEVOTHROID El principal efecto secundario de la LEVOTIROXINA es el hipertiroidismo y la hipertensión arterial La cirugía no esta indicada salvo en bocios de gran tamaño que produzcan compresión de estructuras adyacentes.
PRONOSTICO Puede llevar a hipotiroidismo o tirotoxicosis transitoria Puede acompañar a otros transtornos autoinmunes Mujeres perimenopausicas con niveles altos de anti TPO tienen riesgo de depresión. La tiroiditis de Hashimoto tiene un excelente pronostico ya que permanece estable por años o avanza lentamente al hipotiroidismo.
Derivación al endocrino En menores de 18 años Si presentan patología cardiaca Embarazo inicialmente Si nódulo tiroideo Si sospecha de tiroiditis aguda o supurativa Aquellos que no respondan al TTº Sospecha de alteración hipofisaria
Tiroiditis inducidas por fármacos Amiodarona Litio Interferón alfa e interleukina-2 Inhibidores de la tirosinkinasa
BIBLIOGRAFIA Álvarez castro P, Isidro San Juan ML, Cordido Carballido F. Hipotiroidismo (internet). Disponible en:  http://www.fisterra.com/guias2/hipotiroidismo.htm Casado Vicente V., Calero Muñoz S., Cordón Granados F. et alt. Tratado  de Medicina Familiar y Comunitaria. Vol. II SemFYC. Pág. 745-757 Comas Fuentes A, Cacho García L. Tiroiditis (Internet) (15/04/11).  Disponible en: http:// www.fisterra.com / fisterrae / guias.aspguias132 Guía de Actuación en Atención Primaria. 2ª Edición. SemFYC. Pág : 975-980; 1447 Modroño Freire MJ. Hipotiroidismo subclínico(Internet).(20/05/11 Disponible en:  http:// www.fisterra.com / fisterrae / guias.aspguias102
6. Montero FJ, Jiménez L. Medicina de Urgencias y Emergencias  4ª edición. Madrid : Ed. Elsevier 2009: 501-504 7. Villar HCCE, saconato H, Valente O, Atallah AN. Reemplazo de la hormona tiroidea para el hipotiroidismo subclínico (Revisión Cochrane traducida). En: La Biblioteca Cochrane Plus, 2008 Numero 4. Oxford: Update Software Ltd. Disponible en:  http :// www.update - software.com . (Traducida de The Cochrane Library, 2008 Issue 3. Chichester, UK: John Wiley&Sons, Ltd). CD003419. Texto completo 8.http://www.salud.com/enfermedades/tiroiditis_hashimoto.asp 9.http://es.wikipedia.org/wiki/hipotiroidismo 10.http://es.wikipedia.org/wiki/ Tiroiditis_de_Hashimot o 11.www.entornomedico.org/salud/.../tirotoxicosis.html 12.http://www.nlm.nih.gov/medlineplus/spanish/ency/article/000844.htm
Justo cuando conseguí encontrar todas las respuestas, cambiaron todas las preguntas…
GRACIAS

(2011 10-04) tiroides hashimoto (ppt)

  • 1.
    GLANDULA TIROIDES TIROIDITISDE HASHIMOTO Judith Campo. Aurora Molins C.S. San Pablo. Fuentes Norte
  • 2.
    Origen endodermo Entrela 3º y 6ª semana se empieza a desarrollar en el feto. Desciende adherido a la faringe por medio del conducto tirogloso. 7ª semana se ubica entre el 3er y 6º anillo traqueal 11ª semana logra captar yodo 18 semana produce tiroxina EMBRIOLOGIA
  • 3.
    Alteraciones del desarrolloAtireosis Tiroides ectópico Remanentes del conducto tirogloso Quiste tirogloso Pirámide de Laloutte
  • 4.
    Anatomía Compuesta por2 lóbulos, derecho e izquierdo conectados por el istmo, con forma de mariposa. Situada: A nivel de C5 y D1 Sobre la traquea, rodeándola hasta llegar al esófago. Cubierta por musculatura pretiroidea, m. cutáneo del cuello, tj. subcutáneo y piel.
  • 5.
  • 6.
    Irrigación e inervaciónArteria tiroidea superior Arteria tiroidea inferior Arteria tiroidea media Vena tiroidea superior, vena tiroidea inferior, vena tiroidea media, drenan en las venas yugulares internas.
  • 7.
    Los linfáticos formanel plexo paratiroideo. Innervación: Simpática: proviene del simpático cervical Parasimpático: procede del nervio vago (n. laringeo superior y n. laringeo recurrente)
  • 8.
    Histología Formadas porvesículas, son los folículos tiroideos (unidad básica del tiroides) Estas vesículas son espacios esféricos llenos de sustancia gelatinosa llamada coloide. Están recubiertas por las células tiroideas: los tirocitos . Su contenido es la tiroglobulina TGB Junto con las células tiroideas se identifican las células C sintetizan calcitonina.
  • 9.
  • 10.
    Fisiología Precisa deun oligoelemento esencial yodo El yodo es captado. Oxidado Fijado sobre aminoácidos: tirosinas, formando las yodotirosinas, para ello hace falta la presencia de un factor, la tiroperoxidasa TPO Componente fundamental del coloide: tiroglobulina, precursora de las hormonas tiroideas. T 4 , T 3 También la hormona calcitonina.
  • 11.
    T3: hormona directamenteactiva sobre los tejidos T4: tiroxina : se produce 0,5 µg /kg/día Circulan por sangre unidas a proteínas, de la cual la mas importante es la globulina transportadora de tiroxina PBI
  • 12.
  • 13.
    REGULACIÓN Hipotálamo-hipófisis Sila concentración de T 4 es baja en sangre: se libera TSH , promueve endocitosis del coloide y se libera T 4 y T 3. a la circulación También por factores hipotalamicos como la TRH Secreción de TSH (tirotropina) regulada por retroalimentación negativa (NFB) que ejercen las hormonas tiroideas sobre la hipofisis y también factores hipotalamicos como la TRH
  • 14.
    Cuando la secrecionde yodo es >a la ingesta requerida se inhibe la formacion de T4 y T3, fenomeno de Woff Chaikoff
  • 15.
    Funciones Regulan elmetabolismo basal Afectan al crecimiento y grado de funcionalidad de otros sistemas del organismo Aumenta la termogénesis, consumo de oxigeno Influyen en el metabolismo de hidratos de carbono y de lípidos
  • 16.
    Exploración funcional Medición T 4 Libre y TSH Medición de anticuerpos antitiroglobulina y antiperoxidasa (anti-TPO) Cuantificación yodo radiactivo Cuantificación metabolismo basal Excreción urinaria de yodo
  • 17.
    Exploración anatómica Inspección,observando el cuello de lado Palpación bimanual posterior Ecografía Gammagrafia Punción-aspiración con aguja fina
  • 18.
    PATOLOGIAS TIROIDEAS HipotiroidismoHipertiroidismo Bocio simple. Nódulos tiroideos Tiroiditis
  • 19.
    TIROIDITIS 1.- No autoinmunes : Tiroiditis subaguda granulomatosa (tiroiditis de Quervain) Tiroiditis aguda supurada Tiroiditis de Riedel 2.- Autoinmunes : Tiroiditis subaguda linfocitaria Tiroiditis linfocítica crónica (Tiroiditis de Hashimoto)
  • 20.
    TIROIDITIS DE HASHIMOTOTIROIDITIS DE HASHIMOTO
  • 21.
    TIROIDITIS DE HASHIMOTOInflamación aguda de la glándula tiroides Denominada así en honor al Dr. Japonés Hakuro Hashimoto en 1912 Causa mas frecuente de hipotiroidismo en adulto en zonas donde no existe déficit en la dieta de yodo También conocida como Tiroiditis Linfocítica, Tiroiditis crónica, autoinmunitaria o Bocio linfoadenoide.
  • 22.
    Etiología AUTOINMUNE Sueleasociarse a otras patología autoinmunes Hay teorías que sugieren que el desencadenante pueda ser un virus que contiene una proteína de estructura similar a la tiroidea. El tabaquismo asocia mayor incidencia Déficit de Selenio podría favorecer la enfermedad Intervenciones quirúrgicas de tiroides o TTº radiactivo
  • 23.
    Síntomas Debilidad, Astenia,Letargia Intolerancia al frío e hipotermia Enlentecimiento de funciones intelectuales Aumento de peso Disminución del apetito Estreñimiento Trastornos mestruales Parestesias, Artralgias Voz ronca, Hipoacusia Disminución sudoración
  • 24.
    Signos Bradicardia Pielseca, pálida y fría Caída del cabello Bradipsiquia Hiporreflexia Macroglosia Edema sin fovea Movimientos lentos
  • 25.
    DIAGNOSTICO Se sospechaen pacientes con bocio indoloro Clínica propia del hipotiroidismo Se confirma en un 90 % por detección de Ac antitiroideos (antimicrosomiales y TPO) Y en un 70 % por Ac antitiroglobulina Determinación de TSHs y T 4 libre
  • 26.
    Pruebas tiroideas Determinaciónde : TSH T 4 libre Ac antiperoxidasa y antitiroglulina Estos pueden aumentar con: Edad (mayores de 70 años) Por administración de amiodarona, interferón, litio…. Tras la yodación en área endémica Y pueden disminuir con: Embarazo Corticoides Inmunosupresores
  • 27.
    Interpretación de lashormonas tiroideas La concentración de hormonas tiroideas y TSH se encuentran en niveles de µg y de ng, esto requiere para su determinación la utilización de técnicas de radioinmunoanalisis. Valores normales: T 4 libre: 4.5 y 12.5 µg/dl o 55 - 160 nm/l TSH: 0.1 - 5.0 uU/ml o 0.4 - 4.0 uU/ml
  • 28.
    Cada laboratorio puededar los resultados en unidades diferentes, por lo que siempre junto a los resultados se indican los niveles de normalidad en la unidad correspondiente. Esto no es debido a ninguna maldad de los analistas: hay varias casas que elaboran y comercializan los reactivos y cada una de ellas da sus resultados y tiene sus controles con una unidad especifica.
  • 29.
    TSH ↑ y T 4 libre normal indican hipotiroidismo subclínico TSH ↑ y T 4 libre ↓ indicarían hipotiroidismo.
  • 30.
    Realizar una 2ªdeterminación entre la 2ª y 12ª semanas de Ac antitiroideos para diferenciarlo de otras situaciones con aumentos discretos de TSH no debidos a déficit de hormonas tiroideas como: Insuficiencia renal Déficit de glucocorticoides Enfermedades psiquiatritas agudas Errores de laboratorio Adenoma productor de TSH Estados de resistencia a hormonas tiroideas Recuperación de una enfermedad no tiroidea.
  • 31.
    ECOGRAFIA Nos ayudaa distinguir la tiroiditis del bocio multinodular o de los nódulos tiroideos en los que se sospecha neoplasia. PAAF Pueden coexistir nódulos que aconsejen PAAF para descartar carcinoma tiroideo o linfoma. Sensibilidad 65-98%, especificidad 72-100% para malignidad.
  • 32.
    Diagnostico diferencial Conlos siguientes procesos: Cáncer tiroideo Bocio multinodular benigno Bocio por deficiencia de yodo Enfermedad de Graves Otros tumores malignos: linfoma
  • 33.
    TRATAMIENTO Levotiroxina, endosis de 25-200 µg/día vo si hay hipotiroidismo o bocio grande No esta indicado el TTº sustitutivo: Si la glándula tiroides esta aumentada de tamaño en grado mínimo El paciente se encuentra eutiroideo (TSH normal). Le haremos seguimiento ya que años mas tarde puede desarrollar hipotiroidismo
  • 34.
    Estar á indicado el TTº sustitutivo en: Depresión rebelde al TTº Embarazo Niños y adolescentes para que no interfiera en su crecimiento y desarrollo. Hipotiroidismo autoinmune, post I 131, postradioterapia, post tiroidectomía subtotal. TSH > 7 mU/l Bocio Perdida de memoria Intentar TTº de prueba 6 meses en pacientes con dislipemia
  • 35.
    TRATAMIENTO EUTIROX LEVOTHROID El principal efecto secundario de la LEVOTIROXINA es el hipertiroidismo y la hipertensión arterial La cirugía no esta indicada salvo en bocios de gran tamaño que produzcan compresión de estructuras adyacentes.
  • 36.
    PRONOSTICO Puede llevara hipotiroidismo o tirotoxicosis transitoria Puede acompañar a otros transtornos autoinmunes Mujeres perimenopausicas con niveles altos de anti TPO tienen riesgo de depresión. La tiroiditis de Hashimoto tiene un excelente pronostico ya que permanece estable por años o avanza lentamente al hipotiroidismo.
  • 37.
    Derivación al endocrinoEn menores de 18 años Si presentan patología cardiaca Embarazo inicialmente Si nódulo tiroideo Si sospecha de tiroiditis aguda o supurativa Aquellos que no respondan al TTº Sospecha de alteración hipofisaria
  • 38.
    Tiroiditis inducidas porfármacos Amiodarona Litio Interferón alfa e interleukina-2 Inhibidores de la tirosinkinasa
  • 39.
    BIBLIOGRAFIA Álvarez castroP, Isidro San Juan ML, Cordido Carballido F. Hipotiroidismo (internet). Disponible en: http://www.fisterra.com/guias2/hipotiroidismo.htm Casado Vicente V., Calero Muñoz S., Cordón Granados F. et alt. Tratado de Medicina Familiar y Comunitaria. Vol. II SemFYC. Pág. 745-757 Comas Fuentes A, Cacho García L. Tiroiditis (Internet) (15/04/11). Disponible en: http:// www.fisterra.com / fisterrae / guias.aspguias132 Guía de Actuación en Atención Primaria. 2ª Edición. SemFYC. Pág : 975-980; 1447 Modroño Freire MJ. Hipotiroidismo subclínico(Internet).(20/05/11 Disponible en: http:// www.fisterra.com / fisterrae / guias.aspguias102
  • 40.
    6. Montero FJ,Jiménez L. Medicina de Urgencias y Emergencias 4ª edición. Madrid : Ed. Elsevier 2009: 501-504 7. Villar HCCE, saconato H, Valente O, Atallah AN. Reemplazo de la hormona tiroidea para el hipotiroidismo subclínico (Revisión Cochrane traducida). En: La Biblioteca Cochrane Plus, 2008 Numero 4. Oxford: Update Software Ltd. Disponible en: http :// www.update - software.com . (Traducida de The Cochrane Library, 2008 Issue 3. Chichester, UK: John Wiley&Sons, Ltd). CD003419. Texto completo 8.http://www.salud.com/enfermedades/tiroiditis_hashimoto.asp 9.http://es.wikipedia.org/wiki/hipotiroidismo 10.http://es.wikipedia.org/wiki/ Tiroiditis_de_Hashimot o 11.www.entornomedico.org/salud/.../tirotoxicosis.html 12.http://www.nlm.nih.gov/medlineplus/spanish/ency/article/000844.htm
  • 41.
    Justo cuando conseguíencontrar todas las respuestas, cambiaron todas las preguntas…
  • 42.